Introducción
La articulación radiocarpiana es una estructura biomecánica compleja que involucra un paquete de múltiples tendones que tienen origen en el antebrazo y el codo. Permiten los movimientos como flexión, extensión, desviación cubital, desviación radial, pronación y supinación (1,2,3. Conformada por músculos extrínsecos que se originan en el antebrazo y músculos intrínsecos que se originan dentro de la mano, controlando los movimientos (1. Todos estos músculos están inervados por los nervios mediano, radial o cubital, y se subdividen en seis compartimentos 2. El compartimiento 6 está conformado por el tendón del músculo extensor carpí ulnaris (ECU), que se origina a partir del tendón común de los extensores, se angula 30° durante la pronación y se inserta en la base del quinto metacarpiano; en su trayecto pasa por detrás del cúbito y se cubre por una vaina osteofibrosa que lo estabiliza en el surco cubital 2,3. El ECU su función principal es la extensión de la muñeca y la desviación cubital de la mano; se sitúa en el sexto compartimento reforzado por la línea yugata, fibras longitudinales y transversales que evitan la subluxación del ECU durante la supinación (3.
Existen cuatro pilares principales biomecánicos que ocasionan lesiones tendinosas en estos compartimientos, como lo son el trauma, lesión por sobrecarga de peso, torsión, lanzamientos y movimientos repetitivos (4. Las lesiones del extensor carpi ulnaris no son tan frecuentes; cuando se presentan, pueden causar dolor en la muñeca durante la supinación, la flexión o la desviación cubital, síntomas asociados a patologías como tenosinovitis, subluxación del tendón o rotura del ECU 3,4. El tratamiento se hace a través de intervenciones quirúrgicas con el fin de la reparación o reconstrucción de los tendones y músculos. En primera instancia, se considera una evaluación riesgo-beneficio en la que se escogerá el método de intervención quirúrgica, como suturar firmemente entre sí, pero cuando la reparación con sutura directa no es una opción, se considera evaluar la intervención quirúrgica con injertos o las transferencias de tendones, que sirven como procedimientos alternativos, correlacionando la evaluación clínica y anatómica de cada paciente (5,6,7,8,9.
A continuación, se describe un caso que presentó ruptura espontánea del tendón carpi ulnaris, su manejo y evolución.
Presentación del caso
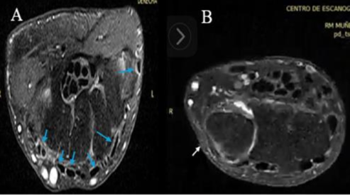
Hombre de 63 años, sin antecedentes de importancia, con cuadro de tres meses de dolor en región dorsal del antebrazo y con dificultad para movimientos biomecánicos de la articulación de la muñeca radiocarpiana, niega algún tipo de trauma previo. En el examen físico presentaba signos vitales normales. Se evidenció edema en antebrazo, dolor en punto de inserción del tendón carpi ulnaris y en la base del quinto metacarpiano. Se ordenaron imágenes; la ecografía demostró engrosamiento del ECU, la resonancia magnética describió hallazgos de discontinuidad distal cerca al punto de inserción en la base del quinto metacarpiano (Figura 1). Ante los hallazgos, consideran al paciente candidato para reinserción con injerto tendinoso.

Figura 1: RM A: Compartimientos anatómicos de los tendones en la articulación radiocarpiana (Flechas azules). B: Evidencia la ruptura tendón carpi ulnaris (Flecha blanca)
Se realizó una intervención quirúrgica con un abordaje dorsal en el tercio distal del antebrazo, se identificó, se realizó disección y reparación de la rama dorsal del nervio cubital; posteriormente identificación del cabo proximal del ECU a 8 cms proximal de la estiloides cubital con liberación de este y cabo distal de 1 cms en la inserción anatómica teniendo un defecto residual de 6 cms. Cosecha de injerto de palmaria longis por medio de un abordaje transversal en el pliegue del puño de 1 cms, disección proximal y toma de toda su extensión hasta la unión miotendinosa. Realización de injerto a cabo proximal con técnica de pulvertaf y reinserción distal por medio de un anclaje de 1.8 mm a la base del quinto metacarpiano con puntos de krakov y suturando el injerto al cabo distal. Inmovilización con férula antebraquimetacarpiana en extensión del puño sin bloqueo de la pronosupinación. El procedimiento es descrito sin complicaciones.

Figura 2: A: Marcaje de ubicación del territorio del ECU, B. Abordaje tendón palmaris longus. C: Ruptura Extensor Carpo Ulnaris. D: Sutura tipo pulvertaft de cosecha palmaris longus, E. Reinserción en base del quinto metacarpiano con sutura de anclaje, F. Puntos de krakov y sutura del cabo distal a través y alrededor del injerto.
Luego de la intervención quirúrgica, se ordenó un plan de rehabilitación en tres fases, que consistía en tres semanas de inmovilización, posteriormente movilización pasiva y uso de órtesis de muñeca de tres a 8 semanas. A las 8 semanas de la cirugía iniciaron la rehabilitación funcional con movilidad activa durante 10 días, teniendo como resultado efectivo de la biomecánica anatómica (Figura 3). El paciente acudió a control a los tres meses con ortopedia y se encontró al paciente con adecuada flexión, extensión, desviación cubital, desviación radial, pronación y supinación de la muñeca.
Discusión
La ruptura espontánea del extensor carpi ulnaris es una lesión poco común, que se presenta habitualmente en deportistas y pacientes con artritis inflamatoria. Ocasiona signos de tendinopatía, tenosinovitis, inestabilidad del tendón con un significativo déficit funcional, asociado a dolor crónico, limitación de la biomecánica de la articulación radiocarpiana, en especial al realizar acciones que requieran supinación o desviación cubital (8,9,10,11. Signos claramente evidenciados en este caso.
Ahora bien, es importante reconocer los diagnósticos diferenciales de la ruptura espontánea del extensor carpi ulnaris (ECU), incluyen la luxación o subluxación del tendón ECU, tendinopatía del ECU, lesiones del complejo fibrocartílago triangular (CFCT), lesiones del ligamento lunotriquetral, y otras causas de dolor cubital en la muñeca como la inestabilidad de la articulación radiocubital distal o fracturas cubitales (12.
Los reportes encontrados refieren el uso de injerto local tendinoso en defectos de 0.5 cm a 1 cm dependiendo de la zona de lesión, y la interposición de injerto tendinoso en lesiones mayores, de preferencia, injerto de tendón del palmaris longus11,13).
Ayala-Ugalde FA, et al. presentaron el caso de una mujer de 63 años, pianista, con diagnóstico de artritis reumatoide, que presentó de manera espontánea incapacidad para la flexión de tercer, cuarto y quinto dedos de la mano derecha de dos años de evolución. Realizaron tenosinovectomía, sinovectomía de la muñeca y transferencias tendinosas con buenos resultados (9. Demostrando que el uso de injertos tendinosos es un manejo prometedor en estas patologías; no obstante, es de destacar que el paciente presentado no padecía ningún tipo de artritis inflamatoria. Así mismo, Lamoth A, et al. presentaron un caso de un hombre de 39 años, trabajador manual, sin antecedentes patológicos a destacar, con diagnóstico de rotura espontánea del extensor largo del primer dedo aguda y su resolución mediante la realización de una transferencia del extensor propio del índice al extensor propio del pulgar (10. También Meiwandi A, et al. realizaron una revisión para comparar la transposición del tendón extensor indicis pollicis y el injerto de tendón palmaris longus en la reconstrucción de la extensión del pulgar después de la pérdida de la función del tendón extensor pollicis longus y determinaron que el uso de un injerto libre de tendón palmaris longus parece ser la opción principal en estos pacientes. Sin embargo, no hay evidencia de nivel I que respalde esa recomendación (11. Shih YS, et al. incluyeron tres casos de rotura del tendón flexor largo del pulgar en pacientes que se habían sometido previamente a reducción abierta y fijación interna con una placa volar. La intervención quirúrgica consistió en la extracción de la placa volar, tenólisis y reconstrucción con injerto de tendón palmaris longus. Las evaluaciones de seguimiento mostraron una mejoría gradual de la función de la muñeca, sin complicaciones ni infecciones postoperatorias8. Mismos resultados presentados por el caso presentado.
La degeneración tendinosa asociada a la edad y los movimientos repetitivos que someten al tendón a tensiones excesivas pueden conllevar una ruptura espontanea (6,7,8,9,10,11. Las transferencias tendinosas han demostrado ser una alternativa de reparación y recuperación de la funcionalidad, especialmente cuando la reparación directa no es viable (8,9,10,11. Como se logró evidenciar en el caso clínico expuesto, donde el paciente recuperó la funcionalidad de los arcos del movimiento de una manera satisfactoria.















