Introducción
Los tumores cardíacos primarios son raros, representan el 0.0017 - 0.03% en grandes series de autopsias, en contraste con los tumores metastásicos del corazón, que son 30 veces más frecuentes 1,2. El 75% de los tumores son benignos y casi la mitad de ellos son mixomas en la población adulta 3.
Aproximadamente el 95% de los mixomas cardíacos se produce en un amplio rango de edad, sin embargo, ocurren con mayor frecuencia entre mujeres de la quinta a sexta década de la vida 1. Aunque raros, también pueden aparecer en niños, con una incidencia del 0.027% al 0.08% en autopsias, siendo los mixomas el 21,5% de los tumores cardíacos y el rabdomioma en el 50,7% de los casos 4.
Los mixomas cardíacos generalmente se desarrollan en las aurículas. Alrededor del 75% se origina en la aurícula izquierda y del 15 al 20 % en la aurícula derecha. La mayoría de los mixomas surgen del tabique interauricular en el borde de la fosa oval, así mismo los tumores múltiples y las localizaciones atípicas son más frecuentes en casos de mixoma familiar.
Estos tumores son neoplasias de origen endocárdico, que generalmente se proyectan desde el endocardio a la cámara cardíaca. Además las células que dan origen al tumor se consideran células mesenquimales multipotenciales que persisten como residuos embrionarios durante la septación del corazón, sus características macroscópicas incluyen el ser polipoides, a menudo pedunculados, raramente sésiles y redondos u ovalados, con una superficie lisa o suavemente lobulada, conjuntamente la movilidad de la masa depende de su consistencia, que varía con la cantidad de colágeno, el grado de fijación y la longitud del tallo 2,3.
Si bien se trata de tumores histológicamente benignos, no dejan de representar un peligro, debido a que pueden generar arritmias, émbolos a distancia y alteraciones en la hemodinamia del corazón 5. Este tipo de masas representan un reto al momento de su diagnóstico debido a su baja prevalencia y a la similitud de su cuadro con muchas patologías cardiovasculares.
En la presentación clínica suelen tener un curso indolente, con pocos síntomas y en muchas ocasiones son descubiertos de forma incidental; sin embargo, se ha reportado estatus completamente asintomático en menos del 20% de los casos 6,7. Sus manifestaciones varían de acuerdo a su localización y tamaño, pero en la literatura se habla de una triada clásica que incluye signos de obstrucción intracardíaca (edema pulmonar, disnea, ortopnea, malestar, síncope y palpitaciones), signos embólicos (en el sistema nervioso central, en las arterias periféricas o en las arterias coronarias) y síntomas constitucionales (fiebre, pérdida de peso y fatiga) 2,8. Gándara et al. informan la disnea como síntoma más frecuente, seguido por el dolor torácico 7.
La auscultación cardíaca de estos pacientes puede ser anodina o se pueden encontrar ruidos anormales a menudo relacionados con estenosis valvular, como un murmullo diastólico o presistólico, alteraciones en el primer o segundo ruido cardíaco, que pueden sufrir modificaciones con los cambios posturales 9,10.
Pueden observarse anomalías electrocardiográficas en relación con las características y localización del tumor, principalmente signos de crecimiento auricular izquierdo, alteraciones de la conducción o arritmias 3.
La radiografía de tórax suele ser normal o muestra hallazgos inespecíficos como cardiomegalia, patrón pulmonar intersticial o pueden verse calcificaciones en caso de que el tumor lo esté. Los hallazgos analíticos pueden ser muy variados y consisten principalmente en alteraciones en el hemograma (anemia, leucocitosis y trombocitosis) y aumento de los reactantes de fase aguda 6,9,10.
La técnica diagnóstica por elección es el ecocardiograma transtorácico o transesofágico (Eco TT / Eco TE), con una sensibilidad del 95% y casi 100%, no obstante, es válido el uso de tomografía axial computarizada (TAC) y la resonancia magnética (RM) para el diagnóstico 2.
La hipertensión pulmonar (HTP) es una condición fisiopatológica cuyos síntomas son inespecíficos y principalmente relacionados con disfunción de ventrículo derecho, es definida como una presión arterial pulmonar media mayor a 25 mm/hg en reposo 11.
La Organización Mundial de la Salud (OMS) la categoriza en 5 grupos de acuerdo a condiciones clínicas similares 12. La evaluación de los pacientes con sospecha de HTP debe iniciar con un ecocardiograma con medición de velocidad pico de regurgitación tricuspídea y así realizar un score de probabilidad de HTP para determinar la necesidad de estudios complementarios incluido cateterismo derecho cuando hay síntomas y la probabilidad es intermedia o alta 13.
A continuación, se presenta el caso de una paciente con un mixoma auricular izquierdo gigante, que inicialmente se presenta con sospecha de síndrome coronario agudo (SCA), y se documenta HTP severa asociada a obstrucción de la válvula mitral.
Caso clínico
Mujer de 74 años de edad, ama de casa, sin antecedentes patológicos conocidos, remitida al servicio de urgencias de un hospital universitario de Pereira- Colombia por cuadro clínico de 8 días de evolución caracterizado por dolor torácico asociado a disnea, de tipo opresivo, irradiado a hombro izquierdo y que no cede al reposo. El día de su ingreso refiere que el dolor se intensificó con exacerbación al respirar, motivo por el cual consulta a una institución de primer nivel en donde se toman troponinas que se reportan un valor cualitiativo positivo y electrocardiograma que se interpreta como sugestivo de isquemia aguda con alteraciones de la pared anterior, con lo cual se inició manejo anti-isquémico pleno y fue remitida al Hospital Universitario de tercer nivel de complejidad por sospecha de síndrome coronario agudo.
Al ingresar a la institución de tercer nivel, se encuentra una frecuencia cardiaca de 85 cpm, una frecuencia respiratoria de 20 rpm, una tensión arterial de 95/51 mmHg, una temperatura de 36ºC y una escala de Glasgow 15/15. Al examen físico presentó un tórax simétrico expandible, ruidos cardiacos rítmicos con S3, campos pulmonares con crépitos generalizados, sin tiraje ni retracciones, abdomen blando, depresible sin dolor a la palpación sin signos de irritación peritoneal, extremidades simétricas móviles sin presencia de edemas y con llenado capilar menor a 2 segundos.
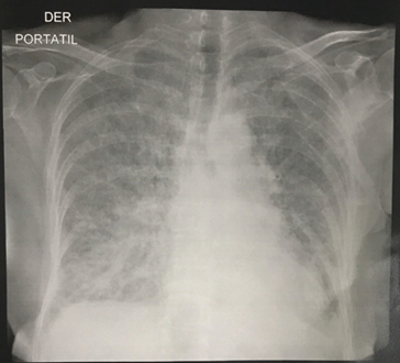
Se realiza electrocardiograma (Figura 1) y radiografía de tórax (Figura 2).

Figura 1: Taquicardia sinusal, pobre progresión de la R en precordiales, índice de Cornell de 26 mm, trastorno de repolarización anterior y lateral.

Figura 2: Radiografía de tórax. Radiopacidades tipo reticular y alveolar en los cuatro cuadrantes con predomino basal derecho.
Bioquímica sanguínea muestra curva de troponina I negativa, anemia normocrómica, hiponatremia leve, acidosis metabólica, trastorno de la oxigenación leve y dímero D 2406 ng/mL.
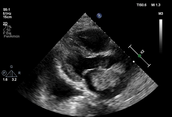
Bajo el contexto clínico y de acuerdo a los paraclínicos tomados fuera del Hospital Universitario se sospechó inicialmente un síndrome coronario agudo sin elevación del segmento ST, con un electrocardiograma no diagnóstico y sin incremento en el nivel del biomarcador. Posterior a esto se orientó el caso como un edema pulmonar cardiogénico, para el cual se solicitó un Eco TT en cuyo reporte se describió la presencia de un mixoma que protruye a través de la válvula mitral, Fracción de Eyección del Ventrículo Izquierdo (FEVI) del 55% y un cálculo indirecto tomado con la ecuación de Bernoulli modificada de presión sistólica de la arteria pulmonar (PSAP) de 110 mmHg (Figura 3).

Figura 3: Ecocardiograma transtorácico. Referencias: VD- ventrículo derecho VI- ventrículo izquierdo AI-aurícula izquierda. La flecha señala una masa gigante adherida al septum interauricular que protruye a través de la válvula mitral compatible con Mixoma auricular con área de 11 cm2.
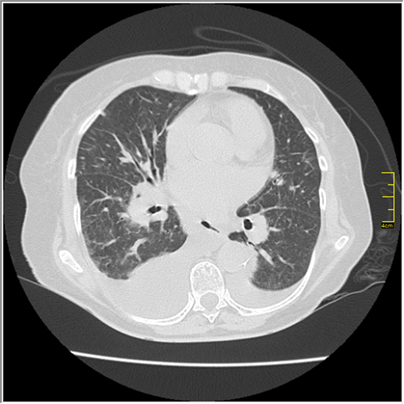
La paciente es ingresada a la Unidad de Cuidados Intermedios donde le practican una TAC de tórax de alta definición (Figura 4).

Figura 4: Tomografía de tórax de alta resolución. Derrame pleural bilateral asociado a atelectasia, imágenes de patrón en vidrio esmerilado e imágenes parcheadas en ambos campos pulmonares.
Es valorada por cirugía cardiovascular que indica intervención quirúrgica para mixoma auricular por su tamaño y sintomatología. Fue derivada a centro de mayor complejidad, se confirma por biopsia el diagnóstico de mixoma. Se desconoce si en este centro hospitalario se le realizaron otros estudios tales como coronariografía preoperatoria.
Discusión
El enfoque de los pacientes que consultan por dolor torácico y disnea al servicio de urgencias debe iniciar por la búsqueda de las causas más frecuentes y catastróficas. En este caso la sospecha inicial fue un síndrome coronario agudo, se recomienda seguir un abordaje sistemático, para este efecto el electrocardiograma no mostró elevación del segmento ST, por lo cual se clasifica como un síndrome coronario agudo sin elevación del ST posible o probable 14, sin embargo las troponinas de unidad local no son valorables dado que fueron tomadas por una técnica diferente con un valor dicotomico, ya en el centro de referencia no hubo incremento en los niveles de biomarcadores por ende no se pudo establecer un delta de troponinas, por esto se sospechó una injuria miocárdica ampliando la búsqueda de otras etiologías con un diagnóstico documentado en el ecocardiograma 15 y entre estos diagnósticos se plantea como hipótesis la injuria miocárdica vs embolia coronaria por ruptura del mixoma, que ha sido descrita en la literatura 16.
Los tumores cardiacos primarios son raros con una incidencia de 1,38 casos por 100000 habitantes 17 y los mixomas constituyen hasta el 50% de los tumores cardiacos benignos 18, Merello y cols encontraron como localización más frecuente la auricula izquierda, con 87,3% de los casos 19. Comparando los hallazgos de la literatura acerca de los mixomas auriculares izquierdos se destaca la serie de 112 casos de Pinede y cols 20 en un periodo de 40 años de un único hospital de Francia, con un predominio de mujeres afectadas, y con una rango de edad de 23 a 84 años lo cual concuerda con el caso actual de sexo femenino de 74 años de edad.
Es importante resaltar que este tipo de tumores se presentan inicialmente sin síntomas y sin signos al examen físico 18. Una amplia variedad de sintomatología clínica dificulta su diagnóstico oportuno, pues puede debutar como alguna complicación cuando el tumor ha alcanzado grandes tamaños o simular algún cuadro de otra patología cardiovascular 5, como sucedió en esta paciente. Pinede y cols documentaron signos de insuficiencia cardiaca en el 43%, dolor torácico o infarto de miocardio en el 30%, anemia en el 13%, trastorno de repolarización en el electrocardiograma en el 21%, edema pulmonar en la radiografía de tórax en el 27% 20. Sin embargo, en esta serie no se describen algunos hallazgos evidenciados en la paciente como es la asociación entre mixoma auricular y presencia de hiponatremia como en este caso, por lo cual el mecanismo de hiponatremia puede ser explicado por la falla cardiaca, de otro lado la elevación de Dímero D ha sido descrito incluso sin diagnóstico de embolia pulmonar 21, de la misma manera la presencia de edema pulmonar 22 y asociación con hipertensión pulmonar severa ha sido reportada en casos aislados asociada con obstrucción del orificio de la válvula mitral 23, clasificada como hipertensión pulmonar del grupo 3, siendo potencialmente reversible a las 6 semanas posteriores al procedimiento quirúrgico 24.
La literatura también ha reportado casos en donde el mixoma se ha manifestado sintomáticamente como: estenosis mitral severa 5, insuficiencia mitral severa 25,26, fibrilación auricular 5, disnea 27, isquemia cerebral 28, manifestaciones neurológicas 29,30, edema pulmonar 31 e incluso enfermedades reumatológicas 32.
El método más usado para el diagnóstico de mixomas auriculares es el EcoTT, pero si el resultado no es óptimo puede utilizarse el EcoTE 5. La sensibilidad del EcoTT para el diagnóstico de los mixomas es cercana al 95% y la del EcoTE es del 100% 5, siendo esta la prueba de mayor rendimiento en la detección del sitio de inserción, permitiendo la visualización de trombos, masas y otros elementos dentro de las cámaras cardiacas, aparte de estimar el tamaño 33.
En este caso puntual el ecocardiograma fue de utilidad tanto para el diagnóstico del mixoma auricular como para el de hipertensión pulmonar, ya que es una modalidad útil y no invasiva inicial que permite establecer la probabilidad de esta con una sensibilidad del 83% y una especificidad del 72% 34. Aunque el ecocardiograma no provee información sobre la caracterización del tejido y no diferencia entre masas malignas y benignas, la RNM puede proveer una excelente caracterización de los tumores cardiacos, sin embargo, cabe resaltar que tres cuartos de estas son benignas y el 50% de las benignas son mixomas, por lo tanto, son la masa cardíaca más prevalente, sin embargo la confirmación diagnóstica requiere estudio histológico 29.
Pese a que la literatura tradicionalmente suele decir que los mixomas auriculares son más prevalentes en el sexo femenino, en nuestro ámbito colombiano y más específicamente en la zona andina, se han hecho estudios que muestran que la distribución por sexo es similar (47% mujeres - 53% hombres) e incluso dan datos claves como que el síntoma más prevalente es la disnea o que el tratamiento es la resección quirúrgica, con una mortalidad inferior al 5% 7,35. No obstante, en otras partes del país reportan una mayor predisposición hacia el sexo femenino en un 82,4%, siendo también el síntoma más destacado la disnea 36.
Los mixomas auriculares merecen la denominación de “grandes imitadores” dada la variabilidad de su expresión clínica 32 y dentro de los diagnósticos diferenciales, se deben tener presente mayoritariamente los trombos intracardíacos 5 y entre las lesiones intracavitarias de igual manera se debe tener en cuenta otros tumores benignos, tumores malignos primarios y secundarios metastásicos 27, pero aparte de las masas también se debe hacer diagnóstico diferencial con vegetaciones, calcificaciones valvulares y la anomalía de Ebstein 22.
El tratamiento más apropiado para este tipo de neoplasia, es la extirpación quirúrgica completa del tumor, ya que garantiza la curación y previene la recurrencia de la enfermedad. La mortalidad intraoperatoria varía de 0,5 a 3 %, lo que implica una alta tasa de supervivencia después de la cirugía 37.
Conclusiones
Los mixomas cardíacos son entidades de difícil diagnóstico en la práctica clínica, debido a su diferente rango de presentación, como en este caso simulando un síndrome coronario, con posterior hallazgo de obstrucción valvular mitral e hipertensión pulmonar severa. Su localización típicamente es en la aurícula izquierda, aunque hay casos en los que se puede presentar en otras cámaras cardíacas. Su diagnóstico debe ser oportuno, ya que la resección quirúrgica precoz es esencial para evitar el desarrollo de fenómenos embólicos, alteraciones cardíacas, respiratorias e incluso la muerte del paciente.
Esta paciente fue remitida a un centro de referencia de la ciudad de Cali- Colombia para manejo quirúrgico con desenlace fatal en el postoperatorio. Se obtuvo consentimiento informado de la paciente para la presentación del caso previo a la remisión.
Consideraciones éticas
La presente investigación es clasificada como una investigación sin riesgo de acuerdo con el literal del artículo 11 de la Resolución 8430 de 1993 del Ministerio de Salud de Colombia en la que la información fue recolectada por medio de la revisión de historias clínicas y la realización de entrevista al paciente y no se llevó a cabo procedimientos ni intervenciones en el sujeto. Cumple con los principios y lineamientos de la declaración de Helsinki. El protocolo fue sometido a la aprobación del Comité de Bioética de la Universidad Tecnológica de Pereira y al comité de investigación del Hospital Universitario San Jorge.














