Introducción
El leiomiosarcoma de vena cava inferior es una neoplasia rara, poco frecuente, descrito por primera vez por Perl y Virchow en el año 1871,siendo más frecuente en el sexo femenino, entre los 50-60 años de edad.1El leiomiosarcoma de vena cava inferior es el más común dentro de los tumores de grandes vasos, siendo un tumor maligno de origen mesenquimal originado a partir de la musculatura lisa de la túnica media. 2) La cirugía constituye la principal opción terapéutica en estos pacientes, y debido a que son tumores de alto grado histológico a menudo se requiere del uso de radioterapia y quimioterapia sistémica, con beneficios limitados.3
Hasta le fecha se han reportado menos de 300-400 casos en la literatura internacional, y clásicamente se asocia a un crecimiento lento y progresivo, y con muy mal pronóstico, siendo el principal indicador pronostico la cirugía radical con márgenes negativos. 2)(3)
Debido a la baja incidencia, la agresividad de la enfermedad y la dificultad en su abordaje terapéutico, comentamos el caso de una paciente portadora de leiomiosarcoma de vena cava inferior, en la cual se le realizó tratamiento resectivo e interposición de prótesis en vena cava.
Caso Clínico
Presentamos el caso clínico de una paciente sexo femenino de 64 años, con antecedentes personales de hipertensión arterial, fibrilación auricular e hipotiroidismo que consulta por dolor a nivel lumbar derecho de meses de evolución. Presenta buen estado general, a nivel de fosa lumbar derecha se palpa una tumoración de aproximadamente 10 cm, poco móvil, dolorosa.
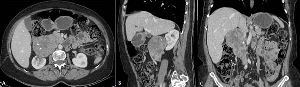
La tomografía computada (TC) evidencia una masa retroperitoneal de 86mm x 70mm x 102 mm, la cual envuelve la vena cava inferior (VCI), invade la grasa perirrenal y contacta con la pelvis renal (figura 1), se complementa con Angiotomografìa que confirma infiltración de la vena cava inferior.
Se realiza ecografía Doppler abdominal donde no evidencia trombosis en VCI, así como tampoco a nivel de vena porta.
Luego de realizados los estudios imagenológicos, se decide realizar punción guiada bajo TC, donde la citología informa leiomiosarcoma (LMS) de alto grado.
Discutido en comité de tumores, se decide realizar tratamiento quirúrgico, mediante la resección de la masa tumoral retroperitoneal.
Dicha masa en la exploración se originaba a nivel de la vena cava inferior e infiltraba macroscópicamente el riñón derecho, por lo que fue necesario realizar la resección de la vena cava inferior, por debajo de las venas renales y por encima de las venas ilíacas, logrando margen macroscópico sano, con interposición de prótesis y nefrectomía derecha asociada (figura 2).
Presenta buena evolución en el posoperatorio, iniciándose anticoagulación a las 12 hs del postoperatorio, inicialmente con heparina de bajo peso molecular, y luego con anticoagulantes orales, la cual se mantiene durante el primer año debido a que presenta área de trombosis con flujo conservado en la prótesis (figura 3).

Figura 1: TC de abdomen en fase portal. A) Imagen axial donde se observa masa retroperitoneal bien delimitada, con realce heterogéneo con el medio de contraste, presenta calcificaciones centrales. Engloba completamente la VCI. B) imagen en sagital donde se observa contacto con el riñón derecho, en C) imagen coronal donde se observa la extensión longitudinal del tumor y el compromiso de la VCI.

Figura 2: A) Fotografía quirúrgica que muestra el cargado de la VCI proximal y distal al tumor. B) Fotografía quirúrgica muestra el reemplazo de la VCI con prótesis de Dacrón C) Fotografía de la pieza de resección, incluye tumor, VCI, riñón derecho. D) Fotografía de la pieza de resección, incluye tumor abierto, VCI, riñón derecho.

Figura 3: TC de abdomen en fase portal, post operatorio. A) Imagen axial donde se observa remanente de VCI permeable de calibre conservado B) y C) reconstrucciones axiales y coronales que muestran prótesis interpuesta de VCI parcialmente trombosada con canal de flujo permeable.
La anatomía patológica de la pieza evidencia un leiomiosarcoma de alto grado; con borde de resección libre de tumor. Su inmunomarcación evidenció CkPan negativo, Vimentina positiva, S100 negativo, AM liso positivo, desmina positivo, Ki67 40%, CD34 negativo.
Se realiza el seguimiento en conjunto con equipo de oncología, el cual propuso tratamiento adyuvante mediante radioterapia, no presentando al año de la cirugía evidencia de recidiva loco regional ni diseminación a distancia.
Discusión
Los leiomiosarcomas vasculares son neoplasias malignas raras que se originan en las fibras musculares lisas de la túnica media, constituyendo el 2% de los leiomiosarcomas, a su vez es sabido que es el tumor más frecuente que afecta la vena cava, y dentro de los tumores vasculares, el 60% abarca la vena cava.4
La clasificación más empleada descrita por Kulayat es por su localización, en la que se divide la vena cava en 3 sectores o segmentos. El segmento I (inferior) corresponde a VCI por debajo de las venas renales y se encuentra afectado en un 36% de los casos. El segmento II (medio) el cual se delimita desde las venas suprahepáticas hasta las venas renales, está involucrado en el 44% de los casos, de mejor pronostico. El segmento III el cual se delimita desde la aurícula derecha hasta las venas suprahepáticas en 20% de los casos.5
Esta clasificación anatómica es también importante porque la variada forma de presentación clínica dependerá de la topografía donde asiente el tumor. 5) La forma de presentación clínica muchas veces es asintomática, debido a su topografía retroperitoneal, en otras situaciones, la sintomatología suele ser muy inespecífica, existiendo dolor abdominal en flanco, palpación de tumor abdominal, edema de miembros inferiores, ascitis, ictericia, dependiendo fundamentalmente de la topografía.6
El diagnóstico requiere de la realización de estudios de imagen que aportan sobre la localización exacta del tumor y su relación con estructuras vecinas, muy importante a la hora de planificar la cirugía.2
La tomografía computada puede ayudar acerca del origen del tumor y su extensión, objetivándose como una masa sólida, heterogénea, con áreas de necrosis, a su vez, la resonancia magnética puede aportar más información acerca de la extensión del tumor y la presencia de trombos.7
La punción biopsica guiada bajo imagen es necesaria para establecer y planificar un adecuado tratamiento.(2,7)
La resección quirúrgica inicial agresiva sigue siendo la clave para la supervivencia a largo plazo en los leiomiosarcomas de vena cava inferior, la quimioterapia, así como la radioterapia, no han demostrado presentar mejores resultados que la cirugía en cuanto a sobrevida.8
La resección quirúrgica de la vena cava es un procedimiento poco frecuente, cuya indicación principal es la afectación tumoral de la misma, aunque se considera en estos casos que la enfermedad esta avanzada, la resección puede mejorar la calidad de vida y sobrevida.9
Luego de la resección, las opciones terapéuticas pueden ser la ligadura completa de la vena cava inferior o la colocación de prótesis biológicas o sintéticas.2 Se han descrito también las resecciones parciales para tumores que afectan menos del 75% de la circunferencia de la vena cava y reconstrucción mediante cavoplastia con tejidos biológicos.10 En la reconstrucción de la vena cava inferior puede utilizarse vena autóloga o más comúnmente el uso de prótesis sintética, cuyo material puede ser de politetrafluoroetileno, Teflón o Dacron.4
La ligadura exclusiva de la vena cava inferior aumenta el riesgo de trombosis venosa profunda, aunque sin posibilidad de tromboembolismo pulmonar, mientras que la reconstrucción con prótesis tiene elevado riesgo de trombosis e infección2, en tal sentido, se recomienda el uso de una prótesis de menor calibre que la vena, para de esta manera aumentar el flujo sanguíneo y disminuir el riesgo de trombosis.7
No hay consenso en cuanto a la necesidad de tratamiento anticoagulante o antiagregante tras la interposición de la prótesis. Algunos autores prefieren anticoagulación durante 6 meses seguida de antiagregación profiláctica, otros, la anticoagulación a largo plazo, como realizamos en nuestra paciente, mientras que otros refieren buenos resultados sin anticoagulación.10 Algunos autores incluso recomiendan realizar una fístula arteriovenosa inguinal para aumentar la velocidad del flujo y mejorar así la permeabilidad del injerto. Sin embargo, por el momento, no hay evidencia de que las fístulas arteriovenosas mejoren esta permeabilidad.11
El papel del tratamiento neoadyuvante y adyuvante es controvertido. Kieffer et al consideran óptima la resección completa seguida de quimioterapia adyuvante para el tratamiento de tumores sin metástasis en el momento del diagnóstico.11) Sin embargo, los informes de casos clínicos y pequeñas series retrospectivas de pacientes tratados con quimioterapia adyuvante después de la cirugía no han demostrado beneficios en términos de supervivencia o períodos libres de enfermedad.10 Las guías clínicas de la National Comprehensive Cáncer Network (NCCN) 2022 para sarcoma retroperitoneal/intraabdominal, establecen que la radioterapia neoadyuvante reduce el riesgo de siembra tumoral y hace que el tumor sea más susceptible a la resección. Sugiere en la cirugía dejar marcación con clips, a fin de guiar el tratamiento radioterápico adyuvante en caso de ser necesario. La adyuvancia con RT es discutida su indicación, se recomienda en pacientes con márgenes de resección positivos, enfermedad de alto grado, tumores grandes, márgenes estrechos y algunos caos seleccionados.10
Conclusión
Los LMS de la VCI aún representan un desafío para los cirujanos. La resección radical con márgenes negativos actualmente ofrece la mejor tasa de supervivencia. Aún se encuentra en discusión la indicación de la anticoagulación en pacientes con colocación de prótesis. Los tratamientos neoadyuvantes presentan indicaciones precisas y los mejores resultados se logran con un enfoque multidisciplinario.














