Serviços Personalizados
Journal
Artigo
Links relacionados
Compartilhar
Archivos de Pediatría del Uruguay
versão On-line ISSN 1688-1249
Arch. Pediatr. Urug. vol.82 no.4 Montevideo dez. 2011
CASO CLÍNICO
Arch Pediatr Urug 2011; 82(4)
Empiema raquídeo en pediatría.
Dificultades en el diagnóstico y las decisiones terapéuticas
Soledad Menta 1, Alfredo Cerisola 2, Gabriel González 3, Pablo Pereda 4, Álvaro Galiana 5, Alicia López 6, Ivonne Rubio 7
1. Residente de Pediatría del Hospital Regional de Tacuarembó, Administración de Servicios de Salud del Estado (ASSE).
2. Neuropediatra. Profesor Adjunto de Cátedra de Neuropediatría.
3. Neuropediatra. Profesor Agregado de Cátedra de Neuropediatría.
4. Neurocirujano. Ex Asistente de Cátedra de Neurocirugía.
5. Pediatra infectólogo del Centro Hospitalario Pereira Rossell, Administración de Servicios de Salud del Estado (ASSE).
6. Jefe del Servicio de Pediatría del Hospital Regional de Tacuarembó, Administración de Servicios de Salud del Estado (ASSE).
7. Ex Profesora Directora de Clínica Pediátrica C, Facultad de Medicina.
Servicio de Pediatría del Hospital Regional de Tacuarembó.
Departamento de Pediatría del Hospital Pediátrico del Centro Hospitalario Pereira Rossell.
Fecha recibido: 23 de agosto de 2011.
Fecha aprobado: 13 de diciembre de 2011.
Resumen
El empiema raquídeo es una patología poco frecuente en niños. La sospecha clínica del mismo es fundamental para realizar un diagnóstico temprano e iniciar un tratamiento adecuado y oportuno que cambie el pronóstico vital y funcional del paciente. Sin embargo, el mismo es dificultoso en la mayoría de los pacientes dada la poca expresividad clínica al inicio de la enfermedad. En cuanto al tratamiento, se propone que es médico y quirúrgico, estando en discusión la exclusividad del primero y el momento oportuno para el segundo en algunos casos. Se presenta el caso de un niño de 7 años, que presentó un empiema raquídeo en el contexto de una infección de cuero cabelludo. Su presentación clínica, al igual que lo descripto en la literatura, fue insidiosa. Se inició tratamiento antibiótico, pero el aumento de la colección evidenciada en la resonancia magnética requirió la decomprensión quirúrgica. El paciente evolucionó de manera favorable, sin signos neurológicos deficitarios.
Palabras clave:
ABSCESO EPIDURAL
EMPIEMA
IMAGEN POR RESONANCIA MAGNÉTICA
Summary
Spinal empyema is an uncommon condition in children.
The clinical suspicion of it is essential for early diagnosis and initiate appropriate and timely treatment to change the functional prognosis of the patient.
However, it is difficult in most patients because of scarce clinical expression at the beginning of the disease.
As for treatment, it is proposed that medical and surgical exclusivity under discussion being the first and second timing in some cases.
A case of a child of 7 years, who presented a spinal empyema in the context of an infection of the scalp.
The clinical presentation, just as described in the literature was insidious.
Antibiotic treatment was started, but the increase in the collection evidenced on MRI required the surgical decompression.
The patient progressed favorably, without neurological deficit signs.
Key words:
EPIDURAL ABSCESS
EMPYEMA
MAGNETIC RESONANCE IMAGING
Introducción
El empiema raquídeo se caracteriza por la presencia de pus en el espacio epidural espinal. Puede estar localizado en uno o varios segmentos vertebrales o extenderse a la totalidad de la columna vertebral (1). Es una entidad rara en la edad pediátrica, con una incidencia menor a 1,2 por 10.000 ingresos hospitalarios (1-3).
En cuanto a la patogenia, los gérmenes pueden acceder al canal raquídeo por varios mecanismos, siendo la hematógena la vía principal (4-6). El germen más frecuentemente hallado en todas las revisiones de casos es Staphyloccocus aureus. Otros gérmenes como Pseudomona aeruginosa, Streptococcus pneumoniae, Escherichia coli, Salmonella y Fusobacterium también han sido implicados en el desarrollo de esta enfermedad (7-9).
Los síntomas clásicos del empiema raquídeo son dolor vertebral local, fiebre y déficit neurológico. Sin embargo, estos síntomas y signos sólo están presentes en 10%-15% de los casos (3,5).
El diagnóstico se confirma mediante la resonancia magnética, la cual muestra una imagen hipointensa o isointensa en secuencias T1 e hiperintensa en T2, que se realza con el gadolinio, permitiendo visualizar la localización y la extensión de la misma (5,8,10).
Los marcadores inflamatorios como leucocitosis y velocidad de eritrosedimentación (VES) o proteína C reactiva (PCR) elevadas suelen estar presentes, pero no son específicos (1).
El tratamiento del empiema raquídeo es médico-quirúrgico. La laminectomía y el drenaje quirúrgico junto a la antibioticoterapia constituyen el tratamiento de elección en la mayoría de los casos (11).
Se presenta el caso de un escolar de 7 años con empiema raquídeo en región cérvico-torácica, con el propósito de analizar las dificultades diagnósticas y terapéuticas del mismo.
Caso clínico
Varón de 7 años, procedente de Tacuarembó, sin antecedentes personales ni familiares a destacar.
Ingresa en el Hospital de Tacuarembó por enfermedad caracterizada por sensación febril, astenia, adinamia y tumoración en cuello de 10 días de evolución. Al examen se constata una tumoración en región submaxilar izquierda, de 2 centímetros de diámetro y consistencia firme elástica, levemente dolorosa a la palpación, sin rubor ni calor local. Concomitantemente, presenta lesiones impetiginizadas en cuero cabelludo y múltiples caries dentarias. Recibe tratamiento con ceftriaxona intravenosa y gentamicina local en las lesiones de cuero cabelludo. Presenta buena evolución por lo que se otorga alta a domicilio a los 5 días del ingreso.
A las 24 horas del alta, instala dolor en cuello, posición antálgica de cabeza e impotencia funcional de miembro superior izquierdo por lo que consulta e ingresa nuevamente. Al examen físico se constata paciente en apirexia, con persistencia de las lesiones impetiginizadas en cuero cabelludo y una tumoración en región submaxilar de consistencia firme, adherida a planos profundos, discretamente dolorosa de 2 cm de diámetro aproximadamente. Presenta rotación de cabeza y cuello hacia la izquierda y abajo, dolor a la palpación de las masas musculares cervicales, disminución de fuerzas a predominio distal en el miembro superior izquierdo, con tono y reflejos normales. Resto del examen físico normal.
Se realiza hemograma que muestra: glóbulos blancos: 13.700 elementos/mm3, neutrófilos 74,2%.
Proteína C reactiva 38,3 mg/l. Velocidad de eritrosedimentación 52 mm/1ª hora.
Tomografía de cráneo normal. Hemocultivo estéril.
Se traslada al Centro Hospitalario Pereira Rossell. Se realiza resonancia magnética de raquis que muestra un proceso patológico a nivel cérvico-torácico intrarraquídeo extramedular, que se extiende desde la tercera vértebra cervical hasta la primera torácica (figura 1). Con el diagnóstico de empiema raquídeo se inicia tratamiento con vancomicina, metronidazol y ceftriaxona con buena evolución inicial. Sin embargo, a los 6 días presenta peoría neurológica con aumento de la paresia de miembro superior izquierdo a predominio distal. A nivel de miembros inferiores hiperreflexia, clonus y Babinski bilateral. Se repite resonancia magnética que muestra aumento de la colección epidural comprometiendo hasta la cuarta vértebra torácica (figura 2). Se realiza hemilaminectomía de quinta vértebra cervical hasta primera torácica, obteniéndose abundante pus, amarillo, inodoro. En el estudio bacteriológico no se obtuvo desarrollo bacteriano. Se continúa tratamiento con ceftriaxona-clindamicina por 10 días. Posteriormente se rota a teicoplanina y rifampicina por 10 días, se suspende rifampicina y se continúa con teicoplanina en días alternos por 10 días más en domicilio, completando las 6 semanas de tratamiento antibiótico.
En cuanto a la tumoración de cuello, se realiza exploración quirúrgica y se constata que la misma corresponde a un quiste tirogloso. El mismo se reseca con buena evolución posterior.
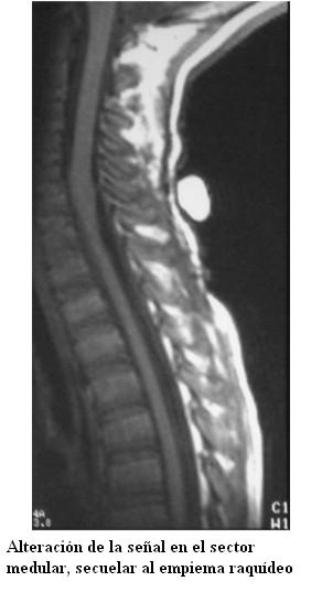
En los controles posteriores se observa mejoría de la sintomatología neurológica, pero se destaca que luego de un año del inicio de la enfermedad el niño persiste con síntomas de liberación piramidal sin afectación funcional. La resonancia magnética de control a los 3 meses del diagnóstico muestra mejoría de la colección intrarraquídea, con persistencia de discreta alteración medular (figura 3).
Discusión
El empiema raquídeo es una patología infrecuente y grave en la cual el diagnóstico y tratamiento temprano influyen directamente en el pronóstico vital y funcional del paciente. El principal factor pronóstico es el estado neurológico al momento del diagnóstico (3).
En el paciente que se presenta, la localización de la colección epidural es a nivel de vértebras cervicales y primeras torácicas, ocupando toda la circunferencia del canal raquídeo, lo cual se diferencia de la mayoría de los pacientes, en los que el sector lumbar y posterior del canal raquídeo es el que se afecta con mayor frecuencia (1).
Los gérmenes pueden acceder al sitio de infección por tres mecanismos: a) vía hematógena, desde un foco a distancia (sobre todo infecciones de piel y partes blandas), b) por invasión directa desde un foco contiguo y c) por traumatismos o procedimientos en el canal raquídeo (5,6). En este paciente, se destaca la presencia de lesiones de piel como probable puerta de entrada y la diseminación hematógena como vía de acceso al espacio epidural.
En algunos casos, pueden encontrarse ciertos factores de riesgo (diabetes, uso de drogas intravenosas), pero en niños sólo un tercio los presentan (3,4); no se constató la presencia de los mismos en el paciente descripto.
En cuanto a las manifestaciones clínicas en niños, síntomas tales como la irritabilidad producida por el dolor frente a la movilización espinal, vómitos o el rechazo del alimento, se presentan con cierta frecuencia al inicio del cuadro (1). Este paciente instaló de forma insidiosa la sintomatología neurológica, lo cual es característico de esta afección. No presentó fiebre, la cual puede faltar en la mitad de los casos (12,13). Por lo tanto, la orientación clínica inicial es difícil en la mayoría de los pacientes, dado que los síntomas son inespecíficos y, más aún, al inicio de la enfermedad.
El diagnóstico se basa en el hallazgo en la resonancia magnética de la colección intrarraquídea, que frecuentemente provoca compresión medular, como en este caso clínico, y que mejora con la degravitación del espacio epidural (5,8,10).
En cuanto al diagnóstico etiológico del empiema raquídeo, en la mayoría de los casos publicados se plantea al Staphylococcus aureus como la bacteria responsable (7-9). En todas las series revisadas se aconseja prolongar el tratamiento antibiótico por más de cuatro semanas (2,7,14). En este caso no se pudo identificar el germen ni en el hemocultivo ni en el estudio bacteriológico del pus que se obtuvo en la decompresión quirúrgica (se realizó al sexto día de tratamiento antibiótico), lo cual generó dudas sobre el mejor plan de tratamiento para este paciente y llevó a que recibiera múltiples antibióticos diferentes.
A nivel nacional se publicó en el año 2006 el caso clínico de un escolar de 7 años con tortícolis que presentó un empiema raquídeo en el contexto de un impétigo. En la resonancia magnética se encontraron múltiples abscesos epidurales a nivel cervical, dorsal y lumbar. A diferencia del paciente que se discute en esta presentación, ese niño no presentó sintomatología neurológica deficitaria y se constató la presencia en el hemocultivo y exudado de piel de Staphylococcus aureus meticilino resistente adquirido en la comunidad. En este caso sólo se realizó tratamiento antibiótico dada la presencia de múltiples focos y la mejoría clínica que presentó el paciente con el mismo (12).
A nivel internacional, la discusión se centra en la indicación del tratamiento quirúrgico. En la literatura consultada se hace referencia a una serie de 10 niños con absceso epidural, reportada por Enberg y Kaplan, en los cuales se había optado por tratamiento antibiótico exclusivo y fallecieron todos (9,11). Aulletta y John realizaron una revisión de una serie de ocho casos pediátricos en la cual sólo dos recibieron únicamente tratamiento antibiótico, con buena evolución posterior de todos los pacientes (3). Sin embargo, en un estudio realizado por Wan-Chin Chen y colaboradores, en pacientes adultos, se muestra que de los 31 pacientes incluidos en la serie, la mitad fueron tratados satisfactoriamente sólo con antibióticos, con buena evolución, sin secuelas posteriores (5). Se puede visualizar que la decisión terapéutica es controvertida, siendo el tratamiento antibiótico, como única opción, una alternativa avalada por algunos estudios y desestimada por otros. La mayoría de los autores refieren que la indicación de tratamiento quirúrgico se impondría en todos los pacientes excepto en aquellos con severas fallas sistémicas, pacientes con ausencia de síntomas neurológicos al momento del diagnóstico o con paraplejia establecida por más de 3 o 4 días, en los cuales la decompresión quirúrgica no aportaría beneficios en la evolución del déficit (14). En el resto de los pacientes, se destaca que un retraso en la misma podría conducir a un deterioro neurológico rápido e irreversible (2,7,13,14).
El tratamiento quirúrgico si bien estuvo diferido en la primera etapa de la enfermedad, se impuso ante la peoría clínica del paciente, la cual se correspondió con un aumento de la colección evidenciada por la neuroimagen. Por lo anteriormente analizado, dada la signología clínica neurológica inicial del paciente que se presenta, el tratamiento quirúrgico podría haberse instaurado una vez hecho el diagnóstico de empiema raquídeo.
En cuanto a las secuelas, el factor pronóstico más relevante es la situación clínica del paciente, especialmente la sintomatología neurológica, al momento del diagnóstico (15). En la revisión bibliográfica que realizaron Auletta y colaboradores no se constataron fallecimientos y las secuelas neurológicas sólo ocurrieron en la minoría de los pacientes (3). En este paciente, la evolución fue buena tanto del punto de vista general como funcional, pero en el examen físico persistieron alteraciones neurológicas luego de un año de seguimiento.
Referencias bibliográficas
1. Sendi P, Bregenzer T, Zimmerli W. Spinal epidural abscess in clinical practice. QJM 2008; 101(1): 1-12.
2. Gelabert M, González J, Fernández J, García A, Martínez R. Empiema epidural espinal. Análisis de 14 casos. Neurocirugía 2004; 15(6): 543-52.
3. Auletta JJ, John CC. Spinal epidural abscess in children: a 15 year experience and review of the literature. Clin Inf Dis 2001; 32(1): 9-16.
4. Darouiche RO. Spinal epidural abscess. N Engl J Med 2006; 355(19): 2012-20.
5. Chen WC, Wang JL, Wang JT, Chen YC, Chang SC. Spinal epidural abscess due to Staphylococcus aureus: clinical manifestations and outcomes. J Microbiol Immunol Infect 2008; 41(3): 215-221.
6. Akalan N, Ozgen T. Infection as a cause of spinal cord compression: a review of 36 spinal epidural abscess cases. Acta Neurochir (Wien) 2000; 142(1): 17-23.
7. Liu KA, Luhmann JD. Spinal epidural abscess in preverbal children: A case report with Currarino Triad. Pediatrics 1999; 104(5 Pt 1): 1139-42.
8. Pilkington SA, Jackson SA, Gillett GR. Spinal epidural empyema. Br J Neurosurg 2003; 17(2): 196-200.
9. González A, López J, Fabre O, Platero M, Araña V, Hernández J. Abscesos espinales epidurales. Revisión de una serie clínica. Neurología 2008; 23(2): 85-90.
10. Lury K, Smith K, Castillo M. Imaging of spinal infections. Semin Roentgenol 2006; 41(4): 363-78.
11. Bair-Merritt MH, Chung C, Collier A. Spinal epidural abscess in a young child. Pediatrics 2000; 106 (3): e39.
12. Rodriguez M, Galiana A, Rubio I. Empiema intrarraquídeo múltiple por Staphylococcus aureus meticilino resistente adquirido en la comunidad. Arch Pediatr Urug 2006; 77(1): 24-28.
13. Curry WT Jr, Hoh BL, Amin-Hanjani S, Eskandar EN. Spinal epidural abscess: clinical presentation, management, and outcome. Surg Neurol 2005; 63(4): 364- 71.
14. Pereda P, Wajskopf S. Abscesos y empiemas espinales. En: Salamano R, Scavone C, Wajskopf S, Savio E. Neuroinfecciones en el adulto y el niño. 1 ed. Montevideo: Arena, 2008: 131-40.
15. Kiymaz N, Demir O. Spontaneus cervical paraespinal and epidural giant abscess in a child. Neurol Med Chir (Tokyo) 2005; 45(10): 540-2.
Correspondencia: Dra. Soledad Menta.
Treinta y Tres Orientales 444, Tacuarembó. Uruguay. Correo electrónico: soledadmenta@gmail.com













