Introducción
La tecnología médica imagenológica ha avanzado rápidamente en las últimas décadas, ofreciendo importantes beneficios a los pacientes en todo el mundo. Este desarrollo se ha visto particularmente potenciado en la Tomografía Computarizada (TC), la que constituye hoy una herramienta establecida en muchas áreas de la medicina. Las nuevas aplicaciones de TC, representan hoy un avance no sólo como herramienta en la práctica clínica sino además para la investigación; tal es el caso de la Tomografía Computarizada de Haz Cónico (CBCT), diseñada para satisfacer las necesidades de la práctica dental 1. Específicamente en el área de la Endodoncia (la especialidad odontológica dedicada al estudio de las enfermedades de la pulpa dental, de sus repercusiones sobre los tejidos periapicales y de sus tratamientos), CBCT ofrece no sólo visibilidad tridimensional de la región de interés, sino además adecuado detalle y resolución de la anatomía dental y alveolar 2, favoreciendo el mejor diagnóstico de diferentes condiciones malformativas y patológicas pulpares y periapicales 1,3. Sin embargo, CBCT posee conocidas limitaciones, incluyendo una posible sobreexposición a radiación al paciente 4; aunque la dosis efectiva de CBCT es menor que la de una TC convencional, es mucho mayor que la de las radiografías intraorales periapicales convencionales 2.
Se han publicado diferentes guías y directrices para el uso de CBCT en radiología dental y maxilofacial, todas recomendando conductas cautelosas para su indicación, así como también asegurando calidad asistencial y estrategias de optimización para radiólogos, odontólogos, médicos y fabricantes 1,5. Aunque esas directrices se encuentran fundamentadas en evidencia suficiente que justifica un uso clínico sólido y científico de CBCT basándose en indicaciones específicas, en algunos "casos particulares", cuando las radiografías convencionales dan un resultado negativo o los pacientes presentan signos y síntomas clínicos contradictorios o no específicos, CBCT puede ser considerada la modalidad de imagen de elección para el diagnóstico 1,4. Esos "casos particulares", también denominados "fronterizos" 3, han justificado que algunos autores recomienden una investigación más minuciosa para establecer objetivamente la precisión diagnóstica de CBCT y su impacto en la toma de decisiones 1,6.
Se presenta el caso infrecuente de un primer molar mandibular permanente con una sola raíz y un solo canal, donde CBCT favoreció el conocimiento preciso de la anatomía radicular y con ello la apropiada limpieza y conformación del sistema canalicular, elementos de gran importancia para posibilitar un tratamiento endodóntico exitoso. Debido a que CBCT no debería ser utilizada rutinariamente para diagnóstico endodóntico, pero podría justificarse en casos "particulares" o "fronterizos", se discute la indicación de CBCT como herramienta diagnóstica y terapéutica en estos casos, así como también su implementación en investigación clínica, siempre siguiendo las recomendaciones legales y directrices actuales.
Antecedentes
Las anomalías dentales en la dentición permanente son raras y a menudo hallazgo incidental en los exámenes rutinarios 3. Entre estas situaciones "de excepción", las variaciones anatómicas de los primeros molares mandibulares, tanto de forma como de número de raíces o de canales, son bien conocidas por presentar complejidades particulares 7-9. La circunstancia de presentar sólo una raíz y canal únicos, ha sido reportada como altamente infrecuente y de cuidado si se pretende un tratamiento endodóntico correcto 7,9-12. Si bien el uso de radiografías convencionales preoperatorias múltiples con diferentes angulaciones podría confirmar esta morfología anómala, CBCT ha sido sugerida como herramienta ideal para la búsqueda de canales accesorios ocultos, o para evitar la remoción excesiva de dentina o complicaciones aún mayores 7. Aunque las actuales directrices publicadas para el uso de CBCT han mencionado que este estudio no es indicación estándar para demostrar la anatomía del canal radicular dental, esas mismas directrices recomiendan CBCT para el abordaje preoperatorio endodóntico de dientes con morfología inusual de raíces o canales. 1,5
Descripción del caso
Paciente mujer de 48 años de edad sin antecedentes médicos de mención, fue derivada al Área de Endodoncia de la Clínica Odontológica Docente Asistencial (C.O.D.A.) de la Facultad de Odontología de la Universidad de La Frontera (Temuco, Chile) para realizar tratamiento del primer molar mandibular izquierdo permanente (diente 46), indicado este procedimiento por una posterior rehabilitación protésica. Luego de realizadas las pruebas clínicas usuales, se llegó al diagnóstico de “pulpitis irreversible asintomática con tejidos apicales normales”. El examen radiográfico preoperatorio demostró la presencia de restauraciones profundas, una cámara pulpar levemente retraída y el hallazgo inusual de un canal centrado en una única raíz (Figura 1), de tipo I según la clasificación de Vertucci 13. Informada la paciente de esta situación, consentido el procedimiento, y procediendo al tratamiento endodóntico no quirúrgico de rutina, se realizó el acceso convencional a la cámara pulpar con fresas específicas e instrumental rotatorio. La trepanación permitió la confirmación macroscópica de un único gran canal localizado en el centro de la cámara pulpar, el cual fue preparado quimiomecánicamente siguiendo los protocolos estándar de la institución. Debido a la "particularidad" de la anatomía canalicular, y para evaluar potenciales presencias de canales accesorios o enmascaramientos morfológicos que pudieran condicionar el éxito del procedimiento, se consideró realizar CBCT antes de continuar con el tratamiento endodóntico en una sesión posterior.

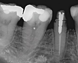
Figura 1: Radiografía periapical. Nótese la imagen difusa de un canal centrado en una única raíz en el primer molar mandibular (*), hallazgo sumamente infrecuente
Siguiendo los estándares legales sanitarios, se discutieron con la paciente los costos y las ventajas ofrecidas por CBCT en relación a los estudios imagenológicos ya realizados, y se requirió su consentimiento informado luego de ser considerados los riesgos y beneficios de CBCT. La paciente fue también notificada de los potenciales errores terapéuticos de la endodoncia de no contar con la información provista por un estudio de mayor confiabilidad. Una vez recibida y discutida toda la información, la paciente accedió a la realización del estudio en el área de Imagenología de la institución.
El CBCT (Vatech Pax Zenith CBCT machine, 120 kVp and 9.0 mA, FOV 8 × 6 cm, voxel size 0.12 mm) fue visualizado utilizando el software GALILEOS Viewer 1.9 (SICAT GmbH & Co. KG, Bonn, Germany), obteniendo una imagen tridimensional del diente para su evaluación en secciones axiales, sagitales y coronales. Las imágenes confirmaron la presencia de una sola raíz con un único canal de forma ovalada, extendido desde la cámara pulpar al ápice, correspondiendo al mencionado tipo I de Vertucci (Figura 2).

Figura 2: CBCT, múltiples imágenes en corte axial. Nótese la continuidad de un único canal sin presencia de canales accesorios (*)
Confirmadas así las características inusuales estimadas originalmente y estableciéndose la no existencia de condiciones desfavorables para continuar el procedimiento, la paciente fue citada para una segunda sesión para finalizar el tratamiento endodóntico. Esta se concretó siete días después, momento en el que fue retirada la obturación provisoria y se continuó la preparación quimiomecánica ya iniciada en la primera sesión. El tratamiento se finalizó mediante obturación con técnica de compactación lateral de gutapercha en frío para lograr un mejor control apical y sellado del canal siguiendo los protocolos estándar para ese tipo de anatomía canalicular. Se realizaron los controles apropiados a los 7 y 14 días corroborando la ausencia de signos y síntomas clínicos y radiográficos remitiéndose nuevamente el caso a su odontólogo tratante para continuar con la rehabilitación protésica ya planificada (Figura 3).
Discusión
Los molares permanentes pueden presentar gran variabilidad en la morfología de raíces y canales, alteraciones o malformaciones que pueden verse determinadas por cualquier disturbio durante la diferenciación canalicular en cualquier etapa del desarrollo embriológico dentario 9,14. La anomalía presentada en este reporte ha sido mencionada como infrecuente en primeros molares mandibulares 7,9-11 (se ha informado explícitamente que el tipo I de Vertucci es el más raro de todos) 15. Si bien el número de raíces es la variación más frecuente en relación con ciertas etnias 16, en Chile la alta tasa de migración, la mayor prevalencia de personas con antecedentes multiétnicos y los fenómenos reconocidos de miscegenación y globalización 17 hacen sumamente dificultosa de considerar esta variable sin los correspondientes respaldos genéticos, tal cual lo considera la literatura actual 18. Todo esto conlleva un desafío implícito para el endodoncista quien deberá realizar una correcta planificación del caso.
Los canales ovales son complejos de tratar endodónticamente, especialmente durante la preparación quimiomecánica, debido a que tienen zonas de difícil acceso las cuales favorecen la acumulación de detritus y dificultan la eliminación de microorganismos (19. Además, los instrumentos tienden a centrarse en el canal impidiendo una correcta conformación y desinfección, especialmente en sentido bucolingual 20.
Sin dudas el examen radiográfico es esencial en el diagnóstico y en todas las etapas del tratamiento endodóntico 9; sin embargo, la bidimensionalidad de las técnicas intraorales convencionales y la consiguiente superposición de estructuras y distorsión geométrica de las estructuras anatómicas son problemas no menores por los potenciales enmascaramientos morfológicos, todos susceptibles de originar complicaciones diagnósticas o terapéuticas. CBCT reproduce imágenes tridimensionales permitiendo la exploración en planos sagitales y coronales, proporcionando así, información precisa sobre la morfología radicular y canalicular, siendo su uso recomendado en casos de variaciones en la morfología radicular y canalicular 2. Ya ha sido sugerido el empleo de CBCT para casos de morfologías radiculares aberrantes 12; sin embargo, y según nuestro conocimiento, la atención cautelosa a las indicaciones precisas de CBCT apenas ha sido reportada en este tipo de casos 21.
Más allá del atractivo que supone esta tecnología, su aplicabilidad diagnóstica, terapéutica e incluso investigativa es hoy motivo de profunda discusión para casos como el que se presenta. Las actuales directrices publicadas para indicaciones de CBCT han mencionado que este estudio no debería ser procedimiento estándar para demostrar la anatomía del canal radicular, lo cual, no debería reemplazar a las técnicas radiológicas convencionales de baja dosis y riesgo 1,5. Sin embargo, estas mismas directrices mencionan que CBCT podría indicarse en casos "particulares" donde el tratamiento endodóntico puede verse complicado por factores concurrentes entre los que se cuentan una "anatomía pulpar atípica" 1 o "anomalías de canales tanto radiculares como accesorios" 5. Si bien la 1º recomendación de las directrices de la American Association of Endodontists (AAE) y la American Academy of Oral and Maxillofacial Radiology (AAOMR) acentúa que "las radiografías intraorales deben ser consideradas la modalidad imagenológica de elección para la evaluación del paciente endodóntico", la 3º recomendación de ese mismo documento justifica a CBCT "en el tratamiento inicial de dientes con potenciales canales extra o morfología compleja tales como molares mandibulares y anomalías dentarias, entre otros" 4. El caso presentado configura una de las tantas situaciones de cuidadoso análisis muchas veces controversiales o, cuando menos, inmersas en situaciones "fronterizas" donde la evidencia científica publicada 1 parece ser aún difusa como para catalogar a la "anatomía pulpar atípica" como una indicación específica de CBCT.
La demanda por CBCT en odontología se encuentra en aumento, y las bondades son innegables; los costos del equipamiento han disminuido significativamente y en muy pocos años, seguramente esta tecnología será recibida como una herramienta diagnóstica en la misma práctica odontológica general 22. Específicamente en el área de la investigación clínica, CBCT se presenta sin dudas como un instrumento con notables y valorados aportes. Introducida a la Endodoncia en el año 1990, esta técnica ha posibilitado estudios morfológicos y morfométricos de gran confiabilidad, más aún en entornos tridimensionales y con valor poblacional 23. Es aquí donde la provisión de exámenes y las indicaciones precisas de sus obtenciones juegan un papel fundamental. Noffke y col. 5 afirman que CBCT con fines de investigación, administrativos o de carácter médico legal que no posean ningún beneficio sanitario potencial para el paciente o su comunidad, no deberían ser admitidos ni recomendados de ninguna manera. Más allá de los mencionados riesgos de exposición innecesaria a radiación, existen innumerables tópicos en lo que refiere a competencias en la interpretación radiológica, comunicación de diagnósticos o las mismas responsabilidades y certificaciones del operador que aún permanecen sin resolver 22.
Se ha enfatizado que CBCT debería ser solicitada sólo en casos donde los beneficios sean superiores a los riesgos potenciales de irradiación; otros procedimientos diagnósticos deberían ser discutidos con el paciente, sobre todo en lo que refiere a los costos; toda la información debe ser adecuadamente provista, los motivos que justifiquen el examen CBCT, así como también sus guías de tratamiento deben ser consentidas por el paciente y documentadas 5,24. En el presente caso, el paciente fue informado de la disponibilidad de CBCT para examinar su condición debido a que la variación anatómica radicular de su diente a tratar ofrecía complejidad diagnóstica y terapéutica, y de la totalidad de beneficios reportados por la literatura 2 para CBCT en relación a un resultado específico: identificar la totalidad de canales (en algunos casos enmascarados por la misma conformación morfológica atípica), permitiendo con ello la completa desinfección del sistema canalicular. Rosen y col. 25, luego de una cuidadosa revisión y análisis de la literatura respecto de evaluar el nivel de eficacia diagnóstica de CBCT en endodoncia, concluyeron que sus esperables beneficios aún se mantienen poco claros y sólo limitados a su eficacia técnica. Consideramos que en el caso que se presenta, las radiografías intraorales iniciales no brindaban la información suficiente para el propósito buscado y CBCT ofrecía la justificación clínica para ese fin. Aún cuando pros y contras fueron cuidadosamente evaluados y discutidos con el paciente respecto a los estándares actuales sanitarios, coincidimos con Scarfe 24 en que el uso de CBCT "debería justificarse de caso a caso y nunca propuesto como rutinario". Ya que CBCT ofrece la posibilidad de valorar tridimensionalmente la morfología canalicular evitando la remoción excesiva de tejido y permitiendo la desinfección completa del sistema 7, consideramos que esta rara condición necesita ser analizada, o al menos mencionadas sus particulares características clínicas y radiológicas en las directrices actuales para el uso seguro de CBCT dental y maxilofacial. Los criterios para seleccionar casos de indicación de CBCT como respaldo imagenológico en endodoncia no son suficientemente claros ni específicos 25.
El estándar profesional para CBCT es el "cuidado apropiado" de "elegir CBCT para cada paciente, "sabiamente apoyados en criterios de selección derivados de la mejor evidencia disponible" 24. Coincidimos con Noffke y col. 5 en que la selección de imágenes CBCT debe apoyarse en el buen juicio profesional de las necesidades del paciente, y en que nunca debe realizarse rutinariamente como una "expedición de pesca" por una enfermedad no sospechada.
Conclusiones
CBCT es una herramienta de gran utilidad cuyas indicaciones diagnósticas deben ser evaluadas según los conceptos actuales de protección radiológica, pues no es considerada un procedimiento estándar para evaluar anatomía del canal radicular. Así mismo, alteraciones morfológicas como las del caso que se presenta, justifican ese uso diagnóstico ya que el tratamiento endodóntico puede verse complicado por ese tipo de anomalías tanto en raíces como en canales radiculares. El uso de CBCT recae entonces en un buen juicio profesional y en la evaluación apropiada del riesgo/beneficio de exponer al paciente a esas radiaciones.









texto en 




