INTRODUCCIÓN
El angiomixoma agresivo o profundo es un tumor mesenquimático benigno poco frecuente, del cual se han reportado alrededor de 350 casos a nivel mundial hasta la fecha1. Dicha tumoración fue descrita inicialmente por Steeper y Rosai en 19832.
Presenta un buen pronóstico vital: el término ‘agresivo’ fue otorgado no por su potencial de malignización, sino por su naturaleza vascular neoplásica, su gran capacidad infiltrativa y su alta tasa de recidiva3,4. En 2020 la OMS propuso el término ‘profundo’ para evitar confusiones sobre su carácter benigno y no metastatizante5. Ambos términos se usarán de forma indistinta en este reporte.
Afecta principalmente a mujeres en edad reproductiva con un pico de incidencia en la cuarta década de vida1, con una proporción de 7:1 entre mujeres y hombres, manifestando un carácter hormono-dependiente. Se engloba dentro de los mixomas de partes blandas y se topografía con frecuencia en la vulva, pudiendo encontrarse también en vagina, pelvis, escroto y retroperitoneo3.
El angiomixoma agresivo presenta una recidiva frecuente, pudiendo alcanzar hasta el 72%, pero nula mortalidad6,7; se han reportado 2 casos de metástasis hasta el momento, poniendo en cuestión el carácter benigno de dicho tumor8 Presenta un patrón de infiltración local9 y crecimiento lento, con baja actividad mitótica y baja celularidad1. La herramienta terapéutica más eficaz hasta el momento es la resección quirúrgica completa, obteniendo una baja tasa de éxito mediante radio o quimioterapia dada la alta composición de colágeno del tumor.
Hasta el momento no se han publicado casos de esta patología en Uruguay. A continuación se reportará un caso clínico de angiomixoma agresivo pélvico diagnosticado y tratado en el Hospital de Clínicas “Dr. Manuel Quintela”, en Montevideo, Uruguay.
CASO CLÍNICO
Se reporta una paciente de sexo femenino de 44 años, previamente sana, que consultó por una tumoración abdominal de cinco años de evolución, acompañada de distensión abdominal y dolor leve e intermitente de mismo tiempo de evolución. No presentaba alteraciones del tránsito digestivo o urinario. Cabe destacar que la paciente había consultado tres años antes por la misma tumoración y dolor abdominal, en la que se realizó una radiografía abdominal que no mostró alteraciones; la paciente abandonó controles posteriores.
Al examen físico abdominal se palpaba una tumoración abdominopélvica, extendida desde hipogastrio a la cicatriz umbilical con un diámetro aproximado de 14cm, de límites netos, ovalada, de superficie lisa y consistencia firme-elástica, parcialmente móvil, adherida a planos profundos e indolora. Al tacto vaginal, el fondo de saco vaginal anterior se encontraba ocupado por dicha tumoración.
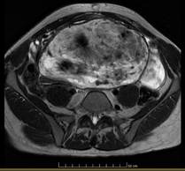
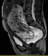
Posteriormente se realizó una resonancia magnética de abdomen y pelvis, en la que se observó una masa pélvica extraperitoneal con extensión abdominal, de 230mm x 183mm x 106mm de tamaño, muy bien delimitada, provocando desplazamiento severo de recto, de útero y anexos, y de vejiga. Dicha tumoración se mostró hipointensa en T1 e hiperintensa en T2 (imágenes 1 2 y 3).
Mediante el informe de la resonancia magnética se sospechó la presencia de un tumor de estirpe nerviosa (Schwanoma), por lo que se sometió a la paciente a una biopsia por aguja gruesa que informó un tumor de estirpe sarcomatosa.
En cuanto a su tratamiento, se optó por una resección laparotómica en bloque de la tumoración, junto con histerectomía total, resección parcial del uréter izquierdo con reimplante en vejiga y del tercio superior de vagina, enviando la pieza resecada para su estudio anatomopatológico, instancia en la cual se llegó al diagnóstico de angiomixoma definitivo.
El análisis anatomopatológico postoperatorio informó un angiomixoma profundo de 21.5cm x 10.5cm x 11cm de tamaño, infiltrando partes blandas y cara posterior de útero y de cuello uterino (imagen 3). La mayoría de los márgenes de resección fueron menores a 5mm, siendo uno positivo (inferior al cuello uterino), uno menor de 1mm y uno mayor a 10mm. Sólo el margen de resección ureteral fue negativo. La inmunohistoquímica informó biomarcadores hormonales positivos (RE 90% y RP 100%), e inmunomarcadores desmina y HMGA2 positivos también, siendo negativos los marcadores CD34 y S-100.
La paciente presentó una buena evolución postoperatoria, por lo que se le otorgó el alta hospitalaria a la semana. Se realizó una nueva resonancia magnética a los 7 meses, sin alteraciones.
DISCUSIÓN
El angiomixoma profundo o agresivo es un tumor raro, de origen miofibroblástico y carácter benigno que se localiza principalmente en abdomen y pelvis. Su diagnóstico es de presunción imagenológica y confirmación anatomopatológica, siendo acertado el diagnóstico preoperatorio en un 20% de los casos6.
Su patogenia no se ha dilucidado del todo aún; su origen se asocia a la translocación de una proteína de gran morbilidad (HMGA2) localizada en el cromosoma 1210 generando así una versión aberrante de la misma10; dicha alteración se ha encontrado también en otros tumores ginecológicos benignos, tales como los pólipos endometriales.
En cuanto a sus características morfológicas, el angiomixoma agresivo tiene un tamaño de entre 1.5cm y 66cm en su eje mayor y un aspecto multilobulado y gelatinoso1,4. Se ha visto que en casos de recidiva el angiomixoma presenta un mayor componente fibrótico11. Histológicamente, este tipo de tumores se caracteriza por una escasa presencia celular, principalmente compuesta de células estrelladas y fusiformes de bajo índice mitótico y ausencia de atipía citonuclear12, y vascularización propia de espesor parietal variable sobre un estroma mixoide laxo, con presencia de fibras de colágeno y músculo liso1,13.
Hasta el momento no existen inmunomarcadores altamente específicos para este tipo de lesiones; se ha postulado el marcador HGMA2 como herramienta diagnóstica por presentar alta sensibilidad, obteniendo resultados irregulares dada su expresión en otras neoplasias de partes blandas también, entre ellos el leiomioma. El angiomixoma estudiado en este caso presentó positividad para el marcador HGMA2, resultado esperable dado lo mencionado previamente. Actualmente se está investigando el uso de dicho marcador para la valoración de los márgenes tumorales, aumentando así la efectividad de los resultados postoperatorios10.
El angiomixoma agresivo presenta una alta tasa de respuesta positiva a receptores de estrógeno y progesterona (marcadores de alta sensibilidad pero baja especificidad14 y, en menor medida, a la desmina, vimentina y CD344.
Para facilitar su diagnóstico, la guía de la OMS sobre tumores de piel y partes blandas publicada en 2020 estableció 6 criterios esenciales y 1 criterio deseable cuya presencia determinan esta entidad neoplásica.5 El análisis anatomopatológico de la pieza en este reporte de caso se realizó en base a dichos criterios, cumpliendo con todos ellos.
El diagnóstico clínico del angiomixoma agresivo requiere un alto índice de sospecha ante su extrema baja incidencia y su forma de presentación inespecífica9. Clínicamente, dicho tumor tiene presentaciones variadas e inespecíficas de la esfera gastrointestinal, ginecológica y urinaria, provocando un diagnóstico certero15. Debido a la gran inespecificidad de su presentación clínica, existen múltiples diagnósticos diferenciales como hernia crural, quiste de Bartolino, prolapso vaginal, mixoma o liposarcoma, entre otros4,8.
La presentación clínica de esta paciente no fue la excepción: se llegó al diagnóstico definitivo de forma postoperatoria luego de cinco años del inicio del cuadro y luego de múltiples instancias clínicas, imagenológicas e incluso luego de una biopsia por aguja gruesa.
En cuanto a la imagenología, la resonancia magnética permite una mejor planificación quirúrgica gracias a su alta precisión para identificar invasión de estructuras adyacentes1. Es frecuente encontrar una masa iso o hipointensa en T1 e hiperintensa en T2 gracias a su gran contenido en matriz y de agua, y es posible encontrar un patrón característico en espiral o remolino, manifestando su componente fibrovascular13. Otros estudios de utilidad debatida son la ecografía abdominal, en la que se halla una imagen hipoecoica o quística y vascularización periférica al Doppler7, y la tomografía computada, identificando una masa hipodensa y heterogénea de márgenes bien definidos y su característica forma arremolinada ante la administración de contraste7.
El caso reportado coincide con la descripción epidemiológica, topográfica, clínica e imagenológica de los angiomixomas profundos. Es importante resaltar el desafío diagnóstico que este tumor representa para el clínico: en esta paciente el mismo se determinó en la instancia postoperatoria, sin determinación satisfactoria de la etiología tumoral ante la presentación clínica e imagenológica e incluso ante una biopsia por aguja gruesa.
El tratamiento quirúrgico de primera línea es la escisión quirúrgica completa de bordes amplios1, realizado por un equipo multidisciplinario. No obstante, la extensión de la resección es motivo de debate en la actualidad. Por un lado, la escisión completa tumoral es un desafío debido a la imposibilidad de determinar los límites tumorales macroscópicamente, dado que el angiomixma agresivo no presenta cápsula y su consistencia es la misma del tejido conjuntivo. Por otro lado, algunos estudios cuestionan la resección de márgenes negativos dado el aumento en morbilidad e infertilidad de los pacientes en resecciones de múltiples órganos pélvicos, sugiriendo un seguimiento estricto clínico e imagenológico. Una investigación de Chan y cols. (3 que incluyó 106 pacientes no encontró diferencias significativas en cuanto a recidiva a 10 años entre la resección de márgenes libres y la resección parcial de dicho tumor.
En este caso reportado se decidió la resección en bloque dado que la paciente no tenía deseo concepcional y en el entendido de que la extensión de la resección no alteraría su calidad de vida. La resección fue realizada por un equipo multidisciplinario compuesto por cirujanos generales, ginecólogos y urólogos.
En cuanto a un posible tratamiento coadyuvante, tanto la quimioterapia como la radioterapia han demostrado escaso beneficio terapéutico. La experiencia con radioterapia no ha sido del todo exitosa por el bajo índice mitótico que presenta dicha neoplasia, disminuyendo aún más su éxito ante una recidiva dado el aumento en proporción de colágeno16; se ha planteado ante imposibilidad de resección o de recidiva.
Se ha descrito también el tratamiento hormonal como coadyuvante pre/postoperatorio, o ante pacientes que se niegan o presentan contraindicación de tratamiento quirúrgico. El pico de incidencia tumoral durante la edad reproductiva de la mujer y la alta tasa de respuesta a receptores de estrógeno y progesterona explican la utilidad de esta herramienta terapéutica y la creciente investigación en esta área. Las opciones descritas hasta el momento constan de los agonistas de la hormona liberadora de gonadotropina (leuprorelina o goserelina), moduladores de los receptores estrógenicos (tamoxifeno), e inhibidores de la aromatasa conversora de andrógenos. Un estudio combinó el uso de goserelina con tamoxifeno luego de una recurrencia postoperatoria, obteniendo una respuesta completa luego de 14 meses17. Otro estudio investigó la efectividad de la leuprorelina como único tratamiento del angiomixoma agresivo, encontrando una gran reducción de tamaño durante el tratamiento pero una recidiva precoz luego de su suspensión12. Por último, Giles et al. eligieron el tratamiento exclusivo con exemestano -inhibidor de la aromatasa- en una paciente postmenopáusica. Presentó una reducción tumoral de 5cm, pero los efectos adversos del fármaco obligaron a continuar con tratamiento quirúrgico18.
Hasta la fecha no se ha establecido una dosis y plazo óptimos de tratamiento coadyuvante debido a la irregularidad de resultados en distintas investigaciones1. Por otro lado, los efectos adversos del tratamiento hormonal han de ser tenidos en cuenta a la hora de su instalación y/o mantenimiento4.
La mayor tasa de recurrencia se presenta en los 3 años posteriores al tratamiento existiendo descripciones de recurrencia desde los 2 meses a los 15 años posteriores al diagnóstico inicial17; es importante destacar que dicha recurrencia no depende del tamaño tumoral, aunque sí de los márgenes de resección14. Hasta la fecha, a los 7 meses de postoperatorio, la paciente descrita en este reporte no ha presentado recurrencias.
Dada la alta tasa de recurrencia, se ha planteado clasificar al angiomixoma agresivo como una neoplasia de malignidad borderline, aunque es necesaria una mayor recolección de casos para dicha determinación. Por lo mencionado previamente se aconseja un seguimiento clínico e imagenológico estrecho de los pacientes1.
CONCLUSIÓN
El angiomixoma agresivo es un tumor de baja prevalencia y malignidad cuyo diagnóstico precoz requiere un alto grado de sospecha. Presenta un comportamiento imagenológico e histológico característicos. El tratamiento de elección es la resección en bloque con márgenes negativos realizada por un equipo multidisciplinario; este concepto se ha puesto en revisión recientemente dada la falta de evidencia sólida sobre su beneficio ante la resección parcial.. Por otro lado, la terapia hormonal es cada vez más elegida, tanto de carácter exclusivo como para prevención y control de recidivas. Es necesario el seguimiento estrecho y prolongado de forma clínica e imagenológica dada la alta tasa de recidiva de este tumor. Es imperiosa la puesta en marcha de investigaciones de mayor nivel de evidencia para poder obtener conclusiones contundentes sobre el tratamiento óptimo, tanto quirúrgico como farmacológico.
El conjunto de datos que apoya los resultados de este estudio se encuentran disponibles en la Historia Clínica Electrónica del Hospital de Clínicas de Montevideo, Uruguay.

















