Introducción:
La osteopatía hipertrófica (OH) es un trastorno osteoproductivo generalizado del periostio que afecta a los huesos largos de las extremidades (Allan, 2003), observado principalmente en humanos y caninos, aunque también ha sido descrito en equinos, bovinos, ovinos, felinos y aves domésticas (Lenehan y Fetter, 1985).
La OH se produce como respuesta a una patología en otra región del cuerpo.Los signos clínicos se hacen evidentes antes que aquellos de la enfermedad primaria (Withers y col., 2013).En los perros, la OH es más comúnmente diagnosticada como una respuesta a una enfermedad intratorácica, sobre todo neoplasia pulmonar primaria o metastásica (Johnson y Watson, 2007; Lenehan y Fetter, 1985; Withers y col., 2013), por lo que para algunos autores sería un signo paraneoplásico (Ito y col., 2010; Peeters y col., 2001). Las enfermedades extratorácicas asociadas con OH incluyen: hepatozoonosis americana, insuficiencia hepática, adenocarcinoma hepático y tumor primario de vejiga (Lenehan y Fetter, 1985; Schulz, 2007).
La OH se caracteriza por la deposición de hueso nuevo perióstico, especialmente en el esqueleto apendicular (Lenehan y Fetter, 1985). Aunque los mecanismos patogénicos no se conocen completamente, se sabe que se produce un incremento del flujo de sangre a las extremidades distales, con crecimiento excesivo de tejido conjuntivo y posterior neoformación ósea perióstica en falanges y huesos distales (Johnson y Watson, 2007; Liptak y col., 2004).
Los signos clínicos incluyen tumefacción de los cuatro miembros, que aparecen calientes, firmes y pueden ser dolorosos (Johnson y Watson, 2007), anorexia, hipertermia, claudicación y rigidez, a menudo con un impacto más negativo en la calidad de vida del paciente que los propios signos de la enfermedad primaria (Liptak y col., 2004).
La radiografía de los miembros revela tumefacción de las partes blandas en distal de las extremidades en las fases iniciales, que luego se continúan con formación de hueso nuevo perióstico en forma de nódulos irregulares perpendiculares a la cortical o en forma de espículas (Allan, 2003; Johnson y Watson, 2007). Los cambios óseos empiezan en la región distal y pueden extenderse en sentido proximal para afectar húmero y escapula, fémur y pelvis. En ocasiones se afectan las costillas y las vértebras (Johnson y Watson, 2007).
El tratamiento principal de la OH tiene como objetivo eliminar la enfermedad causante. Una vez tratada con éxito las lesiones óseas regresan rápidamente (Grillo y col., 2007).
Los tumores del tracto urinario representan solo el 0,5 - 1% de las neoplasias en perros, y el carcinoma de células transicionales (CCT) es el más común. Es más frecuente encontrar CCT en la zona del trígono vesical y es un tumor que puede causar metástasis. Afecta a perros de edad media a avanzada (más de 10 años). El diagnóstico puede hacerse sobre la base de los síntomas clínicos, estudios imagenológicos y resultados de la citología y/o histopatología (Beristain-Ruiz y col., 2015).
El objetivo del presente trabajo es describir el diagnóstico imagenlógico y la evolución de un caso de osteopatía hipertrófica secundario a tumor de células transicionales de vejiga (enfermedad extratorácica).
Materiales y Método:
Descripción del caso
Se presenta a la consulta en el Centro Hospital Veterinario de la Facultad de Veterinaria de la Universidad de la Republica un paciente canino, hembra, de 10 años de edad, talla mediana (30 Kg de peso), de nombre “Heidi”, por un cuadro de hematuria con 4 meses de evolución. En la anamnesis se detalla que el paciente no había tenido patologías previas, no tenía vacunación vigente y la última desparasitación había sido hace tres meses. Su alimentación era a base de comida casera. Al examen objetivo general el animal presentaba temperatura rectal de 38,4ºC, frecuencia respiratoria de 38 respiraciones por minuto, frecuencia cardiaca de 80 latidos por minuto, tiempo de llenado capilar menor a un segundo, mucosa conjuntiva hiperémica, linfonódulos submaxilares normales, y linfonódulos inguinales ligeramente aumentados de tamaño.
A la inspección presentaba falsa xifosis, dolor a la palpación presión en la zona de proyección renal y se palpó una tumefacción no dolorosa en abdomen caudal. A su vez, se observó un aumento del espesor de las extremidades con zonas de tumefacción no dolorosa, de consistencia firme a dura, en el tercio distal (Figura 1).
Estudios paraclínicos
Se obtuvieron radiografías de tórax y de miembros anteriores, ambos dorsal - palmar y latero - lateral con un equipo Vetter-Rems 100. En las primeras se utilizaron películas marca Kodak y procesador automático SRX-101A, y en las de control se utilizó un digitalizador marca Kodak DirectView, Sistema Classic CRCarestream. Otros estudios paraclínicos realizados incluyeron ecografía abdominal (equipo fijo de ultrasonografía marca Toshiba Nemio MX). Se controló por ecografía a los 4 meses de iniciado el tratamiento (18 de agosto de 2015) y casi 2 años después (02 de marzo de 2017). Junto con la última ecografía también se realizó una radiografía de los miembros y de tórax.
Se realizó fibroscopía transuretral a los solos efectos de tomar muestras de la neoformación vesical, para la cual se utilizó un fibroscopio flexible de 5 mm marca Olympus. Las biopsias se remitieron a la Dra. Déborah César para el procesamiento y análisis histopatológico.
Inicialmente se evaluaron los niveles de urea, creatinina, calcio y fosforo. Luego se hicieron sucesivos estudios de funcional hepático, hemograma, funcional renal y orina.
Resultados:
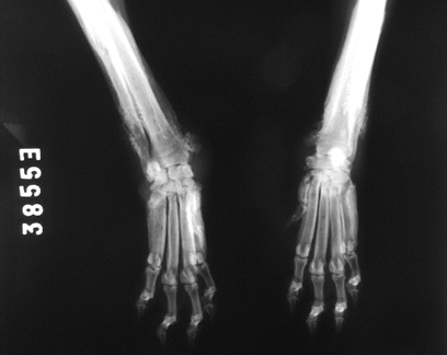
En la evaluación radiológica del tórax no se observaron alteraciones. En las radiografías de los miembros anteriores se encontró inflamación de tejidos blandos a nivel de carpos, reacción perióstica con neoformación ósea de patrón mixtoa nivel de metáfisis distal de cúbito y radio y laminar en diáfisis de metacarpos, con mayor compromiso del miembro anterior derecho. (Figura 2). Las imágenes son compatibles con osteopatía hipertrófica.

Figura 2: Primer radiografía de miembros anteriores. Se observa inflamación de tejidos blandos con neoformación ósea mixta en metacarpos y tercio distal de cubito y radio, compatible con osteopatía hipertrófica.
El control radiográfico realizado aproximadamente 23 meses después mostró lesiones periósticas en distal de miembros anteriores con aspecto más liso, radiodenso y con disminución del tejido blando circundante, lo cual sugeriría un estado de inactividad perióstica (Figura 3). En la radiografía torácica no se evidenciaron alteraciones.

Figura 3: Radiografía de control de los miembros anteriores a los 23 meses luego del diagnóstico de osteopatía hipertrófica. Se observa lesiones periósticas en distal de miembros anteriores con aspecto más liso, radiodenso y con disminución del tejido blando circundante, lo que sugiere menor agresividad.
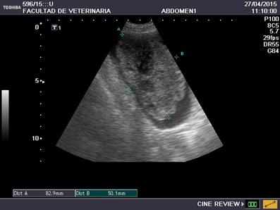
En el estudio ecográfico abdominal se observó una neoformación heterogénea a nivel de la región ventral del cuerpo de la vejiga, de 8,2 x 6,5 cm aproximadamente, con bordes irregulares, irrigada, ocupando parte de la luz de dicho órgano y que no involucraba el trígono vesical(Figura 4). Los riñones presentaban tamaño y ecoestructura conservada, acorde a la edad del paciente. En el resto del abdomen no se observaron alteraciones.

Figura 4: Primer ecografía vesical con presencia de neoformación heterogénea, con bordes irregulares, de 8,2 x 6,5 cm ocupando casi la totalidad de la luz del órgano, no afectando el trígono vesical.
El control ecográfico a los 4 meses (con el tratamiento ya iniciado)mostró reducción de la masa vesical de 4 x 3 cm, sin cambios estructurales en el aspecto ecográfico, localizada en la región ventral derecha del cuerpo de la vejiga, no involucrando al trígono vesical. La pared contigua se encontró algo irregular y a nivel de contenido se evidenció escaso sedimento celular. No se observó linfadenopatías evidentes. El resto de la cavidad abdominal no presentaba cambios con respecto al estudio anterior.
En la ecografía realizada a los 23 meses del diagnóstico se observó vejiga con pared delgada y moderada cantidad de sedimento celular en su contenido. A nivel de la pared derecha, masa hipoecoica irregular de 1,8 x 1,5 cm aprox. En el resto del abdomen no se observaron linfadenopatías ni otras alteraciones (Figura5).

Figura 5: Ecografía a los 23 meses del diagnóstico, donde se observa disminución franca del tamaño de la masa vesical.
La histopatología confirmó un carcinoma de células transicionales.A la histopatología, se visualizó el epitelio de revestimiento vesical con aumento de espesor de todas sus capas, las cuales invadían la submucosa. Las células neoplásicas eran ovales a poliédricas, con moderado citoplasma eosinófilo, levemente vacuolado, de bordes bien nítidos y núcleo grande, redondo e hipercromático. Se visualizó dilatación quística en algunas de las glándulas.
Los exámenes iniciales de bioquímica sanguínea, así como los sucesivos exámenes de laboratorio, se encontraron dentro de los valores de referencia para la especie.
Luego del diagnóstico de OH y del tumor de células transicionales se medicó con un AINE en comprimidos, firocoxib en dosis de 5 mg/kg (113mg) cada 24 horas durante la totalidad del tratamiento y se comenzó con tratamiento quimioterápico. Se optó por el uso de cisplatino, a una dosis de 37 mg vía intravesical. El intervalo entre tratamientos con cisplatino fue de un mes.
La última sesión de quimioterapia se realizó a los 8 meses del diagnóstico del tumor de células transicionales. Luego de dicho tratamiento la paciente volvió a consulta a los 23 meses del diagnóstico, sin síntomas urinarios ni locomotores y con el relato del propietario de que durante todo este tiempo estuvo muy bien de salud.
Discusión:
La osteopatía hipertrófica puede ser primaria o secundaria. La forma primaria se ha descrito solo en humanos. La forma secundaria es comúnmente vista en perros como consecuencia de enfermedades sistémicas (Lenehan y Fetter, 1985).
En los anteriores casos diagnosticados en el Centro Hospital Veterinario de la Facultad de Veterinaria de la UdelaR la OH siempre fue secundaria a un proceso intratorácico, lo que coincide con lo planteado por varios autores, de que la mayoría de los casos caninos de OH se dan como respuesta a una enfermedad intratorácica, sobre todo neoplasia pulmonar primaria o metastásica (Johnson y Watson, 2007; Lenehan y Fetter, 1985; Withers y col., 2013). Sin embargo, se plantea que también puede estar asociada a patologías extratorácicas como neoplasia renal (Grillo y col., 2007; Peteers y col., 2001), hepatozoonosis americana, insuficiencia hepática, adenocarcinoma hepático y tumor primario de vejiga (Lenehan y Fetter, 1985; Schulz, 2007). Este es el primer caso de osteopatía hipertrófica asociado a carcinoma de células transicionales del que se tenga registro en el Centro Hospital Veterinario de la Facultad de Veterinaria de la UdelaR.
La edad del paciente (10 años) coincide con la edad de aparición informada por varios estudios, esto es lo esperado dado que, a edades avanzadas, los animales suelen tener mayor predisposición al desarrollo de tumores y secundariamente a la aparición de OH (Withers y col., 2013).
Los signos clínicos incluyen tumefacción de los cuatro miembros, que aparecen calientes, firmes y pueden ser dolorosos (Johnson y Watson, 2007). Se suelen afectar las extremidades de forma bilateral (Whiters y col., 2013), como en nuestro caso, y, dichos signos, pueden aparecer de forma aguda o gradual, afectando el desplazamiento del animal. También se describe anorexia, hipertermia, claudicaciones y rigidez, a menudo con un impacto más negativo en la calidad de vida del paciente que los propios signos de la enfermedad primaria (Liptak y col., 2004).
La patogénesis de la OH aún no es del todo comprendida. Los animales afectados demostraron un incremento del flujo sanguíneo hacia las extremidades. El incremento del flujo resulta en crecimiento excesivo del tejido conjuntivo vascular con la posterior metaplasia fibrocondroide y formación de nuevo hueso subperiostal (Johnson y Watson, 2007; Liptak y col., 2004).
Existen varias teorías que tratan de explicar la patogénesis. La más aceptada implica un mecanismo neurovascular reflejo medido por ramas aferentes del vago o nervios intercostales afectando el tono vasomotor para aumentar el flujo de sangre periférica. Se supone que este aumento de flujo sanguíneo conduce a un crecimiento de tejido y posterior osteogénesis. Sin embargo esta teoría no explica la OH con presencia de enfermedad intraabdominal (Dunn y col., 2007), tal como sucede en nuestro caso.
Otra teoría propone que la liberación del factor de crecimiento derivado de plaquetas (PDGF) producto de la circulación anormal de plaquetas incrementa la permeabilidad vascular, es quimiotáctico para los neutrófilos y monocitos, y atrae a los fibroblastos. Esto podría explicar el aumento del tejido conjuntivo y la metaplasia fibrocondroide observada en la OH (Dunn y col., 2007).
Debe hacerse diagnóstico diferencial principalmente con osteomielitis bacteriana o fúngica, tumores óseos, reacciones periostales traumáticas, panosteítis y osteodistrofia hipertrófica. En la OH no se produce aumento de la radiodensidad medular como en la panosteítis, suele causar lesiones en los cuatro miembros sin afectar las articulaciones a diferencia del tumor óseo y tampoco se aprecia la línea radiolúcida paralela a la fisis observada en la osteodistrofia hipertrófica (Borin y col., 2011).
Como ya mencionamos el tumor de vejiga más frecuente es el CCT. Muchas veces se localizan a nivel del trígono vesical lo que complica el tratamiento debido a que la resección quirúrgica no es una opción ya que el carácter invasivo del carcinoma compromete el margen quirúrgico (Knapp, 2007). Si bien en el caso de nuestro paciente el tumor no se hallaba en el trígono, no se optó por la cirugía como tratamiento debido al gran tamaño de la masa, lo que implicaba una resección de casi la totalidad de la pared vesical. Se decidió realizar un tratamiento quimioterápico (combinación de cisplatino intravesical con firocoxib) para disminuir el tamaño del tumor y mejorar la calidad de vida del paciente como está indicado en estos casos (Dupay, 2005).
Luego de un año de culminado el tratamiento, y 23 después del diagnóstico de OH y CCT, el tumor disminuyó considerablemente de tamaño, el paciente no presenta sintomatología urinaria ni signos clínicos de enfermedad locomotora, y los signos radiológicos de OH disminuyeron considerablemente, lo que coincide con trabajos que mencionan la remisión de los síntomas clínicos luego de la resolución de la causa primaria (Grillo y col., 2007).
Conclusión:
Este trabajo relata el primer caso del que se tenga registro en el Servicio de Imagenología de la Facultad de Veterinaria - Udelar de osteopatía hipertrófica secundario a enfermedad extratorácica. Si bien es mencionada en mucha de la bibliografía, la causa más común de OH es por enfermedad torácica, por lo tanto, ésta patología no se debe descartar cuando se obtienen radiografías torácicas normales.
A 2 años del diagnóstico de CCT y OH el paciente se encuentra estable, con buena calidad de vida y sin signos clínicos de enfermedad urinaria. El tratamiento del CCT llevó a la remisión de los signos clínicos del aparato locomotor y a una disminución sensible en los signos radiológicos de osteopatía hipertrófica. La no desaparición total puede estar determinada por la no resolución completa de la neoplasia vesical.














