INTRODUCCIÓN
El astrágalo tiene una anatomía única y juega un papel fundamental en la función del tobillo y pie.
Las fracturas de astrágalo se consideran una urgencia ortopédica especialmente las fracturas de cuello desplazadas, debido al alto riesgo de necrosis avascular. Sin embargo, estas son raras en los niños con una prevalencia estimada del 0,008% de todas las fracturas pediátricas.1) (2
Su baja incidencia podría explicarse por ser una estructura predominantemente cartilaginosa, sumado a que se trata de un esqueleto inmaduro, lo cual lo hace mas resistente y es capaz de absorber mayor fuerza en flexión sin fracturarse.3) (4
La vascularización del astrágalo está dada por una compleja anastomosis a nivel del seno del tarso proviniente de la arteria del seno del tarso y la arteria del canal del tarso. El trauma puede alterar la integridad de este suministro de sangre, comprometiendo la viabilidad del astrágalo. Por lo tanto, el tratamiento de las fracturas de astrágalo es de particular importancia para prevenir el desarrollo de necrosis avascular (AVN).5
Según la clasificación de Hawkins modificada por Canale-Kelly, las fracturas del cuello del astrágalo se agrupan en cuatro tipos: tipo 1 (fractura vertical no desplazada), tipo 2 (fractura desplazada del cuello del astrágalo con subluxación de la articulación subastragalina), tipo 3 (fractura desplazada de cuello del astrágalo con subluxación o luxación del cuerpo del astrágalo) y tipo 4 (subluxación o luxación de la articulación subastragalina, tibio-astragalina y astrágalo-escafoidea).1) (6
En cuanto a la clasificación de las fracturas de cuboides, no existe en la literatura una clasificación con fines pronósticos o terapéuticos. La AO las diferencia en 2 tipos: simple y conminuta. Fenton y Nammari propusieron un sistema de clasificación con fines descriptivos, tipo 1 (avulsión), tipo 2 (extraarticulares), tipo 3 (intrarticulares), tipo 4 (complejas), y tipo 5a (columna lateral) 5b (bicolumnar).7) (8) (9
Las fracturas del cuello del astrágalo se asocian con una alta tasa de complicaciones, entre las más importantes se destacan la artrosis postraumática y la NAV. Éstas están relacionadas principalmente con el grado de desplazamiento inicial del cuello del astrágalo y la incidencia puede ser del 100%. Es por ésto que este tipo de fracturas a menudo requieren reducción abierta y fijación interna (ORIF) para restaurar la alineación correcta y la función normal del pie y el tobillo, logrando así disminuir al mínimo el porcentaje de complicaciones.10) (11
OBJETIVOS
Los objetivos del presente trabajo son demostrar la evolución de un paciente con una patología poco frecuente, con una asociación lesional no reportada hasta el momento y realizar una revisión bibliográfica del tema.
CASO CLÍNICO
Sexo masculino 9 años, concurre a consulta en urgencias tras sufrir un traumatismo indirecto de pie izquierdo, quedando atrapado bajo la rueda del auto. Se destaca que no presenta lesiones de piel y partes blandas con indemnidad neurovascular. Se descartaron síntomas de sindrome compartimental agudo.
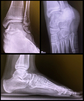
Inicialmente se solicitaron radiografías y tomografía axial computada que mostraron una luxofractura de cuello de astrágalo con desplazamiento del cuello medialmente asociado a una fractura del cuboides.
La fractura de astrágalo de nuestro paciente fue clasificada según Hawkins como una tipo 2.
Se destaca la asociación de una fractura del hueso cuboides la cual fue clasificada como tipo simple AO y tipo 3 de Fenton y Nammari (fractura intraarticular).

Fig. 2 Tomografía axial computada, cortes coronal axial y sagital. Fractura de cuello de astrágalo, desplazamiento medial. Corte axial, fractura cuboides.
No se realizaron maniobras de reducción en puerta de emergencia.
Se llevó el paciente a block quirúrgico el mismo día del ingreso hospitalario, con el objetivo de realizar reducción abierta y fijación interna.
Se colocó manguito de isquemia, se realizó un abordaje longitudinal anterior y se incidió la cápsula longitudinalmente. Se redujo la fractura utilizando agujas de Kirschner como joystick hasta lograr una reducción anatómica. Posteriormente se fijó con 2 agujas de Kirschner paralelas anteroposteriores.
En el posoperatorio se realizó férula suropedia durante 8 semanas.
Se realizaron controles clínicos e imagenológicos a la semana y 2 semanas luego de la cirugía. Luego al mes, a los 3 y 6 meses. Por último, al año y a los 3 años posteriores a la lesión.
Destacamos la presencia del signo de Hawkins positivo en el control imagenológico a los 3 meses luego de la lesión, siendo este un elemento que nos indica preservación de la vascularización del astrágalo.
Del control a los 3 años luego de la intervención quirúrgica se destaca una excelente evolución clínica. Se realizó la escala AOFAS, con previo consentimiento de los padres, obteniendo una puntuación de 93/100. No presentó limitaciones en cuanto al dolor, con un total de 40 puntos, no mostró limitaciones en cuanto a la función, con un total de 45 puntos. Observamos una leve desaxación en valgo del retropie, asintomático, con un total de 8 puntos.
DISCUSIÓN
Las fracturas de astrágalo son muy poco frecuentes en la población pediátrica. Estas lesiones ocurren por mecanismos de alta energía, asociando una dorsiflexión máxima con una carga axial. 1
En nuestro caso la fractura ocurrió por un mecanismo por aplastamiento-atrapamiento de pie bajo la rueda de un auto, destacando la ausencia de lesiones de partes blandas asociadas y sin sintomas de sindrome compartimental agudo.
Dado que este tipo fracturas ocurren ante mecanismos de alta energía, pueden asociar diferentes tipo de lesiones entre las que se destacan lesiones de partes blandas, atrapamientos tendinosos, lesiones neurovasculares así como también luxofracturas graves y otras fracturas asociadas, 1 como es el caso de nuestro paciente donde observamos una fractura del hueso cuboides sin desplazamiento asociada a la fractura de cuello del astrágalo. Destacamos que esta rara asociación lesional no ha sido reportada hasta el momento en la bibliografía.
No existe consenso en cuanto a cuál es la mejor opción terapéutica para los diferentes tipos de fracturas de cuboides. Thomas Ruffing et al revisaron de forma retrospectiva una cohorte de pacientes tratados entre 2001 y 2016, los mismos concluyeron que dado la inhomogeneidad de los patrones fracturarios no existe una recomiendación con buen nivel de evidencia que avale cuál es la mejor opción terapéutica. Encontraron que los pacientes con fracturas de cuboides intraarticulares presentaban puntuaciones funcionales mas bajas. 7
La literatura disponible sobre el tratamiento y los resultados después de las fracturas del astrágalo en niños es escasa y consiste principalmente en series descriptivas con un número reducido de pacientes. 10
Xu Zhang et al, compararon 23 pacientes tratatados en forma percutánea con 26 pacientes pacientes tratados mediante reducción abierta y fijación interna, llegando a la conclusión de que los pacientes tratados en forma percutánea tuvieron una consolidación ósea en un menor tiempo, menor tasa de pseudoartrosis y mejor función del tobillo. A su vez, ninguno de los pacientes en estudio desarrolló NAV ni artrosis postraumática. Una limitación importante de este estudio es el escaso número de pacientes. 10

Fig. 3 Radiografías intraoperatorias. Reducción de fractura mediante kirschner. Fijación definitiva con 2 agujas de kirschner anteroposteriores.
Por otra parte existen autores que plantean reducción abierta y fijación interna como primera opción de tratamiento mostrando buenos resultados, por lo tanto el tratamiento sigue siendo tema de controversia. 10
En nuestro caso se realizó reducción abierta y fijación percutánea. Se logró una excelente consolidación ósea sin complicaciones y con buena funcionalidad de tobillo luego de 3 años de seguimiento.
Existen diferentes complicaciones luego de una fractura de astrágalo en la población pediátrica, las más destacadas son, NAV, artrosis postraumática, dolor crónico, consolidación viciosa y pseudoartrosis. 10
Debido al escaso número de series existentes la incidencia de estas complicaciones no se ha logrado establecer de forma precisa. Según las diferentes series consultadas oscilan entre 0-66% para la necrosis avascular y 0-55% para la artrosis postraumática precoz. 12
La NAV es una de las complicaciones más importantes luego de una fractura de cuello de astrágalo y su incidencia está directamente relacionada con el tipo de fractura y su desplazamiento inicial. Lo anteriormente mencionado está bien establecido en la población adulta, no así en la población pediátrica. El número pequeño de pacientes en los estudios, así como la escasa literatura existente que muestra resultados contradictorios, no nos permite sacar conclusiones al respecto. 13
En una revisión reciente, Haverkort et al informaron una tasa de necrosis avascular del 64,9% después de las fracturas del astrágalo tipo III de Hawkins. También se ha informado que incluso las fracturas del cuello del astrágalo con desplazamiento mínimo pueden provocar necrosis avascular. 1
S. Kamphuis et al, en su trabajo hacen referencia a la presencia de NAV en fracturas de cuello de astrágalo sin desplazamiento, afirmando que existe una alteración del anillo vascular que rodea al cuello del astrágalo al momento de la fractura. 4
Está bien establecido que las fracturas de astrágalo son más graves en pacientes adolescentes comparado con las que ocurren en niños pequeños, esto se debe probablemente a la inclusión en deportes de contacto y a la participación de adolescentes en siniestros de tránsito. 10) (14
Eberl et al. compararon los tipos de fracturas astragalinas en grupos de pacientes menores y mayores de 12 años de edad y encontraron que el mecanismo de lesión de alta energía resultó en lesiones menos graves en los pacientes más jóvenes que en los pacientes mayores. 15
Smith et al. informaron que la incidencia de este tipo de lesiones fue mayor en adolescentes que en los niños. Las complicaciones reportadas fueron necrosis avascular (7%), artrosis postraumatica (17%) y retardo de consolidación (3%). Concluyeron que la ausencia de compromiso subastragalino y la presencia de un aumento del metabolismo óseo, característico en los niños, hacen menos probable la aparición de dichas complicaciones. 12
CONCLUSIONES
Las fracturas del astrágalo son raras en la población pediátrica pero pueden ocasionar complicaciones graves. Estas lesiones suelen ser mas graves en pacientes adolescentes en comparación con niños pequeños.
En nuestro caso observamos una fractura grave, con una asociación lesional no descrita hasta el momento, que presentó muy buena evolución, con una consolidación ósea, sin complicaciones y con buen resultado funcional a los 3 años de la cirugía.
En cuanto al tratamiento, no contamos con estudios de buen nivel de evidencia que demuestren que una opción terapéutica sea mejor que otra. Esta demostrado que debemos actuar de forma urgente y lograr una reducción anatómica para disminuir el riesgo de complicaciones y la morbilidad de las lesiones.
Al tratarse de una patología muy poco frecuente y rara, la bibliografía revisada es en general de baja evidencia científica y se basa en su mayoría en reporte de casos clínicos, excepto una revisión sistemática con bajo numero de pacientes. De todas formas creemos que nuestro trabajo es novedoso y tiene un gran aporte al presentar una asociación lesional no reportada hasta el momento.
Creemos que son necesarios estudios a largo plazo y con mayor número de pacientes para evaluar de forma correcta este tipo de lesiones y sus complicaciones en la población pediátrica.

















