Introducción
Un defecto del desarrollo dental se refiere a cualquier cambio o alteración en los dientes que difiere de su estructura normal. Estos cambios o anomalías pueden agruparse en cuatro categorías principales, que incluyen alteraciones en la forma, tamaño, estructura y cantidad de dientes 1.
Dentro de las anomalías de cantidad se encuentran los dientes supernumerarios, también conocidos como hiperdoncia, son aquellos que se desarrollan en adición a la cantidad típica de dientes. Pueden surgir en cualquier área de los maxilares sin embargo hay predilección por el área anterior superior. Se presentan ya sea de forma única o múltiples, en un solo lado o en ambos 2. La prevalencia en dentición permanente varía entre 0,5% y 5,3% y en dentición primaria entre 0,2% y 0,8% 3,4) . Los supernumerarios pueden estar vinculados a un síndrome o pueden aparecer en personas sin alguna condición médica particular 5. Generalmente, se observa una mayor prevalencia de dientes supernumerarios en hombres que en mujeres 4,6. Por su parte, las anomalías de forma son frecuentes de encontrar en la práctica diaria de un odontólogo, estas se presentan en diferentes tipos: fusión, geminación, concrescencia y dilaceración 7. La fusión es el resultado de la unión de dos gérmenes dentales que normalmente están separados. Durante la etapa de morfodiferenciación de los gérmenes dentales, se produce la fusión, cuyo resultado final está determinado por el nivel de desarrollo de los dientes involucrados, el grado de fusión puede ser completo o incompleto. Si la fusión se da de forma temprana es posible que los dos dientes en crecimiento se fusionen dando la apariencia de ser un único diente de tamaño normal. No obstante, si ocurre en una etapa más tardía del desarrollo, el resultado puede ser un diente de tamaño doble o un diente que presenta una corona dividida en dos 8. La etiología de los dientes fusionados no está clara, se ha asociado a la participación de la cresta neural en el desarrollo dental, factores traumáticos o inflamatorios que hayan afectado a los folículos, altas dosis de vitamina A, persistencia de la lámina interdental o un patrón hereditario autosómico dominante 9,10.
Los dientes fusionados son más frecuentes en la dentición primaria que en la dentición permanente con una prevalencia reportada entre 0,1% al 2,5% y esta fusión ocurre principalmente de forma unilateral 11. Su localización más común es la zona anterior, y con mayor frecuencia involucran a los incisivos laterales y los caninos mandibulares 12-14. La unión de tres gérmenes dentales primarios es un hallazgo muy poco común, un estudio reporta una prevalencia de 0,02%, donde esa triple unión puede deberse a fusión, geminación o concrescencia 15.
El objetivo de este artículo es presentar un caso inusual de una fusión triple entre dos incisivos inferiores primarios y un diente supernumerario.
Antecedentes
Anamnesis
Paciente de sexo masculino de 5 años se presenta a la clínica de odontopediatría y ortodoncia de la Facultad de Odontología de la Universidad de Costa Rica acompañado por su madre. El motivo de consulta son las caries que presenta el paciente las cuales requieren atención a la brevedad para su rehabilitación. La madre del niño relata que el niño es sano, sin antecedentes de enfermedades sistémicas y que a los 2 años tuvo un traumatismo de tejidos blandos presentando una contusión labial.
Examen clínico
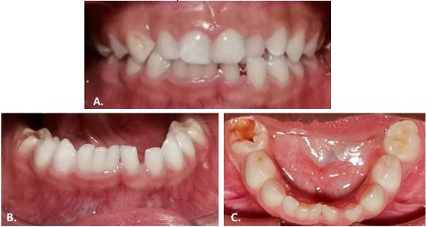
Al examen clínico intraoral, con espejo bucal y luz artificial en el sillón dental se destaca la presencia de dentición primaria con acúmulo de biofilme, lesiones cariosas cavitadas en molares primarios, la presencia de dos dientes supernumerarios: uno en el sector anterosuperior izquierdo y otro en el sector anteroinferior, fusionado con el incisivo central y el lateral derecho con dos surcos verticales en la superficie labial y lingual en la unión de las piezas dentales, sin presencia de lesiones cariosas y con un periodonto circundante sano. En la sección anterior superior se presenta mordida cruzada anterior de una pieza dental y a nivel de mandíbula se observó leve giroversión del central primario izquierdo y de las piezas fusionadas (Figura 1 A, B y C).
La madre indica que no hay historia de anomalías dentarias en los familiares cercanos y que ella desconocía la existencia de esas piezas fusionadas en su hijo.
Examen imagenológico
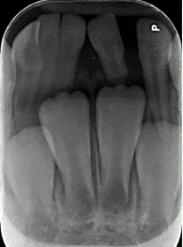
La radiografía intraoral evidenció la fusión de dos incisivos primarios derechos con un diente supernumerario, con la cámara pulpar y conductos radiculares separados; adicionalmente se observaron los incisivos centrales y laterales derechos e izquierdos permanente en proceso de formación. En la radiografía panorámica se observaron todos los gérmenes de los dientes permanentes en proceso de formación y no se evidenciaron anomalías dentarias en ellos (Figura 2).
Se efectuó una tomografía hemimaxilar en un equipo J. MORITA MFG con un voxel de 0.125 mm; el software utilizado fue i-Dixel. El informe de la radióloga indicó: “se observa pieza 8.1 y 8.2 fusionadas, pero además se observa fusión con pieza supernumeraria, las tres piezas están unidas por las coronas y las raíces, y cada una presenta su cámara y conducto radicular”. En el corte axial se observa la fusión a nivel de dentina de las tres piezas; en el corte tangencial se aprecian las cámaras pulpares y los conductos radiculares de cada uno de los tres dientes fusionados. En el corte transaxial se observa la posición lingualizada del incisivo permanente inferior derecho (Figura 3).
Seguimiento y controles
Los incisivos centrales permanentes inferiores se encontraban en proceso de erupción activa sin apreciar que alguno fuera a adelantar su proceso eruptivo. Se decidió mantener los dientes fusionados en boca y realizar controles de seguimiento para valorar el proceso de exfoliación. Con relación a la mordida cruzada anterior y la pieza supernumeraria superior se mantuvieron en observación acorde a lo indicado por el ortodoncista.
Tres meses después se realizó un control imagenológico y en la radiografía intraoral se observó inferiores permanentes seguían su proceso de erupción de forma similar, reabsorbiendo una porción de la raíz del incisivo inferior izquierdo primario, así como una porción de las raíces del central y supernumerario fusionados, sin embargo, la raíz del lateral fusionado aparentaba no reabsorberse de forma similar que las piezas fusionadas (Figura 4). Se decide mantener los dientes fusionados en boca y volver a hacer un control 4 meses después.
El niño acude cuatro semanas después a un nuevo control clínico ya con su incisivo inferior izquierdo permanente erupcionado, sin embargo, las piezas fusionadas permanecían en boca presentando movilidad grado II. Se toma una radiografía intraoral observándose que las raíces del incisivo central y del supernumerario se han reabsorbido, quedando menos de un tercio de la raíz del lateral (Figura 5).

Figura 5. A. Erupción de incisivo permanente inferior izquierdo. B. Dientes fusionados con gran reabsorción radicular.
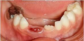
El niño reporta dolor al masticar con su diente fusionado probablemente debido a la movilidad que presenta, por lo que se decide realizar la exodoncia de este (Figura 6). Para realizar la exodoncia se utilizó medio cartucho de anestesia al 2% con epinefrina 1:80.000 (ODDONTO Lido®, New Stetic S.A., Colombia) con la técnica anestésica infiltrativa vestibular y lingual.
Una vez realizada la exodoncia, se observó el borde incisal del central inferior derecho permanente en proceso de erupción activa (Figura 7). Se indicaron controles cada tres meses para realizar un seguimiento de su proceso de recambio dentario en especial el lateral inferior derecho.
La madre del niño dio por escrito su consentimiento libre e informado para la publicación de este caso.
Discusión
Como odontólogos, observar en la consulta dental un paciente con un diente supernumerario o con una fusión es un hallazgo que se presenta con cierta frecuencia, sin embargo, observar una fusión triple de dos dientes primarios con un supernumerario como sucedió en este caso es un descubrimiento muy poco frecuente.
La literatura reporta que los dientes triples tienen predilección por el maxilar en su porción izquierda 14, lo cual difiere de este caso donde la fusión triple se produjo en la mandíbula en su porción derecha. Donde sí se coincide con otros estudios es que las fusiones en los dientes primarios suelen presentarse de forma unilateral como sucedió en este caso 16,17.
Los dientes fusionados pueden presentar complicaciones dentro de las cuales se citan las caries y los problemas periodontales 16. En este caso, a pesar de que las piezas dentales presentaban surcos retentivos en sus superficies vestibulares y linguales las mismas estaban libres de caries, y la encía circundante no estaba eritematosa o inflamada, situación que llama la atención porque el niño presentaba acumulación de biofilme en abundancia y lesiones cariosas cavitadas en sus molares primarias. Otra complicación relacionada a las fusiones dentales son los problemas estéticos 7, condición que no se dio en este caso porque la madre reporta que tanto ella como el paciente desconocían de la situación de los dientes fusionados y creían que aparte de las caries, los dientes del niño estaban bien.
Por otra parte, los dientes fusionados pueden provocar maloclusiones, falta de espacio y el retraso en la erupción de los dientes sucedáneos 11. En este caso, si bien las piezas fusionadas estaban levemente giroversionadas, no afectaban el espacio de las piezas vecinas y en la tomografía se observó que el proceso de erupción de los centrales permanentes inferiores era similar.
El tratamiento de las fusiones dentales en la dentición primaria depende de cada caso en particular, se debe tener en consideración la edad del paciente, la presencia del germen del diente sucedáneo y si está causando retención de piezas permanentes 11. Las opciones de tratamiento van desde seguimiento periódico, aplicación de flúor, sellado de los surcos presentes hasta la exodoncia de los dientes fusionados 7,15. En este caso, se tomó la decisión de mantener los dientes fusionados en boca sin sellar los surcos que presentaban tanto en vestibular como en lingual, ya que el proceso de recambio dentario estaba próximo. Asimismo, las piezas fusionadas se mantuvieron en boca porque durante el seguimiento tanto clínico como radiográfico se observó que no afectaban el proceso eruptivo de los dientes sucedáneos, de haber hecho una exodoncia prematura de las piezas fusionadas, se podría haber afectado la vía de erupción del central permanente inferior derecho 18,19.
Es importante seguir con los controles periódicos ya que, al exfoliarse prematuramente el lateral primario, es posible que el central inferior permanente derecho se distalice, provocando una desviación de la línea media dental y menor espacio para la erupción del lateral permanente inferior derecho.
Conclusión
Las fusiones dentales pueden presentarse en la dentición primaria con complicaciones que van desde caries y problemas periodontales hasta maloclusiones y afectaciones estéticas. Un diagnóstico clínico oportuno acompañado de un examen radiográfico es relevante para detectar anomalías dentarias y poder brindar el mejor tratamiento individual basado en la evidencia científica.










texto en 










