Services on Demand
Journal
Article
Related links
Share
Revista Uruguaya de Medicina Interna
Print version ISSN 2393-6797On-line version ISSN 2393-6797
Rev. Urug. Med. Int. vol.1 no.2 Montevideo Aug. 2016
Caso clínico
Neuropatía oftalmoplejica dolorosa recurrente (migraña oftalmoplejica): Caso clínico
Ophthalmoplegic recurrent painful neuropathy (ophthalmoplegic migraine): Case report
Dr. Federico Baltar Yanes
Postgrado de Neuropediatría
Dr. Conrado Medici
Profesor Adjunto de Neuropediatría
Dr. Emilio Turcatti
Medico Imagenólogo. Colaborador docente de la Cátedra de Neuropediatría
Dr. Gabriel González
Profesor de Neuropediatría
Recibido: 11/6/16 - Aceptado: 19/7/16
Departamento e Institución responsables: Cátedra de Neuropediatría. Instituto de Neurología. Prof. Dr. Américo Ricaldoni. Facultad de Medicina. Universidad de la República. Centro
Hospitalario Pereira Rossell. Montevideo – Uruguay.
Correspondencia: Dr. Federico Baltar Yanes. Teléfono: 099 548 426. E-mail: fedebaltar@gmail.com
RESUMEN
La Neuropatía oftalmopléjica dolorosa recurrente o migraña oftalmopléjica es una variante infrecuente de cefalea primaria. Se define como al menos dos episodios de cefalea unilateral que se acompaña de paresia ipsilateral de uno, dos o los tres nervios oculomotores. Se debe excluir una lesión orbitaria, paraselar o de la fosa posterior, y no debe ser mejor explicada por otro diagnóstico. Se describe el caso de un pre-escolar de 3 años, sin antecedentes a destacar, que presenta 3 episodios de oftalmoparesia caracterizada por ptosis palpebral y estrabismo divergente con descenso ocular del ojo izquierdo, de hasta 10 días de duración, precedido por irritabilidad, cefalea, vómitos y somnolencia posterior. Se realizó estudios de laboratorio, los cuales fueron normales. La resonancia magnética craneal mostró captación de contraste a nivel de la emergencia del III par craneano izquierdodurante uno de los episodios. Destacamos la importancia de considerar este cuadro como causa recurrente de parálisis óculo-motora. Consideramos importante el valor de la resonancia, no solo para descartar diagnósticos diferenciales, sino como herramienta de confirmación diagnóstica. Se reporta la reducción de los días de compromiso oculomotor tras la administración de corticoides.
Palabras clave: Cefalea. Migraña oftalmopléjica. Resonanciamagnética.
ABSTRACT
Recurrent painful ophtalmoplegic neuropathy or ophthalmoplegic migrane is a rare type of primary headache. It is characterized as at least two episodes of unilateral headaches accompanied by ipsilateral paresis of one, two or the three ocular motor nerves. Orbital, parasellar and posterior fossa lessions must be excluded, and it is not better accounted by other diagnosis. We report clinical, imaging and laboratory tests of a three years old boy who developed three episodes of left eye ptosis with divergent strabismus and downgaze deviation of left eye, preceded by headache, irritability, vomiting and sleepiness. Ophtalmoparesis episodes lasted up to 10 days. Laboratory tests were normal. Magnetic resonance showed gadolinium enhancement of the third cranial nerve during one attack. We highlight the need to consider ophtalmoplegicmigrane in all cases of recurrent oculomotor palsy, and the importance of themagnetic resonance imaging, not just to rule out other possible etiologies, but also as a confirmative test. This case showed improvement of clinical signs after steroid therapy.
Key words: Headache. Ophthalmoplegic migraine. Magnetic resonance
Introducción
La neuropatía oftalmopléjica dolorosa recurrente es una forma rara de cefalea primaria, con una incidencia anual de 0,7 por millón en la población general (1-6).
La International HeadacheSociety (IHS) la define como al menos dos ataques de cefaleas unilaterales asociados con paresia de uno, dos o los tres nervios oculomotores, ipsilateral a la cefalea, con estudios que descarten patología paraselar, orbitaria o de fosa posterior (7).
Es una patología cuyo diagnóstico es de exclusión, siendo esto un criterio diagnostico establecido por la IHS (3,6-8).
Dentro de los diagnósticos diferenciales de este cuadro se encuentran los aneurismas, los traumatismos, la miastenia gravis, el Schwannoma del III par craneano, la apoplejía pituitaria, los tumores malignos (carcinomatosis meníngea, linfomas, leucemias, meningiomas), el Síndrome de Tolosa-Hunt y la parálisiscraneal idiopática o isquémica (1,2,6,7).
El objetivo de este trabajo es presentar un caso clínico de esta rara entidad, en donde los estudios imagenológicos pueden no solo contribuir a descartar cuadros diferenciales, sino también aportar datos de gran relevancia en el diagnóstico positivo de esta patología.
Caso clínico
Prescolar de 3 años, sexo masculino, sin antecedentes personales a destacar, sin antecedentes familiares de migraña. Comienza de manera súbita con irritabilidad, sin manifestar cefaleas, llanto y vómitos, en apirexia, quecede con el sueño.
A las 24 horas agrega ptosis palpebral y estrabismo divergente con descenso ocular del ojo izquierdo (Figura 1). Consulta en emergencia donde constatan la ptosis y la desviación ocular, sin otros elementos focales neurológicos, no presentaba compromiso de la motricidad ocular intrínseca. No presenta antecedentes previos al episodio.
Con planteo de III par incompleto de instalación aguda, acompañado de irritabilidad y vómitos se ingresó para estudio.Se realizó relevo infeccioso, incluyendo estudio del líquido cefalorraquídeo (LCR), los cuales fueron normales. El estudio bacteriológico del LCR no desarrolló bacterias y el estudio virológico fue negativo para Enterovirus y familia Herpesvirus. La resonancia magnética (RM) de cráneo sin contraste fue normal.
No se realizó ningún tratamiento específico. Permanece el compromiso del III par durante 10días, tras lo cual recupera la función del mismo, sin secuelas.
A los 3 meses presenta un nuevo episodio, que comienza con cefaleas que no es posible definir las características y vómitos reiterados, los cuales ceden con el sueño, notando luego estrabismo divergente y ptosis palpebral de ojo izquierdo.
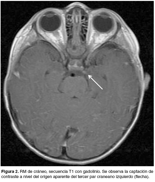
La RM con gadolinio muestra engrosamiento del tercer par craneano izquierdo con captación de contraste (Figura 2). Con planteo de neuropatía oftalmopléjica dolorosa recurrente, se inicia tratamiento con prednisolona a 2 mg/kg/día durante 5 días. Al término del tratamiento el niño ya había recuperado la motilidad ocular, sin presentar déficit motor residual.

A los 3 meses presenta un tercer episodio de iguales características, en el cual se comienza tratamiento con corticoides desde el inicio del cuadro, permaneciendo el compromiso del III par durante 3 días. No reiteró episodios de cefalea intensa ni de oftalmoparesia en los siguientes 12 meses, y el paciente no quedó con déficit en la motilidad ocular.
Discusión
Este paciente presentó todos los criterios que establece la IHS para el diagnóstico de neuropatía oftalmopléjica dolorosa recurrente (7).
Si bien las características de las cefaleas, en especial la topografía unilateral, no se pudo definir en forma adecuada dada la edad del niño, las mismas se acompañaron de un compromiso del III par craneano, nervio más frecuentemente afectado en esta patología (3,6,7).
El compromiso oculomotor configuró un III par incompleto: la ptosis palpebral está determinada por la parálisis del músculo elevador del párpado superior, el estrabismo divergente por parálisis del recto interno y el descenso ocular en abducción por parálisis del recto superior. Todos estos músculos son inervados por el III par, la ausencia de compromiso de la motricidad ocular intrínseca define la parálisis como incompleta.
La neuropatía oftalmopléjica dolorosa recurrente era considerada previamente como una variante de migraña con aura, pero en el año 2004, en la segunda edición de la clasificación de la IHS, se la incluye dentro de las Neuralgias craneales y dolores faciales de causa central (8). La tercera edición la clasifica dentro de las Neuropatías craneales dolorosas y otros dolores faciales (7).
Este cambio se debió a que dejó de considerarse como una variante de migraña, para ser considerada como una neuropatía dolorosa, fundamentalmente por la demostración de la captación de contraste en RM de los nervios afectados (3,7,8). A pesar de este cambio en la denominación, la segunda edición de la clasificación aún incluía como criterio diagnóstico que las cefaleas presentaran características migrañosas (8). Esto fue eliminado en la tercera edición (7). Si bien no se considera un síndrome migrañoso, en un tercio de los pacientes la cefalea es de características migrañosas y el antecedente familiar de migraña está presente en el 62% de los casos aproximadamente (3).
La mayoría de los casos reportados tienen comienzo en la edad pediátrica o en adultos jóvenes (1,2,3,6).
El compromiso oculomotor puede aparecer durante la cefalea o luego de la misma, con una latencia que puede ser de hasta 14 días (7). El nervio craneano más frecuentemente involucrado es el III par, pudiendo comprometer tanto la motricidad intrínseca como la extrínseca, aunque con frecuencia el compromiso es de varios nervios oculomotores (3,5,7). La paresia puede durar algunas semanas, e incluso meses, y la recuperación casi siempre es completa (2,3,5).
Dentro de los criterios diagnósticos está el descartar una lesión orbitaria, paraselar o de fosa posterior mediante estudios complementarios pertinentes, siendo la RM el estudio de mayor rendimiento (1,3,4,6,7).
Queremos resaltar la importancia de realizar una RM con gadolinio frente al planteo de esta enfermedad, dado que la captación de contraste del nervio afectado, como lo que se observó en este caso, es un elemento que permite apoyar al diagnósticode esta patología, si bien no es un criterio diagnóstico establecido por la IHS (1,2,5,7,9). Un nervio oculomotor normal nunca capta contraste. En la Neuropatía oftalmopléjica dolorosa recurrente esto esta descripto hasta en un 75% de los casos, pudiendo persistir entre 7 y 9 semanas (1,3). No contamos con RM de control en este paciente para establecer el tiempo que persistió la captación de contraste. Otros cuadros patológicos que también pueden presentar captación de contraste por parte de los nervios oculomotores en la RM son la neuro-borreliosis, sífilis, coccidioidomicosis, el virus de inmunodeficiencia humana y la sarcoidosis (3,5).
A la fecha, tanto la etiología como la fisiopatología aún permanecen inciertas (1,2). La teoría más aceptada es que es debida a una neuropatía desmielinizante (1,2,5,6). Esto es apoyado por el hallazgo de captación de contraste en la RM (1,5). Se propone que el proceso inflamatorio que afecta los nervios oculomotores irrita fibras sensitivas trigeminales, las cuales activan el sistema trigémino-vascular, produciendo así la cefalea (5).
En lo terapéutico, si bien el primer episodio no fue tratado, sí se trataron los consiguientes, logrando una reducción en la duración de los síntomas con ciclos cortos de prednisolona vía oral, hecho ya descripto en la literatura (5,6).
El nivel de evidencia para evaluar la efectividad del tratamiento es puramente observacional (3). Se recomienda el comienzo temprano de altas dosis de corticoides para resolver rápidamente los episodios agudos (5,6). También se ha reportado, luego del tratamiento agudo con esteroides, la reducción de captación de contraste, hecho que coincide con la resolución del cuadro clínico (2,9).
Como profilaxis se ha reportado la utilización de flunarizina, acetozolamida, propanolol, ciproheptadina o verapamil (2).
Los episodios de oftalmoplejia pueden continuar hasta la adultez (10).
Si bien las secuelas son poco frecuentes, se ha descripto debilidad residual de los músculos inervados por el III par craneano y disfunción pupilar en algunos pacientes (2,6,10). Las secuelas son menos frecuentes en los pacientes que recibieron corticoides en la fase aguda del cuadro clínico (2,6,10). En nuestro paciente no se evidenció déficit residual tanto en la oculomotoricidad extrínseca como en la intrínseca.
En conclusión, más allá de su baja prevalencia, es importante tener en consideración esta entidad dentro de los diagnósticos diferenciales de un paciente con cefaleas y compromiso oculomotor, más aun si el mismo es recurrente. Queremos resaltar el valor de la RM no solo para descartar otras patologías que expliquen los síntomas, sino como apoyo al diagnóstico. También es necesario destacar que el inicio temprano de corticoides durante la fase agudade la enfermedad permite disminuir la duración del cuadro clínico y reducir el riesgo de secuelas, si bien en la mayoría de los casos se trata de una enfermedad con excelente evolución.
Bibliografía
1 – Giraud P, Valade D, Lanteri-Minet M, Donnet A, Geraud G, Guégan-Massardier E. Is migraine with cranial nerve palsy an ophthalmoplegic migraine? J Headache Pain. 2007;8:119-22.
2 – Bharucha D, Campbell T, Valencia I, Hardison H, Khotare S. MRI findings in pediatric ophthalmoplegic migraine: a case report and literaturereview. Pediatr Neurol. 2007;37:59-63.
3 – Gelfand A, Gelfand J, Prabakhar P, Goadsby P. Ophthalmoplegic “migraine” or recurrent ophthalmoplegic cranial neuropathy: new cases and systematic review. J Child Neurol. 2012;27:759-66.
4 – Ozge A, Termine C, Antonaci F, Natriashvili S, Guidetti V, Wöber-Bingöl C. Overview of diagnosis and management of paediatric headache. Part I: diagnosis. J Headache Pain. 2011;12:13-23.
5 – Bek S, Genc G, Demirkaya S, Eroglu E, Odabasi Z. Ophthalmoplegic migraine. Neurologist. 2009;15:147-9.
6 – Vecino R, Casas J, Alvarez-Linera J, Noval S. Migraña oftalmoplejica. Valor de la resonancia magnetica. An Pediatr (Barc). 2009;71:72-5.
7 - Headache Classification Committee of the International Headache Society (HIS). The international classification of headache disorders, 3rd edition (beta version). Cephalalgia. 2013;33: 629-808.
8 - Headache Classification Committee of the International Headache Society. The international classification of headache disorders: 2nd edition. Cephalalgia. 2004;24 Suppl 1:9-160.
9 – Patro S, Banerjee T. A case of ophthalmoplegic migraine: some observations. Neuroradiol J. 2011;24:862-6.
10 – O´Hara M, Anderson R, Brown D Magnetic resonance imaging in ophthalmoplegic migraine of children. J AAPOS.2001; 5:307-10.













