Introducción
Las enfermedades de la cavidad oral constituyen una parte importante en la salud pública por los altos costos en la atención odontológica. Los datos más relevantes, desde la perspectiva epidemiológica en odontología, están dados por la caries, las enfermedades del periodonto, el edentulismo y las maloclusiones. Sin embargo, el registro de las patologías pulpares, no es preciso ya que su diagnóstico clínico requiere ayudas radiográficas para visualizar el conducto y el periápice dental. Por otra parte la radiografía panorámica digital, tomada en condiciones adecuadas, se ha convertido en un elemento indispensable para el análisis integral del paciente y por su bajo costo permite estudios poblacionales complementarios a los estudios clínicos de salud oral.
Leyva y colaboradores1 en 603 radiografías panorámicas, determinaron que el 28 % de las radiografías evidenciaban algún tipo de patología incluyendo osteoesclerosis, quistes, cementoblastomas y otras patologías. Otros estudios han observado las necesidades de tratamientos endodónticos, encontrando datos variables, dependientes en gran parte de los índices de caries, que es la principal causa de daño pulpar y por tanto de requerimiento endodóntico. En los reportes de Boykin y colaboradores2 en 873 adultos, 13 % de ellos requirieron al menos una endodoncia convencional o una cirugía apical o un retratamiento endodóntico en un lapso de 48 meses. Una revisión sistemática de la literatura hecha por Pak y colaboradores3, mostró en países con alto índice de desarrollo, que de un total de 300.861 dientes el 10 % tenía tratamiento de conductos y el 5 % tenía algún tipo de lesión apical.
En Colombia el Estudio Nacional de Salud Bucal (ENSAB) IV4, al ser un estudio clínico, no permite conocer datos más específicos sobre las necesidades de tratamiento endodóntico en la población colombiana, teniendo en cuenta que estos son diferentes de otros países por los índices de caries como ya se mencionó, el acceso a los servicios de salud y las opciones de restauración que tenga el diente afectado. Por esta razón el objetivo de este estudio fue determinar la frecuencia y las características de los hallazgos endodónticos en radiografías panorámicas digitales.
Métodos
Previo aval del Comité de Investigación y Ética de la Facultad de Odontología de la Pontificia Universidad Javeriana, se realizó un estudio descriptivo para el que se analizaron 1500 radiografías panorámicas digitales, de pacientes mayores de 18 años, obtenidas de diferentes centros radiológicos de la ciudad de Bogotá. Las variables analizadas en cada radiografía fueron: el número de dientes en boca, número de dientes con obturación, tipo de diente obturado, estado de la obturación (buen estado, subobturado, sobreobturado), presencia de zona radiolúcida periapical, de fractura vertical/horizontal, reabsorción interna/externa, instrumentos fracturados, perforaciones, pulpolitos e hipercementosis. Para el análisis de las radiografías que tenían algún tipo de hallazgos endodóntico, se hizo una distribución en 4 grupos de edad así: 18-30, 31-40, 41-50 y mayores de 50 años. Los datos fueron analizados a través de estadística descriptiva utilizando tabulaciones dinámicas de Excel y mostrados en tablas y figuras. Las frecuencias fueron analizadas usando la prueba Chi2 con una significancia de p<0.05.
Resultados
Para determinar la frecuencia de los hallazgos endodónticos se realizó un análisis a partir de las radiografías como un marcador de lo que ocurre en la población adulta (Tabla 1) y en los dientes tomados como una unidad independiente (Tabla 3). Para ambos casos, se reporta la distribución en el total de la muestra, por sexo y edad
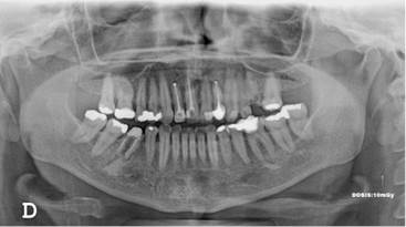
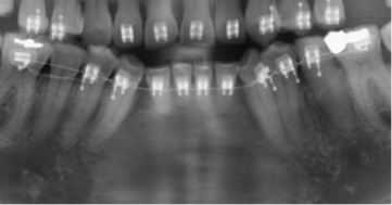
Los resultados mostraron que en el 48 % de la población se encontró algún hallazgo relacionado con la pulpa dental, con frecuencias similares entre hombres y mujeres, siendo el tratamiento endodóntico el más frecuentemente encontrado (Tabla 1, Fig. 1). El rango del número de endodoncias por radiografía fue de 1 a 18. El 86,4 % de las radiografías presentaron de 1-5 endodoncias, 11,4 % de 6-10 y el 2,2 % de 11-18. La presencia de zona radiolúcida periapical seguida por la reabsorción (Fig. 2), fueron los siguientes hallazgos más frecuentes. (Tabla 1)
Tabla 1: Distribución de frecuencias absolutas y relativas de los hallazgos endodónticos encontrados en las radiografías analizadas.
Los otros hallazgos analizados (Fig. 3) se presentaron en muy baja frecuencia. Para ninguno de los casos, se encontraron diferencias estadísticamente significativas entre hombres y mujeres.
Como se mencionó en métodos, las radiografías se agruparon por la edad de los pacientes en 5 grupos (Tabla 2). Los resultados mostraron lo esperado en términos de un aumento de la patología endodóntica con la edad, especialmente para el tratamiento endodóntico y la presencia de zona radiolúcida periapical, con una frecuencia significativamente menor en el grupo de 18 a 30 años comparado con el grupo de 31-40 (p=0,00000) (p=0,00000), un aumento significativo de casi el doble en el grupo de 31 a 40 años y altas frecuencias a partir de los 41 años (p=0.0000) (p=0.003). No se encontraron diferencias significativas entre hombres y mujeres dentro de cada grupo de edad para ninguno de los hallazgos estudiados.
Tabla 2: Frecuencias absolutas de los hallazgos relacionados con la pulpa dental en radiografías panorámicas, distribuidos por grupos de edad y sexo.
El análisis por dientes se realizó en un total de 39.940, de los cuales el 5,4 % presentó algún hallazgo endodóntico, con un comportamiento similar a lo encontrado en las radiografías en lo relativo a la frecuencia de dichos hallazgos y una distribución similar entre hombres y mujeres, sin diferencias estadísticamente significativas (Tabla 3).
Tabla 3: Frecuencias absolutas y relativas de hallazgos endodónticos en los dientes encontrados en las radiografías estudiadas
Un total de 1.590 dientes que tenían tratamiento endodóntico, se clasificaron según su estado: el 44,9 % de los dientes presentaron endodoncias en buen estado, mientras que aproximadamente la mitad de ellos se encontraron subobturados (52,7 %) y el 2,5 % sobreobturados. El 95.6 % de los dientes tratados endodónticamente, presentaban algún tipo de restauración.
Cuando se analizó la frecuencia de tratamientos endodónticos por el tipo de diente, se encontró mayor frecuencia en dientes del maxilar superior (69,1 %), siendo los más tratados los primeros molares superiores e inferiores en ambos maxilares y los centrales superiores (Gráficos 1 y 2).

Gráfico 1: Comportamiento del número de dientes con tratamiento endodóntico según el tipo, ubicados en maxilar superior.

Gráfico 2: Comportamiento del número de dientes con tratamiento endodóntico según el tipo, ubicados en maxilar inferior.
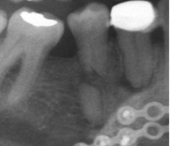
El análisis de la presencia de zona radiolúcida periapical, mostró que del total de dientes en boca, el 0,6 % de los que no tenían endodoncia tienen lesiones apicales mientras que el 11% de los que tienen endodoncia se asocian con una lesión apical (p<0,000000). Sin embargo el cálculo del OR (OR=0,047) mostró una relación negativa de riesgo entre tener una endodoncia y presentar lesión apical. De los 389 dientes en los que se observó el hallazgo compatible con radiolucidez periapical, 171 (44 %) tenían tratamiento endodóntico, de los cuales 66 % estaban subobturados, 31% bien obturados y 3% sobreobturados.
Respecto de la distribución por edades de los hallazgos endodónticos encontrados en los dientes, cuando se analizaron por grupo de edad y sexo, se encontró un comportamiento similar al de las radiografías, con un aumento progresivo de los hallazgos en la medida en que aumenta la edad de los individuos, sin que se observen diferencias significativas entre hombres y mujeres.
Discusión
El tratamiento endodóntico asociado con una rehabilitación de calidad permite mantener los dientes funcionales y la evaluación de los hallazgos endodónticos es un indicativo de acceso y calidad de los servicio de salud, para la preservación de los dientes en boca. Los hallazgos de este estudio aportan datos en lo referente a las patologías pulpares medidas a través de la imagen de tratamientos de conductos, y otros hallazgos radiográficos. Desde el último estudio de morbilidad oral en Colombia, la situación dental ha mejorado, pasando de un promedio de 21 a 27 dientes en boca, debido a cambios en los modelos de prevención y atención o mayor cuidado de la boca por estética.(Tabla 4)
Sin embargo, es evidente que la frecuencia de patología pulpar o su prevención, sigue siendo alta, ya que cerca de la mitad de la población examinada radiográficamente (48,1 %) presenta algún tipo de hallazgo relacionado a patología pulpar y 39,5 % es un tratamiento de conductos, con mayor frecuencia en las mujeres, aunque la prevalencia por dientes es del 5,4 %. Esto podría asociarse a la prevalencia de caries que en adultos jóvenes afecta a 47,79 % de los individuos de 18 años y aumenta a los 35 años a un 64,73 % y 61,11 % a los 65 años, al trauma dentoalveolar (17,2 %) en los adolescentes y a los requerimientos protésicos4.
Cada población difiere de acuerdo a los factores de riesgo, acceso a los servicios de salud, razones económicas o culturales; así en una muestra de 1.473 pacientes rusos, mayores de 15 años, se concluye que el 20 % de los dientes estudiados tienen un tratamiento endodóntico5, mientras que en Finlandia 27 % de la población tiene por lo menos una endodoncia6. La disminución en la necesidad de endodoncia, en todos los grupos de edad como en el caso sueco, evidencia el impacto de los programas de prevención de la salud oral de una población7. Encontrar más endodoncias realizadas significa una mejor posibilidad de mantener el diente en boca pero también porque hay mayor prevalencia de patología pulpar por cualquiera de las causas ya mencionadas.
De las radiografías con hallazgo de tratamiento endodóntico, el rango oscilaba entre de 1 a 18 endodoncias, y de las 376 (37,6 %) radiografías con tratamiento endodóntico, 325 (86,4 %) presentaban de 1 a 5 endodoncias, con un promedio de 3.5 endodoncias por paciente, valor que se considera alto cuando en otras poblaciones no supera de 2 tratamientos por paciente3. En una revisión sistemática de la literatura, se mostró que el 10 % de los dientes estudiados tienen endodoncia 3 mientras que en el grupo de la presente investigación solo el 4 % de los dientes la tiene. Estas cifras podrían ser consideradas bajas, en un medio donde la caries es de alta frecuencia y severidad en los adultos, lo que indicaría que muchos dientes son extraídos en vez de ser tratados y rehabilitados.
Los primeros molares son los que presentan mayor número de endodoncias, debido a estar sometidos a más riesgo de caries por estar más tiempo en boca; sin embargo los centrales superiores también tienen alta frecuencia de tratamientos de conductos tal vez por caries, aunque también podría estudiarse si es ocasionado por el trauma dentoalveolar durante la infancia y la adolescencia.
Del total de dientes estudiados, el 0.97 % en el 18,3 % de las radiografías, tiene asociada una lesión apical con tendencia a disminuir con la edad, a diferencia de otros reportes en los cuales pasa de una prevalencia del 50 % a los 50 años a una de 62 % a los 60 años y más8 o en Brasil con una prevalencia de lesiones del 7,87 %,9) lo que se explicaría aquí porque los pacientes prefieren la exodoncia a los retratamientos o las cirugías apicales. La presencia de lesiones apicales indica mayores necesidades de tratamiento puesto que se necesita rehacer la endodoncia o cirugías apicales, que pueden dar pronósticos desfavorables al diente tratado y aumentar los costos.
Las periodontitis apicales pueden ser un indicativo de falla en los tratamientos de endodoncia. Esto concuerda con estudios como el de Humomne y colaboradores6 que establece una clara relación entre la aparición de periodontitis apicales en dientes con tratamiento de conductos al compararlos con la periodontitis en los dientes no obturados. En dientes pilares para prótesis parcial fija se encuentra que el comportamiento es similar, el 46,5 % de las lesiones se asocia con aquellos endodónticamente tratados mientras que los que no han tenido endodoncia, este porcentaje se reduce al 25 % 10. De manera similar, Kabac y colaboradores5 muestran que el 12 % de los dientes tiene una lesión apical, asociadas en un 45% con dientes obturados. En población finlandesa, el 39 % se asocia con dientes que tienen periodontitis apical.
De Moor y colaboradores11 en un estudio en 4.617 dientes, encuentra 40,4 % con una lesión apical, que en su mayoría podrían ser clasificadas por estudio histopatológico como granulomas12, lo que se considera un factor de riesgo importante para la perdida dental (13, 14). Adicionalmente dada su etiología microbiana, están siendo asociadas con diabetes 15 y enfermedad cardiovascular 16.
Un hallazgo importante en este estudio fue encontrar que el 52,7 % de los dientes se consideraron subobturados, asociados en un 66% con lesiones apicales vs el 44.9 % en aquellos que estaban en límites de normalidad. Esto coincidiendo con De Moor y colaboradores 11 que encuentran que del 6,8 % de dientes que están obturados, el 56,6 % fueron considerados mal obturados. Un análisis utilizando tomografía de rayo de cono, mostró que el 23,04 % de dientes están mal obturados y en ellos el riesgo de tener una lesión apical aumenta en 4,38 veces17. Un estudio de Moreno y colaboradores18 mostró que el 51% de los dientes tratados, no presentaban patologías perirradiculares y solo el 33% se consideraron correctamente obturados.
La presencia de hallazgos compatibles con reabsorción externa se observó en 27 radiografías con alta variación entre género y edad. Se sabe que la reabsorción externa ha sido relacionada con varios factores, pero gran parte se debe a tratamientos ortodónticos siendo una condición irreversible y que afecta negativamente el pronóstico de los dientes19.
Las fracturas dentales se presentaron en baja frecuencia en el presente estudio, a pesar de ser consideradas por otros autores como un problema de salud pública por su alta prevalencia especialmente en niños y adolescentes, aunque la radiografía panorámica no permite estudios de gran precisión sobre este tema20.
Un tratamiento endodóntico debe buscar el mejor pronóstico para el diente a largo plazo y esto depende de la habilidad del operador tanto para el diagnóstico como para el tratamiento, tecnología y materiales utilizados, así como la posibilidad de restauración en busca de mantener el diente en óptimas condiciones.
Conclusiones
Los hallazgos endodónticos encontrados, permiten reconocer el impacto que la enfermedad pulpar ya sea derivada de la caries, el trauma o los tratamientos de mal pronóstico, tienen como factor de riesgo para la pérdida de dientes en los pacientes adultos de todos los grupos de edad con sus consecuencias estéticas y funcionales así como la necesidad de promover estrategias para la promoción de la salud oral en la población adulta.










texto en 






