Serviços Personalizados
Journal
Artigo
Links relacionados
Compartilhar
Odontoestomatología
versão impressa ISSN 0797-0374versão On-line ISSN 1688-9339
Odontoestomatología vol.27 no.45 Montevideo 2025 Epub 01-Jun-2025
https://doi.org/10.22592/ode2025n45e422
Case Report
Intravascular papillary endothelial hyperplasia: Case report
1 DDS, PhD, Centro de Diagnóstico de Enfermedades Orales, Facultad de Odontología, Universidad Federal de Pelotas, Pelotas, Rio Grande do Sul, Brasil. carolinauv@gmail.com
2DDS, Centro de Diagnóstico de Enfermedades Orales, Facultad de Odontología, Universidad Federal de Pelotas, Pelotas, Rio Grande do Sul, Brasil
3DDS, Centro de Diagnóstico de Enfermedades Orales, Facultad de Odontología, Universidad Federal de Pelotas, Pelotas, Rio Grande do Sul, Brasil
4DDS, PhD, Centro de Diagnóstico de Enfermedades Orales, Facultad de Odontología, Universidad Federal de Pelotas, Pelotas, Rio Grande do Sul, Brasil
5DDS, PhD, Departamento de Diagnóstico en Patología y Medicina Oral, Universidad de la República, Montevideo, Uruguay
This study aimed to add to the literature a challenging case of an asymptomatic lesion with a radiolucent appearance in the mandible, mimicking a residual cyst. A 60-year-old woman presented with a mandibular lesion detected during imaging exams. Computed tomography revealed a hypodense lesion with a sclerotic margin measuring approximately 0.8 × 0.8 × 0.7 cm in the right posterior mandible. The main differential diagnosis was a residual cyst, and an excisional biopsy was performed. Microscopic analysis revealed papillary projections and thrombi within the lumen of a vessel lined with endothelial cells. Immunohistochemical analysis was positive for CD34 and smooth muscle actin. Based on these findings, the lesion was identified as intraosseous intravascular papillary endothelial hyperplasia. This case report provides insight into this rare entity as a potential hypothesis for unilocular radiolucency in the jawbones.
Keywords: IPEH; Intravascular papillary endothelial hyperplasia; Masson’s tumor; Jaws; Case report; Vascular lesion
El presente estudio tuvo como objetivo contribuir a la literatura con un caso desafiante de una lesión asintomática que muestra un aspecto radiolúcido en la mandíbula, simulando un quiste residual. Una mujer de 60 años presentó una lesión en la mandíbula, detectada durante los exámenes de imagen. La Tomografía Computarizada reveló una lesión hipodensa con margen esclerótico de aproximadamente 0,8 x 0,8 x 0,7 cm en la región posterior derecha de la mandíbula. El principal diagnóstico diferencial fue un quiste residual y se realizó una biopsia excisional. El análisis microscópico reveló proyecciones papilares y trombos en el lumen del vaso revestido de endotelio. El análisis inmunohistoquímico fue positivo para CD34 y actina de músculo liso. Con base en estos hallazgos, la lesión fue identificada como hiperplasia endotelial papilar intravascular intraósea. Este informe de caso proporciona información sobre esta hipótesis potencial de radiolucencia unilocular ubicada en los huesos de la mandíbula.
Palabras clave: HEPI; Hiperplasia endotelial papilar intravascular; Tumor de Masson; Maxilares; Informe de caso; Lesión vascular
O presente estudo teve como objetivo contribuir para a literatura com um caso desafiador de uma lesão assintomática apresentando um aspecto radiolúcido, simulando um cisto residual. Uma mulher de 60 anos apresentou uma lesão na mandíbula, detectada incidentalmente durante exames de imagem. A Tomografia Computadorizada revelou uma lesão hipodensa com margem esclerótica medindo cerca de 0,8 x 0,8 x 0,7 cm na região posterior direita da mandíbula. O principal diagnóstico diferencial foi um cisto residual, e uma biópsia excisional foi realizada. A análise microscópica revelou projeções papilares e trombos no lúmen do vaso revestido por endotélio. A análise imuno-histoquímica foi positiva para CD34 e actina de músculo liso. Com base nesses achados, a lesão foi identificada como hiperplasia endotelial papilar intravascular intraóssea. Este relato de caso fornece informações sobre essa potencial hipótese de radiolucência unilocular localizada nos ossos gnáticos.
Palavras-chave: HEPI; Hiperplasia Endotelial Papilar Intravascular; Tumor de Masson; Maxilares; Relato de Caso; Lesão Vascular
Introduction
Intravascular papillary endothelial hyperplasia (IPEH) is a benign, non-neoplastic lesion first described in 1923 by Dr. Pierre Masson, who referred to it as "vegetant intravascular hemangioendothelioma"1. Subsequently, various authors have used different names for this lesion, such as Masson's hemangioma and Masson's intravascular hemangioendothelioma. In 1976, Dr. Clearkin and Dr. Enzinger formally proposed the term IPEH2. In the early 1980s, Hashimoto et al. (1983) classified IPEH into three subtypes based on its relationship with a vessel: (I) the pure form (type I), occurring within a dilated vessel; (II) the mixed form (type II), found in pre-existing vascular lesions such as hemangiomas, aneurysms, vascular malformations, or pyogenic granulomas; and (III) the extravascular form (type III), originating from a post-traumatic hematoma3.
Overall, IPEH is an uncommon lesion, accounting for nearly 2% of all vascular tumors of the skin and subcutaneous tissue. It predominantly occurs on the trunk, fingers, and head and neck region4. IPEH is rare in the oral and maxillofacial region, representing approximately 0.03% of cases among specimens obtained from this site5. A recent study by Vieira et al. (2020) reported that, among 105 cases of IPEH in the oral mucosa and jawbones, only four (3.81%) were located in the maxillae5.
Given the limited number of IPEH cases in the buccal-maxillofacial complex, this article aims to contribute to the literature by presenting a challenging case of an asymptomatic lesion with a radiolucent appearance in the mandible, mimicking a residual cyst (RC).
Description
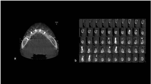
In May 2015, a 60-year-old woman presented to a private clinic for dental implant placement. However, imaging examinations revealed the presence of a lesion in the mandible. At that time, the patient reported no symptoms. Extraoral and intraoral examinations revealed no abnormal findings, such as tenderness, swelling, or pain. Her medical history was unremarkable, and no other relevant information was obtained from the anamnesis. Computed tomography revealed a hypodense lesion with a sclerotic margin measuring approximately 0.8 × 0.8 × 0.7 cm in the right posterior mandible (Figure 1a and 1b). Based on the patient’s history and clinical findings, the initial clinical diagnosis was an RC. Informed consent was obtained, and under local anesthesia, an excisional biopsy was performed. The specimen was sent to the Oral Disease Diagnostic Center (CDEO) at the Federal University of Pelotas, Brazil. The macroscopic specimen consisted of a well-defined soft tissue mass, brown in color, with a regular surface, measuring 0.5 × 0.5 × 0.2 cm. It was placed in 10% formalin and submitted for histopathological analysis.

Figure 1. Initial computed tomography (CT) scan - May 2015 - showing a unilocular hypodense lesion with a sclerotic margin measuring approximately 0.8 × 0.8 × 0.7 cm in the right posterior mandible (a: sagittal section) (b: coronal section).
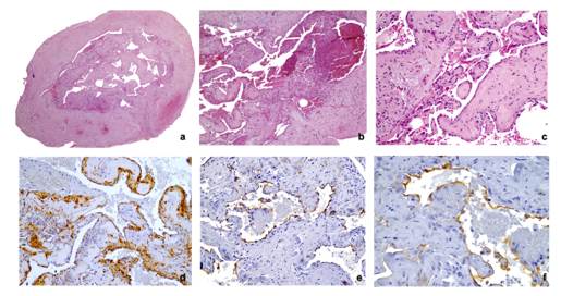
The histopathologic features of this case determined the final diagnosis. Microscopic examination of hematoxylin-eosin-stained sections revealed papillary projections and thrombi within the lumen of endothelial cell-lined vessels (Figures 2a, 2b, and 2c). Immunohistochemical analysis showed that the monolayer endothelium expressed CD34 (Figures 2d and 2e) and smooth muscle actin (Figure 2f). Vimentin and S-100 markers showed negative staining.

Figure 2. Hematoxylin and eosin (H&E) stained sections show a well-defined lesion (a: H&E, X40) composed of vascular spaces, thrombi, and mixed cellular areas (b: H&E, X100). Papillary proliferation of endothelial cells into the vessel lumen (c: H&E, X200). Immunohistochemical analysis showed positivity for smooth muscle actin (d: X200). Immunohistochemical analysis showed that the monolayer endothelium expressed CD34 (e: X200 and f: X400).
Based on these findings, the lesion was diagnosed as IPEH in the mandible. The postoperative course was uneventful, with no evidence of recurrence during the 5-year follow-up (Figures 3a and 3b).
Discussion
The radiographic appearance of IPEH in the jawbones is nonspecific and may mimic various lesions. The initial differential diagnosis included inflammatory odontogenic cysts, salivary gland neoplasms, focal osteoporotic bone marrow defect (FOMBD), and Stafne’s bone cyst (SBC). Given the lesion’s posterior mandibular location and tomographic presentation, an RC was considered the most likely diagnosis, and an excisional biopsy was performed. RCs, of inflammatory origin, persist in the mandible when cyst remnants are not completely removed during surgery or when the causative tooth is not completely extracted6. SBC is a rare, asymptomatic lesion characterized by radiolucency below the mandibular canal7. FOMBD, which primarily affects middle-aged women, is usually asymptomatic and is incidentally detected on radiographs as a round to oval, ill-defined radiolucency8.
Regarding salivary tumors, pleomorphic adenoma (PA) is the most common and typically presents with swelling, pain, and bony expansion, although these symptoms were not observed in our case9,10. PA cases are generally found in the posterior mandible and may present as a radiolucency. Another possibility is intraosseous mucoepidermoid carcinoma (IMC), the most common malignant salivary tumor, which is usually located in the parotid gland. It has been suggested that these neoplasms may originate from ectopic salivary tissue or embryonic remnants trapped during salivary gland development11.
Recently, Dutra et al. (2024) reported a case of a patient with right maxillary enlargement, nasal elevation, and reddish palatal swelling persisting for three months. Tomography revealed an expansive lesion with bone destruction, along with an impacted tooth and another that had undergone endodontic treatment. Histopathological examination confirmed IPEH associated with an odontogenic cyst, with CD34 positivity in papillary projections and CK19 in the cystic epithelium12. The authors suggested that the presence of an impacted tooth or previous inflammatory/infectious processes may have led to the development of the odontogenic cyst, with IPEH arising within the cystic capsule due to the inflammatory condition12. Although the etiology of the condition remains uncertain, multiple factors, such as preexisting vascular disorders and mild trauma, appear to contribute13. Additionally, the literature has suggested an estrogenic hormonal influence in the development of IPEH, which could explain its higher prevalence in women, as observed in our case.
As for location, the posterior region of the mandible is the most commonly reported anatomical site for IPEH in the jawbones5. The CT scan of our patient revealed a hypodense lesion with a sclerotic margin. These findings differ from those reported in the literature: all four intraosseous cases described by Vieira et al. (2020), as well as the case published by Eguchi et al. (2020), exhibited multilocular radiolucent images5,14. Additionally, three cases had an ill-defined appearance, while others were well-defined(5;14). Intraosseous IPEH can be expansive when it invades the mandibular cortex, in which case the cortex may become disrupted. In destructive areas, bony septa and residual ridges may persist due to incomplete bone destruction, contributing to a multilocular pattern. CT findings of IPEH in other anatomical locations, such as the skull, skull base, and tibia, have shown osteolytic lesions with or without sclerotic borders15.
Histopathologically, in cases of thrombus-associated IPEH, an organized thrombus is observed within an expanded blood vessel. Endothelial cells proliferate in a papillary pattern into the vessel lumen from the area of the organized thrombus. The papillary proliferation structure was covered by no more than two layers of endothelial cells, with no atypia or mitotic activity observed around the fibrous connective tissue cores, which are often hyalinized and hypocellular16. This case revealed papillary projections and thrombi within the vessel lumen, lined by endothelial cells, and the case was classified as pure form. Immunohistochemical analysis is particularly useful when the endothelial origin of the lesion is uncertain. In this case, the tumor cells were CD34-positive and AE1/AE3 cytokeratin-negative, confirming their endothelial rather than epithelial origin.
The histological differential diagnosis of IPEH includes angiosarcoma, hemangioma, mucocele, intravenous pyogenic granuloma, Kaposi's sarcoma, spindle-cell hemangioendothelioma, malignant papillary endovascular angioendothelioma or Dabska's tumor, and intravascular endothelioma5. The most important of these is angiosarcoma. A key distinction between angiosarcoma and IPEH is that angiosarcomas are typically not found within the lumen of blood vessels17. Furthermore, unlike angiosarcoma, IPEH endothelial cells do not exhibit necrosis, marked pleomorphism, significant mitotic activity, or solid sheet formation17. Since IPEH is benign, complete excision with healthy margins is curative, and additional treatment is usually not required. The prognosis is favorable; however, rare recurrences may occur if the lesion is not completely removed18. No recurrence was observed in our patient during the five-year follow-up. Recurrence has not been reported in any of the intraosseous cases published in the literature5;14.
Conclusions
To our knowledge, this is the ninth reported case of gnathic IPEH, providing a novel contribution to current knowledge(12;14;18-23). Given the rarity of IPEH, particularly in the mandible, this report provides information on the possible hypothesis of unilocular radiolucency in the jawbones. A thorough understanding of this lesion is essential to distinguish it from angiosarcomas and other tumors that cause nodules on the fingers, ensuring appropriate management. Although IPEH is a relatively rare diagnosis, dental professionals should be aware of this possibility, emphasizing the need for histopathologic examination of lesion samples.
REFERENCES
1. Masson P. Hémangiendothéliome végétant intravasculaire. Bull Mem Soc Ant. 1923; 93:517-23. [ Links ]
2. Clearkin KP, Enzinger FM. Intravascular papillary endothelial hyperplasia. Arch Pathol Lab Med. 1976;100(8):441-4. [ Links ]
3. Hashimoto H, Daimaru Y, Enjoji M. Intravascular papillary endothelial hyperplasia. A clinicopathologic study of 91 cases. Am J Dermatopathol. 1983;5(6):539-46. [ Links ]
4. Bologna-Molina R, Amezcua-Rosas G, Guardado-Luevanos I, Mendoza-Roaf PL, González-Montemayor T, Molina-Frechero N. Intravascular Papillary Endothelial Hyperplasia (Masson's Tumor) of the Mouth - A Case Report. Case Rep Dermatol. 2010;2(1):22-6. [ Links ]
5. Vieira CC, Gomes APN, Galdino Dos Santos L, de Almeida DS, Hildebrand LC, Flores IL, et al. Intravascular papillary endothelial hyperplasia in the oral mucosa and jawbones: A collaborative study of 20 cases and a systematic review. J Oral Pathol Med. 2021;50(1):103-13. [ Links ]
6. Editorial Board of the WHO Classification of Tumors. 5th ed. Tumors of the Head and Neck. Lyon: France, 2022. https://publications.iarc.fr/Book-And-Report- Series/Who-Classification-Of-Tumours/Head-And-Neck-Tumours-2024. [ Links ]
7. Liang J, Deng Z, Gao H. Stafne's bone defect: a case report and review of literatures. Ann Transl Med. 2019;7(16):399. [ Links ]
8. Chiang CP, Yang H, Chen HM. Focal osteoporotic marrow defect of the maxilla. J Formos Med Assoc. 2015;114(2):192-4. [ Links ]
9. Rivera-Batidas H, Ocanto RA, Azevedo AM. Intraoral minor salivary gland tumours:a retrospective study of 62 cases in Venezuelan population. J Oral Pathol Med. 1996; 25:1-4. [ Links ]
10. Brookstone MS, Huvos AG. Central salivary gland tumors of the maxilla and mandible: a clinicopathologic study of 11 cases with an analysis of the literature. J Oral Maxillofac Surg. 1992;50(3):229-36 [ Links ]
11. Ojha J, Bhattacharyya I, Islam MN, Manhart S, Cohen DM. Intraosseous pleomorphic adenoma of the mandible: report of a case and review of the literature. Oral Surg Oral Med Oral Pathol Oral RadiolEndod. 2007;104(2):e21-6. [ Links ]
12. Dutra MJ, Anbinder AL, Pereira CM, Chiliti BA, Rocha AC, Kaminagakura E. Report of intraosseous intravascular papillary endothelial hyperplasia associated with an odontogenic cyst in the maxilla and literature review. Diagn Pathol. 2024;12;19(1):80 [ Links ]
13. Sasso SE, Naspolini AP, Milanez TB, Suchard G. Masson's tumor (intravascular papillary endothelial hyperplasia). An Bras Dermatol. 2019;94(5):620-1. [ Links ]
14. Eguchi T, Nakaoka K, Basugi A, Arai G, Hamada Y. Intravascular papillary endothelial hyperplasia in the mandible: a case report. J Int Med Res. 2020;48(11):300060520972900. [ Links ]
15. Lee SK, Jung TY, Baek HJ, Kim SK. Destructive radiologic development of intravascular papillary endothelial hyperplasia on skull bone. J Korean Neurosurg Soc. 2012;52(1):48-51. [ Links ]
16. Guledgud MV, Patil K, Saikrishna D, Madhavan A, Yelamali T. Intravascular papillary endothelial hyperplasia: diagnostic sequence and literature review of an orofacial lesion. Case Rep Dent. 2014;2014:934593. [ Links ]
17. Sung KY, Lee S, Jeong Y, Lee SY. Intravascular papillary endothelial hyperplasia of the finger: a case of Masson's tumor. Case Reports Plast Surg Hand Surg. 2021;8(1):23-6. [ Links ]
18. Boffano P, Brucoli M, Ferrillo M et al. Intravascular Papillary Endothelial Hyperplasia of the Mandible in a 66 Year-Old Woman. J. Maxillofac. Oral Surg. 2024. [ Links ]
19. Komori A, Koike M, Kinjo T, Azuma T, Yoshinari M, Inaba H, et al. Central intravascular papillary endothelial hyperplasia of the mandible. Virchows Arch A Pathol Anat Histopathol. 1984;403(4):453-9. [ Links ]
20. Xu SS, Li D. Radiological imaging of florid intravascular papillary endothelial hyperplasia in the mandibule: case report and literature review. Clin Imaging. 2014;38(3):364-6. [ Links ]
21. Tanio S, Okamoto A, Majbauddin A, SonodaM,Kodani I, Doi R, et al. Intravascular papillary endothelial hyperplasia associated with hemangioma of the mandible: A rare case report. J Oral Maxillofac Surg Med Pathol. 2016;28(1):55-60. [ Links ]
22. Mir Mohammad Sadeghi H, Mashhadiabbas F, Latifi F. Huge central intravascular papillary endothelial hyperplasia of the mandible: a case report and review of the literature. J Korean Assoc Oral Maxillofac Surg. 2019;45(4):180-5. [ Links ]
23. Luigi L, Diana R, Luca F, Pierluigi M, Gregorio L, Cicciù M. Intravascular Papillary Endothelial Hyperplasia of the Mandible: A Rare Entity. J Craniofac Surg. 2022;33(4):e431-3. [ Links ]
Ethical Approval:No identifying information is included in the case report, and the study meets institutional review board exemption criteria
Authorship Contribution and Collaboration(CRediT Taxonomy) / 1. Project Administration 2. Funding Acquisition 3. Formal Analysis 4. Conceptualization 5. Data Curation 6. Writing - Review and Editing 7. Research 8. Methodology 9. Resources 10. Writing - Original Draft Preparation 11. Software 12. Supervision 13. Validation 14. Visualization A.C.U.V. 1, 4, 5, 6, 7, 8, 10, 12, 14. P.E.M.S. 5, 9. A.C.S. 6, 14. A.P.N.G. 10, 14. L.F.S. 1, 4, 5, 6, 7, 8, 10, 12, 14
Journal Editor:MSc. Dra. Natalia Tancredi Cueto
Received: May 24, 2024; Accepted: December 13, 2024










texto em 




