Serviços Personalizados
Journal
Artigo
Links relacionados
Compartilhar
Archivos de Pediatría del Uruguay
versão impressa ISSN 0004-0584versão On-line ISSN 1688-1249
Arch. Pediatr. Urug. vol.79 no.2 Montevideo ago. 2008
ARTÍCULO ORIGINAL
Arch Pediatr Urug 2008; 79(2)
Carcinoma de tiroides en niños y adolescentes
Dres. Francisco Cammarata-Scalisi 1, Pierina Petrosino 2,
Asmiria Arenas de Sotolongo 2, Melisse Milano 2, Frances Stock 3, Yorli Guerrero 4
1. Profesor de la Unidad de Genética Médica. Departamento de Puericultura y Pediatría. Universidad de Los Andes.
2. Anatomopatólogas. Profesora del Departamento de Patología. Universidad de Los Andes.
3. Oncólogo Pediatra. Instituto Autónomo Hospital Universitario de Los Andes. Mérida, Venezuela.
4. Médico Cirujano. Ministerio de Salud y Desarrollo Social.
Instituto Autónomo Hospital Universitario de Los Andes. Mérida, Venezuela.
Fecha recibido: 10 de abril de 2008.
Fecha aprobado: 29 de julio de 2008.
Resumen
El carcinoma de tiroides es una patología infrecuente en las primeras dos décadas de la vida. Se estima que 10% del total de casos ocurren durante este rango de edad. Se evidencia predominio para el sexo femenino y el tipo histopatológico más frecuente es el papilar. En este informe se estudiaron los hallazgos clínicos y patológicos de 11 pacientes menores de 20 años con carcinoma de tiroides. El patrón histopatológico corresponde en todos los casos examinados a carcinoma papilar, con una relación del sexo femenino sobre el masculino de 2,67:1. Todos los pacientes fueron intervenidos quirúrgicamente y ocho recibieron tratamiento complementario con yodo-131. La sobrevida de los pacientes en 4,6 años fue 70%. El carcinoma de tiroides en pacientes pediátricos se diferencia de los adultos con respecto a su presentación y resultado donde el tratamiento debe ser multidisciplinario.
Palabras clave:
NEOPLASIAS DE LA TIROIDES
CARCINOMA PAPILAR
NIÑO
ADOLESCENTE
Summary
Thyroid carcinoma is not frequent in the first two decades of life. It is estimated that 10% of the total cases of thyroid carcinoma occur within this age range. There is a female predominance and the majority the papillary type. Clinical and pathological characteristics of 11 patients with thyroid cancer under 20 years of age were studied: studies showed the papillary type in all of them. There is a female predominance with a ratio of 2.67:1. All patients underwent surgical treatment; additionally eight patients were treated with 131iodine. The survival rate was 70 % after 4.6 years. The presentation and outcome of thyroid carcinoma in pediatric patients differs from that in adults requiring a multidisciplinary treatment.
Key words:
THYROID NEOPLASMS
CARCINOMA, PAPILLARY
CHILD
ADOLESCENT
Introducción
El carcinoma de tiroides es una patología infrecuente en las primeras dos décadas de la vida (1,2), se estima que 10% del total de casos ocurren durante este rango de edad (2-4). Presenta una frecuencia de menos de dos en 100.000 niños y adolescentes (5), donde se evidencia predominio para el sexo femenino con una proporción de 2,5-6:1 (2). El tipo histopatológico más común es el papilar (1,3), la variante folicular es menos frecuente, mientras que la medular y la anaplásico son muy raros (3). La etiología del carcinoma de tiroides es incierta, sin embargo, factores de riesgo específicos aumentan la incidencia de este tipo de neoplasia, donde se incluyen: la exposición a radiación, deficiencia de yodo, hormonas sexuales, tiroiditis de Hashimoto, situaciones asociadas con incremento a largo plazo de niveles séricos de hormona estimulante de tiroides (TSH) y factores genéticos, entre otros (3,6,7). El cáncer de tiroides en niños presenta por lo general un pronóstico favorable. La combinación de terapia con yodo radioactivo I-131 y cirugía es curativa con una tasa total de supervivencia alta. Aunque los resultados de tratamiento son buenos, en conjunto, siguen existiendo controversias referentes a estrategia del mismo (1,8).
El objetivo de esta revisión es analizar los aspectos clínicopatológicos en una serie de pacientes menores de 20 años con carcinoma de tiroides, evaluados en el Instituto Autónomo Universitario de Los Andes (IAHULA), Mérida, Venezuela, durante un período de 21 años. Esta institución de salud es un organismo público, que sirve como centro de referencia a todo el estado Mérida, así como algunas poblaciones del occidente del país, que incluyen los estados: Táchira, Barinas, Zulia y Apure. Además allí se desarrolla la actividad de extensión en el área de Ciencias de la Salud de la Universidad de Los Andes.
Pacientes y métodos
Se realizó un estudio de tipo observacional y descriptivo donde se seleccionaron las historias clínicas de once pacientes niños y adolescentes con carcinoma de tiroides, en los Archivos de Historias Médicas del IAHULA, en el período comprendido entre 1984 al 2005, en el cual se revisaron los diferentes aspectos de interés clínico-patológicos.
Para ser incluidos a este estudio los pacientes debían tener reporte anatomopatológico de carcinoma de tiroides, indistintamente el tipo histológico, ser menor de 20 años para el momento del diagnóstico, haber sido tratado en la institución y de ser posible su evolución. El estado socioeconómico de la familia de los pacientes se midió a través del Método de Graffar modificado por Méndez Castellano (9). Los datos fueron recogidos en una ficha diseñada con tal propósito y estos se expresaron en números absolutos y porcentajes.
Resultados
Del total de casos evaluados, se evidenció un predominio en el sexo femenino 8/3 sobre el sexo masculino, lo que representa 72,73% y una proporción de 2,67:1. El grupo etario con mayor representación de pacientes fue el de 11 a 15 años con 5 (45,46%) en ambos sexos (tabla 1). Todos los pacientes eran procedentes del Estado Mérida, seis del Distrito Sanitario Lagunillas, tres de Mérida y dos de Alberto Adriani. Según el método Graffar modificado por Méndez Castellano una familia se ubicó en el estrato III, siete en el IV y tres en el V. El motivo de consulta fue bocio nodular (único en 10 casos y multinodular en uno), dos de ellos con adenopatías cervical y uno presentó, además, sintomatología respiratoria debido a metástasis pulmonar.
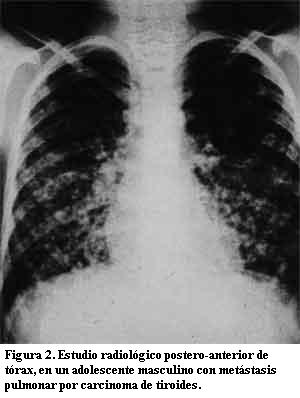
La lesión se localizó en siete (63,64%) a nivel de lóbulo derecho de la glándula tiroides (tabla 2). El patrón histopatológico corresponde en todos los casos examinados a carcinoma papilar, donde tres de ellos presentaron patrón folicular, por biopsia definitiva posterior a tiredectomía, (figura 1); dos (18,18%) de los pacientes cursaban con metástasis pulmonar en el momento del diagnóstico, otros sitios distantes de metástasis no fueron reportados (figura 2). El tipo de intervención realizada fue tiredectomía total en nueve casos y subtotal en dos; ocho pacientes recibieron, además, tratamiento complementario con yodo-131. Sólo un paciente presentó antecedente de radiación como factor de riesgo de importancia relacionado con la entidad. El seguimiento se realizó en 10 pacientes con intervalo de 1 a 13 años y promedio de 4,6 años, con sobrevida de 70%. Tres pacientes fallecieron, entre los cuales se incluyen los dos con metástasis pulmonar, que presentaron evolución clínica desfavorable, falleciendo todos antes de los tres años de seguimiento. Un paciente fue referido para su control a otro centro asistencial por cambio de residencia.
Discusión
Se ha sugerido un biodesarrollo distinto del carcinoma de tiroides en la edad infantil. La incidencia de esta neoplasia se ha incrementado en las últimas décadas relacionado con irradiación previa, constituyendo actualmente uno de los carcinomas más frecuentes en la edad pediátrica (10). En la población general, la proporción en la incidencia de carcinoma de tiroides es un nuevo caso por millón por año; en áreas con factores de riesgos, como la República de Bielorrusia, la cual fue afectada por el accidente de la planta nuclear de Chernobyl, en abril de 1986, la incidencia de cáncer de tiroides se incrementó a 80-100 casos por millón por año (3,8). En otros países europeos, así como en Estados Unidos y Canadá también se ha evidenciado un aumento en la incidencia en los últimos 20 años. Los estudios post-Chernobyl, en Bielorrusia y Ucrania han mostrado que los elevados porcentajes, especialmente en áreas más contaminadas, pueden explicar la alta variación entre los países (7).
En Latinoamérica se han publicado distintas series de casos de pacientes pediátricos y adolescentes con carcinoma de tiroides, como la de Philippi y colaboradores (11) en 1988 abarcando 36 pacientes en Chile, Tamez y colaboradores (12) en 2004 estudiando quince pacientes en México y Saavedra y colaboradores (13) en 2005 donde se revisaron trece pacientes en Perú. Este reporte reúne once casos procedentes de tres de los cinco Distritos Sanitarios de Mérida, estado andino con una población estimada de 843.830 habitantes para el año 2007. En nuestro centro asistencial no podemos comparar la frecuencia de este tipo de neoplasia con otros en edades pediátricas durante el tiempo que comprendió este estudio, porque inicialmente en dicho centro no se trataban todas las patologías oncológicas. Sin embargo, desde hace aproximadamente unos cinco años en el IAHULA, se trata cualquier tipo de entidad neoplásica donde el carcinoma de tiroides no representa las primeras entidades tratadas. Además hasta el momento no se cuenta con estudios publicados similares a éste de patologías oncológicas pediátricas en la región.
Los resultados de diferentes estudios han demostrado que el carcinoma de tiroides en pacientes pediátricos se diferencia de los adultos con respecto a su presentación y resultado. En los niños se tiende a presentar en una etapa más avanzada que en los adultos, con una alta frecuencia de metástasis a nivel pulmonar y en ganglio linfático; por lo que el diagnóstico del cáncer en primera instancia es extremadamente importante y en especial en la población de riesgo (14). Referente a las medidas terapéuticas, es difícil señalar la contribución de éstos, porque el pronóstico depende, además, de otros factores como: el tamaño de la lesión, grado de malignidad, metástasis y, como ya se expresó anteriormente, la edad del paciente. La cirugía es el tratamiento inicial, a menos que el tumor sea irresecable. Por su parte el tratamiento complementario posquirúrgico con yodo-131 disminuye las recurrencias, donde las metástasis se hacen visibles al eliminar la competencia del tejido tumoral primario, hallazgos que tienen importante valor pronóstico. Además destruye los focos tumorales hormonodependientes de TSH (15). El seguimiento y control en estos pacientes es por la tanto fundamental, mantener una adecuada supresión de TSH, manteniendo los niveles de T4 y T3 normales. Es importante, además, analizar los diferentes factores de riesgo que pueden estar presente en los pacientes en estudio y compararlo con otros estudios reportados para establecer posibles diferencias.
Los estudios en genética han revelado al protooncogen ±ret', como el responsable de neoplasia endocrina múltiple tipo 2A (NEM 2A) y a su vez, una mutación de éste se ha identificado en neoplasia endocrina múltiple tipo 2B (NEM 2B). La mutación del gen 'gsp' y la presencia de los genes 'ret' y 'trk' se han demostrado en el carcinoma papilar. El oncogen 'ras' está presente en 50% de los carcinomas foliculares. Además, la mutación del gen supresor tumoral 'tp53", es más frecuente en el carcinoma anaplásico. El carcinoma medular de tiroides puede presentar un patrón de herencia autosómica recesiva y con menor frecuencia algunos casos de carcinoma papilar. A su vez, se han descrito casos de carcinoma papilar relacionado a síndromes genéticos como: síndrome de Gardner, carcinoma colónico familiar y síndrome de Cowden (16); incluso se han reportado alteraciones cromosómicas como translocación no balanceada en los cromosomas 5 y 16, en un caso de carcinoma papilar asociado a retardo mental y del crecimiento, entre otros hallazgos (16,17).
A pesar del aumento en la frecuencia del carcinoma de tiroides en los últimos años, es infrecuente en niños y adolescentes, existiendo un importante predominio del sexo femenino, y del patrón histológico papilar, como lo expresado en esta revisión; puede verse acompañado principalmente de metástasis pulmonares, presentan una elevada recurrencia, sin embargo, a pesar de ello, su mortalidad es baja; comportamiento que no se presentó en este estudio, el cual pudo deberse a que no fueron controlados los diversos factores anteriormente expuestos. A pesar que todos los pacientes aquí estudiados son del mismo estado, el retardo en el diagnóstico y el bajo nivel de instrucción de los padres pudieron influir en el mal pronóstico. La palpación del cuello debe constituirse en parte del examen clínico de rutina por parte del pediatra para una detección temprana de esta patología, diagnóstico que debe corroborarse por el empleo de otras herramientas para su referimiento inmediato. Cabe mencionar que el manejo del cáncer de tiroides en niños debe ser multidisciplinario y que requiere de un trabajo en conjunto de diversas especialidades médicas.
Referencias bibliográficas
1. Pazaitou-Panayiotou K. Differentiated thyroid carcinoma in children and adolescents: clinical course and therapeutic approach. Pediatr Endocrinol Rev 2004; 1 Suppl 3: 508-12.
2. Pazaitou-Panayiotou K, Kaprara A, Boudina M, Georgiou E, Drimonitis A, Raptou E, et al. Thyroid carcinoma in children and adolescents. Presentation, clinical course, and outcome of therapy in 23 children and adolescents in Northern Greece. Hormones 2005; 4: 213-20.
3. Szeliga DV, Setian N, Passos LD, Lima TM, Manna T, Kuperman H, et al. Thyroid carcinoma in children and adolescents. Review of six cases. J Pediatr 2001; 77: 45-8.
4. Monte O, Calliari LE, Kochi C, Scalisse NM, Marone M, Longui CA. Thyroid carcinoma in children and adolescents. Arq Bras Endocrinol Metabol 2007; 51: 763-8.
5. Klopper JP, McDermott MT. Palpable pediatric thyroid abnormalities- diagnostic pitfalls necessitate a high index of clinical suspicion: a case report. J Med Case Reports 2007; 1: 29.
6. Wiersinga WM. Management of thyroid nodules in children and adolescents. Hormones 2007; 6: 194-9.
7. Smailyte G, Miseikyte-Kaubriene E, Kurtinaitis J. Increasing thyroid cancer incidence in Lithuania in 1978-2003. BMC Cancer 2006; 6: 284.
8. Demidchik YE, Demidchik EP, Reiners C, Biko J, Mine M, Saenko VA, et al. Comprehensive Clinical Assessment of 740 Cases of Surgically Treated Thyroid Cancer in Children of Belarus. Ann Surg 2006; 243: 525-32.
9. Méndez-Castellano H. Estratificación social y Biología Humana. Arch Venez Puer Ped 1986; 48: 93-102.
10. Abad P, Martínez V, Galofré P, Lloret J, Boix-Ochoa J. Carcinoma de tiroides: experiencia de 57casos. ¿Distinto biodesarrollo en la edad infantil? Cir Pediatr 2003; 16: 26-9.
11. Philippi V, Lopez E, Torres J, Abodowsky N, Volpato R, Domfnguez M, et al. Cáncer de tiroides en niños y adolescentes. Rev Chil Pediatr 1988; 59: 364-8.
12. Tamez HE, Saavedra E, Oliveros A, Gómez de Ossio MD, Hernández MI, Tamez AL, et al. Cáncer de tiroides en niños y adolescentes. Rev Invest Clin 2004; 56: 449-53.
13. Saavedra P, Cano R, Morales R, Mendoza G, Muñoz L, Postigo J, et al. Ablación con yodo 131 en niños y adolescentes con cáncer diferenciado de tiroides: revisión de 13 casos. Acta Cancerol 2005; 33: 39-42.
14. Lyshchik A, Drozd V, Demidchik Y, Reiners C. Diagnosis of thyroid cancer in children: value of gray-scale and power Doppler US. Radiology 2005; 235: 604-13.
15. Sánchez-Vázquez R, Sánchez-Robles R, Muñoz P, Maceda W, Trefogli P, Dieguez J, et al. Cáncer tiroideo en niños: terapia y seguimiento en carcinoma bien diferenciado. Rev Med Hered 2001; 12: 105-9.
16. Del Aguila C, Lú de Lama R, Teruya A, Núñez O, Falen J, Rojas MI, et al. Evaluación clínica y diagnóstica de cáncer de tiroides en niños. Diagnóstico 2002; 41: 151-60.
17. Mc Donald M, Maynard S, Sheldon S. Unbalanced 5: 16 translocation in a boy with papillary thyroid carcinoma. Am J Med Genet 1994; 49: 288-93.
Correspondencia: Dr. Francisco Cammarata-Scalisi.
Unidad de Genética Médica. Departamento de Puericultura y Pediatría. Universidad de Los Andes. Instituto Autónomo Hospital Universitario de Los Andes. Nivel Mezzanina. Mérida 5101. Venezuela.
Correo electrónico: francocammarata@yahoo.it













