SciELO - Scientific Electronic Library Online

 
vol.7 issue2Update on the management of open fractures. Infection Prevention. Utility of wound Culture. Bibliographic review.Distal humerus fractures in patients over 65 years: What is the best therapeutic option? author indexsubject indexarticles search
Home Pagealphabetic serial listing  

Services on Demand

Journal

Article

Related links

Share


Anales de la Facultad de Medicina

On-line version ISSN 2301-1254

Anfamed vol.7 no.2 Montevideo  2020  Epub Dec 01, 2020

https://doi.org/10.25184/anfamed2020v7n2a3 

ARTICULO DE REVISIÓN

Fracturas ipsilaterales proximales y diafisarias de fémur: ¿Existe una mejor opción terapéutica? Revisión Bibliográfica

Ipsilateral proximal and shaft femoral fractures: Is there a better therapeutic option? Review

Fracturas ipsilaterais proximais e diafisárias do fémur: Existe uma melhor opção terapêutica? Revisão Bibliográfica

Facundo del Campo Berrueta1 
http://orcid.org/0000-0003-1916-1018

Nicolás Tamón2 
http://orcid.org/0000-0002-7118-2935

1Residente de la Clínica de Traumatología y Ortopedia, Facultad de Medicina, Universidad de la República. Correo electrónico: delcampo.facundo@gmail.com

2Asistente de la Clínica de Traumatología y Ortopedia, Facultad de Medicina, Universidad de la República. Correo electrónico: nicolastamon@hotmail.com


Resumen:

Introducción:

Las fracturas ipsilaterales proximales de fémur ocurren en el 1 al 9% de las fracturas diafisarias. Existen múltiples tratamientos propuestos para dicha asociación lesional. El objetivo de este trabajo es revisar los diferentes métodos de tratamiento propuestos, y comparar sus resultados funcionales y principales complicaciones.

Materiales y Métodos:

Se utilizaron los buscadores electrónicos: PubMed, Lilacs, Cochrane y Ovid SP. La búsqueda llegó a un total de 1829 trabajos, de los cuales se seleccionaron 21 según criterios de inclusión y exclusión.

Discusión:

No existe un consenso acerca de cuál es el mejor método de fijación para esta asociación lesional. Esta ocurre en pacientes jóvenes por un mecanismo axial de alta energía cinética y la opción elegida debe buscar la reducción anatómica de la fracturas proximales de fémur. Las complicaciones como la pseudoartrosis de cuello femoral y la necrosis avascular son de difícil manejo en este grupo etario.

Conclusión:

Las fracturas ipsilaterales proximales y diafisarias de fémur son lesiones que presentan un problema diagnóstico y terapéutico. Hay un subdiagnóstico de las mismas y no existe un implante ideal, ni un consenso de cual es el mejor método de fijación.

Palabras claves: fémur; fractura; cuello de fémur; ipsilateral; fijación interna

Abstract:

Introduction:

Ipsilateral proximal femoral fractures ocurred in 1 to 9% of femoral shaft fractures. There are multiple treatments proposed for these injuries. The objetive of the present work is revise the different treatment options and compare their functional results and main complications

Materials and methods:

A comprehensive literature search was carried out using: Pubmed, Lilacs, Cochrane and OVID SP. Initially there were identified a total of 1829 studies. Only 21 studies remained after inclusion and exclusion were applied.

Discussion:

There is no consensus about which is the best fixation option for these injuries. These occurred in young patients as a result of a high energy axial trauma, and the selected treatment must achieve anatomic reduction of the proximal femoral fracture. Complications such as femoral neck no-union and avascular necrosis are difficult to manage at this age.

Conclusion:

Ipsilateral proximal and shaft femoral fractures present diagnostic and therapeutic problems. There is an underdiagnosis of these injuries, and there is no ideal implant or consensus on which is the best fixation method.

Keywords: femur; fractura; femoral neck; ipsilateral; internal fixation

Resumo:

Introdução:

As fraturas proximais ipsilaterais do fêmur ocorrem em 1 a 9% das fraturas diafisárias. Existem vários tratamentos propostos para essa associação lesional. O objetivo deste trabalho é rever os diferentes métodos de tratamento propostos, e comparar os seus resultados funcionais e principais complicações.

Materiais e Métodos:

Foram utilizados os buscadores eletrônicos: Pubmed, Lilacs, Cochrane e Ovid SP. A busca chegou a um total de 1829 trabalhos, dos quais foram selecionados 21 segundo critérios de inclusão e exclusão.

Discussão:

Não há consenso sobre qual é o melhor método de fixação para esta associação lesional. Esta ocorre em pacientes jovens por um mecanismo axial de alta energia cinética e a opção escolhida deve procurar a redução anatômica da fratura proximal do fêmur. Complicações como a pseudoartrose do pescoço femoral e a necrose avascular são de difícil manejo neste grupo etário.

Conclusão:

As fraturas ...(SUPRIMIR LO PRECEDENTE)Conclusão: As fracturas ipsilaterais proximais e diafisárias do fémur são lesões que apresentam um problema diagnóstico e terapêutico. Há um subdiagnóstico das mesmas e não existe um implante ideal, nem um consenso de qual é o melhor método de fixação.

Palavras- chave: fêmur; fratura; pescoço do fêmur; ipsilateral; fixação interna

INTRODUCCIÓN

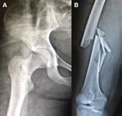
Las fracturas ipsilaterales proximales de fémur ocurren en el 1 al 9% de las fracturas diafisarias. La mayoría de las fracturas de cadera son del cuello, más que en la zona trocantérica, mientras que en la diáfisis ocurren más frecuentemente en tercio proximal y medio. Ocurren en pacientes jóvenes a causa de traumatismos de alta energía cinética como siniestros de tránsito o caídas desde grandes alturas, y obedecen a un mecanismo axial. En general, la mayoría de la energía se agota a nivel diafisario provocando fracturas conminutas (expuestas en ocasiones), mientras que la fuerza residual causa una fractura vertical sin desplazamiento a nivel basicervical (Figura 1). Dado esto último y que estas lesiones se dan en el contexto de un politraumatizado, desde un 20 hasta un 50% de las fracturas proximales pueden no ser diagnosticadas inicialmente.

Fue en el año 1953 que Delaney y Street 1 hicieron la primera publicación sobre estas lesiones, y desde entonces se han propuesto múltiples opciones terapéuticas. Por un lado, esta asociación lesional es considerada por algunos como un conjunto y se plantea tratarla con un solo implante como son los clavos cefalomedulares (CCM) largos. En contraparte, hay quienes sostienen que se trata de dos fracturas independientes, y por lo tanto se precisa de dos implantes diferentes para su fijación. La controversia continúa hoy en la actualidad.

La literatura sostiene que la prioridad en dicha lesión es la reducción anatómica y fijación interna del cuello femoral 2,3,4,5

Dentro de los múltiples tratamientos, las opciones que se manejan más frecuentemente son cuatro. Una de ellas considera la fijación con un solo implante y las restantes considera el uso de dos implantes diferentes. La primera es la utilización de un solo implante como son los CCM largos para la fijación de ambos focos de fractura. Segunda, el uso del tornillo dinámico de cadera (DHS) o tornillos canulados para la fijación de la fractura proximal de fémur asociado a una placa para la fijación de la fractura de la diáfisis femoral. Tercera, tornillos canulados para la fijación de la fractura proximal de fémur asociados a un clavo endomedular de fémur anterógrado (EEMa) para la fijación diafisaria. Cuarta, el uso de DHS o tornillos canulados para la fijación proximal de fémur asociados a un clavo endomedular de fémur retrógrado (EEMr) para la fijación de la diáfisis. En la Figura 2 se muestra cada una de las opciones.

OBJETIVOS DEL TRABAJO

Objetivos generales

El objetivo de nuestro trabajo es revisar la evidencia acerca de los tratamientos propuestos para las fracturas proximales de fémur (cervicales y trocantéricas) asociadas a fracturas ipsilaterales de diáfisis femoral, y comparar sus resultados funcionales y principales complicaciones.

Objetivo específicos

Determinar las tasas de consolidación y pseudoartrosis, de necrosis avascular y los resultados funcionales según los scores correspondientes.

Figura 1.  Patrón más característico en las fracturas ipsilaterales proximales y diafisarias de fémur. A: Fractura basicervical sin desplazamiento. B: Fractura conminuta del tercio medio de la diáfisis. 

MATERIALES Y MÉTODOS

Se realizó una búsqueda bibliográfica en los buscadores electrónicos PubMed, Lilacs, Cochrane y OvidSP. Se utilizaron los términos Mesh: "Femoral Neck Fractures", "Hip Fractures", "Femoral Fractures" y "Fracture Fixation", agrupados con los operadores booleanos “OR” y “AND”.

Se incluyeron artículos publicados en los últimos 10 años (2007 al 2017), que muestren resultados clínicos de los procedimientos, en inglés o español, en humanos y mayores de 18 años.

Criterios de inclusión: pacientes mayores a 18 años con fracturas ipsilaterales proximales y diafisarias de fémur, artículos publicados en los últimos 10 años, que muestren resultados clínicos de los procedimientos, en inglés o español y en humanos.

Criterios de exclusión: estudios biomecánicos, pacientes con fracturas de fémur distal, reportes de casos y revisiones sistemáticas.

Estrategia de búsqueda

El flujo de búsqueda se muestra en la Figura 3. La búsqueda fue realizada por dos revisores independientes, que llegaron a los mismos trabajos. Con la estrategia de búsqueda planteada surgieron 1829 artículos. De estos se leyeron los títulos y se encontraron 32 artículos que cumplían con los criterios de inclusión.

De la lectura completa de estos artículos, se excluyeron 11 artículos según los criterios de exclusión, quedando constituida nuestra revisión de 21 artículos.

Además se leyeron las referencias bibliográficas de cada uno en busca de artículos que no estuvieran incluidos en la revisión hasta el momento. No se encontró ningún artículo nuevo en dicha búsqueda.

Resultados

De la búsqueda realizada se seleccionaron 21 artículos, los cuales la gran mayoría corresponde a series de casos retrospectivas (nivel de evidencia IV). La media de pacientes incluidos en cada estudio ronda los 35 pacientes. La serie más grande publicada es la de Ostrum y cols. 6, que corresponde a un estudio retrospectivo en 3 centros nivel I de trauma en la cual habían 95 pacientes incluidos.

*1: en este caso se uso un clavo cefalomedular (CCM) largo tipo gamma. *2: en este caso se un tornillo dinámico de cadera (DHS) y tornillo anti-rotatorio para la fijación de la fractura proximal de fémur. *3: en este caso se un tornillo dinámico de cadera (DHS) para la fijación de la fractura proximal de fémur.

Figura 2.  Opciones terapéuticas más frecuentemente usadas para las fracturas ipsilaterales proximales y diafisarias de fémur 

Respecto a los tratamientos utilizados en los diferentes estudios se incluyen: CCM, DHS/tornillos canulados y placas, DHS/tornillos canulados más EEMr, y EEMa más tornillos (Figura 4). Lawson 7 en su trabajo además emplea a nivel proximal el uso de prótesis de Moore y placas blade (blade plate), y a nivel distal placas blade de 95° Estos últimos implantes no son tenidos en cuenta en nuestro análisis.

Del total de estudios 5 mostraron los resultados del uso de implantes cefalomedulares aisladamente 8,9,10,11,12, 2 mostraron resultados del uso específico de dos implantes aisladamente 6,13 y el resto se trataron de estudios comparativos 7,14,15,16,17,18,19,20,21,22,23,24,25,26.

Figura 3.  Flujograma de la revisión sistemática.  

Los detalles de cada uno de los artículos se exponen en la Tabla 1. Para valoración de los resultados funcionales se usaron el “Harris Hip Score” 27, “Short Form-36 “, “Short Musculoskeletal Functional Assessment”, Lower Extremity Functional Scale y “Friedman & Wyman Score”28. Este último fue el score más utilizado en la revisión.

Figura 4.  Imágenes radiológicas de cada implante por separado con su sector de fijación correspondiente.  

Tabla 1. Estudios incluidos en la revisión.  

Tabla 1.  Estudios incluidos en la revisión. (continuación)  

Tabla 1.  Estudios incluidos en la revisión. (continuación)  

Tabla 1 Estudios incluidos en la revisión. (continuación)  

EEMa: enclavijado endomedular anterógrado. DHS: tornillo dinámico de cadera (del inglés Dynamic Hip Screw). EEMr: enclavijado endomedular retrógrado. CCM: Clavo cefalomedular

Opciones terapéuticas y resultados

Clavo cefalomedular

En nuestra revisión, los estudios que consideran aisladamente los implantes cefalomedulares 8,9,10,11,12 han mostrado que es un opción válida con resultados satisfactorios en cuanto a tasa de complicaciones y funcionalidad. Tsai y cols 9) refieren que las complicaciones pueden reducirse teniendo un manejo cuidadoso de la diáfisis, con reducción meticulosa del cuello y con posterior apoyo protegido en el postoperatorio. Vidyadhara y cols 8 en su trabajo comparan 2 tipos de fijaciones cefalomedulares con 1 ó 2 tornillos cervicales. De dicho estudio se desprende que el uso de clavos de reconstrucción con dos tornillos cervicales tiene mayor rigidez y menor movilidad del implante, pero con resultados funcionales similares según el Harris Hip Score 27. Por su parte Bali y cols. 11 describen una técnica quirúrgica para fijaciones cefalomedulares en esta lesión. Resaltan que la cirugía es técnicamente demandante, pudiendo ser muy dificultosa la reducción del cuello cuando este está desplazado, y abogan por dos implantes en cirujanos inexpertos. Sin embargo, destacan que la mayoría de las fracturas podrían ser manejadas con un solo implante siguiendo ciertos principios quirúrgicos básicos.

Por otra parte, Bedi y cols. 22 vieron la calidad de la reducción en su serie de 37 pacientes, de los cuales 9 fueron tratados con clavos cefalomeduares y 28 con 2 implantes separados. Se observaron una mayor tasa de malas reducciones en el grupo tratado con clavos cefalomedulares (3 de 9) en comparación con el grupo tratado con dos implantes por separado (0 de 28). Esta diferencia fue estadísticamente significativa (P=0.01).

DHS/tornillos canulados y placa

En relación al uso de DHS o tornillos canulados más placa, Abbalo y cols. 13 en su trabajo de 37 pacientes mostraron tasas de consolidación de 92% y 87% para cuello y diáfisis respectivamente, con 78% de buenos resultados funcionales según la clasificación de Friedman y Wyman 28. No tuvieron ningún caso de NAV de la cabeza femoral. Por lo antedicho, concluyeron que es un método de fijación confiable para lograr consolidación y con pocas complicaciones.

Clavo cefalomedulares vs DHS/tornillos canulados y placa

Respecto a los estudios que analizan el uso de clavo cefalomedular en comparación con el uso de placa más DHS o tornillos canulados, la evidencia es ambigua. Por un lado en los 2 trabajos de Wang y cols. del 2010 23 y 2012 25 y el trabajo de Singh y cols. 18 muestran que ambos tratamientos presentan resultados similares en cuanto a lo funcional y a la tasa de complicaciones. Por otro parte, está la serie retrospectiva de 41 pacientes de Kesemenli y cols. 24, en la cual el grupo I constaba de 24 pacientes que fueron tratados con DHS y placa y el grupo II 17 pacientes tratados con clavos cefalomedulares. Los autores concluyen que existe una superioridad estadísticamente significativa del clavo cefalomedular en cuanto a la prevención de pseudoartrosis y retrasos en la consolidación. Sin embargo, no hubo diferencias estadísticamente significativas en cuanto a los resultados funcionales entre los dos grupos.

Clavo anterógrado y tornillos canulados

El uso de tornillos canulados aplicando la técnica miss-a-nail puede ser apropiado en el caso de diagnóstico intraoperatorio o posoperatorio de fracturas de cuello femoral, en el cual ya se colocó un clavo anterógrado 16. En el trabajo retrospectivo de Cannada y cols. 19 que constaba de una serie con 89 pacientes, observaron que no hay diferencia estadísticamente significativa entre las tasas de pseudoartrosis comparando el uso de clavo anterógrado más tornillos canulados, clavo retrógrado m tornillos canulados, y clavos cefalomedulares. Tsai y cols. 20 en su serie de casos retrospectiva de 43 pacientes compararon DHS y placa, tornillos canulados y placa, clavo cefalomedular, y clavo anterógrado y tornillos canulados. Comparando la totalidad de tratamientos no encontraron diferencias estadísticamente significativas en relación al sangrado intraoperatorio, duración de la cirugía y resultados funcionales según el score de Friedman y Wyman 28. El EEMa más tornillos canulados presentó 11 veces más complicaciones cuando se lo comparó aisladamente con el DHS y placa. Por lo anterior, los autores no recomendaban el uso del clavo anterógrado y tornillos canulados.

DHS/tornillos canulados y clavo retrógrado

Otra de las alternativas terapéuticas es el uso de DHS o tornillos canulados asociados a un clavo retrógrado. Ostrum y cols 6 en su estudio retrospectivo de 95 pacientes muestra tasas de consolidaciones de cuello y diáfisis de 98% y 91,3%, reportando 1 solo caso de NAV sintomática. En otro estudio retrospectivo de 26 pacientes Peskun y cols. 16 compararon el uso de clavo retrógrado y DHS, en relación al uso de un clavo cefalomedular. Si bien no existieron diferencias estadísticamente significativas en cuanto a las complicaciones y resultados funcionales, los autores sugieren que faltó mayor número de pacientes para poder demostrarla. En un trabajo prospectivo de Von Rüden y cols. 26 con 61 pacientes al final del estudio, se evaluaron 3 opciones terapéuticas: técnica “rendezvous” (implantes solapados), “todo en uno” y técnica convencional (2 implantes no solapados). Estos autores no obtuvieron diferencias estadísticamente significativas en cuanto a las tasas de complicaciones. Los mismos también plantean que en pacientes politraumatizados, bajo el concepto de control del daño, la técnica “rendezvous” en 2 tiempos puede ser beneficiosa.

DISCUSIÓN

En la bibliografía se han descrito una amplia variedad de opciones terapéuticas para esta asociación lesional. No hay un consenso acerca de cuál es el mejor método de fijación. Cabe resaltar que dada su baja incidencia, la mayoría de estudios son series de casos de carácter retrospectivo (nivel de evidencia tipo IV) y con muestras pequeñas con baja potencia estadística.

En lo que sí existe consenso es que la fractura de cuello femoral debe ser la prioridad 2,3,4,5 dado que en general se trata de pacientes jóvenes, y el resultado obtenido puede ser determinante para su futuro. La pseudoartrosis de cuello femoral y la necrosis avascular son complicaciones de difícil manejo en este grupo etario.

La principal interrogante terapéutica radica en si estas lesiones deben ser tratadas con un implante solo o dos implantes por separado.

Se han publicado otras revisiones sobre el tema. Matt Graves 29 plantea las diferentes estrategias para la reducción y fijación de la fractura del cuello femoral, entendiéndola como prioritaria. Respecto a la elección del implante, menciona que los clavos cefalomedulares fueron diseñados para estabilizar fracturas trocantéricas y subtrocantéricas, y que sus tornillos o bulones proximales no están diseñados para funcionar para la compresión. De esto se desprende que el uso de dos implantes podría ser más apropiado. Por otro lado, Hak y cols. 30 analizan los diferentes métodos de fijación, planteando la controversia acerca de si usar uno o dos implantes. Asímismo, cita el trabajo de Bhandari 31 que plantea que el uso de dos implantes separados tendría menos re-intervenciones. Por último, Boulton y cols. 32 revisan los diferentes métodos y sus resultados. El método de elección preferido por los autores en las fracturas intracapsulares, desplazadas de cuello es la reducción abierta anatómica mediante los abordaje de Hardinge, Watson-Jones o Smith-Peterson, fijación del cuello con tornillos canulados o DHS con tornillo anti-rotatorio. Para la diáfisis, dependiendo del estado general del paciente, prefieren fijación externa provisoria o clavo retrógrado.

Creemos que la presente revisión tiene algunas debilidades: pocos estudios considerando los últimos 10 años, los mismos en su mayoría son de carácter retrospectivo con series pequeñas lo que resulta en niveles de evidencia bajos, y además gran heterogeneidad entre estos.

Dentro de las complicaciones que se enumeran, las más devastadoras quizás sean la pseudoartrosis de cuello de fémur y la necrosis avascular de la cabeza femoral, considerando lo dicho anteriormente. La incidencia de la necrosis avascular en esta lesión es aproximadamente un 3%, siendo menor que en las fracturas de cuello femoral aisladas (10%). Esto se podría deber a que la fuerza residual en el cuello provoca una fractura en la base del mismo con mínimo o sin desplazamiento, lo que afectaría en menor medida la vascularización.

CONCLUSIÓN

Las fracturas ipsilaterales proximales y diafisarias de fémur son lesiones que presentan un problema diagnóstico y terapéutico. En primer lugar, existe un subdiagnóstico de las fracturas de cuello, ya que muchas veces se presentan sin desplazamiento, en el contexto de un politraumatizado, y las lesiones diafisarias se llevan toda la atención. En segundo lugar, no existe un tratamiento ideal, ni consenso acerca de cuál es la mejor opción terapéutica. En lo que sí se está de acuerdo es que se debe conseguir una reducción anatómica del cuello femoral, la cual es crítica en los pacientes jóvenes que presentan esta lesión. 2,3,4,5. La mayoría de los estudios revisados no evidencian diferencias estadísticamente significativas en las tasas de pseudoartrosis, necrosis avascular o resultados funcionales. Tampoco hay un acuerdo acerca del uso de 1 ó 2 implantes para su tratamiento. Los clavos cefalomedulares demostraron tener peores reducciones 22, si bien no existieron diferencias estadísticamente significativas en resultados funcionales y pseudoartrosis. En la bibliografía existen mayoritariamente series de casos retrospectivas, con muestras con un pequeño número de pacientes. Hacen faltan estudios de carácter prospectivo, con muestras más grandes que comparen métodos de tratamientos.

Referencias:

1. Delaney WM, Street DM. Fracture of femoral shaft and fracture of neck of same femur: treatment with medullary nail for shaft and Knowles pins for neck. J Int Coll Surg 1953;19:303-11. [ Links ]

2. Rockwood, C., Green, D., Heckman, J. and Bucholz, R. Rockwood and Green's fractures in adults. Philadelphia: Lippincott Williams & Wilkins; 2002. [ Links ]

3. Canale S, Beaty J, Campbell W. Campbell's operative orthopaedics. Philadelphia, PA: Elsevier Mosby; 2013. [ Links ]

4. Bonnomet F, Clavert P, Cognet J. Fracturas de la diáfisis femoral en adultos. EMC - Aparato Locomotor. 2007;40(1):1-26. [ Links ]

5. American Academy of Orthopaedic Surgeons., Flynn J. Orthopaedic Knowledge Update 10. American Academy of Orthopaedic Surgeons; 2011. [ Links ]

6. Ostrum RF, Tornetta P, Watson JT, Christiano A, Vafek E. Ipsilateral proximal femur and shaft fractures treated with hip screws and a reamed retrograde intramedullary nail. Clin Orthop Relat Res. 2014;472(9):2751-8. [ Links ]

7. Lawson E, Madougou S, Chigblo P, Quenum G, Ouangré A, Tidjani F, et al. Ipsilateral proximal and shaft femoral fractures. Chinese J Traumatol - English Ed. 2017;20(3):155-7. [ Links ]

8. Vidyadhara S, Rao SK. Cephalomedullary nails in the management of ipsilateral neck and shaft fractures of the femur-One or two femoral neck screws? Injury. 2009;40(3):296-303. [ Links ]

9. Tsai M-C, Wu C-C, Hsiao C-W, Huang J-W, Kao H-K, Hsu Y-T. Reconstruction intramedullary nailing for ipsilateral femoral neck and shaft fractures: main factors determining prognosis. Chang Gung Med J. 2009;32(5):563-73. [ Links ]

10. Tsarouhas A, Hantes ME, Karachalios T, Bargiotas K, Malizos KN. Reconstruction nailing for ipsilateral femoral neck and shaft fractures. Strateg Trauma Limb Reconstr. 2011;6(2):69-75. [ Links ]

11. Bali K, Gahlot N, Aggarwal S, Goni V. Cephalomedullary fixation for femoral neck/intertrochan- teric and ipsilateral shaft fractures: surgical tips and pitfalls. Chinese J Traumatol Chin J Traumatol. 2013;1616(401):40-4540. [ Links ]

12. Gadegone W, Lokhande V, Salphale Y, Ramteke A. Long proximal femoral nail in ipsilateral fractures proximal femur and shaft of femur. Indian J Orthop. 2013;47(3):272-7. [ Links ]

13. Abalo A, Dossim A, Ouro Bangna AF, Tomta K, Assiobo A, Walla A, et al. Dynamic hip screw and compression plate fixation of ipsilateral femoral neck and shaft fractures. J Orthop Surg (Hong Kong). 2008;16(1):35-8. [ Links ]

14. Gary JL, Taksali S, Reinert CM, Starr AJ. Ipsilateral femoral shaft and neck fractures: are cephalomedullary nails appropriate? J Surg Orthop Adv. 2011;20(2):122-5. [ Links ]

15. Shetty MS, Kumar MA, Ireshanavar SS, Sudhakar D. Ipsilateral hip and femoral shaft fractures treated with intramedullary nails. Int Orthop. 2007;31(1):77-81. [ Links ]

16. Peskun C, McKee M, Kreder H, Stephen D, McConnell A, Schemitsch EH. Functional outcome of ipsilateral intertrochanteric and femoral shaft fractures. J Orthop Trauma. 2008;22(2):102-6. [ Links ]

17. Wang HQ, Han YS, Li XK, et al. Treatment of ipsilateral femoral neck and shaft fractures. Chin J Traumatol. 2008;11:171e174. [ Links ]

18. Singh R, Rohilla R, Magu NK, Siwach R, Kadian V, Sangwan SS. Ipsilateral femoral neck and shaft fractures: A retrospective analysis of two treatment methods. J Orthop Traumatol. 2008;9(3):141-7. [ Links ]

19. Cannada LK, Viehe T, Cates CA, Norris RJ, Zura RD, Dedmond B, et al. A Retrospective Review of High-Energy Femoral Neck - Shaft Fractures. 2009;63110 (February 2007):254-60. [ Links ]

20. Tsai CH, Hsu HC, Fong YC, Lin CJ, Chen YH, Hsu CJ. Treatment for ipsilateral fractures of femoral neck and shaft. Injury. 2009;40(7):778-82. [ Links ]

21. Krzysztof, W., Roman, N., Chmielewski, L. and Ochenduszka, S. Concomitant Ipsilateral Femoral neck and Shaft Fractures - Analysis of Cases. Ortopediia Traumatologia Rehabilitacja. 2009 [ Links ]

22. Bedi A, Karunakar MA, Caron T, Sanders RW, Haidukewych GJ. Accuracy of Reduction of Ipsilateral Femoral Neck and Shaft Fractures-An Analysis of Various Internal Fixation Strategies. J Orthop Trauma. 2009;23(4):249-53. [ Links ]

23. Wang WY, Liu L, Wang GL, Fang Y, Yang TF. Ipsilateral basicervical femoral neck and shaft fractures treated with long proximal femoral nail antirotation or various plate combinations: Comparative study. J Orthop Sci. 2010;15(3):323-30. [ Links ]

24. Kesemenli CC, Tosun B, Kim NSY. A comparison of intramedullary nailing and plate-screw fixation in the treatment for ipsilateral fracture of the hip and femoral shaft. Musculoskelet Surg. 2012;96(2):117-24. [ Links ]

25. Wang W yue, Yang T fu, Liu L, Pei F xing, Xie L ming. A comparative study of ipsilateral intertrochanteric and femoral shaft fractures treated with long proximal femoral nail antirotation or plate combinations. Orthop Surg. 2012;4(1):41-6. [ Links ]

26. Von Ruden C, Tauber M, Woltmann A, Friederichs J, Hackl S, Buhren V, et al. Surgical treatment of ipsilateral multi-level femoral fractures. J Orthop Surg Res (Internet). 2015;10:7. [ Links ]

27. Harris WH. Traumatic arthritis of the hip after dislocation and acetabular fractures: treatment by mold arthroplasty. An end-result study using a new method of result evaluation. J Bone Joint Surg Am. 1969 Jun;51(4):737-55. [ Links ]

28. Friedman RJ, Wyman ET Jr. Ipsilateral hip and femoral shaft fractures. Clin Orthop Relat Res. 1986 Jul;(208):188-94. [ Links ]

29. Graves M. Femoral Neck Fracture Fixation in the Setting of Ipsilateral Femoral Neck and Shaft Fractures. 2010;25(3):148-54. [ Links ]

30. Hak DJ, Mauffrey C, Hake M, Hammerberg EM, Stahel PF. Ipsilateral Femoral Neck and Shaft Fractures: Current Diagnostic and Treatment Strategies. Orthopedics. 2015;38(4):247-51. [ Links ]

31. Bhandari M, Pearl E. Evidence-Based Orthopaedic Trauma Ipsilateral Femoral Neck and Shaft Fractures. J Orthop Trauma. 2003;17(2):138-40. [ Links ]

34. Boulton CL, Pollak AN. Special topic: Ipsilateral femoral neck and shaft fractures - Does evidence give us the answer? Injury. 2015;46(3):478-83. [ Links ]

Nota del editor: El editor responsable fue el Dr. Asdrúbal Silveri.

Nota de contribución: 50% Tamón y 50% del Campo.

Recibido: 31 de Mayo de 2020; Aprobado: 02 de Noviembre de 2020

Creative Commons License Este es un artículo publicado en acceso abierto bajo una licencia Creative Commons