Serviços Personalizados
Journal
Artigo
Links relacionados
Compartilhar
Odontoestomatología
versão impressa ISSN 0797-0374versão On-line ISSN 1688-9339
Odontoestomatología vol.27 no.46 Montevideo 2025 Epub 01-Dez-2025
https://doi.org/10.22592/ode2025n46e241
Investigation
Influence of ancestry on the morphology of the dental arch: A comparative study between Amerindian, Euro-descendant, and admixed populations using geometric morphometrics.
1 DDS, Ph.D. (c), Estudiante Programa de Doctorado, Facultad de Odontología, Universidad de Chile.
2 DDS, Ph. D., Departamento Del Niño y Ortopedia Dentomaxilar, Facultad de Odontología, Universidad de Chile.
3 DDS, Mg.Sc., Departamento del Niño y Ortopedia Dentomaxilar, Centro de Análisis Cuantitativo en Antropología Dental, Facultad de Odontología, Universidad de Chile. Servicio de Cirugía Maxilofacial, Hospital San Borja Arriarán, Santiago, Chile.
4 Biólogo, Mg.Sc., Ph.D., Instituto de Investigación en Ciencias Odontológicas, Centro de Análisis Cuantitativo en Antropología Dental, Facultad de Odontología, y Departamento de Antropología, Grupo de Antropología Física, Facultad de Ciencias Sociales, Universidad de Chile. Correspondencia: Germán Manríquez gmanriquezs@odontologia.uchile.cl
Background:
Previous studies have described various dental arch shapes among different human groups, underscoring the importance of considering ancestry in the diagnosis and planning of dental treatments.
Objective:
To compare the shape and size of dental arches among Chile’s admixed population and its ancestral populations.
Methodology:
An analytical observational study using geometric morphometric tools was conducted on 272 individuals of Amerindian, admixed, and European ancestry.
Results:
The analyses revealed a clear distinction in arch shape between Amerindian and Euro-descendant individuals (correct classification by DFA > 87%). In contrast, the dental arches of admixed individuals did not differ significantly from those of Euro-descendants. Regarding centroid size, individuals of Amerindian ancestry exhibited the largest arches (126.50 ± 18.36 mm), followed by the admixed group (117.32 ± 8.58 mm), and finally the Euro-descendant group (108.03 ± 7.10 mm).
Conclusions:
The Chilean admixed population presents a dental arch shape that does not significantly differ from that of Eurodescendants and a size similar to that of Amerindians.
Palabras clave: Arco dental; grupo de ascendencia continental nativa americana; grupo de ascendencia continental europea
Antecedentes:
Estudios previos han descrito diversas formas de los arcos dentarios entre diferentes grupos humanos, resaltando la relevancia de considerar la ancestría para el diagnóstico y planificación de tratamientos odontológicos.
Objetivo:
Comparar la forma y tamaño de los arcos dentarios en la población mixta de Chile y en sus poblaciones ancestrales.
Metodología:
Estudio observacional analítico con uso de herramientas de morfometría geométrica en 272 individuos de ancestrías amerindia, mixta y europea.
Resultados:
Los análisis evidenciaron una distinción clara entre amerindios y europeos en la forma del arco (identificación correcta por DFA > 87%), mientras que los arcos dentarios de origen mixto no mostraron diferencias significativas respecto de los europeos. En cuanto al tamaño del centroide, los individuos de ancestría amerindia presentaron el mayor tamaño (126.50 ± 18.36 mm.), seguido por el mixto (117.32 ± 8.58 mm.) y el europeo (108.03 ± 7.10).
Conclusiones:
La población mixta chilena presenta una forma del arco dentario que no se distingue significativamente de la forma del arco de individuos eurodescendientes y un tamaño similar al de los amerindios
Palabras clave: Arco dental; grupo de ascendencia continental nativa americana; grupo de ascendencia continental europea
Antecedentes:
Estudos anteriores descreveram diversas formas de arcos dentários entre diferentes grupos humanos, destacando a relevância de considerar a ancestralidade para o diagnóstico e planejamento de tratamentos odontológicos.
Objetivo:
Comparar a forma e o tamanho dos arcos dentários entre populações de diferentes ancestralidades.
Metodologia:
Estudo observacional analítico com uso de ferramentas de morfometria geométrica em 272 indivíduos de ancestralidade ameríndia, mista e europeia.
Resultados:
As análises mostraram uma clara distinção entre ameríndios e europeus na forma do arco (identificação correta por DFA >87%), enquanto os arcos dentários de origem mista não mostraram diferenças significativas em relação aos europeus. Em relação ao tamanho do centróide, os indivíduos de ascendência ameríndia apresentaram o maior tamanho (126,50 ± 18,36 mm.), seguidos pelos mistos (117,32 ± 8,58 mm.) e pelos europeus (108,03 ± 7,10).
Conclusões:
A população mista chilena tem uma forma de arcada dentária que não difere significativamente da forma de arcada dos indivíduos de ascendência europeia e um tamanho semelhante ao dos ameríndios.
Palavras-chave: Arco dental; Grupo com Ancestrais Nativos do Continente Americano; Grupo com Ancestrais do Continente Europeu
Introduction and background
The shape and size of dental arches vary considerably among human populations. Previous studies have described several dental arch shapes, including square, ovoid, and triangular shapes (1 - being the ovoid shape the most prevalent, accounting for approximately 75% of cases2. This pattern has also been observed in the populations that contributed to Chile’s admixed ancestry (3-5. Regarding dental arch shapes in European populations, and using preformed templates Ferro et al. (5, found a similar distribution (a higher frequency) of ovoid (46.2%) and narrow (43.4%) arches, while the square shape was the least common (10.4%) (5. Likewise, Park et al. (6) classified arch shapes in young Asian adults, finding that the most common configuration in both the maxilla and mandible was ovoid (52% and 56%, respectively), followed by triangular (28% in both) and square (20% in the maxilla, and 16% in the mandible) (6. In a study of Indigenous communities in the Colombian Amazon, Rivera et al. (3 reported a predominance of ovoid arches in both the upper (86%) and lower (75%) arches, with square forms found in 14% and 25% of the cases, respectively, and no triangular arches observed (3.
In comparative studies across ancestral backgrounds, Burris and Harris (7 found that African American individuals exhibited more square-shaped maxillary arches, while Euro-descendants showed narrower and more rounded arches (7. Similarly, Agurto and Sandoval (4, using preformed templates, evaluated the maxillary and mandibular arch shapes of Mapuche and non-Mapuche children in Chile. They found a higher proportion of square arches in the Mapuche group, both in the maxilla and mandible, although the predominant shape in both groups was ovoid (4. Only two of the five studies reviewed reported having analyzed the upper jaw using templates-a method that introduces significant subjectivity in shape classification (4, 5). Despite the considerable number of studies characterizing dental arch shapes across populations with different ancestries, no study to date has simultaneously compared dental arch morphology in admixed-ancestry populations against their ancestral European and Amerindian groups. From a methodological standpoint, Arai and Will8 assessed inter-examiner reliability in the subjective classification of mandibular arch shapes among orthodontic patients into three categories-narrow, ovoid, and square-and found high agreement for extreme shapes (triangular and square), but greater variability for the intermediate (ovoid) shape8.
While previous research highlights the relevance of considering ancestry in dental arch shape for the diagnosis and planning of dental and orthodontic treatments, further studies are needed to explore differences in dental arch shape among different populations-particularly of Amerindian, European, and admixed ancestry-in a more objective way. This would help determine if specific differences in dental arch shape exist among these groups, and whether these differences may have clinical implications for the diagnosis and planning of individualized orthodontic treatment.
This study aims to compare the shape and size of dental arches among Amerindian, admixed Chilean, and Euro-descendant populations from both Chile and the United States, in order to understand how ancestral traits are expressed in admixed dental phenotypes, using standard geometric morphometric tools. These techniques allow for a more accurate and comprehensive capture of structural geometry compared to traditional methods based on linear measurements, which only provide information on differences in magnitude or size (i.e., scalar components of morphological variation in a single dimension), or by assigning pre-established shapes to individual cases (i.e., ovoid, square, or triangular templates). Moreover, geometric morphometrics not only enables statistical analysis of shape variation patterns but it also allows for visualizing these changes through the superimposition of Cartesian grids according to the thin-plate spline function. Thus, a recent publication from our laboratory using this approach to study mandibular dental arch variation in the admixed population of the Metropolitan Region of Chile found that the shape of the dental arch is expressed with such continuity that it challenges the assumption of fixed, pre-existing shapes (i.e., "square," "ovoid," or "triangular") 11.
According to our null hypothesis, the shape and/or size of the dental arches in the Chilean admixed population is intermediate between those of the ancestral populations from which it originates.
Methods
An analytical, cross-sectional observational study was conducted to compare the shape and size of dental arches among individuals of different ancestries. The Amerindian ancestry group consisted of samples from pre-Columbian populations from the South-Central Andes and Central, Southern, and Far Southern Chile, whose archaeological sites span a time range from 7,500 years ago (Chinchorro culture) to the time of Spanish contact. These materials are housed at the Center for Quantitative Analysis in Dental Anthropology of the Faculty of Dentistry, University of Chile, and are represented by a collection of anatomically standardized photographs of crania , recorded in the field by GM and AD between 2008 and 2014 at the Corporation of Culture and Tourism of Calama (Chile), the R. P. Gustavo Le Paige Museum (Universidad Católica del Norte, Arica, Chile), the National Museum of Natural History (Santiago, Chile), and the Musée de l’Homme (Muséum national d’Histoire naturelle, Paris, France). The admixed sample consisted of photographs of dental models obtained from alginate impressions, from anonymized donations by patients of the Dental Clinic at the Faculty of Dentistry, University of Chile. Finally, the Euro-descendant population was represented by: (i) anatomically standardized photographs of dental models from alginate impressions of patients with one or two German surnames, treated at a private clinic in the east of Santiago city (Lo Barnechea municipality), where, according to data from the Chilegenomic Project, the population has an average European ancestry of 80.3%, compared to 54.1% in the north of Santiago (Independencia municipality), where the University of Chile’s Dental Clinic is located (http://genoma.med.uchile.cl/ancestry); and (ii) standardized photographs of 3D models of white patients from Michigan and Oregon, United States, available from the American Association of Orthodontists Foundation (AAOF) Craniofacial Growth Legacy Collections Project (https://www.aaoflegacycollection.org/aaof_home.html). According to Bryc et al. (2015), Caucasian individuals in the U.S. have an average European ancestry of 98.6%, verified by analysis of autosomal single nucleotide polymorphisms (SNPs) 12. Inclusion criteria required individuals to have a complete dentition from the upper right to left second molars. The final sample included 53 Amerindian individuals, 118 admixed , and 101 Euro-descendant individuals (see Table 1 for summary; details in Table S1).
Table 1: Sample used in this study (percentages of Eurodescendant subsamples relative to the total sample in parentheses; further details in Table S1).
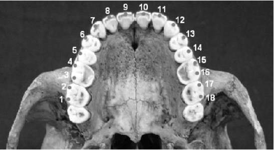
Millimeter-scaled photographs were used as material for both the pre-Columbian skulls and the plaster dental models of admixed and Euro-descendant individuals. To record the dental arch shape, a map of 18 homologous landmarks (Table 2, Figure 1) with the tpsDig 2.32 software13. In the context of geometric morphometrics, according to Zelditch et al., a landmark is a discrete anatomical point that can be consistently identified in all studied individuals, regardless of ancestry or population group. 14
Table 2: Anatomical landmarks located on the buccal cusps and incisal edges of the maxillary teeth, used to capture the shape of the upper dental arch.

Figure 1 Anatomical landmarks used in this study to record the shape of the upper dental arch (definitions provided in Table 1).
The input data for geometric morphometrics consisted of the projection of each landmark onto an xy-plane, resulting in a pair of coordinates per landmark. Each individual was represented by a matrix with 18 rows (one per landmark) and 2 columns (one for the x-axis and one for the y-axis projection). These matrices-or landmark coordinate configurations-were processed and analyzed using the Morpho-J 1.08.0115) and R Studio16 softwares, applying standard geometric morphometric tools14.
A generalized least squares analysis, or Procrustes analysis, was performed using the Morpho-J( program15). This consists of removing differences in rotation, translation, and scale from each matrix, yielding two components of morphometric variation: i) centroid size, calculated as the square root of the sum of distances from each landmark to the centroid of the configuration (a size variation estimator), and ii) shape space or Kendall space, consisting of the coordinate configurations of each individual’s dental arch, separated by an angular distance measured in radians, known as Procrustes distance. These configurations were then projected as points onto a plane tangent to shape space, defined by the first two principal components (PCs) resulting from a Principal Component Analysis (PCA). This analysis belongs to the family of multivariate factorial statistics, which reduce the original variables (in this case, the landmark configurations) into new variables or components that represent the total variance in hierarchical, decreasing percentage form (%PC1 > %PC2 > … %PCn) (see Fig. 2 in the Results section). In geometric morphometrics, the variables used to test the hypotheses regarding shape variation are the coordinates obtained by projecting each point in the PCA space onto its respective axis or PC scores. The exploratory PCA analysis is complemented by a Discriminant Function Analysis (DFA), which uses the PC scores from the previously performed PCA as input data, allowing us to know the percentage of original observations (individuals) that are assigned to the centroids of their respective groups (i.e. correctly classified) after performing a cross-validation test with a significant number of resamples with 1 replacement at a time (leave-one-out cross-validation or jackknife) (9,999 resamples in our case). This resampling method does not require assumptions of multivariate normality or homogeneity of variance-covariance matrices, as described by Manly (2006)17, since it relies on randomization and empirical distributions derived directly from the observed data 17. When classification accuracy exceeds 80% (correct assignments), individuals are considered to belong effectively to the groups to which they were assigned a priori. Otherwise (with values below 80% of correctly classified cases), individuals originally assigned to different groups are considered, in practice, to constitute a single group. The input data for performing the DFA with cross-validation were the PC scores obtained in Morpho-J, while the DFA itself was performed in the PAST program18. In turn, the data that reveal the pattern of size variation are the respective centroid sizes of each individual. As these are scalar values, a one-way ANOVA was applied or, when appropriate, its non-parametric equivalent, the Kruskal-Wallis test. In both cases, to determine the relative contribution of each group of observations to the final result, a Dunn post-hoc test was carried out, providing Bonferroni-corrected p-values for each pairwise comparison. This final set of analyses was conducted in the integrated R Studio environment16, using the “car”19) package for hypothesis testing, “ggplot2”20 for data visualization, and “dunn.test”21 for the Dunn test.
Results
Analysis of the shape components: The analysis of the shape components or principal components (PCA) showed a high degree of overlap between Euro-descendant individuals and those belonging to Chile's admixed population, but not for Amerindian individuals, who were substantially separated from the rest with respect to the second shape component (PC2) (Figure 2). The first two shape components explained 66.2% of the total variance.

Figure 2: Principal component analysis (PC1 vs PC2). The graph shows the overlap between the admixed group and Euro-descendant individuals, both separated from the group of individuals of Amerindian ancestry with respect to the second shape component (PC2).
In this morphometric space, Amerindian individuals presented arch shapes ranging from ovoid to square, while Euro-descendant individuals tended to exhibit more triangular shapes. The admixed population, in turn, displayed intermediate shapes between ovoid and triangular (Figure 3).

Figure 3: Principal component analysis (PC1 vs PC2) with dental arch shapes. The shape components correspond to the extreme values of the respective PC1 and PC2 axes shown in Fig. 2. The consensus shape is shown in gray, and the shape of each group is shown in black.
On the other hand, discriminant function analyses with replacement resampling revealed high accuracy in distinguishing Amerindian individuals from both Euro-descendant and admixed individuals (Table 3).
Table 3: Results of the Discriminant Function Analysis (DFA) with cross-validation (jackknife), based on the components of dental arch shape from the admixed Chilean (ADMIX), Amerindian (AMER), and Euro-descendant (EUR) population samples.
The percentages of individuals from the known groups (listed in the first column) assigned to each group (listed in the first row) are shown. For correct interpretation, this table should be read by rows.
The same cross-validation technique was applied to determine the position of the Euro-descendants from the private clinic in Santiago within the morphometric space occupied by Euro-descendants from the United States. In this case, classification accuracy was very low, confirming that the three samples of Euro-descendants do not exhibit substantial differences in dental arch shape and therefore constitute a single group (Table 4).
Table 4: Results of the Linear Discriminant Analysis with cross-validation test (jackknife), based on the components of dental arch shape from the Euro-descendant samples (EUR) from the United States and the private clinic in Santiago (the structure of this table is similar to that explained in the legend of Table 3).
Centroid size analysis: Individuals of Amerindian ancestry exhibited the largest mean centroid size (126.50 ± 18.36 mm), followed by those of admixed ancestry (117.32 ± 8.58 mm) and European ancestry (108.03 ± 7.10 mm). The Kruskal-Wallis test (H = 80.28, p = 3.694e-18) and Dunn's post-hoc test with Bonferroni correction revealed statistically significant differences between Amerindian and Euro-descendant individuals (p = 5.704e-15), and between admixed and Euro-descendant individuals (p = 2.488e-12), but not between admixed and Amerindian individuals (p = 0.067) (Figure 4).
Finally, the analysis of the effect of allometry (i.e., the effect of centroid size on the shape component with the highest variance, PC1) yielded non-significant Pearson correlation coefficients for both Amerindian (r = 0.059, p = 0.671) and admixed individuals (r = -0.139, p = 0.135). The absence of an allometric effect indicates that variation in size is not influencing the pattern of variation in the dental arch shape component in these populations. In the case of the Euro-descendant sample, although an allometric effect was observed, it was expressed with low intensity (r = -0.197, p = 0.048).
Discussion
The main finding of our study is that the dental arch shape of individuals from Chile’s admixed population does not differ significantly from that of Euro-descendant individuals, whereas the dental arch shape of individuals of Amerindian ancestry differs significantly from both the admixed and the Euro-descendant populations, being more square than in the latter two groups. This result is consistent with previous reports in the literature, as observed in populations of Amazonian Indigenous ancestry (3, and with the higher proportion of square arches found in the Mapuche population compared to the non-Mapuche population in Chile 4. Finally, in Euro-descendant individuals, the predominant similarity to triangular shapes aligns with what has been observed in previous studies conducted in both the United States and Italy (5, 7).
Additionally, our study confirms the results recently reported by Vidaurre et al. (2024), which demonstrate the existence of a continuous spectrum of arch shapes, with clear areas of overlap between them 11. This result, along with ours, has important clinical implications, as it suggests that commercially available preformed arches do not reflect the observed variability and therefore do not conform to the dimensions and shapes of dental arches that naturally occur across different populations-especially when ancestry is taken into account. Several studies illustrate this issue. For example, Oda et al. (22, in their analysis of the mandibular arch in a Japanese population, found that preformed arches were significantly narrower than natural dental arches. Similarly, Ahmed et al. (23, also focusing on the mandibular arch, reported in a sample from Pakistan that no commercial arch fully matched the natural arch dimensions of individuals. Lombardo et al. 24, analyzing both the maxillary and mandibular arches, reached similar conclusions in a study of a population in Italy, while Mughal et al. (25, who evaluated both arches, warned against the use of overly wide arches in Pakistani patients due to the risk of post-treatment instability. These findings reinforce the notion that prefabricated commercial arches do not represent the true anatomical variability of this structure.
As for the dental arch size, in the admixed population it does not differ significantly from the size observed in Amerindian individuals, with both being larger than that of Euro-descendant individuals. This finding is consistent with previous studies documenting that populations from the Americas (Amerindian and admixed) and the Arctic (Aleuts and Eskimos) tend to have larger teeth than European populations (26. The absence of statistically significant differences in centroid size between Amerindians and the admixed population in our sample is consistent with the larger tooth size reported in the Americas, while the smaller centroid size in the dental arches of Eurodescendant individuals aligns with the smaller tooth size documented in European populations 26.
Finally, although the potential forensic application of differences in dental arch shape in relation to population ancestry is not the focus of this research, it is a topic of justified interest given the need for highly effective, specific, and reproducible markers for use in forensic identification across a variety of contexts-from determining the vitality of wounds on a corpse (i.e., whether they were inflicted during life or post-mortem) 27, to predicting a person’s visible external characteristics, particularly the face, through DNA phenotyping (28. In this context, and despite the substantial advances in forensic techniques in recent decades 29, the challenge of identifying intermediate phenotypic traits-those found in most populations-remains. Taking this background into account, and given the continuous nature of the pattern of variation in dental arch shape (this study), it is clearly not advisable to use this phenotype for forensic identification purposes, at least in Chile’s admixed population and, by extension, in other Latin American populations.
Although comparisons among studies may be limited due to methodological differences, our work contributes to characterizing the shape and size of dental arches in an admixed sample (i.e., composed of two or more ancestries) and comparing them with populations of other ancestries-an aspect rarely addressed in the literature, with the exception of Agurto and Sandoval (4. Furthermore, we applied geometric morphometrics, a technique that is more accurate and efficient than traditional methods for capturing biological complexity (9, 10). Its use in the analysis of dental arch shape variation by ancestry, thus it represents a novel and promising approach.
One limitation of this study is the lack of age information available for the pre-Columbian individuals. This is relevant because dental arch shape can still change after the eruption of the second permanent upper molar at around age 12 (30. However, given that such shape variation does not occur beyond age 15, and considering that over 90% of the individuals in our sample are older adults, this factor does not affect the results obtained.
We hope this study contributes to a better understanding of human morphological diversity and encourages new interdisciplinary approaches to the study of admixing in Chile, taking into account the potential impact of ancestry on orthodontic treatment outcomes.
REFERENCES
1. Chuck G. Ideal Arch Form. Angle Orthod. 1934. [ Links ]
2. Izard G. New method for the determination of the normal arch by the funtion of the face. Int j orthod oral surg radiogr. 1927;13(7). [ Links ]
3. Rivera S, Triana F, Soto L, Bedoya A. Forma y tamaño de los arcos dentales en una población escolar de indígenas amazónicos. Colomb Med. 2008;39(1):51-6. [ Links ]
4. Agurto P, Sandoval P. Morfología del Arco Maxilar y Mandibular en Niños de Ascendencia Mapuche y no Mapuche. Int J Morphol. 2011;29:1104-8. [ Links ]
5. Ferro R, Pasini M, Fortini A, Arrighi A, Carli E, Giuca MR. Evaluation of maxillary and mandibular arch forms in an Italian adolescents sample with normocclusion. Eur J Paediatr Dent. 2017;18(3):193-8. [ Links ]
6. Park SJ, Leesungbok R, Song JW, Chang SH, Lee SW, Ahn SJ. Analysis of dimensions and shapes of maxillary and mandibular dental arch in Korean young adults. J Adv Prosthodont. 2017;9(5):321-7. [ Links ]
7. Burris BG, Harris EF. Maxillary arch size and shape in American blacks and whites. Angle Orthod. 2000;70(4):297-302. [ Links ]
8. Arai K, Will LA. Subjective classification and objective analysis of the mandibular dental-arch form of orthodontic patients. Am J Orthod Dentofacial Orthop. 2011;139(4):e315-21. [ Links ]
9. Toro-Ibacache M, Manriquez-Soto G, Suazo-Galdames I. Morfometría Geométrica y el Estudio de las Formas Biológicas: De la Morfología Descriptiva a la Morfología Cuantitativa. Int J Morphol. 2010;28(4):977-90. [ Links ]
10. Benítez H, Püschel T. Modelando la Varianza de la Forma: Morfometría Geométrica Aplicaciones en Biología Evolutiva. Int J Morphol. 2014;32(3):998-1008. [ Links ]
11. Vidaurre Latorre F, Iriarte M, Manríquez G, Diaz Muñoz A. Patrón de variación de la forma del arco dentario mandibular en una muestra de la Región Metropolitana de Chile. Odontoestomatología. 2024;26. [ Links ]
12. Bryc K, Durand EY, Macpherson JM, Reich D, Mountain JL. The genetic ancestry of African Americans, Latinos, and European Americans across the United States. Am J Hum Genet. 2015;96(1):37-53. [ Links ]
13. Adams DC, Collyer ML. Comparing the strength of modular signal, and evaluating alternative modular hypotheses, using covariance ratio effect sizes with morphometric data. Evolution. 2019;73(12):2352-67. [ Links ]
14. Zelditch ML, Swiderski DL, Sheets HD. Geometric Morphometrics for Biologists: Elsevier; 2012. [ Links ]
15. Klingenberg C. MorphoJ: an integrated software package for geometric morphometrics. Int J Morphol. 2011;11:353-7. [ Links ]
16. Posit Software P. RStudio. 2024. [ Links ]
17. Manly B. Randomization, Bootstrap and Monte Carlo Methods in Biology. Third edition ed. London: Chapman & Hall; 2006. 455 p. [ Links ]
18. Hammer Ø, Harper D, Ryan P. PAST: Paleontological statistics software package for education and data analysis. Palaeontologia Electronica. 2001;4(1):9. [ Links ]
19. Fox JW, S. An R Companion to Applied Regression. Thousand Oaks, CA: Sage; 2019. [ Links ]
20. Wickham H. ggplot2: Elegant Graphics for Data Analysis. New York: Springer-Verlag; 2016. [ Links ]
21. Dinno A. Dunn's Test of Multiple Comparisons Using Rank Sums 2024 Available from: https://cran.r-project.org/web/packages/dunn.test/dunn.test.pdf. [ Links ]
22. Oda S, Arai K, Nakahara R. Commercially available archwire forms compared with normal dental arch forms in a Japanese population. Am J Orthod Dentofacial Orthop. 2010;137(4):520-7. [ Links ]
23. Ahmed M, Shaikh A, Fida M. Evaluation of conformity of preformed orthodontic archwires and dental arch form. Dental Press J Orthod. 2019;24(1):44-52. [ Links ]
24. Lombardo L, Fattori L, Molinari C, Mirabella D, Siciliani G. Dental and alveolar arch forms in a Caucasian population compared with commercially available archwires. Int Orthod. 2013;11(4):389-421. [ Links ]
25. Mughal A, Jan A, Akhtar O, Ghaffar F, Shafique H, Shahid R. Comparison of commercially available preformed archwires with average natural arch forms. J Pak Med Assoc. 2021;71(11):2495-500. [ Links ]
26. Hanihara T, Ishida H. Metric dental variation of major human populations. Am J Phys Anthropol. 2005;128(2):287-98. [ Links ]
27. Pennisi G, Torrisi M, Cocimano G, Esposito M, Salerno M, Sessa F. Vitality markers in forensic investigations: a literature review. Forensic Sci Med Pathol. 2023;19(1):103-16. [ Links ]
28. Alshehhi A, Almarzooqi A, Alhammadi K, Werghi N, Tay GK, Alsafar H. Advancement in Human Face Prediction Using DNA. Genes (Basel). 2023;14(1). [ Links ]
29. Dunn RR, Spiros MC, Kamnikar KR, Plemons AM, Hefner JT. Ancestry estimation in forensic anthropology: A review. WIREs Forensic Science. 2020;2(4):e1369. [ Links ]
30. Wen YF, Wong HM, Pei T, McGrath C. Adolescent dental arch development among Southern Chinese in Hong Kong: a geometric morphometric approach. Sci Rep. 2019;9(1):18526. [ Links ]
Funding source: ANID - Subdirectorate of Human Capital / National Doctorate / 2021-21210322 (JB); Conicyt, Fondecyt Regular No. 1020375 (GM); Conicyt, PIA Anillo ACT-96 (GM).
Acknowledgments: The authors are grateful to the curators and support staff of the Calama Culture and Tourism Corporation (Chile), the R. P. Gustavo Le Paige Archaeological Museum at the Universidad Católica del Norte (Arica, Chile), the National Museum of Natural History (Santiago, Chile), the Musée de l’Homme (Muséum national d’Histoire naturelle, Paris, France), and the American Association of Orthodontists Foundation (AAOF) for facilitating access to and the recording of the skulls and 3D models from their respective collections. We also thank the three anonymous reviewers for their valuable comments and suggestions, which significantly contributed to improving the initial version of this manuscript.
Authorship Contribution (CRediT Taxonomy):/ 1. Project Administration 2. Funding Acquisition 3. Formal Analysis 4. Conceptualization 5. Data Curation 6. Writing - Review and Editing 7. Research 8. Methodology 9. Resources 10. Writing - Original Draft Preparation 11. Software 12. Supervision 13. Validation 14. Visualization J.B.M.: 3, 5, 6, 7, 8, 10, 13, 14 H.H.: 3,6, 9, 12 A.D.M.: 3, 6, 7, 8, 12, 13, 14 G.M.S.: 1, 2, 3, 4, 5, 6, 7, 8, 9, 10, 12, 13, 14
Journal editor: Dr. Natalia Tancredi Cueto, MSc.
Received: September 06, 2024; Accepted: March 24, 2025










texto em 




