Introducción
Durante la instrumentación del conducto radicular, se genera una capa de residuos irregular y granular, producto del limado de las paredes dentinarias y restos orgánicos presentes en el conducto 1 que no se observa en superficies sin instrumentar 2. Esta capa obstruye los túbulos dentinarios en una profundidad de 30 a 40 µm 3 disminuyendo la permeabilidad dentinaria, lo que provoca un retraso de la acción de la medicación tópica y de los irrigantes 4,5 y evita el estrecho contacto del material de obturación con las paredes dentinarias 1,3,4. Como consecuencia, existe mayor riesgo de infección bacteriana y microfiltración 3,6.
En el protocolo de irrigación convencional se utiliza hipoclorito de sodio (NaOCl) en concentraciones de 2,5% a 5,25% y un quelante, que actúan sobre la parte orgánica e inorgánica del barro dentinario, pero también sobre la pared del conducto provocando su desmineralización 2,5,7.
Los quelantes más utilizados son el ácido etilendiaminotetraacético (EDTA) y el ácido cítrico. Ostby en 19578 introdujo la sal disódica del EDTA para su uso como irrigante auxiliar en conductos estrechos y/o calcificados. Su fórmula original consistió en EDTA 17 g, hidróxido de sodio (NaOH) 05N y agua destilada 100 cc. Posteriormente, le agregó un compuesto de amonio cuaternario: bromuro de cetiltrimetilamonio (cetavlón), para reducir la tensión superficial logrando mayor penetración del producto en la dentina, mayor humectación y mejor acción antibacteriana del quelante. Este producto pasó a llamarse EDTAC 9,10.
El ácido cítrico es un ácido débil, efectivo en la eliminación del barro dentinario, que presenta buena estabilidad química y bajo costo 11. Se utiliza en concentraciones al 10%, 25% o 50%, con excelentes resultados 12,13.
La desmineralización del tejido duro puede explicarse basándose en el principio de la constante del producto de solubilidad. Al irrigar con EDTA, éste capta los iones calcio (Ca+2) disueltos en la solución, a su vez, otros iones de la dentina se disuelven para mantener siempre constante el producto de solubilidad 8. Cada molécula de EDTA puede unirse a un solo ion calcio, cuando se ha logrado el equilibrio, no hay más disolución.
El uso de quelantes puede causar erosión de las paredes dentinarias y según los diferentes autores podría estar relacionado con la concentración de la solución, el pH, el tiempo de permanencia del producto dentro del conducto y/o la edad dentaria 6,14,15.
La desmineralización que produce el EDTA en la dentina depende del tiempo de permanencia de la solución dentro del conducto, lográndose el mayor efecto en los primeros 5 minutos, luego su acción disminuye 9.
Durante la reacción química, se produce un intercambio de hidrogeniones (H+) del EDTA por iones Ca+2 de la dentina reduciendo el pH de la solución, lo que provoca una disminución de la acción quelante 16.
Kennedy, Walker y Gough 1986 6 sugirieron que el aumento del diámetro de los túbulos provocado por la desmineralización utilizando quelantes, depende del grado de maduración dentaria, lográndose mayor apertura en dientes jóvenes menos mineralizados que los dientes adultos y propusieron mayor quelación en estos últimos para lograr buenos resultados.
Los objetivos de este estudio consistieron en: a) evaluar la efectividad de la fórmula preparada de EDTAC 17% y ácido cítrico al 10% para la eliminación del barro dentinario luego de la preparación biomecánica; b) seleccionar el tiempo de exposición al quelante más adecuado (1 o 3 minutos) que garantice una mejor limpieza de las paredes dentinarias sin erosionarlas teniendo en cuenta la edad dentaria; c) evaluar la formación de cristales al utilizar ácido cítrico.
Materiales y métodos
El trabajo fue aprobado por el Comité de Ética de la Facultad de Odontología Universidad de la República. Se utilizaron 120 dientes humanos previamente desinfectados en glutaraldehído 2%, de los cuales 60 correspondieron a pacientes jóvenes (entre 15 y 25 años) y 60 a pacientes adultos (40 años en adelante). Se seleccionaron piezas anteriores y premolares unirradiculares con ápices completamente formados, que fueron extraídos por caries (clase I y II), problemas paradenciales (periodontitis crónica grave) u ortodoncia previo consentimiento informado del paciente.
Se tomaron radiografías en sentido mesio-distal y vestíbulo-palatino confirmando que las piezas tuvieran un solo conducto, con curvatura de 5° o menos de acuerdo a la clasificación de Schneider 17, con un radio > 80 mm según la fórmula propuesta por Schäfer 18. Se descartaron piezas con mayores curvaturas, aquellas con más de un conducto, con reabsorciones, o previamente tratadas. También se evaluó que la edad cronológica coincidiera con la edad dentaria. Se realizó un corte transversal a la altura del cuello dentario para retirar la corona utilizando un disco diamantado (930 D Jota Switzerland) refrigerado, manteniendo una longitud radicular de 15 mm. Luego se realizó una ranura longitudinal en las caras proximales de la raíz, para facilitar la sección del diente en dos mitades terminada la preparación del conducto.
Cada subgrupo de 60 raíces de jóvenes (A) y de adultos (B) fue dividido al azar en 6 grupos: 4 grupos de 12 dientes y 2 grupos control de 6 dientes cada uno (Tabla 1).
Se determinó la longitud de trabajo traspasando el foramen apical con una lima K Nº15 (Dentsply Maillefer Sirona Switzerland) y luego se restó 1 mm. Se ampliaron los tercios cervical y medio con fresas Gates Glidden 3, 2 y 1 (Dentsply Maillefer, Ballagues Switzerland) y el resto del conducto con limas K (Dentsply Maillefer Sirona Switzerland) aplicando la técnica step back. El tercio apical se preparó hasta una lima 35 o 40. Los dientes jóvenes requirieron una preparación apical de mayor calibre (N°50 a 70) por la amplitud del conducto. Para la irrigación se utilizó una jeringa hipodérmica de 5 ml con aguja 25G, irrigando con 2 ml de NaOCl al 2,5% en cada cambio de instrumento y recapitulando en forma constante. Como irrigación final (toilette del conducto), se lavó con 2 ml de NaOCl 2,5%, se aspiró con jeringa y se secó con conos de papel (Antaeos, VDW Germany). Luego se irrigó con 1 ml del quelante a testear usando una jeringa de insulina (aguja 27G). Estas
soluciones (preparadas en el laboratorio de Bioquímica de la Facultad de Odontología, Universidad de la República), se mantuvieron dentro del conducto por 1 o 3 minutos según el grupo, agitándolas durante 30 segundos con una lima K15 (Dentsply Maillefer Sirona Switzerland) para lograr mayor efectividad de la solución. Se retiró el quelante lavando con 4 ml de NaOCl al 2,5% y se secó con conos de papel. En todos los casos, el foramen apical fue sellado con cera resinosa (Dentorium USA) para evitar la salida del irrigante.
Las raíces se seccionaron longitudinalmente, calzando un instrumento en las ranuras previamente realizadas en las caras proximales. Las muestras se observaron en los tercios cervical, medio y apical utilizando el microscopio electrónico de barrido (Jeol JSM 5900 LV Japón) en aumentos x1000 y x4000 obteniendo 360 imágenes en cada aumento.
Se creó una escala con 4 niveles para evaluar la presencia de barro dentinario:
1. Ausencia de barro dentinario: túbulos abiertos y limpios.
2. Poco barro dentinario en la superficie: algunos túbulos (menos de 50%) con barro dentinario cubriendo las entradas.
3. Presencia de barro dentinario en la superficie y la mayoría de los túbulos cerrados (más de un 50%).
4. Pesada capa de barro dentinario, no se distinguen los túbulos.
Para valorar el grado de erosión en las paredes de los túbulos dentinarios, se confeccionó una escala con 4 niveles:
0. Sin erosión: todos los túbulos presentan una apariencia normal.
1. Erosión incipiente de la dentina peritubular insinuándose en los bordes de los túbulos.
2. Erosión moderada de la dentina peritubular.
3. Erosión severa: la dentina intertubular se encuentra destruida y los túbulos pueden estar conectados unos con otros.
La calibración se realizó entre 3 observadores (Test Kappa: 0.76 para limpieza y 0,78 para erosión).
Los resultados se evaluaron en forma cuantitativa, de forma bivariada con el test de chi cuadrado y posteriormente, mediante modelos multivariados de regresión logística binaria.
Resultados
En los grupos de control donde se utilizó NaOCl como único irrigante, se observó una densa capa de barro dentinario cubriendo toda la superficie del conducto. Por el contrario, los grupos donde se aplicó EDTAC o ácido cítrico y NaOCl, ambos complementos mostraron ser efectivos en la eliminación del barro dentinario. Comparando el grado de limpieza entre ambos quelantes se observó que no existe una diferencia significativa (p= 0,267). El nivel de limpieza alcanzado por los quelantes (EDTAC y ácido cítrico) según la edad dentaria, fue mayor en los grupos de dientes jóvenes (p= 0,038 y p= 0,00025) respectivamente.
El tiempo demostró ser una variable dependiente con respecto a la limpieza (p= 0,00576) (Gráfico 1). Se ensayó un modelo multivariado de regresión logística binaria con la variable limpieza como variable dependiente y la edad, el tiempo, el tercio y el irrigante como independientes. El modelo ajustó (Hosmer and Lemeshow Test, p= 0,601) y mostró que la edad, el tiempo y el tercio del conducto, son significativamente dependientes. A mayor tiempo mayor limpieza, a mayor edad mayor presencia de barro dentinario y cuanto más apical menor limpieza. El irrigante no apareció como significativamente dependiente.
Asimismo, se evaluó la presencia de erosión en función del quelante, el tiempo de acción y la edad dentaria. En aquellas muestras donde se aplicó EDTAC (grupos A1, A2, B1 y B2 en sus 3 tercios) independientemente del tiempo y la edad, se observó 54,9% de las muestras con erosión. 15,3% correspondió al nivel 2 (erosión moderada) y 4,9% al nivel 3(erosión severa).Con el ácido cítrico, se evidenciaron 47,2% de las muestras con erosión, siendo moderada en el 15,3% de los casos, y severa en el 9% (Fig. 1).En todos los grupos se observó mayor cantidad de muestras con erosión incipiente (nivel 1).Teniendo en cuenta el factor tiempo de exposición, el EDTAC erosionó más a los 3 minutos (p= 0,037), mientras que, en los grupos de ácido cítrico, la erosión fue similar en ambos tiempos (p= 0,727) (Gráfico 2). La erosión se mostró independiente de la edad para ambos quelantes (Ácido cítrico: p= 0,984; EDTAC: p= 0,222).
Se ensayó un modelo multivariado de regresión logística binaria tomando la variable erosión como dependiente, codificando: sin erosión (valor 0) y con erosión (valores 1, 2, 3). Se tomaron tiempo, tercio, limpieza e irrigante como variables independientes (Hosmer and LemeshowTest, p=0,997). La limpieza estuvo significativamente relacionada con la erosión de forma que a mayor limpieza mayor erosión (p= 0,001), y si bien el irrigante no fue significativo (p= 0,09), el ácido cítrico tendió a erosionar más.
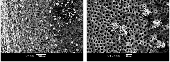
Cuando se utilizó ácido cítrico, se observaron cristales en 8,3% de las muestras (Fig. 2).
Discusión
La irrigación final del conducto con un quelante y NaOCl es un paso imprescindible para obtener una adecuada limpieza y desinfección. Ambos irrigantes se complementan eliminando los restos orgánicos e inorgánicos generados durante la instrumentación de las paredes, logrando la limpieza de áreas inaccesibles a los instrumentos y permeabilizando conductos laterales y accesorios 19.
Tanto el EDTAC como el ácido cítrico lograron paredes lisas y limpias con túbulos dentinarios abiertos, a diferencia de los grupos control, donde solo se utilizó NaOCl. Estos hallazgos coinciden con resultados de otros autores 7,11,20.
Machado, Garcia, da Silva Neto y col. 2018 21 obtuvieron con los mismos quelantes, mayor limpieza en los tercios cervical y medio respecto al apical, al igual que este estudio.
Con el agregado de un tensoactivo (cloruro de benzalconio) a la fórmula del EDTA, se logró una solución irrigante (EDTAC), más efectiva como lo muestra la literatura 22,23.
La limpieza lograda en dientes jóvenes fue superior a la de dientes adultos con ambos quelantes. Esto puede deberse a que el diámetro de los túbulos en dientes jóvenes es mayor, mejorando la penetración del irrigante. Por otro lado, el conducto más amplio permite un mayor volumen de solución, por lo que habrá mayor disociación y captación de iones metálicos aumentando la quelación 4. Otro punto a tener en cuenta es el acceso de la aguja de irrigación al tercio apical que se ve favorecido en conductos amplios permitiendo una mejor irrigación.
El tiempo de permanencia del quelante dentro del conducto es discutido. En esta investigación se observó mayor eficacia a los 3 minutos, pero se notaron cambios estructurales en las paredes dentinarias coincidiendo con otros hallazgos 14,24.
La irrigación con EDTAC produjo un deterioro a mayor tiempo, mientras que, con el ácido cítrico, los resultados fueron semejantes en 1 y 3 minutos.
Existen otros estudios que revelan paredes limpias con túbulos abiertos, sin alteración de la dentina peri e intertubular, al usar EDTA por 1 minuto. Cuando el quelante se mantiene por más tiempo, produce un importante cambio de la superficie interna del conducto 14,25,26.
Turk, Kaval and Sen 2015, a pesar de utilizar EDTA y ácido cítrico por 1 minuto, en concentraciones más bajas que las de esta investigación, 5% y 2,5% respectivamente, igualmente encontraron erosiones 27 .
La erosión pudo observarse en los grupos A y B indicando que la edad no es un factor determinante en la desmineralización. Estos resultados no coinciden con la idea de Kennedy, Walker y Gough 1986 6 que sugirieron, sin haber realizado la investigación, que frente a un quelante se produce mayor desmineralización en dientes jóvenes por ser menos mineralizados.
En la irrigación final el uso de quelantes elimina la materia inorgánica generada durante la instrumentación, pero también actúa sobre la pared dentinaria disolviendo los cristales de hidroxiapatita y dejando expuesta la trama colágena. Al irrigar posteriormente con NaOCl, éste actuaría en forma directa sobre el colágeno, produciendo un desgaste desmedido de la superficie, con la consecuente apertura excesiva de la luz de los túbulos y la conjunción de ellos al desaparecer la dentina intertubular 2,28. Las fibrillas de colágeno están protegidas por los cristales de hidroxiapatita, por lo que, en un primer momento, el NaOCl produce su desnaturalización en forma lenta. Sin embargo, cuando se utilizan quelantes, el colágeno queda expuesto, sin la protección de los cristales, siendo rápidamente atacado por éste 29,30,31.
Niu, YoshioKa, Kobayashi y Suda 2002 21 y Qian, Shen y Haapasalo 2006 32 muestran ausencia de erosión cuando en la irrigación final se usa solo quelante. En cambio, cuando se utiliza NaOCl posterior al quelante, la erosión está presente.
En algunas microfotografías se observaron zonas del conducto vírgenes, sin instrumentar. La presencia de la predentina no eliminada muestra una imagen semejante a la de los túbulos dentinarios con gran erosión, de luz amplia, con conductillos interconectados (Fig. 3 a). Estos hallazgos coinciden con otras
En las áreas sin instrumentar, el NaOCl, eliminó la predentina dejando expuesta una superficie globular correspondiente a los calcosferitos (frentes de mineralización de la dentina) y la acción del quelante sobre éstos, dejó descubiertos los túbulos dentinarios (Fig. 3 b). Estas observaciones son descritas en otros trabajos 2,33.
Con el uso de ácido cítrico, se observaron cristales en algunas muestras como lo describen otros autores 3,7,11. Su formación podría deberse al aumento brusco del pH de la solución, que inicialmente es muy bajo 1,8. Al entrar en contacto con algún remanente de NaOCl presente en el conducto, se elevaría su pH provocando en algún momento su precipitación. Previo a la irrigación con el quelante, se secó el conducto con conos de papel para evitar
que ambas soluciones entraran en contacto, pero no se tuvo en cuenta secarlo nuevamente antes de la irrigación final con NaOCl.
El cristal en su formación va creciendo a expensas del depósito de una capa sobre otra hasta obtener una forma semejante a un “repollo” 35. Esta investigación muestra cristales con una estructura simple, con pocas capas y algunos en una etapa de formación incipiente. Para evitar su presencia, será necesario secar el conducto entre cada irrigante y/o realizar una irrigación final con agua destilada para su eliminación en caso de estar presentes.
Conclusiones
El uso de EDTAC o ácido cítrico junto con NaOCl resultó efectivo en la eliminación del barro dentinario y la acción fue similar con ambos quelantes bajo las condiciones de este estudio. A mayor tiempo de exposición se logró mayor limpieza, pero se observó más erosión.
La erosión estuvo presente en dientes jóvenes y adultos, por lo que la desmineralización no es dependiente de la edad.
Se observaron cristales en algunas muestras de los grupos de ácido cítrico.
Recomendaciones:
Usar EDTAC o ácido cítrico por 1 minuto, tanto en dientes jóvenes como adultos, para lograr eliminar el barro sin alterar las paredes dentinarias.
Al utilizar ácido cítrico, evitar en todo momento el contacto con el NaOCl o realizar una irrigación final con agua destilada que permita eliminar posibles cristales formados.










texto en 









