Introducción
El cáncer broncopulmonar (CBP) es la principal causa de muerte ligada a cáncer. Aproximadamente 50% de los casos presentan metástasis al momento del diagnóstico. El CBP puede originar metástasis en cualquier órgano, siendo los principales sitios: hígado (33-40%), glándulas suprarrenales (18-38%), cerebro (15-43%), hueso (19-33%) y riñón (16-23%). 1 Los pacientes con adenocarcinoma o carcinoma de células gigantes tienen mayor riesgo de metástasis extra-torácicas en comparación con los pacientes con carcinoma escamoso. 2)
Se entiende por partes blandas a los tejidos extra-esqueléticos no epiteliales, incluyendo tejido conectivo, músculo, tejido adiposo, vasos sanguíneos y nervios.
El tumor primitivo de pulmón es el que con más frecuencia produce metástasis de partes blandas clínicamente evidentes (3-5% de los CBP), seguido por riñón y colon 1, siendo macroscópicamente indistinguibles unas de las otras.
El motivo por el cual un tejido tan extenso y vascularizado como las partes blandas aloja metástasis con tan baja frecuencia no se ha dilucidado, existiendo varias hipótesis al respecto. La teoría mecánica se basa en que la presión a nivel tisular y el flujo sanguíneo variable y turbulento evitan el crecimiento de células tumorales a nivel muscular. A su vez, la teoría metabólica sostiene que la acción de proteasas locales, ácido láctico y radicales libres hacen del músculo un lugar inhóspito para la implantación de células tumorales. Finalmente, la teoría inmunológica afirma que la abundancia de células “natural killers” y mastocitos constituirían un factor protector del músculo para el desarrollo de metástasis. 1
Las metástasis de partes blandas generalmente se presentan como nódulos solitarios o múltiples de rápido crecimiento, con un diámetro que puede variar entre 5 mm y 10 cm. Generalmente son firmes, móviles y cubiertos de piel de aspecto normal, aunque en algunos casos se pueden ver lesiones exudativas o ulceradas. 3 Habitualmente son indoloros. 4 Las topografías más frecuentes reportadas son: dorso, pared torácica y abdomen. 5) En aproximadamente un tercio de los casos son la manifestación inicial de una neoplasia diseminada, proporcionando un sitio accesible para obtener muestras histológicas con métodos menos invasivos. 6 El principal diagnóstico diferencial lo constituyen los sarcomas, siendo fundamental su distinción debido a las implicancias pronósticas y terapéuticas. Esto a menudo significa un reto dadas las similitudes clínicas e imagenológicas de ambas entidades. 1). Se describe el caso clínico de un paciente de sexo masculino de 46 años, tabaquista intenso, que se presentó con un derrame pleural y una tumoración de partes blandas como manifestación inicial de un CBP, así como el largo y arduo proceso que llevó a este diagnóstico.
Caso clínico
Paciente de sexo masculino, 46 años, con antecedente personal de tabaquismo intenso, IPA 26, sin controles en salud. Consulta por lesiones cutáneas rojo-violáceas aracniformes, indoloras, en cara anterior de hemitórax derecho a predominio infraclavicular, con dilatación de venas del cuello homolaterales. Ausencia de toda otra sintomatología. Del examen físico sedestaca: lúcido, buen estado general y nutricional. Presenta dilatación venosa y red vascular visible a nivel infraclavicular derecho, con vena yugular ingurgitada homolateral. El hueco supraclavicular derecho se encuentra ocupado por lesión mal definida, no pudiéndose distinguir si se trata de estructuras de origen ganglionar o vascular. En lo respiratorio muestra un síndrome en menos en mitad inferior de campo pleuropulmonar derecho con matidez de columna y ascenso a axila, sin elementos de síndrome funcional respiratorio, saturando 98% espontáneamente al aire. Tumoración paravertebral derecha a nivel L1-L2, de límites mal definidos, de aproximadamente 10x6cm, ovoidea, lisa, firme, adherida a planos profundos, indolora.
Dado los hallazgos a nivel pleuropulmonar se realiza radiografía de tórax que muestra opacidad homogénea en vidrio esmerilado en mitad inferior de campo pulmonar derecho con ascenso a axila que borra el espacio costofrénico derecho compatible con derrame pleural(Figura 1).
Ante un paciente tabaquista, que se presenta con un derrame pleural y elementos sugestivos de compromiso de sistema cava superior, por importancia y por frecuencia, el primer planteo realizado fue el de neoplasia intra-torácica, más concretamente carcinoma broncopulmonar, quedando el de linfoma como diagnóstico diferencial. Sin embargo, el hallazgo de una masa paravertebral de características malignas excedía lo esperable para dichos planteos, abriendo el abanico para otras posibilidades diagnósticas, como un primitivo de partes blandas con compromiso torácico.
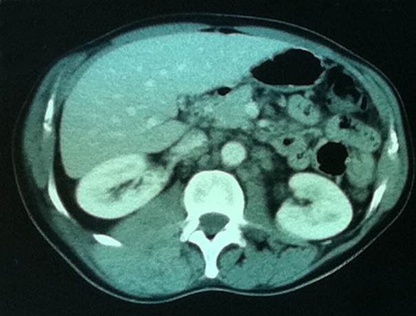
Para mayor aproximación diagnostica se realiza tomografía de tórax, abdomen y pelvis que observa: masa a nivel paraespinal derecha, compromiso óseo y muscular local engrosamiento pleural, moderado a severo derrame pleural derecho en cavidad libre(Figura 2).
Encontrándonos ante este cuadro clínico y resultados imagenológicosse plantea una neoplasia diseminada, siendo imperativo determinar su origen primario y estirpe celular. Para dicho fin, se prosiguió por una punción citológica de adenomegalia de cuello a derecha que mostró un citograma densamente celular de aspecto tumoral constituido por placas de células que impresionan de estirpe epitelial, algunas binucleadas, con anisocariosis, sin remanente linfoide, compatible con secundarismo ganglionar. En segundo lugar se realizó una toracocentesis diagnóstica, estudiándose la citología del líquido pleural que mostró un derrame de aspecto neoplásico con células de similares características a las de la adenomegalia cervical.
Hasta este punto nos encontrábamos frente a una probable neoplasia intra-torácica de estirpe epitelial. Restaba descifrar el origen de la misma, así como el de la tumoración paravertebral. Para esto, se realizó una resonancia magnética (RM) tórax-abdomen que confirmó los hallazgos imagenológicos aportados por la tomografía: proceso expansivo de 146 mm L x 82 mm T x 78 mm AP, con señal similar a músculo, que invade psoas y músculo ilíaco derechos, insinuándose por agujeros intervertebrales de L4, L3, L2 y L1 sin invadir el conducto raquídeo. Contacta el pilar diafragmático derecho. Pleura basal derecha engrosada con un patrón nodular sin clara evidencia de invasión directa. Lesiones tumorales a nivel de músculos intercostales derechos en contigüidad con proceso pleural descrito. No se observan nódulos pulmonares ni adenomegalias mediastinales. Hígado sin lesiones. No se identifica glándula suprarrenal derecha la cual puede estar englobada por la tumoración descrita. Conglomerado de adenomegalias rodeando al tronco celíaco y múltiples adenomegalias a nivel latero-aórtico izquierdo (Figuras 3 y Figura 4).

Figura 3: Resonancia abdomen: Proceso expansivo de 146 mm L x 82 mm T x 78 mm AP, con señal similar a músculo, que invade psoas y músculo ilíaco derechos, insinuándose por agujeros intervertebrales de L4, L3, L2 y L1.
Se procede a la biopsia de la tumoración paravertebal, así como a la biopsia pleural mediante videopleuroscopía, obteniendo resultados histológicos no concluyentes pero que coincidían en que los tejidos eran compatibles con un carcinoma pobremente diferenciado. El proceso diagnóstico se completó con inmunohistoquímica que en base a un patrón de marcación en correlación con el dato cínico, concluyó que se trataba de la metástasis de un adenocarcinoma pulmonar pobremente diferenciado.
Se conectó al paciente con Oncología Torácica, falleciendo luego de tres sesiones de quimioterapia, a tan solo tres meses del diagnóstico.
Discusión
Se trata de un paciente complejo que presentó retos en cada paso del proceso diagnóstico, desde su presentación clínica hasta la inmunohistoquímica. Las dilataciones vasculares que motivan la consulta se interpretaron inicialmente como secundarias a compromiso vascular mediastinal. Sin embargo, esto no se confirmó imagenológicamente, quedando su origen sin dilucidar y siendo relegadas a un segundo plano ante el resto de los hallazgos clínicos. En este sentido, fueron el derrame pleural y la tumoración para-vertebral los que sirvieron como hilo conductor en el proceso diagnóstico.
En cuanto a las características clínicas de la tumoración del paciente, la misma se localizó en región lumbar alta y era indolora. De acuerdo a la bibliografía, la topografía más habitual de las metástasis de partes blandas es el dorso, musculatura paraespinal, pared torácica, pared abdominal, muslo e iliopsoas. En cambio, los sarcomas se topografían más frecuentemente a nivel de muslo glúteo en casi la mitad de los casos, seguido de dorso, miembro superior y retroperitoneo. 1,7,8 Como se puede observar, las topografías de las dos entidades se superponen, por lo que la misma no es categórica al momento de la disquisición diagnóstica.
A su vez, en las series de casos citadas, el dolor a nivel de la tumoración motiva la consulta en 83% de los casos de metástasis de partes blandas, mientras que los sarcomas son típicamente indoloros. 1 A la luz de los hallazgos diagnósticos de nuestro paciente que presentaba una tumoración indolora, vemos cómo esta característica tampoco aporta al diagnóstico de manera significativa.
Si bien el estudio de imagen mediante RM no es específico para las metástasis de partes blandas, se considera una herramienta indispensable para el diagnóstico y planificación del tratamiento de tumoraciones malignas de partes blandas(9 -11). Es la técnica preferida para distinguir metástasis de partes blandas de sarcoma y otras lesiones. En las primeras, típicamente muestra lesiones de límites mal definidos, hipointensas en T1, hiperintensas en T2, con realce con gadolinio y edema perilesional, observándose amplio realce peritumoral con necrosis central en 92% de los casos, que concuerda con los hallazgos en nuestro paciente. Sin embargo, la erosión del hueso adyacente a la masa tumoral presente en nuestro paciente, está descrita como excepcional en la literatura. Por su parte, los hallazgos en la RM en el caso de los sarcomas son más heterogéneos, debido a que estos varían en función del grado de vascularización y de fibrosis, así como del tipo histológico. 1 Por lo tanto, si bien la RM puede orientar al diagnóstico en algunos casos, en nuestro paciente no fue definitoria (Tabla 1).

Tabla 1:Cuadro comparativo conlas características clínicas e imagenológicas de metástasis de partes blandas y sarcomas
Debemos destacar que, si bien nuestro paciente se presentó con una tumoración indolora, con destrucción de estructuras adyacentes y compromiso pleural que son características sugestivas de sarcoma, la diseminación a distancia de estos es esencialmente hematógena, mientras que nuestro paciente tenía evidencia clínica, imagenológica y citológica de compromiso ganglionar, dejando así la posibilidad de plantear otros posibles diagnósticos.7-11
La histología y la inmunohistoquímica cobraron entonces un papel fundamental en la confirmación diagnóstica, y sobre todo esta última, ya que la pobre diferenciación celular dejaba dudas en cuanto a la estirpe de las células tumorales. Se confirmó que se trataba de un adenocarcinoma al detectar la presencia de marcadores epiteliales positivos, siendo esto de suma importancia ya que permitió la puesta en marcha de un tratamiento oncoespecífico, el cual siempre está condicionado por el tumor primitivo.
Conclusiones
Las metástasis en partes blandas son un hecho infrecuente pero no excepcional. Existen pocas citas bibliográficas que ayuden a caracterizarlas, limitándose las mismas a reportes y series de casos. Pueden ser silentes como ocurrió en el caso descrito, constituyendo el epifenómeno de una enfermedad diseminada. El diagnóstico diferencial más importante es el sarcoma que posee gran similitud tanto clínica como imagenológica. La distinción requiere del estudio anatomopatológico e inmunohistoquímico constituyendo un verdadero desafío diagnóstico con implicancias pronósticas y terapéuticas.
















