SciELO - Scientific Electronic Library Online

 
vol.39 número1Síndrome de Stajano, Fitz-Hugh, Curtis. Descrição de um caso clínico e atualização do conhecimento índice de autoresíndice de assuntospesquisa de artigos
Home Pagelista alfabética de periódicos  

Serviços Personalizados

Journal

Artigo

Links relacionados

Compartilhar


Revista Médica del Uruguay

versão impressa ISSN 0303-3295versão On-line ISSN 1688-0390

Rev. Méd. Urug. vol.39 no.1 Montevideo  2023  Epub 01-Mar-2023

https://doi.org/10.29193/rmu.39.1.14 

CASO CLÍNICO

Hipogonadismo masculino secundario a macroprolactinoma

Men with hypogonadism secondary to macroprolactinoma

Hipogonadismo masculino secundário a macroprolactinoma

1Posgrado de Endocrinología y Metabolismo. Facultad de Medicina, Universidad de la República. Montevideo, Uruguay. Correo electrónico: j.g.ariasfripp@gmail.com

2Asistente.Clínica de Endocrinología y Metabolismo. Facultad de Medicina, Universidad de la República. Montevideo, Uruguay.


Resumen:

Los prolactinomas son los tumores funcionantes de hipófisis más frecuentes. Se clasifican según su tamaño en microprolactinomas (menores a 1 cm) y macroprolactinomas (mayor o igual a 1 cm). Estos últimos tienen mayor frecuencia en hombres y en general se diagnostican más tardíamente, cuando aparecen síntomas compresivos. La hiperprolactinemia interfiere con la secreción pulsátil de la hormona liberadora de gonadotropinas (GnRH), lo que genera la inhibición de secreción de hormona luteinizante (LH) y de hormona foliculoestimulante (FSH), y en consecuencia produce hipogonadismo hipogonadotrófico.

El presente artículo reporta un caso clínico de un paciente de 26 años, de sexo masculino, en el que se realiza el diagnóstico de hipogonadismo hipogonadotrófico secundario a un macroprolactinoma, en el contexto de una pubertad detenida.

Palabras claves: Hipogonadismo hipogonadotrófico; Macroprolactinoma; Hiperprolactinemia; Pubertad tardía

Abstract:

Prolactinomas are the most common functioning pituitary tumors. According to size, they are classified into microprolactinomas (smaller than 1 cm) and macroprolactinomas (larger than or equal to 1 cm). The latter are more frequent among men and in general of late diagnosis upon compressive symptoms. Hyperprolactinemia interferes with the pulsatile secretion of the gonadotrophin releasing hormone (GnRH)) what results in inhibition of the secretion of luteinizing hormone (LH) and follicle-stimulating hormone (FSH), what consequently produces hypogonadotrophic hypogonadism.

The study reports the clinical case of a 26-year-old male who was diagnosed with hypogonadotrophic hypogonadism secondary to macroprolactinoma, within the context of detained puberty.

Key words: Hypogonadism; Prolactinoma; Macroprolactinoma; Hyperprolactinemia; Delayed puberty

Resumo:

Os prolactinomas são os tumores hipofisários funcionantes mais comuns. São classificados de acordo com seu tamanho em microprolactinomas (menos de 1 cm) e macroprolactinomas (maior ou igual a 1 cm). Estas últimas são mais frequentes em homens e geralmente são diagnosticadas mais tarde, quando aparecem sintomas compressivos. A hiperprolactinemia interfere na secreção pulsátil do hormônio liberador de gonadotropina (GnRH), levando à inibição da secreção do hormônio luteinizante (LH) e do hormônio folículo-estimulante (FSH) e, consequentemente, hipogonadismo hipogonadotrófico.

Este artigo relata o caso clínico de um paciente do sexo masculino de 26 anos, no qual é feito o diagnóstico de hipogonadismo hipogonadotrófico secundário a um macroprolactinoma, no contexto de puberdade interrompida.

Palavras chave: Hipogonadismo hipogonadotrófico; Macroprolactinoma; Hiperprolactinemia; Puberdade tardia

Introducción

Los prolactinomas están compuestos por una proliferación de células lactotropas, siendo los tumores de hipófisis más frecuentes (40%), presentando una relación mujeres/hombres de 10:11,2.

Habitualmente son esporádicos, y pueden asociarse a síndromes hereditarios como neoplasia endocrina múltiple tipo 1 (MEN 1) en un 30%2.

Según su tamaño se clasifican en microprolactinomas (menores a 1 cm) o macroprolactinomas (mayor o igual a 1 cm). Estos últimos se presentan con mayor frecuencia en los varones debido a la demora en la consulta, llevando a un diagnóstico más tardío1,2.

Generalmente las concentraciones de prolactina (PRL) producidas tienen correlación con el tamaño tumoral3.

Independientemente de la causa, la sintomatología se origina tanto por la hiperprolactinemia como al efecto de masa, especialmente en los macroprolactinomas2. La hiperprolactinemia interfiere con la secreción pulsátil de GnRH e inhibe la secreción de LH y FSH; por otra parte, la masa tumoral puede producir hipopituitarismo por efectos compresivos de las estructuras paraselares lo que puede favorecer el hipogonadismo hipogonadotrófico3.

Los prolactinomas son raros en la infancia o la adolescencia y a menudo se presentan con retraso en el desarrollo puberal e hipogonadismo o síntomas por efecto de masa1,3.

Caso clínico

Paciente de 27 años, de sexo masculino, con antecedentes personales de obesidad, gastrectomía atípica por lesión vegetante con anatomía patológica que informa carcinoma neuroendocrino bien diferenciado, realizada dos años previos a la consulta. Concurre derivado desde el Servicio de Urología por hipogonadismo en contexto de estudio por una pubertad detenida.

Refería escaso desarrollo de vello facial, disminución global de las fuerza y escaso desarrollo muscular. Concomitantemente disminución de la libido, anorgasmia y aneyaculación. Negaba anosmia e hiposmia, cefalea y alteraciones visuales. Negaba galactorrea, ginecomastia, episodios de hipotensión o mareos y síntomas de disfunción tiroidea.

Al examen presenta una obesidad moderada con un IMC 35,4 kg/m2, normotenso, barba rala, resto del vello corporal de distribución androgénica normal. No ginecomastia. A nivel genital: vello púbico Tanner V; testículos en bolsa 8 ml (adultos ≥ 15 ml) y pene de 6 cm (adultos ≥ 9,3 cm), Tanner III. Examen neurológico normal, con campo visual por confrontación normal. Con planteo de hipogonadismo hipogonadotrófico se solicitó bioquímica que confirmó el planteo clínico (tabla 1).

Tabla 1 

Laboratorio

La paraclínica se muestra en la (tabla 1).

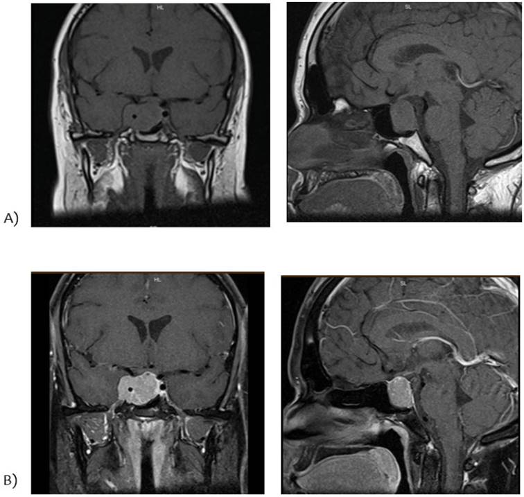
Se completa estudio de hipogonadismo hipogonadotrófico con la valoración del resto de los ejes hormonales (tabla 2) y resonancia nuclear magnética (RNM) de cráneo con enfoque selar (figura 1).

Tabla 2 

Figura 1: A) RNM de cráneo con enfoque selar conte coronal y sagital ponderada en T1. B) RNM de cráneo con enfoque selar conte coronal y sagital ponderada en T2. 

Se solicitó calcemia: 9,9 mg/dl (VN: 8,2-10,2) y albuminemia: 4,6 g/dl; pendiente somatomedina C y valoración genética.

Imagenología

RNM: lesión focal con epicentro selar de aproximadamente 37 x 28 x 19 mm en sus diámetros L, T y AP; invade el seno esfenoidal y el seno cavernoso derecho, englobando a la arteria carótida cavernosa en la totalidad de su circunferencia. Se extiende hacia la región supraselar, comprimiendo levemente el quiasma óptico; y un componente supraselar lateralizado a derecha que engloba la arteria carótida supraclinoidea. El tallo hipofisario se encuentra comprimido superiormente y lateralizado a izquierda. Resto del estudio normal (figura 1).

Diagnóstico y tratamiento

Se diagnostica hipogonadismo hipogonadotrófico secundario a macroprolactinoma. Se inicia tratamiento médico con cabergolina 0,5 mg semanales.

Discusión

El término hipogonadismo describe la condición clínica que, como consecuencia de una alteración en cualquier punto del eje hipotálamo-hipófisis-gonadal (HHG), deriva en la producción insuficiente de testosterona y/o del número de espermatozoides por parte del testículo4,5.

De acuerdo al origen del defecto, se clasifica en hipogonadismo hipogonadotrófico (Hh) si el fallo es a nivel del eje hipotálamo-hipofisario, o hipogonadismo hipergonadotrófico cuando el fallo es de origen testicular4,5.

Una correcta evaluación permitirá orientar la naturaleza del proceso subyacente y la conveniencia de estudios complementarios4,5.

Para establecer el diagnóstico se deben determinar las concentraciones séricas de testosterona. Este se basa en concentraciones de testosterona total disminuidas (menos de 250-300 ng/dl) confirmadas en dos determinaciones realizadas en ayunas por la mañana (8:00-10:00 horas)6,7.

La determinación del nivel de LH y FSH permite establecer el origen, las concentraciones séricas normales o bajas establecen el diagnóstico de hipogonadismo hipogonadotrófico que nos conducirá a realizar un estudio completo a nivel central que incluya una RNM hipofisaria y un perfil hormonal hipofisario basal7.

La presencia de niveles elevados de prolactina (3.389 ng/dl) en este caso, orientaron a la presencia de un macroprolactinoma, etiología más frecuente dentro de las causas patológicas del área supraselar8.

El diagnóstico del prolactinoma requiere evidencia imagenológica de adenoma. La resonancia magnética con gadolinio es el mejor procedimiento de imagen para la mayoría de las masas selares y, por lo general, no es necesario realizar ningún otro estudio de imagen (figura 1)9.

Ante la existencia de una masa hipofisaria es obligatoria la evaluación de la función hormonal, ya que puede verse afectada por la compresión del tejido hipofisario sano o por la interrupción de la comunicación entre hipotálamo e hipófisis, lo que no fue evidenciado en nuestro paciente9.

Los prolactinomas generalmente son esporádicos, pero un 30% pueden asociarse a síndromes hereditarios como MEN1, que se deberá descartar con estudio genético dado el antecedente de tumor neuroendócrino a nivel gástrico2.

Las manifestaciones clínicas de los prolactinomas en la infancia o la adolescencia varían principalmente según el sexo, la edad de aparición, el tamaño del tumor y los niveles de PRL. A menudo se presentan con retraso en el desarrollo puberal e hipogonadismo o síntomas por efecto de masa1,3,10-14.

El hipogonadismo hipogonadotrópico adquirido se caracteriza por la aparición posnatal de trastornos que dañan o alteran la función de neuronas que secretan GnRH y/o células gonadotrofas pituitarias15. Se desarrolla principalmente durante o después de la pubertad, y puede ser el resultado de cualquier tipo de lesión hipofisaria o hipotalámica, incluidos los prolactinomas, como en este caso16.

Las manifestaciones clínicas dependen de la edad de aparición, gravedad y duración de la deficiencia de gonadotropina, y la existencia de otras deficiencias hormonales15.

Puede prevenir el inicio de la pubertad, aparecer durante el desarrollo puberal, aunque generalmente lo hacen después de la edad normal de desarrollo puberal15.

En nuestro caso determinó una pubertad detenida (PD) con un micropene.

Definimos pubertad detenida a aquella que no llega a completarse, transcurriendo más de 4-5 años entre su inicio y el desarrollo gonadal completo17.

El término micropene hace referencia a un falo de configuración normal, pero de longitud inferior a -2,5 DE para la edad y etnia correspondientes, que en un adulto corresponde a menos de 9,3 cm18-20.

Un Tanner III, como se observa al examen, se produce en general a una edad media de 12,6 años, (con un rango de entre los 10,7 y 14,9 años), momento en el que sospechamos se inició la alteración puberal en un paciente sin controles en salud durante su adolescencia21.

Otras manifestaciones en hombres adultos incluyen subfertilidad, disfunción reproductiva (disfunción eréctil y azoospermia no obstructiva) y características inespecíficas como reducción de vitalidad y bienestar, debilidad física, pérdida de minerales óseos, labilidad emocional y reducción de la libido16.

La disminución del volumen testicular y la masa muscular es inconsistente y sólo se produce cuando la deficiencia de gonadotropinas es duradera y grave15.

El tratamiento del hipogonadismo adquirido debe apuntar a la causa subyacente. Sin embargo, a veces persiste a pesar de la reducción o erradicación del tumor o infiltración causal, por lo que puede ser necesaria la terapia de reemplazo de andrógenos15.

En este paciente se inició tratamiento médico con agonistas dopaminérgicos, primera opción terapéutica de tratamiento de los prolactinomas. Los objetivos del tratamiento son:

  • a) disminuir las concentraciones de PRL y revertir la clínica;

  • b) reducir el tamaño tumoral;

  • c) restaurar la función gonadal y otros déficits hormonales hipofisarios y

  • d) prevenir la recurrencia y progresión tumoral.

La cabergolina es el agonista dopaminérgico (AD) de primera elección tanto por su mayor eficacia, normalización de niveles de PRL y reducción del tamaño tumoral, como por su mejor tolerabilidad. Al igual que el resto de los AD, conviene introducirla progresivamente para evitar la aparición de efectos secundarios. El tratamiento médico debe mantenerse hasta la normalización de las concentraciones de PRL (respuesta bioquímica) y la reducción del tamaño tumoral1,2,8,22.

Ocasionalmente puede ser necesario el tratamiento quirúrgico (cirugía transesfenoidal) y de forma excepcional radioterapia en caso de no respuesta al tratamiento médico1,2,8,22.

Conclusión

El abordaje diagnóstico de un paciente con hipogonadismo debe realizarse de una manera ordenada, secuencial y exhaustiva con el objetivo de descubrir la causa subyacente para realizar un correcta asistencia.

En este caso se abordó el diagnóstico de un paciente con hipogonadismo hipogonadotrópico secundario a un macroprolactinoma hipofisario, iniciado seguramente en la edad infantil y no pudiendo descartar la presencia de un MEN1 dada la asociación con un tumor neuroendócrino. Destacamos la importancia de los controles en salud durante la adolescencia, momento de gran relevancia para la detección de alteraciones en el desarrollo puberal que hubieran permitido realizar un diagnóstico precoz y tratamiento oportuno para disminuir las consecuencias de esta patología en este paciente.

Bibliografía:

1. Melmed S, Casanueva F, Hoffman A, Kleinberg D, Montori V, Schlechte J, et al. Diagnosis and treatment of hyperprolactinemia: an Endocrine Society clinical practice guideline. J Clin Endocrinol Metab 2011; 96(2):273-88. doi: 10.1210/jc.2010-1692. [ Links ]

2. Blanco Carrera C, Fernández Fernández C, Escribano Taioli P. Adenomas funcionantes de la hipófisis. Medicine 2016; 12(15):838-9. doi: 10.1016/j.med.2016.06.020. [ Links ]

3. Halperin Rabinovich I, Cámara Gómez R, García Mouriz M, Ollero García-Agulló D. Guía clínica de diagnóstico y tratamiento del prolactinoma y la hiperprolactinemia. Endocrinol Nutr 2013; 60(6):308-19. doi: 10.1016/j.endonu.2012.11.005. [ Links ]

4. Bhasin S, Brito J, Cunningham G, Hayes F, Hodis H, Matsumoto A, et al. Testosterone therapy in men with hypogonadism: an Endocrine Society Clinical Practice Guideline. J Clin Endocrinol Metab 2018; 103(5):1715-44. doi: 10.1210/jc.2018-00229. [ Links ]

5. Pascual Corrales E, Araujo Castro M, Ortiz Flores A, Escobar Morreale H. Protocolo diagnóstico del hipogonadismo en varones. Medicine 2020; 13(15):870-3. doi: 10.1016/j.med.2020.09.006. [ Links ]

6. Brambilla D, Matsumoto A, Araujo A, McKinlay J. The effect of diurnal variation on clinical measurement of serum testosterone and other sex hormone levels in men. J Clin Endocrinol Metab 2009; 94(3):907-13. doi: 10.1210/jc.2008-1902. [ Links ]

7. Ortiz Flores A, Pascual Corrales E, Araujo Castro M, Escobar Morreale H. Protocolo de evaluación del hipogonadismo en el varón adulto y en el anciano. Medicine 2020; 13(18):1038-42. doi: 10.1016/j.med.2020.10.007. [ Links ]

8. Fernández Rodríguez E, Bernabeu I, Casanueva F. Protocolo de diagnóstico y tratamiento de la hiperprolactinemia. Medicine 2012; 11(13):796-9. doi: 10.1016/S0304-5412(12)70385-2. [ Links ]

9. Andújar P, Fernández Rodríguez E, Bernabeu I, Casanueva F. Adenomas hipofisarios no funcionantes. Medicine 2012; 11(13):757-63. doi: 10.1016/S0304-5412(12)70379-7. [ Links ]

10. Matalliotakis M, Koliarakis I, Matalliotaki C, Trivli A, Hatzidaki E. Clinical manifestations, evaluation and management of hyperprolactinemia in adolescent and young girls: a brief review. Acta Biomed 2019; 90(1):149-57. doi: 10.23750/abm.v90i1.8142. [ Links ]

11. Henao Vega D, Suescún Vargas J, Pedraza Flechas P, Pereira Ospina R. Prolactinoma en una adolescente como causa de alteraciones visuales. Rev Cubana Pediatr 2018; 90(1):141-8. [ Links ]

12. Fideleff H, Boquete H, Suárez M, Azaretzky M. Prolactinoma in children and adolescents. Horm Res 2009; 72(4):197-205. doi: 10.1159/000236081. [ Links ]

13. Yordan E, Yordan R. Presentation and evaluation of hyperprolactinemia in adolescence: case reports and suggested clinical guidelines. J Adolesc Pediatr Gynecol 1988; 1(4):262-6. [ Links ]

14. Vaiani E, Morales C, Soto F, Blanco Y, Rugilo C, Ciaccio M, et al. Presentación atípica de un prolactinoma gigante en un adolescente de 15 años. Arch Argent Pediatr 2018; 116(2):e325-30. 10.5546/aap.2018.e325. [ Links ]

15. Salenave S, Trabado S, Maione L, Brailly-Tabard S, Young J. Male acquired hypogonadotropic hypogonadism: diagnosis and treatment. Ann Endocrinol (Paris) 2012; 73(2):141-6. doi: 10.1016/j.ando.2012.03.040. [ Links ]

16. Barber T, Kyrou I, Kaltsas G, Grossman A, Randeva H, Weickert M. Mechanisms of Central Hypogonadism. Int J Mol Sci 2021; 22(15):8217. doi: 10.3390/ijms22158217. [ Links ]

17. Pozo Román J, Muñoz Calvo M. Pubertad precoz y retraso puberal. Pediatr Integral 2015; 19(6):389-410. [ Links ]

18. Portela L, Guerrero Fernández J, Rial Rodríguez J. Micropene. En: Guerrero Fernández J, González Casado I. Manual de diagnóstico y terapéutica en endocrinología pediátrica. Madrid: Ergon, 2020:524-32. [ Links ]

19. Gracia Romero J, González Ruiz Y. El pediatra ante los procesos más frecuentes de Urología pediátrica. En: Asociación Española de Pediatría. Curso de Actualización Pediatría 2017. Madrid: Lúa Ediciones 3.0, 2017:183-94. [ Links ]

20. Lee P, Houk C, Ahmed S, Hughes I. Consensus statement on management of intersex disorders. International Consensus Conference on Intersex. Pediatrics 2006; 118(2):e488-500. doi: 10.1542/peds.2006-0738. [ Links ]

21. Asociación Española de Pediatría. Programa de Salud Infantil. Supervisión del crecimiento físico y desarrollo puberal. Madrid: AEP, 2009. Disponible en: https://www.aepap.org/sites/default/files/puberal.pdf. (Consulta: 2022). [ Links ]

22. Mintegui G, Saccone S. Hiperprolactinemia. En: Universidad de la República. Facultad de Medicina. Cátedra de Endocrinología y Metabolismo. Clínica de Endocrinología y Metabolismo. Resúmenes breves. Tomo II: hipófisis, suprarrenales, MEN, SP. Montevideo: Facultad de Medicina. 2018:11-23. [ Links ]

Nota: Los autores declaran no tener conflictos de interés

Nota: Este trabajo cuenta con el consentimiento del paciente para su publicación

Nota: Los autores participaron por igual en la concepción, diseño, ejecución y redacción del presente trabajo

Nota: El Comité Editorial aprobó por unanimidad este artículo

Recibido: 11 de Julio de 2022; Aprobado: 02 de Enero de 2023

Creative Commons License Este es un artículo publicado en acceso abierto bajo una licencia Creative Commons