SciELO - Scientific Electronic Library Online

 
vol.7 número1Cirugía del Uruguay: 6 anos após sua edição online e indexação em bancos de dados internacionaisFístula colecistoduodenal sem migração de cálculos. Relatório de caso índice de autoresíndice de assuntospesquisa de artigos
Home Pagelista alfabética de periódicos  

Serviços Personalizados

Journal

Artigo

Links relacionados

Compartilhar


Revista Cirugía del Uruguay

versão On-line ISSN 1688-1281

Cir. Urug. vol.7 no.1 Montevideo  2023  Epub 01-Jan-2023

https://doi.org/10.31837/cir.urug.7.1.4 

Caso clínico

Melanoma metastásico en intestino delgado: causa infrecuente de perforación. Reporte de caso

Metastatic Melanoma in The Small Intestine: Infrequent Cause of Perforation. Case Report

Melanoma Metastático em Intestino Delgado: Causa Rara de Perfuração. Relato de caso

1Clínica Quirúrgica 3. Facultad de Medicina. Universidad de la República. Montevideo. Uruguay. Contacto: lucia.romero.ardoino@gmail.com

2Clínica Quirúrgica 3. Facultad de Medicina. Universidad de la República. Montevideo. Uruguay. Contacto: pily_arya@hotmail.com

3Clínica Quirúrgica 3. Facultad de Medicina. Universidad de la República. Montevideo. Uruguay. Contacto: ltelles@icloud.com

4Clínica Quirúrgica 3. Facultad de Medicina. Universidad de la República. Montevideo. Uruguay. Contacto: danielalfredogg@gmail.com


Resumen:

Introducción:

El intestino delgado es el sitio de asiento más frecuente del melanoma metastásico. Su diagnóstico es un desafío por cursar asintomático o con síntomas inespecíficos. Son pocos los casos que presentan complicaciones, siendo infrecuente la peritonitis por perforación. El objetivo del trabajo es comunicar el caso clínico de una peritonitis por perforación de una metástasis de melanoma en intestino delgado.

Caso clínico:

Paciente de sexo masculino de 66 años con diagnóstico de melanoma de cuello y secundario óseo, encefálico y pulmonar, fue intervenido de urgencia por peritonitis aguda por perforación de metástasis en intestino delgado. El estudio histológico confirmó secundarismo de melanoma cutáneo.

Conclusión:

Sabiendo que el yeyuno íleon es el sitio de asiento más frecuente de las metástasis de melanoma, ante la presencia de síntomas digestivos inespecíficos o anemia se debe sospechar su compromiso y evaluar posibles alternativas terapéuticas.

Palabras clave: intestino delgado; melanoma; peritonitis; metástasis

Abstract:

Introduction:

The small intestine is the most frequent site of metastatic melanoma. However, its diagnosis continues to be a challenge since it is usually asymptomatic or with non-specific symptoms.

Few cases result in complications, peritonitis due to perforation being infrequent. The objective of the work is to report a clinical case of peritonitis due to perforation of a melanoma metastasis in the small intestine.

Clinical case:

A 66-year-old male patient diagnosed with melanoma of the neck and secondary bone, brain and lung melanoma, underwent emergency surgery for acute peritonitis due to perforation of metastasis in the small intestine, which was resected and anastomosed. The histology confirmed the secondary nature of the cutaneous melanoma.

Conclusion:

Knowing that the jejunum-ileum is the most frequent site of melanoma metastases, in the presence of non-specific digestive symptoms or anemia, its involvement should be suspected and possible therapeutic alternatives should be evaluated.

Keywords: Small intestine; Melanoma; Peritonitis; Metastasis

Resumo:

Introdução:

O intestino delgado é o local mais frequente de melanoma metastático.

O diagnóstico é um desafio por ser assintomático ou apresentar sintomas inespecíficos.

Há poucos casos que apresentam complicações, sendo pouco frequente a peritonite por perfuração.

O objetivo deste trabalho é relatar um caso clínico de peritonite por perfuração de metástase de melanoma no intestino delgado.

Caso clínico:

Paciente do sexo masculino, 66 anos, diagnosticado com melanoma no pescoço com metástase óssea, cefálica e pulmonar. Foi submetido a cirurgia de emergência por peritonite aguda por perfuração de metástases do intestino delgado. O estudo histológico confirmou melanoma cutâneo.

Conclusão:

Sabendo que o jejuno e o íleo é o local mais frequente de metástase de melanoma, na presença de sintomas digestivos inespecíficos ou anemia deve-se suspeitar de seu acometimento e avaliar possíveis alternativas terapêuticas.

Palavras chave: intestino delgado; melanoma; peritonite; metástase

Introducción

El melanoma constituye el 4 % de los tumores de piel, incidencia en ascenso, siendo hoy en día el cáncer de piel con mayor mortalidad1. Se trata de una neoplasia de origen neuroectodérmico de estirpe melanocítica que compromete con mayor frecuencia la piel. El 50 % de los casos se localiza en cabeza y cuello, seguido por la úvea y leptomeninges y en menor frecuencia las mucosas, siendo casi excepcionales los melanomas primitivos del tracto urinario o gastrointestinal2. Se caracteriza por su gran capacidad metastásica, ofreciendo en estos casos un mal pronóstico a pesar de los posibles tratamientos sistémicos.

El melanoma metastásico presenta gran afinidad por el tracto gastrointestinal con claro predominio por el intestino delgado. El tiempo de aparición entre el tumor primitivo y la metástasis es variable, habiendo series que reportan una media de 66 meses y otros de 43 meses3. Se estima que 50 - 60 % de los melanomas metastásicos, tienen compromiso del yeyuno íleon1)(2)(3)(4 Su presentación paucisintomática es lo que lleva que el diagnóstico sea un verdadero desafío. Se estima únicamente un 1,5 - 4,4 % de los casos diagnosticados in vivo, el resto son hallazgos durante autopsias3.

Las complicaciones del melanoma metastásico en intestino delgado incluyen el sangrado, la intususcepción, el síndrome malabsortivo y en menor frecuencia la perforación, la cual se presenta de forma excepcional y con muy pocos casos hallados reportados en la literatura1)(2)(3)(4)(5)(6)(7)(8.

En Uruguay el primer estudio de características clínico-epidemiológicas y sobrevida se realizó en 2020. La media de edad de diagnóstico fue de 61,2 años. Edad mayor que la evidenciada en la literatura global, siendo los diagnósticos más tardíos y avanzados. Las lesiones en dorso son las más frecuentes (22,5 %) y son la topografía más prevalente en hombres, a diferencia de las mujeres cuya topografía más frecuente son los miembros inferiores. La sobrevida global en EIV es de 12 meses5.Hasta el momento no hay estudios sobre incidencia de secundarismo gastrointestinal de melanoma en Uruguay.

El objetivo del trabajo es comunicar un caso clínico de una peritonitis por perforación de una metástasis de melanoma en intestino delgado.

Reporte de caso

Paciente de 66 años, sexo masculino con diagnóstico de melanoma en dorso del cuello.

De la valoración, se evidenció secundarismo a nivel de 5 vertebra cervical, múltiples lesiones encefálicas, pulmonares y óseas.

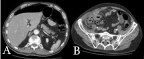
Internado por síndrome medular parcial, instaló dolor abdominal brusco en epigastrio que irradiaba a fosa ilíaca y flanco derecho. Cursó en apirexia, sin alteraciones del tránsito digestivo. Del examen físico se destacaba un abdomen con elementos de irritación peritoneal en hemiabdomen derecho. De la analítica se destacaba leucocitosis 30.000. Sin disfunciones (Fig.1). Se realizó tomografía de abdomen y pelvis que evidenció neumoperitoneo (Fig.1. A). En relación al ciego, imagen tubular con gas en su interior (Fig.1. B). Múltiples adenomegalias mesentéricas.

Fig.1: A) Evidencia de neumoperitoneo. B) imagen tubular en relación al ciego

Fuente: del autor.

Con diagnóstico de peritonitis aguda ingresa a block quirúrgico para video laparoscopía. De la exploración: peritonitis plástica adherencial, líquido purulento, apéndice y gastroduodeno sanos.

Se decidió conversión realizando mediana infra umbilical. A 25 cm de la válvula ileocecal se identificó asa ileal con tumoración perforada (Fig.2) múltiples implantes tumorales en meso y resto de intestino delgado.

Se realizó resección y anastomosis latero lateral manual.

Anatomía patológica: neoplasia pobremente diferenciada con morfología acorde con melanoma.

Buena evolución postoperatoria, continúa seguimiento con oncología y medicina paliativa.

Fig.2: A) Pieza de resección, corresponde a íleon distal. B) Apertura de pieza, características de lesión metastásica

Fuente: del autor.

Discusión

El melanoma metastásico afecta con frecuencia al tracto gastrointestinal, siendo los tumores secundarios más frecuentes del yeyuno íleon.

La estadificación de las NCCN/AJCC de melanoma, lo divide en cuatro estadios, correspondiendo a nuestro paciente un estadio IV6.

La mayoría cursa asintomático, dentro los síntomas inespecíficos están, dolor abdominal, adelgazamiento y anemia1)(7.

Las complicaciones son poco frecuentes, siendo la perforación, casi excepcional habiendo muy pocos casos hallados reportados en la literatura1)(2)(3)(4)(5)(6)(7)(8.

El diagnóstico pre operatorio resulta una herramienta útil para definir la táctica quirúrgica.

La resección de las metástasis macroscópicas demostró asociar un aumento en la tasa de supervivencia a 5 años3)(4)(5)(6)(7)(8)(9. Además, demostró ser un tratamiento con baja morbimortalidad para paliar síntomas9.

Por tanto, ante pacientes con melanoma que agregan síntomas digestivos inespecíficos o anemia debe sospecharse el compromiso metastásico del yeyuno íleon. Justificando así la realización de estudios de imagen como el PET TC o cápsula endoscópica, teniendo en cuenta, que estudios de mayor accesibilidad y menor costo como la tomografía, cuenta con baja sensibilidad, próxima al 50 % para el diagnóstico de melanoma metastásico en intestino delgado8.

No cabe discusión que ante una complicación mayor, como es el caso presentado, la cirugía resectiva es el tratamiento a realizar, mejorando además la calidad de vida.

Ante la confirmación imagenológica de secundarismo en yeyuno íleon, con ausencia de complicaciones agudas, no se recomienda la resección sistemática, debiendo individualizar la conducta a cada paciente4)(10.

Conclusión

Sabiendo que el yeyuno íleon es el sitio de asiento más frecuente de las metástasis de melanoma, ante la presencia de síntomas digestivos inespecíficos o anemia debemos sospechar su compromiso y evaluar alternativas terapéuticas

Referencias:

1. Michalinos A, Felekouras E, Athanasiou A, Tsaparas P, Mantas D, Kouraklis G. Melanoma metástases to gastrointestinal tract. Am Surg. 2015;81(5):E212-4. doi: 10.1177/000313481508100510 [ Links ]

2. Kibbi N, Kluger H, Choi JN. Melanoma: Clinical presentations. Cancer Treat Res. 2016;167:107-29. doi: 10.1007/978-3-319-22539-5_4 [ Links ]

3. La Selva D, Kozarek RA, Dorer RK, Rocha FG, Gluck M. Primary and metastatic melanoma of the GI tract: clinical presentation, endoscopic findings, and patient outcomes. Surg Endosc. 2020;34(10):4456-62: doi: 10.1007/s00464-019-07225-8 [ Links ]

4. Mantas D, Tsaparas P, Charalampoudis P, Gogas H, Kouraklis G. Emergency surgery for metastatic melanoma. Int J Surg Oncol. 2014;2014:987170. doi: 10.1155/2014/987170 [ Links ]

5. Amarillo D, De Boni D, Nantes F, Tambasco C, Brayer C, Palacios C, et al. Melanoma cutáneo en Uruguay: características clínico-epidemiológicas y sobrevida en cohorte de pacientes de dos centros de referencia en el período 2008-2017. Rev Med Urug. 2020;36(2):146-54. doi: 10.29193/RMU.36.2.4 [ Links ]

6. Coit DG, Thompson JA, Albertini MR, Barker C, Carson WE, Contreras C, et al. Cutaneous melanoma, version 2.2019, NCCN Clinical Practice Guidelines in Oncology. J Natl Compr Canc Netw. 2019;17(4):367-402. doi: 10.6004/jnccn.2019.0018. [ Links ]

7. Bender GN, Maglinte DD, McLarney JH, Rex D, Kelvin FM. Malignant melanoma: patterns of metastasis to the small bowel, reliability of imaging studies, and clinical relevance. Am J Gastroenterol. 2001;96(8):2392-400. doi: 10.1111/j.1572-0241.2001.04041.x. [ Links ]

8. Lianos GD, Messinis T, Doumos R, Papoudou-Bai A, Bali CD. A patient presenting with acute abdomen due to metastatic small bowel melanoma: a case report. J Med Case Rep. 2013;7:216. doi: 10.1186/1752-1947-7-216. [ Links ]

9. Ollila DW, Essner R, Wanek LA, Morton DL. Surgical resection for melanoma metastatic to the gastrointestinal tract. Arch Surg. 1996;131(9):975-9;979-80. doi: 10.1001/archsurg.1996.01430210073013. [ Links ]

10. Brummel N, Awad Z, Frazier S, Liu J, Rangnekar N. Perforation of metastatic melanoma to the small bowel with simultaneous gastrointestinal stromal tumor. World J Gastroenterol. 2005;11(17):2687-9. doi: 10.3748/wjg.v11.i17.2687 [ Links ]

Nota: Contribución de los autores: Diseño y concepción, análisis, redacción, interpretación de resultados, revisión crítica. Lucía Romero 60%. Pilar Arcienega 20%. Leandro Telles 10%. Daniel González 10%

Nota: Los autores declaran que no existe conflicto de interés

Nota: Este artículo fue aprobado por el editor Gustavo Rodríguez Temesio

Recibido: 17 de Agosto de 2022; Aprobado: 01 de Diciembre de 2022

Creative Commons License Este es un artículo publicado en acceso abierto bajo una licencia Creative Commons