INTRODUCCIÓN
La tendinitis calcificante del músculo largo del cuello, también llamada “tendinitis calcificante retrofaríngea” o “tendinitis calcificante prevertebral” es una entidad benigna y autolimitada, que se caracteriza por la presencia de calcificaciones a nivel de C1-C2; pudiendo presentarse clínicamente con cervicalgia, odinofagia, disfagia. Se trata de una entidad poco frecuente pero a su vez infradiagnosticada. En la literatura, se menciona una incidencia anual de 0,5 casos por cada 100.000 habitantes; sin clara predominancia entre ambos sexos. El diagnóstico diferencial incluye abscesos retro faríngeos, espondilitis infecciosas o lesiones traumáticas. Considerar la existencia de esta patología como diagnóstico diferencial principalmente de procesos infecciosos ORL (absceso retrofaríngeo), resulta de gran importancia para evitar errores diagnósticos e intervenciones diagnósticas y o terapéuticas invasivas innecesarias.
CASO CLINICO
A continuación, se expone el caso de un paciente masculino, de 45 años; con varios antecedentes de consultas previas por cervicalgias aisladas, sin déficit neurológicos ni elementos mielopaticos. Carecía de síntomas en la esfera respiratoria o digestiva, sin fiebre ni pérdida de peso, apetito o adelgazamiento. Durante los últimos meses, dicha cervicalgia aumenta de forma progresiva. Posteriormente y de forma brusca, instala odinofagia y disfagia, acompañado de rango de movimiento doloroso a la extensión y rotación cervical. Siempre en apirexia sin elementos clínicos de actividad infecciosa, y con un examen neurológico normal.
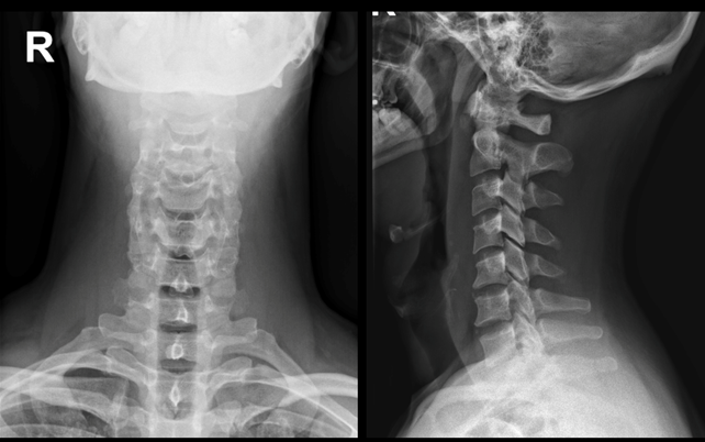
Se realiza radiografía de columna cervical, enfoques de frente y perfil, visualizándose aumento del espacio prevertebral, y constatándose de forma sutil una calcificación en la región anterior de C1-C2.
Se solicitó TAC urgente que identificó un aumento del espacio prevertebral, con la presencia de gran calcificación que se extendía anteriormente desde sector inferior al arco del Atlas hasta la base de la apófisis odontoides; orientando al diagnóstico de tendinitis calcificante del músculo largo del cuello. Se realiza además de forma urgente RNM de cuello, donde se evidencia extensa imagen hiperintensa retrofaríngea en relación directa con calcificación antes descripta, llegando hasta sector anterior nivel de C5.
La paraclínica infecciosa fue siempre negativa. Cursó con hemograma normal, sin leucocitosis y Velocidad de Eritrosedimentacion normal. (VES)
El paciente recibió tratamiento analgésico con AINES intravenosos por 72hrs, presentando franca mejoría a las 24hrs de comenzada la terapia analgésica.
DISCUSIÓN
El espacio prevertebral o cervical anterior, se extiende desde la base del cráneo hasta el mediastino. Delimitado anteriormente por la fascia cervical profunda (que lo separa del espacio retrofaríngeo), y posteriormente por la columna vertebral cervical.1 Este espacio contiene los músculos prevertebrales (siendo el MLC uno de sus integrantes y el más importante), los vasos vertebrales, músculos escalenos, el nervio frénico y parte del plexo braquial. El músculo longus colli es un músculo flexor y rotador del cuello, y está constituido por 3 fascículos: oblicuo superior, vertical y oblicuo inferior. Las fibras oblicuas superiores se originan de los tubérculos anteriores de los procesos transversos de C3-C5 y se insertan por un tendón en el tubérculo anterior del arco anterior del atlas. Las fibras verticales surgen de los cuerpos vertebrales de C5-T7 y se insertan en los cuerpos de C2-C4. Las fibras oblicuas inferiores se originan de los cuerpos de T1-T3 y se insertan en los tubérculos anteriores de los procesos transversos de C5-C6. 1,2,3,4
La tendinitis calcificante del músculo largo del cuello, benigno, autolimitado y de muy baja frecuencia. La incidencia anual que se estima es de 0,5 casos por cada 100.000 habitantes; aunque es posible un infradiagnóstico debido al desconocimiento de la patología. Es más frecuente en el sexo femenino; en un rango etario entre los 30 y 60 años.
No existe un agente etiológico ni fisiopatología clara, aunque se propone un mecanismo fisiopatológico comparable al que ocurre en tendinopatías calcificantes de otras localizaciones; donde el traumatismo repetitivo, la isquemia y necrosis tisular, y el depósito de cristales de hidroxiapatita cálcica juegan un rol fundamental. 4,5,6,7,8 Posteriormente, la ruptura de estos cristales desencadenaría una importante reacción inflamatoria local con dolor y derrame inflamatorio en el músculo largo.
Clínicamente esta patología se manifiesta con odinofagia y cervicalgia aguda, siendo la misma sin irradiaciones, teniendo como característica que dicho dolor aumenta con la extensión y disminuye con la flexión cervical.
Al igual que nuestro paciente que presento episodios de cervicalgia, menor movilidad de cuello seguidos de odinofagia y disfagia. Otros síntomas presentes frecuentemente es el síndrome miofacial de cuello, que acompañan a la disminución del rango de movilidad cervical. Puede haber casos donde se presente febrícula leve y sutiles aumentos de la VES.
Imagenlógicamente en radiografías laterales cervicales, las características que nos deben hacer sospechar esta entidad son: aumento del espacio retrofaríngeo y la presencia de calcificaciones tendinosas en la región del músculo largo del cuello.8,9 La prueba diagnóstica clave es la TAC en la cual vemos claramente una imagen densa que impresiona ser una osificación en la cara anterior del segmento cervical alto, siendo la RNM no tan fiable en la demostración de las calcificaciones; 9-10) destacándose en la RNM la presencia de edema, cuando exista.

Figura 2: Radiografía columna cervical de nuestro paciente. A) Enfoque radiográfico anteroposterior, que impresiona normal. B) Enfoque radiográfico lateral en la que se observa un espacio prevertebral levemente aumentado en sector cervical alto (Medición normal de 7mm a nivel de C3 y 3cm a nivel de C7).

Figura 3: TAC de nuestro caso problema, cortes sagital, coronal y axial, donde se observa la calcificación que se extiende desde el sector inferior del arco anterior del Atlas hacia el sector anterior de la base de la apófisis odontoides.

Figura 4: RNM columna cervical de nuestro caso problema, secuencia T2; donde se visualiza una señal hiperintensa prevertebral, correspondiente a una colección líquida extensa, edematosa, desde base del cráneo hasta sector anterior del cuerpo de C5. Además se constata grosera calcificación a nivel anterior de C1-C2.
Las calcificaciones son más habituales en los haces altos del músculo largo, a niveles de C1-C2; siendo posible la formación de las mismas en toda la extensión del músculo, desde C1 hasta C6.
El diagnóstico diferencial principal es el absceso retrofaríngeo, ya que pueden presentar síntomas similares; aunque en el absceso domina la clínica infecciosa, con fiebre elevada, franca leucocitos y niveles elevados de VES y PCR.
Con respecto al tratamiento de la tendinitis calcificante del músculo largo del cuello, está basado fundamentalmente en antiinflamatorios no esteroideos e inmovilización. En casos graves, pueden ser útiles los corticoides intravenosos. El cuadro agudo se resuelve en el transcurso de 1-2 semanas.
Recordar el carácter benigno y autolimitado de esta entidad; no requiriendo extensos seguimientos. Al igual que otras tendinitis calcificantes, existe la posibilidad de recurrencia de la inflamación aguda. 11-12-13-14-15-16)
En la literatura actual hay muy poca información sobre el seguimiento de esta patología, sobre qué ocurre con las calcificaciones y si las mismas desaparecen.
En la última revisión de la literatura muestra 242 casos publicados, siendo 104 artículos publicados, solo 4 fueron en publicados en revista de columna, destacando s la triada de dolor cervical, limitación de movilidad de cuello y alteraciones en la deglución lo que predominaba en la clínica del paciente 16)
La interrogante también se plantea sobre la posibilidad de recidiva de esta patología, habiendo un mayor consenso y dando la posibilidad de que dicha recidiva ocurra, como en tendinitis de otras regiones; hablándose de períodos de recurrencia que abarcan desde 9 meses hasta 20 años.
CONCLUSIÓN
Presentamos un paciente con un cuadro clínico de cervicalgia, odinofagia y disfagia, con aumento del espacio retrofaríngeo en la radiografía lateral cervical, lo que nos puede hacer sospechar primariamente un absceso retrofaríngeo. Pero si el estado clínico del paciente y la analítica sanguínea no orientan a un cuadro infeccioso, como en nuestro caso, deben considerarse diagnósticos diferenciales alternativos. Si a lo anterior se suma la observación de calcificaciones tendinosas pre vertébrales en la TAC o Rx., se debe pensar en la tendinitis calcificante del longuísimo del cuello. Patología poco frecuente, subdiagnosticada De esta forma se evita exponer al paciente a procedimientos diagnósticos y terapéuticos excesivos, y en ocasiones erróneos.















