Introducción
El citomegalovirus (CMV) pertenece a la familia de los herpes virus humanos.1Laencefalitis a CMV es una grave y potencial complicación del huésped inmunocomprometido, sobre todo con deterioro de la inmunidad celular y particularmente en los pacientes con síndrome de inmunodeficiencia adquirida(SIDA) con recuento de CD4<50/ mm3. La infección por CMV es frecuente llegando hasta el 70% en algunas series;siendo la forma de infección por reactivación del virus.1,2,3
El CMV es una infección oportunista frecuente en los pacientes con SIDA;estimándose que hasta un 30% contraían la enfermedad en la era pre terapia anti retroviral (TARV), actualmente se estima en menos de 6 casos por 100.000/año.2 La retinitis por CMV es la forma más frecuente de presentación, pudiendo afectar otros territorios como el tubo digestivo, pulmón y glándulas suprarrenales. A nivel del sistema nervioso central la manifestación más prevalente es la poliradiculopatía, la mielitis, ventriculitis, demencia y compromiso de pares craneanos; siendo el compromiso meningoencefálico poco habitual.4
El CMV afecta a los pacientes con SIDA en etapas avanzadas, donde los linfocitos T CD4+son menores a 50 células/mm3.Otros factores de riesgo son: ausencia de TARV o que se encuentran en fallo terapéutico, carga viral elevada (>100.000 copias/ml) e historia de infecciones oportunistas previas.El síndrome Inflamatorio de reconstitución inmune (SIRI) es otro factor de riesgo conocido en estos pacientes.
En cuanto al diagnóstico, la sospecha debe estar siempre presente en pacientes con severa inmunodepresión, que se presentan con síntomas neurológicos compatibles con infección a CMV y en donde los hallazgos imagenológicos son sugestivos pero no patognomónicos.3,5-8 El estudio del líquidocefalorraquídeo (LCR) es la herramienta diagnóstica fundamental, confirma el diagnóstico a través de técnicas de biología molecular como la Reacción en cadena de la polimerasa (PCR) y descarta otras etiologías probables.5-10 El tratamiento se basa en la asociación de ganciclovir más foscarnet como inducción, existiendo otras drogas alternativas como cidofovir y valganciclovir.1-3,9,10
El objetivo de este trabajo es comunicar tres casos asistidos en un centro hospitalario de tercer nivel con diagnóstico de Encefalitis a CMV en etapa SIDA. Analizar las dificultades diagnósticas y de tratamiento en este grupo de pacientes, así como remarcar la necesidad de un seguimiento y vigilancia más estrecho en esta subpoblación de pacientes VIH/SIDA con extrema vulnerabilidad.
Caso clínico 1
SM, 44 años. HIV-SIDA diagnosticado en contexto de Pneumocitosis pulmonar el mes previo a la consulta. No TARV.Linfocitos T CD4+ de 1cél/mm3.Carga viral 700.000 copias/ml. (datos del mes previo al cuadro actual).
Consultó por cuadro de 10 días de evolución dado por confusión mental, apatía y retracción conductual. Cefalea intensa holocraneana, agregando ataxia de tronco y latero pulsión a derecha. Sin fiebre. Al examen físico se presentabadesorientado,bradipsiquico,letárgico. Dermatitis seborreica.Paresia proximal de miembro superior derecho. Ataxia de tronco con latero pulsión derecha.
Paraclínica:GB 3900/mm3(linfocitos 470/mm3); plaquetas 170.000/mm3; Hb 10 gr/dl; sodio 124 meq/l. VDRL sangre: negativo.
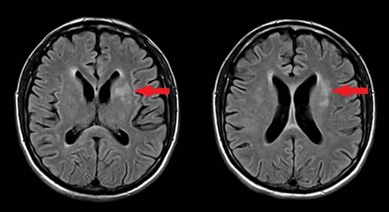
Resonancia nuclear magnética (RNM) de cráneo: aumento de la señal en T2 y Flair a nivel ganglio basal y esplenio del cuerpo calloso, sin restricción ni realce en la difusión sugestivo de proceso infeccioso. No se realizó espectrometría (Figura 1).
Estudio del LCR: líquido claro; proteínas55 mg/dl; glucosa39mg/dl; sin glóbulos blancos. Tinta China: antígenocriptocococcico por ELISAnegativo,cultivo para Cryptococcusneoformansnegativo y VDRL negativo. Adenosíndeaminasa (ADA): 1. PCRpara tuberculosis y grupo herpes virus (tipo 1, 2, 6 y EBV): negativos. Cultivo para hongos y bacteriológico negativos.PCR cualitativo para CMV positivo.
Frente a los hallazgos clínicos y de laboratorio, se planteó una encefalitis difusa producida por CMV.
Se realizó tratamiento con ganciclovir 5mg/Kg endovenoso cada 12hs por 21 días como inducción, seguido de valganciclovir900 mg vía oral día como mantenimiento, con buena respuesta. Se inició TARV en base a zidovudina, tenofovir y efavirenz a las cuatro semanas del inicio del tratamiento para el CMV. Se realizó profilaxis para microrganismos oportunistas. Al alta presenta mejoría del nivel cognitivo, persistiendo las alteraciones en la marcha con latero pulsión a derecha.
Caso clínico 2
SM, 48 años. HIV- SIDA de 11 años de evolución. Presentó tuberculosis pulmonar, toxoplasmosis encefálica ycriptococosis meníngea.Hidrocefalia secuelar crónica. TARV desde hace 10 años, plan actual conlamivudina, ritonavir yetravirine desde hace 3 años.Linfocitos T CD4+ de 7 cél/mm3. Carga viral 300.000 copias/ml (dato de 15 días previo al cuadro actual). Consultó por cuadro de 7 días de evolución dado por cefalea intensaholocraneana, tendencia al sueño y vómitos recurrentes.24 hs previas al ingreso presentó dos episodios de convulsión tónico-clónicos generalizadas. Sin fiebre.
Al examen físico se presentabavigil, bradipsiquico, con tendencia al sueño. Sin elementos de inmunodepresión clínica. El examen neurológico no reveló elementos de focalidad, no presentaba rigidez de nuca.
Paraclínica: GB 4500/mm3 (linfocitos 710mm3); plaquetas 294.000/mm3; Hb 11,3 gr/dl; sodio 139 meq/l.VDRL en sangre negativo.
RNM de cráneo: Hiperintensidad en T2 y FLAIR que compromete ambos hemisferios cerebelosos, lóbulo temporal y frontal izquierdo, occipital derecho y gangliobasal bilateral. Realce nodular a nivel gangliobasal bilateral. Discreto realce ependimario. No se realizó espectometria (Figura 2).
Estudio del LCR: líquido claro; proteínas 253 mg/dl; glucosa 52mg/dl; GB: 15 monocitos.Tinta China y cultivo para Cryptococcusneoformans: negativo. VDRL negativos. ADA: 4. PCR para tuberculosis y grupo herpes virus (tipo 1, 2, 6 y EBV) negativos. Cultivo para hongos y bacteriológico: negativo. PCR cualitativo para CMV positivo.
Con los datos clínicos y paraclínicos encontrados se planteóuna encefalitis Difusa producida por CMV.
Se realizó tratamiento con ganciclovir 5mg/Kg endovenoso cada 12hs por 21 días como inducción, seguido de valganciclovir 900 mg vía oral día como mantenimiento. Se asoció anticomiciales y se modificó el esquema de TARV previo, asociado a profilaxis para microrganismos oportunistas a las 4 semanas del cuadro actual. Presentó buena evolución clínica, con mejoría de los síntomas, sin reiterar convulsiones.
Caso clínico 3
SF, 44 años. Analfabeta. Consumo de sustancias psicoactivas. HIV/SIDA diagnosticado en contexto de Pneumocistosis pulmonar 6 meses previos. No cumple TARV. Linfocitos T CD4+ de37cél/mm3.Carga viral 1.000.000 copias/ml (dato de 6 meses previo al cuadro actual). Consultó por cefalea holocraneana intensa de 7 días de evolución con heteroagresividad verbal y física. En apirexia. Al examen físico se presentaba lúcida. Lesiones compatibles con Herpes zoster multimetamérico en hemiabdomen derecho. Muguet oral. El examen neurológico no mostró rigidez de nuca ni elementos de focalidad neurológica.
Paraclínica: GB 5200/mm3 (linfocitos 700mm3); plaquetas 189.000/mm3; Hb 12,1 gr/dl;sodio 138 meq/l. VDRL en sangre negativo.
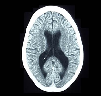
Tomografía (TC) cráneo (sin contraste): Sistema ventricular aumentado de tamaño a predominio supratentorial (Figura 3).No se pudo realizar RNM de cráneo.
Estudio del LCR: Líquido claro; proteínas 95 mg/dl; glucosa 43 mg/dl;sin leucocitos. Tinta china, cultivo y antígeno paraCryptococcusneoformans: negativos. VDRL y bacteriológico: negativos. PCR para tuberculosis y grupo herpes virus (tipo 1, 2, 6 y EBV): negativos. PCR para virus Varicela Zoster: negativo. PCR cualitativo para CMV positivo.
Con los datos encontrados se planteóencefalitis difusa producida por CMV.
Se realizó tratamiento con ganciclovir 5mg/Kg endovenoso cada 12hs por 21 días. A las 72hs agrega pancitopenia con Hb 7,4 gr/dl; GB 1.360/mm3 (670 neutrófilos); plaquetas50.000 /mm3. Se interpretó como toxicidad por fármacos, se disminuyó la dosis del ganciclovira la mitad y se realizó reposición hematológica asociado a estimuladores medulares. Se continuó con valganciclovir como terapia de mantenimiento y se inició TARV en base a tenofovir, emtricitabine y efavirenz, además de profilaxis para microrganismos oportunistastres semanas luego de iniciar tratamiento para CMV. Presentó mejoría clínica del cuadro neurológico y hematológico.
Discusión
La encefalitis por CMV ocurre en pacientes con severo compromiso de la inmunidad como lo reflejan el recuento de linfocitos CD4 de nuestros pacientes que fueron 1,7 y 37/mm3respectivamente, constituyendo este uno de los principales factores para su desarrollo.
El antecedente de infecciones oportunistas en este grupo de pacientesconstituye otro factor de riesgo importante para la enfermedad por CMV, siendo la pneumocistosis pulmonar la más frecuente 2como se observa en dos pacientes de la serie (caso 1y 3).Otra enfermedad que tambiénse describe es la tuberculosis en sus diferentes formas presente en el restante caso(caso 2).
El compromiso de enfermedades oportunistas del SNC (criptococosis, toxoplasmosis) previas, se asocian a encefalitis por CMV en más de la mitad de los casos, como se observa en el caso 2.(1, 11)
Es frecuente que la encefalitis a CMV ocurra en pacientes con infección previa o concomitante por CMV en otros parénquimas, principalmente retinitis.1,2,8,12,13La ausencia de manifestaciones clínicas puede deberse a lo inespecífico o asintomático 6,12) del cuadro, por lo que se recomienda la valoración oftalmológica en forma sistematizada.Una de las complicaciones sistémicas más características del CMV lo constituye la adrenalitis, la cual se manifiesta habitualmente como hiponatremia de leve a moderada entidad 2, como sucedió en el caso clínico 1, si bien no podemos descartar otras causas para la misma.
Las manifestaciones clínicas de la encefalitis a CMV son variadas, la confusión y desorientación constituyen la forma de presentación más frecuente (90% de los pacientes)2, seguidas de la apatía, desinterés, bradipsiquia y cefalea holocraneana. La presencia de focalidad neurológica sólo se presenta en el 50% de los casos.2La hiperreflexia difusa y la pérdida de memoria son hallazgos frecuentes de esta enfermedad. La demencia es una de las secuelas habituales de estos pacientes cuando el tratamiento no se realiza precozmente, e implica la necesidad de realizar al momento del diagnóstico y en la evolución test neuropsicológicos para su pesquisa. En la Tabla 1 se presentan las características clínicas y tratamiento de los pacientes analizados.
| Caso 1 | Caso 2 | Caso 3 | |
| Edad Sexo FR para ETS LT CD4 Enf. marcdora de etapa SIDA Presentación clínica Hallazgo imagenológico Tratamiento TARGA | 44 Masculino Si 1 PCP Cefalea, confusión, apatía, ataxia, paresia MSD RNM cráneo: Hiperintensidad gangliobasal en T2 y FLAIR Ganciclovir, valganciclovir Zidovudina, Tenofovir, Efavirenz | 48 Masculino Si 7 TBC pulmonar Cefalea, tendencia al sueño RNM cráneo: Hiperintensidad supra e infratentorial y gangliobasal en T2 y FLAIR. Realce meníngeo Ganciclovir, valganciclovir Lamivudina, Ritonavir, Etravirine, | 44 Femenino Si 37 PCP Cefalea, heteroagresividad TC cráneo: Sistema ventricular aumentado de tamaño a predominio supratentorial Ganciclovir, valganciclovir Emtricitabine, Tenofovir, Efavirenz |
Tabla 1: Manifestaciones clínicas, paraclínicas y tratamiento de los pacientes analizados.
Aunque los hallazgos en la TC y RNM de cráneo poseen baja sensibilidad y especificidad para el diagnóstico de encefalitis a CMV, se han descripto imágenes que podrían sugerir la infección en un contexto clínico adecuado.
En la TC de cráneo puede apreciarse atrofia generalizada, ventrículo megalia e hipodensidad de la sustancia blanca periventricular que realza con el medio de contraste 1,2,9,14,15, hallazgos presentes en el caso 3.
Las imágenes que pueden observarse en la RNM corresponden a ventriculitis con lesiones sub-ependimariashiperintensas en T2 y FLAIR conrealce periférico lo que sugiere la “imagen en ojo de búho; alteraciones en la sustancia blanca con nódulos (hipo intensos en T1 ehiperintensos en T2), leucopatía difusa, atrofia focal y masa focal nodular. En este estudio adquiere importancia la técnica de difusión, las presencias de manchas brillantes con restricción en la difusión con tropismo ventricular son sugestivas de encefalitis por CMV. 16LaRNM puede evidenciar aumento focal o difuso de la señal en T2 y FLAIRa predominio de la sustancia blanca periventricular.Es característico el realce ependimario y meníngeo tras la administración de gadolinio.1,2,6,9,10,12-15En la tabla 1 se resumen los principales hallazgos imagenológicos encontrados en nuestros tres casos, todos descritos en la literatura.
Es claro que, de los estudios de imagen la RNM constituye la técnica de elección.
El estudio del LCR no es específico para ECMV, presenta perfiles citoquímicos y celulares variables, generalmente es a liquido claro, raramente con pleocitosis y cuando ocurre es por linfocitos y monocitos, como pudo observarse en nuestros pacientes. La hipoglucorraquia es menos frecuente (2, 8,9,11-13,15,17-19). En nuestros pacientes no se constató la presencia de proteinorraquia ni glucorraquia y en el caso de celularidad aumentada fue a expensas de monocitosis. Cuando hay compromiso meningeo el perfil es el de una meningitis bacteriana, observándosehiperproteinorraquia en el 70% de los casos11.
El diagnóstico que permite la confirmación del CMV es a través de la detección del ADN viral en LCR por técnicas de PCR cualitativo o cuantitativo, que en un contexto clínico, inmunológico e imagenológico compatible permite realizar el planteo de encefalitis difusa por CMV.
Si bien la sensibilidad y especificidad para el diagnóstico es mayor con la búsqueda de PCR cuantitativo o semi cuantitativo, la técnica empleada en nuestros casos posee sensibilidad y especificidad cercanas al 90% .1,6,10-12,17
Existe escaso nivel de evidencia para las recomendaciones definitivas sobre el tratamiento de esta afección. La combinación de ganciclovir y foscarnet constituyen el esquema básico de inducción, a pesar de tenerimportantes efectos adversos.20,21
Hoy en día, ganciclovir es la primera línea de tratamiento, si bien existe el inconveniente creciente de las mutaciones UL97 y UL 54 que le restan eficacia. En estas situaciones el foscarnet es una alternativa en monoterapia, también se usa de igual forma en caso de leucopenia secundaria al uso de ganciclovir.
El cidofovir también se considera en el arsenal terapéutico.
Estos fármacos junto a la introducción de la TARV se han convertido en los pilares del tratamiento de la encefalitis por CMV.
En nuestra serie se utilizó ganciclovir durante tres semanascomo terapia de inducción, de acuerdo a las recomendaciones de las guías nacionales e internacionales que sugieren un plazo de 14 a 21 días; seguido de valganciclovir como terapia de mantenimiento. No se utilizó foscarnet por no contar en nuestro medio con este fármaco.
En todos los casos se inició TARV según la guía nacional de tratamiento de pacientes VIH en plazos variables entre 3 y 4 semanas después de comenzado el tratamiento 20,21).
Luego de 14 a 21 días de tratamiento con ganciclovir el paciente debe quedar con valgaciclivir asociado a TARV en forma precoz como tratamiento de mantenimiento.
Algunos autores sugieren discontinuar la terapia luego de que la enfermedad esté inactiva o en pacientes con reconstitución inmune sostenida (linfocitos T CD4+ > 100 cel/mm3) por 3-6 meses bajo TARV. 12,15
Como efecto adverso al tratamiento con ganciclovir, la paciente del caso 2 sufrió mielotoxicidad (pancitopenia) que fue tratada en base a reposición hematológica y factores de crecimiento medular. No requirió suspensión del tratamiento. Se trata de un evento frecuente, que afecta a más del 40% de los pacientes y que requiere ajuste de las dosis en forma habitual.15
La evolución natural de la encefalitis por CMV sin tratamiento es hacia el deterioro progresivo del estado mental y muerte, siendo el intervalo promedio desde el primer síntoma neurológico hasta el fallecimiento de 8,5 semanas. 2 En una serie de 13 pacientes hospitalizados con diagnóstico de encefalitis por CMV con una media de 60 días de internación, se registró un 38% de mortalidad intrahospitalaria a pesar del tratamiento específico paraCMV + TARV. La sobrevida fue sensiblemente menor en los pacientes con diagnóstico tardío. 12 Estos hechos marcan la necesidad de diagnóstico y tratamiento oportunos, lo que constituye un gran desafío en estos pacientes y refuerzan la necesidad de considerar el diagnóstico de encefalitis por CMV en todos aquellos pacientes con manifestaciones neurológica con severo compromiso inmunológico y hallazgos imagenológicos sugestivos22).
En nuestra serie de casos los diagnósticos se realizaron precozmente, no superando las 72hs entre el contacto con el paciente y el inicio del tratamiento específico, pudiendo esto explicar en parte la aceptable respuesta al tratamiento instituido.
Conclusiones
La encefalitis por CMV es una entidad infrecuente, que ocurre en pacientes con VIH- SIDA severamente inmunodeprimidos, siendo inhabitual en los inmunocompetentes. Dado el amplio espectro de manifestaciones clínicas se requiere un alto índice de sospecha clínica para su diagnóstico, lo que implica además la necesidad de una búsqueda sistematizada de este virus entre las agentes responsables de las manifestaciones neurológicas descritas. Se presentaron 3tres casos de esta afección con manifestaciones diferentes y en donde se estableció el diagnóstico en forma precoz, permitiendo establecer un tratamiento específico con la consiguiente buena respuesta clínica.
Los estudios de imagen son herramientas que sugieren la enfermedad pero son poco específicas, siendo la RNM la técnica de elección.
El pilar diagnóstico se basa en el análisis del LCR con la detección de ADN viral por técnicas de biología molecular como es la reacción en cadena de la polimerasa (PCR).
El tratamiento en base a ganciclovir asociado a foscarnet en conjunto con TARV estableciendo la profilaxis secundaria con valgaciclovir.
Lamortalidadsin tratamiento es muy alta,sin embargo bajo los esquemas terapéuticos actuales el pronóstico ha mejorado ostensiblemente como lo demuestra nuestra serie de casos.
















