Servicios Personalizados
Revista
Articulo
Links relacionados
Compartir
Odontoestomatología
versión On-line ISSN 1688-9339
Odontoestomatología vol.11 no.12 Montevideo mayo 2009
Fibroma Odontogénico Periférico: a propósito de 2 casos clínicos
Dr. Fernando Garay *
Br. Diego Llanos **
Dra. Liliana Soria ***
Dra. Cecilia Vercesi ****
* Asistente, Cátedra de Cirugía Bucomaxilofacial I. Residente, Servicio de Urgencia. F de O. UDELAR. Asistente, Dpto. Odontológico Hospital de Clínicas “Dr. Manuel Quintela” fernandogaray3@hotmail.com
** Asistente, Cátedra de Patología, Semiología y Clínica Estomatológica. Asistente, Cátedra
de Radiología. F de O. UDELAR.
*** Asistente, Cátedra de Anatomía Patológica BMF. Asistente, Cátedra de Patología, Semiología y Clínica Estomatológica. F de O. UDELAR.
**** Asistente, Cátedra de Patología, Semiología y Clínica Estomatológica. F de O. UDELAR.
Resumen
Se presentan dos casos clínicos de fibroma odontogénico periférico (FOP) entidad poco frecuente. Fueron diagnosticados, tratados y seguidos en las Cátedras de Patología, Semiología y Clínica Estomatológica y de Anatomía Patológica Buco-máxilo-facial de la Facultad de Odontología (UDELAR). La baja frecuencia de esta lesión en la literatura y el diagnóstico diferencial que plantea con otras lesiones hace interesante su publicación. Ambos afectaron a mujeres de 6 y 57 años respectivamente.
Palabras clave: Fibroma odontogénico periférico, diagnóstico diferencial
Summary
Two case reports of peripheral odontogenic fibroma (POF), a rare clinical lesion, are presented. They were diagnosed, treated and followed at the Departments of Pathology, Semiology and Stomatology Clinic and Pathologic Anatomy Laboratory of Dental Public School, University of Uruguay (UDELAR). Few cases are reported in the literature; the possible differential diagnosis with other clinical entities make it interesting to publish. Both occured in 6 and 57-year-old females respectively.
Keywords: Peripheral odontogenic fibroma, differential diagnosis.
Fecha de recibido: 03.02.09
Fecha de aceptado: 07.05.09
Introducción y antecedentes
Los tumores odontogénicos son un grupo variado de entidades patológicas cuyo origen se encuentra íntimamente relacionado con el desarrollo del germen dentario (1).
Independientemente de su aspecto histopatológico, estas lesiones tienen dos presentaciones clínicas diferentes: están aquellas que se ubican dentro del hueso llamados tumores odontogénicos centrales o intraóseos y aquellas situadas en la periferia, conocidas como tumores odontogénicos periféricos extraóseos o tumores odontogénicos de partes blandas (1-5).
Los tumores periféricos son morfológicamente similares a los centrales pero están ubicados en los tejidos blandos que cubren los huesos maxilares en zonas portadoras de dientes o en zonas edéntulas pero siempre donde tuvo lugar el fenómeno de la odontogénesis (3, 6).
Los tumores originados en la encía que han sido referidos en la literatura son: el ameloblastoma, tumor odontogénico adenomatoide, tumor odontogénico epitelial calcificante, tumor odontogénico escamoso y fibroma odontogénico (7-9).
El fibroma odontogénico periférico (FOP) fue definido por la OMS (2005) como “una neoplasia rara caracterizada por una cantidad variable de epitelio odontogénico inactivo inmerso en un estroma maduro”(10). Gardner (3) en 1980 separó la entidad en dos tipos: la forma simple y la tipo OMS, dejando claro que únicamente aquellas lesiones que presentan remanentes epiteliales en medio del tejido conectivo proliferante pueden ser considerados FOP.
El FOP –a diferencia de las lesiones reactivas de la encía, como el fibroma osificante o los épulis fibrosos- posee epitelio odontogénico inactivo (9).
Según Daley y col. (7) es el único tumor odontogénico periférico más común que su contraparte central.
Descripción
CASO CLÍNICO 1
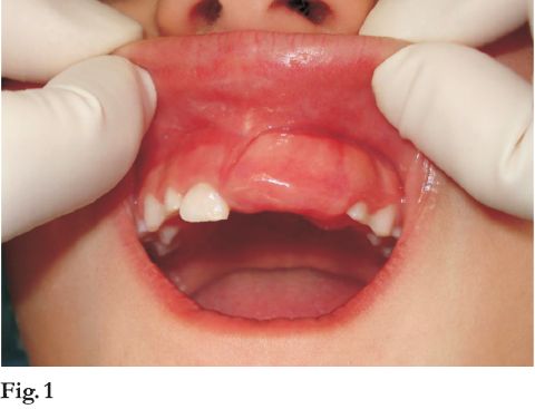
Paciente de 6 años de edad, sexo femenino, raza blanca que concurre a la Clínica de Estomatología en marzo de 2007 derivada de Policlínica Municipal, por una lesión gingival indolora, en la zona ántero-superior izquierda, de tres años de evolución.
Fue tratada con antibióticos en varias ocasiones y finalmente se realizó la exodoncia de la pieza 6.1 en estrecha relación con la lesión.
Ésta continuó su crecimiento hasta llegar a los 2 cm de diámetro en sentido mesio-distal y a los 2,5 cm de diámetro vestíbulo-palatino. De crecimiento lento provocó el desplazamiento de la pieza 6.2.
Al examen clínico se presenta como una tumefacción gingival circunscripta, sesil, cubierta por mucosa normal con la impronta de las piezas inferiores que contactan en oclusión. (fig. 1 y 2).
Radiográficamente no se observan alteraciones óseas subyacentes.
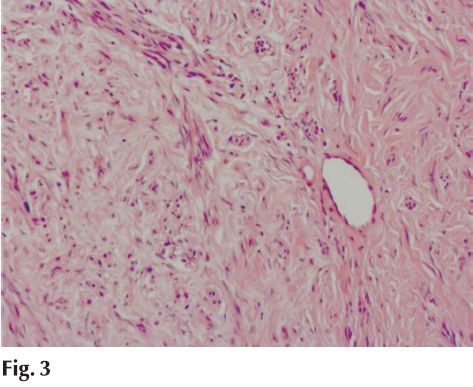
Con el diagnóstico clínico de hiperplasia fibrosa reactiva se realiza biopsia incisional. Histopatológicamente correspondió a una lesión fibromatosa benigna, de histogénesis odontogénica (fig. 3).
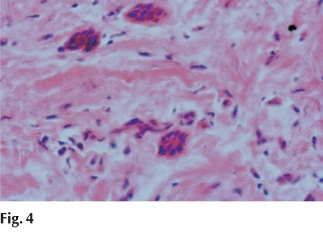
En la pieza de resección quirúrgica bajo la mucosa pavimentosa crece una proliferación fibromatosa fusocelular sin atipías que asocia frecuentes islotes de epitelio odontogénico inactivo sin calcificaciones, que orienta a un fibroma odontogénico periférico (fig. 4).
La evolución luego de un año de control ha sido favorable, sin recidiva.
Los dientes permanentes erupcionaron en secuencia y cronología normal.
CASO CLÍNICO 2
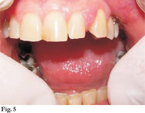
Paciente de 57 años, sexo femenino, raza blanca que es referida a la Clínica de Estomatología en julio de 2007 por lesión en encía y paladar en zona ántero-superior izquierda.
Es portadora de prótesis parcial removible superior y al momento de la consulta relata lesión de 6 meses de evolución. Comenzó con aumento de tamaño en la zona gingival donde apoyaba un elemento protético, el cual fue eliminado por su odontólogo. La lesión siguió aumentando y se acompañó de desplazamiento de las piezas dentarias de la zona involucrada.
Al examen clínico se constató una tumefacción que por vestibular abarcaba la papila interdentaria entre las piezas 2.2 y 2.3, y por palatino se extendía 1,5 cm hacia distal y en sentido lateral desde mesial del 2.2 a distal del 2.3.
Cubierta de mucosa normal, firme , indolora y no sangrante. Concomitantemente se observa diastema de unos 3 milímetros entre las piezas mencionadas (fig. 5 y 6).
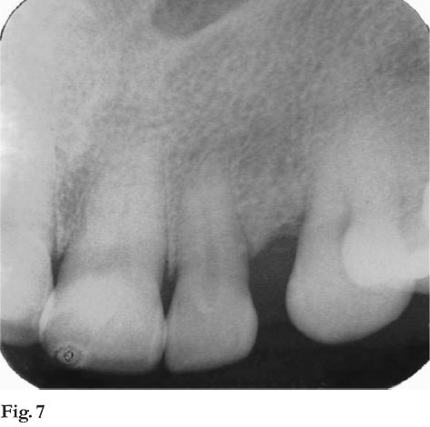
Al examen radiográfico se comprobó una erosión localizada de 2 mm; desplazamiento de las piezas 2.2 y 2.3 y a mesial de esta última se constata un defecto óseo vertical (fig. 7).
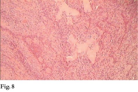
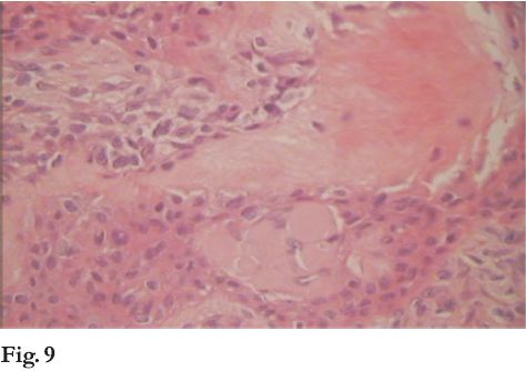
Diagnóstico clínico presuntivo: lesión hiperplásica reactiva. Se realiza biopsia incisional. Histopatológicamente debajo de mucosa pavimentosa crece una proliferación esencialmente fibromatosa caracterizada por presentar epitelio odontogénico en forma de largos cordones anastomosados entre si, adyacentes a material hialino, globular, con calcificación focal (fig. 8 y 9).
El diagnóstico histopatológico fue de tumor odontogénico periférico con los caracteres de un fibroma odontogénico con “glóbulos hialinos”.
Se realiza la escisión completa de la lesión abarcando mucosa sana. El informe anátomopatológico definitivo confirma el diagnóstico de la biopsia incisional.
La evolución ha sido buena luego de 8 meses de seguimiento, sin indicios de recidiva.
Discusión
El FOP es una entidad poco frecuente, que clínicamente se presenta como una tumoración en la encía, de un tamaño que puede variar de 1 a 3 cm de diámetro, de implantación pedunculada o sesil y que generalmente está recubierta por una mucosa normal (6, 11).
El rango de edad en que se presenta es amplio, entre 2 y 80 años con una media en la tercera década de la vida. En los casos publicados uno se da en una niña y el segundo es en una paciente de 57 años.
Es más frecuente en el sexo femenino, se ubica en la región anterior aunque según Villiers et. al (11) se han reportado casos por detrás del segundo premolar y en la zona de la tuberosidad. También este autor ubica esta lesión como más frecuente en la raza negra con un 93%, pero esto puede deberse a las características raciales de su muestra.
Autores como Daley-Wisocki (7) o de Villiers et. al (11) confirman el amplio espectro histomorfológico.
En uno de los casos publicados en este artículo se destaca una variante histopatológica poco común y peculiar, descrita por Dunlap (12), que incluye gotas de un material hialino eosinófilo, débilmente positivo frente a marcadores histoquímicos para amiloide, en pleno tejido fibroso y relacionado a presencia de epitelio.
El origen de estas estructuras es incierta pero se han encontrado en otros tumores odontogénicos. Podría tratarse de una proteína de matriz de esmalte mas que amiloide (13).
El aspecto clínico no patognomónico obliga al diagnóstico diferencial con:
1. Variantes periféricas de otros tumores odontogénicos con similitud histológica (9, 14, 15) tales como:
- ameloblastoma.
- tumor odontogénico epitelial calcificante.
- tumor odontogénico adenomatoide.
-tumor odontogénico escamoso
2. con lesiones de carácter reactivo (3, 6-11, 14, 16, 17):
- fibroma osificante periférico.
- granuloma central de células gigantes (descrito en coexistencia con FOP).
- hiperplasia gingival focal fibrosa que contiene remanentes de epitelio odontogénico.
3. con otras neoplasias benignas y malignas
- tumor congénito de células granulosas (épulis congénito).
La conducta terapéutica es quirúrgica recomendándose la exéresis quirúrgica simple de la lesión respetando el elemento dentario, sin curetaje del tejido óseo subyacente (conducta que se reserva para las recidivas) (6, 8-11). En cambio en el tratamiento del fibroma osificante periférico de rutina se hace el curetaje del hueso y del ligamento periodontal; frecuentemente también es necesaria la avulsión de la pieza.
Según Daley (citado por Siar) (18) su comportamiento biológico es incierto pese a lo cual se lo considera un tumor benigno de baja recurrencia (7, 11, 16, 19, 20).
En la revisión bibliográfica existen pocos casos de seguimiento a largo plazo, con alto porcentaje de pacientes que no vuelven a los controles, por lo cual se presume que la recurrencia debe ser baja (7).
Sin embargo se han constatado recidivas hasta 34 meses después de la cirugía (21) vinculable mayoritariamente a una remoción incompleta de la lesión (11, 16, 21, 22). Pese a ello Daley y Wisocki estiman el porcentaje de recidiva en hasta un 39 % (4, 7).
El seguimiento de los casos aquí presentados seguramente motivará una comunicación ulterior.
Conclusiones
Se presentaron dos casos clínicos: en una niña de 6 años y en una mujer de 57. El lugar de presentación y las características clínicas fueron similares en ambos casos. Histopatológicamente una lesión correspondió a un FOP común y el otro mostró material hialino en íntima relación con el epitelio odontogénico.
A pesar de su baja frecuencia el FOP debe tenerse en cuenta en el diagnóstico diferencial con otros crecimientos gingivales de presentación clínica similar, como: otros tumores odontogénicos periféricos, el fibroma osificante periférico y los diferentes cuadros reactivos de localización gingival.
Bibliografía
1.- Keochgerian V, Fungi M, Soria L, Capurro S. Tumores Odontogénicos Benignos. Características clínicas e histopatología. Rev. de la Fundación J.J. Carraro. Junio 2004 Año 9 N° 18:4-8.
2.- Regezzi JK, Kerr DA, Courtney RM. Odontogenic Tumors. Analysis of 706 cases. J. Oral Surgery. 1978; 36: 771-8.
3.- Gardner D.G. The peripheral Odontogenic Fibroma: an attempt at clarification. Oral Surgery. Oral Pathology. July 1982; 54 (1): 40-48
4.- Cawson RA, Binnie WH, Speight PM, Wright JM. Luca´s Pathology of tumors of the oral tissues. Fifth Edition. Londres: Churchill Livingstone; 1998. Cap.10, p. 71-74.
5.- Neville B, Damm D, Allen K, Bouquot, J. Oral and Maxillofacial Pathology. 2º ed. Philadelphia: Saunders; 2002. Cap. 15. p. 589-684.
6.- Bouchner A, Ficarra G, Hansen L. Peripheral Odontogenic Fibroma. O.O.O. 1987; 64: 432-8.
7.- Daley T, Wysolki G. Peripheral Odontogenic Fibroma. Oral medicine, Oral pathology 1994; 78 : 329-336.
8.- Russo A, Dell´aquila A, De Rosa I, Russo S, Sica GS. Il fibroma odontogenico dei mascellari. Presentazione di un caso clinico e considerazioni etiopatogenetiche. Minerva Stomatol. 1998; 47 : 231-4.
9.- Manor Y, Mardinger O, Katz J, Tailcher S, Hirshbers A. Peripheral odontogenic tumours.-differential diagnosis in gingival lesions. Int Asoc of Oral and Maxillofac Surg 2004; 33: 268-273.
10.- World Health Organization Clasification of Tumours. Pathology and Genetics of Head and Neck Tumours. Lyon: IARC Press; 2005. Cap. 6. p. 283-327.
11.- Hein de Villiers Slabbert, Altini Mario. Peripheral odontogenic fibroma: A clinicopathologic study. O.O.O 1991; 72 : 86-90.
12.- Dunlap, CH. Odontogenic Fibroma. Seminars in Diagnostic Pathology. Nov 1999. 16 (4): 293-6.
13.- Reichart PA, Philipsen HP, Odontogenic Tumor and Allied Lesions. Londres: Quintessence Publishig Co. Ltd. 2004. Cap 19. p. 179-187.
14.- Ficarra G, Sapp P, Eversole L. Multiple peripheral odontogenic fibroma, world health organization type, and central giant cell granuloma: a case report of an unusual association. J. Oral Maxillofac Surg. 1993; 51: 325-328.
15.- Fonseca D, Castro W, Vieira do Carmo MA. Fibroma Odontogénico Periférico. Relato de um caso. Arquitos em Odontología. Jul-Dez 1998; 34 (2): 95-100.
16.- Kenney J, Kaugars G, Abbey L. Comparission Between the Peripheral Ossifying Fibroma and peripheral Odontogenic Fibroma. J. Oral Maxillofac Surg 1989; 47: 378-382.
17.- Martelli-Junior H, Mesquita RA, De Paula AM, Pego SP, Souza LN .Peripheral Odontogenic Fibroma (WHO-type) of the Newborn: a case report. Int Journal of Pediatric Dentistry 2006; 16 : 376-379.
18.- Chong Huat Siar, Kok Han Ng. Clinicopathological study of peripheral odontogenic fibromas (WHO-type) in Malaysians (1967-95). British Journal of Oral and Maxilllofacial Surgery.1999.
19.- Weber A, Van Heerden WFP, Ligthelm AJ. Diffuse peripheral odontogenic fibroma: report of 3 cases. J.Oral Pathol Med 1992; 21: 82-84.
20.- Garcia BG, Johann AC, Da Silveira-Junior JB, Aguiar ML, Mesquita RA. Retrospective Análisis of Peripheral Odontogenic Fibroma (WHO-type) in Brazilians. Minerva Stomatol 2007; 56: 115-9.
21.- Michaelides P. Recurrent peripheral odontogenic fibroma of the attached gingival: a case report. J. Periodontol 1992; 63: 645-647.
22.- Sapp JP, Eversole LR, Wysolki GP. Patología Oral y Maxilofacial Contemporánea. 2da. ed. Madrid: Elsevier; 2005. Cap. 5. p.134-163.
Agradecimientos:
A la Prof. Dra. Susana Vázquez por las correcciones realizadas al presente trabajo.
Dr. Fernando Garay
Pablo Mañé 2723. Montevideo, Uruguay
fernandogaray3@hotmail.com
Br. Diego Llanos
Agustín Abreu 2455 bis. Montevideo, Uruguay.
diegollanos@adinet.com.uy
Dra. Liliana Soria
Julián Alvarez 37 / Ap. 2, Montevideo, Uruguay.
dranasoriam2@hotmail.com
Dra. Cecilia Vercesi
Rbla. Mahatma Gandhi 527 / Ap. 201, Montevideo, Uruguay.
cecivercesi@hotmail.com













