Serviços Personalizados
Journal
Artigo
Links relacionados
Compartilhar
Archivos de Medicina Interna
versão impressa ISSN 0250-3816versão On-line ISSN 1688-423X
Arch. Med Int vol.34 no.2 Montevideo 2012
Caso clínico de interés
Neumomediastino espontáneo:
caso clínico y revisión de la literatura
Spontaneous Pneumomediastinum: clinical case and literature review
Dr. Alejandro Fernández
Departamento de Urgencias. Departamento de Medicina. Sanatorio Americano, Federación Médica del Interior. Montevideo.
Dr. Ricardo Silvariño
Departamento de Urgencias. Departamento de Medicina. Sanatorio Americano, Federación Médica del Interior. Montevideo.
Dr. José María Carissi
Departamento de Urgencias. Departamento de Medicina. Sanatorio Americano, Federación Médica del Interior. Montevideo.
Dra. Elena Otero
Instituto de Diagnóstico Imagenológico. Sanatorio Americano, Federación Médica del Interior. Montevideo.
Dr. Jorge Zubiaurre
Instituto de Diagnóstico Imagenológico. Sanatorio Americano, Federación Médica del Interior. Montevideo.
Dr. Enrique Méndez
Departamento de Urgencias. Departamento de Medicina. Sanatorio Americano, Federación Médica del Interior. Montevideo.
Recibido: 01-05-12 - Aceptado: 16-06-12
Trabajo del Departamento de Urgencias del Sanatorio Americano. Federación Médica del Interior.
Correspondencia Dr. Ricardo Silvariño. Departamento de Urgencia, Sanatorio Americano, Isabelino Bosch 2466. Montevideo, Uruguay. Correo electrónico: rsilvarino@gmail.com
Resumen: Arch Med Interna 2012 - 34(2): 57-59
El neumomediastino espontáneo (NE) es una entidad infrecuente, de curso habitualmente benigno y resolución espontánea. Se puede vincular a factores desencadenantes o presentarse en ausencia de ellos. Se describe un caso de NE y se revisa la literatura puntualizando en aspectos epidemiológicos, diagnósticos y terapéuticos. Se enfatiza en el alto índice de sospecha clínica requerido para su diagnóstico, principalmente en pacientes jóvenes que se presentan con dolor torácico.
Palabras clave: Dolor torácico, Neumomediastino espontáneo
Abstract: Arch Med Interna 2012 - 34(2): 57-59
Spontaneous pneumomediastinum (SPM) is a rare condition with a typically benign course and spontaneous resolution. It may occur spontaneously or be induced by a number of triggering factors. The paper describes a case and provides a literature review detailing epidemiological, diagnostic and therapeutic issues. Emphasis is made on the high degree of clinical suspicion required for its diagnosis, primarily in young patients presenting with chest pain.
Key words: Chest pain, Spontaneous pneumomediastinum
Introducción
El neumomediastino espontáneo (NE) fue descrito por Louis Hamman en 1939. Se define por la presencia de aire a nivel mediastinal sin relación a trauma torácico, procedimientos traqueobronquiales o esofágicos, ventilación mecánica, cateterización cardíaca o cirugía cardíaca(1-4). Es una entidad infrecuente, con una incidencia que oscila entre 1:7000 a 1:42000 admisiones hospitalarias según las series reportadas(2,5,6). Es más frecuente en adultos jóvenes y la relación hombre/mujer es 1:8(2,5,6). Se produce por incremento del gradiente de presión entre los espacios intraalveolares e intersticial, generándose escape aéreo desde alvéolos rotos hacia la adventicia perivascular. Este gradiente favorece la disección de las vainas vasculares hacia el hilo y puede determinar la generación de un neumotórax asociado (32%) en caso de un brusco aumento de la presión intramediastínica. El aire puede extenderse hacia los tejidos subcutáneos del tórax y cuello siguiendo los planos faciales y eventualmente al canal raquídeo (neumatosis epidural o neumorraquis)(2,3,7). Se describe un caso de NE y se revisa la literatura puntualizando en aspectos epidemiológicos, clínicos y terapéuticos.
Caso clínico
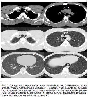
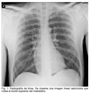
Se trata de un paciente de sexo masculino, de 18 años de edad, tabaquista leve. Consulta por dolor retroesternal de aparición en reposo, de 6 horas de evolución, opresivo, que irradia a cuello y aumenta con la inspiración profunda. Sin fenómenos acompañantes. Sin traumatismo de tórax, ni consumo de tóxicos inhalados previo al inicio de los síntomas. Del examen clínico se destaca: taquicardia regular de 100 cpm, con presión arterial de 120/70 mm Hg. Examen pleuropulmonar: normal. Electrocardiograma: taquicardia sinusal de 100 cpm. Radiografía de tórax (Figura 1) evidencia imagen lineal radiolúcida que rodea el borde izquierdo del mediastino. Se completa el estudio radiológico del tórax con una tomografía computada (Figura 2) en la que se evidencia gas (aire) disecando los grandes vasos mediastinales, alrededor el esófago y por delante del corazón.
Se realiza tratamiento conservador en base a reposo y analgesia con resolución espontánea clínica y radiológica en 72 horas.
Discusión y comentarios
Se presenta un caso de neumomediastino espontáneo. Las características epidemiológicas (edad de presentación, sexo), son concordantes con la literatura. No se encuentran factores desencadenantes en el caso relatado. En la literatura se identifican como desencadenantes todos aquellos factores que determinen un aumento de la presión intrapulmonar: acceso de tos, crisis asmática, vómito, maniobra de Valsalva, trabajo de parto, etc. Se ha asociado además al uso se cocaína, marihuana y éxtasis entre otros(3-5,8-10). La presentación clínica es heterogénea. Los síntomas más frecuentes son dolor torácico (presente en este paciente y en 63-89% de los casos según la serie) y disnea de intensidad variable (44-60%). Otros síntomas descritos son disfagia (3-67%), dolor generalizado de cuello (11-18%) y disfonía (5%), no presentes en el caso analizado(2,3,5-7,11,12). Los hallazgos clínicos más frecuentes son la presencia de enfisema subcutáneo en la escotadura supraesternal y el denominado signo de Hamman (40-80%) dado por la crepitación sincrónica con la sístole a nivel retroesternal, auscultándose mejor en decúbito lateral izquierdo(2,11,12). La presencia de pulso paradojal por aumento de la presión mediastínica es infrecuente(9). En el caso relatado el examen clínico es normal a excepción de la presencia de taquicardia sinusal. El diagnóstico de NE requiere un alto índice de sospecha, lo que determina que no sea considerado entre los planteos diagnósticos iniciales en un paciente joven con dolor torácico. En la radiografía de tórax se puede objetivar el signo del diafragma continuo (aire entre el pericardio y el diafragma), neumopericardio (aire anterior al pericardio en la radiografía lateral de tórax), signo de la V de Naclerio (aire entre la aorta descendente y el hemidiafragma izquierdo), resalte del contorno cardíaco y aire a nivel subcutáneo(2,11,13). La presencia de una columna estrecha e hiperclara en el mediastino y rodeando la silueta cardíaca es un hallazgo frecuente presente hasta en 90% de pacientes en algunas series (14). La tomografía computada de tórax permite confirmar el NE, valorar la extensión y descartar patologías asociadas(3,11). Los diagnósticos diferenciales a descartar son otras causas de dolor torácico que asocien enfisema subcutáneo como la perforación esofágica (síndrome de Boerhaave) y el neumotórax espontáneo(3,4). El tratamiento es habitualmente conservador en base a reposo, analgésicos y antitusígenos , como lo es el caso analizado. De haber compresión de las estructuras mediastínicas se puede realizar aspiración con aguja o por un catéter percutáneo colocado en el mediastino(15). En la mayoría de los casos el curso es benigno y autolimitado con reabsorción del aire ectópico en pocos días como sucedió en el caso descrito. En 9-16% la evolución puede ser fatal. Las recidivas son inhabituales(2,3,11).
Conclusiones
El NE es una situación clínica infrecuente pero posible. Puede ocurrir en el contexto de factores desencadenantes identificados o en ausencia de los mismos. Requiere un alto índice de sospecha clínica y debe ser considerado entre los planteos etiológicos del dolor torácico en el paciente joven.
Bibliografía
1. Campill-Soto A, Coll-Salinas A, Soria-Aledo V, Blanco-Barrio A, Flores-Pator B, Candel-Arenas M, et al . Neumomediastino espontáneo: estudio descriptivo de nuestra experiencia basada en 36 casos. Arch Bronoconeumol. 2005;41(9):528-31.
2. Crespo Marcos D, Iglesias Fernández C, Márquez de la Plata L, Panadero Carla Villa E, Vázquez López P. Neumomediastino espontáneo idiopático: a propósito de un caso. An Pediatr (Barc). 2006;64(1):100-8.
3. Álvarez C, Jadne A, Rojas F, Cerda C, Ramírez M, Cornejo C. Neumomediastino espontâneo (Síndrome de Hamman): una enfermedad benigna mal diagnosticada. Rev Med Chile. 2009;137:1045-1050.
4. Koullias G, Korkolis D, Wang XJ, Hammond G. Current assessment and manangment of spontaneous pneumomediastinum experience in 24 adult patients. Eur J Cardiothorac Surg. 25(2004)852-855.
5. Newcomb A, Clarke P. Spontaneous pneumomediastinum: a benign curiosity or a significant problem?. Chest. 2005;128:3298-3302.
6. Gerazounis M, Athamanassiadi K, Kalantzi N, Moustardas M. Spontaneus pneumomediastinum: a rare benign entity. J Thorac Cardiovasc Surg 126, 3:774-776.
7. Iyer V, Joshi A, Ryu J. Spontaneus pneumomediastinum: analysis of 62 consecutive adult patients. Mayo Clinic Proc. 2009;84(5):417-421.
8. Al-Mufarrej F, Badar J, Gharagozloo F, Tempesta B, Strother E, Margolis M. Spontaneous pneumomediastinum: diagnostic and therapeutic interventions. Journal of Cardiothoracic Surgery. 2008;3:59-62.
9. López Penza P, Odriozola M, Ruso L. Neumomediastino espontáneo asociado al consumo de drogas inhalantes. Rev Med Urug. 2007; 23: 260-64.
10. Costa C, Murillo N, Olazábal M. Síndrome de Hamman en el trabajo de parto, una complicación pleuropulmonar poco frecuente del embarazo. Arch. ginecol. obstet. (Urug). 2010; 48: 1-40.
11. Martín-Garrido C, Garzón Calles JA, Naya Gálvez MJ, Esteban Revenga JM, López García C. Neumomediastino y enfisema cervical espontáneos con alteración en la voz. Acta Otorrinolaringol Esp. 2003;54:151-156.
12. Abolinik I, Lossos I, Brever R. Spontaneous penumomediastinum. A report of 25 cases. Chest. 1991;100:93-5.
13. Zylak Ch, Stander J, Barnes G, Zylak CJ. Pneumomediastinum revisited. Radiographics. 2000; 20:1043-1057.
14. Santiago I, Martínez M. Neumomediastino espontáneo. Análisis de 16 casos. Emergencias. 2000;12:321-325
15. Katabathina VS, Restrepo CS, Martinez-Jimenez S, Riascos RF. Nonvascular, nontraumatic mediastinal emergencies in adults: a comprehensive review of imaging findings. Radiographics. 2011;31(4):1141-60.













