Introdução:
Apesar de não muito frequente, nos últimos 20 anos, houve um aumento significativo dos relatos sobre rotura do músculo peitoral maior, normalmente associados à prática de atividade física em que ocorre contração intensa e/ou uso de cargas pesadas exercendo resistência sobre o músculo.(1, 2, 3, 4) A maior parte dos indivíduos acometidos por este tipo de lesão são homens, entre 20 e 40 anos, praticantes de musculação, boxe ou jiu-jitsu. (1, 2, 3, 4)
O diagnóstico em fase aguda é importante para melhores resultados durante o tratamento e definição da abordagem adotada, que pode ser conservadora ou cirúrgica a depender da classificação da lesão e suas indicações.(1, 4) Os métodos de imagem mais utilizados são a ressonância magnética e a ultrassonografia, de modo que ambas apresentam pontos positivos e negativos. (1, 4)
Durante o estudo foi evidenciada a necessidade da criação de um método padronizado para a classificação da rotura, para que a decisão do manejo de cada quadro possa ser o mais adequado para cada paciente. O presente estudo tem o objetivo de relatar um caso de rotura do músculo peitoral maior em um paciente que não realizava atividade física de forma rotineira.
História Clínica
Homem de 51 anos com dor no tórax à direita e no braço direito há 3 dias após tentar consertar o guidão da moto. Apresenta ao exame físico assimetria dos peitorais, com perda de força do membro superior direito e dificuldade de movimentação do membro, além de hematoma no braço direito (Figura 1). Não consegue colocar a mão na cabeça, na região lombar e no outro membro devido algia.
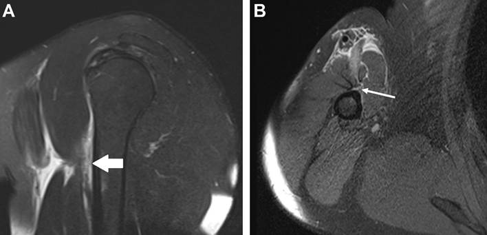
Refere hipertensão arterial sistêmica em tratamento, prática irregular de atividade física (musculação), porém não realiza há 4 meses. A ressonância magnética demonstrou rotura completa da junção miotendínea do peitoral maior (Figura 2), com tendinopatia com fissuras insercionais e intrasubstanciais infraespinhal e tendinopatia com rotura parcial do tendão subescapular. O ortopedista indicou, duas semanas após a lesão, o uso de medicação analgésica e repouso, sem a necessidade de fisioterapia. Três meses depois, o paciente apresenta limitação da movimentação do membro superior direito devido a dor, apesar da algia estar diminuindo, além de redução da força e da firmeza no membro e dificuldade de dormir do lado direito.

Figura 2: Ressonância magnética do ombro direito no corte sagital na sequência T2 com saturação de gordura (FAT SAT) (A) e no corte axial na sequência densidade protônica com saturação de gordura (DP FAT SAT) (B) demonstrando rotura completa da junção miotendínea do peitoral maior com efusão líquida local e conteúdo hemático associado (seta branca).
Discussão:
A rotura do peitoral maior está normalmente associada à prática de levantamento de peso, durante contração intensa do peitoral maior, com o braço em extensão e rotação externa.(1, 5) O mecanismo de lesão mais comum é o do tipo indireto, associado à prática de supino,(1, 2, 3, 4, 5) boxe, jiu-jitsu, windsurf e ginástica olímpica,(2, 3) apesar disso, o paciente analisado no presente relato de caso sofreu a lesão ajustando o guidão de sua motocicleta, e não durante a realização de práticas esportivas. Esse tipo de lesão é considerado raro, mas vem aumentando significativamente nos últimos 20 anos(1, 2, 3, 4) e ocorrem tipicamente em indivíduos do sexo masculino, na faixa de 20 a 40 anos. Cerca de 365 casos foram reportados na literatura.(1, 3) Dentre esses, apenas 11 casos foram reportados em mulheres.(3) Estudos apontam uma possível relação entre esta lesão e a utilização de anabolizantes esteróides,(1, 2) cerca 39 pacientes faziam uso dessas substâncias, logo, não parece ser um fator essencial para a ocorrência deste tipo de lesão.(3)
O músculo peitoral maior é largo e possui duas cabeças, chamadas de clavicular uniforme e esternocostal segmentada, sendo o maior músculo da parede anterior do tórax,(6) possuindo formato triangular, se originando na clavícula medial, superfície anterior do esterno, cartilagem costal (da primeira até a sexta costelas), e na aponeurose do músculo oblíquo externo do abdome.(2) As principais funções do músculo peitoral maior são os movimentos de adução, elevação anterior e rotação interna.(1, 4)
O diagnóstico adequado e rápido se faz importante, pois a correção cirúrgica da lesão demonstra bons resultados quando feita no início do quadro, deve ser realizada com base na anamnese e exame físico detalhados e com associação de exame de imagem, que auxilia no entendimento do quadro e na decisão médica.(1) O médico radiologista desempenha um papel fundamental na detecção e classificação da lesão, e deve ter conhecimento dos marcos anatômicos principais e possíveis variações anatômicas que podem estar presentes.(4) Edemas, hematomas, rigidez muscular e assimetrias podem estar presentes ao exame físico. A fossa axilar deve ser analisada e comparada com sua equivalente contralateral, pois assimetrias ou desaparecimento da mesma podem ser um importante indicador de rotura do peitoral maior.(1, 2) Alguns pacientes se queixam ainda de aumento do volume, dor e fraqueza muscular durante o movimento de adução.(2)
Os exames de imagem mais utilizados na identificação da rotura de peitoral maior são a ultrassonografia e a ressonância magnética.(1, 2, 4) O papel da ultrassonografia no diagnóstico eficaz de rotura do peitoral maior vem sendo descrito desde 1998 como um método rápido e eficaz com boa resolução espacial, possibilita a avaliação comparativa com o lado contralateral, além de possuir baixo custo e maior disponibilidade quando comparado a ressonância magnética.(7) Como desvantagem, é altamente dependente do operador que a realiza e pode estar sujeita a falsos negativos,(1, 4) é utilizado para diagnóstico em 10% dos casos.(2) Já a ressonância magnética é descrita como um método de imagem eficaz, assim como demonstrado no exame do presente relato de caso, este método permite maior diferenciação das estruturas e auxilia na tomada de decisão médica e auxilia na prevenção de cirurgias desnecessárias. É um exame de imagem realizado em 90% dos casos, com alta acurácia.(1, 2) São achados confiáveis da rotura completa da espessura total na inserção do úmero do peitoral maior o deslocamento anterior do tendão bíceps braquial e o hematoma peri-bicipital de formato triangular.(5) Contudo, precisa ser solicitada de forma adequada, dependendo de que o médico que faz o atendimento inicial suspeite de uma possível rotura para que realize o protocolo de exame correto.
Entre as opções de tratamento existem a abordagem conservadora, indicada para casos de contusão, rotura parcial ou rotura completas de indivíduos pouco ativos, com baixa demanda muscular. Estudos indicam boa recuperação para as atividades de vida diária, mas essa abordagem pode resultar em defeitos estéticos e déficits na força muscular.(1) O tratamento baseia-se em uso de gelo, imobilização, analgésicos e controle do hematoma, exercícios leves devem ser iniciados a partir de duas semanas de tratamento, mas as atividades físicas normais devem retornar apenas após quatro a seis meses depois. Em alguns casos os pacientes devem evitar o levantamento de peso de forma definitiva. (1, 2)
Já a abordagem cirúrgica está associada a resultados estéticos e de força muscular mais satisfatórios, além de permitir a volta da prática de atividade física para atletas. (1, 2)Está indicada para roturas completas. Deve ser realizada especialmente na fase aguda da lesão, em até seis semanas, para melhores resultados. Após a realização da cirurgia, é necessária imobilização por cerca de quatro a seis semanas e, posteriormente, movimentação passiva e exercícios isométricos, para que após cerca de três a quatro meses o paciente passe a levantar peso de forma progressiva. (1, 2)
No caso do paciente relatado, seguiu-se ao tratamento conservador, apresentando desfecho satisfatório, sem a necessidade de tratamento cirúrgico e sem limitação de movimentos. Apesar de pouco frequente, a rotura do peitoral maior vem se tornando mais incidente nas últimas décadas.(5) Isso se deve provavelmente pela maior popularidade das práticas esportivas associadas ao levantamento de peso. Sistemas de classificação mais eficientes e padronização do diagnóstico por imagem se mostram cada vez mais necessárias para o diagnóstico na fase aguda e decisão da abordagem mais apropriada para o tratamento, pois a identificação e o manejo na fase inicial garantem melhores resultados.















