Serviços Personalizados
Journal
Artigo
Links relacionados
Compartilhar
Archivos de Pediatría del Uruguay
versão On-line ISSN 1688-1249
Arch. Pediatr. Urug. vol.74 no.1 Montevideo mar. 2003
Sarna costrosa: una forma inusual de escabiosis
DRES. ÁLVARO GALIANA 1, JULIO BONASSE 2, GLORIA MARINA SALMENTóN 3
Resumen
Se presenta el caso de una escolar de seis años, con antecedentes de afecciones respiratorias repetidas, que ingresa al Servicio de Infectocontagiosos del Centro Hospitalario Pereira Rossell por dermatosis universal. Las lesiones clínicas evocan una forma particular de escabiosis confirmada por el estudio parasitológico. Dicha forma, denominada sarna costrosa o noruega, posee ciertas particularidades a tener en cuenta: es altamente contagiosa (por la enorme población acariana), es rara en pacientes previamente sanos y frecuente en pacientes inmunocomprometidos y con alteraciones neurológicas. Su tratamiento debe ser temprano y adecuado para evitar epidemias intrahospitalarias y de la comunidad.
Palabras clave: ESCABIOSIS
IVERMECTINA-uso terapéutico
Resumo
Apresenta-se o caso de uma aluna da escola de 6 anos, com antecedentes de afecções respiratórias repetidas, que ingressa ao Serviço de Infectocontagiosos do CHPR por dermatose universal.
As lesões clínicas evocam uma forma particular de escabiose confirmada pelo estudo parasitológico. Esta forma denominada sarna costrosa o noruega possui certas características a ter em conta: é altamente contagiosa (pela enorme população acariana). De rara observação em pacientes previamente sadios e com presença freqüente em imunocomprometidos e com alterações neurológicas.
Seu tratamento deve ser precoce e adequado para evitar epidemias intrahospitálarias e da comunidade.
Palabras chave: ESCABIOSE
IVERMECTINA-uso terapêutico
1. Clínica Pediátrica "C". Aislamientos Infecciosos, Centro Hospitalario Pereira Rossell.
2. Laboratorio de Parasitología. Centro Hospitalario Pereira Rossell.
3. Policlínica de Dermatología. Centro Hospitalario Pereira Rossell.
Fecha recibido: 28/3/03
Fecha aceptado: 1/4/03
Introducción
La sarna o gale costrosa es una variedad clínica de escabiosis humana. La primera descripción de esta entidad se remite a 1848, cuando Boeck y Danielssen (1,2) la observaron en pacientes con enfermedad de Hansen. Es conocida también por otros autores (Heid E, Malleville J) como sarna noruega. Algunos autores diferencian la gale costrosa de la sarna noruega en que esta última es además eritrodérmica y compromete cara, cuero cabelludo y uñas. Esta forma clínica es responsable de epidemias de sarna en la población hospitalaria y extrahospitalaria (3-5). De rara observación en pacientes previamente sanos, su hallazgo es más frecuente en pacientes con compromiso inmunitario y neuropsíquico (4,6-9). Dada su alta contagiosidad, esta forma de escabiosis requiere un diagnóstico temprano y adecuado tratamiento para evitar la rápida difusión en el medio familiar y comunitario.
Objetivo
Describir, a propósito de un caso clínico, una forma poco habitual y altamente contagiosa de presentación de la escabiosis.
Caso clínico
Escolar de 6 años, sexo femenino, raza blanca, procedente de Maldonado, de medio socioeconómico y jurídico deficitario. Dos meses antes del ingreso presentó lesiones en piel, es vista por médico que interpreta la enfermedad como escabiosis e indica tratamiento tópico, sin respuesta al mismo. Cuatro días antes del ingreso (marzo de 2000) aumentan las lesiones de piel, motivando su internación en el Servicio de Infectocontagiosos. En relación a sus antecedentes personales se destaca: internaciones por bronquiolitis a los dos meses, otitis media aguda a los cinco y nueve meses, neumopatía aguda de lóbulo superior derecho a los ocho, 10 y 30 meses, neumopatía de hemitórax izquierdo a los 21 meses y a los cuatro años, siendo esta última complicada con insuficiencia respiratoria, requiriendo asistencia respiratoria mecánica por cinco días. Estudiada con dos pruebas del sudor negativas; dosificación de inmunoglobulinas IgG, IgA, IgM normales; PPD negativo; HIV negativo.
En setiembre de 1999 ingresa al Servicio de Infectocontagiosos con dermatosis severa, catalogada como escabiosis con importante infección sobreagregada. Es tratada con corticoides, antihistamínicos, cefalosporina de primera generación y agentes escabicidas de uso tópico con mejoría de las lesiones. Se efectuó tratamiento a los contactos cercanos. Madre con lesiones en piel, pruriginosas, localizadas en abdomen y miembros superiores sugestivas de escabiosis.
Del examen se destaca: paciente lúcida, apirética, panículo adiposo disminuido globalmente. Ambas manos están edematizadas. Linfadenopatías generalizadas. Mucosas hipocoloreadas. En piel se destaca la presencia de lesiones escamosas e hiperqueratósicas en pabellón auricular, cuello, nuca, axilas, codos, rodillas y a nivel periumbilical (figura 1). En el dorso de ambas manos presentaba escamocostras amarillentas e hiperqueratósicas que cubren todas las falanges (figura 2). A nivel interdigital, grietas y fisuras sanguinolentas, supuradas. Todas estas lesiones asientan sobre una superficie eritematosa, configurando una eritrodermia. Uñas en vidrio de reloj. Resto del examen sin particularidades.
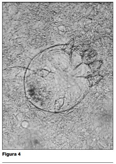
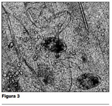
Paraclínica: el examen directo en fresco con KOH al 20%, entre porta y cubreobjeto del material obtenido por escarificacion de las lesiones, muestra abundante cantidad de Sarcoptes scabiei var. hominis en diferentes estadios evolutivos (figuras 3 y 4). El estudio bacteriológico de las lesiones desarrolló Staphylococcus aureus y Streptococcus beta hemolítico.
Hemograma: leucocitos 17.200 elementos/mm3, eritrocitos 4.660.000 elementos/mm3, hemoglobina 10 g/dl, hematocrito 31,4%, MCV 67,3 u3, MCH 21,5 µg, MCHC 31,8%, plaquetas 474.000 elementos/mm3, linfocitos 23,6%, monocitos 34,7%, granulocitos 41,7%. HIV negativo.
Dosificación de inmunoglobulinas: IgA 196 mg/dl, IgG 1.467 mg/dl, IgM 203 mg/dl, IgE 6 UI/ml. Proteinograma electroforético: normal. Dosificación de alfa 1 antitripsina: normal.
Se inician baños diarios con permanganato de potasio 1/30.000, vaselina azufrada al 6%, antihistamínicos, corticoides 20 mg por vía oral, cefradina 1 g/día, ivermectina 200 µg/kg vía oral en una única dosis, repitiéndose a los siete días. Se efectúa tratamiento familiar con ivermectina. En control a los trece días de iniciado el tratamiento, presenta disminución franca de las lesiones.
Discusión y comentarios
Las características semiológicas de las lesiones cutáneas nos llevan a la fuerte presunción diagnóstica de una forma clínica particular de escabiosis, la sarna costrosa. Ésta es confirmada al examen parasitológico por dos hechos: en primer término la enorme cantidad de ácaros en la muestra, y en segundo lugar la coexistencia de diferentes estados evolutivos del sarcoptes en un mismo campo microscópico (figura 4). En las formas habituales de presentación de la escabiosis, el estudio parasitológico muestra muy pocos ácaros, y es excepcional que se pueda visualizar en un mismo campo microscópico al mismo tiempo huevos, formas juveniles, adultos y restos parasitarios. Sin duda, esta elevada proliferación de ácaros es responsable de la alta contagiosidad de esta forma particular de sarna, así como de las epidemias intrahospitalarias y en el seno de las colectividades que es capaz de producir (12).
Los casos de sarna costrosa asientan en individuos con un terreno particular: algún tipo de trastorno inmunológico sumado a condiciones de vida inapropiadas (hacinamiento, mala higiene) (7,9,11). En nuestro caso, las condiciones de vida eran francamente insatisfactorias y, en relación a la alteración inmunológica, tenía una rica historia de enfermedades infecciosas, incluyendo algunas que llegaron a poner en riesgo su vida. Sin embargo, la valoración inmunológica realizada no logró demostrar ninguna enfermedad ostensible: la cifra y clasificación de glóbulos blancos se encontraba en el rango de la normalidad, todas las inmunoglobulinas estaban presentes y dentro del rango de la normalidad. Debemos acordar, de todos modos, que la valoración realizada fue insuficiente: no tenemos datos con respecto al sistema del complemento, a los subtipos de IgG e IgA, a la valoración de la fagocitosis, ni tenemos evaluación de la inmunidad celular. La historia clínica señalaba múltiples ingresos por infecciones respiratorias graves, que no podrían ser explicadas simplemente por las malas condiciones de vida de la niña.
Las lesiones que caracterizan esta forma clínica afectan de preferencia palmas, dorso de manos, plantas, pliegues, codos, rodillas y pabellones auriculares. Se caracterizan por ser escamocostras irregulares, salientes, adherentes, con fisuras en algunos sectores (10). Las uñas pueden presentarse engrosadas, distróficas y con alteraciones de su color. El prurito es moderado o ausente (8,11,13). Suele acompañarse de linfadenopatías y eosinofilia (6,11,13).
En el momento del diagnóstico diferencial debemos distinguir esta forma particular de sarna de otras dermatosis: eccema crónico, pitiriasis rubra pilaris, psoriasis, queratodermia palmoplantar y enfermedad de Darier.
Ante una sarna costrosa se debe aislar al paciente por el riesgo de contagio. Realizar tratamiento antiséptico por la sobreinfección, queratolíticos y emolientes para mejorar la xerosis cutánea favoreciendo el desprendimiento de las escamas, y el uso de escabicidas (permetrina al 5%, lindano al 1% en niños mayores de dos años y otros escabicidas tópicos) (14).
Desde hace pocos años contamos con la posibilidad del uso de ivermectina por vía oral para el tratamiento de esta enfermedad. Dicho fármaco había mostrado su efectividad en pacientes con un tipo particular de filariasis (oncocercosis). Es una lactona macrocíclica con estructura similar a la del grupo de los antibióticos macrólidos. Ejerce su acción antiparasitaria estimulando la liberación del GABA (ácido gamma-aminobutírico), un neurotrasmisor que provoca parálisis muscular y muerte del ectoparásito.
Diversos estudios demostraron su efectividad y seguridad con dosis única por vía oral de 200 µg/kg (15,16). En casos severos se aconseja una segunda dosis oral a la semana del tratamiento inicial. No se aconseja su uso en niños menores de cinco años o en pacientes con meningitis u otras enfermedades del sistema nervioso central por el posible pasaje de la barrera hematoencefálica. Como en todos los casos de escabiosis, no se deben olvidar las medidas epidemiológicas a tomar.
Summary
We describe a 6 year-old child with a history of repeated respiratory infections who is seen at the Infectious Disease ward at the Centro Hospitalario Pereira Rossell presenting with a generalized dermathosis. The lesions suggest a particular form of scabies which is confirmed by a parasitologic examination. This particular presentation is known as crust or Norwegian scabies and it is known to have certain characteristics which must be kept in mind: it is highly contagious due to the very high population of acharids. It is rarely seen in patients who are previously healthy but frequent in immunocompromised or patients with neurologic disease. Treatment must be administered early and adequate in order to avoid hospital ad community spreading.
Key words: SCABIES
IVERMECTIN-therapeutic use
Bibliografía
1. Wells GC. Norwegian Scabies. BMJ 1952; 2: 18-20.
2. Calnan CD. Crusted Scabies. Br J Dermatol 1950; 62: 71-8.
3. American Academy of Pediatrics. Sarna. En: Peter G, Halsey NA, Marcuse EK, Pickering LK ed. Red Book: Enfermedades infecciosas en pediatría. 23ª ed.. Buenos aires: Panamericana; 1996: 437-9.
4. Maguirre HC, Kligman AM. Norwegian Scabies. Arch Dermatol 1960; 82(1): 117-8
5. Ingram JT. Ward epidemic from Norwegian Scabies. Br J Dermatol 1951;63: 311-7.
6. Darmstadt G, Lane AI. Picadura de artropodos e infestaciones parasitarias. En: Behrman RE, Kliegman RM, Arvin AM. Nelson tratado de pediatría. 15ª ed. Madrid: McGraw Hill Interamericana; 1997: 2374-6.
7. Jucowics P, Ramon ME, Don PC, et al. Scabies in an infant with acquires immunodeficiency sindrome. Arch Dermatol 1989; 125: 1670-1.
8. Burns DA. Disease caused by arthropods and other noxius animals. En: Rook A, Wilkinson DS, Ebling FJK. Textbook of Dermatology. 5ª ed. Oxford: Blackwell; 1992: 1300-7.
9. Chouvet B, Ortonne JP, Perrot H, et al. La Gale Norvegienne: circonstances etiologiques. Ann Dermatol Venereol 1979; 106: 569-74.
10. Pomeranz A, Fairley J. Evaluación sistemática de la piel en niños. Pediatr Clin North Am 1998; 45 (1): 43-55.
11. Combeau A, Bonnetblanc JM. Qu’est que la gale norvegienne? Rev Prat 1995; 9 (315): 25-7.
12. Holness DL, Dekoven J, Nethercott R. Scabies in Chronic Health Care Institutions. Arch Dermatol 1992; 128: 1257-60.
13. Hruza G, Cornelius L, Starr I. Ivemectin for crusted norwegian scabies induced by used of topical steroids. Arch Dermatol 1998; 134: 143-5.
14. Funkhouser ME, Omohundro C, Ross A, et al. Management of scabies in patients with human immunodeficiency virus disease. Arch Dermatol 1993; 129: 911-3.
15. Conti I, Amaro J. Treatment of human scabiei with oral Ivermectin. Rev Inst Med Trop São Paulo 1999; 41 (4): 259-61.
16. Macotela-Ruiz E, Peña González G. Tratamiento de la escabiosis con Ivermectina via oral. Gac Med Mex 1993; 129 (3): 201-5.
Correspondencia: Dr. Álvaro Galiana. Nancy 4436. Montevideo, Uruguay.
E-mail: algal@adinet.com.uy













