Introducción y antecedentes
La forma y tamaño de los arcos dentarios presentan una considerable variabilidad entre los diferentes grupos humanos. Estudios previos han descrito diversas formas de los arcos dentarios, incluyendo cuadradas, ovoidales y triangulares1, donde la forma ovoidal sería la más prevalente, representando alrededor del 75% de los casos2. Este patrón se repetiría en las poblaciones que dieron origen a la población mixta de Chile3-5. En cuanto a la forma de los arcos dentarios en poblaciones europeas, Ferro et al.5, utilizando plantillas preformadas observaron una tendencia similar (mayor frecuencia) de arcos ovoidales (46.2%) y estrechos (43.4%), mientras que la forma cuadrada fue la menos frecuente (10.4%)5. Por otro lado, Park et al.6 clasificaron las formas de los arcos en adultos jóvenes asiáticos, encontrando que la forma más común, tanto en el maxilar como en la mandíbula, fue la ovoidal (52% y 56%, respectivamente), seguida por la triangular (28% en ambos) y la cuadrada (20% en el maxilar y 16% en la mandíbula)6. Por último, en un estudio con indígenas de la Amazonía colombiana, Rivera et al.3 mostraron la existencia de un predominio de la forma ovoidal en los arcos superiores (86%) e inferiores (75%), con presencia de configuraciones cuadradas en el 14% y 25% de los casos, respectivamente, con ausencia de formas triangulares3.
En estudios comparativos de individuos con diferentes ancestrías, Burris y Harris7) encontraron que los estadounidenses afrodescendientes presentaban arcos maxilares más cuadrados en comparación con los eurodescendientes, quienes exhibían arcos más estrechos y redondeados7. Por último, Agurto y Sandoval4 utilizando plantillas preformadas evaluaron la forma de los arcos maxilares y mandibulares en niños de ancestría mapuche y no mapuche en Chile, encontrando una mayor proporción de arcos cuadrados en la población mapuche, tanto en el maxilar como en la mandíbula, en comparación con el grupo no mapuche. Sin embargo, para ambos grupos la forma predominante fue la ovoide4. Sólo dos de los cinco estudios revisados declararon haber analizado el maxilar superior utilizando plantillas, un método que conlleva una fuerte carga subjetiva en la asignación de formas(4, 5). No obstante la importante cantidad de trabajos que caracterizan la forma de los arcos dentarios en poblaciones de distintas ancestrías, hasta el presente no se ha estudiado de manera simultánea la forma de los arcos dentarios en poblaciones de origen mixto en comparación con la de sus poblaciones ancestrales europeas y amerindias. Finalmente, desde un punto de vista metodológico, Arai y Will8 evaluaron la confiabilidad interexaminador en la clasificación subjetiva de formas de arco mandibular de pacientes ortodóncicos en tres categorías: estrecha, ovoide y cuadrada, encontrando un alto acuerdo entre los examinadores para las formas extremas (triangulares y cuadrada), pero mayor variabilidad para la forma intermedia (ovoide)8.
Mientras los antecedentes resaltan la relevancia de considerar la ancestría en la forma de los arcos dentarios para el diagnóstico y planificación de tratamientos odontológicos y ortodóncicos, se requieren más estudios que exploren las diferencias en las formas de arcos dentarios entre distintas poblaciones, particularmente de ancestría amerindia, europea y mixta, de una manera más objetiva. Lo anterior con el fin de determinar si existen diferencias específicas en la forma de los arcos dentarios entre estos grupos que puedan tener implicancias clínicas en el diagnóstico y planificación de un tratamiento ortodóncico individualizado.
El objetivo de este estudio es comparar la forma y el tamaño de los arcos dentarios entre poblaciones de origen amerindio, mixtas de Chile y eurodescendientes de Chile y de Estados Unidos, con el fin de conocer la expresión de las respectivas ancestrías en el fenotipo dentario mixto, utilizando herramientas estándar de morfometría geométrica. Estas técnicas permiten capturar la geometría de las estructuras de manera precisa y completa en comparación con los métodos tradicionales basados en medidas lineales que sólo entregan información sobre las diferencias en magnitud o tamaño (i.e. componentes escalares del patrón de variación morfológica, es decir, en una sola dimensión), pero no sobre las diferencias de tipo geométrico o de la forma (i.e. componentes vectoriales caracterizados por dos o más dimensiones)9, o bien asignando formas preestablecidas a las que se ajusta cada caso individual (plantillas ovoides, cuadradas y triangulares). Además, la morfometría geométrica no solo permite el análisis estadístico del patrón de variación de la forma, sino que también posibilita la visualización de los cambios mediante la sobreposición de grillas cartesianas según la función de deformación de placa delgada (thin-plate spline function)10. Así, una reciente publicación de nuestro laboratorio que utilizó este enfoque para estudiar la variación del arco dentario mandibular en la población mixta de la Región Metropolitana de Chile, muestra que la forma del arco dentario se expresa con una continuidad tal que contradice el supuesto de la existencia de formas fijas pre-existentes (i.e. “cuadrada”, ovoide”, “triangular”)11.
De acuerdo con nuestra hipótesis de nulidad, la forma y/o el tamaño de los arcos dentarios de la población mixta de Chile son intermedios respecto de las poblaciones ancestrales que les dieron origen.
Métodos
Se realizó un estudio observacional, analítico de tipo transversal para comparar la forma y tamaño de los arcos dentarios entre individuos de diferentes ancestrías. La ancestría amerindia contó con muestras de poblaciones precolombinas del Centro Sur Andino y del Centro, Sur y Extremo Sur de Chile, cuyos sitios arqueológicos se distribuyen en un rango temporal que va desde los 7.500 años de antigüedad (Cultura Chinchorro) hasta el contacto con el español . Este material se encuentra depositado en el Centro de Análisis Cuantitativo en Antropología Dental de la Facultad de Odontología de la Universidad de Chile representado por una colección de fotografías en norma anatómica de cráneos cuyo registro se realizó en terreno por GM y AD entre los años 2008 y 2014 en la Corporación de Cultura y Turismo de Calama, Chile, el Museo Arqueológico R. P. Gustavo Le Paige, U. Católica del Norte, Arica, Chile, el Museo Nacional de Historia Natural, Santiago de Chile, y el Musée de l'Homme (Muséum national d'Histoire naturelle), París, Francia. La muestra mixta consistió en fotografías de modelos dentales obtenidos de impresiones con alginato provenientes de donaciones anonimizadas de pacientes de la Clínica Odontológica de la Facultad de Odontología de la Universidad de Chile. Finalmente, la población de origen europeo estuvo representada: i) por fotografías en norma anatómica de modelos dentales obtenidos de impresiones con alginato provenientes de pacientes con uno o dos apellidos alemanes que se atienden en una clínica privada de Santiago Oriente (Comuna de Lo Barnechea), donde, según los datos obtenidos por el Proyecto Chilegenómico, el porcentaje de ancestría europea de la población residente es del 80.3%, en comparación al 54.1% de ancestría europea de la población que se atiende en Santiago Norte (Comuna de Independencia), lugar en que se ubica la Clínica Odontológica de la Facultad de Odontología de la Universidad de Chile (http://genoma.med.uchile.cl/ancestry) y ii) por fotografías en norma anatómica de modelos 3D de pacientes blancos de Michigan y Oregón, Estados Unidos de América, disponibles en el Proyecto de colecciones del Legado de crecimiento craneofacial de la Fundación de la Asociación Americana de Ortodoncia (AAOF) (https://www.aaoflegacycollection.org/aaof_home.html). De acuerdo con Bryc et al. (2015) los individuos caucásicos de este país presentan una ancestría europea promedio del 98.6% verificada mediante análisis de polimorfismos de nucleótido único autosómicos (SNPs)12. Los criterios de inclusión fueron individuos con dentición completa de segundo molar superior derecho a izquierdo. La muestra final consistió en 53 individuos de origen amerindio, 118 mixtos y 101 europeos (resumen en Tabla 1, detalles en Tabla S1).
Tabla 1: Muestra utilizada en el presente estudio (entre paréntesis los porcentajes de las submuestras eurodescendientes respecto del total de la muestra utilizada) (detalles en Tabla S1).
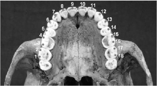
Como material se utilizaron fotografías escaladas milimétricamente tanto para los cráneos, en el caso de los individuos precolombinos, como para modelos dentales de yeso en los individuos de población mixta y eurodescendiente. Para registrar la forma del arco dentario se utilizó un mapa de homologías de 18 hitos (Tabla 2, Figura 1) con uso del programa tpsDig 2.3213. En el contexto de la morfometría geométrica, según Zelditch et al., un hito o landmark es un punto anatómico discreto que puede ser reconocido como el mismo punto en todos los individuos estudiados, independientemente de su ancestría o grupo poblacional14.
Tabla 2: Hitos anatómicos (landmarks) ubicados en las cúspides vestibulares y bordes incisales de los dientes del maxilar, utilizados para capturar la forma del arco dentario superior.

Figura 1: Hitos (landmarks) anatómicos utilizados en el presente estudio para registrar la forma del arco dentario superior (Definición en Tabla 1).
Los datos de ingreso de la morfometría geométrica corresponden a la proyección a un plano xy de un par de coordenadas por hito, siendo representado cada individuo por una matriz de 18 filas (cada fila un hito) y 2 columnas (una columna para la proyección del hito en el eje x y una columna para la proyección del hito en el eje y). Estas matrices o configuraciones de coordenadas de hitos fueron procesadas y analizadas utilizando los softwares Morpho-J 1.08.0115 y R Studio16 aplicando las herramientas estándar de la morfometría geométrica14. En el programa Morpho-J 15 se realizó un análisis de mínimos cuadrados generalizado o análisis de Procusto, consistente en la eliminación en cada matriz de las diferencias debidas a rotación, traslación y escala, obteniéndose como resultado dos componentes de la variación morfométrica: i) el tamaño del centroide de cada individuo, correspondiente a la raíz cuadrada de la suma de las distancias desde cada hito al centroide de la configuración de hitos (estimador de la variación en tamaño) y ii) el espacio de la forma o espacio de Kendall, constituido por las configuraciones de coordenadas de los arcos dentarios de cada individuo, separadas unas de otras a una determinada distancia angular medida en radianes, o distancia de Procusto. Posteriormente, estas configuraciones son proyectadas como puntos a un plano tangente al espacio de la forma, constituído por los dos primeros componentes principales o ejes resultantes de un Análisis de Componentes Principales (PCA por sus siglas en inglés). Este análisis forma parte de la familia de análisis estadísticos multivariantes factoriales, caracterizados por reducir las variables originales (las configuraciones de coordenadas en este caso) a nuevas variables o componentes que representan en forma jerárquica, decreciente y porcentual (%PC1 > %PC2 > … %PCn) el total de la varianza contenida en los datos de origen, (ver Fig. 2 en sección resultados). En el contexto de la morfometría geométrica los datos que permiten poner a prueba las hipótesis de trabajo en relación al patrón de variación de la forma son las coordenadas que se obtienen al proyectar cada punto del plano formado por los componentes principales a sus respectivos ejes o PC scores). El análisis PCA, de tipo exploratorio, se complementa con un análisis de Función Lineal Discriminante (DFA, por sus siglas en inglés), que utiliza como dato de entrada los PC scores del PCA realizado previamente, permitiendo conocer el porcentaje de observaciones originales (individuos) que son adscritas a los centroides de sus respectivos grupos (i.e. correctamente clasificadas) luego de realizar una prueba de validación cruzada con un número significativo de remuestreos con 1 reemplazo por vez (leave-one-out cross-validation o jackknife) (9.999 remuestreos en nuestro caso). Esta técnica de remuestreo no requieren que se cumplan los supuestos de multinormalidad y de igualdad de las matrices de varianza-covarianza, ya que, tal como lo describe Manly (2006)17, se basan en la aleatorización y el uso de distribuciones empíricas generadas directamente a partir de los datos observados 17. Por sobre un 80% de precisión de la clasificación (adscripciones correctas), se considera que los individuos pertenecen efectivamente a los grupos a los que fueron asignados a priori. En caso contrario (con valores menores al 80% de casos correctamente clasificados), se considera que los individuos adscritos originalmente a grupos distintos, en la práctica conforman un solo grupo. Los datos de ingreso para realizar el DFA con validación cruzada fueron los PC scores obtenidos en el programa Morpho-J. El análisis DFA propiamente tal se realizó con el programa PAST18. Por su parte, los datos que permiten conocer el patrón de variación del tamaño son los respectivos tamaños del centroide de cada individuo. Por tratarse de valores escalares se aplica un ANOVA de una vía o, si corresponde, su equivalente no paramétrico, la prueba de Kruskal-Wallis. En ambos casos, para conocer el valor relativo del aporte de cada grupo de observaciones al resultado final se realiza una prueba post-hoc de Dunn, que entrega los valores de p con corrección de Bonferroni para cada par de comparaciones. Este último conjunto de análisis se llevó a cabo en el ambiente integrado R Studio16, mediante los paquetes "car"19 para pruebas de hipótesis, "ggplot2"20 para la visualización de los datos, y "dunn.test"21 para la prueba de Dunn.
Resultados
Análisis de los componentes de la forma: El análisis de los componentes de la forma o componentes principales (PCA) mostró una alta sobreposición entre los individuos eurodescendientes y los individuos pertenecientes a la población mixta de Chile, pero no así para los individuos amerindios, los cuales se separan sustantivamente del resto en relación al segundo componente de la forma (PC2) (Figura 2). Los dos primeros componentes de la forma explicaron el 66.2% de la varianza total.

Figura 2: Análisis de componentes principales (PC1 vs PC2). El gráfico muestra la sobreposición del grupo mixto con los individuos eurodescendientes, quedando ambos separados del grupo de individuos de ancestría amerindia respecto del segundo componente de la forma (PC2).
En este espacio morfométrico, los individuos amerindios presentaron formas de arco que van desde ovoidales a cuadradas, mientras que los eurodescendientes tendieron a exhibir formas más triangulares. La población mixta por su parte exhibió formas intermedias entre ovoidales y triangulares (Figura 3).

Figura 3: Análisis de componentes principales (PC1 vs PC2) con las formas de los arcos dentarios. Los componentes de la forma corresponden a los valores extremos de los respectivos ejes PC1 y PC2 que se muestran en la Fig. 2. En gris se muestra la forma de consenso, y en negro la forma de cada grupo.
Por otra parte, los análisis de función discriminante con remuestreo con reemplazo revelaron una alta precisión para diferenciar a los individuos amerindios de los individuos tanto eurodescendientes como mixtos (Tabla 3).
Tabla 3: Resultados del Análisis Lineal Discriminante (DFA) con prueba de validación cruzada (jackknife), basada en los componentes de la forma del arco dentario de las muestras de población mixta chilena (MIX), amerindia (AMER) y eurodescendiente (EUR).
Se muestran los porcentajes de individuos de los grupos conocidos (enumerados en la primera columna), asignados a cada grupo (enumerados en la primera fila). Para una correcta interpretación esta tabla debe leerse por filas
Esta misma técnica de validación cruzada fue utilizada para conocer la ubicación de los eurodescendientes de la Clínica privada de Santiago en el espacio morfométrico ocupado por los eurodescendientes de EE.UU. En este caso, se obtuvo una muy baja precisión de la clasificación, corroborando el hecho que las tres muestras de eurodescendientes no presentan diferencias sustanciales en la forma del arco dentario, constituyendo un solo grupo (Tabla 4).
Tabla 4: Resultados del Análisis Lineal Discriminante con prueba de validación cruzada (jackknife), basada en los componentes de la forma del arco dentario de las muestras de población eurodescendiente (EUR) de EE.UU. de América y de la Clínica privada de Santiago (la estructura de esta tabla es similar a la explicada en la leyenda de la Tabla 3)
Análisis del tamaño del centroide: Los individuos de ancestría amerindia presentaron el mayor tamaño del centroide promedio (126.50 ± 18.36 mm.), seguido por el mixto (117.32 ± 8.58 mm.) y el europeo (108.03 ± 7.10 mm.). La prueba de Kruskal-Wallis (H= 80.28, p= 3.694e-18) y el test post-hoc de Dunn con corrección de Bonferroni mostraron diferencias estadísticamente significativas entre la forma del arco dentario de amerindios y europeos (p= 5.704e-15), y de mixtos y europeos (p= 2.488e-12), aunque no así de mixtos y amerindios (p= 0.067) (Figura 4).
Finalmente, el análisis del efecto de la alometría (i.e. efecto del tamaño del centroide sobre el componente de la forma de mayor varianza, PC1), arrojó coeficientes de correlación de Pearson no significativos tanto para amerindios (r= 0.059, p= 0.671) como mixtos (r= -0.139, p= 0.135). La ausencia de efecto alométrico significa que la variación en el tamaño no está afectando ni influye en el patrón de variación del componente de la forma del arco dentario de estas poblaciones. En el caso de la muestra eurodescendiente, si bien se observó efecto alométrico, éste se expresó con baja intensidad (r= -0.197, p= 0.048),
Discusión
El principal resultado de nuestro trabajo es que la forma del arco dentario de los individuos de la población mixta de Chile no difiere significativamente de la forma del arco de los individuos eurodescendientes, mientras que la forma del arco de los individuos de ancestría amerindia difiere significativamente, tanto de la población mixta como de la eurodescendiente, siendo más cuadrada que estos dos últimos grupos. Este resultado es concordante con lo previamente descrito en la literatura, según lo reportado en población de ancestría indígena amazónica3, siendo igualmente consistente con la mayor proporción de arcos cuadrados observada en población mapuche respecto a la no mapuche en Chile4. Por último, en individuos eurodescendientes, la similitud predominante con formas triangulares concuerda con lo observado en estudios previos, tanto en Estados Unidos como en Italia5,7.
Adicionalmente, nuestro estudio corrobora los resultados obtenidos recientemente por Vidaurre et al. (2024) que revela la existencia de un espectro continuo de formas de arco, con evidentes zonas de sobreposición entre ellas11. Este resultado y los nuestros tienen importantes implicancias clínicas, ya que sugieren que los arcos preformados disponibles comercialmente no dan cuenta de la variabilidad observada y, por lo tanto, no se ajustan a las dimensiones y formas de los arcos dentales que naturalmente existen en las distintas poblaciones, especialmente si consideramos el efecto de la ancestría. Diversos estudios ilustran este problema. Por ejemplo, Oda et al. 22, al analizar el arco mandibular en una población japonesa, encontraron que los arcos preformados eran significativamente más estrechos que los arcos dentales naturales. Similarmente, Ahmed et al.23, también enfocándose en la arcada mandibular, reportaron en una muestra de Pakistán que ningún arco comercial se ajustaba completamente a las dimensiones de arco natural de los individuos. Lombardo et al.24, analizando tanto la arcada maxilar como la mandibular, llegaron a conclusiones análogas al estudiar una población de Italia, mientras que Mughal et al.25, evaluando ambas arcadas, advirtieron contra el uso de arcos demasiado anchos en pacientes pakistaníes debido al riesgo de inestabilidad postratamiento. Lo anterior refuerza la noción de que los arcos comerciales prefabricados no representan la variabilidad anatómica real de esta estructura.
En relación al tamaño del arco dentario, en la población mixta éste no difiere significativamente del tamaño que presentan los individuos amerindios, siendo en ambos casos mayor que el de los eurodescendientes. Este hallazgo es consistente con estudios previos que han documentado que las poblaciones de América (amerindias y mixtas) y del Ártico (aleutianos y esquimales) presentan dientes de mayor tamaño dentario en comparación con poblaciones europeas26. La ausencia de diferencias estadísticamente significativas en el tamaño del centroide entre amerindios y población mixta de los arcos maxilares en nuestro estudio es concordante un mayor tamaño dentario reportado para América, mientras que el menor tamaño del centroide en los arcos dentarios de los eurodescendientes es consistente con el menor tamaño dentario documentado en poblaciones europeas26.
Finalmente, aunque el eventual uso forense de las diferencias de la forma del arco dentario en relación a la ancestría de las poblaciones no está en el foco de la presente investigación, es un tema que causa un justificado interés dada la necesidad de contar con marcadores de la mayor eficacia, especificidad y reproductibilidad para ser aplicados en la identificación forense en los más diversos escenarios, desde determinar la vitalidad de las heridas de un cadáver (i.e. si estas fueron causadas en vida o post-mortem)27, hasta predecir las características visibles externas de una persona, en particular de la cara, mediante la fenotipificación por DNA28. En este contexto, y no obstante los enormes avances logrados en las técnicas forenses en las últimas décadas29, aún persiste el problema de la identificación de los rasgos fenotípicos intermedios, que son los que presentan la mayoría de las poblaciones mixtas28. Tomando en cuenta estos antecedentes, y dado el carácter continuo del patrón de variación de la forma del arco dentario (este trabajo), definitivamente no es recomendable utilizar este fenotipo para fines de identificación forense, al menos en la población mixta de Chile y, por extensión, de las demás poblaciones latinoamericanas.
Si bien la comparación entre estudios puede verse limitada por diferencias metodológicas, nuestro trabajo contribuye a caracterizar la forma y el tamaño de los arcos en una muestra mixta (i.e. formada por dos o más ancestrías) y compararla con poblaciones de otras ancestrías, aspecto escasamente abordado en la literatura, con la excepción de Agurto y Sandoval4. Adicionalmente, aplicamos morfometría geométrica, técnica más precisa y eficiente respecto a los enfoques tradicionales para capturar la complejidad biológica(9, 10). Su uso en el análisis de la comparación de formas en los arcos dentarios relativas a las diferentes ancestrías constituye así un enfoque novedoso y prometedor.
Una limitación del presente este estudio sería la falta de información etaria disponible para los sujetos precolombinos, lo cual es problemático debido a que la forma del arco dentario puede seguir variando incluso después de la erupción del segundo molar permanente superior alrededor de los 12 años30. No obstante, debido a que el eventual cambio de la forma del arco dentario no ocurre más allá de los 15 años de edad30, y considerando el hecho de que la cantidad de individuos de nuestra muestra corresponde en más del 90% a individuos adultos mayores, este factor no altera los resultados obtenidos.
Esperamos que este trabajo contribuya a una mejor comprensión de la diversidad morfológica humana y estimule nuevas aproximaciones interdisciplinarias al estudio del mestizaje en Chile, tomando en consideración el eventual impacto del efecto de la ancestría en los resultados de tratamientos ortodóncicos.










texto em 




