Serviços Personalizados
Journal
Artigo
Links relacionados
Compartilhar
Revista Médica del Uruguay
versão On-line ISSN 1688-0390
Rev. Méd. Urug. vol.30 no.1 Montevideo mar. 2014
Pseudotumor hemofílico: a propósito de un caso
Dres. Maximiliano Berro*, Martín Acosta†, Andrés Rodríguez Cantera*, Alba Menyou*, Juan Insagaray‡, Ismael Rodríguez Grecco§
* Asistente Cátedra de Hemoterapia y Medicina Transfusional. Hospital de Clínicas. Facultad de Medicina. Universidad de la República. Uruguay.
† Postgrado Cátedra de Hemoterapia y Medicina Transfusional. Hospital de Clínicas. Facultad de Medicina. Universidad de la República. Uruguay.
‡ Prof. Agdo. Cátedra de Hemoterapia y Medicina Transfusional. Hospital de Clínicas. Facultad de Medicina. Universidad de la República. Uruguay.
§ Profesor Director Cátedra de Hemoterapia y Medicina Transfusional. Hospital de Clínicas. Facultad de Medicina. Universidad de la República. Uruguay.
Correspondencia: Dr. Maximiliano Berro. Cátedra y Departamento de Hemoterapia y Medicina Transfusional. Hospital de Clínicas Dr. Manuel Quintela. Av. Italia s/n. Montevideo, Uruguay.
Correo electrónico: maxberro@gmail.com
Recibido 16/9/13 Aceptado: 10/2/14
Resumen
El pseudotumor hemofílico es una complicación poco frecuente de la hemofilia y consiste en un hematoma encapsulado con crecimiento progresivo. Se presenta el caso clínico de un paciente de 17 años de edad, con un pseudotumor en muslo, en el que se realiza la resección quirúrgica completa del mismo. Se discuten la etiopatogenia, estudios paraclínicos y tratamiento actual del pseudotumor hemofílico. Se enfatiza en la importancia del diagnóstico precoz para poder realizar un tratamiento programado y oportuno con lo cual es posible disminuir la morbimortalidad por esta rara pero importante complicación de la hemofilia.
Palabras clave: HEMOFILIA A – complicaciones
HEMATOMA
NEOPLASIAS
Keywords: HEMOPHILIA A – complications
HEMATOMA
NEOPLASMS
Introducción
El pseudotumor hemofílico se define como un hematoma encapsulado que aumenta de volumen de forma progresiva por episodios de hemorragia recurrente. Es una complicación poco frecuente de la hemofilia que se presenta en 1% a 2% de los pacientes con déficit moderado o severo de Factor VIII (FVIII) o Factor IX (FIX)(1-4). La primera descripción de pseudotumor hemofílico data de 1918; Starker(5) describió un pseudotumor que afectaba el fémur de un varón de 14 años de edad. Tras esta primera descripción se han publicado varios reportes de casos y pequeñas series, estableciéndose criterios para su diagnóstico y tratamiento, pero no existen estudios con un gran número de pacientes debido a la baja incidencia de esta patología(6).
Se piensa que existe una conexión entre la falta de un adecuado tratamiento de reemplazo con el factor en déficit y el desarrollo de los pseudotumores. Esto se apoya en que la mayoría de los casos se relacionan a una terapia de reemplazo inadecuada y que su aparición es más frecuente en pacientes que han desarrollado un inhibidor del factor de la coagulación involucrado(7).
En la actualidad no existe un tratamiento consensuado y estandarizado del pseudotumor hemofílico. La terapéutica se basa en criterios clínicos y en la opinión de expertos con experiencia limitada.
Caso clínico
Hombre de 17 años de edad con antecedentes de hemofilia A moderada que consulta en la Policlínica del Departamento de Medicina Transfusional del Hospital de Clínicas por tumoración dolorosa a nivel de cara anterior de muslo derecho de varios meses de evolución. Como antecedente de la enfermedad actual presenta múltiples episodios de sangrado muscular en ambos muslos.
El examen físico reveló una tumoración que ocupa el tercio medio de muslo derecho sin elementos fluxivos.
Los hallazgos de laboratorio fueron: dosificación de FVIII < 0,3 %. Rastreo de inhibidores de FVIII, negativo.
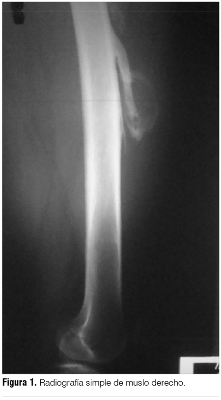
En la radiografía simple de muslo se observa a nivel de tercio medio una imagen inespecífica adyacente al fémur, visualizándose además una neoformación ósea perpendicular al mismo (figura 1).

La ecografía y la tomografía axial computada (TAC) de muslo derecho mostraron una imagen groseramente ovalada, bien delimitada, heterogénea, con calcificaciones periféricas sin vascularización valorada por Doppler color (figura 2).

La resonancia nuclear magnética (RNM) identifica a nivel de tercio medio de muslo derecho en proyección del vasto intermedio una formación ovoidea de pared fina y bien delimitada. Su señal es heterogénea en el interior en secuencias T1 y T2, hallazgo compatible con hemoglobina en distintos estadios de evolución. Sus medidas: transversal 6 cm, antero-posterior 4 cm y longitudinal 5 cm (figura 3 y 4).


Con el diagnóstico de pseudotumor hemofílico se inicia tratamiento sustitutivo a una dosis de 50 UI/kg/día de FVIII durante seis semanas. En la RNM de control no se observa ningún cambio en las dimensiones del pseudotumor, por lo que se decide tratamiento quirúrgico del mismo.
Es intervenido quirúrgicamente realizándose la resección completa del pseudotumor y posterior relleno de la cavidad con colágeno. El protocolo de reposición de FVIII para la cirugía del paciente (con un peso de 80 kg) fue el siguiente: 50 UI/kg en bolo una hora previo a la cirugía, equivalentes a 4.000 unidades de FVIII, seguidas de una infusión continua para el primer, segundo y tercer día de 2 UI /kg/hora, equivalentes a 4.000 UI de FVIII en bomba de infusión continua (BIC) en 500 cc de suero fisiológico (SF) a pasar en 24 horas (20 ml/hora). El cuarto, quinto y sexto día 1.5 UI /kg/hora, equivalentes 3.000 UI de FVIII en BIC diluido en 500 cc de SF a pasar en 24 horas. Los días 7, 8 y 9 poscirugía se continuó con 1 UI/kg/hora, 2.000 UI de FVIII en 24 horas por BIC.
No se registraron complicaciones en el intraoperatorio, destacando una muy buena evolución posoperatoria, con excelente resultado a nivel funcional, siendo dado de alta a la semana de la intervención quirúrgica.
Discusión
El pseudotumor hemofílico es básicamente un hematoma encapsulado. Consiste en una colección sanguínea en diferentes etapas de organización rodeada de una cápsula.
Gilbert(8), en 1975, describió dos formas clínico-patológicas de pseudotumor. La primera, el pseudotumor distal, que se desarrolla principalmente en los huesos largos, generalmente en el esqueleto en desarrollo. Esta forma comienza como una expansión intraósea que puede perforar el córtex. El segundo tipo de pseudotumor, llamado proximal, presenta una afinidad por la región pélvica y muslo, comienza su crecimiento en los tejidos blandos pudiendo a continuación destruir las estructuras esqueléticas circundantes. Ocurre más frecuentemente en adultos, son de crecimiento lento y en general no responden al tratamiento conservador.
La localización más frecuente es el muslo, seguido de la pelvis. Otras localizaciones menos frecuentes descritas son: tibia, mandíbula(9), radio, olécranon, huesos de la mano(10), clavícula, órbita e intracerebral. Sin embargo, el pseudotumor puede presentarse en cualquier parte del cuerpo y su severidad dependerá no solamente de su localización y tamaño sino también de las estructuras que comprometa(11-15).
Anatómicamente el pseudotumor contiene tejidos necróticos, sangre y otros tejidos licuefaccionados. Posee una delgada cápsula irrigada por vasos sanguíneos que infunden sangre al pseudotumor, lo que causa un comportamiento expansivo del mismo. Esta masa tumoral puede rodear y envolver estructuras adyacentes como nervios, vasos sanguíneos, uréteres, etcétera. Estas estructuras son incorporadas por el pseudotumor, pero no invadidas, aunque en el análisis anatomopatológico aparecerán como formando parte del mismo. Además tiene la capacidad de producir necrosis por presión en los tejidos circundantes, incluyendo los tejidos óseos.
El diagnóstico precoz del pseudotumor es raro, ya que el lento crecimiento provoca en el paciente solamente un leve disconfort que usualmente no motiva la consulta. Los pseudotumores son en general indoloros, pero cuando producen la compresión de un nervio pueden provocar dolor o síntomas neurológicos. Las fracturas patológicas también pueden generar dolor. La fistulización hacia la piel o el tubo digestivo, o ambos(16), así como la sobreinfección, pueden presentarse como complicaciones. Con el crecimiento progresivo del pseudotumor puede producirse pérdida de la función del miembro involucrado. En algunos pocos casos se ha visto la exanguinación del paciente por la rotura del pseudotumor. Los pacientes con un pseudotumor presentan en general una evolución lenta y estable hasta que en forma brusca muestran una complicación de las mencionadas anteriormente(17).
Los pseudotumores óseos tienen una presentación radiológica variable pero con algunas características comunes: son de naturaleza lítica pero con un margen bien delimitado, aunque en los casos en que son de gran tamaño pueden reemplazar segmentos óseos enteros. Los pseudotumores de tejidos blandos aparecen como una masa inespecífica en las radiografías simples, pudiendo mostrar calcificaciones internas. Puede o no existir compromiso del hueso adyacente(18-20). La ecografía es útil para el diagnóstico y para identificar la extensión de los pseudotumores de tejidos blandos. La TAC y la RNM son más precisas para valorar la extensión, el compromiso óseo y de los tejidos blandos, así como para valorar la implicancia de estructuras vásculo-nerviosas(17). La TAC es particularmente útil en la evaluación del tejido óseo y la RNM es superior para valorar los tejidos blandos y el espacio intramedular. La imagen del pseudotumor en la RNM no es específica pero invariablemente se observa una imagen circunscripta por una cápsula hipodensa con zonas heterogéneas en su interior (en la señal en T1-T2), lo que corresponde a los productos de la sangre en diferentes estadios de degradación.
En pocas ocasiones se ha empleado la angiografía para la valoración de los pseudotumores previo a la cirugía, pero hoy día ha sido suplantada por la TAC y la RNM. Los hallazgos angiográficos confirman la avascularidad del pseudotumor.
El diagnóstico de pseudotumor queda establecido cuando se encuentran hallazgos imagenológicos compatibles en un paciente hemofílico; sin embargo, existen varios diagnósticos diferenciales planteables como ser neoplasias (osteosarcoma, hemangioma, tumor de células gigantes, plasmocitomas, metástasis óseas), osteomielitis, equinocococis y quistes subcondrales.
No existe consenso en la literatura sobre cuál es el tratamiento estándar en el manejo de los pseudotumores. El abordaje por parte de un equipo multidisciplinario es necesario para obtener los mejores resultados. La decisión sobre qué estrategia de tratamiento se debe seguir se basará en las características del pseudotumor –tamaño, localización y relación con estructuras circundantes– así como en la edad del paciente.
En la actualidad la conducta más aceptada es el tratamiento conservador que consiste en la administración del factor en déficit e inmovilización en el caso de los pseudotumores sin complicaciones. La resección quirúrgica se plantea en el caso de las lesiones que persistan o aumenten de tamaño a pesar de la terapia conservadora; cuando la rotura del pseudotumor es inminente; para prevenir la necrosis de la piel; si existe evidencia de compresión neuro-vascular, o para realizar el diagnóstico histológico.
Antes de la introducción de la terapia de reemplazo con el factor en déficit, los pseudotumores eran tratados en forma expectante con consecuencias desastrosas: progresión con compromiso de estructuras vásculo-nerviosas adyacentes, fracturas patológicas, fistulización a piel o tubo digestivo con la consiguiente sobreinfección pudiendo llegar a la sepsis y muerte.
Se ha utilizado la radioterapia para tratar estas lesiones obteniéndose en primera instancia una disminución de las mismas, pero en el seguimiento posterior se constató la persistencia del crecimiento del pseudotumor(20). Algunos autores plantean que la radioterapia tendría cabida como coadyudante del manejo conservador en el caso de los pseudotumores óseos localizados en el cráneo o el sector distal de los miembros, especialmente cuando la resección quirúrgica fuera difícil o imposible de realizar(21-26).
También se ha utilizado la arteriografía con embolización del pseudotumor, pero un único vaso que alimente al mismo es poco frecuente y esta técnica es más útil como complemento, previo a la cirugía, para disminuir el sangrado intraoperatorio(24,27).
El tratamiento percutáneo es un procedimiento menos agresivo que la cirugía, que está indicado en el tratamiento de pseudotumores distales de pequeño tamaño. Consiste en la realización de una pequeña incisión bajo anestesia local, procediendo a la evacuación mediante aspirado o curetaje, o ambos, y el posterior relleno con cola de fibrina (compuesta por partes iguales de crioprecipitado, ácido tranexánico, trombina y gluconato de calcio)(28-31).
La cirugía es el tratamiento más efectivo en los pseudotumores de gran tamaño o que por su localización no son pasibles de tratamiento percutáneo y debe ser realizado en forma precoz. De todas formas es recomendable intentar previamente una terapia de reemplazo con el factor en déficit, con la esperanza de lograr la resolución o al menos detener el crecimiento del pseudotumor. Existen varias propuestas, siendo una de las más aceptadas la de Caviglia(32), que propone que todo paciente reciba una dosis de 50-100 UI/kg/día del factor en déficit durante seis semanas en el adulto y doce en el niño, realizándose posteriormente una nueva RNM. Si el pseudotumor se reduce menos de 50%, la cirugía está indicada. Si la reducción es mayor a 50% se continúa con la terapia de sustitución durante seis semanas más seguido de un nuevo control por RNM. Una reducción de por lo menos 25% indica
que se debe mantener la terapia otras seis semanas con nuevo control imagenológico; en este punto, si el pseudotumor desaparece, se considera curado. Sin embargo, si todavía se encuentra presente se realizará el tratamiento quirúrgico (figura 5).
Es evidente que los niveles del factor en déficit deben ser cuidadosamente monitorizados en los pacientes sometidos a cirugía. Es recomendable que los niveles de factor se mantengan al 100% el día de la cirugía y por los tres primeros días de posoperatorio, luego 50% por dos semanas y en las seis semanas subsiguientes en niveles de 30%-50%, dependiendo de la evolución.
El tratamiento quirúrgico deberá ser individualizado para cada paciente, pero consistirá básicamente en cuatro pasos: apertura de la cavidad, lavado, aspirado y relleno con diferentes productos dependiendo de la localización y tamaño del pseudotumor (hidroxiapatita, injerto óseo, colágeno, “cola de fibrina”, Spongostan®, etcétera.)(21,33,34).
El paciente debe comenzar la fisioterapia tan pronto como sea posible, primero con ejercicios isométricos y luego con ejercicios isotónicos, asistidos, cuidadosos y progresivos de acuerdo con la evolución del paciente(35).
Se deben utilizar analgésicos que no afecten la coagulación, por ejemplo paracetamol, u opioides como el tramadol.
Abstract
Haemophilic pseudotumor is a rare complication in haemophiliacs and it consists of an encapsulated hematoma that gradually grows in size. The study presents the clinical case of a 17 year old patient who had a pseudotumor of the thigh, which was completely resected through surgical treatment. The pathogenesis, paraclinical studies and current treatment of the haemophilic pseudotumor are discussed. The study emphasizes on the importance of early diagnosis which allows for a planned and timely treatment that results in a reduction of the morbi-mortlity of this unusual, though important, complication of haemophilia.
Resumo
O pseudotumor hemofílico, um hematoma encapsulado com crescimento progressivo, é uma complicação pouco frequente da hemofilia. Apresenta-se o caso clínico de um paciente de 17 anos de idade, com um pseudotumor na coxa, que foi totalmente ressecado por cirurgia. Discute-se a etiopatogênese, os exames de laboratório e a terapêutica atual. Destaca-se a importância do diagnóstico precoce para realizar um tratamento programado e oportuno, que permite diminuir a morbimortalidade por esta rara, mas importante complicação da hemofilia.
Bibliografía
1. Fernández De Valderrama JA, Spain M, Matthews JM. The haemophilic pseudotumor or haemophilic subperiosteal haematoma. J Bone Joint Surg Br 1965; 47:256-65.
2. Ahlberg AK. On the natural history of hemophilic pseudotumor. J Bone Joint Surg Am. 1975; 57(8):1133-6.
3. Rodriguez-Merchan EC, Goddard NJ. Muscular bleeding, soft-tissue haematomas and pseudotumours. En: Rodriguez-Merchan EC, Goddard NJ, Lee CA, eds. Musculoskeletal aspects of haemophilia. Oxford: Blackwell Science, 2000: 85–91.
4. Heim M, Martinowitz U. Pseudotumors in patients with hemophilia. En: Lee CA, Berntorp E, Hoots K, eds.Textbook of hemophilia. 2 ed. Chichester, West Sussex : Wiley Blackwell, 2010:187-90.
5. Starker L. Knochenusur durch ein haemophiles subperiostales haematoma. Mittl Grenzgeb Med Chir 1918; 31:381-415.
6. Rodriguez-Merchan EC. Haemophilic cysts (pseudotumours). Haemophilia 2002; 8(3):393–401.
7. Heim M, Martinowitz U. Pseudotumors in patients with haemophilia. En: Lee CA, Berntorp E, Hoots K, eds.Textbook of hemophilia. 2 ed. Chichester, West Sussex. Wiley Blackwell, 2010:187-190
8. Gilbert MS. Characterizing the hemophilic pseudotumor. Ann N Y Acad Sci 1975; 240:311-5.
9. Uriza LF, Berdugo A, Partija RT, Blanco G. Pseudotumor hemofílico: reporte de caso. Univ Méd 2006; 48(1):71-4.
10. Gómez JC. Pseudotumor hemofílico: reporte de caso clínico. Rev Mex Ortop Pediatr 2007; 9(1):25-8.
11. García Pérez R, Torres Salmerón G, Sánchez Bueno F, García López A, Parrilla P. Pseudotumor hemofílico intraabdominal: a propósito de un caso. Rev Esp Enferm Dig 2010; 102(4):275-80.
12. Hatzipantelis ES, Athanassiou-Metaxa M, Koussi A, Tsatra I, Badouraki M,Tsayias I, et al. Tibial pseudotumor in a child with hemophilia. Pediatr Hematol Oncol 2007; 24(8):623-30.
13. Conde F, Lazo E, Lourido J, Domínguez J. Pseudotumor hemofílico craneal: caso clínico. Neurocirugía 2006; 17(2):158-61.
14. van Ommeren JW, Mooren DW, Veth RP, Novakova IR, van de Kaa CA. Pseudotumor occurring in hemophilia. Arch Orthop Trauma Surg 2000;1207-8):476-8.
15. Moreno LA, Montoya R, Carrillo MC. Pseudotumor hemofílico. Rev Colomb Radiol 2006; 17(4):2051-4.
16. Alper Kilic Y, Dundar S, Onat D, Akhan O. Iliopsoas hemophilic pseudotumor with bowel fistulization. Bratisl Lek Listy 2009; 110(11):729-31.
17. Stafford JM, James TT, Allen AM, Dixon LR. Hemophilic pseudotumor: radiologic-pathologic correlation. Radiographics 2003; 23(4):852-6.
18. Park JS, Ryu KN. Hemophilic pseudotumor involving the musculoskeletal system: spectrum of radiologic findings. AJR Am J Roentgenol 2004; 183(1):55-61.
19. Santos M Koenigkam, Polezi M Basso, Engel E Eduard, Pastorello M Tempest, Simão M Novelino, Elias J, et al. Uncommon presentations of intraosseous hemophilic pseudotumor in imaging diagnosis. Radiol Bras 2009; 42(3):159-63.
20. Wong IK, Munk PL, Kelly MJ. Hemophilic pseudotumor. Eurorad Radiological Case Database. Feb 14 2010. Disponible en : http://www.eurorad.org/eurorad/case.php?id=8055. [Consulta: marzo 2014]
21. Ishiguro N, Iwahori Y, Kato T, Ito T, Kojima T, Takamatsu J, et al. The surgical treatment of a haemophilic pseudotumour in an extremity: a report of three cases with pathological fractures. Haemophilia 1998; 4(2):126-31.
22. Gilbert MS, Forster A, Tariq Sohail M. A Rational approach to the treatment of hemophilic blood cyst (pseudotumor) in patients with inhibitors. En: Tariq Sohail M, Shamsi T, eds. Orthopedic management of patients with hemophilia in developing countries. Karachi (Pakistán): Ferozsons (Pvt.), 2010:169-74.
23. Brant EE, Jordan HH. Radiologic aspects of hemophilic pseudotumors in bone. Am J Roentgenol Radium Ther Nucl Med 1972; 115(3):525-39.
24. Espandar R, Heidari P, Rodriguez-Merchan EC. Management of haemophilic pseudotumours with special emphasis on radiotherapy and arterial embolization. Haemophilia 2009; 15(2):448-57.
25. Nongrum B, Srinivasan R, Pandian DG, Gupta A, Krishnan M. Role of radiotherapy in hemophilic pseudotumor of the orbit. Orbit 2008; 27(5):377-9.
26. Kang JO, Cho YJ, Yoo MC, Hong SE. Hemophilic pseudotumor of the ulna treated with low dose radiation therapy: a case report. J Korean Med Sci 2000;15(5):601-3.
27. Pisco JM, Garcia VL, Martins JM, Mascarenhas AM. Hemophilic pseudotumor treated with transcatheter arterial embolization: case report. Angiology 1990; 41(12):1070-4.
28. Fernández-Palazzi F, Chakal F, Viso R. Percutaneous treatment of hemophilic cysts using “Fibrin Glue”. En: Caviglia HA, Solimeno LP, eds. Orthopedic surgery in patients with hemophilia. Milan: Springer-Verlag Italia, 2008: 225-34.
29. Caviglia H. Percutaneous treatment of hemophilic pseudotumors. J Bone Joint Surg Br 2008; 90-B(suppl 2):241.
30. Caviglia HA, Galatro G, Vatani N. Percutaneous treatment of hemophilic pseudotumors. En: Caviglia HA, Solimeno LP, eds. Orthopedic surgery in patients with hemophilia. Milan: Springer-Verlag Italia, 2008:249-56.
31. Caviglia HA, Fernández Palazzi F, Galatro G, Pérez Bianco R, Gilbert MS. Percutaneous treatment of haemophilic pseudotumours. En: Rodríguez-Merchan EC, Goddard NJ, Lee CA. Musculoskeletal aspects of haemophilia. Oxford: Blackwell Science, 2000:97-104.
32. Caviglia HA, Pérez Bianco R, Tezanos Pinto M. Algoritmos terapéuticos de las complicaciones musculoesqueleticas en hemofilia. Buenos Aires: Librería Akadia, 2006.
33. Rodríguez-Merchan EC, Goddard NJ. Muscular bleeding, soft-tissue haematomas and pseudotumours. En: Rodríguez-Merchan EC, Goddard NJ, Lee CA. Musculoskeletal aspects of haemophilia. Oxford: Blackwell Science, 2000:85-91.
34. Heim M, Luboshitz J, Amit Y, Martinowitz U. The Management of giant haemophilic pseudotumours. En: Rodríguez-Merchan EC, Goddard NJ, Lee CA. Musculoskeletal aspects of haemophilia. Oxford: Blackwell Science, 2000:105-11.
35. Navarro Monsoliu R, Querol Fuentes F. Rehabilitación de los hematomas musculares en los pacientes hemofílicos. Rehabilitación 2005; 39(2):59-65.













