Introducción
La lesión de ligamento cruzado craneal (LCCr) es una de las principales causas de claudicación en el perro; provoca dolor, inestabilidad, degeneración articular y frecuentemente lesiones secundarias en los meniscos (Conzemius, 2015; Johnson et al., 1994). Según Boge et al., (2019), es la principal alteración ortopédica en perros en Suecia y Noruega; en el año 2003 casi 270 000 perros en Estados Unidos sufrieron la rotura del LCA (Conzemius, 2015) y se estima que en 2005 más de 500 000 perros fueron afectados por esta enfermedad en el mismo país (Wilke et al., 2005). La intervención quirúrgica de la ruptura del LCCr en el perro es una de las cirugías más frecuentes, se usan diferentes técnicas, según las preferencias y experiencia del cirujano (Maritato, 2017). Desde el punto de vista anatómico y biomecánico, el LCCr es parte de las estructuras que brindan estabilidad y sostén a la rodilla y se compone de una banda craneomedial y una banda caudolateral más grande. El LCCr ayuda a minimizar la rotación interna y la hipertensión de la articulación y evita el desplazamiento craneal de los cóndilos tibiales en relación con los cóndilos femorales (Conzemius, 2015).
La ruptura del LCCr puede producirse en perros de cualquier raza y edad, pero generalmente afecta a los animales de mayor tamaño (Maritato, 2017). La etiología aún no se conoce por completo y se presume que es un proceso multifactorial donde influyen factores ambientales; la conformación ósea del miembro, la raza, el peso corporal y el sexo pueden también tener un rol importante en el desencadenamiento de la enfermedad (Baird et al., 2014; Vasseur et al., 1985). Otros autores sostienen que la principal causa es la predisposición genética (Baird et al., 2014; Maritato, 2017; Wilke et al., 2006). Aunque la ruptura del ligamento puede ocurrir de forma aguda a causa de un traumatismo, la mayoría de las veces es secundaria a cambios degenerativos crónicos en el LCCr (Duval et al., 1999) y se la denomina enfermedad del ligamento cruzado craneal (ELCCr), (Bennett et al., 1988; Ichinohe et al., 2015).
Según Conzemius (2010), los perros jóvenes, grandes y activos pueden estar predispuestos a la ruptura del LCCr, y las razas rottweiler, labrador retriever, terranova, bullmastiff y chow chow parecen tener un mayor riesgo de presentar la ELCA. A su vez, Witsberger et al. (2008) describieron que varias razas presentan una mayor incidencia de la enfermedad: terranova, rottweiler, labrador retriever, bulldog, boxer, chow chow, american staffordshire terrier, san bernardo, west highland white terrier, golden retriever y yorkshire terrier.
El diagnóstico presuntivo de la ruptura del LCCr se realiza mediante la anamnesis, examen clínico y radiografías (Fischer Wiethuchter, 2014). Por lo general, a la palpación se encuentra dolor, efusión articular y deformación en más de la rodilla afectada (Conzemius, 2010; Fischer Wiethuchter, 2014). Las pruebas para evaluar la estabilidad de la articulación fémoro-tibio-patelar son la prueba de cajón y la de compresión tibial (Conzemius 2015; Fischer Wiethuchter, 2014). Las radiografías mediolaterales y craneocaudales de la rodilla son las incidencias recomendadas para el diagnóstico presuntivo de la ruptura del LCCr. Las lesiones que se evidencian en la ELCCr son efusión articular, desplazamiento del cuerpo adiposo infrapatelar y engrosamiento de la cápsula articular. En animales con lesiones crónicas, se evidencian cambios asociados al proceso degenerativo articular de intensidad variable según el tiempo transcurrido (Conzemius, 2015). Existe una escala de clasificación del nivel de artrosis, la Escala Bioarth (Sánchez-Carmona et al., 2005). Esta permite, según los cambios articulares en las radiografías, dar una puntuación que tiene un máximo de 30 puntos, donde de 0 a 2 se considera sin evidencia de artrosis, de 3 a 8 leve artrosis, de 9 a 18 moderada artrosis, más de 18 grave artrosis.
El perro cimarrón uruguayo (Figura 1) es la única raza canina autóctona del país y ha sido reconocida en el ámbito internacional a partir del año 2006 por la Federación Cinológica Internacional (FCI) (Gagliardi et al., 2013). Según el estándar de la raza, es un animal de talla media, fuerte, compacto, musculoso, excelente perro de guardia y protección, dócil, fiel y un hábil trabajador con el ganado (Silveira, Mernies, Fernández y Barba, 1998). Se presume que se originó de la cruza de los perros asilvestrados que fueron ingresados a nuestra región durante la colonización española. Si bien se trata de la única raza uruguaya (Silveira, Fernández y Barba, 1998), hasta la fecha no se han realizado demasiados estudios poblacionales en busca de posibles enfermedades genéticas, solamente en nuestro conocimiento existen reportes de caracterización ecocardiográfica (Pisón et al., 2011) y de potenciales evocados auditivos (Mondino et al., 2018).
El objetivo del presente trabajo es realizar el reporte de casos con ruptura/enfermedad del ligamento cruzado craneal en perros de la raza cimarrón uruguayo.
Materiales y métodos
Descripción de los casos
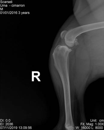
En este trabajo se presenta el reporte de 15 caninos de raza cimarrón uruguayo, diagnosticados e intervenidos quirúrgicamente por RLCA, en una clínica particular, durante los años 2018 y 2019. Durante la anamnesis se registró el tiempo que había transcurrido desde el comienzo de los síntomas hasta el momento de la consulta, así como los tratamientos realizados. El diagnóstico presuntivo de la RLCA, en todos los casos, se realizó mediante el examen clínico traumatológico, incluyendo la prueba de cajón, la prueba de compresión tibial, constatándose la inestabilidad de la articulación. Además, se realizaron radiografías (Figura 2), que mostraron diferentes signos de artrosis de la rodilla. Se evaluó el grado de artrosis mediante la Escala Bioarth. Todos los animales fueron pesados y se evaluó el grado de claudicación en el momento de la primera consulta, según el método descrito por Selmi et al., (2002). La confirmación definitiva de la lesión de la ruptura del LCA se realizó por medio de la artrotomía lateral de la rodilla descrita por Vasseur (2006) (Figura 3:).
Análisis estadístico
Los resultados se expresan como la media y su error estándar, se presentan en forma descriptiva en porcentajes y algunas de las medias se analizaron por test-t, en estos se incluyó el efecto peso, el sexo y el miembro afectado. Los resultados se consideraron significativos con un α ≤ 0,05.

Figura 2: Radiografías realizadas a pacientes de la raza cimarrón uruguayo con ruptura de LCA (gentileza del Dr. M. Amilivia)
Resultados
En la Tabla 1 se resumen los resultados de todos los datos: el 66,7 % (n=10) fueron machos y el 33,3 % (n=5) hembras, todos los animales se encontraban enteros al momento del estudio. La edad media de los animales en el momento de la consulta fue de 4,9 ± 0,1 años. La edad, según el sexo, fue en machos 5,4 ± 0,6 años y en hembras 3,8 ± 1,3 años. El grado de artrosis articular, si bien no presentó diferencias estadísticas, fue más grave en machos, con un valor de 14,2 ± 3,3, con un grado moderado de artrosis, mientras que las hembras presentaron un valor de 12,8 ± 2,5, también con un valor moderado de artrosis, según la Escala Bioarth. El peso de los animales fue diferente dependiendo del sexo, los machos tuvieron pesos de 41,1 ± 0,6 kg, mientras que las hembras presentaron un peso de 36,2 ± 1,4 kg (p = 0,001). Se encontró que, según el grado de claudicación, los animales con grado 1 fueron un el 27 % (n=4); los perros con un grado 2, un 47 % (n=7); con un grado 3, un 20 % (n=3), y con un grado 4, un 7 % (n=1). En los machos se encontró que la RLCCr ocurrió tanto en el miembro derecho 40 % (n=4) como en el izquierdo 60 % (n=6), mientras que en las hembras solamente se encontró afectado el miembro izquierdo 100 % (n=5), p = 0,01. Solo en cuatro de los casos (26,6 %) se vio la enfermedad de forma bilateral. En cinco de los casos (33,3 %), se encontró afección del menisco medial, los cuales presentaban desgarro parcial, de estos, cuatro fueron machos y uno hembra. El tiempo de claudicación hasta la primera consulta fue de 2,2 ± 0,3, meses tanto en machos como en hembras.
Discusión
Por lo que conocemos hasta la fecha esta sería la primera descripción de la ruptura/enfermedad del ligamento cruzado craneal en la raza cimarrón uruguayo. Varios autores han descrito que existe predisposición de esta enfermedad en varias razas: terranova, rottweiler, labrador retriever, american staffordshire terrier (Boge et al., 2019; Conzemius, 2010), coinciden en que son de tamaño grande o mediano, esto permite asumir que la raza cimarrona podría estar predispuesta por su tamaño. Los resultados obtenidos en cuanto a la edad (media) de presentación de la enfermedad no coinciden con lo reportados por varios autores, en que la edad media se encuentra en los 5,8 ± 0,6 años (Boge et al., 2019), pero sí se encuentra en el rango de edad reportado por Conzemius (2010) para otras razas. Si bien el rango de peso corporal descrito por varios autores para manifestar esta enfermedad es muy amplio, existe una predisposición en animales con peso superior a 25 kg (Conzemius, 2010; Duval et al., 1999; Witsberger et al., 2008), por lo que la raza cimarrón uruguayo se encuentra dentro de ese rango de peso. Si bien se vio en este trabajo una predisposición sexual a que los machos presentaran más la enfermedad, al tratarse de una muestra tan pequeña, es difícil de valorar ese resultado. Este hallazgo se contrapone a lo reportado por Duval et al., (1999) y por Bach et al., (2015), quienes indican la existencia de una predisposición mayor en hembras que son obesas y están esterilizadas. La diferencia con estos autores es que describen en sus estudios varias razas a la vez y no una única como en este trabajo, además de que nuestros pacientes eran todos animales enteros. En lo que refiere a la presentación de la enfermedad, si es bilateral o unilateral, el porcentaje de animales que presentaron bilateralidad en el estudio coincide con lo encontrado por otros autores (Witsberger et al., 2008), en lo que refiere al grado de artrosis, los resultados también están de acuerdo con lo reportado por otros autores (Cuervo et al., 2014).
En base a los resultados obtenidos se concluye que la ruptura LCA se produce en la raza cimarrón uruguayo y que podría deberse a cierta predisposición genética a la enfermedad de ligamento cruzado craneal, por lo que sería importante en futuros estudios incrementar el número de animales a ser estudiados. Además, se deberían realizar estudios retrospectivos de diferentes camadas para ver si existen líneas paternas que manifiesten una mayor presentación de la ruptura de LCA e investigaciones sobre la presencia de los genes que se encuentran relacionados con esta enfermedad.

















