Introducción
Los trastornos de la motilidad esofágica se clasifican según su localización en la porción superior o inferior del esófago1. Pueden también catalogarse como primarios con afectación intrínseca del esófago o ser secundarios a otras patologías. La acalasia es el trastorno motor esofágico primario más frecuente. Se caracteriza por la disminución del peristaltismo del cuerpo esofágico y relajación incompleta o ausente del esfínter esofágico inferior (EEI), que resulta en una obstrucción funcional del esófago distal1,2.
Se trata de una enfermedad poco frecuente en la población general, menor en la edad pediátrica, con incidencias reportadas desde 0,11 a 1,6 casos cada 100.000 habitantes2,3.
La causa más frecuente de acalasia es la idiopática. Se caracteriza a nivel histológico por disminución de ganglios nerviosos en el plexo mientérico de Auerbach con pérdida selectiva de neuronas inhibitorias posganglionares implicadas en la relajación del EEI, que generan un aumento de presión a nivel del esfínter y su relajación incompleta o anormal y aperistalsis del cuerpo esofágico. El fenómeno que inicia la degeneración de estas células aún es desconocido1-4. La hipótesis más aceptada refiere a la confluencia de varios factores: predisposición genética, presencia de una infección viral o fenómenos de autoinmunidad que derivan en la formación de anticuerpos contra el plexo mientérico causando inflamación y pérdida de células ganglionares. También se ha asociado a la enfermedad de Chagas1,5-7.
Esta entidad se manifiesta clínicamente por disfagia, que suele ser intermitente o paradojal, de progresión lenta, frecuentemente sólo para líquidos, aunque a veces puede presentarse de forma diaria y en todas las comidas. Otras manifestaciones son las regurgitaciones, vómitos posprandiales y dolor torácico retroesternal, asociados a repercusión del estado nutricional. Son hallazgos atípicos la presencia de tos crónica e infecciones respiratorias reiteradas de mecanismo aspirativo3,4,8.
El estudio radiológico con bario muestra el esófago dilatado y estrechez distal en “pico de pájaro” por hipertonía del EEI y tiene una sensibilidad diagnóstica de 95%. El gold standard para el diagnóstico es la manometría esofágica que evidencia el aumento de presión, falta de relajación del EEI, y alteración de la motilidad del esófago en su porción distal3,4,7-9.
El diagnóstico diferencial debe realizarse fundamentalmente con la obstrucción extrínseca, lo que se denomina pseudoacalasia, principalmente secundaria a tumores mediastinales y conglomerados adenopáticos de causa infecciosa o neoplásica1,9,10.
El tratamiento puede ser médico o quirúrgico. La miotomía quirúrgica consiste en seccionar la capa muscular esofágica manteniendo indemne la mucosa y así disminuir la presión del EEI. Es la opción más efectiva y duradera para este trastorno2.
El objetivo de este trabajo es describir las presentaciones clínicas menos frecuentes de la acalasia esofágica en la edad pediátrica y revisar la literatura disponible.
Caso clínico
Varón de 6 años, sin antecedentes personales y familiares patológicos a destacar, con buen crecimiento y desarrollo. Certificado esquema de vacunación vigente. Comenzó dos meses previos al ingreso hospitalario con regurgitaciones alimentarias, inicialmente catalogadas como vómitos, posprandiales inmediatas, uno a dos episodios diarios, sin sangre ni contenido bilioso. Presentaba dolor abdominal del mismo tiempo de evolución, tipo cólico, en hemiabdomen superior, de intensidad moderada, que cedía con las regurgitaciones. Adelgazamiento de 2 kg desde el inicio de la enfermedad, sin anorexia. No disfagia, sialorrea ni pirosis. Niega ingesta de cuerpo extraño.
Al examen físico presentaba mal aspecto general y decaimiento. Las constantes vitales y el estado hemodinámico eran normales. La piel y las mucosas estaban normocoloreadas, sin lesiones. La inspección del abdomen era normal. A la palpación, se encontraba blando, depresible e indoloro. No se identificaban tumoraciones ni visceromegalias. Los ruidos hidroaéreos eran de tonalidad y frecuencia habitual. El examen cardiovascular, pleuropulmonar y neurológico eran normales.
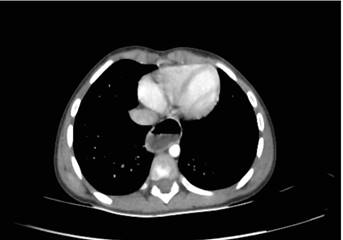
Reiteradas consultas en servicios de urgencias donde se le indicaron tratamiento sintomático con antieméticos, con persistencia de la sintomatología. Ingresó en el Hospital Pediátrico, Centro Hospitalario Pereira Rossell (HP-CHPR), para continuar valoración diagnóstica y terapéutica. Durante la hospitalización se identificaron regurgitaciones inmediatas a la alimentación con sólidos y líquidos, pero de forma más marcada con sólidos, sin elementos patológicos. El paciente presentaba el apetito conservado luego de las regurgitaciones. La gasometría venosa, glucemia, ionograma y función renal fueron normales. Se realizó tomografía de abdomen y tórax que informó stop abrupto a nivel de unión cardioesofágica y dilatación de esófago proximal con nivel hidroaéreo en su interior. No se observaron tumoraciones a nivel mediastinal (Figura 1).

Figura 1 Tomografía de abdomen: stop a nivel de unión cardioesofágica y dilatación de esófago proximal con nivel hidroaéreo en su interior.
A pesar de la ausencia de la disfagia, síntoma cardinal de esta patología, la presencia de regurgitaciones, dolor y descenso de peso, junto con los hallazgos imagenológicos, orientaron al planteo diagnóstico de acalasia esofágica.
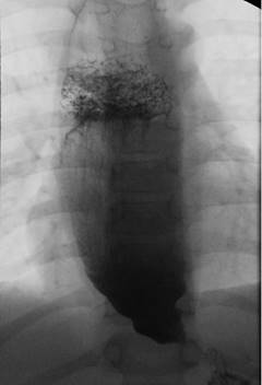
Para confirmar este diagnóstico se realizó estudio radiológico con bario que evidenció un esófago distendido con aumento del calibre, nivel líquido-líquido, restos de alimentos y en su sector distal disminución del calibre con terminación en “pico de pájaro”, vaciamiento por gravedad no observado en decúbito acompañado de contracciones peristálticas no efectivas (Figura 2). Posteriormente se realizó una fibrogastroscopia (FGC) y toma de biopsia que evidenció elementos de esofagitis leve. No fue posible la realización de la manometría esofágica. Para la valoración de etiologías secundarias la tomografía descartó imágenes sugestivas de compromiso extraluminal como tumores o conglomerados adenopáticos y patologías propias de la pared esofágica. Se realizó serología para Trypanosoma cruzi, por ser procedente de zona endémica, la cual fue negativa.

Figura 2 Estudio radiológico de esófago con bario: esófago distendido, aumentado de calibre, con nivel líquido-líquido. Sector distal con terminación “en pico de pájaro”.
El tratamiento definitivo fue quirúrgico mediante miotomía de Heller con funduplicatura anterior de Dorr por abordaje convencional, sin incidentes. Presentó buena evolución clínica, con tolerancia de alimentos líquidos y sólidos. Luego del tratamiento quirúrgico se realizó un nuevo estudio radiológico baritado que mostró pasaje de contenido esofágico al estómago (Figura 3).
Discusión
La acalasia es el más frecuente de los trastornos de la motilidad del segmento inferior del esófago, patología infrecuente, especialmente en pediatría1. Existen escasos reportes de casos comunicados de acalasia en niños en Uruguay11.
Afecta igualmente a niños y niñas y en general se realiza el diagnóstico entre la tercera y quinta década de vida, siendo poco frecuente antes de la adolescencia. Es raro el inicio de síntomas previamente a la edad escolar, como en el caso clínico presentado1,6,11,12.
Con frecuencia es una patología de inicio insidioso. El síntoma más frecuente es la disfagia intermitente para sólidos y en oportunidades también para líquidos, presente en 90% de los pacientes. No se identificó en este caso, lo que contribuyó al retraso diagnóstico. Es necesario destacar la complejidad de realizar una anamnesis detallada de algunos síntomas en niños a esta edad, haciendo difícil la caracterización así como describir su presencia o ausencia1,4,6,12-14.
Tampoco se identificaron las regurgitaciones en la etapa inicial y la observación durante la hospitalización fue clave para la interpretación de la sintomatología14.
En primer lugar, se descartó la obstrucción extrínseca mediante tomografía de tórax. Excluyendo esta causa se deben plantear trastornos funcionales del esófago y dirigir los estudios diagnósticos a confirmar el planteo de acalasia10.
La manometría esofágica de alta resolución es el gold standard, mostrando ondas terciarias o aperistalsis y aumento de presión, con ausencia de relajación del EEI7,10,15. No se realizó este estudio, ya que no se encuentra disponible para pacientes en edad pediátrica en Uruguay.
Como alternativa se propone la realización de un tránsito esofágico baritado que se considera un estudio altamente específico en la mayoría de los casos. La dilatación del esófago, con retención de alimentos y terminación puntiforme, sugieren acalasia como diagnóstico probable7.
Debe tenerse en cuenta que en estadios iniciales tanto la radiografía baritada como la endoscopía pueden ser normales10.
La etiología es desconocida, la mayoría son idiopáticas. En este paciente no se encontró patología de base ni otras causas intercurrentes. Se descartó infección por T. Cruzi, fundamental esto considerando que el paciente proviene de una zona endémica2,7-9. La etiología autoinmune y degenerativa es infrecuente en la edad pediátrica7.
El tratamiento puede ser médico, endoscópico y/o quirúrgico, y tiene como objetivo disminuir la presión del EEI. El tratamiento médico se realiza mediante la inyección endoscópica de toxina botulínica y es efectivo en un gran porcentaje de pacientes, el gran inconveniente es la recurrencia de los síntomas. Otro método utilizado es la dilatación neumática (DN) con resolución de síntomas de hasta 90%, pero de menor duración respecto al tratamiento quirúrgico, en estos casos de recurrencia se pueden realizar múltiples dilataciones, si el método no funciona, habitualmente se plantea como opción el tratamiento quirúrgico mediante miotomía tipo Heller3,6,7,13,14.
La miotomía de Heller (MH) asociada a procedimiento antirreflujo es el tratamiento de elección. La utilización de laparoscopía disminuye la morbilidad en comparación a la vía clásica y reduce la incidencia de complicaciones posoperatorias así como el tiempo de estadía hospitalaria, dolor posoperatorio y favorece un rápido reintegro a la actividad habitual del niño. El requerimiento de anestesia es equiparable tanto en la MH como en la DN7. En los últimos años se han expuesto una serie de casos que muestran mejoría de síntomas en más de 95% luego del tratamiento quirúrgico3,6,7,12,16.
En la actualidad se propone una nueva forma de tratamiento llamada miotomía endoscópica por vía oral (POEM) en la que se realiza una esofagomiotomía íntegramente por vía endoscópica. Esta técnica ha mostrado una tasa de éxito superior a 90%, con mejoras en los perfiles de presión de la manometría esofágica. Se trata de un procedimiento menos invasivo, que permite el reintegro a las actividades en pocos días. Si bien esta técnica reporta buenos perfiles de seguridad, los datos disponibles todavía no permiten establecer recomendaciones para su aplicación según límites de peso y edad, por lo que la MH continúa siendo el tratamiento de elección en niños2,6-8,17-20.
Si bien la MH muestra una alta tasa de éxito, no está exenta de complicaciones. La complicación intraoperatoria más frecuente es la perforación de la mucosa esofágica. En el seguimiento posterior se deben descartar síntomas de mal vaciamiento esofágico o reflujo gastroesofágico2,9.
Conclusiones
La acalasia es una enfermedad poco frecuente en pediatría, pero es fundamental su conocimiento para establecer un diagnóstico oportuno y evitar el impacto nutricional y psicosocial del niño y su familia.
La disfagia es el síntoma clave y en general guía el diagnóstico. Es importante estar atentos a las formas clínicas atípicas con presentaciones inespecíficas que contribuyen al retraso diagnóstico.















