SciELO - Scientific Electronic Library Online

 
vol.10 issue2Aggressive Pelvic Angiomyxoma: case report and revisionMultiple osteonecrosis induced bye glucocorticoids. author indexsubject indexarticles search
Home Pagealphabetic serial listing  

Services on Demand

Journal

Article

Related links

Share


Anales de la Facultad de Medicina

On-line version ISSN 2301-1254

Anfamed vol.10 no.2 Montevideo  2023  Epub Dec 01, 2023

https://doi.org/10.25184/anfamed2023v10n2a4 

Caso clínico

Estenosis gastroduodenal: una complicación infrecuente del carcinoma gástrico de células en anillo de sello

Upper gastrointestinal stenosis: a rare complication of gastric-signet ring cell carcinoma

Estenose gastroduodenal: uma complicação rara do carcinoma gástrico de células em anel de sinete

1Clínica de Gastroenterología, “Prof. Dra. Carolina Olano”, Hospital de Clínicas. Universidad de la República. Montevideo, Uruguay. Correos electrónicos: emanatacao@hotmail.com, yespontet@gmail.com, vilopp@gmail.com


Resumen

El carcinoma de células en anillo de sello es una variante histopatológica de cáncer gástrico que se encuentra en aumento, se caracteriza por un mal pronóstico. Se presenta el caso de un hombre joven al que se le hizo este diagnóstico en el contexto de una complicación rara como es el síndrome de estenosis gastroduodenal.

Palabras clave: cáncer gástrico; células en anillo de sello; estenosis gastroduodenal

Summary

Signet ring cell carcinoma is a histopathological variant of gastric cancer that is increasing and is characterized by a poor prognosis. We present the case of a young man who underwent this diagnosis in the context of a rare complication such as upper gastrointestinal stenosis syndrome.

Keywords: gastric cancer; signet ring cells; upper gastrointestinal stenosis

Resumo

O carcinoma de células em anel de sinete é uma variante histopatológica do câncer gástrico que está aumentando e é caracterizado por um mau prognóstico. É apresentado o caso de um jovem que recebeu este diagnóstico no contexto de uma complicação rara como a síndrome de estenose gastroduodenal.

Palavras-chave: câncer gástrico; células em anel de sinete; estenose gastroduodenal

Introducción

El adenocarcinoma gástrico constituye 95% de todos los tumores malignos de estómago. Su incidencia en Uruguay se encuentra en descenso y en el periodo 2014 a 2018 fue 12,66, mientras que la tasa de mortalidad fue 10,55 por cada 100.000 habitantes.2 A nivel mundial la incidencia del carcinoma gástrico de células en anillo de sello (CGCAS) se encuentra en aumento y representó 35% - 45% de los nuevos casos. (3 A nivel microscópico puede ser bien diferenciado (papilar o tubular) o indiferenciado que es el caso de la variante con células en anillo de sello, cuyo rango de incidencia es amplio (3-39% en países occidentales). (1,2

Se identifican como factores de riesgo para el desarrollo de cáncer gástrico determinantes genéticos y ambientales. Dentro del primero se destaca la mutación del gen CDH1 que codifica la glicoproteína E cadherina, se asocia a diagnóstico en edades más tempranas y a un subtipo histológico indiferenciado. (4) Dentro de los ambientales la infección por H. pylori es uno de los determinantes más importantes. (5,6

Se define por la OMS como la presencia de más de 50% de células, aisladas o en grupo, con mucina intracitoplasmática, se incluye dentro del subgrupo carcinoma pobremente cohesivo. (7 La presentación clínica del CGCAS depende del tiempo de evolución, localización y extensión del tumor. En etapas iniciales suele ser asintómatico en 80% de los casos y si presenta síntomas son inespecíficos. Hasta 30% de los CGCAS debutan en estadio IV. (8,9 Esto, sumado a la escasa respuesta a la quimioterapia, la cual es inversamente proporcional al porcentaje de CAS del tumor, reviste un mal pronóstico para estos pacientes. Dentro de las compliaciones el sindrome de estenosis gastroduodenal es poco frecuente y se describe en hasta 10%. 8,9,10,11

La cirugía y quimio inmunoterapia constituyen alternativas terapéuticas válidas dependiendo de variables como la resecabilidad del tumor y el terreno del paciente, por lo que el tratamiento es individualizado e interdisciplinario. (10,11

Caso clínico

Se presenta el caso de un hombre de 42 años sin antecedentes familiares a destacar, que refería ERGE de larga data en tratamiento con omeprazol. Como antecedente quirúrgico presentaba la perforación de ulcus duodenal de cara anterior, en contexto de anemia severa (Hb 6 g/dl) sin sangrados evidentes con buena evolución en el posoperatorio mediato. Recibió tratamiento empírico para erradicación de H. pylori con cuádruple terapia por 14 días.

Dos meses luego de la cirugía, consultó con un sindrome de estenosis gastroduodenal caracterizado por epigastralgia y vómitos de retención, asociados a adelgazamiento de 10 kg. Del examen físico se destacaba repercusión general, dolor epigástrico a la palpación profunda, sin defensa, con el hallazgo de clapoteo y bazuqueo.

En este contexto se realizó una VEDA (video endoscopía digestiva alta) donde se reportó esofagitis grado B de los Ángeles. En estómago había alimentos sólidos retenidos, con un píloro edematoso que estenosaba completamente la luz, de aspecto inflamatorio, con múltiples ulceraciones, infranqueable. Fue interpretada inicialmente como estenosis posquirúrgica. La TC de abdomen contrastada informaba un engrosamiento de las paredes de la región antropilórica, sin otras lesiones asociadas.

Por la falta de respuesta al omprezol IV en altas dosis se decidió una reevaluación con VEDA, que reportó estenosis pilórica regular de 7 mm de diámetro y 3 cm de longitud y la presencia de una úlcera circunferencial localizada en el píloro cubierta de fibrina. El bulbo se encontraba deformado en relación a antecedente quirúrgico y estenosis descrita.

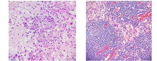
Se tomaron biopsias de la estenosis que informaron infiltración de la mucosa gástrica antral por adenocarcinoma moderada a pobremente diferenciado, ulcerado, con presencia de células en anillo de sello. Se realizó gastrectomía parcial con anastomosis Billroth II y linfadenectomía sin complicaciones (Figura 1 y 2).

Figura 1: Carcinoma gástrico con abundantes células anillo de sello 

Figura 2:   Fuente: Cortesía Clínica Quirúrgica B, Hospital de Clínicas  Gastrectomía parcial 

La macroscopía de la pieza reportó lesión vegetante y ulcerada, estenosante, Borman III de 8 x 5 cm, que ocluía 100% de la luz y comprometía todo el espesor parietal. La microscopía reportó carcinoma pobremente diferenciado con células en anillo de sello. Se estudiaron 8 ganglios linfáticos y todos fueron positivos. Se catalogó como T3N3M0.

Discusión

Se discute el caso de un hombre con CGCAS que como atencedente presentaba ulcus duodenal perforado y a los dos meses debutó con un sindrome de estenosis gastroduodenal acompañado de repercusión general. Venturelli describió en un estudio de cohorte que hasta 90% de los tumores gástricos se encuentran en estadío avanzado al diagnóstico como en este caso. Del total de los detectados en etapas tempranas en este estudio, sólo 20% fueron CAS. (12

El cáncer gástrico tiene una mayor prevalencia en hombres pero se ha descrito que la variante CAS es ligeramente más frecuente en mujeres, con un relación 1,2:1. El CGCAS debuta a edades más tempranas, con un pico de incidencia entre los 30 y 50 años, franja en la que se encontraba el paciente. (1,2,12

Al igual que en el caso descrito, la principal localización del CGCAS es en la región antropilórica (40%).13 La estenosis gastroduodenal es una complicación descrita en hasta 10% de los CGCAS pero no existe mucha información disponible donde el diagnóstico se realice a partir de esta presentación clínica. (12,13

En este caso, el antecedente de ulcus duodenal perforado reciente llevó a que se interpretaran los síntomas del CGCAS como parte de una evolución tórpida del cuadro y no a una etiología diferente y maligna, si bien llamaba la atención el valor de hemoglobina alcanzado en ese contexto. Un abordaje mediante laparotomía de la complicación del ulcus quizá hubiese permitido el diagnóstico del cáncer gástrico en paralelo, pero es de elección la laparoscopía de urgencia por la menor morbimortalidad y además el paciente no presentaba ningún indicio previo ni factores de riesgo de cáncer gástrico. Independientemente del abordaje, no existe evidencia que indique la toma de biopsias de ulcus duodenal perforado. (14

Hasta 35% se presenta como lesiones ulceradas con crecimiento fungoide. Se ha reportado que la forma predominante de presentación es como tumores pT3 (invasión subserosa) hasta en 90%.13) La invasión ganglionar es el principal factor pronóstico en cualquier estirpe. Si bien en el paciente no impresionaban adenomegalias en la evaluación imagenológica, la linfadenectomía confirmó su invasión como es esperable para este tipo de neoplasias al debut. (15

En una serie de casos con CGCAS se evidenció que el uso de quimioterapia presentaba menor respuesta comparado con el adenocarcinoma. Probablemente esto se deba al mayor compromiso peritoneal de CAS vs NCAS. Se recomienda la neoadyuvancia basada en Fluoracil mas leucovorina, oxaliplanao y docetaxel (FLOT) en tumores rescables, localmente avanzados. (16 Además hay otras opciones que dependen del perfil molecular como trastuzumab, nivolumab, pembrolizumab o bevacizumab17,18 En el caso presentado se realizó gastrectomía parcial con anastomosis Billroth II y linfadenectomía, pero podría haberse discutido la realización de gastrectomía total. Shyn obtuvo mejores resultados con la gastrectomía total sumada a linfadenectomía extendida en los casos que fueron resecables. (19 Por otra parte, Maithan et al en un estudio retrospectivo que incluyó 17086 individuos observó que la gastrectómia parcial tuvó mejor supervivencial general versus la total en CGCAS. 20

El pronóstico de CGCAS es malo. Se ha descrito que en el estadio IIIB la supervivencia a 5 años es 5-10% a pesar de que se trate de un paciente joven sin comorbilidades. En cuanto al seguimiento endoscópico, actualmente no hay una recomendación formal ya que se ha visto que no mejora la sobrevida. El consejo genético de la búsqueda del mutaciones germinales en el gen CDH 1, que codifica la proteína E cadherina está recomendado para los familiares de primer grado en el caso de síndromes hereditarios y en pacientes menores de 40 años con cáncer gástrico difuso por lo que no se realizó en este caso. En los portadores de la mutación CDH 1, se recomienda gastrectomía profiláctica o seguimiento anual con VEDA implementando el protocolo Bethesda. 21,22).

El interés de presentar este caso, radica en difundir la presentación de un CGCAS que debuta con una complicación poco frecuente como es el sindrome de estenosis gastroduodenal.

Agradecimientos

Dra Catalina Alvarez, Dra Martha Otero, Dra Alison Guillen, Dr Nicolás Geribaldi.

Bibliografía

1. Ceroni M, Norero E, Martínez C, Mejia R, Muñoz R, et al. La presencia de células en anillo de sello en la biopsia endoscópica no es un buen predictor para el diagnóstico de carcinoma gástrico de células en anillo de sello. Rev chi. 2018;70(3):218-223. [ Links ]

2. Registro Nacional de Cancer. Situación epidemiológica del Uruguay en relación al Cáncer. Montevideo. Comisión lucha contra cáncer. 2022;1:7-10. Disponible en: https://www.comisioncancer.org.uy/Ocultas/Situacion-Epidemiologica-del-Uruguay-en-relacion-al-Cancer--Mayo-2022-uc108. [ Links ]

3. Yang L, Zhikai Z, Fuhai M, Liyan X, Yantao T. Gastric signet ring cell carcinoma:Current management and future challenges. Cancer Manage Res. 2020:12. 7973-7981. [ Links ]

4. Oliveira C, Seruca, R Carneiro, F. Hereditary gastric cancer. Best Pract Res Clin Gastroenterol. 2009;23(2):147-157. [ Links ]

5. Correa P, Piazuelo MB, Wilson KT. Pathology of gastric intestinal metaplasia: clinical implications. Am J Gastroenterol. 2010;105:493-498. [ Links ]

6. Sugano K.Gastric cancer: Pathogenesis, screening and treatment.Gastrointest Endosc Clin N Am. 2008:513-522. [ Links ]

7. Nagtegaal I, Odze R, Klimstra D, Paradis V, Rugge M, et al. The WHO classification of tumours of the digestive system. Histopathology. 2020;76(2):182-188. [ Links ]

8. Boldys H, Marek T, Wanczura P, Matusik P, Nowak A. Even young patients with no alarm symptoms should undergo endoscopy for earlier diagnosis of gastric cancer. Endoscopy. 2003;35(1):61-70. [ Links ]

9. Jwo S, Chien R, Chao T, Chen Y, Lin C. Clinicopathological features, surgical management, and disease outcome of perforated gastric cancer. J Surg Oncol. 2005;91:219-225. [ Links ]

10. Watanabe H, Jass JR, Sobin LH. Histological typing of esophageal and gastric tumours. WHO International Histological Classification of Tumors. Berlín. Springer Verlag. 1990;109:232-243. [ Links ]

11. Messager M, Lefevre JH, Pichot-Delahaye V, Souadka A, Piessen G, et al. Impact of perioperative chemotherapy on survival in patients with gastric signet ring cell adenocarcinoma: a multicentric comparative study. Ann Surg. 2011;254:684-693. [ Links ]

12. Venturelli F, Cárcamo C, Venturelli A, Cárcamo M, Born M, et al. Análisis de sobrevida del cáncer gástrico en anillo de sello según profundidad y compromiso linfonodal. Rev Chil Cir. 2008;60:398-402. [ Links ]

13. Matsuyama, S, Ohkura, Y, Eguchi, H. Estrogen receptor beta is expressed in human stomach adenocarcinoma. J Cancer Res Clin Oncol. 2002;128(6):319-324. [ Links ]

14. Biloslavo A, Mastronardi M, Sandano M, Gabrieli A, Troian M. Laparoscopic treatment for perforated gastroduodenal ulcer: direct repair surgical technique. Ann Laparosc Endosc Surg. 2023;8:22. [ Links ]

15. Bowrey D, Griffin SM, Wayman J, Karat D, Hayes N, et al. Use of alarm symptoms to select dyspeptics for endoscopy causes patients with curable esophagogastric cancer to be overlooked. Surg endoscopy. 2006; 20(11): 1725-1728. [ Links ]

16. Batra S, Homann N, Pauligk C, Goetze T, Meiler J, et al. Perioperative chemotherapy with fluorouracil plus leucovirn, oxaliplatin and docetaxel versus fluorouracil or capecitabine plus cisplatin and epirubicin for locally advanced, resectable gastric or gastro oesophageal junction adenocarcinoma (FLOT4): a randomized, phase 2/3 trial. Lancet. 2019;393:1948-1957. [ Links ]

17. Messager M, Lefevre JH, Pichot V, Souadka A, Mariette C. Impact of perioperative chemotherapy on survival in patients with gastric signet ring cell adenocarcinoma:a multicentric comparative study. Ann Surg. 2011;254:684-693. [ Links ]

18. Agnarelli A, Vella V, Samuels M, Papanastasopoulos P, Giamas G. Incorporating inmunotherapy in the management of gastric cancer:Molecular and clinical implications. Cancers. 2022;14(18):4378. [ Links ]

19. Shyn J, Rong C, Tzu C, Huang C. Cl. Clinicopathological features, surgical management, and disease outcome of perforated gastric cancer. J Surg Oncol. 2005;91(04):219-225. [ Links ]

20. Moslim M, Handorf E, Reddy S, Greco S, Farma J. Partial Gastrectomy is associated with improved overall survival in signet ring cell gastric cancer. J Surg Res. 2021;266:27-34. [ Links ]

21. Hansford S, Kaurah P, Li-Chang H, Woo M, Senz J, et al. Hereditary Diffuse Gastric Cancer Syndrome: CDH1 Mutations and Beyond. JAMA Oncol. 2015;1:23. [ Links ]

22. Curtin B, Gamble L, Schueler S, Marilyn S, Quezado M, et al. Enhanced endoscopic detection of occult gastric cancer in carriers of pathogenic CDH1 variants. J Gastroenterol. 2021;56(2):139-146. [ Links ]

Nota del editor: El editor responsible por la publicación del presente artículo es Nelia Hernández

Nota de contribución autoral: Los autores declaran que Emanuel Pontet elaboró el 70% del trabajo, Yéssica Pontet el 15% y Virginia López el restante 15%

Recibido: 06 de Julio de 2023; Aprobado: 25 de Septiembre de 2023

Creative Commons License Este es un artículo publicado en acceso abierto bajo una licencia Creative Commons