SciELO - Scientific Electronic Library Online

 
vol.37 número 3Epidermólisis ampollosa congénita: a propósito de un casoPileflebitis: Un desafío diagnóstico índice de autoresíndice de materiabúsqueda de artículos
Home Pagelista alfabética de revistas  

Servicios Personalizados

Revista

Articulo

Links relacionados

Compartir


Archivos de Medicina Interna

versión impresa ISSN 0250-3816versión On-line ISSN 1688-423X

Arch. Med Int vol.37 no. 3 Montevideo nov. 2015

 

Caso Clínico de Interés

 

Neumonitis lúpica con derrame pleural refractario

Pneumonitis lupica with pleural effusion refractory

 

Dr. Mauricio Amaral

Asistente de Neumología

 

Dra. Macarena García

Residente de Neumología

 

Dr. Juan Pablo Soto

Posgrado de Neumología. Asistente de Medicina Crítica.

 

 

Dra. Mónica Kierszenbaum

Profesor Adjunto Neumología

 

 

Recibido: 19/07/15 - Aceptado: 30/08/15

Trabajo de: Cátedra de Neumología. Director: Prof. Agdo. Dr. Pablo Curbelo. UdelaR. Hospital Maciel. ASSE

Correspondencia: Dr. Mauricio Amaral. Dirección: 25 de Mayo 172, Montevideo – Uruguay. Correo electrónico: amaralmauri@hotmail.com

 

 

RESUMEN: Arch Med Interna 37(3):

El Lupus Eritematoso Sistémico suele afectar el aparato respiratorio, en un 70% de los casos, siendo la pleuritis la manifestación más frecuente, con o sin derrame pleural. Es en general unilateral, autolimitado y con buena respuesta al tratamiento. Presentamos el caso de una pacientes que debuta con lupus eritematoso sistémico con extenso compromiso respiratorio que interpretamos como una neumonitis lúpica asociado a derrame pleural bilateral refractario al tratamiento corticoideo e inmunosupresor intenso.

Palabras claves: lupus eritematoso sistémico. Neumonitis lúpica. Derrame pleural

ABSTRACT

Systemic Lupus Erythematosus usually affects the respiratory system, 70% of cases, pleurisy being the most common manifestation, with or without pleural effusion. It is unilateral, self-limited and generally good response to treatment. We present the case of patients with Systemic Lupus Erythematosus debut with extensive respiratory compromise interpret as a lupus pneumonitis associated with bilateral pleural effusion refractory to corticosteroid and immunosuppressive therapy intense.

Keywords: Systemic Lupus Erythematosus. Lupus pneumonitis. Pleural effusion

Introducción

El Lupus Eritematoso Sistémico (LES) suele afectar el aparato respiratorio. La prevalencia global de enfermedad pleuro-pulmonar en el LES es de alrededor de 70%. (1,2)                                                                                   

La manifestación respiratoria más frecuente de LES es la pleuritis, con o sin derrame pleural. El compromiso pleural en general es unilateral y autolimitado, con buena y precoz respuesta al tratamiento. Varias revisiones independientes han demostrado que la neumopatía parenquimatosa coincide con otras manifestaciones de LES en el 20% de los casos (3). Sin embargo, se produce neumopatía intersticial clínicamente significativa en tan solo el 3% de adultos con LES (4).

A continuación se presenta un caso de LES con severo compromiso pleuro-parenquimatoso al momento del debut: la concomitancia de neumonitis lúpica y derrame pleural bilateral refractario al tratamiento.

Caso clínico 

Sexo femenino, 24 años, procedente de Tacuarembó, medio rural. Con antecedentes personales de fenómeno de Raynaud de años de evolución manifestado en meses de invierno.

Consulta por un cuadro de disnea progresiva de varias semanas de evolución, acompañada de tos, con expectoración mucopurulenta, en apirexia. Concomitantemente repercusión general con adelgazamiento de 20 kg en los últimos meses con apetito conservado. No lesiones cutáneo-mucosas. No artromialgias. Al examen físico: Lúcida. Regular estado general. Sin lesiones en piel. Adenomegalias en cuello y axilares bilaterales, pequeñas, móviles. A nivel pleuropulmonar: polipnea 24 rpm, síndrome en menos en 1/3 inferior de ambos hemitórax a predominio izquierdo. Estertores crepitantes por encima. Saturando 91% al aire. En lo cardiovascular: Taquicardia regular de 110 cpm, sin latidos patológicos. Abdomen: Hepatomegalia 2 traveses de dedo y esplenomegalia grado 2.

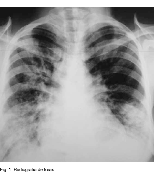
De la paraclínica: la radiografía de tórax muestra opacidad inhomogénea en 2/3 inferiores de hemitórax derecho y 1/3 inferior de hemitórax izquierdo, borramiento de fondo de saco costofrénico izquierdo. (Figura 1)

Tomografía de tórax: engrosamiento intersticial intra e inter lobulillar a predominio de ambos LLII, en algunos sectores tendencia a la consolidación. Algunas áreas en vidrio deslustrado bilaterales. Múltiples adenopatías axilares. Pequeño derrame pericárdico. Derrame pleural bilateral mayor a izquierda de distribución típica. (Figura 2)

Toracocentesis izquierda: liquido citrino, proteínas 4.2 g/dl, LDH 310, sin consumo de glucosa, compatible con exudado. Escasa celularidad a predominio linfocitario. Cultivo bacteriológico inespecífico sin desarrollo. ADA 18 UI/l. Baciloscopia directo y cultivo para BK negativo.

Hemograma sin leucocitosis ni alteraciones de otras series, VES mayor a 100mm/1er hora, función renal normal. Cultivo de expectoración sin desarrollo. Baciloscopias en esputo (en número de 3) negativas. VIH negativo.

Examen de orina: alteración en el sedimento dado por escasos eritrocitos y leucocitos. Proteinuria en 24 horas 0.31 g/l. Clearance de creatinina 108 ml/min/1,73m2 (hiperfiltrado). Ecografía de aparato urinario normal.

Ecocardiograma transtorácico: escaso derrame pericárdico. Sin compromiso miocárdico evidente. RNM cardíaca descarta miocarditis.

Complementemia: C3 de 28 unid. y C4 de 7 unid., disminuidos severamente.

Por tratarse de una mujer joven con antecedentes de Raynaud, con cuadro multisistémico que asocia compromiso respiratorio, alteraciones del sedimento urinario, síndrome poliadenomegalico con hepato-esplenomegalia y apoyados en una VES mayor a 100 mm/1er hora y una hipocomplementemia severa , previo al resultado de anticuerpos se plantea enfermedad autoinmune sistémica, probable LES.

Debido a la insuficiencia respiratoria severa que presentaba la paciente, se realiza tratamiento en base a bolos de Metilprednisolona de 1 gramo/día durante 3 días continuando con prednisona 1 mg/kg/día, descendiendo rápidamente a 40 mg/kg/día.

Se recibe resultado de panel de anticuerpos previamente solicitado que apoya el diagnóstico de LES con ANA 1/160 patrón moteado y Anti Smith positivo. Del resto se destaca Anti RNP positivo, Anti Ro y anti LA negativo. Anti DNA negativo, anti cardiolipina negativo.

Se agrega hidroxicloroquina a dosis de 200 mg cada 12 hs.

Tras el comienzo del tratamiento corticoideo se evidencia notoria mejoría del compromiso extra-respiratorio, persistiendo la disnea y desaturación de oxígeno frente al ejercicio, con derrame pleural bilateral.

Se decide entonces asociar tratamiento inmunosupresor con bolos de ciclofosfamida 500 mg cada 15 días, cumpliéndose 6 ciclos de éste inmunosupresor, continuando luego con azatioprina 100 mg/día y descenso escalonado de prednisona. Presentó buena tolerancia al tratamiento sin efectos adversos.

A nivel parenquimatoso pulmonar desaparecen las imágenes de neumonitis, pero mantiene derrame pleural bilateral que requiere múltiples toracocentesis evacuadoras dada mala tolerancia clínica.

A nivel nefrológico presenta función renal normal mantenida y desaparecen las alteraciones del sedimento urinario, por lo cual se decide en interconsulta con nefrólogo mantener una conducta expectante, sin recurrir a la biopsia renal. 

Frente a un derrame pleural bilateral refractario al tratamiento sistémico (corticoides a altas dosis e inmunosupresores) se plantea intentar pleurodesis, en consulta con cirugía de tórax se coordina  videopleuroscopia diagnóstica y terapéutica. Se toman muestras biópsicas de pleura y pulmón. Se realiza pleurodesis bilateral con iodo y abrasión. Luego del procedimiento presentó buena evolución, remitiendo clínica y radiológicamente el compromiso pleural.

El resultado de la anatomía patológica mostró a nivel pleural hallazgos compatibles con pleuritis crónica inespecífica con elementos de actividad inflamatoria. A nivel pulmonar secciones que mostraban fibrosis subpleural con vasos capilares congestivos e infiltrado inflamatorio mononuclear con focos de extravasación sanguínea. Engrosamiento de septos alveolares a expensas de fibrosis e infiltrado inflamatorio mononuclear.

Discusión

Esta paciente presenta un caso especialmente interesante ya que tiene al momento del debut del LES y como manifestaciones respiratorias un importante compromiso parenquimatoso pulmonar que interpretamos como neumonitis lúpica, asociado a la presencia de derrame pleural inflamatorio bilateral que resultó ser refractario al tratamiento corticoideo e inmuno supresor intenso.

Como hemos señalado, la pleuritis es la manifestación más común de compromiso respiratorio en el LES. Se encuentra presente en el 45-60 % de los pacientes con LES y puede ocurrir con o sin derrame pleural. El derrame pleural ha sido reportado en el 16-50% de los pacientes con LES y puede ser uni o bilateral. (5,6) El compromiso pleural frecuentemente está asociado a la afectación de otras regiones y sistemas, pero también puede aparecer como signo aislado, inclusive marcando el debut del LES, como fue el caso de nuestra paciente.

El derrame pleural por pleuritis en el LES corresponde a un exudado, con consumo moderado de glucosa y presencia de anticuerpos antinucleares en el líquido. Usualmente se trata de un derrame de entidad leve o moderada (400 a 1000 cc) y puede ser asintomático. Son raros los derrames masivos.(5-7)

La patogenia de la pleuritis/derrame pleural en el LES se plantea como una vasculitis de la pleura causada por depósito de inmunocomplejos circulantes y activación del complemento.

Diferentes autores plantean que el tratamiento del derrame pleural en el LES debe ser individualizado de acuerdo a los síntomas: derrames pequeños asintomáticos no requieren tratamiento; las pleuresías moderadas pueden ser tratadas con Anti-iinflamatorios no esteroideos (AINEs), mientras que la terapia esteroidea se reserva para casos más severos. La hidroxicloroquina y los inmunosupresores como azatioprina pueden añadirse a la terapia corticoidea en algunos casos. La gran mayoría de los pacientes responden rápidamente al tratamiento en pocos días. Raramente el derrame se hace refractario al tratamiento, requiriendo otras medidas. No está claro la medida adoptar en estos casos. (8)

Breuer y cols (8) realizaron una revisión de 10 casos de derrame pleural refractario en el LES publicados en la literatura anglosajona en los últimos 25 años. Dividieron la terapéutica realizada a estos pacientes en dos grupos distintos, terapia sistémica y terapia local. 

Los casos a los que se les realizó terapia sistémica incluyeron una gran variedad de opciones terapéuticas: corticoides, hidroxicloroquina, azatioprina, ciclofosfamida, metotrexate, ciclosporina, plasmaféresis o inmunoglobulina intravenosa. A su vez los casos con terapia local incluyeron inyección intrapleural de corticosteroides, pleurodesis con talco o tetraciclina y pleurectomía. La conclusión de estos investigadores fue que en los casos en que el derrame pleural refractario es parte de múltiples manifestaciones sistémicas es preferible el tratamiento sistémico con corticoides a altas dosis y ciclofosfamida, y también la inmunoglobulina intravenosa puede considerarse en casos seleccionados. En cambio, cuando el derrame pleural refractario es la única manifestación de LES, es preferible una terapia local mediante pleurodesis con talco.

Conclusiones

Una vez más asistimos a un ejemplo de la célebre frase del Dr. William Osler, por muchos considerado el padre de la medicina moderna, que hace referencia a que existen enfermos y no enfermedades. Analizamos un caso clínico que por su edad, sexo y manifestaciones clínicas corresponde a una enfermedad autoinmune sistémica, con un correlato clínico-humoral de LES, y el compromiso pleural como rasgo dominante; sin embargo la respuesta al tratamiento sistémico no fue la esperada, debiendo recurrirse a la pleurodesis bilateral ante la refractaridad a los otros tratamientos instituidos.

 

Bibliografía

1.      Keane MP, Lynch JP 3rd. Pleuropulmonary manifestations of systemic lupus erythematosus. Thorax. 2000;55:159-166.

2.      Haupt HM, Moore GW, Hutchins GM. The lung in systemic lupus erythematosus: analysis of the pathologic changes in 120 patients. Am J Med. 1981;71:791-798.

3.      Silberstein SL, Barland P, Grayzel AI, Koerner SK. Pulmonary dysfunction in systemic lupus erythematosus:prevalence classification and correlation with other organ involvement. J Rheumatol. 1980;7:187-195

4.      Gross T, Hunninghake G. Enfermedades del tejido conectivo. EN: Crapo JD, Karlinsky J, Glassroth J, King TE Jr. Neumología Baum´s. Madrid: Marban; 2007. p. 525-528.

5.      D´Cruz D, Khamashta M, Huges G. Pulmonary manifestations of systemic lupus erytematosus. In: Wallace DJ, Hahn BH, editors. Dubois lupus erythematosus, 6th ed. Philadelphia: Williams y Wilkins; 2002. p 663-84.

6.      Orens JB, Martinez FJ, Lynch JP 3rd. Pleuropulmonary manifestations of systemic lupus erythematosus. Rheum Dis Clin North Am.1994;20:159-93.

7.      Murin S, Wiedemann HP, Matthay RA. Pulmonary manifestations of systemic lupus erythematosus. Clin Chest Med. 1998;19:641-65

8.      Breuer G, Deeb M, Fisher D, Nesher G. Therapeutic Options for Refractory Massive Pleural Effusion in Systemic Lupus Erythematosus: A Case Study and Rewiew of the Litherature. Semin Arthritis Rheum. 2005;34:744-9.

 

 

 

 

 

 

 

 

Creative Commons License Todo el contenido de esta revista, excepto dónde está identificado, está bajo una Licencia Creative Commons