SciELO - Scientific Electronic Library Online

 
vol.10 número1Tratamiento de las fracturas por herida de arma de fuego: Revisión bibliográfica sistematizada.Primer caso de escisión mesorrectal total transanal (TaTME) para el tratamiento del cáncer de recto medio en un centro docente universitario: descripción de la técnica. índice de autoresíndice de materiabúsqueda de artículos
Home Pagelista alfabética de revistas  

Servicios Personalizados

Revista

Articulo

Links relacionados

Compartir


Anales de la Facultad de Medicina

versión On-line ISSN 2301-1254

Anfamed vol.10 no.1 Montevideo  2023  Epub 01-Jun-2023

https://doi.org/10.25184/anfamed2023v10n1a1 

Caso clínico

Infección osteoarticular multifocal en un recién nacido

Multifocal osteoarticular infection in a neonate

Infecção osteoarticular multi-focal num recém-nascido

1Clínica de Traumatología y Ortopedia Pediátrica. Facultad de Medicina Universidad de la República Oriental del Uruguay (UdelaR). Uruguay. Correo electrónico: jspecker92@gmail.com

2Clínica de Traumatología y Ortopedia Pediátrica. Facultad de Medicina. Universidad de la República Oriental del Uruguay (UdelaR), Uruguay. Correo electrónico: marcosrodriguezbranco@gmail.com

3Clínica de Traumatología y Ortopedia Pediátrica. Facultad de Medicina. Universidad de la República Oriental del Uruguay (UdelaR), Uruguay. Correo electrónico: meperezcarrera@gmail.com


Resumen

Tanto la osteomielitis como la osteoartritis séptica en el período neonatal son patologías infrecuentes. La afectación ósea de la columna cervical es aún más rara, siendo excepcional en neonatos. Son patologías graves, con elevada morbimortalidad, donde el diagnóstico y tratamiento precoz agresivo son de suma importancia para el pronóstico vital y funcional.

Presentamos el caso de un neonato que presentó una sepsis a S. Aureus multirresistente, asociada a una osteomielitis de la primera vértebra cervical y a una osteoartritis séptica de la cadera izquierda. Fue tratado precozmente de forma quirúrgica y con antibioticoterapia, presentando una buena evolución.

Palabras clave: neonato; sepsis; osteomielitis; osteoartritis séptica; columna vertebral

Abstract

Both osteomyelitis and septic osteoarthritis in the neonatal period are infrequent pathologies. Bone involvement of the cervical spine is even rarer, being exceptional in neonates. These are serious pathologies, with high morbimortality, where early diagnosis and aggressive treatment are of utmost importance for the vital and functional prognosis.

We present the case of a neonate who presented with sepsis due to multidrug-resistant S. Aureus, associated with osteomyelitis of the first cervical vertebra and septic osteoarthritis of the left hip. He was treated early surgically and with antibiotic therapy, presenting a good evolution

Keywords: neonate; sepsis; osteomyelitis; septic osteoarthritis; spine

Resumo

Tanto a osteomielite como a osteoartrose séptica no período neonatal são patologias raras. O envolvimento ósseo da coluna cervical é ainda mais raro, sendo excepcional nos recém-nascidos. Estas são patologias graves, com elevada morbimortalidade, onde o diagnóstico precoce e o tratamento agressivo são da maior importância para o prognóstico vital e funcional.

Apresentamos o caso de um recém-nascido que apresentou sepse devido a S. Aureus multirresistente, associado a osteomielite da primeira vértebra cervical e osteoartrose séptica da anca esquerda. Foi tratado precocemente cirurgicamente e com terapia antibiótica, com uma boa evolução.

Palavras-chave: neonato; sépsis; osteomielite; osteoartrose séptica; coluna vertebral

Introducción

La osteomielitis y la artritis en el periodo neonatal son patologías infrecuentes con complicaciones potencialmente graves. Afectan cerca de 1 - 3 niños cada 1000 anualmente, siendo más frecuentes en varones que en mujeres (ratio 2.5:1). Es frecuente la demora en el diagnóstico ya que la presentación clínica es inespecífica, lo que lleva a retrasar el tratamiento precoz aumentando la morbimortalidad a corto y largo plazo. 1-3

Presentamos un caso de un recién nacido con afectación multifocal con osteoartritis séptica (OAS) y osteomielitis (OM) causado por Staphylococcus aureus (S. aureus) multirresistente a punto de partida de una sepsis neonatal.

El objetivo del presente trabajo es hacer un reporte de caso de una asociación lesional infrecuente en el periodo neonatal, mostrando los resultados clínicos e imagenológicos en la evolución.

Reporte de caso

Se trata de un recién nacido de término, vigoroso, macrosómico (4220 g), producto de una segunda gesta, con un embarazo bien controlado, complicado por una diabetes gestacional. Previo al alta, presenta episodios de hipoglicemias sintomáticas (cianosis e hipotonías) por las que requirió aporte de glucosa intra-venoso por multiples vías venosas periféricas en ambos miembros superiores. A los 10 días de vida presenta rubor y supuración en uno de los sitios de punción con elementos de respuesta inflamatoria sistémica, con dificultad respiratoria grave, requiriendo asistencia ventilatoria mecánica (AVM) en un centro de tratamiento intensivo (CTI) en el interior de nuestro país.

Clínicamente se destacaba tumefacción a nivel de la mastoides a izquierda, así como afectación neurológica dado por hemiplejia a derecha. De la paraclínica en sangre 23.83 × 103/mm3 globulos blancos, un hemocultivo y cultivo de líquido cefalo-raquideo que desarrolló S. Aureus resistente a amoxicilina, ceftriaxona, clindamicina, eritromicina y cefradina. También se le realizó la punción articular de ambos hombros y caderas donde los cultivos fueron negativos. Se descartaron enfermedades de inmunodeficiencias.

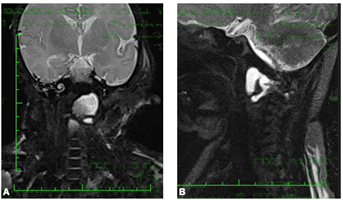
En cuanto a la imagenología se estudió con tomografía computada (TC) y resonancia magnética (RNM) a los 12 días de vida, donde se destacan hallazgos compatibles con meningitis complicada con isquemia y trombosis de los senos transversos y sigmoideos izquierdos; así como una colección retrofaríngea a izquierda de aproximadamente 20 x 9 x 15 mm la cual se extiende hacia región paravertebral a izquierda comprometiendo la primera vértebra cervical (C1) sin extensión al canal espinal (Figura 1).

Figura 1: A, B: Corte coronal y sagital en secuencia T1 de RNM, se observa colección retrofaríngea a izquierda de aproximadamente 20 x 9x 15 mm la cual se extiende hacia región paravertebral a izquierda comprometiendo la primera vértebra cervical. 

La conducta con estos hallazgos fue la punción transoral del absceso y el drenaje del mismo a través de una cervicotomía lateral. También se inició el tratamiento antibiótico intravenoso (i/v) con Vancomicina y Rifampicina, así como la isocoagulación. Luego fue enviado al Hospital Pediátrico de referencia, el Centro Hospitalario Pereira-Rossell (CHPR) en Montevideo, donde ingresó a la unidad de cuidados intensivos con 42 días de vida.

Durante dicha internación continuó con episodios de hipoventilación, destacándose los hallazgos de una nueva RNM (a los 2 meses de vida) donde se observó una alteración de las relaciones anatómicas en la región de la charnela cráneo raquídea con aplanamiento del clivus y ascenso en conjunto de C1-C2 con impacto sobre el tronco encefálico, lo cual produce la dilatación de la cisterna magna y del sistema ventricular. Así mismo, se observa proceso inflamatorio mal delimitado comprometiendo planos músculo aponeuróticos de la región cervical alta y compromiso de la masa lateral izquierda de C1 (Figura 2).

Figura 2: A, B: Corte sagital en secuencia T1 FAT-SAT (A) y T2 (B) de RNM, se observa aplanamiento del clivus y ascenso en conjunto de C1-C2 con impacto sobre el tronco encefálico, lo cual produce la dilatación de la cistarena magna y del sistema ventricular. Así mismo, se observa proceso inflamatorio mal delimitado comprometido planos músculo aponeuróticos de la región cervical alta y compromiso de C1 del lado izquierdo 

En dicho centro se procede a realizar una punción evacuadora transfontanelar (en dos oportunidades), la colocación de vendaje tipo de Schanz cervical (Figura 3) ejerciendo tracción con el propio peso del paciente dandole una inclinación de 45° en decúbito dorsal, y completar el tratamiento antibiótico i/v por 6 semanas; presentando mejoría progresiva en sala.

Figura 3: Imagen clínica de paciente con Vendaje de Schanz cervical 

En la evolución, previo al alta médica, se observó clínicamente una dismetría de los miembros inferiores, con una prueba de Galeazzi positiva. Por lo cual se realiza una ecografía de ambas caderas que muestra una alteración de las relaciones articulares a izquierda, y una radiografía de pelvis en la cual se evidencia una luxación de la misma, así como una reacción perióstica en la metáfisis del fémur (Figura 4), la cual se interpreta como una complicación de una osteoartritis séptica, y que dado el diagnóstico tardío y buena evolucion del paciente se decide realizar control evolutivo de la misma.

Figura 4: Radiografía AP de pelvis en la cual se evidencia una luxación de la misma, así como una reacción perióstica en la metáfisis del fémur 

Al alta, se mantuvo el uso del vendaje cervical por un total de 4 meses de forma permanente. Permitiendo la movilidad controlada con el mismo.

En el control a los 6 meses de vida, presenta buen crecimiento y desarrollo, aunque con alguna dificultad para lograr el sostén cefálico. Del examen físico del aparato osteoarticular se destacan movimientos de flexo-extensión y rotaciones de cuello tanto activos como pasivos; mantiene la dismetría de los miembros inferiores de aproximadamente 2 cm, sin dolor a la movilización de los mismos. De la imagenología, la RNM cervical presenta recesión del proceso inflamatorio prevertebral, así como un descenso de C1-C2 sobre el tronco encefálico; mientras que en la radiografía de pelvis mantiene la luxación de la cadera izquierda con una disminución de la reacción perióstica metafisaria (Figura 5).

Destacamos que se contó con la aprobación de los padres del paciente para realizar la publicación del trabajo.

Figura 5: A: Corte sagital en secuencia STIR de RNM, se observa recesión del proceso inflamatorio prevertebral, asi como un descenso de C1-C2 sobre el tronco encefálico. B: Radiografía AP Pelvis, mantiene la luxación de la cadera izquierda con una disminución de la reacción perióstica metafisiaria. 

Discusión

Presentamos el caso de un neonato con sepsis tardía por S. Aureus multirresistente, asociada a una osteomielitis de la primera vértebra cervical y osteoartritis séptica de la cadera izquierda. Fue tratada precozmente de forma quirúrgica y con antibioticoterapia presentando buena evolución.

Tanto la OM como la OAS en el período neonatal son patologías infrecuentes siendo 1 - 3 niños cada 1000 anualmente en trabajos de países desarrollados, mientras que en países sub-desarrollados existe una incidencia mayor siendo 7 cada 1000 nacidos3,4. La afectación ósea de la columna cervical es aún más rara, presentándose en 1 cada 100000 - 250000 habitantes en la población general, siendo excepcional en neonatos5. Son patologías graves, con elevada morbimortalidad, donde el diagnóstico y tratamiento precoz agresivo son de suma importancia para el pronóstico vital y funcional.

La infección ósea se puede dar por varios mecanismos; por vía hematógena, extensión local de un foco contiguo, así como por inoculación directa secundaria a una herida penetrante (traumática o quirúrgica). Creemos que en nuestro paciente la infección de la cadera se dio por vía hematógena, mecanismo más frecuente de esta patología. En cuanto a la afectación cervical la misma pudo haber sido por extensión local por el absceso prevertebral o por vía hematógena inoculando C1 agregando el absceso en la evolución. Staphylococcus aureus es el patógeno más frecuente, seguido de Streptococcus spp. del grupo B y bacterias Gram-negativas como Escherichia coli y Klebisella pneumoniae. La resistencia adquirida para S. Aureus es un problema en la actualidad, variando en los distintos países, pero con una tendencia al aumento de la misma.2,3,5-7

En neonatos, la presentación clínica suele ser inespecífica comparada con lactantes, lo que puede llevar a retrasos diagnósticos. Los síntomas más frecuentes son la dificultad para alimentarse, irritabilidad, afectación de la movilidad de los miembros, edema localizado y fiebre. Cuando existe afección de la columna cervical es frecuente que se acompañe de síntomas neurológicos, los cuales pueden estar causados por colapso, luxofracturas o abscesos extradurales. A su vez, la sintomatología puede diferir desde elementos loco-regionales hasta generalizados ya que se puede dar en un contexto de bacteriemia o sepsis, como en el caso de nuestro paciente. 1,2,4,5,7

La sepsis neonatal, se define como el proceso infeccioso sistémico que se manifiesta en las primeras cuatro semanas de vida extrauterina, la misma se puede clasificar como temprana (primeros 7 días de vida) y tardía (luego de los primeros 7 días). Los factores asociados son: el uso de catéteres intravasculares, bajo peso al nacer, prematurez, internación prolongada, alimentación parenteral e inmunodeficiencias 8-11. En la serie de Berberian y cols. 1 de los 15 pacientes con OM, se destaca que dos fueron a punto de partida de una sepsis y cinco presentaban vías venosas como factor predisponente como en este paciente.

La afectación ósea multifocal es frecuente, presentándose entre en un 18 - 60% según las distintas series, habiendo aun mayor incidencia en el periodo neonatal. Los miembros inferiores son los más afectados, dentro de estos la cadera y la rodilla.1,4,12,13

Los análisis de laboratorio cumplen un rol considerable para realizar el diagnóstico de las infecciones osteoarticulares. La velocidad de eritrosedimentacion (VES), los glóbulos blancos (GB) totales y diferenciados, y la proteína C reactiva (PCR) son de utilidad ya que son indicadores de infección, aunque si bien son sensibles, no son específicos. En cuanto a los cultivos, los mismos pueden ser en sangre o de la aspiración de liquido sinovial u óseo, siendo positivos hasta en un 50 - 60% según las distintas series.6,13)

Las radiografías simples también son importantes, debiendo ser el primer estudio imagenlógico de elección. Los cambios radiográficos no se evidencias hasta el séptimo o decimo día desde el inicio de la infección. En los neonatos con OM es frecuente que se observen elementos indirectos de derrame intraarticular, por la asociación de estas patologías en este grupo etario. (4 La ecografía es un estudio útil, de fácil acceso y no invasivo, que puede mostrar edema de partes blandas y colecciones subperiosticas en los huesos largos; así como derrame articular en casos de OAS.6

El centellograma óseo en tres fases con99mTc tiene una alta especificidad y sensibilidad, aunque algunos autores consideran que no es necesario cuando los síntomas son evidentes; reservándose para ocasiones de difícil localización como cadera, columna, pelvis y pies. Se pueden obtener falsos negativos en presencia de abscesos o isquemia.6,13)

La resonancia magnética tiene una sensibilidad del 97% y una especificidad del 92%, siendo útil principalmente para definir la extensión espacial y la localización del proceso infeccioso, y ofrece imágenes claras para evidenciar osteomielitis en columna vertebral o pelvis. La tomografía computada provee mejores imágenes para visualizar destrucción cortical, secuestros e involucros.4,6,13

El diagnóstico y el tratamiento precoz son fundamentales para lograr mejores resultados. El drenaje de los abscesos y la articulación se debe realizar de forma inmediata, para luego iniciar la antibioticoterapia intravenosa la cual debe durar entre 3 - 6 semanas. La misma debe ajustarse según el resultado del cultivo con antibiograma.12 Nuestro paciente cultivo un S. Aureus multiresistente sensible a Vancomicina, Levofloxacina, Moxifloxacina y Sulfametoxazol-Trimetoprima por lo que se trató con Vancomicina durante 6 semanas, Rifampicina y Amikacina por 2 semanas, realizando controles clínicos y paraclínicos para valoración de injuria renal por la nefrotoxicidad de dicho tratamiento. El drenaje quirúrgico también se realizó en este caso ya que presentaba un absceso prevertebral.

Cuando existe afectación de la columna vertebral, dependiendo del grado e inestabilidad en la misma, se puede requerir inmovilización en cama por varias semanas, seguido de movilización con alguna ortesis. En los casos que se requiera estabilizar, se puede lograr con halo cervical, corsé moldeado espinal ó incluso de forma quirúrgica.5 Como mencionamos anteriormente, esta topografía para la infección ósea es extremadamente rara. Destacamos que dentro de las distintas series publicadas y consultadas, ninguna presentó el ascenso en conjunto de C1-C2 comprimiendo el tronco encefálico, tratándose ésta, de una situación excepcional.14-17 En nuestro paciente, dado el contexto y terreno general que presentaba, se optó por realizar reposo absoluto con un vendaje de Schanz cervical, como se describió anteriormente. La elección de este tratamiento se debió a que no existe un tratamiento protocolizado dado los pocos casos descritos en la literatura. Aun así, creemos que nuestro tratamiento planteado fue exitoso, y se debería de tener en cuenta para casos similares.

En cuanto a la afección de la cadera, no se intervino con ningún tratamiento agresivo ya que el diagnóstico de OAS se realizó en la evolucion; creemos el diagnóstico fue tardío a causa de la presentación clínica inespecífica así como la afectación neurológica que presentó, la cual nos dificultó al momento de topografiar un proceso infeccioso en dicha región, sumado al hecho de que había presentado punciones articulares negativas en otro centro. Aunque creemos que de haberse detectado al inicio, se hubiese beneficiado con el drenaje quirúrgico.

El seguimiento a largo plazo es importante ya que se pueden presentar secuelas entre un 6 - 50%. Las mismas implican lesiones del cartílago articular, rigidez articular, alteraciones de crecimiento óseo, inestabilidad o luxaciones articulares. Los factores de riesgo para desarrollar secuelas en la mayoría de las series son: retrasos en el diagnóstico o en realizar el drenaje quirúrgico, afección de hombro o cadera y que el organismo involucrado sea S. Aureus.4,6,12,18

Conclusiones

Presentamos el caso de un neonato con sepsis tardía asociada a una afectación ósea multifocal; patologías raras en este período de vida, siendo aún más infrecuente la asociación de las mismas. A su vez la localizacion cervical de uno de los focos de OM lo vuelve excepcional.

Es muy importante la alta sospecha al examinar y estudiar estos pacientesya que son enfermedades con presentaciones muy variadas y sintomatología inespecífica, donde retrasos en el diagnóstico llevan a peores resultados.

El tratamiento precoz con antibióticos intravenoso, así como el drenaje quirúrgico cuando corresponda son fundamentales para evitar complicaciones a corto y largo plazo.

Bibliografía

1. Salamon AS, Capuder S, Kljucevsek D, Schara K, Paro-Panjan D. Osteoarticular infections in newborns: Prognostic factors and outcome. Signa Vitae. 2020;16(1):5-11. [ Links ]

2. Al Saadi MM, Al Zamil FA, Bokhary NA, Al Shamsan LA, Al Alola SA, Al Eissa YS. Acute septic arthritis in children. Pediatr Int. 2009;51(3):377-380. [ Links ]

3. Korakaki E, Aligizakis A, Manoura A, et al. Methicillin-resistant Staphylococcus aureus osteomyelitis and septic arthritis in neonates: Diagnosis and management. Jpn J Infect Dis. 2007;60(2-3):129-131. [ Links ]

4. Berberian G, Firpo V, Soto A, et al. Osteoarthritis in the neonate: Risk factors and outcome. Brazilian J Infect Dis. 2010;14(4):413-418. [ Links ]

5. Sharma RR, Sethu AU, Mahapatra AK, Pawar SJ, Nath A. Neonatal cervical osteomyelitis with paraspinal abscess and Erb's palsy. A case report and brief review of the literature. Pediatr Neurosurg. 2000;32(5):230-233. [ Links ]

6. Dessì A, Crisafulli M, Accossu S, Setzu V, Fanos V. Osteo-articular infections in Newborns: Diagnosis and treatment. J Chemother. 2008;20(5):542-550. [ Links ]

7. Li Y, Zhou Q, Liu Y, et al. Delayed treatment of septic arthritis in the neonate :A review of 52 cases. Med (United States). 2016;95(51):e5682. [ Links ]

8. Coronell DW, Pérez DC, Guerrero DC, Bustamante DH. Sepsis RN. Rev Enfermedades Infecc en Pediatría. 2009;6(3):58-68. [ Links ]

9. González M a., Caraballo M a., Guerrero S a., Montenegro SO. Sepsis neonatal y prematurez. Rev Postgrado VIa Cátedra Med. 2006;160:22-28. [ Links ]

10. Anaya-Prado R, Valero- Padilla C, Sarralde-Delgado A, Sánchez-González JM, Gil-Villarrea F, Montes-Velázquez L. Sepsis neonatal temprana y factores asociados. Rev Inst Mex Seguro Soc. 2017;55(3):317-323. [ Links ]

11. Tapia-rombo CA, Cortés-sauza J, Saucedo-zavala J. Posibles factores de riesgo que influyen en la mortalidad por sepsis neonatal. Gac. Med. Mex 2006;142(4):283-289. [ Links ]

12. MP S. Multifocal Osteomyelitis in a Neonate, an Overview of Diagnosis and Treatment. Orthop Res Physiother. 2015;1(3):1-4. [ Links ]

13. Merino Arribas JM, Carpintero Martín I, Marrero Calvo M, Ansó Oliván S, Elvira Pardilla AI, Iglesias Escalera G. Osteomielitis aguda: Características clínicas, radiológicas, bacteriológicas y evolutivas. An Esp Pediatr. 2001;55(1):20-24. [ Links ]

14. Tomaszewski R, Bijata W. Acute haematogenous upper cervical osteomyelitis in neonates: A report of two cases. J Bone Jt Surg - Ser B. 2011;93 B(6):849-852. [ Links ]

15. Martijn A, Van Der Vliet AM, Van Waarde WM, Van Aalderen WMC. Gadolinium-DTPA enhanced MRI in neonatal osteomyelitis of the cervical spine. Br J Radiol. 1992;65(776):720-722. [ Links ]

16. Papp Z, Czigléczki G, Banczerowski P. Multiple abscesses with osteomyelitis and destruction of both the atlas and the axis in a 4-week-old infant. Spine (Phila Pa 1976). 2013;38(19):1228-1230. [ Links ]

17. Park H, Byeon HK, Kim HS, Hong JJ, Suk KS. Odontoid osteomyelitis with atlantoaxial subluxation in an infant. Eur Spine J. 2017;26:S136-S140. [ Links ]

18. Peters W, Irving J, Letts M. Long-term effects of neonatal bone and joint infection on adjacent growth plates. J Pediatr Orthop. 1992;12(6):806-810. [ Links ]

Nota del editor: El presente artículo fue aprobado para su publicación por Gabriela Algorta

Nota de contribución autoral: Responsable de elaboración de manuscrito Julián Specker. Responsables de edición Julián Specker, Marcos Rodriguez, María E. Pérez.

Recibido: 19 de Agosto de 2022; Aprobado: 17 de Noviembre de 2022

Creative Commons License Este es un artículo publicado en acceso abierto bajo una licencia Creative Commons