Introducción
La hiperplasia endotelial papilar intravascular (HEPI) es una lesión benigna no neoplásica que fue descrita por primera vez en 1923 por el Dr. Pierre Masson, quien la llamó "hemangioendotelioma intravascular vegetante"1. Posteriormente, algunos autores describieron esta lesión con muchos otros nombres, como hemangioma de Masson y hemangioendotelioma intravascular de Masson. En 1976, el Dr. Clearkin y el Dr. Enzinger propusieron finalmente el término HEPI2. A principios de la década de 1980, Hashimoto y sus colegas (1983) clasificaron la HEPI en tres subtipos diferentes según su relación con un vaso: (I) la forma pura (tipo I) que aparece dentro de un vaso dilatado; (II) la forma mixta (tipo II) que estaba presente en lesiones vasculares preexistentes como hemangiomas, aneurismas, malformaciones vasculares o granulomas piógenos; y (III) la forma extravascular (tipo III), originada a partir de un hematoma postraumático3.
En general, la HEPI representa una lesión poco común. Esta condición comprende casi el 2% de todos los tumores vasculares de la piel y el tejido subcutáneo, y ocurre predominantemente en el tronco, los dedos y la región de la cabeza y el cuello4. La frecuencia de la HEPI no es común en la región oral y maxilofacial y representa aproximadamente el 0,03% de los casos entre las muestras obtenidas de esta ubicación5. Un estudio reciente publicado por Vieira et al. (2020) mostró que, de 105 casos de HEPI ubicados en la mucosa oral y en los huesos de la mandíbula, solo cuatro (3.81%) estaban ubicados en los maxilares5.
Dado el número limitado de casos de HEPI en el complejo bucomaxilofacial, el objetivo de este artículo fue contribuir a la literatura con un caso desafiante de una lesión asintomática que presenta un aspecto radiolúcido en la mandíbula, simulando un quiste residual (QR).
Descripción
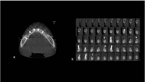
Una mujer de 60 años fue atendida en una clínica privada en mayo de 2015 para la colocación de un implante dental. Sin embargo, durante los exámenes de imagen, se detectó la presencia de una lesión en la mandíbula. En ese momento, la paciente no informó de ningún síntoma. Los exámenes extra e intraorales no revelaron hallazgos anormales (como sensibilidad, tumefacción o dolor). Su historial médico no presentaba particularidades, y no se recopiló ninguna otra información relevante de la anamnesis. La Tomografía Computarizada reveló una lesión hipodensa con margen esclerótico que medía aproximadamente 0,8 x 0,8 x 0,7 cm en la mandíbula posterior derecha (Figura 1a y 1b). Según el historial del paciente y los hallazgos clínicos, el diagnóstico clínico inicial fue de un QR. Se obtuvo el consentimiento informado y, bajo anestesia local, se realizó una biopsia excisional. El material fue enviado al Centro de Diagnóstico de Enfermedades Orales (CDEO) de la Universidad Federal de Pelotas, Brasil. La muestra macroscópica consistía en una masa de tejido blando bien delimitada, de color marrón, con una superficie regular que medía 0,5 x 0,5 x 0,2 cm. La muestra se colocó en formalina al 10% y se sometió a análisis histopatológico.

Figura 1. Tomografía computarizada inicial (TC) - mayo de 2015 - mostrando una lesión hipodensa unilocular con margen esclerótico que mide aproximadamente 0.8 x 0.8 x 0.7 cm en la mandíbula posterior derecha (a: sección sagital) (b: sección coronal).
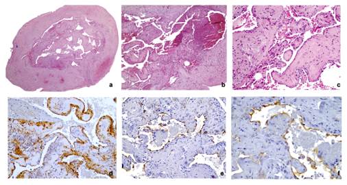
Las características histopatológicas del presente caso definieron el diagnóstico final de la lesión. La evaluación microscópica de las secciones teñidas con hematoxilina-eosina reveló proyecciones papilares y trombos dentro del lumen del vaso revestido de células endoteliales (Figuras 2a, 2b y 2c). El análisis inmunohistoquímico mostró que el endotelio en monocapa estaba expresado por CD34 (Figuras 2d y 2e) y actina de músculo liso (Figura 2f). Las marcas de vimentina y S-100 mostraron una tinción negativa.

Figura 2. Secciones teñidas con hematoxilina y eosina (H&E) muestran una lesión bien delimitada (a: H&E, X40) compuesta por espacios vasculares, trombos y áreas celulares mixtas (b: H&E, X100). Proliferación papilar de células endoteliales hacia el lumen del vaso (c: H&E, X200). El análisis inmunohistoquímico mostró positividad para actina de músculo liso (d: X200). El análisis inmunohistoquímico mostró que el endotelio en monocapa estaba expresado por CD34 (e: X200 y f: X400).
Con base en estos hallazgos, la lesión fue identificada como HEPI de la mandíbula. El curso postoperatorio fue sin complicaciones y no hubo evidencia de recurrencia durante los 5 años de seguimiento (Figuras 3a y 3b).
Discusión
La apariencia radiográfica de la HEPI en los huesos maxilares es inespecífica y puede imitar diversas lesiones. El diagnóstico diferencial inicial incluyó quiste odontogénico inflamatorio, neoplasias de glándula salivar, defecto de médula ósea osteoporótica focal (DMOOF), y quiste óseo de Stafne (QOS). Dada la ubicación posterior de la mandíbula y la presentación tomográfica, se consideró probable un QR y se procedió con una biopsia excisional. El QR, de origen inflamatorio, permanece en la mandíbula cuando los restos del quiste no se eliminan completamente durante el procedimiento quirúrgico o cuando la extracción del diente causante no se realiza de manera completa6. El QOS es una lesión rara y asintomática, con una radiolucencia debajo del canal mandibular7. El DMOOF, que afecta principalmente a mujeres de mediana edad, es usualmente asintomático y se detecta incidentalmente en radiografías como una radiolucencia redonda a ovalada y mal definida8.
En cuanto a los tumores salivales, el adenoma pleomórfico (AP) es lo más común y suele presentarse con tumefacción, dolor y expansión ósea, aunque estos síntomas no se observaron en nuestro caso(9;10). Los casos de AP generalmente se encuentran en la región posterior de la mandíbula y pueden aparecer como una radiolucencia. Otra posibilidad es el carcinoma mucoepidermoide intraóseo (CMI), la malignidad salival más frecuente, que suele encontrarse en la glándula parótida. Se ha sugerido que estas neoplasias podrían originarse a partir de tejido salival ectópico o restos embrionarios atrapados durante el desarrollo de las glándulas salivales11.
Recientemente, Dutra y colaboradores (2024) informaron sobre el caso de un paciente con aumento de volumen en el maxilar derecho, elevación nasal y tumefacción rojiza del paladar durante 3 meses. La tomografía reveló una lesión expansiva con destrucción ósea, así como un diente impactado y otro tratado endodónticamente. El examen histopatológico confirmó HEPI asociada con un quiste odontogénico, con positividad para CD34 en las proyecciones papilares y CK19 en el epitelio quístico12. Los autores sugirieron que la presencia de un diente impactado o procesos inflamatorios/infecciosos anteriores pudieron haber originado el quiste odontogénico, y que la HEPI se desarrolló dentro de la cápsula quística debido a la condición inflamatória12. Aunque la etiología de la condición aún es incierta, eventos multifactoriales, como trastornos vasculares previos y traumatismos leves, parecen estar involucrados13. Además, la literatura ha sugerido una influencia hormonal estrogénica en el desarrollo de la HEPI, un hecho que podría explicar la predominancia de la enfermedad en mujeres, similar a nuestro caso.
En cuanto a la ubicación, la región posterior de la mandíbula es el sitio anatómico más comúnmente reportado para la HEPI en los huesos maxilares5. La tomografía computarizada de nuestra paciente reveló una lesión hipodensa con margen esclerótico. Estos hallazgos difieren de los informados en la literatura: los cuatro casos intraóseos descritos por Vieira y colegas (2020) mostraron imágenes radiolúcidas multiloculares, al igual que el caso publicado por Eguchi et al. (2020)(5;14). Además, tres casos presentaron una apariencia mal definida, mientras que otros fueron bien definidos(5;14). La HEPI intraósea podría ser expansiva cuando invade la corteza mandibular, de manera que la corteza podría interrumpirse. En las áreas destructivas, existen septos óseos y crestas residuales debido a la destrucción ósea incompleta, promoviendo un patrón multilocular. Los hallazgos de tomografía computarizada de la HEPI informados en otras ubicaciones anatómicas, como el cráneo, la base del cráneo y la tibia, mostraron lesiones osteolíticas con o sin bordes escleróticos15.
Histopatológicamente, en casos de HEPI asociados con trombos, se observa un trombo organizado en un vaso sanguíneo expandido. Las células endoteliales proliferan en un patrón papilar hacia el lumen del vaso sanguíneo agrandado desde la zona del trombo organizado. La estructura de la proliferación papilar estaba cubierta con no más de dos capas de células endoteliales, y no se observó atipia o actividad mitótica alrededor de los núcleos de tejido conectivo fibroso, que a menudo estaban hialinizados e hipocelulares16. El caso presente reveló proyecciones papilares y trombos en el lumen del vaso revestido de células endoteliales, y el caso fue clasificado como la forma pura. El análisis inmunohistoquímico es útil, especialmente si el origen endotelial de la lesión es incierto. En el presente caso relacionado, las células tumorales fueron positivas para CD34 y negativas para citoqueratina AE1/AE3, confirmando que las células tumorales eran de origen endotelial y no epitelial.
El diagnóstico diferencial histológico de la HEPI incluye angiosarcoma, hemangioma, mucocele, granuloma piógeno intravenoso, sarcoma de Kaposi, hemangioendotelioma de células fusiformes, angioendotelioma papilar endovascular maligno o tumor de Dabska, e endotelioma intravascular5. El más importante de estos es el angiosarcoma. Una distinción crítica entre el angiosarcoma y la HEPI es que los angiosarcomas típicamente no están presentes dentro del lumen de los vasos sanguíneos17. Además, a diferencia del angiosarcoma, las células endoteliales de la HEPI carecen de necrosis, pleomorfismo marcado, actividad mitótica significativa o formación sólida en láminas17. Debido a que HEPI es benigna, la eliminación completa mediante excisión con márgenes sanos es curativa y generalmente no se requiere tratamiento adicional. El pronóstico es bueno, aunque pueden ocurrir recurrencias raras cuando la lesión no se elimina completamente18. Nuestra paciente no mostró evidencia de recurrencia durante los 5 años de seguimiento. No se ha informado recurrencia en ninguno de los casos intraóseos publicados en la literatura(5;14).
Conclusiones
Hasta dónde llega nuestro conocimiento, este es el noveno caso de HEPI gnático reportado en la literatura, lo que lo convierte en una contribución novedosa al conocimiento existente12;14;18 19,20,21,22,23. Dada la rara ocurrencia de la HEPI, especialmente en la mandíbula, este informe proporciona información sobre esta posible hipótesis de radiolucidez unilocular ubicada en los huesos maxilares. Se necesita una comprensión exhaustiva de esta lesión para diferenciarla de los angiosarcomas, así como de otros tumores que causan nódulos en los dedos, y garantizar un manejo adecuado. Aunque el diagnóstico de HEPI es relativamente poco frecuente, los profesionales dentales deben estar al tanto de esta posibilidad, haciendo hincapié en la necesidad de enviar una muestra de la lesión para análisis histopatológico.










texto em 




