Serviços Personalizados
Journal
Artigo
Links relacionados
Compartilhar
Archivos de Medicina Interna
versão impressa ISSN 0250-3816versão On-line ISSN 1688-423X
Arch. Med Int vol.31 no.4 Montevideo dez. 2009
109 Arch Med interna 2009; XXXI;4:109-112
© Prensa Médica Latinoamericana. 2009 ISSN 0250-3816 - Printed in Uruguay - All rights reserved.
Casuística de interés
Hipertensión arterial secundaria a coartación de aorta en la edad adulta
Hypertension secondary to coarctation of the Aorta in the adult age
Dra. Naomi Zimalkovski
Ex Residente de Clínica Médica. Facultad de Medicina. UdelaR. Internista del Hospital Central de las Fuerzas Armadas. Montevideo.
Dra. Carla Pérez
Ex Asistente de Clínica Médica. Facultad de Medicina. UdelaR. Internista del Hospital Central de las Fuerzas Armadas. Montevideo.
Dr. Marcelo Valverde
Asistente de Clínica Médica. Facultad de Medicina. UdelaR. Internista del Hospital Central de las Fuerzas Armadas. Montevideo.
Dr. Alejandro Pomi
Ex Residente de Clínica Médica. Facultad de Medicina. UdelaR. Internista. Cardiólogo del Hospital Central de las Fuerzas Armadas. Montevideo.
RESUMEN:
La Hipertensión arterial (HTA) se define en la práctica clínica como una elevación sostenida de la presión arterial (PA) sistólica y/o diastólica, por encima de 140/90 mmHg respectivamente, representando la enfermedad crónica más frecuente a nivel mundial. La relevancia clínica de esta patología radica en que representa un factor de riesgo cardiovascular mayor y modificable, que confiere un elevado RCVA, con el notable impacto sobre la morbimortalidad que ello supone. La etiología de la HTA se desconoce en la mayoría de los casos, constituyendo la denominada HTA esencial o primaria, que da cuenta de más del 85% de los casos. Cuando existe una causa específica responsable de la misma, se denomina HTA secundaria, oscilando su prevalencia entre un 1 y un 15%. Dentro de este último grupo de entidades se incluye la coartación de aorta, siendo responsable de un 0.1 a 1% de las mismas.1 Si bien este porcentaje es menor, su importancia radica fundamentalmente en que se trata de una de las formas etiológicamente tratable y potencialmente curable de HTA. Para poder llegar a dicho diagnóstico es indispensable un alto índice de sospecha clínica, a partir del cual iniciar, en un orden lógico y secuencial, los diferentes estudios que puedan confirmar dicho planteo, y por ende las medidas terapéuticas destinadas a la resolución de dicha entidad. A continuación se describe el caso clínico de una paciente joven, portadora de una HTA sectorial, secundaria a coartación de aorta, con una florida signología cardiovascular central y periférica. se presentan las medidas diagnósticas y terapéuticas adoptadas, destacando dentro de estas últimas el rol de la Angioplastia percutánea con balón (APB) asociado a colocación de un dispositivo endovascular (stent) a nivel de la coartación.
Palabras clave: Hipertensión arterial secundaria; Coartación de aorta; Angioplastia percutánea.
ABSTRACT:
Hypertension (HT) is defined in general practice as a sustained systolic and/ or diastolic blood pressure greater than 140/90 mm Hg and it represents the world ´s most frequent chronic disease. In view of this, the clinical relevance of this pathology is that it represents a mayor modifiable cardiovascular risk factor that increases the individual ACVR having a remarkable impact on morbimortality1. The etiology of HT is unknown in most cases. essential or primary hypertension accounts for more than 85% of the cases. Secondary hypertension refers to hypertension for which there is a known cause, and the prevalence for this condition is from 1 to 15% of the cases. Coarctation of the aorta is one of the many causes of secondary hypertension, accounting for 0.1 to 1% of the cases1, and despite its low frequency, it is clinically relevant for being a correctable and potentially curable cause of hypertension. To reach the diagnosis of aortic coarctation, it is essential a high level of clinical suspicion in order to start the evaluation of the patient and appropriate treatment once the diagnosis is established. We describe herein a case of a young woman, suffering from hypertension in the upper extremities secondary to anaortic coarctation, who presented with a variety of cardiovascular central and periphery clinical manifestations. We present our diagnostic and therapeutic approach emphasizing the role of percutaneous balloon angioplasty (PBA) and collocation of a stent in the coarctation site.
Keywords: secondary arterial hypertension; Aortic coarctation; Percutaneous angioplasty.
HISTORIA CLÍNICA
Datos patronímicos: L. N. 16 años, sexo femenino, raza negra, procedente de Montevideo, estudiante.
Motivo de consulta: enviada desde policlínica para estudio por HTA.
Enfermedad actual: diagnosticada hace aproximadamente 2 años como portadora de HTA tras el control de cifras tensionales durante la realización de ficha médica de aptitud deportiva. Sin estudios ni tratamiento durante la evolución. Asintomática, sin evidencias clínicas de repercusión sobre órgano blanco.
Antecedentes personales: sin particularidades.
Antecedentes familiares: sin antecedentes familiares de HTA
Examen clínico: se destaca un desarrollo pondoestatural normal, con tórax y miembros superiores proporcionados respecto a los miembros inferiores. Al examen cardiovascular central se palpa un latido apexiano en posición normal, enérgico, en “domo” y sostenido. A la auscultación presenta un ritmo regular de 70 cpm, con un primer ruido normal, un segundo ruido aumentado en foco aórtico, sin tercer ni cuarto ruidos. Se identifica un soplo sistólico de carácter eyectivo, de intensidad 5/6, topografiado a nivel del primer y segundo espacios intercostales paraesternales izquierdos, así como en región inter escápulo-vertebral izquierda. Concomitantemente se auscultan dos soplos continuos, sisto- iastólicos, de intensidad 2/6, en cara anterior y axilar de ambos hemitórax y a nivel de dorso. A nivel del sector arterial periférico carotídeo y de ambos miembros superiores, presenta pulsos simétricos e isócronos con central, con pulsos femorales francamente disminuidos bilateralmente.
La PA en miembros superiores fue de 170/90 mmHg, siendo la misma de dificultosa detección en miembros inferiores, evidenciando una clara asimetría entre ambos sectores de la economía.
EXÁMENES COMPLEMENTARIOS
Electrocardiograma basal: ritmo sinusal de 70 cpm, elementos de hipertrofia ventricular izquierda (mediante índices de Sokolow-Lyon, Cornell, Lewis y prolongación de la deflexión intrinsecoide en V5), con patrón de sobrecarga sistólica ventricular izquierda.
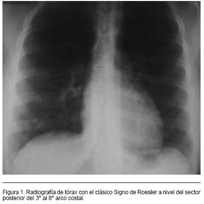
Radiografía de Tórax: silueta cardio-pericárdica donde se destaca un ápex redondeado como elemento de HVI. Franca aortomegalia. Erosiones costales evidentes en arcos posteriores de la tercera a octava costillas (Signo de Roesler) (Figura 1)
Ecocardiograma transtorácico doppler color: se destaca la ausencia de afectación valvular, la presencia de HVI concéntrica, y de una zona de flujo turbulento a nivel de la aorta, topografiado distalmente a la emergencia de los grandes vasos, con aumento de las velocidades de flujo, presentando gradiente máximo de 61 mm Hg y medio de 23 mmHg.
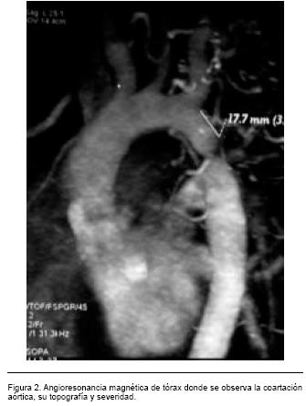
Angiorresonancia magnética de tórax (Figura 2): estenosis focal de la aorta descendente proximal, a nivel del istmo, de 17,7 mm, distal al ostium de la arteria subclavia izquierda. Circulación colateral evidente. HVI.
EVOLUCIÓN EN SALA
Desde el punto de vista terapéutico, y previo a la confirmación del diagnóstico clínico presuntivo, se inició un tratamiento higiénico dietético en base a dieta hiposódica y tratamiento farmacológico en base a antihipertensivos del tipo de los inhibidores de enzima conversora de angiotensina asociados a anticálcicos dihidropiridínicos de última generación, no lográndose un adecuado grado de control de las cifras tensionales, por lo cual posteriormente se agregan diuréticos del asa y betabloqueantes, no logrando modificar el régimen tensional.
Una vez confirmado el diagnóstico de coartación de aorta, se procede al tratamiento de la misma, y por tanto de la etiología de la HTA, optándose por la realización de APB e implante de dispositivo endovascular (stent) a nivel del defecto arterial. Como complicación del procedimiento de cardiología intervencionista presentó migración distal del stent con “anclaje” del mismo a nivel infrarrenal (sin incidentes clínicos), lo cual determinó la necesidad de colocación de un nuevo stent en la zona de coartación, que se realizó en forma exitosa.
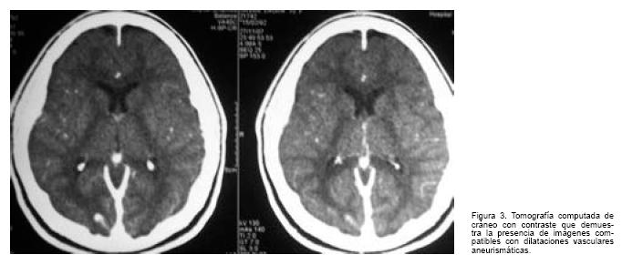
Como hecho destacable, durante el posprocedimiento presentó una crisis convulsiva de tipo gran mal. La tomografía computada de cráneo con contraste informó imágenes compatibles con dilataciones vasculares aneurismáticas, sin evidencias neuroimagenológicas de complicaciones agudas (Figura 3). Valorada en conjunto con neurocirujano y radiólogo intervencionista se plantea realización de una arteriografía de vasos con destino encefálico en la evolución (pendiente su realización). Clínicamente evolucionó con un excelente control de las cifras tensionales, sin necesidad de asociar drogas antihipertensivas. El control ecocardiográfico posprocedimiento informó la ausencia de gradiente residual significativo en aorta descendente.
DISCUSIÓN Y COMENTARIOS
La coartación de aorta es una entidad que integra el grupo de las cardiopatías congénitas del adulto. Corresponde a una malformación congénita de la aorta caracterizada por una estenosis de la misma, clásicamente situada a nivel del istmo, en la zona de unión del cayado y la aorta descendente, luego del nacimiento de la arteria subclavia izquierda., Debe destacarse que la anatomía lesional puede ser muy variada, desde la coartación abrupta, localizada y única, hasta lesiones más complejas con hipoplasia variable del istmo aórtico e incluso del arco transverso. Dichas variantes condicionan el tipo de tratamiento a instituir, que debe ser personalizado tras la realización de estudios anatómicos muy precisos. Es un hecho inobjetable que dicha patología librada a su evolución natural disminuye la expectativa de vida, asociándose a una elevada morbimortalidad, con importantes repercusiones clínicas, sociales y laborales sobre la vida del individuo. Esto determina la necesidad de un seguimiento permanente, por la probabilidad de presentar complicaciones inmediatas o a largo plazo, tales como HTA, rotura aórtica, ataque cerebrovascular y enfermedad arterial coronaria prematura.
Es frecuente su combinación con otras malformaciones intracardíacas tales como válvula aórtica bicúspide, comunicación interventricular, y anomalías a nivel de la válvula mitral; así como extracardíacas, dentro de las cuales se destacan los aneurismas intracraneanos a nivel del polígono de Willis, y la enfermedad poliquística hepatorrenal.(4) Constituye entre el 3 al 10% de las malformaciones cardíacas congénitas, siendo la 8ª malformación cardíaca por orden de frecuencia, y la 4ª causa de procedimientos de cardiología intervencionista y/o cirugía cardíaca durante el 1er. año de vida. Su prevalencia se estima en 2,09 por 10.000 nacidos vivos.3 Su incidencia es mayor en varones en relación 2:1 respecto al sexo femenino.(4) Desde el punto de vista fisiopatológico, la coartación de aorta determina una obstrucción al flujo sanguíneo de grado variable. Esto genera el desarrollo de HTA que afecta característicamente al hemicuerpo superior (sectorial), hipertrofia concéntrica del ventrículo izquierdo por sobrecarga sistólica del mismo, así como el desarrollo de circulación colateral que contribuye a mantener la perfusión del hemicuerpo inferior.(3) Clínicamente suele cursar de forma prácticamente asintomática hasta la 2ª a 3ª década de vida, momento en el cual aparecen las complicaciones atribuibles a la HTA. El diagnóstico debe sospecharse en aquellos pacientes jóvenes portadores de HTA que presenten diferencia de presiones entre los miembros superiores e inferiores, mayores a 30 mmHg.(4)
Desde el punto de vista paraclínico la Rx.Tx. y el ECG frecuentemente presentan alteraciones, aunque ninguna de ellas es patognomónica de la enfermedad. En la Rx.Tx. Es típico el hallazgo de muescas costales (signo de Roesler) secundarias a la erosión producida por las arterias intercostales dilatadas (que funcionan como circulación colateral). En el ECG se puede observar en los casos severos elementos de HVI, sobrecarga sistólica ventricular izquierda, y bloqueo completo de rama izquierda. El Ecocardiograma transtorácico doppler color es el método diagnóstico fundamental para la detección de la coartación de aorta, permitiendo su visualización, la valoración de su repercusión anatómica y funcional sobre las cavidades cardíacas, y la asociación con otras malformaciones intracardíacas. Mediante el doppler es posible determinar su severidad a través de la medición del gradiente de presiones entre la aorta proximal y distal a la coartación.(3,5)
En los últimos años se han desarrollado otras técnicas de imagen que permiten una valoración más precisa del arco aórtico, destacándose dentro de éstas a la angiorresonancia de tórax (Angio RM Tx.) con inyección de gadolinio. Esta mayor precisión es debida a la reconstrucción tridimensional de las estructuras. La tomografía computada de alta resolución (TCAR) presenta similares resultados.(4,5)
Finalmente, el estudio hemodinámico es en muchos casos diagnóstico y al mismo tiempo terapéutico, como ocurrió en este caso.
Librada a su evolución natural, el 90% de los pacientes fallece antes de los 50 años, siendo las principales causas de muerte la insuficiencia cardíaca izquierda (28%), la hemorragia cerebral por asociación con aneurismas en polígono de Willis (12%), disección aórtica (21%) y endocarditis infecciosa (18%).(3)
No existe una solución única y definitiva para tratar la coartación de aorta. Dentro de las alternativas terapéuticas se incluyen el tratamiento quirúrgico y los procedimientos de cardiología intervencionista, más precisamente la APB. Ambas técnicas pretenden erradicar los efectos de la enfermedad a través de principios conceptualmente diferentes: la cirugía mediante la resección total o parcial del segmento estenótico o la ampliación del mismo con injerto, y la APB mediante una “rotura controlada” del vaso en las capas íntima y media con el fin de lograr un remodelado posterior del vaso. La demostración del éxito terapéutico se basa en la abolición del gradiente tensional entre las extremidades superiores e inferiores y en la normalización de las cifras tensionales; todo ello asociado a la desaparición de la estenosis demostrada por imagenología. El tratamiento inicialmente se limitaba al acto quirúrgico, que ha modificado su historia natural desde la primera intervención en el año 1945, hasta la anastomosis términoterminal extendida, la cual representa una de las mejores alternativas quirúrgicas actuales.(6) La experiencia adquirida a lo largo de 6 décadas hace que su seguimiento evolutivo a largo plazo sea bien conocido.
Desde el año 1982, la APB y posteriormente, desde 1991, con colocación de stent ha ganado aceptación con resultados alentadores. De todas formas, dado el menor tiempo de seguimiento de los pacientes tratados con esta técnica aún no es bien conocido el pronóstico a largo plazo. El mayor dilema terapéutico radica en la elección del método más adecuado y en la oportunidad de su realización. En el primer año de vida la indicación quirúrgica es poco discutible. A partir del año de vida, durante la adolescencia, y en la edad adulta cobra valor la APB, pero debe considerarse que un significativo porcentaje de pacientes quedará ineficazmente tratado, ya que si bien se ha convertido en una alternativa terapéutica de bajo riesgo para los pacientes adolescentes y adultos, tendría como desventajas una mayor tasa de reestenosis y de formación de aneurismas en la zona de dilatación. No obstante es la técnica de elección en la recoartación de aorta tras la cirugía en este grupo etario. A partir de la adolescencia ambas técnicas tienen defensores y detractores, lo que demuestra que no existe una forma estándar de tratamiento, dependiendo también de la experiencia de cada centro. Los resultados inmediatos de ambas técnicas son similares, con una mortalidad inferior al 1% en ambas, las tasas de recoartación post cirugía van de 0 a 15%, y post APB de 6 a 15%, siendo menor al 5% cuando se realiza implantación de stent. Por lo tanto, la cirugía es aún un método válido en el tratamiento de esta enfermedad, sobre todo en el primer año de vida. La APB cobra importancia en la re-coartación aórtica post cirugía (7) y los adolescentes y adultos portadores de esta patología.
EN SUMA
Se analizó el caso de clínico de una paciente joven portadora de HTA severa y sectorial, con repercusiones sobre órganos blanco, secundaria a coartación de aorta, en quien se confirmó el diagnóstico clínico presuntivo mediante estudios imagenológicos. Se optó por un tratamiento no quirúrgico, basada en un procedimiento de cardiología intervencionista (APB con colocación de stent) que resultó exitoso y sin complicaciones mayores. Como hecho destacable, se evidenció la presencia de aneurismas intracraneanos, como una de las malformaciones extracardíacas asociadas frecuentemente a esta entidad.
BIBLIOGRAFÍA
1. Evans JG, Rose G. Hypertension. Br Med Bull 1971; 27:37-42.
2. Zanchetti A, Mancía G. Editor’s Corner. New year, new challenges. J Hypertens 2003; 21:1-2.
3. Navarro López F. Cardiopatías congénitas del adulto. Farreras – Rozman: Tratado de Medicina Interna. Elsevier, Ed 16ª, 2008. Vol.1, (69):634-36.
4. Child JS, Friedman WF. Congenital heart disease in the adult. Disorders of the Cardiovascular System. Harrison’s Principles of Internal Medicine. McGraw-Hill, Ed 16th, 2006. Vol.3, (217):1381- 90.
5. García Guereta L. Coartación de Aorta e Interrupción del Arco Aórtico. Protocolos de la Sociedad Española de Cardiología Pediátrica 2005 [consultado 09/03/2009]. Disponible en http://www.aeped.es/protocolos/protocolos_secp.htm-
6. Bermúdez Cañete R. Coartación de aorta: posibles soluciones a un complejo problema. Rev Esp Cardiol. 2005; 58(9):1010-3.
7.Rocchini AP. Coarctation of the aorta. Izzo J, Sica DA, Black HR. Hypertension Primer (4th. Edition). The essentials of High Blood Pressure. Basic science, basic population and clinical management. From the Council for High Blood Pressure Research, American Heart Association. Lippincott, Williams and Wilkins, 2008(A52):166-68.
8. Morris MJH, McNamara DG. Coarctation of the aorta and interrupted aortic arch. In: Garson A Jr, Bricker JT, McNamara DG, editors. The science and practice of pediatric cardiology. Williams and Wilkins, Baltimore, 1998(2):1347-83.
9. Harrison DA, McLaughlin PR, Lazzam C, Connelly M, Beson LN. Endovascular stents in the management of coarctation of the aorta in the adolescent and adult: one year follow-up. Heart 2001; 85:561-6.
10. Alonso J, Sciegata A, Jmelnitsky L, Faella H. Resultados inmediatos y seguimiento a corto y mediano plazo de pacientes con coartación de la aorta nativa y recurrente tratados con stents. Revista Argentina de Cardiología. 2005; 73(5):336-40.













