Serviços Personalizados
Journal
Artigo
Links relacionados
Compartilhar
Veterinaria (Montevideo)
versão impressa ISSN 0376-4362versão On-line ISSN 1688-4809
Veterinaria (Montev.) vol.51 no.199 Montevideo nov. 2015
Descripción de un foco de urolitiasis obstructiva obstructiva en un corral de engorde de bovinos
Description of an obstructive urolithiasis outbreak in feedlot cattle
Matto C1,2*, Artía L3, Belassi S3, Rivero R1
1 Laboratorio Regional Noroeste DILAVE “Miguel C. Rubino” Ruta 3 km 369, Paysandú, Uruguay.
2 Clínica de Rumiantes y Suinos, Departamento de Salud en los Sistemas Pecuarios, Facultad de Veterinaria, Universidad de la República, Uruguay.
3 Veterinario de libre ejercicio, Uruguay.
*Autor de correspondencia: cmatto@mgap.gub.uy
Recibido: 1/10/2014 Aceptado: 3/3/2015
Resumen
Se describe un foco de urolitiasis obstructiva en un corral de engorde ocurrido en Setiembre de 2010 en el departamento de Paysandú, Uruguay (Latitud 31º53’0,03”S; Longitud 57º3’24,46”O). Se afectaron 132 novillos de 2 a 3 años de raza Hereford y Cruza, que recibían una dieta con concentrados en base a cereales y premezcla de minerales. Las lesiones más destacadas en todos los animales se observaron en el sistema urinario: riñones pálidos con pérdida de diferenciación cortico-medular y múltiples cálculos a nivel de pelvis renal. Seis novillos que murieron en el corral presentaban además, obstrucción uretral a nivel de la flexura sigmoidea del pene con ruptura de la vejiga urinaria. El análisis de los cálculos determinó que estaban compuestos por estruvita. El principal factor predisponente para la presentación de urolitiasis obstructiva en este foco, fue el desbalance mineral de la dieta dado por un consumo alto de concentrados. No se observaron más casos luego que se implementaron medidas para la prevención de la urolitiasis obstructiva.
Palabras clave: Cereales, urolitos, obstrucción uretral, fósforo.
Summary
It is described an obstructive urolithiasis outbreak in feedlot cattle occurred in September 2010, in Paysandú, Uruguay (Latitude 31º53’0.03”S; Longitude 57º3’24.46”O). There were affected 132 Hereford and Crossbreed 2-to-3 year old steers that were fed with a concentrate based on cereals and a mineral premix. The most important lesions in all animals were in the urinary system: pale kidneys without cortex-medullar differentiation and many calculi in the renal pelvis. Six steers that died in the feedlot had also urethral obstruction in the sigmoideal flexure and rupture of the urinary bladder. Calculi analysis determined that it was composed of struvite. Main predisposing factor for obstructive urolithiasis in this outbreak was the imbalance diet trough a high intake of concentrate. There were no more cases since preventive managing measures were implemented.
Keywords: Cereals, uroliths, urethral obstruction, phosphorus.
Introducción
La alimentación de bovinos a corral con dietas basadas en granos constituye un factor de riesgo para la presentación de urolitiasis obstructiva. Estas dietas poseen alto contenido de fósforo y bajos niveles de calcio, contribuyendo a la formación de cálculos (o urolitos) de fosfato (Larson, 1996; McIntosh, 1978; Radostits y col., 2002; Van Metre y col., 1996). Diversos autores han reportado otros factores que predisponen a la patología como: escaso forraje en la dieta, acceso restringido o deprivación de agua, deshidratación, pH urinario, calidad de agua, administración de alimento en forma de pellet, exceso de bicarbonato de sodio en la dieta, hipovitaminosis A e hipervitaminosis D (Larson, 1996; Maakhdoomi y Gazi, 2013; McIntosh, 1978; Van Metre y col., 1996).
La formación de cálculos es igual en machos y hembras, pero los machos castrados son los que desarrollan urolitiasis obstructiva debido al diámetro uretral menor (Larson, 1996; Radostits y col., 2002; Van Metre y col., 1996).
En Uruguay una medida de manejo para acortar el ciclo de invernada de los bovinos, incrementar la ganancia de peso y acelerar el envío a faena es el encierro a corral durante 90 a 100 días con una alimentación basada en concentrados (Chalkling, 2007). En el ejercicio ganadero 2007-2008, se comercializaron 56.970 bovinos provenientes de corrales de engorde, donde el 86% eran novillos (AUPCIN, 2013). Si bien a nivel nacional no se han reportado casos de urolitiasis obstructiva colectiva, según McIntosh (1978) el uso de raciones de alta digestibilidad, con poco contenido de forraje y composición mineral desbalanceada puede predisponer a una alta incidencia de urolitiasis obstructiva. Por lo que el objetivo de este trabajo, fue describir un foco de urolitiasis obstructiva en un corral de engorde de bovinos, analizar los factores que provocaron la patología y las medidas de manejo realizadas.
Materiales y Métodos
El foco se registró en Setiembre de 2010, en el Departamento de Paysandú, Uruguay (Latitud 31º53’0,03”S; Longitud 57º3’24,46”O). En ese momento había 1000 novillos de raza Hereford y Cruza de 2 a 3 años, en diferentes corrales. Del total, 850 animales llevaban encerrados 90 días aproximadamente y otros 150 con más de 120 días de encierre; se retiraban del corral al llegar a los 420-430 kg de peso vivo. Cada animal recibía 21 kg/día de ración totalmente mezclada, compuesta en un 43,4% por silo de grano húmedo de sorgo, 37% silo de planta entera de sorgo, 18% de cebada y 1,6% de premezcla mineral. Esta premezcla contenía cloruro de sodio, fosfato bicálcico, carbonato de calcio, fosfato monoamónico, bicarbonato de sodio, cloruro de potasio, azufre, urea y levaduras. El acceso al agua era a través de bebederos.
Se consultó a los veterinarios responsables del establecimiento por la muerte de seis animales en 8 días (5 del lote de 90 días de encierro y 1 animal del lote con 120 días de encierro). Los novillos presentaron signos de dolor abdominal, anorexia, depresión, muriendo pocas horas después. Se realizaron 4 necropsias y se retiraron órganos que se colocaron en formol bufferado al 10% para estudio histopatológico. Del tracto urinario de los 4 animales se colectaron cálculos y se conservaron refrigerados, para estudio de la composición mineral.
Dos días luego de registrada la segunda muerte, se envió a faena un lote de 81 novillos y seis días después se remitieron 85 animales más. En cada faena, el Servicio Veterinario Oficial de la planta examinó los riñones de todos los animales. Se retiraron ambos riñones de 2 novillos para histopatología, que se conservaron en formol bufferado al 10% y se colectaron los cálculos que contenían.
Las muestras de los animales muertos en el corral, como las remitidas desde la planta de faena, se procesaron en el Laboratorio Regional Noroeste DILAVE “Miguel C. Rubino”. Para el diagnóstico histopatológico, se incluyeron en parafina diferentes piezas de riñón, se cortaron en secciones de 5 micras y se tiñeron por la técnica de Hematoxilina y Eosina (H&E) (Prophet y col., 1995). Para determinar la composición mineral de los cálculos, los mismos se maceraron, se realizó un extendido en láminas portaobjetos y se visualizó en microscopio óptico (Mareck y Mōcsy, 1973).
El 5 de Setiembre se tomó una muestra de agua del pozo que abastece al corral, para realizar análisis fisicoquímico. Se realizó en el Laboratorio Analítico Agroindustrial de la ciudad de Paysandú, según técnicas descritas en el Standard Methods for the Examination of Water and Wastewater (APHA, 1999).
Resultados
El hallazgo más relevante en las cuatro necropsias realizadas fue que ambos riñones presentaban coloración pálida con distribución difusa y pérdida de la diferenciación corteza-médula. Al corte había múltiples cálculos con distensión de la pelvis renal (Figura 1).
Tres novillos tenían además, en la flexura sigmoidea del pene, cálculos que provocaban obstrucción de la uretra. Mientras que, en otro animal, a nivel de uretra peneana se observó también presencia de cristales pequeños en forma de arenilla. La causa de muerte en los cuatro animales fue la ruptura de la vejiga urinaria, provocando peritonitis química.
En el primer lote enviado a faena, 41 animales (50,6%) tenían múltiples cálculos en pelvis renal (Figura 2).
Mientras que en el segundo lote, estaban afectados los 85 novillos (100%), por lo que se decomisó la totalidad de los riñones.
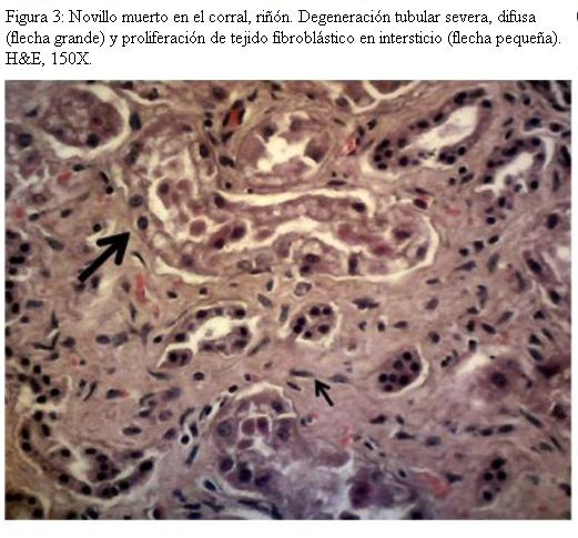
Los urolitos extraídos de los animales muertos en el corral, así como los de novillos remitidos a faena medían de 0,5 a 2 cm de diámetro, eran de color cremoso, de forma redondeada, superficie irregular y consistencia dura. Al corte su aspecto era homogéneo. En el microscopio óptico estaban constituidos por cristales de fosfato triple o fosfato amónico magnésico (estruvita) debido a su forma rectangular tipo ataúd. En la histopatología se observó en riñones proceso degenerativo crónico, caracterizado por severa degeneración y necrosis tubular a nivel cortical y medular, con proliferación difusa de tejido fibroso (Figura 3).
El agua de bebida fue apta para consumo de bovinos, ya que todos los parámetros fisicoquímicos estaban por debajo de los valores máximos tolerados (Bavera, 2009) (Cuadro I).
Para el control de la patología, los veterinarios responsables del corral indicaron la administración de vitamina A (440 UI/kg de peso vivo) por vía parenteral a todos los animales. Además se le agregó al agua de bebida, cloruro de amonio y sulfato de magnesio (correspondiente al 2% de materia seca de la dieta) para acidificar la orina. Luego que se establecieron estas medidas, no se observaron más casos en el establecimiento.
Discusión
Uno de los principales factores que contribuyó a la presentación de la enfermedad fue que los animales estaban castrados, por lo que su diámetro uretral era menor. Los casos de urolitiasis en bovinos se reportan sobre todo en animales castrados jóvenes (6 a 16 meses de edad) (Larson, 1996).
La dieta que recibían los animales estaba compuesta básicamente por cereales (sorgo y cebada). Diversos autores indican que estos alimentos tienen altos niveles de fósforo (P) así como también bajos niveles de calcio (Ca), provocando un desequilibrio en la relación Ca/P (Larson, 1996; McIntosh, 1978; Robbins y col., 1965; Van Metre y col., 1996). Se ha descripto que altos niveles séricos y urinarios de P con bajos niveles de Ca se asocia a mayor probabilidad de formación de cálculos (Crookshank y col., 1967; Larson, 1996). Por otro lado, Robbins y col. (1965) comprobaron que la composición mineral de la orina y de los cálculos, está directamente relacionada con la composición de la dieta. En este foco, los cálculos de los novillos estaban compuestos por fosfato amónico magnésico, o sea, su principal componente era el fósforo, por lo que la dieta fue un factor predisponente para que se presentara la enfermedad. Sin embargo, varios trabajos reportan variación individual en la concentración urinaria de P así como en la presencia de cálculos en los rumiantes, lo que explicaría porque solo 6 novillos desarrollaron urolitiasis obstructiva (Packett y Hauschild, 1964; Robbins y col., 1965; Taube y col., 2010).
El período en que los bovinos permanecieron en el corral de engorde (90 a 120 días) consumiendo dietas a base de cereales, es otro factor que pudo haber predispuesto a la presentación de urolitiasis obstructiva. Estudios de Crookshank y col. (1967) demostraron que la concentración sérica de P y Ca, son dependientes del tiempo y consumo diario en gramos. Otro factor que pudo haber aumentado los niveles séricos de estos minerales, fue la suplementación mineral que se le agregaba a la dieta. En este caso no se pudo comprobar, porque no se obtuvieron muestras de suero bovino para tal fin.
El consumo de agua es otro factor que pudo haber incidido en la presentación de la patología ya que el foco se registró en invierno, estación del año en que los bovinos consumen menor cantidad de agua (Guimarães y col., 2012; Larson, 1996; McIntosh, 1978; Radostits y col., 2002). Por otra parte, se han reportado focos en Brasil tanto en bovinos a corral como a pastoreo donde la calidad del agua fue un factor predisponente para la presentación de urolitiasis obstructiva (Loretti y col., 2003; Sacco y Lopes, 2011). En este caso, la composición fisicoquímica del agua no constituyó un riesgo, ya que todos los parámetros evaluados, se encontraron por debajo de los valores máximos tolerables en agua para consumo de bovinos (Bavera, 2009).
Una de las medidas preventivas adoptadas en el foco, fue el agregado al agua de bebida de cloruro de amonio y sulfato de magnesio. Esto apuntó a disminuir el pH urinario, ya que es el factor que determina la composición de los cálculos (Larson, 1996; McIntosh, 1978). En este caso, la formación de cálculos de estruvita se vio favorecida por el tipo de dieta (rica en P), lo que alcaliniza la orina. Estos urolitos se desarrollan con pH mayor a 6,5 (Straub y col., 2012, citado por Maakhdoomi y Gazi, 2013). Trabajos de Bushman y col. (1967) han demostrado el efecto de la disminución del pH urinario al suplementar de cloruro de amonio al 1,5%, en la incidencia de urolitiasis obstructiva.
La otra medida preventiva que se realizó, apuntó a corregir una posible carencia de vitamina A. No es posible atribuir algún efecto terapéutico en este caso, ya que el rol de la hipovitaminosis A en la incidencia de urolitiasis obstructiva es controvertido en la literatura internacional (McIntosh, 1978; Swingle y Marsh, 1956; Van Metre y col., 1996). Se señala que podría presentarse carencia, cuando los animales son alimentados con silos y fardos almacenados de 4 a 6 meses en condiciones inadecuadas (Larson, 1996).
En machos enteros o castrados con diagnóstico de urolitiasis obstructiva, se pueden realizar varios procedimientos quirúrgicos para impedir la ruptura de la vejiga urinaria y favorecer la salida de la orina: uretrostomía perineal, uretrotomía ó cistotomía. La elección de cada método depende de la condición del animal (entero o castrado) y del tiempo de permanencia en el predio (Larson, 1996; Van Metre y col., 1996).
La urolitiasis obstructiva es una patología de etiología multifactorial. En este caso, el principal factor predisponente fue el desbalance mineral de la dieta dado por un alto consumo de concentrados. Otro factor que pudo haber contribuido en la presentación de la enfermedad, fue el tiempo prolongado de consumo de esta dieta.
Cuando se diagnostican casos de urolitiasis obstructiva es importante evaluar la composición de la dieta, agua, así como de los cálculos urinarios, para establecer medidas de manejo correctivas.
Bibliografía
1. American Public Health Association (APHA). (1999). Standard Methods for the examination of water and wastewater. 20º ed. Washington, American Public Health Association, 541p.
2. Asociación Uruguaya de Productores de Carne Intensiva Natural (AUPCIN). (2013). Disponible en: http://www.aupcin.com/animales_producidos.html. Fecha de visita: 09/09/2013.
3. Bavera GA. (2009). Tenores máximos de sales totales. Disponible en: http://www.produccion-animal.com.ar. Fecha de visita: 22/07/2013.
4. Bushman DH, Embry LB, Emerick RJ. (1967). Efficacy of various chlorides and calcium carbonate in the prevention of urinary calculi. J. Anim. Sci 26:1199-1204.
5. Chalking D. (2007). Producción intensiva de carne en un sistema agrícola – ganadero. INIA 11:2-6.
6. Crookshank HR, Robbins JD, Kunkel HO. (1967). Relationship of dietary mineral intake to serum mineral level and the incidence of urinary calculi in lambs. J Anim Sci 26:1179-1185.
7. Guimarães JA, Mendonça CL, Guaraná ELS, Dantas AC, Costa NA, Câmara ACL, Farias CC, Afonso JAB. (2012). Estudo retrospectivo da urolitiase obstrutiva em ovinos: analise de 66 casos. Pesq Vet Bras 32:824-830.
8. Larson BL. (1996). Identifying, treating, and preventing bovine urolithiasis. Vet Med 91:366-377.
9. Loretti AP, Oliveira LO, Cruz CEF, Driemeier D. (2003). Clinical and pathological study of an outbreak of obstructive urolithiasis in feedlot cattle in southern Brazil. PesqVet Bras 23:61-64.
10. Maakhdoomi DM, Gazi MA. (2013). Obstructive urolithiasis in ruminants – A review. Vet World 6:233-238.
11. Marek J, Mōcsy J. (1973). Tratado de diagnóstico clínico de las enfermedades internas de los animales domésticos, 4a. ed. Madrid, Ed. Labor S.A. 420-424 pp.
12. McIntosh, GH. (1978). Urolithiasis in animals. Aust Vet J 54:267-271.
13. Packett LV, Hauschild JP. (1964). Phosphorus, calcium and magnesium relationships in ovine urolithiasis. J Nutr 84:185-190.
14. Prophet EB, Mills B, Arrington JB, Sobin LH. (1995). Métodos histotecnológicos. Instituto de Patología de las Fuerzas Armadas de los Estados Unidos de América (AFIP). Washington. 280pp.
15. Radostits OM, Gay CC, Blood DC, Hinchcliff KW. (2002). Medicina Veterinaria, 9a ed. Madrid, Ed. Mc Graw-Hill-Interamericana. 2215 pp 2 v.
16. Robbins JD, Kunkel HO, Crookshank HR. (1965). Relationship of dietary mineral intake to urinary mineral excretion and the incidence of urinary calculi in lambs. J Anim Sci 24:76-82.
17. Sacco SR, Lopes RS. (2011). Urolitíase: estudo comparativo em bovinos Guzerá oriundos de propriedades com e sem o problema. Pesq Vet Bras 31:206-212.
18. Swingle KF, Marsh H. (1956). Vitamin A deficiency and urolithiasis in range cattle. Am J Vet Res 17:415-424.
19. Van Metre DC, Fecteau G, House JK, Smith, BP, Thurmond MC. (1996). Obstructive urolithiasis in ruminants: surgical management and prevention. Compend Contin Educ Pract Vet 18:S275-S289.
20. Taube VA, Rohn K, Kreienbrock L, Kamphues J. (2010). Individual differences in the phosphorus metabolism of fattening bulls – testing effects of crude fiber and calcium chloride in the diet. Arch Anim Nutr 64:111-120.













