Introducción
El síndrome carcinoide es un síndrome paraneoplásico que se presenta en tumores neuroendocrinos. Es una entidad infrecuente, se da en entre el 10 y el 30% de los tumores neuroendocrinos que a su vez se presentan en una incidencia muy baja en la población general: en torno a 2.7 casos por cada 100.000 personas. 1,2,3
Los tumores neuroendocrinos pueden aparecer en cualquier edad, los bronquio-pulmonares como el caso presentado suelen ser más frecuentes en la quinta década de vida. 2
Su localización más frecuente es en el intestino (predominantemente delgado) y en páncreas aunque también se pueden presentar en otros órganos como bronquios y pulmones, gónadas, timo o hasta mama. 2
El síndrome carcinoide suele ser la primera manifestación de la enfermedad 1,2 y consta de varios signos y síntomas generados por la producción de serotonina y otras sustancias por parte de estos tumores, como la bradiquininia y prostaglandinas. 3,4
Los síntomas más frecuentes son los sofocos o tuforadas (flushing), la diarrea crónica intermitente y el broncoespasmo 1,2,3. La afectación cardíaca del síndrome carcinoide es infrecuente, se conoce como síndrome de Hedinger y se caracteriza por la presencia de depósitos de tejido fibroso predominantemente en válvulas de corazón derecho, aunque también puede presentarse en corazón izquierdo. 5,6
El diagnóstico del síndrome carcinoide se basa en la clínica y se confirma con marcadores analíticos como el 5 hidroxiindolacético en orina, 1,2 la afectación cardíaca se suele evidenciar mediante ecocardiografía en el que es muy frecuente la afectación trivalvar de la tricuspidea, visualizándose engrosadas. 6
Una vez diagnosticado el síndrome carcinoide es fundamental encontrar el tumor primario mediante estudios de imagen y posteriormente lograr un diagnóstico anatomo patológico mediante biopsias. 1,2,3
Dependiendo de la localización, la estadificación, la clínica y el terreno del paciente se va a definir un tratamiento, el mismo por su complejidad debe ser guiado por un equipo multidisciplinario. El tratamiento definitivo es la resección quirúrgica completa, existiendo además otros tratamientos que deben ser individualizados según el paciente. Para el manejo sintomático del síndrome carcinoide se utilizan los análogos de la somatostatina como el octreotide.
El pronóstico es muy heterogéneo y depende de múltiples variables, en un tumor de crecimiento lento, la sobrevida puede superar los 10 años, aunque en caso de tener compromiso cardíaco la misma se ve considerablemente disminuida. (1
Es fundamental la alta sospecha clínica para reconocer las características de este síndrome en vistas a realizar un diagnóstico precoz y adecuado. A continuación, presentamos el caso de una paciente con un tumor neuroendocrino bronquio pulmonar que se presentó con un síndrome carcinoide con afectación cardíaca.
Caso clínico
Sexo femenino, de 42 años. Hermana de 26 años con diagnóstico de neoplasia de páncreas de estirpe endocrina en estudio. Comenzó tres años previos a la consulta, con episodios de diarrea y dolor abdominal. Concomitante algunos episodios de sofocos con rubor y calor facial intermitentes de corta duración, sin fiebre. No presentó síntomas respiratorios ni repercusión general. De la valoración en dicha oportunidad se destaca examen físico normal y tomografía computada (TC) de abdomen sin alteraciones.
Consultó porque en el último año presentaba edemas de miembros inferiores, disnea de esfuerzo, disnea de decúbito y palpitaciones. Persistía con diarreas y episodios de rubor facial.
Al examen físico se destacaba un buen estado general y la presencia de un soplo sistólico en foco mitral con edemas de miembros inferiores que dejaban Godet.
Analítica sanguínea básica normal.
Electrocardiograma (ECG): Ritmo sinusal de 90 cpm. Onda P normal. PR 0,16 seg. BIRD. Repolarización normal.
Registro Holter: Extrasistoles supraventriculares frecuentes.
Dosificación de Pro BNP: 1.133 pg/ml
Ecocardiograma transtorácico (ETT): FEVI 65%, estenosis mitral de grado moderado (área 1,2 cm2, gradiente máximo 7 mmHg, gradiente pulmonar 14 mmHg), válvulas tricuspídeas engrosadas con insuficiencia severa, PSAP 47 mmHg. Cavidades derechas dilatadas.
Con planteo inicial de valvulopatía por enfermedad reumática, se comenzó tratamiento fisiopatológico. Presentó mala evolución, con peoría sintomática.
A los 6 meses se realizó Ecocardiograma transesofágico (ETE): FEVI 60%. Válvula mitral de aspecto reumático con estenosis severa (0,9 cm2). Válvula tricúspide con velos engrosados, retraídos e hipomóviles IT masiva. Figura 1.

Figura 1: A: Ecocardiograma Transesofágico. Insuficiencia tricúspide masiva. B: Planimetría 3D de Válvula mitral.
Por las características ecográficas e historia clínica previa, se plantea Cardiopatía Carcinoide.
Para confirmar el planteo de síndrome carcinoide, se realizó dosificación de ácido 5 hidroxiindolacético (5-HIAA) en orina: 22,3 mg/24 hs (valores normales entre 2 y 10 mg/24horas) y Serotonina en sangre 1.530 ng/ml (normal menor a 230 ng/ml).
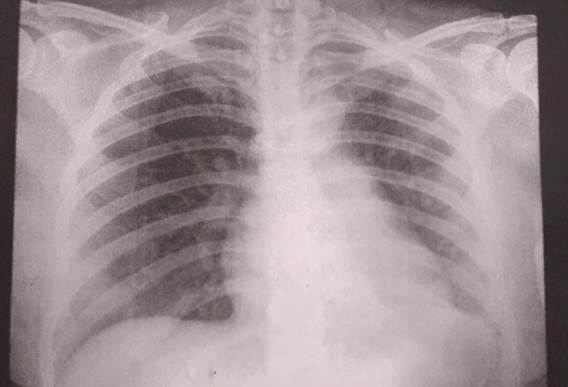
Para el estudio etiológico, se solicitó radiografía de tórax que mostró arteria pulmonar prominente, fondo de saco costo diafragmático izquierdo borrado, doble contorno con sospecha de atelectasia lobar inferior izquierda. Figura 2.
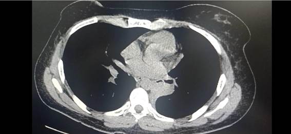
TC cuello, tórax, abdomen y pelvis: Atelectasia del lóbulo inferior izquierdo con obstrucción del bronquio lobar inferior próximo a su origen. Sin adenopatías.Figura 3.
Fibrobroncoscopía: mostró obstrucción del bronquio lobar inferior izquierdo, se realizó biopsia transbrónquica. Anatomía patológica confirmó una neoplasia neuroendocrina con inmunohistoquímica positiva para cromogranina, sinaptofisina y CD56.Figura 4.

Figura 4: A Tinción de hematocilina. Células en patrón insular, rodeadas por delicados tractos conuntivo-vasculares. B Cromogranina, C Sinaptofisina, D CD56. B,C y D Técnicas neuroendócrinas.
Se realizó tratamiento con octreotide con mejoría clínica, mejorando los sofocos y la diarrea, se normalizaron los valores de 5-HIAA.
Con una estadificación pre quirúrgica IA se realizó con fines curativos una neumonectomía izquierda en primer tiempo buscando disminuir carga tumoral y riesgo de segunda cirugía. Posteriormente, una vez recuperada de la primera cirugía, a los 3 meses se realizó doble recambio valvular mitral y tricuspídea con prótesis biológicas, sin complicaciones. Como hallazgo intra-operatorio las válvulas afectadas estaban engrosadas y retraídas.
A los 6 meses se realizó Tomografía de Emisión de Positrones (PET) que evidenció adenopatía latero traqueal izquierda de 14x19 mm de diámetro, con receptores de somatostatina. Se comenzó tratamiento de radioterapia que está actualmente recibiendo.
La paciente se encuentra asintomática en lo cardiorrespiratorio con una buena capacidad funcional, ha presentado episodios de flutter auricular el cuál se manejó con amiodarona y se encuentra anticoagulada con rivaroxaban. Los valores de 5-HIAA se encuentran en valores normales.
Es fundamental destacar el seguimiento multidisciplinario en esta paciente, actualmente es controlada regularmente por parte de medicina interna, cardiología, oncología y psicología médica pero previamente también fue valorada por anestesia, cirugía cardíaca, cirugía de tórax y neumología.
Discusión
Los tumores carcinoides son tumores neuroendocrinos derivados de células procedentes del intestino embrionario. Son de crecimiento lento y de baja incidencia, en torno a 2,7 casos por cada 100.000 personas. 2 Su forma de presentación es muy variada y en general insidiosa, se estima que desde el inicio de los síntomas hasta el diagnóstico transcurren en promedio 5 años.
Se presentan de forma esporádica o asociados a síndromes hereditarios como MEN 1 y MEN 2, enfermedad de Von Hipple-Lindau, esclerosis tuberosa y neurofibromatosis. (2)
En este caso se destaca el antecedente familiar de primer grado de una neoplasia neuroendocrina pancreática de inicio en el joven. Hasta la fecha no se ha encontrado una asociación con un síndrome hereditario en particular.
El síndrome carcinoide es un síndrome paraneoplásico generado por la producción de serotonina (5-hidroxitriptamina) y otras sustancias secretadas por parte de estos tumores. Se han descrito aproximadamente 40 distintas proteínas asociadas con el síndrome carcinoide como la 5 hidroxiindolacético, cromogranina A, bradiquinina, prostaglandinas E y F, sustancia P, kalikreina. 3,4
Se presenta entre el 10 y el 20% de los pacientes con tumores neuroendócrinos. 1,2,7
Es un síndrome con un amplio espectro clínico, la forma de presentación depende de la localización y del tamaño del tumor, así como de las sustancias que éste produzca.
Dentro de los tumores neuroendocrinos los más asociados con el síndrome carcinoide son aquellos originados en los órganos que se desarrollan a partir del intestino medio embrionario (intestino del duodeno 3 al colon transverso), las gónadas o los pulmones.1 Los tumores del intestino proximal no presentan la enzima que metaboliza el 5 hidroxitriptofano en serotonina, los tumores del intestino distal no suelen secretar hormonas activas y si las producen suelen ser metabolizadas por el hígado al entrar en la circulación portal (excepto aquellos con hígado metastásico o cirrótico).1,3,8 Los tumores gonadales o pulmonares secretan directamente a la circulación sistémica por lo que si bien tienen menor incidencia en la población general, suelen estar más frecuentemente acompañados del síndrome carcinoide. Tal es el caso de la paciente en el que las sustancias secretadas en el tumor bronquial llegaban directamente al corazón derecho y posteriormente a la circulación sistémica. (1,3
Los síntomas más frecuentes son los sofocos o tuforadas (flushing) que se presentan en el 90% de los pacientes; son episodios autolimitados de rubor y calor predominantemente en cara y tronco que en general duran pocos minutos y pueden ser desencadenados por el ejercicio, el estrés o la ingesta de ciertos alimentos (sobre todo los ricos en tiramina) 1,9. La diarrea se presenta en cerca del 70%, 3,10,11 es esporádica y se acompaña de dolor abdominal leve por lo cual no suele motivar la consulta de los pacientes. Tanto la diarrea como las tuforadas fueron los síntomas iniciales presentados en éste caso. Otros elementos menos frecuentes son el broncoespasmo en paciente sin antecedente de enfermedad respiratoria 3 y la pelagra cuya fisiopatología deriva del consumo exacerbado de triptófano para la producción de serotonina por estos tumores, por lo que se disminuye la producción de niacina. 1,3
La afectación cardíaca del síndrome carcinoide es infrecuente y se conoce como síndrome de Hedinger. (5 Se caracteriza por depósitos en placas de tejido fibroso predominantemente en estructuras del corazón derecho (válvula tricúspide, válvula pulmonar, arteria pulmonar, vena cava y seno coronario),6 la afectación del corazón izquierdo es muy infrecuente y se relaciona con pacientes con shunts interauriculares, con enfermedad prolongada o con patología pulmonar, como en éste caso, probablemente debido a que las sustancias vasoactivas se inactivan en su paso a través de la circulación pulmonar. 12
La lesión valvular fibrosante se inicia en el endocardio de las cúspides valvulares, pero puede afectar al aparato subvalvular y los músculos papilares, produciendo estenosis y/o insuficiencia valvular. (6 En el 90% de los síndromes de Hedinger hay afectación de las tres válvulas de la tricúspide lo cual condiciona una posición permanente de “semiapertura” valvular, resultando en insuficiencia y/o estenosis, con posterior sobrecarga de ventrículo (90%) y aurícula derecha (100%). El rol del ecocardiografísta en el diagnóstico de cardiopatía carcinoide fue fundamental en ésta paciente.
Otra manifestación que interesa destacar por su alta mortalidad son las crisis carcinoides, que se manifiestan como episodios bruscos de hiperglicemia, rubefacción, hipertensión o hipotensión, taquiarritmias y broncoespasmo refractario que se producen sobre todo en el peri-operatorio al manipular el tumor tanto al biopsiar o resecar. En los casos en los que se conoce previamente la naturaleza del tumor es importante intentar prevenirlo, lo cual se logra realizando tratamiento previo y peri-operatorio con análogos de somatostatina, como se indicó en ésta paciente previo a ambas cirugías. (1,13,14
El diagnóstico de síndrome carcinoide se basa en la clínica y la analítica. Los principales marcadores son la 5 hidroxiindolacético en orina (metabolito de la serotonina) el cual cuando es determinado en 24 horas tiene una sensibilidad del 73% y una especificidad del 100% 4,15 y la cromogranina A que tiene mayor sensibilidad y es útil para evaluar la respuesta al tratamiento. 1,16 Otros test como la concentración de serotonina o de 5 HIAA en sangre no suelen tener buen rendimiento. El octreoscan (estudio imagenológico con gammagrafía en el que se marcan receptores de somatostatina, expresados en tumores neuroendócrinos) y otros estudios imagenológicos como la tomografía computada son útiles para buscar el tumor que origina el síndrome carcinoide. 17 El diagnóstico definitivo del tumor neuroendocrino es anátomo patológico.
El tratamiento es complejo. Consta de dos grandes pilares: el tratamiento del síndrome carcinoide y el tratamiento de la enfermedad de base. Para el síndrome carcinoide y su manejo sintomático se utilizan análogos de la somatostatina como el octreotide, la sandostatina o lanreotide. También se ha visto que estos fármacos pueden tener actividad antitumoral. (1, 14) Los tumores neuroendocrinos son de resolución quirúrgica, siendo el objetivo la resección completa. Incluso en ciertos pacientes con metástasis hepáticas o ganglionares se puede plantear un tratamiento quirúrgico pretendidamente curativo. Existen dependiendo de la localización y la estadificación del tumor diferentes quimioterapias o tratamientos médicos que pueden reducir el tumor, aunque raramente logran eliminarlo por sí solas. Las guías de la ENETS (European Neuroendocrine Tumor Society) recomiendan un tratamiento individualizado dado la heterogeneidad de los pacientes y las múltiples herramientas terapéuticas que están disponibles. Dentro de las mismas están los ya mencionados análogos de la somatostatina, el interferón alfa, algunas terapias dirigidas como el everolimus y el sunitinib y los quimioterapicos sistémicos. Los quimioterápicos se utilizan en general en tumores pancreáticos o enfermedades avanzadas o que progresan bajo ciertas condiciones y marcadores histopatológicos. Algunos de los que se utilizan son la doxorubicina, la capecitabina o el cisplatino. 14
Los tumores bronquiales como el de nuestro paciente son especialmente poco sensibles a las quimioterapias. La radioterapia es otra herramienta que se puede plantear sobre todo en el post operatorio de tumores en los cuales no se logró resección completa, como en el caso de nuestra paciente, o de forma paliativa en algunos tumores óseos. 18 La indicación de otros tratamientos depende del compromiso de la enfermedad, en éste caso la gravedad de su cardiopatía carcinoide requirió de cirugía de recambio valvular.
Dado la complejidad del tratamiento es imprescindible su planificación por parte de un equipo multidisciplinario integrado por oncología, cirugía y medicina interna. Dependiendo de cada paciente también suelen ser fundamentales cardiología, neumología, gastroenterología, psicología médica y en muchas ocasiones un equipo de cuidados paliativos, siendo muy importante su aporte desde etapas tempranas de la enfermedad.
En cuanto al pronóstico es muy heterogéneo. En general los tumores neuroendocrinos son de lento crecimiento, con una media de sobrevida de 10 años. En pacientes con la enfermedad carcinoide cardiaca se reduce a un promedio de 4 años. 19 En nuestra paciente el pronóstico vital está supeditado a la evolución del ganglio residual y a la eventual aparición de otros tumores teniendo en cuenta la posible asociación con un síndrome genético.
Por la franca peoría del pronóstico en caso de enfermedad carcinoide cardíaca establecida, se justifica el cribado anual con biomarcadores como el NT-proBNP en todos los pacientes con tumores neuroendocrinos que tienen elementos de síndrome carcinoide, con o sin enfermedad metastásica aún en ausencia de síntomas cardiovasculares.20 En casos de compromiso cardiaco confirmado o con valores elevados NT-proBNP el consenso europeo de tumores neuroendocrinos recomienda la realización anual de ecocardiograma. 20)
Conclusiones
El síndrome carcinoide es una entidad infrecuente, cuya importancia radica en que suele ser inicialmente indolente y la única manifestación de una enfermedad oncológica, que diagnosticada en estadios precoces es potencialmente curable.
Es necesario tener un alto nivel de sospecha clínica ante la aparición de síntomas sugestivos para evitar el retraso diagnóstico. La cardiopatía carcinoide secundaria a tumores neuroendocrinos es poco frecuente, pero particularmente distintiva en los tumores bronquio pulmonares, y debe ser tenida en cuenta frente a patología valvular fundamentalmente de corazón derecho.
















