INTRODUCCION
La inyección epidural de esteroides es una de las técnicas utilizadas en el abordaje multimodal del dolor lumbosacro.
Las complicaciones vinculadas a su aplicación son en la mayoría de los casos menores y excepcionalmente graves.
La instalación de hipo luego de una inyección epidural es un evento adverso raramente comunicado, probablemente sub-reportado y poco conocido por quienes practican intervencionismo en dolor.
El propósito de este trabajo, es comunicar un caso en el que se presentó dicha complicación, analizar su posible etiología, su fisiopatología, su evolución, y las opciones de tratamiento.
CASO CLÍNICO
Paciente de 46 años, sexo masculino, con antecedentes de lumbalgia crónica, que
ingresó por un severo dolor lumbar con irradiación al miembro inferior derecho. La resonancia magnética nuclear (RMN) mostraba protrusiones discales a nivel lumbar (L) y sacro (S) desde L3-L4 a L5-S1.
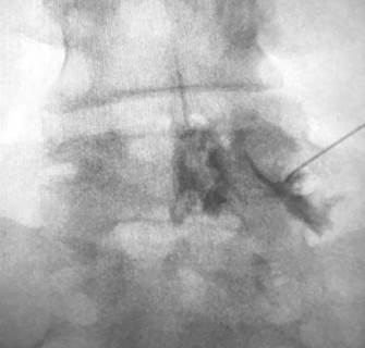
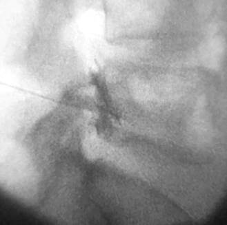
Al no responder al tratamiento instituido en base a tramadol y ketoprofeno, se le realizó una inyección peridural transforaminal de corticoides a nivel de los forámenes L4 y L5 derechos, (Figuras 1 y 2) según guía de la SIS (Spinal Injection Society). Previo control con 1 ml. de contraste iodado (iopamidol 300 mg/ml), se le administraron 20 mg de triamcinolona + 1 ml lidocaína 0.5% en cada foramen. Aproximadamente 6 horas después del procedimiento, instaló episodios de hipo de 8-10 por minuto, de 2 o 3 horas de duración, que se repitieron por un período de 50 horas, con interferencia en el descanso y en la alimentación. Los tradicionales tratamientos no farmacológicos tales como tragar agua fría, mantener la respiración, respirar en una bolsa, o la aplicación de masaje carotideo o presión supraorbital resultaron inefectivos, por lo que se le administró inicialmente 10 mg de domperidona intravenosa (iv) c/8 horas en las primeras 24 horas.
Al no obtenerse respuesta, se la sustituyó por metoclorpramida (10 mg iv c/6 horas) hasta el cese del hipo.
La inyección epidural fue efectiva, lográndose una significativa mejoría del dolor, siendo dado de alta al 5o día.
Un año antes había ingresado por un cuadro doloroso similar que recibió igual tratamiento, habiéndose registrado en esa oportunidad un episodio de hipo de 3 horas de duración que cedió espontáneamente.
Para el análisis del caso se realizó una búsqueda en la National Library of Medicine’s PubMed Database, en idioma inglés, desde Enero 2010 a Julio 2021, utilizando como
palabras clave “Hiccups y Epidural steroid injection” y se revisaron los artículos resultantes así como aquellas referencias que se consideraron relevantes.
Esta comunicación cuenta con el consentimiento del paciente y con la aprobación del Comité de Ética Institucional.
DISCUSIÓN
El hipo (singultus) es una contracción espasmódica, involuntaria y repetitiva del diafragma y de los músculos intercostales, terminada con un abrupto cierre de la glotis.
Se habla de hipo persistente cuando su duración es mayor de 48 horas y menor de un mes, y de hipo refractario cuando su duración es mayor de un mes 1.
Aunque el arco reflejo del hipo ha sido caracterizado, su exacto mecanismo fisiopatológico no ha sido totalmente definido. Estaría compuesto por una vía aferente que incluye el componente sensorial del nervio frénico, el nervio vago y la cadena simpática que nace de los segmentos torácicos (T) T6 a T12, un centro nervioso localizado en el hipotálamo, el tronco encefálico y la médula espinal a nivel de los segmentos cervicales (C) C3 a C5, y una vía eferente integrada por el nervio frénico, los nervios intercostales, la inervación del escaleno anterior y el recurrente laríngeo 2.
La estimulación de las estructuras que integran el arco reflejo puede desencadenar el hipo. La dopamina y ácido aminobutírico (GABA) pueden influir en la neurotransmisión a nivel del reflejo, así como los bajos niveles de anhídrido carbónico alveolar pueden facilitarlo o viceversa. Existiría además una vía cortical inhibitoria capaz de reprimir el hipo a nivel el arco reflejo 2.
El hipo puede tener un origen orgánico, sicogénico o idiopático. Cuando es orgánico, en la mayoría de los casos es provocado por enfermedades del tracto gastrointestinal o del sistema nervioso central.
También puede ser provocado por la acción de agentes farmacológicos. Se ha asociado el hipo con los corticoides, así como con la morfina o las benzodiacepinas.
Se describen episodios de hipo luego de la administración de corticoides tanto por vía oral, intramuscular o intravenosa.
También se reportan casos de hipo en relación a otros procedimientos intervencionistas, ya sean inyecciones intraarticulares 3 epidurales interlaminares a nivel lumbar 3, cervical 3,4, o por abordaje caudal 5.
Los reportes de hipo luego de inyecciones transforaminales son poco frecuentes.
En el presente caso, la instalación de hipo horas después de una inyección epidural en ausencia de antecedentes de enfermedad orgánica o sicológica que justificaran su aparición, nos hace pensar que se trató de un efecto adverso de la inyección epidural; diagnóstico que no fue considerado inicialmente.
Slipman 6 relata la instalación de hipo 15 horas después de una inyección transforaminal torácica de betametasona y lidocaína, que duró 3 días y medio. Fue inicialmente tratado con clorpromazina y luego ante la falta de respuesta con metoclopramida.
Abbasi 3) reporta 4 casos de pacientes que recibieron una serie inyecciones transforaminales lumbares con corticoides (betametasona, triamcinolona o dexametasona) y lidocaína. En uno de ellos el hipo se presentó en todas la inyecciones, mientras que los otros ya habían recibido inyecciones sin haber presentado hipo.
El hipo se instaló inmediatamente en la mayoría de los casos y en todos dentro de las primeras 24 horas, y se resolvió entre 12 horas y 6 días. El tratamiento lo realizó en los 4 casos con clorpromazina, en uno de ellos luego de haber fracasado al administrar metoclopramida.
Odonkor 7 refiere el caso de un paciente que recibió un bloqueo transforaminal lumbar L4-L5 bilateral con dexametasona y lidocaína, e instaló hipo horas después con una duración de 36 horas. Al repetir el procedimiento el hipo se instaló inmediatamente y desapareció a los 5 días sin haber recibido tratamiento farmacológico.
Colorado 8 describe un caso luego de una inyección transforaminal a nivel de S1 con dexametasona y lidocaína. El hipo apareció antes de las 24 horas y se resolvió dentro de las 16 horas luego de 2 dosis de baclofeno.
Se plantean varios mecanismos posibles para la provocación del hipo en el presente caso, desconociéndose si es consecuencia del fármaco inyectado o del efecto de la inyección en el espacio epidural.
Los corticoides podrían provocar el hipo por un posible efecto sistémico sobre neurotransmisores cerebrales, o por una acción sobre receptores esteroideos a nivel del arco reflejo del hipo 9.
La hipótesis de que el hipo podría ser consecuencia de la acción del anestésico local en el espacio epidural, sería poco probable que aplicara para este caso en cuenta de la baja dosis peri-radicular inyectada.
Otro posible mecanismo de provocación de hipo, podría ser el efecto de la solución inyectada en el espacio epidural sobre el volumen, flujo y presión del líquido cefalorraquídeo 10. Esta hipótesis podría plantearse para el caso de las inyecciones interlaminares, pero sería muy poco probable que fuera el mecanismo del hipo en una inyección transforaminal en vista del escaso volumen inyectado.
No se puede descartar que el hipo pueda ser la manifestación de una respuesta
individual a la inyección epidural de corticoides, en cuenta del antecedente en una
inyección anterior en este paciente, y por lo observado por otros autores al repetir las inyecciones epidurales 3,7
MacGregor 11 reporta varios casos de hipo en integrantes de una misma familia que habían recibido diferentes inyecciones de corticoides.
El análisis de los pocos casos relatados no permite establecer un factor de riesgo para la complicación.
En el presente caso, el hipo no fue inicialmente interpretado como un efecto adverso de la inyección espinal, probablemente por ser una complicación raramente reportada y poco conocida.
Se aplicaron maniobras con la intención de interferir sobre el arco reflejo del hipo a nivel del nervio vago, o para aumentar los niveles de dióxido de carbono en la sangre.
Ante el fracaso de estas medidas, se inició un tratamiento farmacológico. Los fármacos habitualmente usados para ese fin son la clorpromazina, la metoclopramida, el
baclofeno y la gabapentina, entre otros. 2,12)
No hay evidencia de la superioridad de un fármaco sobre el otro 2, ni una recomendación sobre el orden en que deberían ser aplicados, quedando la elección del fármaco en cada caso librada a la experiencia del médico tratante, a las características del paciente y a los posibles efectos secundarios.
La mayoría de estos fármacos tienen la propiedad de actuar sobre los receptores dopaminérgicos y GABA-érgicos, postulados por su acción sobre del reflejo del hipo.
La domperidona usada inicialmente en este paciente, es un fármaco antagonista de la dopamina, con moderada actividad proquinética, usado como antiemético, aunque no es un fármaco de primera línea para el tratamiento del hipo. 13
La metoclopramida actúa centralmente como antiemético por su acción antagonista
sobre los receptores de la dopamina, y a nivel periférico por su efecto agonista sobre receptores de la serotonina, aumentando la presión del esfínter esofágico inferior, la peristalsis y el vaciamiento gástrico. Usada por tiempo prolongado puede provocar disquinesia. 2,12) En este caso resultó efectiva lográndose el cese del hipo luego de 24 horas de iniciada su aplicación.
La clorpromazina es un neuroléptico fenotiazínico que actuaría sobre el hipo por bloqueo dopamínico a nivel del hipotálamo. En un momento fue considerado como tratamiento estándar para el hipo, aunque actualmente es menos usado debido a los efectos secundarios neurológicos observados en su uso prolongado. 2,12
El baclofeno es un GABA-B agonista con efectos pre-sinápticos inhibitorios sobre las neuronas motoras por lo que es usado para reducir las contracciones espásticas; tiene efectos centrales y periféricos sobre los nervios eferentes vagales, provoca inhibición de la relajación del esfínter esofágico inferior y supresión del reflujo gastroesofágico. 2,12)
La gabapentina aumentaría los efectos inhibitorios centrales de la GABA reduciendo la
liberación de neurotransmisores en el sistema nervioso central. 2,12
Algunos autores señalan la utilidad de agregar inhibidores de la bomba de protones (omeprazol) a alguno de estos fármacos. 12
La evolución del hipo observada en este caso fue favorable, así como la de los casos similares reportados en los que la duración del hipo más prolongada fue de 6 días.
El hipo puede afectar la calidad de vida al dificultar actividades habituales como respirar, comer, beber, o dormir, y si es prolongado puede provocar trastornos respiratorios, de la alimentación, de la hidratación, insomnio, o trastornos sicológicos. En el presente caso tuvo una duración de 50 horas y solo interfirió en el descanso y la alimentación.
En casos extremos de hipo refractario con fracaso a todo tratamiento, se han ensayado otros abordajes terapéuticos tales como lidocaína intravenosa 14, anestésicos locales a
nivel epidural cervical 15,o radiofrecuencia del nervio frénico 16.
No hemos encontrado referencias en la literatura analizada sobre un posible tratamiento profiláctico del hipo en las inyecciones espinales.
A pesar de su baja frecuencia y de que su evolución en el tiempo es en general favorable, es una complicación sobre la que se debería informar a los pacientes.
CONCLUSIONES
La instalación de hipo luego de una inyección transforaminal de corticoides es una complicación raramente reportada, poco conocida y en ocasiones tardíamente diagnosticada. Su diagnóstico se debe plantear por su relación temporal con la inyección, y una vez descartadas las causas que lo provocan con más frecuencia, en particular las de origen orgánico.
El mecanismo por el que se produce hipo en una inyección epidural no está totalmente dilucidado.
No hay evidencia actual que muestre la superioridad de un fármaco sobre otro entre los habitualmente usados para el tratamiento del hipo.
La evolución de esta complicación en relación a la inyección epidural de corticoides puede considerarse favorable, en vista a su reversión en días según los escasos reportes disponibles.
















