Servicios Personalizados
Revista
Articulo
Links relacionados
Compartir
Odontoestomatología
versión impresa ISSN 0797-0374versión On-line ISSN 1688-9339
Odontoestomatología vol.26 no.44 Montevideo 2024 Epub 01-Dic-2024
https://doi.org/10.22592/ode2024n44e235
Investigation
Risk of malignant transformation of oral verrucopapillary lesions
1 Maestría en Patología y Medicina Bucal. Departamento de Clínicas Odontológicas Integrales. Centro Universitario de Ciencias de la Salud. Universidad de Guadalajara. Guadalajara, México.
2 Departamento de Investigación, Escuela de Odontología, Universidad de Juárez del Estado de Durango. Durango, México.
3 Área de Patología Molecular, Diagnóstico en Patología y Medicina Oral, Facultad de Odontología. Universidad de la República, Montevideo, Uruguay.
4 Clínica Orocenter, Facultad de Odontología, Universidad Autónoma del Estado de México, Toluca de Lerdo, México.
5 Laboratorio de Investigación Interdisciplinaria, Área de Patología Oral y Maxilofacial. Escuela Nacional de Estudios Superiores Unidad León, Universidad Nacional Autónoma de México. León, Guanajuato, México
6 Instituto de Investigación en Odontología. Departamento de Clínicas Odontológicas Integrales. Centro Universitario de Ciencias de la Salud. Universidad de Guadalajara. Guadalajara, México. sandra.lverdin@academicos.udg.mx
Objectives:
to evaluate the risk of malignant potential through toluidine blue staining and dysplastic grading of verrucous papillary lesions of the oral cavity (VPLO).
Materials and methods:
patients with VPLO located in the oral cavity were identified to whom toluidine blue was applied and dysplastic changes were subsequently evaluated and graded histopathologically as absent, low or high risk of malignant transformation. Patients who refused toluidine blue staining, did not accept excisional biopsy or had insufficient tissue, or the tissue lack of presence of koilocytes, damage associated with the presence of human papilloma virus were eliminated from the study.
Results:
Thirty-four patients with VPLO were included, of which 4 were found to have positive toluidine blue staining. Of these, 3 cases were considered intense and 1 was mild.
Conclusions:
VPLO may emit a positive stain to toluidine blue as well as present a heterogeneous variety of architectural and cytological dysplastic changes evaluated histopathologically, which in all samples, according to the binary system, are classified as low risk of malignant transformation.
Key words (MeSh): Human Papillomavirus; Toluidine blue; dysplasia
Objetivos:
evaluar el riesgo potencial maligno mediante la tinción de azul de toluidina y gradificación displásica de las lesiones verrucopapilares de la cavidad oral (LVPO).
Materiales y métodos:
Se identificaron pacientes con LVPO localizados en la cavidad oral, se les aplicó azul de toluidina y posteriormente se evaluó los cambios displásicos para finalmente gradificarlos histopatológicamente en ausente, bajo o alto riesgo de transformación maligna. Pacientes que se negaron a la tinción con AT, no aceptaron la biopsia escisional o el tejido no poseía coilocitos, daño citopático asociado a la presencia del virus papiloma humano fueron eliminados del estudio.
Resultados:
se incluyeron 34 pacientes con LVPO, 4 con tinción positiva al AT (3 fueron considerados intensos y 1 leve).
Conclusiones:
las LVPO pueden emitir una tinción positiva al azul de toluidina así como presentar una variedad heterogenea de cambios displásicos arquitecturales y citológicos evaluados histopatologicamente, que en la totalidad de las muestras, de acuerdo al sistema binario, son clasificadas como riesgo leve de transformación maligna.
Palabras clave (MeSh): Virus Papiloma Humano; Azul de Toluidina; Displasia
Objetivos:
Avaliar o risco de potencial maligno através da coloração com azul de toluidina e da classificação displásica das lesões verrucopapilares da cavidade oral (LVPO).
Materiais e métodos:
Foram identificados pacientes com LVPO POVE localizados na cavidade oral nos quais foi aplicado azul de toluidina e posteriormente avaliadas as alterações displásicas para finalmente serem classificadas histopatologicamente como ausentes, baixo ou alto risco de transformação maligna. Os pacientes que recusaram a coloração com azul de toluidina AT, não aceitaram a biópsia excisional ou o tinha tecido insuficiente, presença de coilócitos ou dano citopático associado ao papilomavírus humano foram eliminados do estudo.
Resultados:
Foram incluídos 34 pacientes com LVPO, dos quais 4 foram interpretados como tendo coloração positiva para azul de toluidina AT positiva, sendo 3 considerados intensos e 1 leve.
Conclusões:
A LVPO pode emitir coloração positiva para azul de toluidina, bem como apresentar uma variedade heterogênea de alterações arquitetônicas e citológicas displásicas avaliadas histopatologicamente, que em todas as amostras, segundo o sistema binário, são classificadas como leve risco de transformação maligna.
Palavras Chave (MeSh): Papilomavírus Humano; Azul de Toluidina; Displasia
Introduction and Background
Human papillomaviruses (HPV) exhibit tropism for squamous epithelium (1. Viral particles infect the basal cells of the epithelium, which are exposed through microabrasions or epithelial wounds. While the HPV receptors and exact viral entry mechanism remain largely unknown, it has been suggested that glycosaminoglycans, proteoglycans, and glypicans may serve as binding receptors on the cell surface 2,3.
HPV infections can appear in various forms, including asymptomatic infections, benign papillomatous or verrucous lesions, potentially malignant lesions, intraepithelial neoplasia, and even invasive carcinomas (3.
The diversity of these lesions and their behavior is due to the genotypic variation in HPV. As of the time of this study, approximately 200 types are known, which are typically classified as high-risk (HR) or low-risk (LR) HPV, depending on their interaction with oncogenes involved in carcinogenesis (3,4.
HPV lesions are not considered among the potentially malignant disorders 5, because they are generally caused by LR-HPV. However, any agent that causes an increase in cell proliferation is considered to increase the risk of neoplastic transformation 6. Furthermore, three recent findings make it necessary to evaluate the possibility of neoplastic transformation of verrucopapillary lesions of the oral cavity (VPLO): 1) an increase in the co-infection of HR-HPV with LR-HPV has been reported in cervical cytology with any degree of intraepithelial neoplasia 7; 2) human papillomavirus-associated oral epithelial dysplasia (HPV-OED) has been recently incorporated into the 5th WHO classification of head and neck tumors as a different type of oral dysplasia, characterized by a typical architecture with architectural and cytological changes caused by HR-HPV (8,9; and 3) risk factors associated with oral squamous cell carcinoma in young adults include human papillomavirus infection 10,11.
Among the adjuvant methods used to aid in the selection of lesions at risk of malignancy, the most widely available worldwide, with the best reported percentages of sensitivity and specificity, is toluidine blue (TBO) (12,13. This supravital staining has been used to highlight oral potentially malignant lesions and to identify early lesions that could go undetected during a clinical examination14,15. TBO (also known as tolonium chloride) is an acidophilic metachromatic dye that selectively stains acidic tissue components, with an affinity for nucleic acids, which allows it to bind to nuclear material in tissues with high DNA and RNA content 15.
Richart first proposed the use of TBO as a vital stain to reveal dysplasia and carcinoma in situ in the cervix. Neibel and Chomet, as well as Shedd et al., were the first to report on the vital application of TBO for detecting premalignant and malignant lesions of the oral cavity. They confirmed TBO’s ability to verify clinically suspicious lesions as neoplastic, delimit the margins of premalignant lesions and malignant growths, and detect satellite or unnoticed tumors 16.
The widely accepted marker for assessing the risk that an oral potentially malignant disorder (OPMD) will eventually undergo malignant transformation is the presence and degree of histopathologic dysplasia in the lesion. Dysplasia is defined as specific epithelial architectural and cytologic changes that result from the loss of normal maturation and stratification (17.
Several approaches have been proposed for grading oral epithelial dysplasia (OED), but the binary system, which classifies dysplasia as either low or high grade, is recognized as the least ambiguous 17,18.
So far, no studies have evaluated both methods in VPLO, thus it remains unknown whether these lesions carry any risk of malignant transformation. Therefore, this study aims to evaluate the positivity of toluidine blue staining and the histological changes of dysplasia in VPLO.
Materials and Methods
Patients with lesions clinically identified as VPLO by specialists were recruited at the pathology and oral medicine clinic at the University of Guadalajara. The following inclusion criteria were applied: first-time lesions not associated with any syndrome nor hereditary condition, and the acceptance of informed consent or assent for underage patients. The exclusion criteria included patients who did not consent to the use of toluidine blue or did not complete the process for histopathological evaluation, as well as samples that did not show cytopathic damage (koilocytes) associated with HPV. The research project was approved by the ethics and research committee of the University of Guadalajara CI-04219.
Test for the timely detection of OPMD
After filling in the sociodemographic data, the intravital toluidine blue staining test was performed according to previously established protocols (15. First, the patient was asked to rinse with drinking water for 20 seconds to remove the thickness of the saliva. Then, the lesion was cleaned with a cotton swab impregnated with Bluedetect clean (acetic acid 1%) for 20 seconds, followed by the application of Bluedetect stain (Toluidine Blue 1%) for 20 seconds. To clean the lesion again, Bluedetect clean was also applied for 20 seconds, and finally, the patient was asked to rinse with drinking water twice. Interpretation was based on the intensity of the blue color, which could range from mild to intense blue and was considered positive, while the total absence of color was interpreted as negative.
Histopathological grading
Lesions were removed by excisional biopsy. After the surgical procedure, the obtained tissue was immersed in 10% formalin for subsequent histopathological study. Lesions with cytological changes associated with HPV infection and the presence of koilocytes were identified. Grading was performed according to the binary system established by the World Health Organization in 2005 19, in which nine possible architectural alterations are considered, including:
1) irregular epithelial stratification,
2) loss of polarity of basal cells,
3) drop-shaped rete pegs
4) generalized premature keratinization,
5) high mitotic activity throughout the epithelium,
6) keratin pearls,
7) nest of basal cells,
8) papillary or verrucous architecture,
9) loss of keratinocyte cohesion.
It also considers nine cytological alterations, such as:
1) abnormal variation in nuclear size,
2) abnormal variation in nuclear shape,
3) abnormal variation in cell size,
4) abnormal variation in cell shape,
5) increased nuclear-cytoplasmic ratio,
6) atypical mitotic figures,
7) increased size,
8) number of nucleoli,
9) hyperchromasia.
The grading of dysplastic changes was determined by the sum of dysplastic changes. According to the WHO proposal in 2017 20, high-grade dysplasia was defined by the presence of >5 cytological changes and >4 architectural changes, while low-grade dysplasia was characterized by <5 cytological changes and <4 architectural changes.
Results
Of the 34 cases included in the study, 23 (67.6%) were male, and 11 (32.3%) were female, with an average age of 32.4 years. The most common location was the hard or soft palate, with 12 (35.3%) cases found in this area. The next most frequently affected oral region was the gingiva, with 9 (26.5%) cases, while the tongue and oropharynx were affected less frequently, with 7 cases (20.6%) and 6 cases (17.6%) respectively.
Four cases with intravital staining showed reagent retention, producing a blue spectrum on the lesion tissue. Three were interpreted as having an intense blue spectrum upon AT absorption (Image 1A, B, and C), and 1 case was determined to have a mild intensity (Image 2D).

Image 1. VPLO Positivity for TBO. A) VPLO in the soft palate showing an intense blue coloration (+) with TBO staining. B) VPLO in the hard palate at the gingival margin showing a higher intensity of blue (+) in the clefts of the verrucous plaque. C) VPLO in the oropharynx, with an intense blue spectrum across the entire lesion. D) VPLO showing mild intensity (+) on the ventral surface of the tongue.
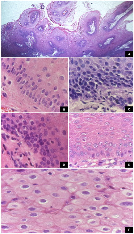
Regarding the architectural dysplastic changes, a verrucous or papillary appearance was observed in all cases (Image 2A). The next dysplastic change detected was a loss of polarity of the nucleus (Image 2B), present in 4 cases (11.8%).
Cytological dysplastic changes were recognized, with nuclear hyperchromatism (Image 2C) being the most prevalent in 16 (47.0%) of the cases, followed by an altered nuclear-cytoplasmic ratio (Image 2D) in 14 (41.2%) samples. Less commonly, an increase in the size and number of nucleoli (Image 2E) was observed in 4 lesions (11.8%), and variation in cell size was identified in 1 case (Image 3E) (2.9%).

Image 2. Dysplastic changes in VPLO. Architectural: A) verrucous or papillary appearance. B) loss of polarity of the nucleus in basal cells. Cytological: C) nuclear hyperchromatism. D) altered nuclear-cytoplasmic ratio. E) increased nucleolar size and number. F) variation in cell size. Magnifications are 4x, 10x, and 40x.
As a result of HPV-induced hyperplasia, all lesions exhibited at least one architectural dysplastic change and up to six dysplastic changes, either cytological and/or architectural. According to image 4, the TBO-positive lesions presented the highest number of cytological changes compared to the negative lesions, which displayed between one and three dysplastic changes.

Image 3. Sum of cellular and architectural changes grouped according to the intravital staining results. The group of staining-negative lesions showed a decreasing frequency as the number of architectural or cellular changes increased (purple arrow), while the staining-positive lesions exhibited an increasing frequency as the number of changes rose (orange arrow).
Based on the collected data, the cases are classified as low-grade epithelial dysplasia.
Discussion
Oral squamous cell carcinoma develops through a multistage process, beginning with initial epithelial hyperplasia, which may progress to invasive carcinoma 21.
To date, no studies have employed previously established methods for identifying lesions with dysplastic changes in clinical and histopathological screening.
TBO is based on the principle that dysplastic and neoplastic cells may contain quantitatively more nucleic acid than normal tissues. Furthermore, malignant epithelium may have wider intracellular channels than normal epithelium, which can facilitate TBO uptake (22. Other hypotheses regarding TBO uptake in carcinomas and dysplastic tissues include a high density of nuclear material, loss of cellular cohesion, and increased mitotic activity (23.
This is the first study to present TBO-positive VPLO images. TBO positivity in VPLO can be attributed to the accumulation of dysplastic features in infected tissue, as observed in the results, where positive VPLOs exhibited up to six dysplastic changes. Some cases exhibited nuclear hyperchromatism, an increased nuclear-cytoplasmic ratio, enlarged and more numerous nucleoli, variation in cell size, verrucous or papillary appearance, and loss of nuclear polarity. Additionally, the stained lesions were those that exhibited an increase in nucleolar size and number, which corresponds to high mitotic activity. However, this cannot be fully demonstrated through histopathological evaluation. Although the binary system is a useful tool for assessing the risk of malignant transformation, it is still unclear which architectural or cytological features are directly associated with carcinogenesis. Currently, molecular methods incorporating the Ki-67 immunomarker are required to assess mitotic activity and determine the mitotic index, as well as to identify viral DNA for HPV infection 25.
Although the grading indicated that all lesions were at low risk, it should be emphasized that this result does not exclude the presence of risk, as TBO-positive lesions have been shown to present genetic alterations associated with loss of heterozygosity at multiple genetic sites, an event frequently involved in the multistage carcinogenesis of head and neck cancer 26.
During our search, we found only one study in which the possibility of malignancy risk was evaluated through the detection of HR-HPV and LR-HPV genotypes in squamous papillomas of the oral cavity, as well as ki-67 cell proliferation markers. In this study, when tumor tissues were compared with oral and oropharyngeal cancer, the researchers found that HR-HPVs were present only in malignant tissues and that Ki-67 labeling could not be considered positive for HPV lesions 27. Despite employing a highly sophisticated methodology, TBO staining in the oral cavity is easily accessible and can be performed by any healthcare specialist. Additionally, the evaluation of dysplastic features can be documented in the histopathological report.
However, this study does not have a large enough sample size to determine the sensitivity or specificity of TBO in predicting malignant transformation, nor does it rule out the possibility of finding VPLOs with dysplastic features graded as high risk. Nonetheless, this study demonstrates that HPV-induced damage in oral tissues is neither self-limiting nor homogeneous, as TBO-positive lesions can exhibit one or more dysplastic changes. It is important to note that toluidine blue staining can reveal cytologic changes that may be difficult to detect clinically. However, these changes are not always related to malignant transformation. Despite this, the use of toluidine blue for monitoring oral cancer should not be entirely dismissed, as the technique has high sensitivity. Its low specificity is attributed to a high false-positive rate, often resulting from misinterpretation of the clinical context 28. Nevertheless, these findings may serve as a precedent for future studies, as the use of toluidine blue for the surveillance of verrucous papillary lesions with dysplastic alterations has not been entirely ruled out.
REFERENCES
1. Raff AB, Woodham A, Raff LM, Skeate J, Yan l, Da Silva DM, Schelhaas M, Kast M. The evolving field of human papillomavirus receptor research: a review of binding and entry. J Virol 2013;87(11):6062-6072. [ Links ]
2. Horvath CA, Boulet GA, Renoux VM, Delvenne PO, Bogers JP. Mechanisms of cell entry by human papillomaviruses: an overview. Virol J. 2010 Jan 20;7:11. doi: 10.1186/1743-422X-7-11. PMID: 20089191; PMCID: PMC2823669. [ Links ]
3. Syrjänen S. Oral manifestations of human papillomavirus infections. Eur J Oral Sci 2018;126(1):49-66. [ Links ]
4. Doorbar J, Egawa N, Griffin H, Kranjec C, Murakami I. Human papillomavirus molecular biology and disease association. Rev Med Virol. 2015;25(1):2-23. doi: 10.1002/rmv.1822. PMID: 25752814; PMCID: PMC5024016. [ Links ]
5. Awadallah M, Idle M, Patel K, Kademani D. Management update of potentially premalignant oral epithelial lesions. Oral Surg Oral Med Oral Pathol Oral Radiol. 2018;125(6):628-636. [ Links ]
6. Federico A, Morgillo F, Tuccillo C, Ciardiello F, Loguercio C. Chronic inflammation, and oxidative stress in human carcinogenesis. Int J Cancer. 2007;121(11):2381-6. doi:10.1002/ijc.23192. [ Links ]
7. Meštrović T, Ljubin-Sternak S, Božičević I, Drenjančević D, Barać A, Kozina G, Neuberg M, Vraneš J. Human Papillomavirus (HPV) Prevalence, Temporal Dynamics and Association with Abnormal Cervical Cytology Findings in Women from Croatia: Is there a Compounding Effect of Low-Risk/High-Risk HPV Co-Infection? Clin Lab. 2020;66(12). doi: 10.7754/Clin.Lab.2020.200406. PMID: 33337847. [ Links ]
8. Roza, A.L.O.C, Fonsêca, T.C, Mariz, B.A.L.A. et al. Human Papillomavirus-Associated Oral Epithelial Dysplasia: Report of 5 Illustrative Cases from Latin America. Head and Neck Pathol 2023;17:921-93. doi: 10.1007/s12105-023-01589-z. PMID: 37843735; PMCID: PMC10739682. Epub 2023 Oct 16 [ Links ]
9. Woo SB, Robinson M, Thavaraj S HPV-associated oral epithelial dysplasia. In: WHO Classifcation of Tumours Editorial Board. Head and neck tumours. Lyon (France): International Agency for Research on Cancer; 2022 (cited 2023 07 24);. (WHO classifcation of tumours series, 5th ed.; vol. 9). Available from: Available from: https://tumourclassifcation.iarc.who.int/chapters/52 [ Links ]
10. Majchrzak, E, Szybiak, B, Wegner, A, Pienkowski, P, Pazdrowski, J., Luczewski, L., et al. Oral cavity and oropharyngeal squamous cell carcinoma in young adults: a review of the literature. Radiol Oncol 2014;48(1):1-10. [ Links ]
11. Llewellyn, C.D., Johnson, N.W., Warnakulasuriya, K.A. Risk factors for squamous cell carcinoma of the oral cavity 392 in young people-a comprehensive literature review. Oral Oncol, 2001;37(5):401-418. [ Links ]
12. Mills S. How effective is toluidine blue for screening and diagnosis of oral cancer and premalignant lesions? Evid Based Dent. 2022;23(1):34-35. [ Links ]
13. Yang EC, Tan MT, Schwarz RA, Richards-Kortum RR, Gillenwater AM, Vigneswaran N. Noninvasive diagnostic adjuncts for the evaluation of potentially premalignant oral epithelial lesions: current limitations and future directions. Oral Surg Oral Med Oral Pathol Oral Radiol. 2018;125(6):670-681. [ Links ]
14. Lumerman H, Freedman P, Kerpel S. Oral epithelial dysplasia and the development of invasive squamous cell carcinoma. Oral Surg Oral Med Oral Pathol Oral Radiol Endod 1995;79(3):321-329. [ Links ]
15. Sridharan G, Shankar AA. Toluidine blue: A review of its chemistry and clinical utility. J Oral Maxillofac Pathol. 2012;16(2):251-5. [ Links ]
16. Miller RL, Simms BW, Gould AR. Toluidine blue staining for detection of oral premalignant lesions and carcinomas. J Oral Pathol Med. 1988;17:73-8. [ Links ]
17. Yan F, Reddy PD, Nguyen SA, Chi AC, Neville BW, Day TA. Grading systems of oral cavity pre-malignancy: a systematic review and meta-analysis. Eur Arch Otorhinolaryngol. 2020 Nov;277(11):2967-2976. doi: 10.1007/s00405-020-06036-1. PMID: 32447493. Epub 2020 May 23. [ Links ]
18. Kujan O, Oliver RJ, Khattab A, Roberts SA, Thakker N, Sloan P. Evaluation of a new binary system of grading oral epithelial dysplasia for prediction of malignant transformation. Oral Oncol 2006;42(10):987-993 [ Links ]
19. Barnes LEJ, Reichart P, Sidransky S World Health Organization Classification of Tumors, Pathology and Genetics, Head and Neck Tumors. Lyon: International Agency for Research on Cancer Press, 2005. [ Links ]
20. Reibel JGN, Hille J et al. Oral potentially malignant disorders and oral epithelial dysplasia. In: El-Naggar AKCJ, Grandis JR, et al. (eds) WHO Classification of Head and Neck Tumours, 4th edn. Lyon: International Agency for Research on Cancer, 2017: 112-113. [ Links ]
21. Choi S, Myers JN. Molecular pathogenesis of oral squamous cell carcinoma: implications for therapy. J Dent Res 2008;87(1):14-32. [ Links ]
22. Epstein JB, Scully C, Spinelli J. Toluidine blue and Lugol's iodine application in the assessment of oral malignant disease and lesions at risk of malignancy. J Oral Pathol Med. 1992;21:160-3. [ Links ]
23. Gandalfo S, Pentenero M, Broccoletti R, Pagano M, Carrozzo M, Scully C. Toluidine blue uptake in potentially malignant lesions in vivo: Clinical and histological assessment. Oral Oncol. 2006;42:89-95. [ Links ]
24. Jayaraman S, Pazhani J, Priya Veeraraghavan V, Raj AT, Somasundaram DB, Patil S. PCNA and Ki67: Prognostic proliferation markers for oral cancer. Oral Oncol. 2022 Jul;130:105943. doi: 10.1016/j.oraloncology.2022.105943. PMID: 35653815. Epub 2022 May 30 [ Links ]
25. Dixit R, Bhavsar C, Marfatia YS. Laboratory diagnosis of human papillomavirus virus infection in female genital tract. Indian J Sex Transm Dis AIDS. 2011 Jan;32(1):50-2. doi: 10.4103/0253-7184.81257. PMID: 21799579; PMCID: PMC3139291. [ Links ]
26. Gupta A, Singh M, Ibrahim R, Mehrotra R. Utility of toluidine blue staining and brush biopsy in precancerous and cancerous lesions. Acta Cytol 2007;51(5):788-94. doi: 10.1159/000325843. PMID: 17910350. [ Links ]
27. Snietura M, Lamch R, Kopec A, Waniczek D, Likus W, Lange D, Markowski J. Oral and oropharyngeal papillomas are not associated with high-risk human papillomavirus infection. Eur Arch Otorhinolaryngol. 2017;274(9):3477-3483. [ Links ]
28. Piemonte ED, Gilligan MG, Lazos JP, Panico RL. Tinción con azul de toluidina en biopsia dirigida de lesiones displásicas de la mucosa bucal. Informe de casos clínicos. Rev Asoc Odontol Arg. 2021;109(1):49-58. [ Links ]
Source of Funding This research did not receive any specific funding from public, commercial, nor nonprofit funding agencies.
Ethics Committee This research project was approved by the Ethics and Research Committee of the University of Guadalajara, CI-04219.
Authorship Contribution
1. Project Administration 2. Funding Acquisition 3. Formal Analysis 4. Conceptualization 5. Data Curation 6. Writing - Review and Editing 7. Research 8. Methodology 9. Resources 10. Writing - Original Draft Preparation 11. Software 12. Supervision 13. Validation 14. Visualization
Received: July 12, 2024; Accepted: September 11, 2024










texto en 



