Serviços Personalizados
Journal
Artigo
Links relacionados
Compartilhar
Archivos de Pediatría del Uruguay
versão On-line ISSN 1688-1249
Arch. Pediatr. Urug. vol.72 no.2 Montevideo jun. 2001
Aspectos radiológicos de la intoxicación por plomo
DRES. RAQUEL DOMíNGUEZ 1, JULIO CRISOLITO 2
1. Ex-Asistente de radiología pediátrica. Médica radióloga pediatra del Centro Hospitalario Pereira Rossell.
2. Profesor Agregado de radiología. Ex-Profesor Adjunto de radiología pediátrica. Médico radiólogo pediatra del Centro Hospitalario Pereira Rossell
Recibido: 30/4/01
Aceptado: 28/5/01
Resumen
Se analizan las alteraciones radiológicas producidas por contaminación con plomo.
Se plantean diagnósticos diferenciales con otras enfermedades que producen bandas densas metafisarias.
Se presenta nuestra casuística de 28 casos.
Como las alteraciones radiológicas no son patognomónicas y el diagnóstico se hace por los antecedentes ambientales, la clínica y la plombemia, recomendamos no hacer radiografía de huesos largos, salvo en casos especiales.
Palabras clave: INTOXICACION POR PLOMO - diagnóstico
RADIOGRAFIA
Resumo
Analizam-se alterações radiológicas producidas por contaminação com chumbo.
Apresentam-se diagnósticos diferenciais com outras doenças que produzem bandas densas metafisarias.
Apresenta-se nossa experiencia de 28 casos.
Como as alterações radiológicas não são específicas o diagnóstico se faz pelos antecedentes ambientais, a clínica e a medição de chumbo em sangue, recomendamos não fazer radiografias de ossos compridos, exceto em casos especiais.
Palabras chave: INTOXICAçãO COM CHUMBO - diagnóstico
RADIOGRAFIA
Introducción
A propósito del hallazgo de múltiples casos de intoxicación por plomo en un barrio de Montevideo y de los frecuentes pedidos de radiografía de huesos largos para su diagnóstico, nos parece importante actualizar el papel que desempeña la radiología en ese diagnóstico.
El saturnismo tiene dos signos primarios: las bandas metafisarias y las opacidades metálicas en el tubo digestivo (1).
Alteraciones óseas
El 95% de la carga corporal de plomo se ubica finalmente en el hueso (2). Es lógico que la manifestación más conocida del saturnismo sea la presencia de bandas muy densas en todas las metáfisis, en la capa proliferativa del cartílago de crecimiento, o sea del lado metafisario del mismo.
Predominan en las de crecimiento más rápido (las ubicadas en rodillas y muñecas) incluido el peroné, signo de importancia ya que otras enfermedades que producen bandas densas metafisarias no afectan este hueso (3).
Son visibles radiológicamente cuando la absorción del tóxico se ha mantenido durante varios meses (figuras 1 y 2) (4).
Tienen varios milímetros de espesor y sus límites son nítidos. Son tanto más densas cuanto mayor sea el grado de absorción del metal y tanto más anchas cuanto más haya durado el proceso de absorción (figuras 3, 4 y 5) (5).
Esta manifestación crónica es privativa del niño, por asentar en el cartílago de crecimiento. Es más evidente en el lactante. Su constitución se enlentece a medida que crece el niño (1). Suelen ser bandas únicas, pero pueden ser múltiples; en este último caso, se acompañan de un defecto de la tubulación metafisaria similar al observado en la enfermedad de Pyle y en la osteopetrosis (contorno metafisario parecido al de un frasco de Erlenmeyer) (6).
Se explica este aspecto radiológico por el daño enzimático que provoca la presencia del metal. La maduración ósea se interrumpe, mientras que la condrogénesis se mantiene. Las trabéculas cartilaginosas se ensanchan y se calcifican progresivamente, en tanto que se deposita en ellas el metal en forma de fosfato de plomo terciario (5,6).
Debe recordarse que este plomo depositado en hueso no contribuye a la toxicidad (2). Pero un tratamiento quelante intempestivo puede liberar bruscamente ese metal almacenado, con el efecto tóxico correspondiente (3).
La evolución natural del plomo en el hueso lleva a su excreción a lo largo de 20 a 30 años. Si medió tratamiento, puede persistir meses o años después de la recuperación clínica (2).
No existe, como señala Nelson en su clásico texto (7), una relación directa entre plombemia y cuadro clínico: niños con plombemias mayores de 100 microgramos/ 100 ml (100 µg/dl) pueden no presentar signos ni síntomas, mientras que otros con plombemias de 30-35 µg/dl tienen manifestaciones que pueden incluir las bandas metafisarias densas.
Alteraciones digestivas
La manifestación más corriente en agudo es la presencia de opacidades metálicas en la luz intestinal, ya sea como placas de pintura descascarada (ingeridas por los niños afectados de pica), ya sea como partículas densas si el metal fue deglutido mezclado con el polvo ambiental. Las placas se eliminan casi íntegras, mientras que las partículas son absorbidas (8).
Encefalopatía plúmbica
Pero la manifestación aguda más importante del saturnismo es la encefalopatía plúmbica, letal en los dos tercios de los casos sin tratamiento, que se traduce imagenológicamente (tomografía axial computarizada, resonancia nuclear magnética) por un edema cerebeloso localizado, con efecto de masa y captación local de contraste, que no se diferencia en nada de las cerebelitis por virus, y también, en raros casos, por extensas calcificaciones intracraneanas (9).
En el grupo actualmente estudiado no se ha registrado ningún caso.
La encefalopatía se asocia a concentraciones mayores a 100 µg/dl (10).
En uno de los pocos casos nacionales publicados hace varios años, se llegó al diagnóstico de una encefalopatía plúmbica por el punteado basófilo de los eritrocitos y la radiografía de huesos largos (11).
Diagnóstico diferencial
Las alteraciones no son patognomónicas, hay otras causas que producen líneas y bandas metafisarias.
En diversas enfermedades se observan modificaciones metafisarias con el aspecto de un "franjeado" transverso que es bilateral y simétrico en casi todas las metáfisis. Están constituidos por una banda densa, radioopaca, ubicada del lado metafisario del cartílago de crecimiento, con un espesor de uno o dos milímetros.
En otras enfermedades se observa también una banda radiolúcida paralela a la primera.
A este aspecto radiológico se le denomina "franjeado metafisario" (4).
Los "franjeados" son frecuentes en estados patológicos severos infecciosos, nutricionales y carenciales (8). Estos procesos patológicos actúan como factor distorsionante en el ritmo normal de formación y crecimiento óseo (4).
La banda densa está relacionada con la acumulación de cartílago calcificado el cual no se reabsorbe al ritmo normal debido a disminución de la actividad osteoblástica con actividad condroblástica conservada. El cartílago calcificado queda acumulado en el extremo metafisario produciendo la banda densa.
La actividad osteoblástica disminuida produce la banda radiolúcida.
Los franjeados van desapareciendo a medida que se restablece el ritmo normal de formación del tejido óseo (4).
Lúes connatal
En esta enfermedad los franjeados son la expresión radiológica de la osteocondritis sifilítica que puede ser de primero, segundo y tercer grado.
- Primer grado : se observa una banda densa transversal, contigua al cartílago de 1 o 2 mm de espesor, expresión de una zona de calcificación provisoria más gruesa de lo normal.
- Segundo grado: hay doble banda densa y radiolúcida debida a disminución de la actividad osteoblástica.
- Tercer grado: hay osteolisis metafisaria y puede verse osteolisis en el sector proximal interno de ambas tibias (signo de Winberger, patognomónico de lúes).
El tercer grado es específico de la lúes, pero el primero y el segundo son inespecíficos y pueden observarse en otras afecciones: sepsis, eritroblastosis fetal y prematuros (4).
El diagnóstico diferencial se plantea con la osteocondritis de primer grado, pero ésta se ve en recién nacidos y lactantes y es más fina que la banda de plomo.
El diagnóstico diferencial con la osteocondritis de segundo grado no se plantea, porque en el saturnismo no se observa banda radiolúcida.
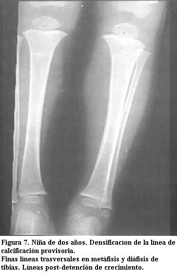
Densificación de la banda de calcificación provisional
Es una banda densa de espesor variable, que se observa con frecuencia en lactantes que tienen problemas nutricionales pasajeros que repercuten en el ritmo normal de crecimiento y formación del tejido óseo. Hay una falla pasajera en la actividad osteoblástica y se acentúa la calcificación provisoria (4).
Es semejante a la osteocondritis de primer grado y se plantea diagnóstico diferencial, pero en general no está afectado el peroné como en el saturnismo (figuras 6 y 7) (12).
Líneas de detención de crecimiento
Son líneas finas, densas, paralelas. Se deben a detención transitoria del crecimiento longitudinal por síndromes febriles, anemia, enfermedad celíaca y otras causas.
Se diferencian fácilmente porque son finas, múltiples y separadas entre sí (figura 7) (4,8).
Intoxicación con bismuto
Es otro metal pesado que forma bandas metafisarias como el plomo. Se veían solamente en RN y lactantes. Madres luéticas eran tratadas con bismuto que por vía placentaria llegaba al feto y se depositaba en las metáfisis. Radiológicamente no se pueden diferenciar de las bandas de plomo. Pero actualmente no se observa esta patología porque no se hacen tratamientos con bismuto (4).
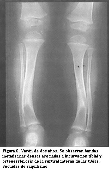
Raquitismo
En la etapa activa no se plantea diagnóstico diferencial porque los signos son típicos.
En la etapa de reparación aparece una banda de calcificación metafisaria semejante a una banda de plomo. Pero además las metáfisis pueden estar ensanchadas, está engrosada la cortical interna de las tibias y puede haber incurvación tibial. Actualmente el raquitismo es raro (figura 8) (4).
Escorbuto
Hay una banda densa metafisaria llamada "línea blanca de Fraenkel" pero se acompaña de desmineralización ósea, orlas epifisarias, espolones y decolamientos metafisarios (4).
Actualmente esta enfermedad es rarísima.
Hipotiroidismo
Se observa franjeado denso, múltiple y generalizado. El crecimiento enlentecido sería responsable de las bandas densas. Con el tratamiento se alejan hacia las diáfisis y luego desaparecen cuando se normaliza la osificación (4).
Leucemia (bandas de Baty-Vogt)
Puede observarse una banda de rarefacción radiolúcida subcondral, sin banda densa hacia la metáfisis.
A veces puede verse una banda densa pero hacia la diáfisis.
Son inespecíficas, ya que pueden verse en cuadros septicémicos.
Casuística
En los últimos meses vimos 28 casos procedentes de la zona afectada, atendidos por el sistema mutual y estatal.
Las edades oscilaron entre 17 meses y 12 años.
Los valores de plombemia oscilaron entre 14,2 y 34 µg/dl.
Las radiografías fueron normales en 21 casos (75%) y patológicas en 7 casos (25%).
Comentarios
Se dice que las alteraciones óseas aparecen con plombemias mayores de 50 µg/dl, pero en nuestra casuística los casos patológicos tienen cifras de plombemia menores.
No hay relación directa entre la plombemia y las alteraciones radiológicas.
Un caso con 14,2 µg/dl tenía alteraciones óseas y otro caso con 22 µg/dl tenía radiografías normales. Suponemos que esto se debe al tiempo de exposición.
Destacamos la relación con la edad. Las alteraciones predominaron en lactantes y niños menores.
Conclusiones
Como las alteraciones radiológicas no son patognomónicas y el diagnóstico se hace por los antecedentes ambientales, la clínica y la plombemia, consideramos que no es necesario hacer radiografía de huesos largos.
Se haría en los casos dudosos o cuando no se puede hacer plombemia.
En estos casos, aconsejamos indicar radiografía de rodillas de frente.
La tomografía axial computarizada de cráneo está indicada en los casos con encefalopatía.
Summary
The bone changes in lead intoxication are discussed, as well as the differential diagnosis with other diseases producing dense metaphyseal stripes. 28 cases constitute our present sample. The diagnosis rests primarily on the possibility of environmental contamination, the clinical picture and the blood lead level, and NOT on the radiological manifestations, which are not pathognomonic. Therefore X-ray examinations are to be avoided, except in special cases.
Key words: LEAD POISONING - diagnosis
RADIOGRAPHY
Bibliografía
1. Ducou Le Pointe H, Montagne JP. Ostéoses toxiques non médicamenteuses. Encyclopédie Médico-Chirurgicale Radio-Diagnostic 1997; (5): 31-325 A-10.
2. Goodman & Gilman. Las bases farmacológicas de la Terapéutica. 9a. ed. México: Mc Graw- Hill-Interamericana, 1996: 1756.
3. Yver A et al. Saturnisme de l´enfant. Arch Fr Pédiatr. 1991; 48: 185-8.
4. Soto JA. Radiología pediátrica. Alteraciones del tejido óseo en la etapa de crecimiento. Montevideo: Delta Editorial. 1973. Págs. 17- 41.
5. Shanks SC, Kerley P. A Textbook of X- Ray Diagnosis. 2ND. ed. Philadelphia: WB Saunders, 1952: 421.
6. Swischuk LE, S. John S. Differential Diagnosis in Pediatric Radiology. 2ND. ed. Baltimore: Williams & Wilkins, 1995: 251.
7. Nelson W. Textbook of Pediatrics. 15th ed. Philadelphia: WB Saunders, 1996: 2050.
8. Caffey J. Diagnóstico Radiológico en Pediatría. 3ª. ed. Barcelona: Salvat, 1982: 1120.
9. Barkovich AJ. Pediatric Neuroimaging. 2ª ed. Philadelphia: Lippincott-Raven, 1995: 83.
10. Gutiérrez S. Tratamiento de la intoxicación con plomo en el niño. Boletín Informativo de la SUP 2001; 3 ( 1).
11. Olivenstein A, Mosquera E, Pizzorno E, Berterreche J, Oromí C, Pieri D. Intoxicación familiar por plomo. Arch Pediatr Uruguay 1978; 49 ( 3): 223.
12. Kirks DR, Griscom NT. Practical Pediatric Imaging. 3a ed. Philadelphia: Lippincott-Raven, 1998: 193 y 336.
Correspondencia. Dra. Raquel Domínguez.
Galicia 1154 ap. 1402.
E-mail: cialeti@adinet.com.uy













