Serviços Personalizados
Journal
Artigo
Links relacionados
Compartilhar
Odontoestomatología
versão impressa ISSN 0797-0374versão On-line ISSN 1688-9339
Odontoestomatología vol.18 no.28 Montevideo nov. 2016
Cancer in young patients (Part 2). Oral cancers in low-risk subjects: Presentation of 4 cases and a literature review
Villanueva-Sánchez F.G*, Leyva-Huerta E.R**, Gaitán-Cepeda L.A***
* MSc. Doctor of Sciences. Full-time Research Professor. Division of Postgraduate and Research Studies. Universidad Juárez, State of Durango. México
** Research Professor. Universidad Nacional Autónoma de México. Coordinator of the MSc and PhD Program in Medical, Dental and Health Sciences. UNAM México
*** Research Professor. Universidad Nacional Autónoma de México. Head of Laboratory of Clinical and Experimental Pathology. Division of Postgraduate and Research Studies. School of Dentistry. UNAM. Mexico Laboratory of Clinical and Experimental Pathology. Division of Postgraduate and Research Studies. School of Dentistry. Universidad Nacional Autónoma de México. Ciudad Universitaria, Coyoacán 04510, México, DF. México.
Abstract
Oral cavity and head and neck cancer occurs most often between the fifth and sixth decade of life and is generally attributed to the indiscriminate use of substances such as alcohol and tobacco snuff for a considerable amount of time. However, recent studies show an increased incidence in younger patients who have never been exposed to these and other risk factors such as occupational factors, genetic predisposition, diet. Four cases of oral carcinoma are presented as well as a literature review.
Keywords: Oral cancer, squamous cell carcinoma, young patients.
Received on: 26 May 16 – Accepted on: 23 Aug 16
Introduction
Oral cavity and head and neck cancer account for 3% of all malignant tumors reported in a national reference center in Ciudad de México; INCAN (1). It is estimated that there are 170000 cases and 81000 deaths annually on account of malignant neoplasms in this site. The most frequent type is the squamous cell carcinoma, accounting for 90-95% of all intraoral malignant neoplasms. It most frequently affects men between the fifth and sixth decade of life and with a history of long-term consumption of substances like alcohol and tobacco. Some authors (2, 3) state that these carcinogenic factors are relevant in older patients.
However, other authors (4, 5) show their concern about the increasing number of young patients with no risk factors such as alcohol and tobacco use, diet, occupational risk, or genetic predisposition. This has caused uncertainty regarding the possible etiology of these lesions in this group, which remains in the field of speculation.
It has been widely accepted that there are primary risk factors related to oral cancer: some have been well documented, such as the use of the betel nut, tobacco products and chronic alcohol consumption. Poor dietary habits and dietary deficiencies have also been linked to a higher risk of developing this cancer; factors such as radiation, chronic infections (syphilis and candidiasis), oncogenic viruses and immunosuppression have been suggested as “inducing” carcinogenic factors. Occupational or environmental exposure to some chemicals such as formaldehyde, herbicides and even intrinsic agents such as genetic predisposition have been added to the list (6-8).
This shows that possibility of malignant neoplasms developing even in the absence of carcinogenic factors.
This would increase the knowledge we have on the possibility of developing oral cancer even without apparent risk factors.
Case studies
Case 1
A 39-year-old mixed-race female patient attended the Oral Medicine Clinic and Laboratory of Clinical and Experimental Pathology of the DEPel, School of Dentistry, UNAM, presenting an ulcerated area on the left side of the hard palate. The patient states that the lesion appeared approximately 10 months ago. During the interview, the patient stated that she did not abuse alcohol or tobacco products, and that she did not have any other oral cancer-inducing risk factor. She only had a positive genetic load for diabetes mellitus on her father’s side. Upon clinical observation, the professionals noticed a crateriform ulcer, with a long axis measuring approximately 1.5 cm. It had hard, irregular borders, and the center had necrotic areas and bleeding areas (Fig.1). The patient was asymptomatic and presented no paresthesia. The lesion extended from the center of the left palate in the molar area to the vestibular area on the same side, which caused Grade II mobility of the first molar. There was no inflammation of the cervical ganglia.
On a radiography, a radiolucent, osteolytic area appeared surrounding the upper left first molar, with diffuse and irregular borders.
The presumptive diagnosis was salivary gland malignant neoplasm vs oral cavity squamous cell carcinoma. The patient was referred to the Oral and Maxillofacial Surgery Service at the same institution, where an incisional biopsy was performed. The tissue removed, fixed with 10% formalin, was sent to the Laboratory of Clinical and Experimental Pathology.
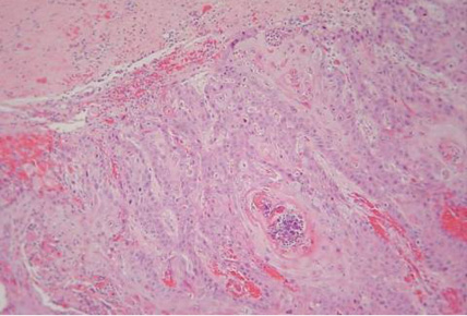
Microscopically, a proliferation of pleomorphic epithelial cells was observed, with abundant cytoplasm, a hyperchromatic nucleus, apparent nucleoli, as well as individual and group keratinizations and high mitotic activity, which infiltrated the underlying connective tissue (Fig. 2).
The diagnosis was then decided as well-differentiated squamous cell carcinoma.

Fig. 1 Clinical features of the oral cavity squamous cell carcinoma

Fig. 2 Microscopic features: proliferation of pleomorphic epithelial cells
A 25-year-old mixed-race man, from Ciudad de México, attends the Oral Medicine Clinic at the Laboratory of Clinical and Experimental Pathology of the DEPel, School of Dentistry, UNAM, presenting a ulcer on the left lateral border of the tongue. The patient had congenital microcephaly vera, whose clinical consequences were moderate mental impairment, less than average height, pseudo-mongoloid features and skull and facial skeleton bones proportionally smaller than the other bones. The patient’s mother provided his medical records. She stated that he did not consume alcohol or tobacco products, and that he did not have any other occupational risk factor. Through the clinical examination we confirmed the presence of an ulcerated lesion on the left lateral border of the tongue, with a long axis measuring approximately 4.5 cm, from the canine to the molars. The lesion had hard, irregular borders, on an erythematous base. Underneath, a leukoplakic lesion measuring approximately 1.2 cm was found (Fig. 3). Self-detection of the lesion had taken place 6 months earlier: the lesion had increased at least a third of its size when the patient was evaluated. The patient presented mild symptomatology, which worsened when eating spicy or hot foods. Cervical ganglia were negative on palpation. He was referred to the Oral and Maxillofacial Surgery Service with a presumptive clinical diagnosis of Traumatic ulcerative granuloma with stromal eosinophilia (TUGSE). The surgical excision of the lesions was performed, and they were fixed with 10% formalin and sent to the Laboratory of Clinical and Experimental Pathology.
Macroscopically, the sample measured 4.6 x 1.4 x 1.1 cm, had an irregular shape and surface, and was white-yellowish in color, with some hemorrhagic areas. The sample was processed using conventional methods and soaked in paraffin wax to be cut into 5 microns slices in the microtome. Then it was stained with hematoxylin and eosin.
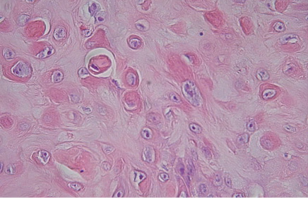
Microscopically, we detected an atypical epithelial-cell population, with mostly eosinophilic cytoplasm, hyperchromatic nuclei, loss of cohesion, some with individual and group keratinizations, with abundant and aberrant mitosis. The underlying connective tissue stroma was infiltrated by this cell population (Fig. 4). Upon microscopic examination, the diagnosis was invasive, welldifferentiated squamous cell carcinoma.
Fig. 3 Clinical features of squamous cell carcinoma on the left lateral border of the tongue

Fig. 4 Microscopic features, loss of cohesion, individual keratinizations and hyperchromatic nuclei.
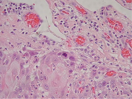
Microscopically, the sample had a population of pleomorphic, fusiform epithelial cells, with a loss of nucleus-cytoplasm ratio. There were hyperchromatic nuclei and apparent nucleoli, as well as abundant mitosis which infiltrated a connective tissue stroma that was fibrous, dense and well-vascularized. This combined with a chronic, severe and diffuse lymphoplasmocitic infiltration, hemorrhagic areas with striated muscle and nerves towards the base. Parakeratinized stratified squamous epithelium partially covered the specimen, with interruptions. The diagnosis reached was moderately differentiated squamous cell carcinoma (Fig. 5).

Fig. 5 Microscopic features: pleomorphic, fusiform epithelial cells, with loss of nucleus-cytoplasm ratio
A 21-year-old mixed-race woman attended the Laboratory of Clinical and Experimental Pathology presenting an ulcerated area on the soft palate. During the interview, the patient stated that she did consume alcohol or tobacco products, and that she had no chronic, professional or accidental exposure to chemical products. She did not have a family history of cancer. Upon clinical observation, an irregular, circular crateriform ulcer was observed, with a hemorrhagic center, approximately 1.6 x 1.2 cm in size. It had hard borders, on an erythematous area which was completely asymptomatic (Fig. 6). The patient reported having handled it with a pin the week before. Until then, the lesion looked like a nodule, according to her statement. The differential diagnosis were established and the patient was referred to the Oral and Maxillofacial Surgery Department with a presumptive diagnosis of neoplasm of minor salivary glands. The tissue removed in the incisional biopsy, fixed with 10% formalin, was sent to the Laboratory of Clinical and Experimental Pathology of the DEPeI, School of Dentistry, UNAM.
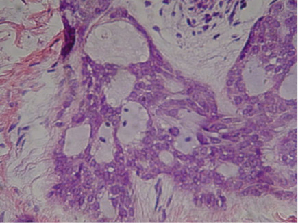
Microscopically, a proliferation of monomorphic cells was observed, cells which invaded the underlying connective tissue stroma. This proliferation was characterized by scarce cytoplasmic cells, with a hyperchromatic nucleus and a basaloid appearance. Some areas had a cribriform pattern and others solid sections, even making up a row pattern towards the border of the neoplasm. The lesion evidenced slight ductal formation, with mucoid material accumulation, as well as perineural invasion. Special staining (PAS, PAS diastase stain) and immunohistochemical studies (P S-100, Vimentin, Desmin) were performed. These findings pointed to the histopathologic diagnosis of Polymorphous low-grade adenocarcinoma (Fig.7).

Fig. 6 Clinical features of polymorphous low-grade adenocarcinoma
Fig. 7. Microscopic features: monomorphic cells, with slight ductal formation and mucoid material accumulation
The 39-year-old patient in the first case, a housemaker, stated she had no habits that would put her at risk. To the contrary, she stated she followed a diet with plenty of vegetables, legumes as well as a regular exercise plan. The head and neck area has been posed as an excellent model to show the biological and chemoprevention effects of antioxidant compounds such as retinoids, β-carotene and vitamin E in potentially cancerous lesions. In some cases there has been successful cancer remission, and in others a second primary tumor has been prevented (9).
Trauma has been suggested by some authors as an “inducing” factor, but its role in malignancy remains controversial. Although oral and oropharyngeal cancer are mainly diagnosed in chronic smokers and/or alcohol drinkers, in many cases the primary lesion is linked to trauma sites (occlusal edge, poorly adjusted prostheses and restorations, etc.) (10). The studies that confirm the transition from a reactive lesion to a carcinoma caused by constant trauma (11) resort to complex experimental models that require rigorous methodology. It would be hard for them to represent daily events or situations, especially among patients with no accompanying habits (tobacco and alcohol use). In the second case, our patient had always been in his mother’s care, who confirmed he consumed neither alcohol nor tobacco products. Therefore, we are almost certain that he was not exposed to an environmental factor that might have caused the development of the malignant lesion. I has been suggested for some time that trauma might precipitate a genetic mutation that causes an alteration in the cellular cycle, and thus cause malignant transformation in a cell. Although many authors have attempted to document this effect through different studies, there is a wealth of evidence indicating that this cannot be the only constant in the development of a malignant neoplasm. Our patient presented moderate macroglossia on account of his genetic condition: his bones, mainly his jaw, were smaller. Soft tissues, including his tongue, were exposed to worse trauma than the one already present on the lateral borders of the tongue. However, according to current clinical evidence, it cannot be established if trauma per se is the sole factor involved in this case as inducing a malignant neoplasm, specifically a squamous cell carcinoma.
The last patient, the 21-year-old woman, stated that she was a Buddhist when relating her personal background. This religion lays out several social conduct precepts which forbid tobacco and alcohol consumption, and promote an excess-free, more balanced life. Therefore, it is surprising to see that despite being free of these habits, the patient developed a malignant lesion, given that she was a young patient whose lifestyle did not put her at risk. This might suggest the existence of concealed factors that cannot be measured or controlled.
Without being overambitious, this study aims to question the relevance of certain risk factors. These four cases did not include any of the factors that are referred to as “necessary” to develop this type of cancer in the literature.
Some of the theses proposed include the genetic importance of tumorigenesis are: genetic instability, alterations in specific loci and number of histones (H3) (12, 13). Although there is evidence that genetic alterations are more prevalent in patients with neoplasms that are exposed to apparent risk factors, they still cannot account for the causes of malignant neoplasms in young people or people with no risk factors. Although genetic factors were not considered in our study, they are a field that could be further explored.
1. Rizo Rios P, Sierra Colindres IS, Vázquez Piñon G, Cano Guadiana M, Meneses García A, Mohar A. Registro Hospitalario de Cáncer: Compendio de Cáncer 2000 – 2004. Cancerología 2007; 2: 203-287.
2. Seyedmajidi M, Faizabadi M. Squamous cell carcinoma of the tongue in a 13-year-old-boy. Arch Iran Med 2008; 11(3): 341-343.
3. Tremblay S, Pintor Dos Reis P, Bradley G, Galloni NN, Perez-Ordonez B, Freeman J, Brown D, Gilbert R, Gullane P, Irish J, Kamel-Reid S. Young Patients with Oral Squamous cell carcinoma. Arch Otolaryngol Head Neck Surg. 2006; 132:958-966.
4. Cervigne NK, Machado J, Gowswami RS, Sadikovic B, Bradley G, Perez-Ordonez B et al. Recurrent genomic alterations in sequential progressive leukoplakia and oral cancer: drivers of oral tumorigenesis? Hum Mol Genet. 2014; 23(10):2618-28.
5. Sherin N, Simi T, Shameena PM, Sudha S. Changing trends in oral cancer. Indian J Cancer[en línea]; July-September 2009; 45: 93-96. citado: 1 agosto 2016. Disponible en:
http://www.indianjcancer.com/text.asp?2008/45/3/93/44063
6. Pavia M, Pileggi C, Nobile CG, Angelillo IF. Association between fruit and vegetable consumption and oral cancer: a meta-analysis of observational studies. Am J Clin Nutr 2006; 83:1126–34.
7. Merletti F, Boffetta P, Ferro G, Pisani P, Terracini B. Occupation and cancer of the oral cavity and oropharynx in Turin, Italy. Scand J Work Environ Health 1991; 17:248-54.
8. Becher H, Flesch-Janys D, Kauppinen T, Kogevinas M, Steindorf K, Manz A, Wahrendorf J. Cancer mortality in German male workers exposed to phenoxy herbicides and dioxins Cancer Causes Control. 1996 May; 7(3):312-21.
9. Lee JS, Newman RA, Lippman SM, Huber MH, Minor T, Raber MN, Krakoff IH, Hong WK. Phase I evaluation of all-trans-retinoic acid in adults with solid tumors. J Clinic Oncol. 1993 May;
11(5): 959-66.
10. Thumfart W, Weidenbercher M, Waller G, Pesch HG. Chronic mechanical trauma in the aetiology of oro-pharyngeal carcinoma. J Maxillofac Surg 1978 Aug; 6(3): 217-21.
11. Pérez MA, Raimondi AR, Itoiz ME. An experimental model to demonstrate the carcinogenic action of oral chronic traumatic ulcer. J Oral Pathol Med 2005; 34(1): 17–22.
12. Piscopo M, Campisi G, Colella G, Bilancione M, Caccamo S, Di Liberto C, Tartaro GP, Giovannelli L, Pulcrano G, Fucci L. H3 and H3.3 histone mRNA amounts and ratio in oral squamous cell carcinoma and leukoplakia. Oral Dis 2006; 12: 130–136.
13. Reing JE, Gollin SM, Saunders WS. The occurrence of chromosome segregation defects is an intrinsic and heritable property of oral squamous cell carcinoma cell lines. Cancer Genet Cytogenet 2004; 150(1):57-61.









texto em 



