Servicios Personalizados
Revista
Articulo
Links relacionados
Compartir
Odontoestomatología
versión On-line ISSN 1688-9339
Odontoestomatología vol.11 no.13 Montevideo nov. 2009
Diagnóstico y tratamiento de lesiones cariosas incipientes en caras oclusales
Dra. Verónica Cueto Rostom*
Resumen
Las fosas y fisuras continúan siendo las áreas más vulnerables al desarrollo de las lesiones cariosas. A diferencia de las lesiones cariosas de superficies lisas, el desarrollo de las mismas en las superficies oclusales es menos susceptible a la acción de los fluoruros. Por otra parte el diagnóstico de caries en superficies oclusales se está tornando cada vez más difícil ya que ocurren cambios en el patrón de estas lesiones debido al uso del fluoruro. El esmalte se observa intacto debido a su remineralización superficial, pero dicha remineralización no alcanza a la dentina. Los clínicos disponen hoy en día de una amplia gama de opciones terapéuticas a su disposición para el manejo de lesiones oclusales. La selección del tipo de tratamiento debe basarse en el diagnóstico. La precisión de este diagnóstico es crucial, a fin de poder distinguir lesiones que pueden ser tratadas por métodos no invasivos de aquellas que justificarían un tratamiento restaurador.
El objetivo de este trabajo es describir y evaluar varios métodos de diagnóstico de lesiones cariosas oclusales, así como también distintas opciones terapéuticas para las mismas.
Abstract
Pits and fissure are still the most liable areas to suffer tooth decay. Unlike caries lesions in smooth areas, the development of caries in oclussal surfaces is less susceptible to fluoride action. Besides, tooth decay diagnosis in oclussal surfaces is becoming more difficult due to changes that occur in the patter of these lesions because of the use of fluoride. Enamel appears undamaged due to superficial remineralization, but such remineralization does not reach the dentine. Dentists have nowadays, a wide range of therapeutic options to handle occlusal lesions. Choosing the kind of treatment should be based on the diagnosis, and the accuracy of this diagnosis is of great importance: it is crucial to distinguish lesions that could be treated by non invasive methods from those that would justify a restorative treatment.
On this essay, several oclussal caries lesions methods will be described, as well as different therapeutic options.
* Asistente Titular. Cátedra Operatoria Dental 1º. Facultad de Odontología. UDELAR.
Palabras clave: lesiones oclusales incipientes, métodos de diagnóstico, tratamiento de lesiones incipientes.
Key words: early occlusal lesions, diagnosis methods, early lesions treatment.
Fecha recibido: 16.04.09
Fecha aceptado: 27.07.09
Introducción
Por sus características morfológicas, las fosas y fisuras de las piezas dentarias, son las áreas más susceptibles a las lesiones cariosas. La configuración anatómica anfractuosa de las superficies oclusales, contribuye a su inicio y progresión. Las fisuras oclusales presentan diversas formas. En un mismo diente, una fisura puede variar su morfología a lo largo de todo su trayecto.
El suministro de flúor en las últimas décadas, en sus diferentes formas, ha contribuido de manera importante al descenso de la prevalencia de caries, especialmente a expensas de la disminución de las
lesiones de superficies lisas. Sin embargo, el sistema de surcos y fosas muestra un comportamiento especial. El diagnóstico precoz de las lesiones oclusales representa un desafío para
el clínico, ya que es imprescindible considerar los cambios en el patrón de desmineralización que presenta muchas veces una superficie adamantina intacta debido a la acción del flúor, simultáneamente con dentina subyacente dañada pues su acceso a la zona se ve dificultado por la presencia del esmalte (1).
Amenudo estas lesiones son de difícil detección en su estadío más temprano, ya que histológicamente la desmineralización inicial (mancha blanca) se forma bilateralmente en las paredes de la fisura, haciéndose prácticamente imperceptible. Sin embargo en ocasiones se logra observar una opacidad alrededor de la misma con pérdida de la translucidez normal del esmalte, en contraste con la estructura dental sana que la rodea. El esmalte en esta zona pierde brillo y se torna ligeramente poroso. Frecuentemente se observa una pigmentación en el fondo del surco, que puede confundirse con pigmentación exógena(2).
Revisión
Diagnóstico de lesiones incipientes en caras oclusales.
Un correcto diagnóstico, para diferenciar lesiones que pueden ser tratadas por métodos no invasivos de aquellas que justificarían un tratamiento restaurador, resulta crucial (3). Para ello, el diagnóstico temprano de las lesiones cariosas oclusales representa un gran desafío. Cuando las lesiones cariosas están cavitadas es fácil detectarlas clínicamente (4). Sin embargo en etapas anteriores la tarea se hace difícil. El diagnóstico precoz de lesiones incipientes es relevante para evitar el progreso de la enfermedad con la consecuente pérdida de estructura dentaria y posibilitar la indicación de tratamientos no invasivos (5). Un diagnóstico incorrecto implica una decisión de tratamiento inadecuado y muchas veces irreversible (1). Frente a una lesión incipiente, podrán ser suficientes las medidas preventivas combinadas con controles periódicos, o se deberá actuar de forma invasiva, según la valoración de cada caso (6).
El proceso de desarrollo de la lesión cariosa presenta un largo período latente, de meses a años, desde las primeras modificaciones que son bioquímicas, hasta ser reconocida por los signos clínicos: la progresión se hace lentamente pudiendo incluso ser detenida o revertida mediante el uso de medidas preventivas. Una vez comprendida esta capacidad de reversibilidad, la filosofía de tratamiento sufrió una evolución, que sustituyó el diagnóstico precoz y la restauración inmediata, por el diagnóstico precoz y el tratamiento no invasivo (7).
En la actualidad existen varios métodos clínicos y paraclínicos para la detección de lesiones cariosas:
Método de inspección visual. Es el método más utilizado por el odontólogo clínico. Para favorecer su eficacia se recomienda la ayuda complementaria de instrumentos ópticos de amplificación visual. Se han incorporado como medio de inspección visual las cámaras digitales diseñadas para uso intraoral. Muchas de ellas permiten registrar imágenes, circunstancia que facilita la monitorización de la evolución de las lesiones.
Los requisitos para la inspección visual son: diente limpio, libre de placa microbiana, la superficie seca y con buena iluminación (1,3,5).
Las lesiones de fosas y fisuras a menudo son difíciles de detectar en su estadío más temprano, ya que histológicamente la desmineralización inicial (mancha blanca) se forma bilateralmente en las
paredes de la fisura, siendo prácticamente imperceptible para el clínico. Sin embargo a veces se logra observar una opacidad alrededor de la fisura, con pérdida de la translucidez normal del esmalte, revelando un contraste con la estructura dental sana que la rodea. El esmalte en esta zona pierde brillo y se torna ligeramente poroso.
Frecuentemente se puede observar una pigmentación en el fondo de la fisura, que puede confundirse con pigmentación exógena. Por otro lado a veces se observa el esmalte intacto debido a que el uso de fluoruros deriva en su remineralización superficial, pero ésta no alcanza la dentina. En tales casos se hace imprescindible la ayuda radiográfica.
El cambio de color de fosas y fisuras limitado a la profundidad de la propia fosa o fisura es un hallazgo casi constante en los dientes sanos y normales de los adultos.( Fig. 1)
Considerando que durante la remineralización algunos pigmentos exógenos son incorporados en el esmalte, los surcos pigmentados como resultado del proceso de control de caries tornan más ácidoresistente al esmalte dental. Por tal razón, como hallazgo aislado no constituye indicación suficiente para establecer un diagnóstico de caries (7). Si bien, las fisuras no teñidas son un buen signo
de ausencia de lesión cariosa, en oportunidades, se puede apreciar un halo opaco a los lados de la fisura que constituye la exteriorización clínica de la desmineralización de sus paredes en su aspecto interno (2,8). Estas opacidades en la región de las fisuras son una buena herramienta para reconocer la caries debajo de superficies aparentemente intactas (9). La opacidad en el esmalte es más relevante en el diagnóstico de caries que la pigmentación de los surcos (8) ( Fig. 2).

La inspección visual puede ser considerada un método adecuado de diagnóstico de lesiones cariosas oclusales incipientes (1,3). La valoración primaria de una lesión incipiente debería permitir la determinación de actividad de caries. A pesar que las lesiones de estas características pueden detenerse, si se trata la enfermedad como una infección, aún hoy el problema sigue siendo de difícil solución pues, basado sólo en evidencias clínicas, el odontólogo no es capaz de distinguir entre lesiones activas y detenidas. Para ayudar en tan difícil decisión, se debería incluir en el diagnóstico la experiencia anterior de caries, los hábitos dietarios, la cantidad y composición salival, la relación ingesta / higiene, enfermedades sistémicas, la morfología dentaria, y la exposición a fluoruros (1,3,8).
Si bien las condiciones para un método de inspección visual comprenden campo operatorio limpio, seco, bien iluminado y con magnificación, algunos autores proponen una inspección visual inicial que permita detectar las condiciones periodontales e higiénicas con las que el paciente llega a la consulta. Si se aprecia placa cariogénica (pegajosa, espesa y bien adherida) aunque no existan cavidades todavía, esto indica que existe infección bacteriana con lesiones posiblemente microscópicas y subclínicas. Muchos pacientes higienizan sus dientes antes de la consulta dental eliminando esta fuerte evidencia clínica, aunque, el sangrado gingival indica la presencia de inflamación mediada por placa. Luego de la profilaxis con pómez, el secado y la iluminación de la superficie oclusal, otra inspección visual debe ser realizada. Se apreciará en caso de lesiones cariosas, en primera instancia, la base de la fisura oscura y sus paredes de aspecto tizoso o lechoso, luego se observa si la zona presenta o no cavidad (8, 10).
Método de inspección táctil
Hasta la década de los 80 la mayoría de odontólogos empleaba este método interpretando como presencia de caries la retención del explorador en una fosa o fisura. En la actualidad este procedimiento ha perdido vigencia; y se contraindica su uso debido a cinco razones:
1- En su etapa inicial la desmineralización afecta a la subsuperficie, mientras que la superficie permanece indemne y por ende no es capaz de retener el explorador.
2- En una pieza que presenta una lesión cavitada visible, dicha retención a menudo no es posible, porque el diámetro de la punta de los exploradores aún los más delgados no llegan a penetrar dentro de la fisura.
3- Su aplicación en zonas desmineralizadas pero aún no cavitadas, conlleva el riesgo de fracturar la superficie del esmalte invalidando la posibilidad de una remineralización.
4- Su empleo en todas y cada una de las fosas y fisuras puede acarrear el transporte de bacterias cariogénicas de un diente con lesión cariosa a una pieza sana (2, 5, 8 ,9).
5- El atrapamiento mecánico de un explorador en una fosa puede deberse a otras causas como: la forma de la fisura, la punta muy afilada del explorador y la fuerza de aplicación. En suma, el atrapamiento de la punta del explorador no constituye suficiente evidencia para establecer un diagnóstico y en muchos casos puede ser inconveniente.
Método radiográfico
El examen radiográfico suele ser un complemento importante al método de inspección visual, debido a que clínicamente muy a menudo se subestiman lesiones profundas. Sin embargo la anatomía de los dientes posteriores con grandes volúmenes de esmalte cubriendo las cúspides puede enmascarar lesiones incipientes (3,9).
Para Thylstrup el examen radiográfico de caries incipientes de superficies oclusales tiene poco valor ya que sólo se podrían diagnosticar las caries cavitadas o con existencia de afectación dentinaria (7).
Sin embargo permiten evaluar la progresión de la lesión. Se dice que los exámenes radiográficos son un complemento debido a que las radiografías muestran desmineralización presente o no, pero lo realmente importante en el diagnóstico es determinar la actividad de esas lesiones (10). No obstante cuando histológicamente la lesión de caries involucra sólo la mitad del espesor del esmalte usualmente no se puede detectar la lesión con la radiografía, debido a que la profundidad de la lesión desde el punto de vista histológico es más avanzada que su apariencia radiográfica. Por lo expuesto, si bien no se recomienda la radiografía coronal para el diagnóstico de lesiones incipientes, es una buena alternativa para determinar la progresión de la lesión después de una terapia de remineralización en una etapa de evaluación (3, 10).
Concomitantemente, Pitts (1) en 1990 afirmó la dificultad que existe de identificar lesiones de caries que involucran tejido dentinario, por el método de inspección visual. Por eso el autor aconseja el uso de radiografías interproximales como complemento en el diagnóstico en la determinación de lesiones que comprometen la dentina, justamente cuando se requiere de tratamientos invasivos (Figs.3, 4 y 5).
Figs. 3, 4 y 5. Se aprecia una lesión cariosa aparentemente incipiente en la pieza 37. En la radiografia se visualiza gran afectación dentinaria, que se correlaciona con la clínica una vez realizada la apertura.
Desde que la “caries oculta” (extensa desmineralización en dentina con aparente superficie del esmalte intacta) se ha incrementado, el diagnóstico de caries oclusales se ha vuelto más complejo y el uso de exámenes radiográficos más frecuente. En las radiografías las lesiones cariosas aparecen como una línea radiolúcida que atraviesa el esmalte desde el fondo de la fisura y puede extenderse difusamente debajo de la dentina. Sin embargo existe una tendencia a visualizar zonas de radiolucidez en estas áreas, incluso cuando no existen lesiones dentinarias. Éste es un fenómeno en la percepción que resulta por el contraste entre áreas claras y oscuras como se aprecia a lo largo del limite amelodentinario. De acuerdo con Van Amerongen y col. (8) si esta radiolucidez se extiende 0.5mm más allá del límite amelodentinario se puede considerar que la lesión involucra la dentina. Por otro lado es difícil encontrar evidencias radiográficas de lesiones adamantinas debido a la superposición de estructuras mineralizadas en una imagen bidimensional, lo que determina que autores sugieran el uso de este método de apoyo a la clínica sólo en casos en que sea difícil determinar si la dentina está involucrada en la evolución de la lesión (1, 9).
El examen radiográfico retroalveolar periapical interproximal convencional, es considerado como método auxiliar relevante en el diagnóstico de caries oclusal; en contrapartida no presenta sensibilidad para las lesiones incipientes, donde solamente el 33% de las lesiones en dentina superficial fueron evidenciadas en la radiografía retroalveolar en dientes posteriores, pero son 100% eficaces si las lesiones son profundas. Campos y Cordeiro revelaron que los exámenes visual y radiográfico pueden ser considerados suficientes para la detección precoz y rutinaria de lesiones cariosas, si son criteriosamente realizados (1).
Para autores como Weerheijm (5) la radiografía retroalveolar debe ser siempre utilizada, incluso en pacientes de bajo riesgo a fin de detectar lesiones ocultas, lo que justifica la realización periódica de exámenes radiográficos interproximales asociados al examen clínico.
Wenzel (7) considera que la radiografía es un método válido para el diagnóstico de caries de superficies oclusales sin cavitación pero con afectación dentinaria. La radiografía digital entra en este nuevo contexto por la menor exposición a los rayos ionizantes y principalmente por las facilidades tecnológicas de manipulación de la imagen ofrecidas por estos equipamientos (5, 11).
Los métodos descriptos anteriormente son los más conocidos, económicos y utilizados por la mayoría de los odontólogos. Sin embargo tomando en cuenta la dificultad de diagnóstico de las lesiones incipientes, se han desarrollado una serie de métodos que facilitan su detección. Se expondrán algunos de ellos.
Método de transiluminación
Se fundamenta en el distinto comportamiento que presenta a la luz transmitida el tejido dentario sano y el afectado por caries: una lesión de caries absorbe y dispersa mayor cantidad de luz que la superficie adyacente sana, debido a que su estructura se vuelve mucho más porosa, al desmineralizarse. En consecuencia la lesión cariosa aparecerá como un área oscura, en contraste con la imagen clara y brillante de la estructura dental sana que la circunda. Su implementación más simple se realiza iluminando la pieza dental con el reflejo de la luz de la unidad dental sobre la superficie dentaria con la ayuda del espejo bucal. En la actualidad se dispone de algunos equipos que permiten utilizar este método de diagnóstico de caries con mayor precisión. La transiluminación por fibra óptica (FOTI) es un método práctico para el diagnóstico en el que la luz visible es enviada por una fibra óptica al diente. La luz se propaga desde la fibra a través del tejido dentario hasta la superficie opuesta (2, 9).
Método de conductividad eléctrica
Cuando una pieza dentaria tiene una lesión de caries, se vuelve porosa y los poros son ocupados por saliva (electrólito), con un consiguiente aumento de la conductividad eléctrica en ese nivel. Como consecuencia de una gran desmineralización dentaria se observa un incremento en la conductividad eléctrica directamente proporcional al deterioro dental, aún cuando la superficie aparezca aparentemente intacta. El sistema más conocido para medir la resistencia eléctrica fue desarrollado por Swada. El instrumento que se comercializa como Caries Meter-L- emplea ondas de 400hz y utiliza dos electródos, uno de los cuales se coloca sobre la lesión de caries y el otro sobre el carrillo del paciente. Consta además de un indicador de las distintas situaciones clínicas registrables, a través de luces de 4 colores: verde indica lesión ausente, amarillo sugiere la observación y el control de la lesión o la aplicación de un sellante, anaranjado requiere restauración debido a que la lesión se extiende a dentina y la luz roja indica que la pulpa debe ser extirpada pues la lesión ha alcanzado el tejido pulpar. Para su utilización se requiere secar la pieza dentaria y luego humedecerla con solución salina para facilitar la conductividad. Sus valores de sensibilidad son mayores a los de la inspección visual y el examen radiográfico (6,7).
Métodos de láser
Fueron creados para ayudar a diagnosticar lesiones adamantinas incipientes. Se sustentan en la fluorescencia de la superficie cariada, que se genera cuando se la ilumina con un láser: el grado con el que fluorece indica la extensión alcanzada por la lesión. La longitud de onda de la luz empleada es tal que el esmalte sano muestra una mínima fluorescencia, cuando no nula. No obstante, aún no ha sido establecido el mecanismo por el cual la fluorescencia aumenta en presencia de caries, se presupone que es por la integración de los metabolitos bacterianos, más que por la desintegración de los cristales del esmalte (2). El aparato de láser Diagnodent de la firma Kavo permite un mejor diagnóstico de las lesiones cariosas que los métodos convencionales (10). Este aparato detecta más fácilmente lesiones
cariosas incipientes que no podrían ser detectadas mediante las radiografías. También se ha utilizado el láser exitosamente para cuantificar el grado de remineralización de lesiones incipientes de esmalte en terapias con fluoruros (9, 12).
Opciones terapéuticas
En la actualidad existe una tendencia a seleccionar la técnica más conservadora, para ahorrar la mayor cantidad de tejido sano. El tratamiento ha sufrido una evolución sustituyendo el diagnóstico
precoz y la restauración inmediata; por el diagnóstico precoz y el tratamiento no invasivo (6).
La intervención invasiva se trata de evitar siempre que las características clínicas de las lesiones lo permitan. Una importante razón que justifica este accionar es que la implementación de un tratamiento no invasivo es capaz de detener la lesión. Otra razón que avala el posponer el tratamiento restaurador es que la decisión de restaurar un diente es el comienzo de un ciclo restaurador en el que las restauraciones serán reemplazadas varias veces a lo largo de la vida del individuo (13).
Sin embargo el odontólogo clínico se confronta diariamente con lesiones cariosas ya cavitadas que no pueden ser tratadas por métodos no invasivos, debido a que si la superficie está cavitada es
imposible remover efectivamente la placa dental; la cavidad necesita ser obturada primero para facilitar el control de placa bacteriana. Otras razones para realizar un tratamiento restaurador son: que el diente se encuentre sensible al calor, frío y dulces; que la función se vea impedida; razones estéticas y que intentos previos por detener la lesión no hayan funcionado, existiendo evidencia clínica que la lesión está progresando (esto requiere de un período de observación de meses o años) (13).
Los clínicos tienen hoy en día una amplia gama de opciones terapéuticas a su disposición para el manejo de las caries oclusales. La selección del tipo de tratamiento está basada en el diagnóstico, y la precisión en este diagnóstico es de suma importancia. El abordaje restaurador se justifica cuando la lesión oclusal llegó a la dentina. Existe una opinión general que la caries dentinaria debe ser tratada por métodos invasivos. (3, 6, 7, 14). Las restauraciones deben considerarse como parte de una estrategia local de tratamiento para facilitar el control de placa, para devolver forma y función
perdidas. Cuando las lesiones penetran en la dentina, contienen muchos microorganismos y pueden ser consideradas como activas, debido a que es imposible remover la placa dentro de la cavitación (15). La tradicional odontología restauradora es la peor alternativa que se puede utilizar para el tratamiento de caries oclusales incipientes. Existe evidencia que la longevidad de muchas restauraciones es corta, y la caries secundaria puede ocurrir en la interfaz dienterestauración.
La creencia que la caries dental puede ser tratada efectivamente mediante la restauración dentaria es un error. La decisión de realizar un tratamiento invasivo sobre un diente puede ser apropiada sólo si al mismo tiempo se trata la enfermedad caries dental. Las fisuras sanas o con lesiones detenidas no requieren de ningún tratamiento específico. Incluso las lesiones detenidas tienen mayor grado de resistencia a la desmineralización que áreas intactas. Sin embargo cuando existen lesiones cariosas activas que involucran el esmalte, las técnicas no invasivas son necesarias para detener el progreso de la lesión.
Los procedimientos no invasivos incluyen: enseñanza de técnicas de higiene oral, control dietario, uso doméstico y profesional de agentes fluorados y el uso de sellantes de fosas y fisuras.
Otra técnica muy utilizada por los clínicos es “watchful waiting” (vigilar y esperar) o reevaluar en el próximo control. Esta técnica puede ser combinada con el suministro de flúor domiciliario o de aplicación profesional, o consejo dietario, dando la oportunidad para que las lesiones se remineralicen y se detengan (3).
Los sellantes pueden ser aplicados cuando existen lesiones cariosas de esmalte que son activas y con signos de progresión, en pacientes de alto riesgo, que no controlan la placa dental eficientemente.
Los sellantes son entonces considerados interceptivos más que preventivos, debido a que el progreso de la caries en lesiones pequeñas puede ser detenido luego de sellada la fisura. La colocación de un sellante elimina el aporte orgánico del exterior, reduciendo la viabilidad de las bacterias remanentes (3, 7, 12, 16). Si la lesión ha llegado a la dentina el sellado no elimina el aporte interno haciéndose la lesión cada vez mayor (7).
Cuando el proceso carioso llegó a la dentina, se debe remover el tejido infectado por las bacterias y dicho tejido debe ser reemplazado por una restauración (3, 8). Para estos fines, se utilizan sellantes de resina o de ionómero vítreo. Se ha demostrado que si bien los sellantes de ionómero modificados con resina no presentan la misma capacidad de retención que los sellantes de resina, sí muestran el mismo efecto preventivo de caries, ofreciendo una potencial acción anticariogénica debido a la liberación de flúor incluso en los casos donde el sellante se desprende de la cara oclusal; el papel preventivo del sellante de ionómero vítreo modificado con resina no depende de su retención física en la fisura. Debido a que casi el 100% de las caries oclusales se inician durante el período de erupción (de 12 a18 meses en los molares) si las superficies oclusales de los molares son mantenidas libres de caries hasta alcanzar la total erupción, el riesgo de que se inicie el proceso carioso se ha terminado. Los sellantes en base a cementos de ionómero vítreo modificados con resinas son menos sensibles a la técnica adhesiva, lo que constituye una cualidad importante porque pueden ser aplicados lo más tempranamente posible durante la erupción de las piezas dentarias (17). En un estudio donde se sometían dientes con caries oclusales de esmalte a distintos tratamientos no invasivos se comprobó que tanto el uso de sellantes de ionómero vítreo modificado con resina, como la aplicación de barnices fluorados y la enseñanza de higiene asociada con buches fluorados, son capaces de detener el progreso de las caries oclusales. No obstante el sellante de fisuras, que en este estudio era un sellante en base a ionómero vítreo modificado con resina mostró la mejor efectividad en el control de la progresión de la caries adamantina (14).
En otro estudio donde se evaluó el tratamiento precoz invasivo en lesiones incipientes, se comprobó que éste tiene como desventaja la eliminación del potencial de remineralización y detención que presentan las lesiones incipientes (13).
En ocasiones para el correcto diagnóstico de las lesiones oclusales se hace necesaria la apertura de la fisura, llamada ameloplastia, que tiene además una misión preventiva y/o terapéutica. La técnica consiste en efectuar la apertura mínima, de los surcos y fisuras; utilizando una piedra de diamante de grano fino troncocónica delgada a velocidad superalta. La fisura se transforma en una superficie lisa, abierta al exterior que permite que el operador constate la presencia o ausencia de dentina cariada en su interior, con la ayuda de un detector de caries. Si se constata la ausencia de caries se procederá al sellado de los surcos. Es muy común que la lesión cariosa en las caras oclusales no involucre la totalidad del sistema de surcos con el mismo grado de evolución (13). Si existiera caries en dentina, se la elimina puntualmente con fresa de tungsteno esférica lisa a baja velocidad. Esta cavidad pequeña y localizada se restaura posteriormente con composite, mientras que el resto de la fisura se cubre con un sellante. Esta operación que consiste en combinar la restauración de composite con el sellante recibe el nombre de restauración conservadora de composite o preventiva de Simonsen quien fue el primero en describirla en el año 1977 (15, 16, 17).
Cavidad a caja oclusal
Si la lesión cariosa de caras oclusales no es diagnosticada a tiempo continúa su avance hasta llegar a la dentina. La conducta a seguir será la eliminación del proceso patológico, conservando al máximo la estructura dental sana.
Este tipo de preparación se limita a la eliminación del tejido dentinario enfermo, asistida por la utilización de tests colorimétricos; la preparación dentaria se extenderá por cura, a veces por acceso,
comodidad e instrumentación. El principio de extensión por prevención actualmente ha caído en desuso. Hoy en día es sabido que la extensión de la cavidad no prevendrá en el futuro el desarrollo de caries secundarias, y que la longevidad de una restauración es mayor si ésta es pequeña. El desarrollo de los materiales adhesivos permite al odontólogo realizar restauraciones mínimas, con superficies internas redondeadas, conservando estructuras dentinarias no afectadas y esmalte sin soporte, (lo que se denomina desgaste diferencial de tejidos), que pueda ser consolidado mediante el protocolo adhesivo (2, 16).
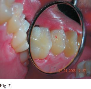
En las áreas de contacto oclusal está contraindicada la realización del bisel. Al dejar una capa muy delgada de resina se podría producir, en función de la carga masticatoria, la fractura de la restauración con la consiguiente filtración marginal. Si las preparaciones son compuestas o complejas, sí se recomienda el aprestamiento del borde cavo marginal en las salidas a vestibular y lingual. (Figs. 6 -12)

Fig. 6 y 7. Preparación dentaria en una lesión incipiente y su restauración con resina compuesta.
Secuencia clínica:
· Control oclusal.
· Selección del color.
· Aislamiento absoluto.
· Apertura y eliminación de caries.
· Protección del complejo dentino-pulpar.
· Protocolo adhesivo.
· Inserción del material restaurador.
· Acabado y ajuste oclusal.
· Aplicación de gel fluorado.
Las cavidades preparadas pueden alcanzar diferentes profundidades: superficial, mediana y profunda. Para seleccionar la técnica de protección dentino–pulpar, además de la profundidad de la cavidad el clínico deberá tomar en consideración no sólo la cantidad y tipo de dentina remanente, sino también la permeabilidad dentinaria (16). Lo relevante de la maniobra es proveer a los tejidos remanentes de un adecuado sellado que se traduzca en la hermeticidad o impermeabilización de la dentina.
En las preparaciones dentarias superficiales, con importante remanente dentinario a nivel de la pared pulpar puede realizarse adhesión a dentina a través de la formación de la capa híbrida.
En aquellas medianamente profundas se colocará una base cavitaria, generalmente de ionómero vítreo, con el fin de proteger el complejo dentinopulpar. El cemento de ionómero vítreo es considerado hoy en día como dentina artificial, pues brinda sustentación al esmalte desprovisto de soporte dentinario. Cuando se trata de restauraciones de tamaño mediano y considerando que las técnicas de polimerización pueden resultar insuficientes para compensar la contracción de las resinas, una base o relleno con cementos de ionómero vítreo puede mejorar la circunstancia clínica (17).
En cavidades profundas, se colocará una capa de hidróxido de calcio en la base del cono de conducción de los canalículos dentinarios hacia la pulpa, que se cubrirá posteriormente por cemento de ionómero vítreo. En las paredes laterales se realizará la técnica adhesiva correspondiente que podrá ser hibridización o integración. En cuanto a la adhesión a esmalte: Buonocore en 1955 describe que las soluciones de ácido fosfórico al 85% aplicadas al esmalte aumentaban considerablemente la retención de las resinas acrílicas al tejido adamantino. La activación de la superficie del esmalte se puede lograr eficientemente a través de la utilización de ácido fosfórico al 15, 32, 35, 37 y 40 %, dando lugar a la formación de microporos. En éstos, posteriormente penetra un monómero que al polimerizar quedará retenido por traba micromecánica. Cuando el tejido adamantino es tratado con ácido fosfórico en alta concentración, se produce una reacción ácido-base con formación de sales solubles de fosfato de calcio que desmineralizan y producen pérdida irreversible de tejido superficial. Esto implica la necesidad de evitar el acondicionamiento accidental de áreas no comprometidas con el tallado. Uribe Echevarría ( 2 ) pudo determinar que e l esmalte desmineralizado por un ácido no se remineraliza totalmente aún después de 180 días de exposición a la saliva o soluciones fluoradas. La tendencia actual es utilizar gel tixotrópico de ácido fosfórico con colores contrastantes con el color dentario; su alta tensión superficial permite posicionar el ácido solamente en las áreas que así lo requieran. En cuanto al tiempo de aplicación del ácido, las primeras técnicas aconsejaban aplicar el ácido durante 2 a 4 minutos. Actualmente se sabe que cuando el tiempo de exposición al ácido es mayor a los 15 segundos, se produce un patrón de acondicionamiento de tipo III, caracterizado por una mayor pérdida de tejido superficial pues el ácido continúa eliminando sustancia en superficie, disminuyendo la profundidad y aumentando la amplitud de los microporos. Este tipo de acondicionamiento no tendría suficiente capacidad para retener micromecánicamente de forma efectiva los sistemas adhesivos, por lo que el aumento del tiempo de acondicionamiento es uno de los fenómenos más negativos en la técnica adhesiva (16).
La resina compuesta debe insertarse en la cavidad en pequeños incrementos y polimerizarlos uno a uno para facilitar su adaptación a las paredes de la cavidad, compensar la contración de polimerización y aumentar el grado de conversión de monómero a polímero. Para disminuir los efectos de la contracción de polimerización los autores recomiendan la polimerización por capas, el uso de adhesivos y la intensidad diferencial de polimerización. En la polimerización por capas la capa siguiente contrarresta la contracción de polimerización sufrida por la capa anterior.
Además una potencia elevada de luz aplicada sobre el material puede provocar una brusca contracción de polimerización. Por esta razón se han desarrollado unidades de polimerización en las que la potencia de la radiación es relativamente baja cuando se la pone en funcionamiento y va aumentando con el transcurso del tiempo. Esto permite que el material vaya polimerizando progresivamente disipando las tensiones que se generan en él y logrando un endurecimiento de toda la masa y menor posibilidad de pérdida de adhesión a la superficie. Si no se cuenta con este tipo de unidades de polimerización es posible que como la potencia de salida es la misma, al alejar la fuente luminosa se disminuya la potencia por unidad de superficie (18).
Al finalizar la restauración se debe controlar la oclusión utilizando papel de articular fino y luego realizar el pulido con fresas multicuchillas, piedras de diamante de grano fino y puntas de goma siliconadas. Se puede dar terminación con pasta diamantada de pulido.
Conclusiones
Distinguir las lesiones que pueden ser tratadas por métodos no invasivos de aquellas que justificarían un tratamiento restaurador, debe necesariamente partir de un correcto diagnóstico. El diagnóstico temprano de las lesiones cariosas oclusales representa un gran desafío para el odontólogo clínico. El diagnóstico precoz de lesiones incipientes es importante para evitar el progreso de la enfermedad con la consecuente pérdida de estructura dentaria, además de posibilitar la indicación de tratamientos no invasivos. Un diagnóstico incorrecto implica una decisión de tratamiento inadecuado y muchas veces irreversible.
Cuando las lesiones están cavitadas es fácil detectarlas clínicamente, sin embargo en etapas anteriores la detección se hace difícil. El método de inspección visual puede ser considerado como un buen método de diagnóstico de caries oclusales incipientes. Por el contrario el método de inspección táctil está contraindicado. El examen radiográfico está indicado en aquellos casos en que sea difícil determinar si la dentina está involucrada o no (es un método válido para el diagnóstico de caries oclusales sin cavitación, pero con afectación dentinaria).
En la actualidad existe una tendencia a seleccionar la terapia más conservadora, que permita ahorrar la mayor cantidad de tejido sano; jerarquizando la utilización de técnicas no invasivas. La intervención invasiva se trata de evitar siempre que las características clínicas de las lesiones lo permitan.
Una importante razón que justifica este accionar es que la implementación de un tratamiento no invasivo es capaz de detener la lesión. El posponer el tratamiento restaurador es una decisión que posterga el comienzo de un ciclo restaurador en el que las restauraciones serán reemplazadas varias veces a lo largo de la vida del individuo. Sin embargo el odontólogo clínico se enfrenta diariamente a lesiones cavitadas y el abordaje restaurador se justifica cuando la lesión oclusal llegó a la dentina. Las opciones terapéuticas son variadas: el sellante, la fisuroplastia, las cavidades preventivas, o las cavidades a caja oclusal. La selección dependerá del grado de afectación de la estructura dentaria, pero sea cual sea la preparación siempre estará basada en la premisa de máxima conservación del tejido para mantener la resistencia óptima del diente y aumentar la longevidad de las restauraciones.
Referencias bibliográficas
-
Bastos V, De Mello J, Do Rego M. Diagnóstico da Cárie oclusal: Consideracoes comparativas entre os metodos da inspección visual, inspecao tatil e exame radiográfico convencional. Revista de Odontología da Universidade cidade de Sao Paulo 2005; 17(2):171- 6.
-
Gudiño S. La Adhesión en la prevención de la Caries Dental en Henostroza, G. editor “Adhesión en Odontología Restauradora” 1a ed. Curitiba, Ed. Maio; 2003. p 345-66.
-
Tarkany Basting R., Campos Serra M. Occlusal caries: Diagnosis and noninvasive treatments. Rest Dent.1999; 30(3): 174-8.
-
Hassall D, Mellor A. The sealant restoration: indications, success and clinical technique. Br Dent J 2001; 191(7):358-62.
-
Florio F, Rodríguez J. Avaliacao in vivo de metodos de diagnostico para a superficie oclusal. Revista daAPCD2002; 56(1):43-8.
-
Lussi A., Francescut, P. “Métodos nuevos y convencionales para el diagnóstico de la caries de fisuras” Quintes (ed. Esp.) 2005; 18(3):131-40.
-
Kairalla E, Marques J, Rode S. Avaliacao de metodos de diagnóstico da lesao de carie Rev Odontol Univ Sao Paulo 1997; (11): 27-34.
-
Lobo M., Pecharki G, Gushi L. Occlusal caries diagnosis and treatment Braz J Oral Sci. 2003; 2(6):239-45.
-
Axelsson P, Karlstad S. Use of fissure sealants in : O Malley K editor. Preventive Materials, Methods and Programs 1a ed. Chicago: Quintessence Publishing Co.2004. p.369- 428.
-
Zavarce R. Lesión inicial de caries” Acta Odontológica Venezolana 1999; 37(3).67-71.
-
Wenzel A. Digital radiography and caries diagnosis” Dentomaxillofacial Radiology 1998; 27:3-11.
-
Shi X, Welander U. Occlusal Caries Detection with Kavo Diagnodent and Radiography: An in vitro Comparison. Caries Research 2000;34.:151-8.
-
Hamilton J. Early treatment of incipient carius lesions. Jam Dent Assoc. 2002 Dec. 133: 1643-51
-
Surmont P, Martens L. A decision tree for the treatment of caries in posterior teeth. Quintessence Int.1990; 21(3):239-46.
-
Kidd E, Mejare I, Nyrad B. Clinical and radiographic diagnosis. In Fejerskov O, Kidd E. editors.Dental Caries The Disease and its Clinical Management. Oxford: Blackwell;
2003 p.111-27. -
Porto C. Belleza y Función en dientes posteriores, mediante restauraciones con resinas compuestas directas en Henostroza G . Estética en Odontología Restauradora.1a ed. Madrid: Ripano S.A.; 2006. p. 247-64.
-
Hudson P. Conservative treatment of the Class I lesion. JAmDent, 2004 Jun; 135(6):760-4.
-
Macchi R. Unidades para fotopolimerización en Materiales Dentales. 3ª Ed. Madrid: Panamericana; 2000. Cap.14, p.159-66.













