Introducción
El síndrome de Gorlin-Goltz (SGG), también conocido como síndrome del nevus basocelular (SNBC), es un trastorno multisistémico raro con una prevalencia que varía de 1:30.000 a 1:256.000 según la región geográfica y los diferentes estudios analizados 1,2,3, presenta un patrón de herencia autosómico dominante en el 70-80% de los casos, mientras que el 20-30% restante se debe a una variación patogénica de novo. Se caracteriza por la aparición temprana de numerosos carcinomas basocelulares (CBC) y/o queratoquistes odontogénicos (QO), junto con anomalías esqueléticas, oftálmicas y neurológicas 1,2.
La etiología de este síndrome está relacionada con la mutación germinal en el homólogo humano del gen “drosophila patched” (PTCH1), o en el gen supresor de “fused homolog” (SUFU), componentes de la vía de señalización Sonic Hedgehog (SHH) 4. Cuando PTCH1 se liga a SHH, se permite la expresión de genes que controlan el crecimiento y la diferenciación celular. Sin embargo, un gen PTCH1 mutado es incapaz de unirse a SHH, dando como resultado la sobreactividad de esta vía de señalización, lo que genera la manifestación de CBC, QO, además de una amplia gama de anomalías del desarrollo.
Este sobrecrecimiento observado en el SGG, evidencia la función de PTCH1 como un gen supresor de tumores 5. El tratamiento de este síndrome precisa de un enfoque multidisciplinar, que suele involucrar la colaboración de dermatólogos, oncólogos, genetistas y cirujanos maxilofaciales.
Los QO son lesiones intraóseas benignas de origen odontogénico, que se caracterizan por un comportamiento agresivo, incluyendo un crecimiento rápido, con extensión a los tejidos adyacentes, invasión a tejidos blandos y una alta tasa de recurrencia 3,6. Constituyen la manifestación oral predominante de SGG. Aproximadamente del 65% al 100% de los pacientes con SGG desarrollan múltiples QO a lo largo de su vida, con una edad promedio de aparición que varía entre los 15.5 y 17.1 años 3,7. Se presentan de manera múltiple y se distribuyen equitativamente en los huesos maxilares. Contrastando con los QO no sindrómicos, que se observan predominantemente en la región posterior de la mandíbula 2,8. Las estrategias quirúrgicas actuales para el tratamiento de los QO asociados al SGG involucran descompresión o marsupialización con/sin quistectomía/enucleación secundaria con/sin ostectomía periférica, enucleación seguida de curetaje mecánico/ostectomía en asociación o no con el uso tópico de químicos citotóxicos ((Solución de Carnoy (SC), Solución de Carnoy Modificada (SCM) o 5-Fluorouracilo (5-FU)), enucleación seguida de crioterapia con nitrógeno líquido y resección en bloque con o sin preservación mandibular 2,9,10.
El presente trabajo tuvo como objetivo describir y discutir, con base en la literatura actual, el caso de un paciente joven con SGG, destacando el enfoque terapéutico empleado y los desafíos en relación a la alta tasa de recidiva de los QO asociados a este síndrome. Asimismo, se planteó y analizó la problemática actual en relación al manejo de estos pacientes, enfatizando la necesidad de explorar el potencial de tratamientos emergentes, como inhibidores de la vía SHH, en busca de mejores resultados terapéuticos y reducir la morbilidad asociada.
Reporte de caso
Paciente sexo masculino de 19 años, derivado en el año 2021 desde un recinto hospitalario pediátrico con diagnóstico de SGG para el abordaje terapéutico de los QO de los huesos maxilares por el equipo de Cirugía Maxilofacial del Hospital San José. Al examen clínico presentaba cánulas de tratamiento descompresivo para múltiples QO diagnosticados con anterioridad en el recinto hospitalario de origen. El tratamiento había sido iniciado en 2019 y se continuó hasta el 2021, consiguiendo la disminución de tamaño de los QO para su posterior tratamiento quirúrgico (Figura 1).
Bajo anestesia general, con intubación orotraqueal, los quistes fueron enucleados con osteotomía periférica con la posterior aplicación de SCM en las superficies no críticas de los lechos quirúrgicos, alejadas de la órbita. Tras el procedimiento, acude a control los primeros 6 meses para luego no concurrir por dos años.

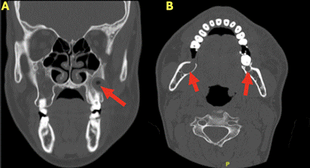
Figura 1. Tomografía computarizada del año 2021, se evidencian tres lesiones hipodensas señaladas con una flecha roja. (A) Dos lesiones hipodensas bilaterales de apariencia quística ubicadas en relación a ambos senos maxilares. (B) Presencia de lesión hipodensa de apariencia quística en zona parasinfisiaria izquierda. (C) Cánulas instaladas en ambas lesiones maxilares.
Vuelve a consultar en agosto del 2024 debido a un episodio de aumento de volumen hemifacial izquierdo, el cual fue tratado en el departamento de urgencias de otro recinto hospitalario, donde se realizó el tratamiento antibiótico y el drenaje del contenido purulento. Mediante la tomografía computarizada (TC) maxilofacial, se detectaron tres lesiones hipodensas con apariencia quística: una en la zona hemimaxilar posterior izquierda que correspondería a la recidiva de uno de los QO previamente tratados en el año 2021, y dos a nivel de ambos ángulos mandibulares (Figura 2). Se realizó la biopsia de estas lesiones confirmando el diagnóstico de QO, por lo que se decidió realizar la enucleación con osteotomía periférica de las lesiones mandibulares más pequeñas, en conjunto a la aplicación de SCM, y la canulización de la lesión maxilar para su descompresión y posterior enucleación.

Figura 2. Tomografía computarizada tomada en el Servicio de Urgencias, evidenciando tres lesiones hipodensas señaladas con una flecha roja. (A) Lesión hipodensa de apariencia quística ubicada en zona maxilar izquierda que se encontraba sobreinfectada, correspondería a la recidiva de lesión tratada en 2021. (B) Lesiones hipodensas de apariencia quística ubicadas en ambos ángulos mandibulares, lesiones que no se encontraban el 2021.
Bajo anestesia general, con intubación orotraqueal, se realizó la enucleación de las lesiones mandibulares, curetaje/osteotomía periférica con posterior aplicación de SCM por 3 minutos, y se instaló cánula descompresiva en lesión maxilar izquierda, la cual se mantuvo permeable y con indicación de lavados diarios con clorhexidina al 0.12% hasta lograr una descompresión adecuada para realizar su posterior enucleación (Figura 3). Actualmente el paciente se mantiene en control clínico mensual, y radiológico cada 6 meses.
Discusión
El Gold Standard para el diagnóstico de SGG es mediante pruebas genéticas de PTCH1, sin embargo en la práctica resultaría costoso y no en todos los casos es necesaria la confirmación diagnóstica mediante estos exámenes. La sospecha diagnóstica puede estar fuertemente fundamentada en hallazgos clínicos, donde se consideran criterios clínicos mayores y menores (Tabla 1). Existen tres escenarios que conducirán a un diagnóstico: (1) un criterio mayor y confirmación molecular; (2) dos criterios mayores; (3) un criterio mayor y dos criterios menores 11. Las pruebas genéticas se pueden realizar en base a un solo gen o un multipanel de genes, incluyendo análisis de los genes PCHT1 y/o SUFU, donde PCHT1 presenta mayor sensibilidad 11. En el caso reportado, el paciente presenta múltiples QO con una edad menor a 20 años, y un pariente en primer grado con SGG en este caso su padre, cumpliendo dos criterios mayores.
Los QO afectan a más del 65% de los individuos con SGG, llegando a causar una pérdida ósea significativa y una considerable disminución de la calidad de vida 12. En individuos no sindrómicos los QO suelen localizarse en el segmento posterior del cuerpo y rama mandibular, pudiendo presentarse a lo largo de toda la vida, con una edad promedio de aparición de 34,2 ± 17,9 años de edad 8,13. Por el contrario, en el contexto de SGG, los QO se distribuyen de manera uniforme en ambos maxilares, y se asocian con pacientes más jóvenes con una edad promedio de aparición entre los 15.5 y 17.1 años 3.
En el estudio de Schuch et al. (2020), que analizó 2497 QO no sindrómicos, no se encontró una diferencia significativa entre hombres y mujeres afectados, aunque se observó una ligera predilección por los hombres, con una proporción de 1.1:1 8. Este hallazgo es consistente con lo reportado por Titinchi et al. (2012) quienes señalaron una proporción hombre-mujer de 1:0.6 9. En el caso de individuos con SGG, la proporción entre géneros parece mantenerse equilibrada. Según el artículo de Spadari et al. (2022) existe una ligera predilección por las mujeres, con una proporción de 1:1.3 2. Por otro lado, en un reporte presentado por Metha et al. (2014) se describe una proporción hombre-mujer de 1:1 en individuos con SGG 14.
En el caso presentado en este artículo, se documenta un paciente hombre de 19 años de edad con SGG, quien experimentó una recidiva de un QO en un periodo inferior a 3 años tras el tratamiento quirúrgico, además de la aparición de novo de dos QO mandibulares. Este hallazgo es consistente con lo reportado por Titinchi et al. (2012), donde la tasa de recurrencia general de los QO en pacientes con SGG fue significativamente mayor (50.0%) en comparación con la de los QO no asociados al síndrome (29.2%)9. Por otro lado, Al-Moraissi et al. (2023) reportaron una tasa de recidiva general aún menor en pacientes no sindrómicos, consistente en 17,9% 10. Estas variaciones pueden depender del tipo de tratamiento que se utilice para estos pacientes, además de la cantidad de lesiones que presenten.
Referente a la eficacia de los tratamientos y sus respectivas tasas de recurrencia, la revisión sistemática de Winters et al. (2023) menciona que la resección completa o parcial presenta una tasa de recurrencia inferior al 2%, cifra que coincide con lo señalado por Al-Moraissi et al. (2023), quienes reportan un 2.3%. Sin embargo, este procedimiento está asociado a una morbilidad considerable. Por otro lado, la enucleación por sí sola presenta una tasa de recurrencia de entre el 22.1% y 25%, según lo reportado por estos autores, aunque con una menor morbilidad en comparación con la resección 10,13. Winters et al. (2023) indican que la enucleación acompañada de SC y osteotomía reduce la tasa de recurrencia al 11%. En el estudio de Al-Moraissi et al. (2023), se evidencia una tasa aún menor, de un 8.8%. No obstante, el uso de cloroformo dentro de la composición de la SC tiene potencial carcinogénico, por lo que su uso fue restringido. Posteriormente se introdujo la SCM, que presenta una composición comparable a la SC, pero sin cloroformo. Según la revisión sistemática de Al-Moraissi et al. (2023), el uso de SCM como coadyuvante en la enucleación con osteotomía periférica está asociado con tasa de recurrencia de 24.7% 10,13. Más recientemente, se ha implementado el uso de 5-FU en aplicación tópica, debido a su efecto antimetabólico que induce apoptosis celular. Las revisiones sistemáticas de Al-Moraissi et al. (2023) y A.K. Singh et al. (2022) reportan una tasa de recurrencia del 0% cuando se utiliza como terapia coadyuvante en conjunto con la enucleación y la osteotomía periférica. Sin embargo, esta cifra debe interpretarse con cautela, ya que la evidencia de los estudios individuales en los que se basan ambas revisiones tienen sus limitaciones 10,13,15.
Entre las causas de recurrencia de los QO que se han hipotetizado se incluyen varios factores. La tendencia a la multiplicidad, la fragilidad del tejido de revestimiento y la complejidad de la eliminación completa de los quistes presentes en la zona radicular de los elementos dentales, que a menudo impiden su eliminación completa, resultando en una enucleación fragmentada con la retención de células quísticas satélites, y dado el potencial intrínseco para la replicación epitelial resultaría en la recidiva del QO2. Además, se señala que los QO en el contexto de SGG se pueden presentar tanto de manera sincrónica, referido a su aparición de forma simultánea, como metacrónica, referido a su aparición en diferentes momentos. El número de QO que cada individuo con SGG puede desarrollar a lo largo de su vida varía de 1 a 28, con un promedio de 4 a 6 7. Esta alta tasa de recidiva expone a los individuos con SGG a múltiples reintervenciones a lo largo de su vida, lo que conlleva una morbilidad considerable. Sin embargo, se debe tener cuidado de no confundir el desarrollo de nuevos QO en estos pacientes con la recurrencia de QO previos 9.
En la actualidad, el abordaje terapéutico de los QO no distingue entre individuos con o sin SGG, a pesar de presentar diferencias en su comportamiento. En este sentido, sería relevante explorar tratamientos coadyuvantes sistémicos que actúen a nivel molecular. Tomando como referencia las lesiones de CBC, se ha explorado el uso de vismodegib y sonidegib, ambos inhibidores de la vía SHH, que actúan a nivel molecular para mitigar las manifestaciones clínicas del SGG compensando la mutación del gen PTCH-116. Por lo tanto, los tratamientos diseñados para prevenir la aparición de nuevos CBC se presentan como modalidades prometedoras para futuras investigaciones sobre el manejo de los QO asociados a este síndrome 6.
Ambos fármacos han sido aprobados por la administración de Alimentos y Medicamentos (FDA) para individuos de 18 años o más con CBC metastásico, CBC localmente avanzado que presenta recurrencia después de cirugía, o radioterapia, y para aquellos que no son candidatos para cirugía ni radioterapia 3,17. Sin embargo, el uso de estos fármacos tiene sus limitaciones. En el estudio realizado por Murgia et al. (2024), los siguientes efectos adversos fueron observados para sonidegib-vismodegib, respectivamente: disgeusia (44-58%), fatiga (32-39%), pérdida de cabello (49-66%), espasmos musculares (54-71%) y pérdida de peso (44-56%)1.
La evidencia actual es limitada en cuanto a estudios que evalúen el impacto del uso de fármacos como vismodegib y sonidegib en los QO. Booms et al. (2015) han señalado que el vismodegib ha demostrado ser eficaz en el tratamiento de los CBC, estudios preliminares sugieren su potencial beneficio en el manejo de los QO asociados a SGG. Asimismo, el estudio multicéntrico, aleatorizado, doble ciego, controlado con placebo, fase 2 realizado por Tang et al. (2016) reportaron que el vismodegib fue efectivo en reducir el diámetro de los QO en aproximadamente 1,0 cm (IC del 95%: 0,03-1,94; p=0,02), sin observarse un aumento en el tamaño de los QO preexistentes ni la aparición de nuevos durante el tratamiento, lo que sugiere que el vismodegib podría ser un complemento valioso a la terapia quirúrgica. Este enfoque terapéutico podría representar una doble ventaja, ya que no solo reduce la carga de CBC, sino que también disminuye la complejidad de las resecciones quirúrgicas de los QO, gracias a sus propiedades en el contexto de este síndrome 12.
Si bien el uso de vismodegib y sonidegib resulta prometedor, aún faltan estudios que confirmen su perfil de seguridad y eficacia en el tratamiento de los QO asociados a SGG. Además, las reacciones adversas a medicamentos que presentan son la principal razón que lleva a suspender el tratamiento. En este caso el paciente presenta larga data de QO con ya un episodio de recidiva y la aparición de dos nuevos quistes, es por ello que frente a esta situación se debe plantear la posibilidad de un enfoque diferente en busca de una resolución a largo plazo en especial frente a un paciente sindrómico.
Conclusión
En este estudio, además de presentar la evolución temporal y el tratamiento quirúrgico mediante descompresión, enucleación osteotomía periférica y aplicación de SCM de un paciente con QO asociados a SGG, se buscó destacar la necesidad de un tratamiento específico para los QO en este tipo de pacientes, que tienden a sufrir recurrencias como se muestra en este relato.
Para estos casos, podría considerar además del tratamiento quirúrgico la administración de fármacos inhibidores de la vía SHH como tratamiento coadyuvante sistémico. Planteamos que el manejo de estos pacientes debe contemplar terapias complementarias a nivel molecular, con el propósito de abordar de manera más exhaustiva el síndrome y reducir la morbilidad asociada, pero es fundamental llevar a cabo más estudios que consideren nuevas terapias coadyuvantes en el manejo de los QO en pacientes con este síndrome.









texto em 





