Introducción
Hay una variedad de manifestaciones neurológicas descriptas en los estados hiperglicémicos no cetósicos, dentro de los que se encuentran la alteración del estado de conciencia, crisis epilépticas, déficits focales neurológicos, las disquinesias y el coma.1,2
La estriatopatía diabética se refiere a un síndrome clínico- imagenológico dado por corea-balismo y aumento de señal estriatal en la imagen, ya sea Tomografía (TC) o Resonancia Magnética (RM) de cráneo. 1-8
Se cree que es una complicación rara y subdiagnosticada de la diabetes.5 Si bien no se han hecho estudios epidemiológicos, se ha reportado una prevalencia estimada menor a 1/100.000 habitantes.6
Presentamos dos casos de estriatopatía diabética que fueron ingresados en el Hospital de Clínicas, con sus respectivas imágenes, a partir de los cuales realizamos una breve revisión de la literatura.
Caso clínico 1
Paciente de sexo femenino de 76 años, mal medio socioeconómico. Como antecedentes personales se trataba de una ex tabaquista, hipertensa, diabetes melitus insulinorrequiriente, con múltiples repercusiones (retinopatía diabética, cataratas, glaucoma, síndrome de Burns Garland con paresia secuelar de miembro inferior izquierdo y polineuropatía distal de miembros inferiores (MMII). Mal control metabólico con irregular tratamiento.
Comienza 3 días previos a la consulta con movimientos anormales de miembro superior e inferior derechos, de aparición brusca, involuntarios que cesan durante el sueño.
Al examen se destacaba, hemicorea derecha con compromiso facial homolateral, presentaba una glicemia capilar al ingreso de 302 mg/dl.
De la valoración paraclínica se obtuvo una glicemia venosa 246 mg/dl con cetonemia negativa, y una hemoglobina glicosilada (HbA1c) de 14,8%. Del resto de la paraclínica en sangre destacamos un sodio de 135 mEq/lt, magnesio de 2,2 mg/dl, calcio total de 8,9 mg/dl, anticuerpos antinucleares (ANA) negativo, serología virus inmunodeficiencia humana (HIV) negativo, dosificación de hormona tiroidea (TSH) 1,66m UI/Lt (dentro de valores normales), plaquetas 230 mil/mm3.
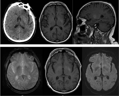
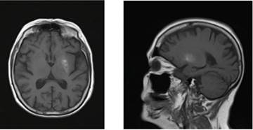
Se realizó una TC de cráneo sin elementos de isquemia aguda ni sangrados, mientras que la RM de cráneo evidenció una hiperintensidad a nivel del putamen izquierdo en la secuencia T1. Figura 1.
Con planteo de estriatopatía diabética se inició la corrección de la glicemia, y tratamiento sintomático de la corea con benzodiacepinas y haloperidol, con reversión total de la misma.
La paciente debe ser reingresada luego del alta por continuar con mal control metabólico vinculado al no cumplimiento del tratamiento con insulina, y reaparición de los movimientos anormales. Es dada de alta nuevamente, luego de un ajuste del tratamiento, persistiendo con discreta hemicorea.
Caso clínico 2
Paciente de sexo masculino de 67 años. Antecedentes personales de hipertensión arterial, diabetes mellitus tipo 2, sin repercusiones macro ni microangiopáticas. Mal control metabólico las semanas previas al ingreso.
Consultó por cuadro de 48 horas de evolución dado por movimientos anormales de hemicuerpo derecho, de aparición brusca.
Al examen se constata hemicorea derecha con paraquinesias e hipotonía homolateral, con fuerzas conservadas. Presentaba glicemia capilar al ingreso 260 mg/dl, una glicemia venosa de 192 mg/dl y una hemoglobina glicosilada (HbA1c) de 14,9 %. Se constató además una hiponatremia leve de 132 mEq/lt, y plaquetas de 273mil/mm3.
La TC de cráneo evidenció una leve hiperdensidad gangliobasal izquierda, que se correspondió con una hiperintensidad en el putamen izquierdo en T1 en la RM de cráneo. Las secuencias de ecogradiente y difusión en la RM no mostraron alteraciones, apoyando el planteo de estriatopatía diabética. Figura 2.

Figura 2: Tomografía computada (TC) y Resonancia magnética (RM) de cráneo. En la fila superior se muestra un corte axial de TC de cráneo y cortes axial y sagital en T1 (RM). En la fila inferior se muestran cortes axiales de secuencia ecogradiente, T1 y difusión (en orden de izquierda a derecha).
Logró mejoría clínica discreta con el control metabólico, empeorando nuevamente en la evolución y requiriendo uso de neurolépticos (tiapridal y haloperidol). En los controles posteriores en policlínica mantuvo los movimientos anormales, por lo que se realizó prueba terapéutica con tetrabenazina, presentando como efecto adverso depresión mayor que llevó a la suspensión de la misma. No fue posible suspender el tratamiento neuroléptico, dada la persistencia de movimientos coreicos severos y discapacitantes.
Discusión
La estriatopatía diabética, también conocida como corea asociada a hiperglicemia no cetósica, o síndrome de corea-hiperglicemia-gangliobasal 4,5, es una complicación rara de la diabetes.
Clínicamente puede presentarse como hemicorea o como corea generalizada, de instalación aguda. Es más frecuente en la diabetes tipo 2 2. Se ha documentado clásicamente en mujeres añosas de descendencia asiática, con diabetes tipo 2 y estado hiperglicémico hiperosmolar no cetósico.6 Sin embargo, en los últimos años también se han descrito casos de estriatopatía diabética en pacientes no asiáticos, de sexo masculino, jóvenes, con diabetes tipo 1 y cetoacidosis.2,6 Incluso, Sato et al reportaron un caso de alteración de conciencia en un contexto de hiperglicemia, sin movimientos anormales, con neuroimagen compatible con estriatopatía diabética.7
Con respecto al descontrol metabólico, una revisión sistemática de la literatura evidenció que estos pacientes se presentan con una glicemia plasmática promedio de 414 mg/dl y una hemoglobina glicosilada (HbA1c) promedio de 13,1%. 6) Si bien la glicemia en los casos reportados en este artículo, no fue tan elevada, sobre todo en lo que respecta al segundo caso, las HbA1c de 14,8 (caso 1) y 14,9% (caso 2), evidenciaron el muy mal control metabólico en ambos pacientes.
Por otro lado, se han reportado algunos casos que la aparición de corea puede retrasarse de 1 a 4 semanas luego del episodio hiperglicémico, a pesar del descenso de la glicemia.8 Incluso puede manifestarse en pacientes diabéticos con leve alteración de la glicemia.1
En estos pacientes, diabéticos con presentación de corea (por lo general hemicorporal) aguda, el principal diagnóstico diferencial es la patología vascular cerebral, la cual lleva una valoración etiológica, tratamiento y pronóstico que difieren de la estriatopatía diabética. Para ello es importante la adquisición rápida de una neuroimagen, siendo la RM de mayor sensibilidad 9) y especificidad. Como en el caso del primer paciente, en el cual la TC de cráneo fue normal y en cambio la RM evidenció una clara lesión a nivel estriatal.
Con respecto a otras causas metabólicas de corea, que pueden tener presentación aguda, aunque habitualmente bilateral, es importante descartar el hipertiroidismo, hipo o hiperparatiroidismo, hipo o hipernatremia, hipocalcemia, y uremia.10 Otras causas de corea como la presencia de HIV, la policitemia vera, enfermedades autoinmunes sistémicas,10 se deben valorar según el contexto clínico.
La neuroimagen en la estriatopatía diabética, característicamente muestra aumento de señal en el núcleo estriado, tanto en la TC como en la secuencia T1 en la RM, con la correspondiente hipointensidad en secuencias T2.1-6 Dicho cambio de señal generalmente es contralateral con respecto a la corea, pudiendo presentarse en algunos pacientes de forma bilateral.6)
La secuencia de Susceptibilidad Magnética (SWI) permite descartar que dicha hiperintensidad en T1 sea secundaria a un sangrado.
Existen unos pocos casos reportados de pacientes con planteo de estriatopatía diabética, sin alteración de señal en la neuroimagen.9 Se plantea que el aumento de señal mencionado, es debido a infiltración de macrófagos cargados de lípidos y a acumulación y activación fagocítica de la microglía.1 Pueden evidenciarse también microhemorragias.1,6) Dentro del núcleo estriado, el putamen es el más frecuentemente afectado (78,6%), seguido por el núcleo caudado (47,6%) y el globo pálido (27,8%).6)
Nuestros pacientes se presentaron ambos con hiperintensidad de señal en T1 en el putamen izquierdo, concordando con dicha predilección.
El mecanismo fisiopatológico exacto de la estriatopatía diabética es desconocido. La hipótesis fisiopatológica, es que en el estado hiperglicémico hiperosmolar, se produce un insulto metabólico, con un cambio del metabolismo aeróbico al anaeróbico, produciéndose una depleción de GABA a nivel del Sistema Nervioso Central (por aumento de su metabolismo), y generando desinhibición del tálamo, con los consecuentes movimientos hiperkinéticos.6) Sumado a esto, se propone en otras hipótesis, que la hiperglicemia, la hiperviscosidad sanguínea y la vasculopatía similar a la retinopatía diabética, generarían hipoperfusión tisular.1 El núcleo estriado sería particularmente vulnerable a estos cambios metabólicos.2) Por otro lado se plantea que en las mujeres postmenopáusicas (en las cuales se concentran la mayoría de los casos), hay una caída de los receptores de estrógenos, aumentando la sensibilidad de los receptores dopaminérgicos del sistema nigroestriatal dopaminérgico, resultando en corea.4
Esta entidad, se caracteriza por ser reversible en la mayoría de los casos, con una correcta hidratación y el tratamiento específico de la hiperglicemia.1-8) Algunos pacientes requieren de uso de otras drogas para tratamiento sintomático mientras se logra la euglicemia.2,6 Dichas drogas son depletores dopaminérgicos presinápticos (tetrabenazina, reserpina), bloqueadores de receptores dopaminérgicos posinápticos (antipsicóticos típicos como el haloperidol, y atípicos como la olanzapina, risperidona, quetiapina y clozapina), y otros como los inhibidores de la recaptación de serotonina (escitalopram) . También se pueden utilizar drogas gabaérgicas (clonazepam).6
La resolución clínica completa es característica,2 especialmente con la instauración precoz del tratamiento.5 El tiempo puede ser variable, en días o meses.2,6 Los cambios de señal en la neuroimagen también son reversibles en la evolución, en promedio 180 días para la RM.6
Se ha reportado un porcentaje de recurrencia cercano al 20%,6 por lo que es importante establecer un seguimiento cercano de estos pacientes. Por otro lado, si la glicemia no es corregida a tiempo, se puede generar un daño estructural permanente, con atrofia del núcleo caudado y persistencia de la corea.3
Ambos casos presentados en este artículo, tienen la particularidad de que no lograron la mejoría completa. Creemos que la causa de la no mejoría total en el primer paciente fue la persistencia del mal control metabólico al alta, por lo que se mantuvo el mecanismo fisiopatológico de injuria al estriado. Mientras que el segundo caso presentó una mejoría inicial al lograr un adecuado control metabólico, presentando luego una peoría sintomática, no quedando clara la causa. Se debería buscar una explicación alternativa a la persistencia de la corea en el caso 2 (por ejemplo la posibilidad de daño estructural permanente o citar bibliografía de pacientes que no hayan revertido o posibilidad de que revierta-mejore en el futuro: mejoría tardía)
Conclusiones
Presentamos dos casos de hemicorea causada por estriatopatía diabética, en pacientes con mal control metabólico y estado hiperglicémico no cetósico. Si bien está descrito que es un cuadro con evolución a la mejoría sintomática con desaparición de los movimientos anormales, hemos presentado dos casos con la particularidad de que no lograron la mejoría completa, como ocurre en un porcentaje menor de estos pacientes. Destacamos la importancia de la sospecha diagnóstica y la corrección precoz del descontrol metabólico, para prevenir consecuencias a largo plazo. Sugerimos seguimiento cercano de estos pacientes, para asegurar el mantenimiento del control glicémico. Este reporte, apoya a la tendencia mundial de aumento de comunicaciones de casos de estriatopatía diabética en pacientes no asiáticos.















