Introducción
Los síndromes neurocutáneos comprenden a un grupo heterogéneo de patologías caracterizadas por alteraciones del Sistema Nervioso Central (SNC) y tegumentos, y son de etiología idiopática. Dentro de estos síndromes, se incluye a la Neurofibromatosis (NF), enfermedad autosómica dominante, con expresividad variable y una patología progresiva con afectación multisistémica 1,2.
El término NF integra a tres dolencias de origen genético autosómico dominante: Neurofibromatosis tipo 1 (NF1), Neurofibromatosis tipo 2 (NF2), y Schawannomatosis o Neurofibromatosis tipo 3; estas dos últimas consideradas dentro de las enfermedades raras, siendo la Neurofibromatosis tipo 3 muy infrecuente 3. La NF 2 se la conoce como NF acúsica bilateral, se caracteriza por la presencia de tumores múltiples y lesiones de cerebro y médula espinal. 4 El primer síntoma de esta enfermedad suele ser el crecimiento de tumores en los nervios auditivos que tiene como consecuencia la pérdida de la audición 5.
La NF1 es la enfermedad genética dominante humana más frecuente, dentro de las enfermedades causadas por defectos de un único gen 3. La prevalencia es 1:3000 niños nacidos vivos 5 , más frecuente que en otras enfermedades como la Diabetes Mellitus tipo 1 (1:13000)6) o Fibrosis Quística (1:10.000)7. La primera publicación de un caso confirmado con NF fue en 1768, con descripción de un paciente con neurofibromas cutáneos, condición que había sido heredada de su progenitor paterno. En 1882, el médico Fiedrich Von Recklinhausen describe la patología por primera vez y es por este motivo que también la NF1 lleva su nombre, que a su vez también es conocida como la enfermedad del “Hombre elefante”, pero este es un error histórico desde que fue comprobado que el “Hombre elefante” tenía el Síndrome de Proteus 3.
El gen de la NF1 se localiza en el cromosoma 17, en la banda q11, 2 y codifica una proteína activadora GTPasica denominada neurofibromina que tiene un elevado nivel de expresividad en el tejido ectodérmico (piel, nervios y tejido óseo). Se han descrito más de 500 mutaciones de este gen, y si bien el diagnóstico de la enfermedad se basa en criterios clínicos, existen también pruebas moleculares para el gen NF1 que puede ser de utilidad en algunos casos 2. La penetración de la enfermedad es completa y su expresividad es variable por lo que el grado de afectación de cada individuo es difícil de predecir incluso dentro de una misma familia y aún en casos de gemelos univitelinos (2,5.
El diagnóstico de la NF1 es clínico y en el año 1988 las características específicas fueron definidas por el Instituto Nacional de Salud de Estados Unidos como: seis o más manchas “café con leche”, iguales o mayores de 5 mm en pacientes prepúberes; dos o más neurofibromas de cualquier tipo, o uno plexiforme; presencia de pecas en axilas o ingle; glioma del nervio óptico; nódulos de lisch (hamartomas del iris); lesión ósea definida como displasia de esfeniodes y un familiar de primer grado con la enfermedad. El hallazgo de dos o más de estos criterios justifica el diagnóstico 2,4. Aunque estos criterios resultan ser altamente específicos en adultos, no se presentan en algunos niños menores de 8 años 8. Existen también una serie de signos tales como macrocefalia, hipertelorismo, implantación baja de las orejas, retraso mental leve, dificultades en el aprendizaje que se asocian a la NF1 pero que no están considerados como criterios de diagnóstico 9, pero se sabe que en los niños preescolares con NF1 predominan dos anomalías comunes: baja estatura y mayor tamaño de cabeza 10.
En resumen, la NF1 es una patología multisistémica con posibilidad de compromiso oftalmológico, osteomuscular, cardiovascular, endocrino, pudiendo afectar al SNC y periférico 3. No existe tratamiento curativo, el mismo se basa en el manejo de los síntomas y posibles complicaciones, especialmente asociadas al crecimiento tumoral. Se estima que la expectativa de vida de los pacientes es de alrededor de 8 años menos que la población en general 11. Un 50% a un 80% de pacientes con la enfermedad puede tener dificultades de aprendizaje y trastornos de conducta. El 30% de los niños con NF1 puede presentar algún trastorno autista y cerca de un 40% déficit atencional o hiperactividad 11. Se han descrito también en niños, alteraciones en la voz y en la motricidad oral 10.
Las manifestaciones orales y maxilofaciales son de importancia conocerlas como personal de la salud, ya que el odontólogo puede tener un papel protagónico en el diagnóstico adecuado de la enfermedad. Manifestaciones orales en pacientes con neurofibromatosis varían de 3,8% a 20%. Cualquier lugar de la cavidad bucal puede verse afectado. La lengua es el sitio más frecuentemente afectado por los neurofibromas, seguido del paladar, las encías, la mucosa bucal, el suelo de la boca y, más raramente, la mucosa labial (12.
A pesar de que no todos los pacientes tienen las complicaciones clínicas o estéticas más graves de la enfermedad, la mayoría de los pacientes con NF1 y sus familias sufren la incertidumbre sobre el curso y evolución de la enfermedad, como la aparición de nuevos tumores, el compromiso estético y la posible transmisión a sus descendientes, lo que tiene un gran impacto en la calidad de vida de los pacientes 10.
Para Rezende et al. (13 el bienestar del paciente debe considerarse más que el equilibrio entre el cumplimiento de las expectativas y el dolor, o sea, debe ser el punto de partida del plan de tratamiento.
Ante lo expuesto, el presente relato de caso tiene por objetivo relatar un abordaje odontológico individualizado, inclusivo y humanizado enfatizando la importancia del tratamiento rehabilitador con mantenimiento preventivo de un paciente con diagnóstico de neurofibromatosis tipo 1 atendido en 2017, en la Clínica de la Carrera de Especialización en Odontopediatria, Facultad Odontología, Universidad de la República, Uruguay
Caso clínico
Paciente de sexo masculino con cuatro años y tres meses de edad que fue llevado a la Clínica de la Carrera de Especialización en Facultad de Odontología, Universidad de la República por sus padres, derivado del centro de salud donde recibe asistencia, con el objetivo de que se valore el posible tratamiento rehabilitador. Los responsables del paciente firmaron el Consentimiento Informado para permitir que se realicen todos los procedimientos dentales propuestos en su hijo, así como fotografías y difusión del caso.
Durante la anamnesis, ambos padres relataron que el niño contaba con diagnóstico de neurofibromatosis tipo 1, enfermedad heredada a través de su padre que también presentaba el mismo cuadro. El interrogatorio a los progenitores no fue fácil ya que el nivel socioeconómico y cultural de la familia es el de una población vulnerable, la vivienda no es propia, se encuentran en calidad de usufructuario y cuenta con luz y agua potable, pero no con saneamiento. Con respecto a los antecedentes odontológicos de los progenitores, ambos relatan experiencia de enfermedad caries dental, paradenciopatias y falta de piezas dentarias. La madre es portadora de una prótesis removible.
En cuanto a los antecedentes personales médicos, el paciente se encuentra bajo tratamiento médico, para control de su enfermedad. Su madre cursó un embarazo normal, pero el parto fue prematuro, de 34 semanas, su peso al nacer fue de 2Kg 898grs, talla de 46 cm y el tipo de alimentación fue natural, exclusiva, hasta los 6 meses de edad. La maduración psicomotriz fue muy lenta, ya que comenzó a sentarse al año de edad y a caminar a los dos años.
En lo que refiere al proceso de erupción dentaria, su madre relató que a los 8 meses de edad erupcionó un incisivo inferior El amamantamiento fue hasta los dos años y medio y como hábito deformante presentó succión del labio inferior.
En cuanto a hábitos de salud bucal, el niño utiliza como flúor sistémico sal de mesa y dentífricos fluorados de uso tópico. El niño se realizaba higiene bucal 3 veces al día sin supervisión de un adulto y tenía una dieta cariogénica, con alta frecuencia de bebidas y alimentos azucarados y carbohidratos que utilizaba con cuatro y hasta seis momentos de ingesta durante el día.
En relación al examen regional, el paciente presentó asimetría facial, ojeras, labio inferior evertido, voluminoso, con poca tonicidad muscular y ambas comisuras labiales agrietadas. Al examen funcional, se observó respiración mixta, fonación y masticación alteradas por falta de piezas dentarias y deglución atípica.
En relación a los signos clínicos de la NF1, el niño presentaba cicatriz del tratamiento quirúrgicode su neurofibroma plexiforme, que afectaba el cuello e hipotonicidad muscular oral. Su cognición y capacidad de comunicación estaban preservadas. El niño era bastante tímido y tenía mucha dificultad de relacionarse, pero fue colaborador en las consultas clínicas (Figura 1).
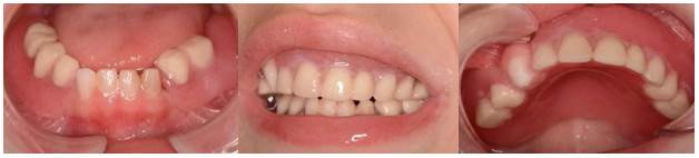
Al examen clínico de la cavidad bucal (Figuras 2, 3 y 4) no se observaron lesiones en las mucosas, se certificaron quince dientes temporarios ausentes (55-54-52-51-61-62-63-64-65-73-74-75-83-84-85) y cinco dientes temporarios con lesiones de caries (53-71-72-81-82); presencia generalizada de biopelícula sobre las superfícies dentarias, sangrado gingival provocado al sondaje, saliva abundante, lengua voluminosa, desbordante e hipotónica y bridas y frenillos sin particularidades.
En relación al examen radiográfico, la radiografía panóramica inicial (Figura 5) mostró ausencia de muchos dientes temporarios, y también se observó presencia de gérmenes de dientes permanentes y retraso en la erupción dentaria de algunos dientes, lo que requería un acompañamiento.
A partir de los exámenes realizados y del diagnóstico de la situación del paciente, se determinó que se estaba en presencia de un paciente de alto riesgo con probabilidad de desarrollar nuevas lesiones de caries. Se realizó, en primera instancia, la introducción a la consulta odontológica, explicando estrategias preventivas y motivacionales de educación para la salud dirigida al niño, en forma individualizada y al núcleo familiar. Se abordó la enseñanza de higiene y la importancia de supervisar el cepillado bucal en el niño, el asesoramiento dietario (se pidió cartilla dietaria) y se explicó el uso y dosificación del dentífrico fluorado.
Se planeó una consulta para realizar los procedimientos odontológicos en forma ambulatoria. Utilizando la técnica de remoción selectiva de caries, se realizó la rehabilitación de las piezas dentarias con lesiones de caries activas (53-cara palatina, 71, 72, 81 y 82-caras mesiales y distales), y se realizaron las prótesis removibles superior e inferior. En cada consulta del paciente, se controló el biofilm y se realizó cepillado profesional con dentífrico fluorado de 1450 ppm, haciendo hincapié en la importancia del cepillado nocturno y luego de las comidas principales para así poder lograr una modificación general del comportamiento hacia la salud. Se indicó a el niño y su familia realizar cepillado bucal como mínimo 2 veces por día con crema dental fluorada mayor a 1100 ppm. El paciente recibió un kit de higiene con cepillo dental y crema dental fluorada 1450 ppm.
Las restauraciones dentarias fueron realizadas con cemento de ionómero de vidrio de fotocurado (FUJI IX GC Corporation) en las piezas 53, 71, 72, 81 y 82 (Figura 6). Las prótesis removibles superior e inferior para mantenimiento del espacio se confeccionaron siguiendo correctamente los pasos de su confección: a) toma de impresiones con silicona pesada y liviana en un solo tiempo y vaciado para la obtención de modelos de yeso, b) placa de registros y rodetes, c) registro oclusal y restablecimiento de dimensión vertical, d) enfilado dentario, e) prueba de dientes y f) prótesis removible superior e inferior (Figuras 7, 8, 9,10, 11, 12 y 13).

Figura 7 y 8: Toma de impresiones con silicona y obtención de modelos y placa de registros y rodetes

Figuras 11, 12 y 13: Aspectos clínicos de la cavidad bucal con la prótesis removible superior e inferior en boca. Instalación
El paciente retornó para su control odontológico preventivo en forma periódica, y a los tres meses de la colocación de las prótesis, para continuar con el control de la infección y control de los mantenedores de espacio (Figura 14).
El niño, que no presenta alteraciones en el intelecto, mantuvo un comportamiento positivo durante todas las consultas. Los profesionales responsables de su atención odontológica utilizaron la técnica de decir-mostrar-hacer y de refuerzo positivo. No hubo llanto por parte del niño, ni necesidad de emplear contención física.
Discusión
Los tipos de neurofibromatosis son un grupo de trastornos genéticos que hacen que se formen tumores en el tejido del nervio. Estos tumores pueden desarrollarse en cualquier lugar del sistema nervioso, ya sea el cerebro, la médula espinal o los nervios 1,2. Figueiredo et al.14 escribió un caso clinico de una niña, que en relación a los signos clínicos de la NF1, presentaba neurofibroma plexiforme (compromiso de varios grupos de nervios), que afectaba el párpado superior del ojo derecho y provocaba ptosis, pérdida de visión y asimetría facial. Además, tenía una hermana menor que también presentaba el mismo cuadro. En el caso del paciente presentado en este trabajo, el padre del niño tiene también los signos clínicos de la NF1.
Trabajar con la dieta e higiene bucal del paciente representó un desafío para el profesional. Un aspecto importante a destacar de lo paciente presentado está vinculado a su vulnerabilidad debido a la baja autoestima. Para Brêtas, 2010 15, la baja autoestima puede deberse a la carencia de motivación por parte del individuo sobre su cuidado personal, y así a no percibir motivo alguno para cuidarse a sí mismo, así sea un niño de 4 años y tres meses de edad. La integración de esta motivación en el niño y sus familiares representa una estrategia de atención fundamental para la identificación de sus necesidades odontológicas básicas y para proporcionarles un poco de alivio en ese momento de sufrimiento que atraviesan.
El tratamiento propuesto al paciente contempla la rehabilitación protética, para restablecer su función, estética, mejorar la comunicación y la integración social con las otras personas, ya que también puede estar asociada a progresar en su autoestima y confianza, así como de su calidad de vida. Según Antoniazzi et al. 2018 (16, la calidad de vida está relacionada a la salud bucal, y tiene un carácter multidimensional, involucrando el estado de salud como los factores sociales y comportamentales.
Además, las prótesis parciales removibles son importantes en estos pacientes pediátricos para restablecer las funciones alteradas y poder optimizar el crecimiento esquelético craneofacial y desarollo de la dentición, favoreciendo las funciones de masticación, deglución, fonación y digestión. En contradicción Prabhakar et al. (17 y Brelaz 18, relataron las desventajas del uso de prótesis parciales removibles y, en algunos casos, los ajustes necesarios pueden ser difíciles en pacientes jóvenes. Esto no ocurrió en el caso clínico en cuestión, ya que el paciente fue muy colaborador.
Como afirman Figueiredo et al.19) y Gonçalves et al. (20, es preciso intensificar el diálogo entre la odontología y las especialidades médicas que actúan en la atención de estos pacientes y posibilitar el progreso del tratamiento. Una de las actitudes de recuperación de la autoestima es la preocupación estética, incluyendo la sonrisa (19,20. En el presente caso, la sonrisa del paciente fue restablecida por medio de la confección de las prótesis parciales removibles.
Finalmente, es de suma importancia que el odontólogo que atiende a un paciente con NF1 severa tenga empatía con este, se involucre con su historial clínico para evaluar su perfil cognitivo y dirigir sus intervenciones de acuerdo con su capacidad (14. Según la Ley no 13.146 (22 brasileña de inclusión de personas con discapacidad, la humanización por parte de los profesionales de salud es esencial para la realización de procedimientos odontológicos en personas con cualquier síndrome, a partir de la interacción sicosocial y familiar.
La demostración de domino de los procedimientos clínicos odontológicos a desarrollarse, la paciencia y el disfrute de atender a un paciente con necesidad especial son atributos fundamentales para la atención de un paciente pediátrico en la clínica y lograr su tratamiento con éxito como es presentado en este trabajo.
Relevancia y aplicación clínica
Este caso clínico presenta de manera clara, descriptiva e ilustrativa, sin limitaciones, las características de un paciente con neurofibromatosis tipo 1 facilitando el diagnóstico por parte del odontólogo. Además, muestra un tratamiento preventivo, restaurador y rehabilitador adecuado, resaltando la importancia del vínculo y el compromiso del profesional con el paciente y su familia durante la atención a estos pacientes.
Conclusiones
Las principales características bucales y clínicas generales del paciente relatado estaban de acuerdo con lo descrito en la literatura para la Neurofibromatosis Tipo 1, como poca tonicidad muscular, dificultad de higiene bucal y lesiones de caries dentales activas; evidenciando la necesidad de tratamiento odontológico educativo, preventivo, restaurador y rehabilitador. Los odontólogos desempeñan un papel fundamental en la rehabilitación y bienestar de estos pacientes, debiendo estar integrado en un equipo multidisciplinario de atención a los mismos.
El conocimiento de las comorbilidades que presenta un paciente con la enfermedad genética Neurofibromatosis Tipo 1 es de fundamental importancia para la conducción de su tratamiento odontológico.










texto en 









