Introducción
La rehabilitación de aquellas pérdidas de sustancia de los tejidos del velo del paladar, impone al protesista y al licenciado en fonoaudiología, un desafío muy particular, dado que se deben restituir tejidos móviles mediante una prótesis estática.
Sin embargo esta compleja problemática, puede ser resuelta satisfactoriamente si se la aborda de forma multidisciplinaria, para ello es imprescindible el trabajo en conjunto de un equipo de profesionales especializados. En tal sentido el S.P.B.M.F. ha trabajado de esta forma, desde su formación, con la dirección de la Dra. Isabel Jankielewicz hasta la fecha.
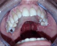
Se presentará la rehabilitación integral de una pérdida de sustancia velopalatina extendida (consecuencia de la resección quirúrgica del velo del paladar como tratamiento de tumor salival, (adenocarcinoma polimorfo de bajo grado), en paciente de sexo femenino, de 61 años de edad, maestra en actividad, muy cuidadosa de su apariencia 1.
En este caso en particular, al tratarse de una educadora, se la considera una profesional de la voz, ya que ésta es su herramienta de trabajo.
Definición
La Prótesis Obturatriz (del latín obturare, cerrar o taponar), tiene como objetivo principal, cerrar la comunicación existente entre la cavidad oral y las fosas nasales.
Por otro lado busca devolver las funciones orales que se vieron perdidas o alteradas ante la falta de tejido palatal, óseo y/o blando. Tales funciones comprenden: alimentación y nutrición, calidad del habla, calidad de la voz, respiración y audición (se detallaran más adelante).
La Prótesis Velopalatal, variedad de la prótesis obturatriz, es la restitución anatómica y funcional por medios inertes artificiales, aloplásticos, de las pérdidas de sustancia que involucran al área del velo del paladar (defectos velo palatales), que pueden ser de etiología congénita o adquirida, y dentro de esta última se incluyen a los traumatismos y a la cirugía por Cáncer (onco-cirugía).
Historia Michel Benoist describe los trabajos de Ambroise Paré (1517-1590), quien es el primer autor en describir un obturador palatino y de Pierre Fauchard (1678 - 1761), que desarrolló un ingenioso diseño de obturador, el cual se introducía en los defectos palatinos abriéndose y cerrándose con un dispositivo de tipo mariposa realizado en oro y plata.
Hacia 1820 Goodyear vulcaniza el caucho, surgiendo como material dental la Vulcanita, la cual fue utilizada para este tipo de obturadores, comenzando a gestarse al mismo tiempo la preocupación de conjugar la prótesis con la reeducación fonética.
Benoist destaca también a Suersen (1877) quien profundizó tales aspectos, detallando en sus trabajos no solo la reconstrucción velopalataina, sino también la obturación nasofaríngea durante la función, y a Claude Martín (1889) el cual diseñó obturadores velofaríngeos con un doble bolsillo de agua, un bolsillo superior y otro inferior haciendo que el agua circule entre uno y otro, acorde a los movimientos del velo del paladar. La posterior aparición de la resina acrílica (1950), vuelve a este material de primera elección en prótesis dental. 2
Respecto al diseño de los obturadores velopalatinos, se puede destacar al obturador articulado de Ponroy y Psaume, el cual tiene una bisagra que articula entre sí las porciones del paladar duro y del velo del paladar de la prótesis. El obturador de Schiltsky, que utiliza un tutor metálico entre la base y el obturador, y el de Froschel y Schalit, que se proyecta a nivel posterior y superior de las vías aéreas superiores (meato-obturador).3
Clasificación
Según Alfredo Álvarez Rivero y colectivo de autores (CIMEQ-CUBA) se clasifican los obturadores velofaríngeos en dos diferentes grupos:
a- Obturador para paladar blando, obturador velofaríngeo u obturador faríngeo: su diseño acompaña la curvatura del paladar aproximándose y buscando contacto para buscar el cierre velofaríngeo.
b- Obturador de meato o meato obturador, que se diferencia del anterior por tener una proyección hacia atrás y hacia arriba, que cierra parcialmente la entrada de aire a las fosas nasales (perforado o no) mejorando la voz y evitando el reflujo de alimentos sólidos y líquidos.4
Pese a los avances en la cirugía reconstructiva, en los casos de pérdida de sustancia extensa en velo de paladar, no siempre es posible la reconstrucción quirúrgica con tejidos propios del paciente. Por ello es necesario la restitución anatómica y funcional por medios inertes artificiales, aloplásticos, mediante una prótesis, pudiéndose complementar Cirugía y Prótesis, esto último es particularmente cierto en los casos de etiología oncológica.
Alteraciones funcionales
Entre las secuelas por la pérdida de sustancia velopalatal, debemos destacar que la comunicación buco - naso - sinusal, trae aparejado dificultades en todas las funciones de la boca.
Alimentación y nutrición: por alteración de los tiempos oral y faríngeo de la deglución fundamentalmente.5 El paciente debe realizar compensaciones en el armado de la masticación y contención del bolo alimenticio. Otras veces es necesario modificar tanto la consistencia y viscosidad de los alimentos, como la vía de alimentación (uso de sonda nasogástrica o gastrostomía en los casos más graves).
Articulación de la palabra: se ve afectada debido a que la persona pierde los puntos de referencia intraorales para la producción de los distintos fonemas que estructuran las palabras. Los puntos articulatorios, en los cuales la lengua toma contacto con el paladar se pierden o se ven modificados. Esto hace que la articulación de la palabra se torne borrosa, llevando en ocasiones a un habla ininteligible.6
Calidad de la voz: (resonancia, intensidad, duración): las cavidades oral y nasal constituyen parte de las cavidades de resonancia de la voz junto con la laringe, faringe y los senos paranasales. Al estar estas dos cavidades (oral y nasal) conectadas, la voz adquiere una resonancia hipernasal o una rinolalia abierta. Existe escape de aire y voz por las fosas nasales, al no poder lograr un adecuado cierre y una disminución en la presión intraoral por falta de tejido palatal o velar. 7La intensidad de la voz es baja y la duración del sonido es de corta duración.
Respiración: debido al escape de aire nasal el paciente debe inspirar con mayor frecuencia, trayendo aparejada una alteración en el ritmo respiratorio. La persona se cansa más al hablar.
Audición: se encuentra indirectamente comprometida, ya que al haber una menor presión intraoral, el oído medio no se ventila adecuadamente. Cuando hay una resección a nivel velar se evidencia una gran disminución en la audición ya que los músculos periestafilinos internos y externos del velo del paladar han sido seccionados y removidos durante el acto quirúrgico. Ellos son los responsables de la apertura y cierre de la Trompa de Eustaquio (la cual permite igualar las presiones de aire del oído medio, con el exterior).Esto trae como consecuencia una hipoacusia conductiva, de grado leve a moderado. En los casos en que el paciente recibe tratamiento de radioterapia o quimioterapia muchas veces trae aparejado una hipoacusia post - rádica.
A estas alteraciones funcionales debemos sumar sus correspondientes repercusiones en el área psicológica, social, familiar y laboral. (Cuadro 1)
Para que la prótesis velopalatal pueda lograr sus objetivos, es indispensable que tenga una correcta relación con los tejidos velopalatales u orofaríngeos remanentes. El defecto velopalatal no es estático, por el contrario la región velo palatal es un área de gran movilidad y de encrucijada entre la vía digestiva y respiratoria.
Por tanto es indispensable registrar los distintos movimientos de los tejidos circundantes, que se producen en las múltiples funciones. Para ello se deben realizar técnicas de impresiones especiales que permitan reproducir tales movimientos. 8
La rehabilitación, de los pacientes tributarios de este tipo de prótesis, debe ser realizada en un marco de equipo multidisciplinario, con la participación en conjunto de Odontólogo Protesista B.M.F., Licenciado en Fonoaudiología, Licenciado en Psicología, Laboratorista Dental y Asistente Dental. (9, 10)
Materiales y Métodos
- Impresión y modelo primario: se realiza una impresión primaria, anatómica utilizando una cubeta de stock para paciente dentado, se individualiza con cera rosada, una extensión distal de la misma, de forma tal de abarcar la zona de la pérdida de sustancia velopalatal. El material de impresión que se utiliza es el alginato, teniendo la precaución de colocar un trozo de gasa sobre la superficie del mismo cuyo tamaño equivale al defecto velopalatal, dicha gasa tiene como objetivo primordial evitar que el alginato sea impulsado a las vías aéreas superiores (Fig. 1y 2).
- Relevamiento: una vez obtenido el modelo primario, se realiza el relevamiento dentario y también de las zonas mucosas con el paralelómetro, incluyendo el ecuador del defecto velopalatal. El relevamiento de zonas mucosas y del defecto es imprescindible, ya que el eje de entrada y salida de la prótesis con el correspondiente obturador, es determinado por las estructuras duras dentarias, debiéndose respetar largo de base y sellado de la comunicación de acuerdo a este eje. Se determina el eje intro-expulsivo de la futura prótesis, y se planifica el tallado de lechos para apoyos, planos y superficies guías de las piezas pilares, que serán realizadas en la siguiente sesión clínica. Se decide la realización de una prótesis a placa con retenedores labrados de acero inoxidable de 0.9 mm. 11
- Cubeta individual: se realiza una cubeta individual única para terreno dentario y mucoso, la papila piriforme y el rafe medio son aliviados por motivos biológicos, utilizando cera rosada, para posteriormente realizar una cubeta individual en acrílico. Aliviada en los dientes y ajustada en la mucosa.
- Preparación de boca: valiéndose de piedras de diamante redondas y cilíndricas montadas en una turbina, se realizan los desgastes planificados.
- Impresión y modelo definitivo: la impresión definitiva se realiza con elastómero de silicona, y en el modelo definitivo se hace relevamiento definitivo, ya que en una prótesis a placa deben respetarse los mismos lineamientos que para una con estructura de cromo-cobalto.
- Preparación del modelo definitivo: Se determinan las áreas de retención, con socavado retentivo de 0.75 mm para ubicar brazos activos en acero inoxidable en 0.9 mm en los pilares 17 y 24.
En las prótesis a placa, se establece la reciprocación del aparato en la superficie guía de las caras linguales de las piezas dentales, contribuyendo además los planos guía en un eje único de entrada y salida. Se deben bloquear todas las áreas retentivas de las piezas dentarias por debajo de superficies y planos guías con yeso parís o revestimiento, así como las zonas de protección del margen gingival.12) Este paso es de suma importancia, ya que no deben llenarse estas zonas con acrílico de base lo cual impediría la instalación del aparato y su retoque en la clínica, hace perder la reciprocación correspondiente. Cabe destacar que la anatomía de la pérdida de sustancia, debe ser siempre analizada en tal relevamiento, para tener el ecuador del defecto y realizar el obturador introduciéndose en la zona con el desnivel retentivo necesario, sin causar lesiones en su introducción y retiro.
- Base definitiva: se realiza la técnica de la base definitiva, es decir sobre el modelo obtenido se procesa la base en acrílico transparente, de esta manera se obtiene una base protética estable, que permite posteriormente realizar las impresiones terciarias (modelado funcional del área velopalatal).
Se elabora un ansa de metal en forma de Omega en alambre 0.9 mm., este tutor se proyecta desde el extremo distal de la base protética hacia el área velopalatal, el mismo se utilizará para realizar la impresión funcional, de los tejidos remanentes del esfínter oral posterior, este paso es realizado en forma conjunta entre el Odontólogo Protesista y el Licenciado en Fonoaudiología (procedimiento que se explica detalladamente más adelante).
Se procesa la base definitiva en acrílico termocurable transparente mediante el procedimiento de puesta en mufla.
Se opta por acrílico termocurable en su variedad incoloro (o cristal) debido a la ausencia de pigmentos de este material lo que proporciona visualización de los puntos de apoyo a nivel de las estructuras remanentes y posibles zonas de sobre compresión ( Fig. 3 y 4).
Se entiende por impresión funcional o en dinámica (impresión terciaria) cuando se le solicita al paciente reproducir determinados fonemas, palabras y/o frases acompañados de movimientos deglutorios y cervicales que logren reproducir el material faltante luego de la excéresis tumoral.
Se procede a colocar la base protética procesada en boca y se evalúa visualmente el espacio entre el omega de alambre (tutor) y los tejidos circundantes de la orofaringe. Se entrena al paciente solicitándole realice movimientos con la cabeza de lateralización y flexión anterior sobre el pecho, articulación de fonemas, preferentemente con punto articulatorio posterior en combinación silábica aislada, formando palabras y asociadas a frases sencillas junto con movimientos deglutorios de saliva.
Sobre el tutor se coloca en primera instancia cera de sellado, que realiza una primera aproximación de la forma del bulbo obturador (Figs. 5 y 6), y en un segundo tiempo se le adiciona elastómero de silicona de consistencia regular. Con esta técnica en particular se trata de registrar a los músculos faringoestafilinos y al constrictor superior de la faringe (rodete de Passavant).
Existe una estrecha relación ya desde la vida intrauterina entre el paladar y la lengua, por lo que no resultaría extraño entender la reciprocidad que hay entre la forma y la función de la cavidad oral. Además, en el desarrollo normal del lenguaje, el niño va adquiriendo los distintos fonemas en una suerte de juego vocal, donde toma contacto nuevamente la lengua con los distintos componentes orales. De esta forma se van formando y grabando a nivel cerebral los distintos engramas fonéticos y las propioceptividades orofaríngeas, conjuntamente con la percepción auditiva.
Cuando hay una pérdida o una modificación a nivel oral, luego de una cirugía por excéresis tumoral, la sensibilidad, las propioceptividades intraorales, los puntos articulatorios de la palabra, la colocación de la lengua al deglutir, incluso su propia saliva se alteran.
La calidad de la voz se ve alterada con una resonancia nasal (hipernasalización), así como la intensidad de la voz (hipofonía), respiraciones más frecuentes, articulación de la palabra con tendencia a ser un habla borrosa sin necesidad de llegar a ser ininteligible, la deglución y la audición.
Por eso es tan importante actuar en forma temprana, apelando a la memoria neuro- muscular y auditiva, brindándole nuevamente al paciente una estructura lo más semejante posible a la que tuvo previo a la cirugía y permitiendo establecer las nuevas propioceptividades intraorales, y facilitando las maniobras compensatorias que se dan en forma natural por parte del paciente.
Teniendo en cuenta la localización y tamaño de la excéresis tumoral se seleccionaron los fonemas y combinaciones de fonemas en sílabas y frases para la repetición, movimientos orales, dentro de las posibilidades de cada paciente, que aumentan la presión intraoral. 13
En este caso fueron usados fonemas de articulación posterior (/k/, /g/, /j/) en combinación con las vocales /e/, /i/ en forma repetitiva. Se eligió como fonemas de transición, de la parte media del paladar a la posterior /ch/ y /ñ/ nuevamente combinados con las vocales ya mencionadas.
Dado que el habla forma parte del proceso comunicacional, que es dinámico se le hicieron repetir frases que contengan palabras con los fonemas ya descriptos.
El registro funcional lo realiza el odontólogo, en presencia del fonoaudiólogo. Se coloca al paciente en posición sentado, derecho, se carga silicona regular sobre el tutor y con la prótesis en posición se le solicita la producción de fonemas, palabras y frases, durante el tiempo de trabajo (vulcanización) del elastómero de silicona (Figs. 7 y 8).
El elastómero utilizado tiene un tiempo de vulcanizado de tres minutos con treinta segundos, durante todo ese tiempo se realiza la repetición de las distintas combinaciones de los fonemas para registrar los distintos grupos musculares (linguales y faríngeos).
Es importante la posición del paciente en el sillón odontológico a 90° para la impresión en dinámica ya que lo habitual al hablar es que la persona esté parada o sentada manteniendo el eje de gravedad.
La porción velopalatal de la prótesis ó bulbo obturador deberá tener las siguientes características:
a) Durante el reposo silente de la musculatura orofaríngea (mientras la persona respira) la prótesis deberá mantener una separación con respecto a la musculatura permitiendo el pasaje de aire hacia la faringe al respirar por las fosas nasales.
b) En la función tanto deglutoria como del habla se produce la contracción de los músculos orofaríngeos. En esos movimientos el obturador deberá tomar contacto con tales estructuras en forma complaciente para no producir lesión en las mucosas.
La extensión velopalatal de la prótesis que surge de los registros realizados en la clínica, es realizado mediante un molde y un contra molde de yeso piedra relacionados entre sí mediante guías, que van a reproducir tanto la cara nasal como la bucal respectivamente, y entre ambos los bordes periféricos del bulbo obturador. En esta cámara de moldeo creada por este procedimiento, se carga y procesa en acrílico termocurable transparente. La prótesis deberá tener una terminación cuidadosa para no generar lesiones de los tejidos remanentes involucrados (Fig. 9), tanto en la cara bucal como nasal del bulbo obturador (Fig. 10, 11 y 12).
La prótesis es finalmente instalada (Fig. 13)realizándose los controles correspondientes tanto protésicos como fonoaudiológicos.14
Cabe destacar que la rehabilitación no podrá ser integral si no es abordado también desde el punto de vista psicológico, en tal sentido se debe entender que rehabilitar es “habilitar de nuevo o restituir a alguien o algo a su antiguo estado”, haciendo referencia al proceso de atención sanitaria dirigido a atender las secuelas de una enfermedad o trauma que causan disfunción y discapacidad, con el objetivo de restituir a la persona su funcionalidad social, laboral e integral.
La función del Psicólogo es ayudar al paciente a procesar el duelo por aquella parte del cuerpo que perdió. Esa pérdida (mutilación), que cobra una significación diferente para cada paciente, se trabaja también en relación a las fantasías y expectativas del mismo. 15
El psicólogo acompaña en el proceso laborioso del sujeto, de aceptar su pérdida. Pero no es cualquier pérdida, sino una parte de sí mismo. Esto vivido como un anticipo de la muerte como pérdida de la integridad.
El duelo se manifiesta en 5 fases:
Fase de negación: El sujeto se defiende de lo sucedido, utilizando la negación como mecanismo de defensa.
Fase de enfado, ira: No puede evitar lo sucedido y esto le genera descontento. Puede expresar su enojo con el entorno o consigo mismo. Las fantasías asociadas a la pérdida y cómo es vivido por la persona, será lo que defina hacia dónde expresará su ira. Se buscan razones y/o culpables.
Fase de negociación: Se intenta negociar con el entorno o consigo mismo, visualizando los pro y contra de lo sucedido.
Fase de dolor emocional: Se experimenta tristeza.
Fase de aceptación: En esta fase el sujeto se resigna y acepta que la pérdida es inevitable.16
Un buen proceso de duelo, permite que el paciente acepte al objeto sustituto, en este caso la prótesis, pudiendo en algún momento formar parte de su nueva imagen corporal. Raich define a la imagen corporal como un constructo complejo que incluye la percepción de todo el cuerpo y sus partes, como también la percepción del movimiento y la percepción subjetiva de sentimientos, pensamientos y valoraciones; y el modo en que el individuo se comporta en relación a las cogniciones y los sentimientos que experimenta. 17
Los profesionales del S.P.B.M.F., involucrados en la resolución de este caso en particular, trabajaron dentro de un Protocolo de Atención, el cual fue elaborado a lo largo del tiempo en las reuniones mensuales del equipo multidisciplinario (cuadro 2 ) del mencionado Servicio (R. Soler, comunicación verbal).
Este protocolo establece la oportunidad de intervención de cada uno de los profesionales así como su interrelación con los demás, a lo largo de las distintas etapas en el transcurso del tratamiento (cuadro 3).
Sus principales características son:
el plan de tratamiento surge tanto de la evaluación protésica, fonoaudiológica y psicológica.
Inter-relación imprescindible entre el odontólogo protesista y laboratorista dental especializado.
participación conjunta clínica del odontólogo protesista y del fonoaudiólogo.
permanente evaluación psicológica.
alta en conjunto.
Para una evaluación global y final del tratamiento, el paciente recibe un formulario de encuesta de satisfacción de la atención recibida. Dicho formulario se entrega en el acto de instalación y lo devuelve en los controles posteriores (período de adaptación) recogiendo su propia opinión así como la de familiares y amigos.
Discusión
La técnica realizada destaca la importancia de la impresión funcional de los tejidos velo-palatales remanentes, con la participación del fonoaudiólogo, lográndose de esta manera un bulbo obturador que se adapta a los numerosos cambios que estos tejidos tienen en las diferentes funciones en las que están involucrados.
Esta labor fonoaudiológica comienza aún antes de que el paciente sea intervenido. Se toman registros de voz y evalúan las distintas funciones orales para realizar comparaciones pre y post quirúrgicas.
Una vez que la prótesis ha sido realizada e instalada se podrá evaluar la ganancia funcional de la misma, comparando en la ficha fonoaudiológica la calidad de la voz lograda, la alimentación, masticación, inteligibilidad del habla, presión intraoral (besar, soplar, silbar, chasquear, succionar).
Una de las principales preocupaciones de la paciente, que es docente en actividad, fue la calidad de la voz frente a sus alumnos.18Teniendo en cuenta esto, se procuró mejorar la resonancia de la voz (hipernasalidad), la articulación de la palabra y también evitar el reflujo de alimentos y líquidos hacia la rinofaringe.
Desde el punto de vista protético la extensión distal que la prótesis velopalatal presenta, obliga a considerar su mecánica aparatológica. Tal extensión genera un peso adicional además de un brazo de palanca inevitable. Por ello la base protética deberá ser en su porción distal tan liviana como sea posible, y al mismo tiempo proporcionándole a la base la mayor retención.
La altura del paladar debe seguir la curvatura de la bóveda palatina (la lengua sigue teniendo la misma movilidad) y un paladar demasiado bajo puede desencadenar a nivel posterior reflejo nauseoso y una sensación de plenitud oral por escaso espacio intraoral. Recordar que la persona deglute unas 70 veces por hora durante el día en forma automática y diariamente se generan entre 1 y 2 litros de saliva, que debe ser deglutida por lo que en la impresión terciaria (impresión en dinámica o funcional) debe ser tenida en cuenta.
Finalmente se destaca que todas las labores clínicas reciben el apoyo del Psicólogo, que es uno de los profesionales que primero toma contacto con el caso y es quien culmina el proceso del alta.
Conclusiones
El trabajo en equipo multidisciplinario permite al paciente, no solo recuperarse desde el punto de vista estético y funcional, sino también, que lo rehabilita de una forma más integral (en el área psicológica y social), brindándole la posibilidad de reintegrarse a su labor, y de recuperar vínculos perdidos, familiares, sociales, laborales.
El equipo multidisciplinario debe tomar contacto con el paciente antes de que el mismo sea intervenido, planificando la solución del caso con el equipo médico quirúrgico tratante y al mismo tiempo poder realizar los registros protéticos y fonoaudiológicos pre-quirúrgicos.
El acompañamiento del Psicólogo es indispensable no solo para el paciente sino además para que el protesista encuentre la mejor manera de abordar al paciente.
El diseño protético es realizado en conjunto entre el odontólogo y el fonoaudiólogo, y es evaluado por ambos en las distintas etapas clínicas, el paciente deberá alcanzar el alta una vez que haya alcanzado todos los controles odontológicos, fonoaudiológicos y de psicológicos.
En este marco se le puede brindar al paciente apoyo durante el tratamiento, facilitándole la expresión de temores y fantasías, y permitiéndole una mayor aceptación de lo sucedido, entendiendo al sujeto como una unidad Bio-Psico-Social










texto em 



















