SciELO - Scientific Electronic Library Online

 
vol.12 número1Rotura de la fascia plantar tras una lesión de fútbol: un caso de tratamiento conservador y recuperaciónOportunidades perdidas: la ausencia de diagnóstico de la anemia preoperatoria índice de autoresíndice de materiabúsqueda de artículos
Home Pagelista alfabética de revistas  

Servicios Personalizados

Revista

Articulo

Links relacionados

Compartir


Anales de la Facultad de Medicina

versión On-line ISSN 2301-1254

Anfamed vol.12 no.1 Montevideo  2025  Epub 01-Jun-2025

https://doi.org/10.25184/anfamed2025v12n1a10 

Imágenes biomédicas

Quiste hidático hepático. Correlación anatomo-imagenológica.

Liver hydatid cyst. Anatomical- imaging correlation.

Cisto hidático hepático. Correlação anatômica-imagem.

1Profesor titular de Clínica Quirúrgica. Departamento de Cirugía. Hospital Maciel. ASSE. Montevideo, Uruguay. Correo electrónico: lrusomartinez@gmail.com


Resumen:

La hidatidosis por Echinococcus granulosus es una enfermedad en franco retroceso, pero aún frecuente en nuestro país. El conocimiento de las imágenes preoperatorias y de la anatomía quirúrgica de la hidatidosis hepática es fundamental para establecer un diagnóstico preciso y planificar la técnica más efectiva. Asimismo, contribuye a un seguimiento y manejo posoperatorio seguro, optimizando los resultados. Esta comunicación presenta un conjunto de imágenes que permiten al lector integrar sus principales elementos diagnósticos con la anatomía intraoperatoria de un quiste hidatídico hepático.

Palabras clave: quiste hidático; Higado; Equinoccocus granulosus; Vias biliares

Abstract:

Echinococcus granulosus`s hydatidosis is a disease in frank decline but it is still common in our country. Knowledge of preoperative imaging and the surgical anatomy of hepatic hydatidosis is essential for establishing an accurate diagnosis and planning the most effective surgical technique. It also contributes to safe postoperative follow-up, optimizing outcomes. This report presents a set of images that allow integrate the main diagnostic elements with the intraoperative anatomy of a hepatic hydatid cyst.

Keywords: hydatid cyst; Liver; Echinococcus granulosus; Biliary tract

Resumo:

A hidatidose por Echinococcus granulosus é uma doença em franco declínio, mas ainda frequente em nosso país. O conhecimento das imagens pré-operatórias e da anatomia cirúrgica da hidatidose hepática é fundamental para estabelecer um diagnóstico preciso e planejar a técnica mais eficaz. Além disso, contribui para um acompanhamento e manejo pós-operatório seguro, otimizando os resultados. Esta comunicação apresenta um conjunto de imagens que permitem ao leitor integrar seus principais elementos diagnósticos com a anatomia intraoperatória de um cisto hidático hepático.

Palavras-chave: cisto hidático; fígado; Echinococcus granulosus; vias biliares

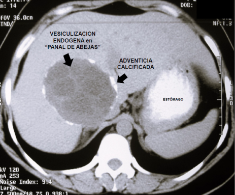
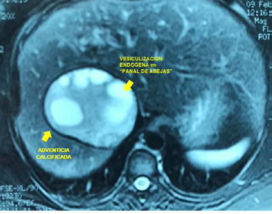
Esta comunicación muestra la correlación imagenológico-quirúrgica (Figura 1) de los estudios habituales para el diagnostico de quiste hidático en su forma crónica más frecuente: conteniendo "vesículas hijas" producto de la vesiculización endógena - responsable del signo patognomónico del “panal de abejas “ (Figura 2) - que es un indicador de vitalidad y complicación del quiste. La adventicia -muy gruesa y calcificada- se observa como una lámina blanca bien definida en la TC, (Figura 3) bajo forma de una lamina hipointensa en la RNM (Figura 4) e hiperecogénica en la ecografía (Figura 2) y corresponde a la reacción inflamatoria crónica del parénquima hepático por estimulo inmunológico de la lámina periquística hidática ,que en la evolución se infiltra de calcio .Las calcificaciones se visualizan mejor mediante TC. (Figura 3).La colangio-RNM es específica para establecer las relaciones quiste con el sistema biliar. (Figura 5)

Estas formas crónicas de hidatidosis tienen indicación quirúrgica debido al riesgo de rotura, apertura en las vías biliares o en los gruesos vasos venosos. No deben tratarse solo evacuando el quiste -quistostomia- por el riesgo de fistula quisto-biliar e infección crónica en la cavidad residual. La adventicia -lamina periquística- debe resecarse completamente, mediante una periquistectomia total , o“casi” total , dejando sólo pequeñas áreas en contacto directo con las venas hepáticas y/o los pedículos glissonianos.

Figura 1: Quiste hidático hepático. Aspecto intraoperaatorio.Se observa la gruesa pared calcificada del quiste y las vesiculas hijas en su interior de color blanco ,que se debe a la ausencia de comunicación quisto- biliar. En las fistulas las vesículas hijas se impregnan del color verde de la bilis. 

Figura 2: Aspecto ecográfico de quiste hidático de hígado. Se observan las vesículas hijas, que dan a la lesión un aspecto de “panal de abejas” y las calcificaciones en la pared del quiste que sugieren el diagnostico . 

Figura 3: Tomografia computarizada.(TC).. Muestra una visión más precisa de las áreas calcificadas periféricas y de la vesiculización endógena . Permite establecer las relaciones vasculo-biliares del quiste. 

Figura 4: La ​​resonancia nuclear magnética (RNM) aporta imágenes de mayor precisión y está indicada para quistes con complicaciones biliares. 

Figura 5: La colangio-RNM proporciona una visión detallada de las relaciones del quiste con el árbol biliar y muy precisa de las fistulas cisto-biliares. 

Bibliografia consultada: Ferrer Inaebnit E, Molina Romero FX, Segura Sampedro JJ, González Argenté X, Morón Canis JM. A review of the diagnosis and management of liver hydatid cyst. Rev Esp Enferm Dig 2022;114(1):35-41 Pascal G, Azoulay D, Belghiti J, et al. Hydatid disease of the liver. In: Blumbgart’s Surgery of the Liver, Biliary Tract, and Pancreas. 6th edition. Philadelphia: Elsevier; 2017. p. 1102-21. Keong B, Wilkie B, Sutherland T, et al. Hepatic cystic echinococcosis in Australia: an update on diagnosis and management. ANZ J Surg. 2018;88(1-2):26-31. DOI: 10.1111/ans.14117 Engler A, Shi R, Beer M, et al. Simple liver cysts and cystoid lesions in hepatic alveolar echinococcosis: A retrospective cohort study with Hounsfield analysis. Parasite 2019;26:54. DOI: 10.1051/parasite/2019057 Kratzer W, Weimer H, Schmidberger J. Echinococcosis: a Challenge for Liver Sonography. Ultraschall in Med 2022; 43: 120-145

Nota del editor: Los editores responsables por la publicación de este trabajo son Liliana Servente y Patricia Braga

Nota de contribución autoral: El único autor es Luis Ruso Martínez

Nota de disponibilidad de datos: El conjunto de datos que apoya los resultados de este estudio no se encuentran disponibles

Recibido: 01 de Julio de 2024; Aprobado: 10 de Marzo de 2025

Creative Commons License Este es un artículo publicado en acceso abierto bajo una licencia Creative Commons