SciELO - Scientific Electronic Library Online

 
vol.1 número2Insuficiencia renal aguda en la cirrosis hepática: análisis de causasCohorte de pacientes con ACV isquémico -trombolizados y candidatos a trombectomía mecánica- de la Unidad ACV - Hospital de Clínicas (período marzo 2014-16) - Uruguay índice de autoresíndice de assuntospesquisa de artigos
Home Pagelista alfabética de periódicos  

Serviços Personalizados

Journal

Artigo

Links relacionados

Compartilhar


Revista Uruguaya de Medicina Interna

versão impressa ISSN 2393-6797versão On-line ISSN 2393-6797

Rev. Urug. Med. Int. vol.1 no.2 Montevideo ago. 2016

 


Caso clínico


Hemicorea vascular: una presentación infrecuente del infarto lacunar


Vascular hemichorea: a rare presentation of lacunar infarction



Dra. Sofía de Betolaza

Residente de Medicina Interna


Dra. Cecilia Botta

Postgrado de Medicina Interna. Ex Residente de Medicina Interna


Dra. Elizabeth Marchissio

Médico internista


Dra. Mercedes Perendones

Profesora Agregada de Clínica Médica




Recibido: 5/6/16 - Aceptado: 24/7/16


Departamento e Institución responsables: Clínica Médica 2. Prof. Dra. Mabel Goñi. Facultad de Medicina. Universidad de la República. Hospital Pasteur. Montevideo – Uruguay.


Correspondencia: Dra. Sofía de Betolaza. Teléfono: Tel: 099 24 35 13

Correo electrónico: sofidebeto@hotmail.com


RESUMEN


La corea es un trastorno hiperquinético del movimiento. Puede producirse por una gran variedad de enfermedades genéticas, infecciosas, neurodegenerativas, metabólicas, autoinmunes, estructurales o secundarias a fármacos. Es una rara manifestación de lesiones vasculares cerebrales isquémicas o hemorrágicas, afectando habitualmente un hemicuerpo y formando parte del clásico síndrome lacunar de hemicorea-hemibalismo.

Presentamos el caso de un paciente de sexo masculino de 67 años de edad con factores de riesgo cardiovasculares, que se presentó con un accidente cerebrovascular a forma de hemicorea vascular. Si bien dicha presentación está descrita en toda la bibliografía, es importante por su baja frecuencia lo cual hace que la mayoría de los médicos clínicos nunca hayan estado en contacto con pacientes portadores de dicha entidad.


Palabras claves: corea, hemicorea vascular



ABSTRACT


Chorea is a hyperkinetic movement disorder. It can be caused by a great variety of conditions: genetic, infectious, degenerative, metabolic, autoimmune, structural or related to drugs. A rare manifestation of brain vascular lesions, either isquemic or hemorrhagic, it generally affects one side of the body as part of the classic hemichorea-hemibalism lacunar syndrome.

We present the case of a 67 year old male with risk factors for cardiovascular disease, admitted with the diagnosis of vascular hemichorea as the manifestation of a stroke. Although such presentation is described in most of our bibliography, it is important because of its low prevalence and, consequently, the fact that most general physicians have never had contact with patients suffering from this entity.


Keywords: chorea, vascular hemichorea



Introducción


La palabra "corea", proviene del latín "choreus" que significa danza. Es un trastorno del movimiento hiperquinético caracterizado por movimientos involuntarios de extremidades, tronco, cuello o cabeza que rápidamente rotan de región a región con un patrón irregular, no estereotipado. Puede ser uni o bilateral, exacerbarse con el estrés y desaparecer durante el sueño, darse en reposo o durante el movimiento voluntario.


El término atetosis se refiere a movimientos más lentos y sinuosos. Cuando coexiste con la corea se adopta el término coreoatetosis. Por su parte, el balismo se trata de movimientos proximales y amplios, con carácter más agresivo. Frecuentemente se presenta de manera unilateral (hemibalismo), y, si bien puede aparecer en el reposo, tiende a exacerbarse con el movimiento. Corea, atetosis y balismo muchas veces coexisten en el mismo paciente.


La prevalencia de la corea se desconoce. La Enfermedad de Huntington, causa hereditaria más frecuente, tiene una prevalencia a nivel mundial de 3 cada 100.000 habitantes. La causa adquirida más frecuente de corea en el adulto es la inducida por levodopa, mientras que en niños la corea de Sydenham es responsable del 96% de los casos. La frecuencia del síndrome hemicorea/hemibalismo como manifestación de accidentes cerebrovasculares es menor al 1%.(1)


En la fisiopatología de la corea participan los ganglios basales (núcleo caudado, putamen, núcleo subtalámico y tálamo) y las vías que los conectan. Estos son los responsables de la regulación del movimiento.


La alteración de cualquiera de las estructuras que los componen o de sus vías repercute en un complejo sistema de inhibición y desinhibición que tiene como punto final el tálamo. La desinhibición del mismo es lo que produce la facilitación del movimiento que da lugar a la corea.


La corea responde a múltiples etiologías:

  • Genética, con la Enfermedad de Huntington como principal representante, siendo la causa más frecuente de corea en el adulto, existiendo muchas otras enfermedades genéticas que pueden producir corea como la fenilcetonuria, enfermedad de Wilson, etc.

  • Dentro de las causas infecciosas se destaca la corea de Sydenham, causa más frecuente de corea en menores de 16 años, producida por la reacción cruzada de anticuerpos antiestreptocóccicos con neuronas de los ganglios basales, siendo otras causas infecciosas la enfermedad de Creutzfeldt-Jacob y las asociadas con el virus de la inmunodeficiencia humana, tanto por efecto directo del virus o de infecciones oportunistas.

  • Metabólica, siendo posibles causas de corea la hiper e hipoglicemia, trastornos del metabolismo fosfo-cálcico y el hipertiroidismo.

  • Diferentes enfermedades autoinmunes pueden presentarse como una corea, tanto al diagnóstico como en la evolución, entre ellas el lupus eritematoso sistémico, el síndrome de Sjögren y el síndrome antifosfolípido.

  • Paraneoplásica, secundaria a cáncer renal, pulmonar a pequeñas células, de mama, linfomas de Hodgkin y no Hodgkinianos.

  • Secundaria a fármacos, siendo el ejemplo más característico los movimientos coreicos como efecto adverso de un tratamiento antiparkinsoniano con levodopa.

  • Estructurales, en las que existe una lesión objetivable por imagenología que explique el cuadro, como es el caso de la etiología vascular o tumoral.(1-5)


En nuestro caso clínico nos concentraremos en la naturaleza vascular de la corea, rara manifestación de lesiones vasculares cerebrales, tanto isquémicas como hemorrágicas, y que se presenta típicamente bajo la forma del clásico síndrome lacunar de hemicorea-hemibalismo.



Caso clínico


Se trata de un paciente de sexo masculino de 67 años, previamente autoválido, procedente de Barrio Borro (Montevideo), trabajador informal, diestro.


De sus antecedentes personales se destacan el tabaquismo, el alcoholismo, la hipertensión arterial en tratamiento con inhibidores de la enzima conversora de angiotensina con mal control y un accidente cerebrovascular (ACV) con secuela motora derecha (parálisis facial central) siete años antes del episodio actual. Niega enfermedades metabólicas y genéticas, así como antecedentes familiares de relevancia.

Ingresa por un cuadro de instalación brusca, en reposo, dado por movimientos anormales e involuntarios a nivel de hemicuerpo izquierdo, invalidantes, que se intensifican con la realización de movimientos voluntarios y ceden durante el sueño. Niega cefalea, náuseas, vómitos y depresión de conciencia, así como consumo de sustancias tóxicas y fármacos.


Al examen físico inicial se encuentra lúcido, adelgazado, normotenso, presentando en lo cardiovascular un ritmo regular de 78 cpm, sin soplo carotídeo, sin alteraciones a nivel pleuropulmonar y abdominal. En lo neurológico, GCS 15, sin elementos de irritación meníngea, constatándose la desviación de rasgos faciales a izquierda y disartria parética de la secuela motora mencionada. Se destaca a nivel de miembro superior e inferior izquierdos movimientos anormales, amplios, no estereotipados, que rápidamente rotan de región a región, con fuerza y sensibilidad conservadas, sin elementos a destacar a nivel de miembro superior e inferior derechos.


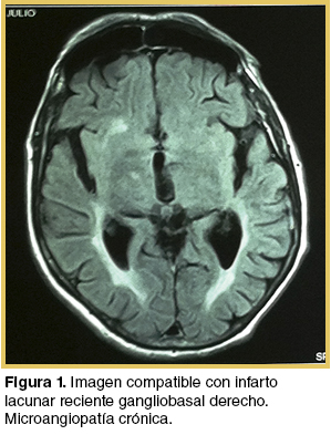
Con planteo de hemicorea de probable etiología vascular dada la instalación brusca de los síntomas, se solicita resonancia magnética (RM) de cráneo que muestra una imagen puntiforme a nivel gangliobasal derecho compatible con un infarto lacunar reciente, infartos lacunares gangliobasales contralaterales y microangiopatìa crónica (Figura 1).

Para completar la valoración se realiza EcoDoppler de vasos de cuello que no muestra elementos de valor patológico. El Ecocardiograma transtorácico informa una cardiopatía hipertensiva leve (septum 12 mm y pared posterior 11 mm), dilatación mínima de la aurícula izquierda de 41 mm, ventrículo izquierdo y cavidades cardíacas derechas de dimensiones normales, con FEVI ligeramente disminuida (53%).


De la paraclínica de laboratorio se destaca: hemoglobina 13.5 g/dL, glóbulos blancos 8810 /mm3, plaquetas 257.000 /mm3, azoemia 0.83 g/L, creatininemia 1.04 mg/dL, Na+ 135 mEq/L, K+ 3.7 mEq/L, Cl- 98 mEq/L, glicemia 0.90 g/L, CK total 1223 UI/L, serologías para HIV, VHA, VHB, VHC y VDRL negativas, TSH 0.76 mU/mL (rango normal 0.23-4.20).


Se realiza interconsulta con equipo de Neurología, tratamiento sintomático en base a antagonistas dopaminérgicos (Quetiapina), Tiapridal y benzodiacepinas (Clonazepam), nefroprotección así como profilaxis secundaria de eventos cardiovasculares haciendo especial hincapié en el tratamiento antihipertensivo.


El paciente presenta una mejoría lenta y progresiva. Al alta camina con ayuda y es parcialmente dependiente para actividades básicas de la vida diaria.



Discusión


La corea implica desafíos diagnósticos ya que obedece a múltiples etiologías (genéticas, infecciosas, metabólicas, autoinmunes, paraneoplásicas, fármacos y tóxicos, estructurales) como ya fue mencionado.


El ACV debe ser tenido en cuenta como responsable de corea, siendo la enfermedad cerebrovascular la causa más frecuente de corea esporádica intrahospitalaria.


Se presenta típicamente como una hemicorea de instalación aguda contralateral a la lesión, como queda ilustrado en el caso clínico. Esta forma de presentación en un paciente con factores de riesgo para enfermedad ateroesclerótica y/o enfermedad cardiovascular establecida aleja el planteo de otras causas de síndrome coreico aparte de la vascular, siendo la forma de presentación de menos del 1% de los ACV.


Debido a la baja prevalencia de la hemicorea de origen vascular existe poca literatura publicada sobre esta patología, siendo en su mayoría reportes y series de casos.


En un estudio de 2500 pacientes con diagnóstico de primer ACV llevado a cabo en el Departamento de Neurología del Hospital Universitario de Lausanne (Suiza), se identificaron 29 pacientes con trastornos del movimiento, siendo los más frecuentes la hemicorea-hemibalismo (11 pacientes) y la hemidistonía (5 pacientes).(6)


La hemicorea también fue la causa más frecuente de trastorno hiperquinético del movimiento tanto en la fase aguda del ACV como en diferido en una revisión del año 2009 que incluyó 156 reportes y series de casos y revisiones de artículos relevantes de la base de datos Medline.(7)


La enfermedad de pequeño vaso fue la causa más frecuente (15 pacientes), que presumiblemente fue también la responsable del ACV en el caso clínico descrito.


En Quito (Ecuador), de un total de 1500 pacientes asistidos en el Hospital Eugenio Espejo por ACV, se reportaron movimientos anormales involuntarios en 56. De estos, aquellos con diagnóstico de hemicorea eran más añosos que aquellos con diagnóstico de distonía. Los pacientes con lesiones hemorrágicas profundas demostraron tener mayor probabilidad de desarrollar movimientos anormales.(8)


En otro estudio realizado en Seoul (Corea del Sur) que incluyó 5009 pacientes con ACV se describieron 27 casos de hemicorea (0.54%).(9)


Si bien la clínica puede ser orientativa de una hemicorea de origen vascular, es necesario realizar estudios imagenológicos que corroboren el diagnóstico y descartar causas metabólicas como alteraciones de la glicemia, lo cual se llevó a cabo en el caso clínico descrito. Se destaca a la hiperglicemia no cetósica como causa frecuente de hemicorea, sobre todo en diabéticos mal controlados a largo plazo, teniendo una rápida resolución al controlar la glicemia. La RM en estos casos típicamente muestra hiperintensidad en el putamen contralateral en la secuencia T1, que generalmente se resuelve en pocos meses.(10)


En la hemicorea vascular la RM tiene mayor sensibilidad que la tomografía computada (TC) para demostrar la presencia de lesiones responsables. Estas se encuentran con mayor frecuencia en el tálamo y núcleo lenticular y, menos frecuentemente, en el núcleo subtalámico.(1)


El estudio de Quito mostró que los movimientos anormales son más frecuentes cuando las lesiones vasculares son profundas. De acuerdo con esto, en el estudio de Lausanne, en 25 de 29 casos de trastornos del movimiento se objetivó una lesión responsable mediante neuroimagen; 11 en territorio de la arteria cerebral media (7 a nivel de ramas profundas, 2 a nivel de ramas superficiales y 2 completas), 11 en territorio de la arteria cerebral posterior, 2 en territorio de arteria cerebral posterior y media y 1 en territorio de la arteria cerebral anterior. Finalmente, y acorde con lo antedicho, en el estudio de Seoul las lesiones se localizaron a nivel del núcleo caudado y putamen (6 pacientes), corteza cerebral (6 pacientes), tálamo y núcleo subtalámico (4 pacientes), núcleo subtalámico (4 pacientes), putamen (3 pacientes), núcleo caudado (2 pacientes) y globo pálido (2 pacientes).


El tratamiento de la corea no tiene indicación en todos los casos. El mismo se reserva para aquellos en los que la corea interfiere con actividades laborales, produce injuria física, estigma social o trastornos del sueño. Los fármacos más usados son aquellos que disminuyen la neurotransmisión dopaminérgica, tanto a través de bloqueo postsináptico con neurolépticos atípicos, como con depleción presináptica (tetrabenazina o reserpina) y han sido estudiados sobre todo para la Enfermedad de Huntington.(3)


Las recomendaciones son controvertidas. En 2012 la Academia Americana de Neurología publicó una guía basada en la evidencia sobre el tratamiento farmacológico de la corea en la Enfermedad de Huntington utilizando como instrumento de medida el Unified Huntington´s Disease Rating Scale (UHDRS). Concluía que en el caso de que la corea requiriera tratamiento se debería prescribir tetrabenazina (hasta 100 mg / día), el antagonista del receptor NMDA amantadina (300-400 mg / día) o riluzole (200 mg / día), un antiglutamatérgico con propiedades antiexcitotóxicas.(11) Por su parte, en 2013 el grupo de Huntington del Departamento de Neurología de la Universidad de Muenster (Alemania), critica el uso del UHDRS como instrumento de medida, estableciendo que este fue elegido en forma arbitraria y que no refleja niveles de relevancia clínica validados, aportando recomendaciones que no representan la práctica clínica actual.(12)


A pesar de que el pronóstico a corto plazo generalmente es bueno, con mejoría progresiva de los movimientos coreicos, el pronóstico a largo plazo no está determinado específicamente por la hemicorea sino por el curso de la enfermedad cardiovascular. En el estudio de Laussane solamente 3 de 29 pacientes persistían con movimientos anormales a los 6 meses del epiosodio inicial, mientras que en el estudio de Seoul la hemicorea había desaparecido en 56% de los pacientes tras un seguimiento de 22 meses. En dicho estudio se vio que los pacientes con lesiones corticales tenían un pronóstico funcional más favorable que aquellos con lesiones subtalámicas. Por su parte, en el estudio de Quito, tras un año de aparición de los movimientos anormales involuntarios 12 pacientes (21.4%) presentaron una mejoría completa, 38 pacientes (67.8%) mejoraron parcialmente, 4 (7.1%) no mejoraron y 2 pacientes con corea fallecieron.



Conclusiones


La corea constituye un desafío diagnóstico debido a su baja frecuencia y a las múltiples etiologías a las que responde.


Cuando se presenta como una hemicorea de instalación brusca en un paciente con factores de riesgo para enfermedad cardiovascular, debe orientarnos a la causa vascular y, concretamente, que se trate de un ACV, siendo la corea el trastorno del movimiento más frecuente en estos últimos.


Como diagnóstico diferencial a tener en cuenta se destaca el descontrol metabólico hiperglicémico no cetósico en el cual clásicamente la clínica mejora al normalizarse las cifras de glicemia.


Las lesiones son mayoritariamente profundas, topografiadas a nivel del tálamo y núcleo lenticular y, con menor frecuencia a nivel del núcleo subtalámico, teniendo la RM mayor sensibilidad que la TC para su visualización.


Las recomendaciones de tratamiento son controvertidas y extrapoladas de estudios de la Enfermedad de Huntington. Se basan en el uso de fármacos antidopaminérgicos en los casos en los que la corea interfiere con las actividades cotidianas, produciendo una disminución de los movimientos coreicos en la mayoría. Sin embargo, el pronóstico a largo plazo de estos pacientes no está marcado por la corea en sí sino por el curso evolutivo de la enfermedad cardiovascular, cobrando especial importancia la profilaxis secundaria de eventos cardiovasculares.


El paciente del caso clínico se presentó con una hemicorea de instalación brusca del lado contralateral a la lesión responsable, topografiada a nivel gangliobasal, y evolucionó a la mejoría, acorde a lo descrito en la bibliografía citada.


Queda por definir de manera más precisa las características clínicas e imagenológicas de los ACVs a forma de hemicorea vascular, así como el tratamiento más adecuado para los mismos, para lo cual se necesitarían estudios con un mayor número de pacientes.




Bibliografía


1. Suchowersky O, Bouchard M. Overview of chorea [en línea]. UpToDate Marketing Professional; 2015 [acceso Mayo 2016]. Disponible en: http://www.uptodate.com/contents/overview-of-chorea?source=search_result&search=hemicorea+vascular&selectedTitle=4~150

2. Pebet M, Soria R. Neurología Clínica. Montevideo; Prensa Médica Latinoamericana; 2004. Síndromes disquinéticos; p.55-62.


3. Hermann A, Walker R. Diagnosis and Treatment of Chorea Syndromes. Curr Neurol Neurosci Rep (2015) 15:1.


4. Martínez Alfonso B, Blanco AE, Rojano J, Calleja JL. Vascular hemichorea: case report and review. Medwave 2014;14(3):e5936 doi: 10.5867/medwave.2014.03.5936

5. Ziljmans JC. Vascular chorea in adults and children. Handb Clin Neurol. 2011;100:261-70.


6. Ghika-Schmid F, Ghika J, Regli F, Bogousslavsky J. Hyperkinetic movement disorders during and after acute stroke: the Lausanne Stroke Registry. J Neurol Sci. 1997;146(2):109.


7. Handley A, Medcalf P, Hellier K, Dutta D. Movement disorders after stroke. Age Ageing. 2009;38(3):260-6.


8. Alarcón F, Ziljmans JC, Dueñas G, Cevallos N. Post-stroke movement disorders: report of 56 patients. J Neurol Neurosurg Psychiatry. 2004;75(11):1568.


9. Chung SJ, Im JH, Lee MC, Kim JS. Hemichorea after stroke: clinical-radiological correlation. J Neurol. 2004;251(6):725.


10. Carrion DM, Carrion AF. Non-ketotic hyperglycaemia hemichorea-hemiballismus and acute ischaemic stroke. BMJ Case Rep. 2013 Mar 6;pii: bcr2012008359.


11. Armstrong MJ, Miyasaki JM. Evidence-based guideline: pharmacologic treatment of chorea in Huntington disease: report of the guideline development subcommittee of the American Academy of Neurology. Neurology. 2012; 79(6):597-603.


12. Reilmann R. Pharmacological treatment of chorea in Huntington´s disease-good clinical practice versus evidence-based guideline. Mov Disord. 2013;28(8):1030-3.

Creative Commons License Todo o conteúdo deste periódico, exceto onde está identificado, está licenciado sob uma Licença Creative Commons