Mujer de 59 años, con antecedentes de diverticulosis de colon, que acude por dolor en la región inguinal y en el miembro inferior izquierdo de dos meses de evolución.
En una primera instancia, la paciente se presentó con clínica de sepsis y se objetivó un eritema en el miembro inferior izquierdo, asociado a celulitis y crepitación subcutánea.
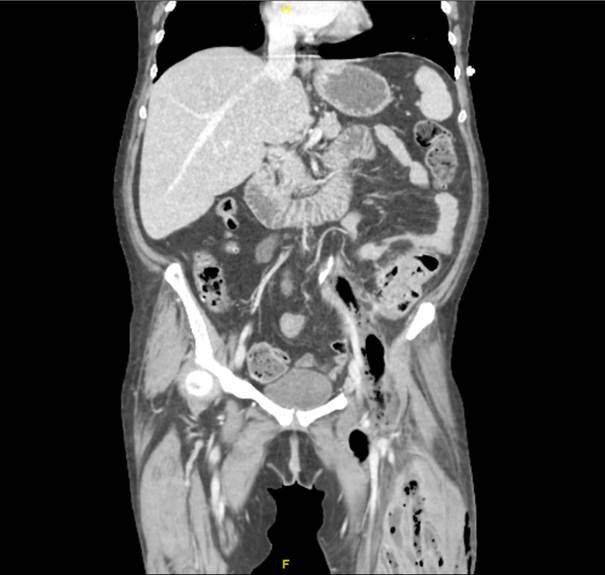
La TC mostraba una colección hidroaérea en psoas y retroperitoneal que asciende hasta la cavidad abdominal hallándose una diverticulitis perforada. El tratamiento quirúrgico se basó en el drenaje de la colección retroperitoneal y sigmoidectomía, seguido de una fasciotomía, desbridamiento y lavado del muslo.
La perforación de un divertículo puede formar un absceso intraperitoneal desarrollando una peritonitis o un absceso retroperitoneal, derivando en una translocación bacteriana hacia la extremidad inferior, debido a la comunicación existente en el anillo crural, generando una fascitis necrotizante del miembro.
















