Services on Demand
Journal
Article
Related links
Share
Odontoestomatología
On-line version ISSN 1688-9339
Odontoestomatología vol.13 no.18 Montevideo Dec. 2011
La enfermedad periodontal asociada al paciente con Síndrome de Down
Resumen:
El Síndrome de Down es una de las condiciones de discapacidad más comunes. Dentro de las patologías bucales más prevalentes, la enfermedad periodontal es una de las asociadas con este síndrome. Se considera que la persona con Síndrome de Down presenta una mayor susceptibilidad a contraer esta enfermedad. En este artículo se describen los factores etiológicos y las características clínicas de la enfermedad en pacientes portadores del síndrome.
Summary:
Down´s Syndrome is one of the most commons handicapped conditions. Within the most prevalent buccal problems in this kind of patients, the periodontal disease is one of the oral diseases associated to this syndrome. It is considered that the person with Down´s Syndrome have more susceptibility to contract this disease. In this paper the etiological factors and the clinical characteristics of the disease in patient with the syndrome are described.
Palabras clave: Enfermedad periodontal – Síndrome de Down
Key Words: Periodontal disease – Down’s Syndrome
Fecha recibido: 18.08.2011 - Fecha aceptado: 06.10.2011
(*) Profesor. Adjunto de. Cátedra de Odontopediatria F.O. UDELAR
(**) Asistente titular de Cátedra de Periodoncia F.O. UDELAR
Introducción
El Síndrome de Down es el desorden cromosomal más común, descripto por primera vez por Langdon Down en 1866. Se caracteriza por la combinación de retardo mental y varias malformaciones a nivel de órganos y tejidos. (1) La enfermedad periodontal es la más común de las patologías bucales asociadas con este síndrome (2-8). En 1960, Cohen y col fueron los primeros en reportar la marcada prevalencia de periodontitis en individuos jóvenes con Síndrome de Down (9). Posteriormente, muchas investigaciones mostraron que niños y adolescentes con Síndrome de Down desarrollaban gingivitis y periodontitis severas generalizadas. (10-15). En la actualidad es evidente que las personas con Síndrome de Down tienen una mayor susceptibilidad a contraer enfermedad periodontal, sin embargo no es clara la razón de ello (16). En el Workshop Internacional para la Clasificación de Enfermedades y Condiciones Periodontales llevado a cabo, en el año 1999, por la Asociación Americana de Periodoncia (AAP), se acordó una nueva clasificación donde la enfermedad periodontal en la persona con Síndrome de Down recibe una categorización especial figurando como “Periodontitis como manifestación de enfermedades sistémicas asociadas a desórdenes genéticos”. (17) En la actualidad se observa como las patologías orales tienen gran incidencia sobre la salud sistémica general, resaltando la importancia de la enfermedad periodontal. (18). Debido a la trascendencia del tema, el presente trabajo hace una revisión de cómo se ha desarrollado el estudio de esta enfermedad en relación con el síndrome, el modelo de comportamiento de ésta y los posibles factores etiopatogénicos.
Revisión
ASPECTOS CLÍNICOS
La enfermedad periodontal en niños con Síndrome de Down puede detectarse tempranamente.
Ya a los tres años hay signos clínicos inequívocos de la enfermedad avanzando tan velozmente, que puede ocasionar la pérdida de los incisivos caducos antes de los cinco años. (5). Con el aumento de la edad, aumenta la severidad de esta enfermedad y sus consecuencias. Las paradenciopatías son un factor importante que ayuda al proceso de pérdida precoz de los incisivos inferiores. El otro factor es el bruxismo, común en estos pacientes. (19). En pacientes adultos, se observa severa pérdida del hueso alveolar, movilidad dentaria y cálculo supra y subgingival. (5). Johnson y colaboradores observaron una evolución rápida de la enfermedad, llegando a estadios semejantes a la gingivitis ulcero necrotizante o enfermedad periodontal necrotizante en forma muy precoz. (20). Estudios más recientes muestran que la severidad de la enfermedad periodontal en estos pacientes es menor, pudiendo atribuirse a un mayor desempeño odontológico hacia ellos tanto en sus hogares como a nivel profesional. (21). La gravedad del cuadro periodontal no parece estar relacionada sólo a factores locales, como la pobre higiene bucal ya que otros pacientes con retardo intelectual similar al que se presenta en el Síndrome de Down, no muestran lesiones periodontales tan graves. (7, 16, 22). Shakellari y col (2005) compararon el estado periodontal y la microflora subgingival en niños, adolescentes y adultos con Síndrome de Down con un grupo de individuos sanos y otro grupo con parálisis cerebral. Como resultado se obtuvo que los pacientes con Síndrome de Down presentaron destrucción periodontal severa y temprana al igual que una mayor colonización de patógenos periodontales comparados con los grupos control. (23) No se puede demostrar, además, que factores locales, como la presencia de placa microbiana, sea más importante, que en otros pacientes en general, lo que probablemente esté relacionado a una respuesta desmedida en intensidad y extensión frente a un componente etiológico aparentemente menor. (10, 24, 25) Uno de los primeros estudios que clarifican el desarrollo de la enfermedad en el paciente con Síndrome de Down es el de Saxén y Aula (1997). Ellos comienzan un seguimiento para estudiar el grado de avance de la enfermedad periodontal no tratada en pacientes con Síndrome de Down. Los autores evaluaron ortopantomografías de pacientes portadores del síndrome, realizando el mismo estudio en un grupo de pacientes de edad similar con retardo mental, internados en la misma institución a fin de comparar los resultados. Se comparó el grado de reabsorción ósea relacionada con la enfermedad periodontal y se consideraron reabsorcio nes mayores a 5 mm. Los resultados fueron concluyentes: la prevalencia de enfermedad periodontal avanzada en pacientes con Síndrome de Down fue del 69%, mientras que en el grupo control de la misma edad fue del 20%. Los pacientes menores de 19 años con Síndrome de Down, presenta ban una media de 1,7% de los dientes afectados, siendo del 33,6% en los pacientes mayores de esa edad. El grado de higiene oral no explica, según los autores, las diferencias encontradas en la importancia de la patología periodontal observada entre los dos grupos. (26) Cinco años más tarde, en 1982, Saxén y Aula presentaron un estudio longitudinal de la misma población mediante la evaluación en ortopantomogra fías. La prevalencia de la enfermedad pasaba del 69 al 75% en el grupo de pacientes con Síndrome de Down, mientras que en el grupo control del 20% al 43%. El porcentaje de dientes afectados por la enfermedad fue del 25 al 47% en los pacientes con el síndrome. En el grupo control sólo se observaba un incremento del 2 al 7% de los dientes afectados. (27) Estos datos son corroborados por Weinstein y más tarde por Agholme y col. (1984, 1999) (28-29) La alta frecuencia de problemas periodontales que se destaca en los estudios epidemiológicos puede deberse a una susceptibilidad aumentada debida a una falla en los mecanismos autoinmunes. (30)
Modelo de Comportamiento de la enfermedad
La enfermedad periodontal en el Síndrome de Down se caracteriza por una instalación temprana generalizada la cual comienza en la dentición caduca y continúa en la dentición permanente, con la presencia de bolsas patológicas en un 36 % de niños con 6 años de edad.(21) El modelo de comportamiento de la enfermedad es muy particular. Comienza en general en la zona de los incisivos inferiores, después se extiende rápidamente a los incisivos superiores y luego a la región de los molares. (31) Las raíces de los incisivos inferiores de estos pacientes son generalmente cortas, (2) lo cual en combinación con la pérdida ósea en dicha área predispone a la pérdida prematura de estos dientes. No es extraño encontrar pacientes con Síndrome de Down, entre los 25 y 30 años, que han perdido gran parte de sus dientes por esta causa. (5, 8, 28, 30). Este modelo es similar al que se observa en el las periodontitis agresiva (8, 17), donde se estudia también una etiología exógena y endógena. En este tipo de cuadro se ha demostrado que la capacidad defensiva de los polimorfonucleares está sensiblemente alterada ocurriendo lo mismo en los pacientes con el Síndrome de Down donde las alteraciones inmunes están relacionadas a la función leucocitaria, responsable de los mecanismos defensivos en los tejidos periodontales. (30, 32-33). En cuanto a sus características clínicas, ambas entidades presentan similitud: En los cuadros agresivos la alteración de los tejidos periodontales ocurre en edades tempranas y puede afectar ambas denticiones, la cantidad de irritantes locales no se corresponde con el grado de destrucción periodontal, suele presentarse con defectos óseos verticales simétricos que afectan con mayor frecuencia los incisivos y los primeros molares, siendo estos signos característicos de la enfermedad periodontal. (17) En el Síndrome de Down se observan los mismos signos, detectándose graves lesiones en el sector de los incisivos inferiores. La periodontitis agresiva coexiste muchas veces con índices de caries bajos, similar a lo que ocurre en el Síndrome de Down. (10)
Factores etiopatogénicos de la enfermedad periodontal en el Síndrome de Down
El estudio de la etiopatogenia así como del desarrollo de la enfermedad periodontal en personas con Síndrome de Down permite identificar factores que agravan los cuadros clínicos y complican la prevención y el tratamiento de la patología. Estos factores no son exclusivos del síndrome, pero debido a su relación con las características distintivas que adquiere la enfermedad, tanto en precocidad, como la importancia de las lesiones y secuelas que ella deja, éstos han debido ser estudiados con mayor profundidad. Las investigaciones en este respecto han identificado diversos factores que se enumeran en el Cuadro 1.
A) Factores locales
1. HIGIENE ORAL
La higiene oral de estos pacientes es en general pobre y está relacionada con el retardo intelectual, la coordina ción motora defectuosa y el lugar de residencia ya que los pacientes institucionalizados presentan, en general, una pobre higiene oral. (34) Como factor local, la placa microbiana es muy importan te, pero se debe recordar que la expresión de la enfermedad no está en relación, en estos pacientes, con el índice de higiene oral. (35) En general, la enferme dad se presenta más grave de lo que se podría esperar para el mismo valor de índice de higiene oral en pacientes norma les. En especial cuando se compara el grado de enfermedad periodon tal en pacientes con retardo intelectual, se encuentra que dentro de la misma franja etaria, el paciente con Síndrome de Down tiene mejor higiene oral que otros pacientes con retardo mental no portadores de este síndrome, pero su condición periodontal es más grave. (36) (37) En cuanto a los depósitos de sarro no es de esperar que éste sea abundante, sin embargo se encontró que el 90,6% de 32 pacientes estudiados con edades comprendidas entre 15 y 39 años estaban libres de sarro, encontrándose gran cantidad en el grupo control integrado por pacientes sanos de igual edad (22) Sin embargo, los resultados de estudios de seguimiento clínico coinciden en que el tratamiento preventivo periódico en pacientes jóvenes es efectivo para disminuir el avance de esta enfermedad. (38) (39) (40)
2. MALOCLUSIÓN
Los niños con Síndrome de Down generalmente muestran alteraciones en sus funciones orales tales como protrusión de lengua, succión, masticación y deglución alterada debido a la hipotonía lingual y de los músculos peri orales así como falta de cierre de los labios. Tales alteraciones en sus funciones desencadenan oclusiones traumáticas las cuales junto al bruxismo (frecuente en ellos) (19, 41), favorecen la destrucción periodontal. (21) Es frecuente en estos pacientes las giroversiones dentarias, apiñamientos, mordida abierta anterior y mordida cruzada posterior, siendo (42) la maloclusión dental más frecuente la Clase III de Angle.
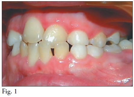
(43) En cuanto a la alineación dentaria, adquiere importancia como factor coadyuvante al desarrollo de la enfermedad periodontal ya que dificulta la higiene y ayuda a la retención de placa microbiana, factor desencadenante de la enfermedad periodontal. (Fig. 1)
3. MACROGLOSIA
Los pacientes portadores de Síndrome de Down presentan macroglosia absoluta o relativa, con una cavidad bucal pequeña, debido a un maxilar superior subdesarrollado con paladar estrecho, corto y profundo, lo que hace que la lengua sea protruida y la boca permanezca entreabierta. (19,44) Ésto, junto a la hipotoni cidad muscular, reduce la calidad de la autocli sis, permi tiendo la deposi ción de restos alimenti cios en las superficies dentarias, en espacios interdenta rios, márgenes gingivales y en el fondo de surco vestibular superio r. (Fig. 2)
4. RESPIRACIÓN BUCAL
Un 50 % de estos pacientes presentan obstrucciones a nivel de las vías respiratorias superiores (42) por lo cual la respira ción bucal es frecuente y esto perjudica directamente los tejidos gingivales. El pasaje de aire seca la superficie del tejido gengival, siendo capaz de mantene r una inflama ción crónica (21). (Fig. 3-4) Además, aproximadamente la mitad de ellos presentan apnea obstructiva del sueño (45) y su tratamiento mejora las condiciones de sequedad de las mucosas (46)
5. MORFOLOGÍA DENTARIA
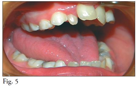
El Síndrome de Down está asociado con alteraciones en la morfología dentaria, las coronas son cortas y pequeñas (microdoncia) al igual que las raíces, presentando además frecuentemente raíces fusionadas tanto en molares superiores como inferiores (44, 47) lo que reduce la superfi cie del periodonto profundo favoreciendo la movilidad y la pérdida dentaria con reabsorciones óseas no tan avanzadas. (Fig. 5) En un grupo de 49 pacientes estudiados en Brasil, (2007) cuyas edades oscilaron entre 3 y 33 años se encontró que el Taurodontismo fue la anomalía dental más frecuente (85,71%), anodoncia en 34,69%, dientes cónicos en 14,28% y 2,04% presentó fusión y microdoncia (48)
6. PERFIL MICROBIOLÓGICO
La posibi lidad de que exista una debilidad específica frente a una bacteria especialmente virulenta explicaría, también, la precocidad y gravedad de las lesiones. Se detectó la presencia de bacteroides pigmentados en los márgenes gingivales de los dientes de un alto porcentaje de pacientes con Síndrome de Down (71%). También se observó que la prevalencia de P. gingivalis, B. forsythus, y P. intermedia es significativa en los pacientes que presentan cuadros periodontales. (7) Esta flora bacte riana especial mente patógena se aísla también del contenido de bolsas patológi cas en los cuadros periodontales agresivos. Esta hipótesis ayuda a explicar la rápida progresión de la enfermedad en estos pacientes. (49) Amano y col en el año 2001 tomaron muestras de placa subgingival de 67 adultos jóvenes con Síndrome de Down y 47 pacientes de igual rango de edad sanos sistémicamente con discapacidad mental. Se estudió en ambos grupos la prevalencia de 10 especies bacterianas periodontopáticas como el Aggregatibacter actinomycetemcomitans, Pophyromonas gingivalis y Tannerella forsythia entre otros. Como resultado se obtuvo que si bien los pacientes con Síndrome de Down desarrollaron una destrucción periodontal más temprana y extensa que el grupo control, no se encontraron diferencias signifi cativas entre los perfiles bacterianos de ambos grupos. Estos resultados sugirieron que la destrucción periodontal temprana y rápida que se encontró en los pacientes con el síndrome está principalmente dada por una mayor susceptibilidad del huesped a los microorganismos causantes (7). Varios estudios han mostrado que no existen patógenos periodontales específicos asociados a Síndrome de Down y que los microorganismos encontrados en estos pacientes son los mismos que se relacionan con la enfermedad periodontal (7, 49-53). Sin embargo P. gingivalis, Treponema denticola y Tannerella forsythia mostraron ser signifi cativamente más prevalentes en niños con Síndrome de Down comparados con un grupo control, sugiriendo que los patógenos periodontales colonizan a estos pacientes en etapas tempranas de la niñez. (52)
B) Factores sistémicos
1. FACTOR TISULAR ESTRUCTURAL
Una insuficiente circulación sanguínea, especialmente la capilar periférica, ayudará a explicar la gravedad de las lesiones y la aparición precoz de zonas gingivales necróti cas, usualmente localizadas en las papilas interden tarias y que le dan similitud al cuadro con la gingivitis ulcero necrotizante. A esto se le asocia la presencia de un defecto congénito a nivel de la zona media de la mandíbula. Este defecto daría lugar a una anomalía en la distribución y morfología de los capilares de la zona, que contribuiría a la acelera ción del proceso de reabsorción ósea en la misma y a la consecuente pérdida precoz de los incisivos inferiores. (24-25, 27, 50) Además, el proceso inflamatorio que se observa en los tejidos gingivales es acompañado por una hiperinervación de componente presumiblemente sensorial en contraste a la falta de cambios en la densidad de los marcadores neuronales relacionados con otros tipos de fibras nerviosas. La hiperinervación sensorial parece ser exclusiva de los pacientes con Síndrome de Down y puede contribuir a aumentar el grado de infl amación gingival. (54) A su vez el colágeno formado en los tejidos gingivales de estos pacientes tiende a ser inmaduro debido a un bloqueo metabólico en su maduración lo que podría ser un factor importante en la severidad de la enfermedad periodontal asociada con este síndrome. (31) Es interesante observar que el tejido gingival afectado trata de compensar su déficit defensivo, como lo mostró el análisis morfo-inmunohistoquímico de Lucarini y colaborado res en 1995. Observaron en el tejido afectado una gran cantidad de células de Langerhans y de formas querato quísti cas, que se agrupan en el intento de conformar una barrera tisular frente al avance microbiano. (50)
2. SISTEMA INMUNOLÓGICO
El inicio y progresión de la enfermedad periodontal depende en su mayor parte de la respuesta inmunológica del huesped frente a la agresión de bacterias periodontopáticas (55), por lo cual para explicar la susceptibilidad de estos pacientes a la enferme dad periodontal, se le prestó especial atención al estudio del sistema inmunológico del paciente con Síndrome de Down. Cuando se estudia el sistema inmunológico celular, se observa que los valores cuantitativos de leucocitos polimorfonucleares son normales. Sin embargo, existe un déficit funcio nal del polimorfonu clear neutrófilo y del monocito en su acción bactericida. Este déficit consiste principalmente en la reducción de la respuesta quimiotáctica, relacio nada con un defecto celular leucocitario (21). Este defecto en la quimiotaxis de los neutrófilos está correlacionado con la progresión de la periodontitis en general incluyendo a los pacientes con Síndrome de Down. (56) Otras funciones de los polimorfonucleares neutrófilos, aparen temente afectadas, son defectos en su adherencia (específicamente en la subunidad beta) y en la fagocito sis. (31) Se observó una menor capacidad bacterici da, por parte del polimorfonuclear neutrófilo, contra el Estafilococo aureo, la Esterichia coli y Candida albicans y en especial contra el Aggregatibacter actinomycetemcomitans (Aa). (21, 57,58) La función de los monocitos solo está afectada parcialmente, sus propiedades fagocíticas son normales, lo que se encuentra afectado es la opsonización (activación de la fagocitosis por acción de opsoninas). La sensibilidad de los monocitos hacia el interferón leucocítico es tres veces más grande en el Síndrome de Down que en los controles. In vitro se observa que esta sensibilidad está aumentada lo que difi culta la maduración de los monocitos a macrófagos. (59) El sistema inmunológico humoral también está afectado contribuyendo a disminuir la capacidad defensiva frente al componente microbiano patógeno y permitir la rápida progre sión de la enfermedad paradencial. Esto se asoció al hallazgo clínico de un timo más pequeño, con alteración linfoide y atrofia cortical en los portadores de Síndrome de Down. (33) El nivel hemático de inmunoglobulinas se reveló variable en diferentes épocas de la vida de la persona con el síndrome. En la pubertad se identifican bajos niveles de inmunoglobu lina A (IgA), inmuno glo bulina G (IgG) e inmunoglobulina M (IgM), mientras que la cantidad de inmunoglobulina D (IgD) está aumentada. En personas adultas la IgM se mantiene escasa, mientras que aumenta la IgA y la IgG. (29) Estas variaciones de los niveles de inmunoglobulina no son acompañadas por variaciones en el número de linfocitos B, por lo cual se debe presumir que la alteración en la respuesta humoral se debe a un defecto estructural del linfocito B. El mencionado defecto se corresponde con una redistribu ción y saturación de los sitios receptores en la membrana del linfocito B hacia las inmunoglobulinas. Estos cambios en los receptores de superficie son similares a los que ocurren con el envejecimiento siendo tal vez una manifestación más del proceso de envejecimiento precoz, frecuente en la persona con Síndrome de Down y relacionable con la enfermedad de Alzhei mer. (31) Si bien casi todos los autores están de acuerdo en que no existe una anomalía numérica en el recuento total de linfocitos B, la mayoría ha identifi cado menor número de linfocitos T y una subpoblación de células inmaduras. El daño en la maduración puede ser debido a la tensión y una subsiguiente sobrecarga del sistema inmune inmaduro, el principal defecto ocurre en el sistema dependiente del timo, donde se generan las células T siendo el mismo pequeño y deficiente en la producción de factores hormonales tímicos en las personas con Síndrome de Down. (60) Además, la actividad del linfocito T está alterada, existiendo una disloca ción en el sistema estímulo respues ta donde partici pan los linfocitos T. Los linfocitos T pueden ser divididos en auxiliares (helpers) y supresores. Son importantes en la regulación de las respuestas del sistema inmune relacionado con los mecanis mos de formación de anticuerpos contra antígenos del propio individuo y la generación de nuevos anticuerpos contra los anticuerpos-antígenos específi cos ya existentes. En el Síndrome de Down hay una inversión en el mecanismo de respuesta de las células T helpers-supresores, similar a la que se observa en el Síndrome de Inmuno Defi ciencia Adquiri do. Esto explica la excesiva gravedad de las lesiones perio dontales y su rápida progresión. (24, 36).
3. MEDIADORES INFLAMATORIOS Y ENZIMAS PROTEOLÍTICAS
Los patógenos periodontales estimulan a las células a liberar mediadores inflamatorios tales como Prostaglandina E2, metaloproteinasas y citoquinas como la IL1, IL6 y IL8 entre otras que desencadenan una respuesta inflamatoria a nivel del huésped. Se ha encontrado que los pacientes con Síndrome de Down presentan comúnmente una respuesta infl amatoria exagerada frente a la infección periodontal (61,62). Cabe destacar que la PGE juega un rol muy importante en la patogénesis de la enfermedad periodontal (55). Un estudio realizado por Barr et al. (1997) comparó los niveles de prostaglandina (PGE2) en el fluido crevicular en 15 niños con Síndrome de Down con un grupo control (63), encontrándose que el promedio de PGE2 fue signifi cativamente más alto en el grupo test . Similares resultados obtuvieron Otsuka y col. (2002) al estudiar la reacción de fibroblastos aislados, de pacientes con el síndrome encontrando un exceso en la producción de P6 E2 frente a la estimulación con liposacáridos producidos por Aggregatibacter actinomycetemcomitans. (64). Tsilingardis et al (1997) reportaron que la producción de metaloproteinasas de la matriz (MPP) era significativamente mayor en individuos con Síndrome de Down que en el grupo control (65). El hallazgo es muy importante teniendo en cuenta que las MPP comprenden una familia de enzimas proteolíticas que degradan la matriz extracelular en enfermedades inflamatorias crónicas como la periodontitis. (66) Estudiados los fibroblastos de estos pacientes, se encontró que liberan gran cantidad de IL 6 al ser
), lo cualestimulados por el Interferón (INTF
puede relacionarse con las pérdidas óseas avanzadas que estos pacientes presentan. (67). En un estudio reciente se analizó la asociación entre el polimorfismo de los genes de la IL1 y el estado de enfermedad periodontal de individuos con Síndrome de Down comparándolo con dos grupos control, uno con igual retardo intelectual y otro de pacientes sanos. Como resultados se obtuvieron que no existen diferencias estadísticamente significativas en la distribución del polimorfismo entre los tres grupos, sin embargo en el grupo Down el polimorfi smo genético se presentó inversamente asociado con la pérdida ósea periodontal. (68). Esta relación inversa se contradice con los resultados de estudios previos realizados en la población en general (69) por lo que los autores concluyen que en el Síndrome de Down las variaciones genéticas actuarían protegiéndolo contra la enfermedad periodontal, lo que sugiere que la patogénesis de la periodontitis es diferente en estos pa cientes.
4. FACTOR CONGÉNITO
Algunos autores indican la posibilidad de que exista un factor congénito, particular del síndrome, que explique la susceptibilidad de estas personas a la enfermedad. Esta última hipótesis que necesita mayor estudio, no está contemplada en este trabajo. (70)
Conclusiones
De lo estudiado hasta este momento surgen las siguientes conclu sio nes:
-
Una de las enfermedades bucales más prevalentes y que afectan notoriamente la calidad de vida de las personas con Síndrome de Down es la enfermedad periodontal.
-
El odontólogo y los servicios de salud comunitaria deben en forma prioritaria estudiar la implantación de programas preventivos e interceptivos de enfermedad periodontal aplicables en ellos y evaluar los resultados.
-
El estudio de la enfermedad periodontal en pacientes con Síndrome de Down debe ser específico, contando con todos los elementos para un diagnóstico completo, estudio clínico y radiográfico, así como análisis bacteriológico. Los estudios epidemiológicos deben centrarse en la enfermedad periodontal, para establecer o defi nir criterios o estrategias de tratamiento en el ámbito comunitario.
Esta susceptibilidad aumentada a la infección en el paciente con Síndrome de Down estaría dada por una alteración general que afecta la maduración celular, su capacidad defensiva y la respuesta inmunológica del organismo. Esto determinaría la progresión de la enfermedad periodontal, encontrándose como factor desencadenante el biofilm dental en conjunto con otros factores predisponentes o agravantes.
Referencias bibliográficas
-
Epstein CJ, Koremberg JR et al. Protocols to establish genotype-phenotype correlations in Down Syndrome. Am J Hum Genet 1991; 49:207-35
-
Brown R. H.; Cunninghan N W. M.: Some Dental Manifesta tions of Mongolism. Oral Surg., Oral Med. & Oral Pathol, 1961; 14; 664-665.
-
Kroll R.G.; Budnick J.; Kobren A.: Inciden-ce of Dental Caries and Periodontal Disease in Down`s Syndrome. N.J. State D.J. ; 1970 36:151-53.
-
Keyes DM. Study on the pathogenesis of destructive lesions with Down syndrome. J Clin Pediat. 1971: 10:711-718.
-
Zardo Coelho, C. R.; Loevy H. T.: Aspectos Odontológicos da Síndrome de Down. Ars Cvrandi em Odontologia: 1982 9:16-18.
-
Ulseth J. O.; Hestnes A.; Stovner L. J.; et al.: Dental Caries and Periodontitis in Persons with Down syndrome. Special Care in Dentistry, 1991; 11 (2): 71-73.
-
Amano A.; Kishima T.; Akiyama S.; et al.: Relationship of periodontopathic bacteria with early-onset periodontitis in Down’s syndrome. J Periodontol 2001 72(3):368-73.
-
Sasaki y.; Sumi Y.; Miyasaki Y.; et al.: Periodontal management of an adolescent with Down’s syndrome – a case report. Int J Paediatric Dent. 2004 14(2):127-35.
-
Cohen M, Winer RA et al Periodontal disease in a group of mentally subnormal children. J Dental Res 1960; 39:745.
-
Hannelore T.: Periodon tal Disease in Patients with Down`s Syndrome. Miniclinic CDS Review 1979; 23- 23.
-
Reuland Bosma W et al Periodontal disease in Down syndrome; a review. J Clin Periodontol 1986; 13: 64-73.
-
Barnett ML et al. The prevalence of periodontitis and dental caries in a Down syndrome population. J Periodontol 1986; 57:288-93
-
Modéer T, Barr M et al. Periodontal disease in children with Down syndrome. Scand J Dent Res 1990; 98:228-34.
-
Yohihara T, et al. Effect of periodic preventive care on the progression of periodontal disease in young adults with Down´s syndrome. J Clin Periodontol 2005; 32:556-60.
-
Archila LE, Descripción de la enfermedad periodontal en pacientes con Síndrome de Down de cuatro institutos de Santa Fe de Bogotá. Rev Odontol de la Universidad Del Bosque 1992:1-17.
-
Cichon P, Crawford L, Grimm WD.: Earlyonset periodontitis associated with Down’s syndrome—clinical interventional study. Ann Periodontol 1998; 3(1):370-80
-
Armitage G.C.: Desarrollo de un sistema de clasificación para enfermedades y condiciones periodontales. Ann. Periodontal 1999; 4: 1-6.
-
Williams R.C.; Offenbacher S.: Periodontal medicine: the emergence of a new branch of periodontology. Periodontol 2000. 2000 Jun; 23:9-12.
-
Asokan S, Muthu MS et al. OraL Finding Of Down Syndrome children in Chennai, India. Indian J Dent Res 2008; 19, 230-5.
-
Johnson H.; Young A.: Periodontal Disease in Mongols. Periodontal 1963: 34; 41-47
-
Amano A, Marakami J. et al Etiologic factors of early onset periodontal disease in Down Syndrome. Japanese Dent Science Rew. 2008 44, 118-127
-
Lopez Perez R y col. Oral hygiene, gingivitis and periodontitis in persons with Down syndrome. Spec Care dentist 2002 Nov-Dec 22(6) 214-20.
-
Sakellari D, et al. Periodontal conditions and subgingival microflora in Down syndrome patients. A case control study. J Clin Periodontol 2005 Jun32 (6): 684-90.
-
Weinstein R.; Carrassi A.; Donelli C.et al.: Condi zioni Paradontali in Pazienti aff etti da Trisomia 21: Rassegna Bibliografi ca. Mondo Odontostomatologico; 1984; 5:13-18.
-
Ahmed Khocht, DDS et al . Periodontal health in Down syndrome: Contributions of mental dishability, personal, and professional dental care.Spec Care Dentist 2010 30(3): 118-123.
-
Saxén L.; Aula S.; Westermack T.:Pe riodontal Disease Associated with Down`s Syndrome: An Orthopantomo graphic Evaluation. J. Periodontol. 1997; 48 (6), 337-340.
-
Saxén L.; Aula A S.: Periodontal Bone Loss in Patients with Down’s Syndrome: A follow up Study. J. Periodontal. 1982; 3:.53-56.1
-
Weinstein R.; Strohmenger L.; Donelli C.: Patologia Dento Parodontale in un Gruppo do Soggetti Adulti Affetti da Sindrome di down. Mondo Odontostomatologico. 1984; 5: 23-25.
-
Agholme MB, Dahllof G, Modeer T.: Chan-ges of periodontal status in patients with Down syndrome during a 7-year period. Eur J Oral Sci 1999 107(2):82-8.
-
Barr-Agholme M, Dahllof G, Modeer T, et al.: Periodontal conditions and salivary immunoglobulin’s in individuals with Down syndrome. J Periodontol 1998; 69(10):1119-23
-
Diaz Rosas L, Lopez Morales PM. Revisión de los aspectos inmunológicos de la enfermedad periodontal en pacientes pediátricos con Síndrome de Down. Rev. ADM 2006 vol. LXIII Nº 4 Jul/Ag 125-31.
-
Zaldivar-Chiapa RM, Arce Mendoza AY et al. Evaluation of surgical and non-surgical periodontal therapies, and immunological status, of young Downs’s syndrome patients. J Periodontol 2005; 76:1061-32.
-
Yavuzilmaz E.; Ersoy F.; Sanal O.; et al.: Neutrophil Chemotaxis and Periodontal Status in Down’s syndrome patients. J. Nihon Univ Sch Dent. 1993; 35: 91-95.
-
Kumar S, Sharma J et al. Determinants for oral hygiene and periodontal status among mentally disabled children and adolescents. J. of Indian Society of Pedodontics and Prev. Dentistry. 2009:27(3) 151-157.
- Lopez P et al. Gingivitis en una comunidad infantil mexicana con trisomía 21. División de estudios de Postgrado e investigación. F.O. UNAM 2000, 11:5-13
-
Ruiz M.; Moreu G.; Romero M.: Destrucción Periodontal en el Síndrome de Down y en la Periodontitis Juvenil. Rev. Europea de Odonto-estomatología 1994; 6(5): 13-16.
- Vigild M.: Periodontal Conditions in Mentally Retarded Children. Conmunity Dent Oral Epidemiol 1985; 13: 180-182.
-
Orner G. Periodontal Disease among children with Downs Syndrome and their siblings. J Dental Res 1976 September-October :55(5):778-782.
- Takanobu Morinushi, Denis Lopatin et al. A comparison of the gingival health of children with Down syndrome to Healthy children residing in an institution. Spec Care Dentist 2006 26(1), 13-19.
-
Cogulu D Sabah E et al. Genotyping of streptococcus mutans by using arbitrarily primed polymerase chain reaction in children whith Down syndrome. Archives of oral Biology 2006. 51. 177-82.
- Santangelo CN, Gomez DP.Avaliacao das características bucais de pacientes portadores de Síndrome de Down da APAE de Mogi das Cruces-SP. 2008 ConScientiae Saude :7 (1) 29-34.
-
Bandeira T, Pereira V y col. Síndrome de Down, Aspectos gerais e odontológicos. 2004. Ci. Med Biol., Salvador v3 nº2 252-260.
- Morales Chavez M, Naukart Z. Prevalencia de maloclusiones en pacientes con Síndrome de Down. Oral revista. 2009 ; 10 ( 32) 537-539.
-
Desai SS. Down syndrome. A review of the literature. Oral Surge Oral Med Oral Pathol Oral Radiol endod. 1997 184: 297-85.
- Waldman HB, Hasan FM, Perlman S.Down Syndrome and sleep-Disordered breathing. J Am Dent Assoc , 2009 vol 140 N 3 , 307;312.
-
Sato K, Shirakawa T, et al .Effects of oral care in Down syndrome children with obstructive sleep apnea. J of Oral Cience, 2010 :52 (1), 145-147.
- Bagic I et al. Periodontal conditions in individuals with Down syndrome. Coll Antropol 2003: 27 suple 2 75-82.
-
Moraes, Mari Eli Leonelli de, Moraes , Luis Cesar de, et al. Dental anomalies in patients with Down syndrome. Braz. Dent J 2007:18(4):346-350.
- López López J.; Rosello Llambres X.: Síndrome de Down y enfermedad periodontal; Estudio Clínico. Revista Europea de Odonto-Estomatología 1995; 7(2)11-13.
-
Lucarini G.; Biagini G.; et al, Lesioni Gengivali in corso di Paradon topatia in pazienti con Sindrome di Down. Dental Cadmos 1995; 12; 82-89.
- Reuland -Bosma W, Van Der Reijden WA, Van Winkelhoff AJ.: Absence of a specifi c subgingival microflora in adults with Down’s syndrome. J Clin Periodontol 2001 28(11):1004-946.
-
Amano A Kishima T et al. Periodontopathic bacteria in children whit Down syndrome. J Periodontol 2000 28: 1004-9.
- Hanookai D, et al . Herpes viruses and periodontopathic bacteria in trisonomy 21 periodontitis. J periodontol 2000; 71 : 376-84.
-
Barr-Agholme M, Modeer T, Luthman J.: Immunohistological study of neuronal markers in inflamed gingiva obtained from children with Down’s syndrome. J Clin Periodontol. 1991 18(8):624-33.
- Lindhe J, Lang N et al. Periodontología Clínica e Implantología Odontológica .Ed. Panamericana 5ª Edición.
-
Izumi Y et al. Defective neutrophil chemotaxis in Down syndrome patients and its relationship to periodontal destruction. J Periodontol 1989:60:238-42.
- Sreedevi H, Munshi AK.: Neutrophil chemotaxis in Down syndrome and normal children to Actinobacillus actinomycetemcomitans. J Clin Pediatr Dent 1998 22(2):141-6
-
Nicolo M.; Bucci P.: Paradon titi Associate a Malattie Sistemiche con Defi cit Qualitativo della Funzione Fagocita ria. Minerva Stomatologica 1989; 38 (8): 905-909.
- Hodge D, Michalowicz B .Genetic predisposition to periodontitis in children and young adults. Periodontol 2000 2001;26 :113-114
-
Nancy J. Down síndrome and associated medical disorders. Research Reviews 1996;
2: 85-89. -
Teng YT. Protective and destructive immunity in the periodontium : part 1- innate and humoral immunity and the periodontum. J Dent Res 2006; 85: 198-208.
-
Idivar-Chiapa RM et al. Evaluation and surgical and non-surgical periodontal therapies and immunological status of young Down syndrome patients. J Periodontol 2005 ; 76: 1061-5.
-
Barr AM, et al. Prostaglandin E2 level in gingival crevicular fluid from patients with Down syndrome. Acta Odontol Scand 1997; 55: 101-105.
-
Otsuka Y, Ito M, Yamaguchi M, Saito S, et al.; Enhancement of lipopolysaccharide-stimulated cyclooxygenase-2 mRNA expression and prostaglandin E2 production in gingival fibroblasts from individuals with Down syndrome. Mech Ageing Dev. 2002 31(6):663-74.
- Tsilingardis G et al. Enhanced levels of prostaglandin E2, leukotriene B4, and matrix metalloproteinase-9 in gingival crevicular fl uid from patients with Down Syndrome Acta Odont Scand 1997: 55: 101-5.
-
Page RC. The role of infl ammatory mediators in the pathogenesis of periodontal disease. J Periodont Res 1991; 26: 230-42.
- Iwamoto T, Yamada A et al. Infl uences of interferon-gamma on cell proliferation and interleukin-6 production in Down syndrome derived fibroblasts.Archives of oral biology 2009: 54 963-969.
-
Duque A, Herrera AM et al. Polimorfi smo de IL1 como marcador genético de enfermedad periodontal. Revista CES Odontología 2007:20(1) 51 -58.
- Khocht A, Heaney K et al. Association of interleukin-1 polymorphisms with periodontitis in Down syndrome. J of Oral Science 2011:53(2) 193-202.
-
Cavalcante LB, Pires JR, Scarel-Caminaga RM. Doenca Periodontal em individuos con syndrome de Down: Enfoque genetico. 2009 oct-dec. :57, (4) 449-453.

















