Serviços Personalizados
Journal
Artigo
Links relacionados
Compartilhar
Revista Uruguaya de Cardiología
versão On-line ISSN 1688-0420
Rev.Urug.Cardiol. vol.30 no.2 Montevideo ago. 2015
Casos clínicos
Ausencia congénita de pericardio
Dres. Alejandra Musacco1, Natalia Moreira1, Daniel Chafes2, Horacio Vázquez1
1. Servicio de Cardiología. Asociación Española.
2. Servicio de Resonancia Magnética. Sanatorio Americano.
Correspondencia: Dr. Horacio Vázquez. Correo electrónico: hvaznos@gmail.com
Recibido junio 29, 2015; aceptado julio 8, 2015.
Palabras clave:
INFORMES DE CASOS; PERICARDIO/agenesia; CARDIOPATÍAS CONGéNITAS
Key words:
CASE REPORTS; PERICARDIUM/agenesis; HEART DEFECTS, CONGENITAL
Introducción
La ausencia congénita o agenesia de pericardio es una anomalía rara y de difícil diagnóstico con los medios clínicos habituales. Puede cursar asintomática, pero el motivo más frecuente de consulta es el dolor torácico. Los hallazgos anormales en el electrocardiograma (ECG), los estudios radiológicos y el ecocardiograma pueden ser desconcertantes y orientar equivocadamente el diagnóstico si no se considera esta patología. Se presenta un caso clínico sintomático cuyo diagnóstico se realizó varios años después de la primera consulta, habiendo mediado varios estudios y una hospitalización.
Caso clínico
Paciente de sexo masculino de 20 años de edad. Antecedentes personales: a los dos meses de vida fue operado por una malformación ureteral que condicionó hidronefrosis bilateral; durante su edad escolar se le diagnosticó dislexia y déficit atencional; su desarrollo pondo-estatural fue normal.
A los 16 años tuvo un ingreso hospitalario en otra institución por dolor torácico punzante en cara anterior de hemitórax izquierdo, prolongado, con variación posicional y respiratoria en su intensidad. Se realizó diagnóstico presuntivo de pericarditis aguda. De la evaluación con ECG, radiografía de tórax, troponinas séricas y ecocardiograma no se pudo confirmar ese diagnóstico. No disponemos de información paraclínica detallada de ese ingreso. A los 17 años volvió a consultar en servicio de urgencia por dolor torácico y estuvo en observación varias horas. Se realizaron nuevamente estudios radiológicos y ecocardiograma sin arribar a un diagnóstico específico. Desde entonces ha tenido dolor torácico de menor intensidad en reiteradas ocasiones, pero no volvió a consultar en el servicio de urgencia.
Actualmente concurrió a consulta de rutina con su médico de cabecera, que solicita una nueva evaluación cardiológica pues la radiografía de tórax y el ECG son anormales.
En la exploración física es un hombre que mide 170 cm y pesa 74 kg. Su aspecto general es normal. La presión arterial es de 120/80 mmHg. En el área cardíaca no se palpa impulso apical. En la auscultación el primer y segundo ruidos son normales. Tiene un soplo sistólico apical II/VI sin irradiaciones. El resto del examen no tiene otros hallazgos relevantes.
El ECG (figura 1) mostró un ritmo sinusal a 60 p.m. El eje de P está desviado a izquierda. El intervalo P-R mide 140 mseg. El complejo QRS tiene un eje eléctrico desviado a derecha (aproximadamente 120 grados) y la masa cardíaca muestra una rotación horaria extrema en el plano horizontal con patrón rS en todas las precordiales. La onda T está invertida de V1 a V3.
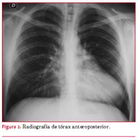
La radiografía de tórax (figura 2) mostró una silueta cardíaca desplazada a izquierda, con el borde derecho de la columna vertebral “desnudo”. El arco aórtico es normal, la arteria pulmonar impresiona aumentada y la silueta ventricular tiene una forma elongada muy peculiar. Se observa interposición de tejido pulmonar entre la silueta cardíaca y el diafragma.
El ecocardiograma Doppler (figura 3) mostró un desplazamiento a izquierda de las ventanas acústicas. La imagen paraesternal se obtuvo en la línea axilar anterior, no se pudo obtener una verdadera ventana apical, pero una imagen atípica de cuatro cámaras se obtuvo desde línea axilar media. La alineación entre aurículas y ventrículos estaba alterada con una fuerte angulación debida al desplazamiento de ambos ventrículos hacia la izquierda y hacia atrás. Las cavidades izquierdas tenían dimensiones normales. El movimiento del septum interventricular era paradójico y la función sistólica global del ventrículo izquierdo se estimó normal. La válvula mitral estaba engrosada, con ligero prolapso de hojuela anterior e insuficiencia mitral leve. El ventrículo derecho estaba ligeramente dilatado con función sistólica normal.
La RM (figura 4) confirmó el diagnóstico con hallazgos característicos del mismo. Desplazamiento global del corazón hacia el hemitórax izquierdo con orientación posterior del ápex. El atrio derecho ocupa una posición retroesternal, el atrio izquierdo “envuelve” la aorta descendente y hay angulación entre la orientación de aurículas y ventrículos. Se observa pericardio solamente por delante del ventrículo derecho, pero no en el resto del corazón. Se observó interposición de una lengüeta de tejido pulmonar entre aorta y arteria pulmonar y también tejido pulmonar en el triángulo entre el diafragma, la cara inferior del corazón y la aorta descendente.
Discusión
La ausencia congénita de pericardio es un trastorno raro, cuya frecuencia ha sido estimada entre 0,002% y 0,004%(1). Se describe un predominio en el sexo masculino de 3:1(2,3). Debido a que la mayoría de los portadores son asintomáticos y a las dificultades de su diagnóstico con las herramientas clínicas tradicionales, estos defectos eran raramente identificados en el pasado. Sin embargo, los modernos métodos de imágenes han permitido realizar este diagnóstico con mayor frecuencia. En un 30% de los casos acompaña a otras malformaciones cardíacas, entre las que destacan: defecto septal auricular, persistencia del conducto arterioso, válvula aórtica bicúspide y tetralogía de Fallot. Asimismo, puede estar integrado a cuadros con defectos orgánicos múltiples como el síndrome de Marfan(2).
Los defectos extensos pueden cursar asintomáticos, aunque muchos de los casos diagnosticados han consultado por síntomas de la esfera cardíaca. El síntoma más común es el dolor torácico recurrente no relacionado a ejercicio. Dicho dolor tiene las características de un origen seroso, con carácter punzante o penetrante, con variaciones posicionales y que ocasionalmente alivia en posición sentada(5). El examen físico no ofrece datos específicos. El impulso apical puede no palparse o encontrarse hiperdinámico y desplazado a axila. Con frecuencia se auscultan clicks y un soplo sistólico eyectivo suave.
Los hallazgos más característicos de los estudios paraclínicos reflejan el desplazamiento de la masa cardíaca hacia el hemitórax izquierdo, pues, libre de la contención pericárdica, el corazón “cae” hacia la izquierda y hacia atrás.
El ECG suele tener hallazgos que sugieren el diagnóstico, ya que el eje eléctrico de QRS está desviado a derecha, lo que puede acompañarse de algún grado de bloqueo de rama derecha, a lo que se suma una rotación horaria en el eje horizontal con un patrón de rS en precordiales. También son frecuentes las alteraciones de onda T que puede estar invertida en múltiples derivaciones(2,7,8).
En la radiografía de tórax la masa cardíaca desplazada a izquierda deja desnudo el borde derecho de la columna vertebral. La arteria pulmonar y la orejuela izquierda son prominentes pues desbordan los límites habituales del mediastino. La imagen del ventrículo izquierdo tiene una forma peculiar elongada y aplanada que ha sido llamada “signo de Snoopy” (por analogía con el perfil del personaje de historieta). Es frecuente ver interposición de tejido pulmonar entre el corazón y el diafragma, así como una “lengüeta” de tejido pulmonar que se introduce entre la aorta y la arteria pulmonar debido a la ausencia del receso pericárdico preaórtico(7).
El ecocardiograma no es capaz de identificar confiablemente la presencia o ausencia de pericardio. Sin embargo, aporta datos indirectos pues las ventanas acústicas están desplazadas hacia la izquierda, obteniendo la imagen paraesternal en una topografía cercana a la axila y, aún más a la izquierda, una imagen de cuatro cámaras atípica con orientación posterior de la punta del corazón. El septum ventricular suele tener movimiento paradójico y la función sistólica del ventrículo izquierdo es normal. El ventrículo derecho suele verse dilatado, hallazgo que puede ser simulado por la anomalía posicional(4,8).
La tomografía computada, y de preferencia la RM, son los métodos de elección para confirmar el diagnóstico. La RM es capaz de establecer en forma directa la ausencia de pericardio. Normalmente el pericardio se visualiza como una fina capa de tejido que separa el tejido adiposo epicárdico de la grasa mediastinal. Su identificación puede ser ardua en personas que tienen poco tejido adiposo epicárdico, lo que puede generar errores. Por este motivo se necesitan criterios diagnósticos adicionales como el ya mencionado desplazamiento característico del corazón hacia el hemitórax izquierdo con la punta hacia atrás y la interposición de tejido pulmonar en lugares en que normalmente el pericardio no lo permite(1,7).
En cuanto al tratamiento, la amplia mayoría de los pacientes tienen un curso benigno y no necesitan ningún tratamiento específico. En los que son portadores de defectos parciales sintomáticos con evidencia de herniación de estructuras cardíacas que puede llevar a la estrangulación, se plantea el tratamiento quirúrgico. Según el caso, la cirugía puede consistir en ampliación del defecto resecando una mayor extensión de pericardio o en el cierre del mismo con diferentes técnicas de pericardioplastia(5,6).
Conclusión
Presentamos el caso de un paciente de 20 años portador de una ausencia congénita total de pericardio izquierdo que nos ilustra acerca de las dificultades diagnósticas que presenta esta rara anomalía. Hemos discutido brevemente las claves para el diagnóstico a través de los instrumentos clínicos habituales y el estudio con RM. El curso benigno de los síntomas y el pronóstico favorable de esta entidad inclinaron a una conducta conservadora.
Bibliografía
1. Yared K, Baggish AL, Picard MH, Hoffmann U, Hung J. Multimodality imaging of pericardial diseases. JACC Cardiovasc Imaging 2010;3(6):650-60
2. Abbas AE, Appleton CP, Liu PT, Sweeney JP. Congenital absence of the pericardium: case presentation and review of literature. Int J Cardiol 2005;98(1):21-5
4. Connolly HM, Click RL, Schattenberg TT, Seward JB, Tajik AJ. Congenital absence of the pericardium: echocardiography as a diagnostic tool. J Am Soc Echocardiogr 1995;8(1):87–92.
5. Gatzoulis MA, Munk MD, Merchant N, Van Arsdell GS, McCrindle BW, Webb GD. Isolated congenital absence of the pericardium: clinical presentation, diagnosis, and management. Ann Thorac Surg 2000;69(4):1209–15.
6. Gassner I, Judmaier W, Fink C, Lener M, Waldenberger F, Scharfetter H, et al. Diagnosis of congenital pericardial defects, including a pathognomicsign for dangerous apical ventricular herniation, on magnetic resonance imaging. Br Heart J 1995;74(1):60-6
7. Rubio Alcaide A, Herrero Platero C, Sánchez Calle JM, de Mora Martín M, Barakat S, Pinedo Rodríguez J, et al. Diagnóstico de imagen de la agenesia de pericardio. Rev Esp Cardiol. 1999; 52(3):211-4
8. Caniggia CC, Gabe E, Guevara E. Agenesia de pericardio. Comunicación de un caso. Rev Argent Cardiol 2010;78(1):71-3.













